Abstract
Responses of stinging catfish (Heteropneustes fossilis) to pollution were studied in three freshwater rivers, namely Buriganga, Turag, and Shitalakkhya (Dhaka, Bangladesh), which are potentially affected by anthropogenic pollution originating from industrial and sewage dumping. Partial parameters about water quality (temperature, dissolved oxygen, and pH) and seasonal plankton fluctuation were recorded at wet and dry seasons. Histopathology and acetylcholinesterase (AChE) activity were used as biomarkers to assess water toxic effects in 7-and 10-day exposures of H. fossilis to three rivers waters, respectively. The lowest level of dissolved oxygen was recorded as 0.7 ± 0.1 mg/l, and the lowest count of plankton genera was 21 at lean period. Furthermore, the 7-day exposure of fish to polluted water abruptly altered the normal structure of various organs. Major structural damages were partial and total epidermal loss, dermis and muscle separation, melanin pigment and vacuole in skin muscle; missing of lamellae, clubbing, fungal granuloma, hyperplasia and hemorrhage in gills; hyperplasia, hemorrhage, pyknosis, vacuole, necrosis, nuclear alteration, fatty degeneration, lipid droplets in liver; degenerating glomerular and tubule, hemorrhage, pyknosis and vacuole in kidneys; and scattered spermatozoa and prominent interstitial space in the testis. After subsequent exposure to polluted water, a significant (P < 0.05) inhibition of AChE activity in the fish brain was observed with the following order of potency: 102.00 ± 5.00 nmol/min/mg protein (Turag) ≥ 104.00 ± 5.00 nmol/min/mg protein (Buriganga) > 130.67 ± 3.51 nmol/min/mg protein (Shitalakkhya). This study confirmed the utility of biomarkers in biomonitoring studies and reflected the potential hazards of pollution to aquatic biota.
Background
River pollution is one of the recently focused environmental issues where the most attention is drawn to the rivers and canal systems surrounding Dhaka, Bangladesh. Rapid and unplanned urbanization and industrialization centering this area are increasing at an alarming rate. Due to this situation, the major three rivers, Buriganga, Turag, and Shitalakkhya, surrounding Dhaka have been steadily experiencing complicated problems of pollution and encroachment that have almost suffocated these valuable lifelines of the city. The presence of pollutants in the environment is partially due to natural processes but mainly as a result of industrial waste. The polluting industries surrounding the capital are mainly concentrated at Hazaribag and Lalbag (Old Dhaka), Tongi (Gazipur), and Demra (Narayangang) that dispose their huge untreated effluents directly into these three rivers. These rivers specially the Buriganga are also loaded by sewage pollution. However, high concentration of suspended and dissolved solids has also been reported; they previously occurred at low concentration and are now found in high concentrations (Zakir et al. 2006; Mohiuddin et al. 2011).
Occurrence of potential toxicants in aquatic ecosystem causes a reduction in the quality of the aquatic environment that results in impaired level of dissolved oxygen (DO), pH, temperature, biological oxygen demand, and chemical oxygen demand (Roberts 2001). Adverse water quality, moreover, makes the aquatic habitat biologically dead. Availability of a plankton community is an indicator of water quality. Ferdous and Muktadir (2009) described the high potentialities of zooplankton as a bioindicator. However, evaluations on reduced bioavailability of plankton that resulted from pollution have been made earlier (Begum and Khanam 2009; Shah et al. 2008; Begum 2008; Solomon et al. 2009; Sharma et al. 2010).
Though chemical monitoring of water and sediment is a common and reliable measure to describe the degree of contamination, it is not the case for the overall assessment for evaluating the effects of pollution on the environment as toxic or biological effects on organisms cannot be obtained by this method. Recently, different types of biomarkers have been studied and evaluated for their acceptability to detect the biological effects as a biomonitoring tool (Amiard et al. 2006; Magni et al. 2006; Nigro et al. 2006).
Histopathological assessment is a sensitive biomonitoring tool in toxicant impact assessment to indicate the effect of toxicants on fish health in polluted aquatic ecosystems. Histopathological assessment of fish tissue allows for early warning signs of disease and detection of long-term injury in cells, tissues, or organs. Structural changes in various tissues into the polluted ecosystem have also been acknowledged (Peuranen et al. 2000; Marchand et al. 2009). Earlier histopathological assessments of fish exposed to a variety of pollutants reveal the potency of this biomarker against pollution.
Acetylcholinesterase (AChE) is the main cholinesterasic form in all invertebrate and vertebrate tissues such as the brain (Rodrigues et al. 2011), muscles, blood cells, and liver (Valbonesi et al. 2011). This enzyme is found at neuromuscular junctions and cholinergic nervous system where its activity serves to terminate synaptic transmission. It degrades (through its hydrolytic activity) the neurotransmitter acetylcholine, producing choline and an acetate group in both vertebrates and invertebrates (Varo et al. 2008). Cholinesterase inhibitors such as organophosphate and carbamate block the function of AChE and thus provoke excess acetylcholine accumulation in the synaptic cleft that eventually causes neuromuscular paralysis, leading to death by asphyxiation (Nunes et al. 2003; Purves et al. 2008; Xuereb et al. 2009). Recent studies have shown that AChE is a very useful biomarker of pollution stress under a variety of environmental factors and chemical mixtures in different geographical regions (Baršienė et al. 2006; Kopecka et al. 2006; Schiedek et al. 2006).
In spite of having a lot of deleterious effects of pollution, a limited number of research were conducted in Bangladesh to ascertain their effects on fish at cellular and molecular level. To our knowledge, limited investigations have been made till now to assess the neurotoxic effects (in terms of AChE inhibition) of river pollutants on fish, thus indicating the need for due attention on this matter. Thus, the purpose of the present study is to assess the cellular and neurotoxic effects of river pollution on Heteropneustes fossilis through the determination of potency of two biomarkers against pollution.
Methods
Study area
Buriganga (near Lalbag, Dhaka), Turag (near Tongi Bridge, Gazipur), and Shitalakkhya (near Demra, Narayangang) are supposed to derive massive pollutant loadings from sewage and industrial effluents directly as industries, textiles, pharmaceuticals, and tanneries have clustered here. During the rainy season, the water quality improves moderately, but on the advent of the dry season, pollution concentration increases abruptly because the water level of the rivers reduces a lot at this time, but the rate of pollutants released into the rivers remains identical. Location of the three rivers and sampling sites are shown in Figure 1.
Water quality parameter measurements
Some water quality parameters were measured from the three rivers at two different seasons (early September 2010 and early March 2011). A mercury centigrade thermometer was used to measure the water temperature; pH and DO were measured by a pH meter (HI 98127, HANNA Instruments, Beijing, China) and a dissolved oxygen meter (DO-5509, Tyner, Dongguan City Electronic Technology Co., Ltd., Guangzhou, China), respectively. Each parameter was recorded at two different points with three replications in the same river.
Plankton collection and identification
With a view to record the seasonal plankton availability, samples were collected in early September 2010 and early March 2011. Planktons were collected randomly from the three rivers by plankton net towing. Collected samples were immediately preserved with 5% buffered formalin in separate tagged plastic bottles. For species identification, the bottle containing plankton samples was gently shaken to resuspend all materials, was poured on water a petri dish, and was allowed to settle for a minute. Two drops of water were placed on a glass slide and covered with a cover slip. The planktons were then identified up to genus level under a compound microscope (OPTIKA B-350, OPTIKA Microscopes, Ponteranica, Bergamo, Italy) according to APHA (1992), Bellinger (1992), and Palmer (1980).
Histopathological study
To assess the effects of polluted water exposure to fish, water samples were separately collected from Buriganga, Turag, and Shitalakkhya rivers in six plastic containers (30 l) and were carried out to the wet laboratory of the Faculty of Fisheries, Bangladesh Agricultural University, Mymensingh. Experiments were conducted in nine aquaria of size 48 × 26 × 30 cm3. Water samples from the three rivers were kept in three different aquaria, each having two replications, whereas one aquarium was kept as control. H. fossilis with average size and weight of 12 ± 1.4 cm and 10.5 ± 1.2 g, respectively, were collected from a local fish market in live condition. Forty-five fishes (five fishes in each aquarium) were exposed to three river water samples for a period of 7 days with continuous aeration. After the 7-day exposure, two fishes were taken from each aquarium and sacrificed. Gills, skin muscle, liver, kidney, and gonads were collected and preserved in 10% neutral-buffered formalin, while gonads were preserved in Bouin’s fluid. The preserved samples were then dehydrated, cleaned and infiltrated in an automatic tissue processor (ThermoFisher Scientific, Waltham, MA, USA), embedded in melted paraffin wax, and sectioned (5 μm) with a microtome machine (Leica Junc 2035, Leica Microsystems Srl, Milan, Italy). Thereafter, the sections were stained with hematoxylin and eosin (H and E) stains. After staining, the sections were mounted with Canada balsam and kept overnight for the permanent slide. Photomicrography of the stained samples was done using a photomicroscope (OPTIKA B-350). The extent of alteration was scored as severe (+++), moderate (++), mild (+), and not found (−). When a pathology occurred in >50% cell or area in maximum investigated slides, it scored severe (+++),followed by >25% for moderate (++), and <25% for mild (+).
AChE activity measurement
x`For the analysis of AChE activity, H. fossilis was exposed to river water in glass aquaria for 10 days. Fish exposed to pollutant-free water was kept as control. Following exposure, three fishes were taken from each aquarium (n = 9) for each river. The whole brain was dissected out by sacrificing the fish and was placed in ice-cold 0.1-M sodium phosphate buffer (pH 8.0). In this study, where brain sample was used similarly with teleost, AChE is maximally distributed in the brain (Kopecka et al. 2004; Ferenczy et al. 1997). Tissues were then weighted and homogenized using a glass-Teflon homogenizer in a homogenization buffer (0.1-M sodium phosphate buffer, 0.1% Triton X-100, pH 8.0) to achieve the final concentration of 20 mg tissue/ml phosphate buffer. Tissue homogenate was centrifuged at 10,000 × g for 15 min at 4°C, and the supernatant was removed. An aliquot of supernatant was then removed and measured for protein according to the method of Lowry et al. (1951) using bovine serum albumin in homogenization buffer as a standard.
AChE activity in the fish brain was measured according to the method of Ellman et al. (1961), as optimized by Habig et al. (1988) and Sandahl and Jenkins (2002). Tissue homogenate (50 μl) was added to 900 μl of cold sodium phosphate buffer (0.1 M containing 0.1% Triton X-100, pH 8.0) and 50 μl of 5,5-dithiobis (2-nitrobenzoic acid) (6 mM), then vortexed, and allowed to stand at room temperature for 10 min. Aliquots of 200 μl in triplicate were then placed into microtiter plate wells. The reaction was started with the addition of 50 μl of acetylthiocholine iodide (15 mM) specific for fish (Jash et al. 1982). Changes in absorbance were measured with a microplate reader (SpectraMax 340PC384, Molecular Devices LLC, Sunnyvale, CA, USA) at 412 nm for 10 min at 12-s intervals. AChE activity is expressed as nanomole per minute per milligram protein.
Statistical analysis
Data were analyzed using one way analysis of variance and expressed as mean ± SD. A post hoc Waller Duncan multiple test range was performed which considered a 5% significant level using SPSS ver. 11.5 computer software program.
Results and discussion
Water quality parameters
Water quality parameters of the three rivers in two different seasons are presented in Table 1. The temperature in the wet season ranged from 22.5°C to 24.5°C where it increased to 29°C to 31.5°C in the dry season. Significant reduction in DO level was observed in dry season where Turag River had the lowest DO level (0.7 mg/l). No wide fluctuation in pH level was observed at two different seasons that ranged from 6.9 to 7.2.
Variation in water quality parameters is mainly due to seasonal environmental factors. Increased temperature in the dry season affects the DO level as they are inversely correlated. In the study, very low DO levels (0.7 to 1.9 mg/l) were recorded in the dry season where >5 mg/l is recommended for biological organisms. This anoxic condition especially in Turag reflects the breakdown of untreated organic waste principally received from domestic sewage and chemical residues from various industries surrounding Dhaka (The World Bank 2006). A similar phenomenon was previously reported from these rivers (Begum 2008; Begum and Khanam 2009; The World Bank 2006; Saha et al. 2009).
Plankton composition
The plankton communities of the three rivers were identified at rainy and dry seasons. A total of 33, 26, and 35 genera were identified from Buriganga, Turag, and Shitalakkhya rivers, respectively in the rainy season, whereas, in the dry season, a lesser number of genera were recorded:21, 19, and 26, from Buriganga, Turag, and Shitalakkhya rivers, respectively (Table 2). Among the recorded phytoplankton groups, Bacillariophyceae were found in both seasons in the respective rivers, and Chlorophyceae were recorded more only in the wet season. However, among the recorded zooplankton groups, Cladocera occurred more frequently in the wet season than in the dry season. Frequent abundance of Copepoda represented by two genera was observed from the three rivers in both seasons. Rotifera were recorded low, but the lowest count was made in the dry season; no genera were even found in the dry season from Turag River.
Seasonal variations in plankton are related to a variety of environmental factors in aquatic environments where temperature has been claimed to be the major determining factor in phytoplankton growth and development (Çetin and Şen 2004; Baquero et al. 2006). The less abundance of plankton communities in the dry season mainly due to high temperature and low DO. The occurrence of Chlorophyceae only in the wet season and Bacillariophyceae in both two seasons indicates that Chlorophyceae are more sensitive to pollutant discharge, whereas Bacillariophyceae seem to be very well adapted to polluted zone (Begum and Khanam 2009; Shah et al. 2008). Among the zooplankton, the members of Cladocera occurred in lower number in the dry season because Cladocera are highly responsive against pollutants; they even react against low concentration of contaminants (Ferdous and Muktadir 2009). Copepoda were represented by two genera and appeared all year round as this group is much more tolerant to O2 deficiency. On the contrary, lower representation by the members Rotifera in the dry season and no genera in Turag is opposed to the studies of Solomon et al. (Solomon et al. 2009) and Sharma et al. (2010) who reported the dominance of Rotifera among all zooplankton. This is because the frequency of that group is lower in polluted water than in unpolluted or lower polluted zones (Eloranta 1980).
Histopathological observations
After subsequent exposure of H. fossilis to Buriganga, Turag, and Shitalakkhya river water samples, histopathological assessment of skin muscle, gills, liver, kidney, and testis was made by comparing them with the control. Mild to severe alterations in the different organs were assessed (Table 3).
The skin muscle of the control group was in a systemic arrangement of epidermis, dermis, and muscle (Figure 2a). The major pathological signs observed in skin muscle of fish exposed to the water of three different rivers were partial loss of epidermis, totally missing epidermis, separation of dermis from epidermis, separation of muscle from dermis, melanin pigment, and vacuole in muscle and dermis (Figure 2b,c,d). As skin muscle is the primary site of exposure, pollutants affected the epidermis abruptly. Melanin pigment is a prominent feature of chronic inflammatory response.
Photomicrograph of skin muscle and gills of H. fossilis from control and from the three rivers. Photomicrograph of skin muscle from (a) control, (b) Buriganga, (c) Turag, and (d) Shitalakkhya. Photomicrograph of gills from (e) control, (f) Buriganga, (g) Turag, and (h) Shitalakkhya. Ed, epidermis; D, dermis; M, muscle; Mp, melanin pigment; V, vacuole; PEL, partial epidermal loss; TEL, total epidermal loss; Ms, muscle separation; H, hemorrhage; N, necrosis; Gc, gill clubbing; Fg, fungal granuloma; Msgl, missing of secondary gill lamellae; HP, hyperplasia and hypertrophy (H and E × 430).
Gills are the primary site for any histological alteration as it is directly exposed to polluted water. In our present study, the structure of gills in the control group was almost normal. Primary and secondary gill lamellae were found with no pathology (Figure 2e). Moderate to severe structural changes with mentionable pathological signs were observed in the gills of treated fish including missing secondary gill lamellae, hemorrhage, necrosis, hyperplasia and hypertrophy, gill clubbing, and fungal granuloma (Figure 2f,g,h). Disruption in gill structure and function possibly due to various environmental factors, pH, ion concentration, heavy metals, and other pollutants were previously described (Tkatcheva et al. 2004; Peuranen et al. 2000; Playle 1998). Thickening and lifting of the secondary lamellar epithelium due to hypertrophy are the first signs that gills have been exposed to hazardous chemicals, or physical agents may have been a response to increase the diffusion distance between DO and blood, which accordingly was related to hypoxia in fish (Liu et al. 2010). Gill clubbing is due to excess mucus production. In the presence of pollutants, the epithelium of the secondary lamellae has a tendency to increase the number of mucus cell. Excess mucus from mucus cell causes the fusion of secondary gill lamellae resulting in impaired respiration.
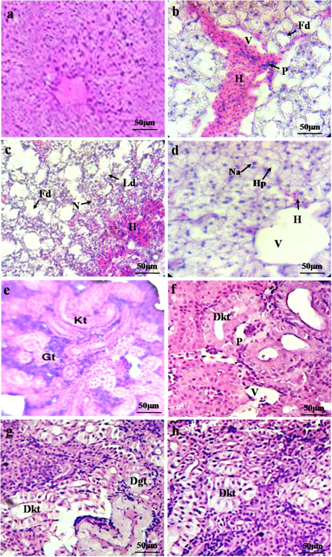
Alteration in the liver structure may be used as a biomarker indicating prior exposure to environmental stressors. A constant exposure to toxicants may cause damage to the liver tissue (Nero et al. 2005). In the present study, hepatocytes and other cells were systematically arranged and no structural alteration was assessed in the liver of the control group (Figure 3a) where the treated group revealed a normal liver tissue structure with severe alterations like deposition of body fat, hypertrophy and hyperplasia of hepatocytes, rupture of blood vessel resulting in hemorrhagic area and necrosis, nuclear alteration, pyknosis, vacuoles, and fatty degeneration (Figure 3b,c,d). A similar assessment was made by Liao et al. (2007) who additionally found basophilic cytoplasm but no lipid droplets in the hepatocytes of medaka (Oryzias latipes) exposed to single mercury and single selenium. Farag et al. (2006) observed lipid droplets in the liver of Chinook salmon (Oncorhynchus tshawytscha) after chronic chromium exposure, whereas livers of the control group had no hepatocellular lipids. Liver necrosis was found in Nile tilapia (Oreochromis niloticus) after exposure to sediment containing a variety of organic chemicals (Perez et al. 2000). Shaw and Handy (2006) found marked hepatic lipidosis (increased intracellular fat stores) in Nile tilapia (O. niloticus). Histopathological alterations in the liver of Clarias gariepinus from polluted aquatic systems were also found by Marchand et al. (2009).
Photomicrograph of liver and kidney of H. fossilis from control and from the three rivers. Photomicrograph of liver from (a) control, (b) Buriganga, (c) Turag, and (d) Shitalakkhya. Photomicrograph of kidney from (e) control, (f) Buriganga, (g) Turag, and (h) Shitalakkhya. H, hemorrhage; Fd, fatty degeneration; Ld, lipid droplet; N, necrosis; P, pyknosis; Na, nuclear alteration; Hp, hyperplasia and hypertrophy; Kt, kidney tubule; Gt, glomerular tubule; Dkt, degenerating kidney tubule; Dgt, degenerating glomerular tubule; V, vacuole (H and E × 430).
This could be expected as the liver is the main detoxification organ involved in the metabolism and excretion of heavy metals. It is therefore a target organ of various toxic substances. Pollutants cause alterations in the liver, lysis of hepatocytes resulting in necrosis, breakdown of blood vessel resulting in a hemorrhagic area, cirrhosis, and ultimately death. Hepatic lipid accumulation is influenced by toxins and environmental stress factors (Tanaka et al. 2002; Xu et al. 2009).
The kidney is a major organ involved in fluid and ionic balance of fish. In the present study, the normal structures of the kidney tubule, glomerulus, and other hematopoietic cells of kidney were found in a reference group (Figure 3e). Mild structural changes were observed including vacuolation, necrosis, mild pyknosis, and mild tubular degeneration from the kidney of fish exposed to different river water (Figure 3f,g,h). However, necrosis, fibrosis (scarring) and dilation of tubular lumina, and lipid peroxidation were observed in affected kidneys as a result of chromium exposure, but not in reference kidneys (Farag et al. 2006) as the exposure time was longer (105 days). The appearance of vacuoles and tubular degeneration might be a result of a general metabolic disturbance leading to an intensified reabsorption of amino acids and small proteins from the ultrafiltrate (1993). Necrosis that resulted from accumulation of granules is due to karyolysis and vacuolation in the cytoplasm (Rangsayatorn et al. 2004).
The immature testes of the control fish possess a normal arrangement of spermatocytes in the testicular lumen and a smaller testis interstitial space (Figure 4a). Some structural alterations were observed in the testes of treated fish such as the appearance of some vacuoles, scattered spermatocytes in the testicular lumen, and larger testis interstitial space (Figure 4b,c,d). Similar findings, except for vacuoles and scattered spermatocytes, were also made earlier by Schultz et al. (2011) in male fathead minnows exposed to antidepressant pharmaceuticals. Intersex gonads were recorded in several species exposed to estrogen-polluted water source (Barnhoorn et al. 2004 Barnhoorn et al. 2010). However, no intersex testis was observed in the present study. This may be due to less exposure time and sexual immaturity of the fish. A larger testis interstitial space from all treated groups indicated the presence of toxicants in the three reference rivers. These prominent spaces are due to the accumulation of testis interstitial fluid which interrupts the normal functioning of luteinizing hormone.
AChE activity of H. fossilis exposed to three river water
H. fossilis were exposed to polluted water collected from Buriganga, Turag, and Shitalakkhya for 10 days. After 10 days of exposure time, the AChE activities in the fish brain were determined. In the present study, a steady decrease of AChE activity in the fish brain was found in the case of H. fossilis exposed to water samples of the three rivers (Figure 5). In the control fish, AChE activities were measured as 202.67 ± 6.51 nmol/min/mg protein. Furthermore, AChE activities in the brain of H. fossilis exposed to water samples of Buriganga, Turag, and Shitalakkhya rivers were 104.00 ± 5.00, 102.00 ± 5.00, and 130.67 ± 3.51 nmol/min/mg protein, respectively. Significant inhibition of AChE activity (P < 0.05) was observed from all river water samples compared to the control. In this study, it was observed that due to polluted water exposure, AChE activity decreased values were 48.78%, 49.63%, and 35.56% from Buriganga, Turag, and Shitalakkhya river water samples, respectively.
AChE activity in vertebrates and invertebrates is a widely used biomarker of neurotoxicity. Moreover, fish AChE activity has been utilized as a highly sensitive biomarker response of freshwater pollution (de la Torre et al. 2002). A significant decrease in this cholinesterase activity in fish indicates the presence of neurotoxic pollutants in the aquatic ecosystem. In the present study, H. fossilis were exposed to polluted water collected from Buriganga, Turag, and Shitalakkhya for 10 days. After 10 days of exposure time, the AChE activities in the fish brain were determined. In the present study, a steady decrease of AChE activity in the fish brain was found in the case of H. fossilis exposed to water samples of the three rivers (Figure 5). In the control fish, the AChE activities were measured as 202.67 ± 6.51 nmol/min/mg protein. Furthermore, AChE activities in the brain of H. fossilis exposed to water samples of Buriganga, Turag, and Shitalakkhya were 104.00 ± 5.00, 102.00 ± 5.00, and 130.67 ± 3.51 nmol/min/mg protein, respectively. Significant inhibition of AChE activity (P < 0.05) was observed from all river water samples compared to the control. In this study, it was observed that due to polluted water exposure, AChE activity decreased values were 48.78%, 49.63%, and 35.56% from Buriganga, Turag and Shitalakkhya river water samples, respectively. However, the larger decline of cholinesterase activity in the water samples of Turag and Buriganga than that of Shitalakkhya compared to the control suggests that Turag and Buriganga rivers are more highly polluted with neurotoxic compounds. The extent of AChE depression required to cause death in aquatic organisms. In fish, most estimates lie in the range of 70% to 85% AChE reduction. Eel (Anguilla anguilla), over a 96-h exposure period to pesticide, were able to survive up to 57% reduction in AChE activity (Sancho and Andreu 1998).
Rank et al. (2007) noted a responding change in AChE activity to pollution in native and transplanted mussels in the areas close to coastal chemical dumping sites with some interpretation due to seasonal fluctuation in exposure situation. According to Forget et al. (2003), neurotoxic contaminants brought by rivers caused a 70% to 80% AChE inhibition in copepods from an estuary in comparison with those from upstream. An ascending order of AChE inhibition with the increased concentration of arsenic in Channa punctatus was mentioned by Roy et al. (2006). In contrast, the ameliorative potential of selenium on arsenic-mediated inhibition of AChE activity was also described. Combined in vivo and in vitro effects of cadmium and aluminum like heavy metal on AChE inhibition have also been reported (Carageorgiou et al. 2004; Kohila et al. 2004).
Conclusions
This study showed that in dry season, DO of the three rivers existed below the standard level (≥5 mg/l) and were extremely intolerable for plankton community that eventually resulted in the lowest plankton count. Furthermore, structural damage in fish organs and significant inhibition of AChE in the fish brain suggest the potency of the two biomarkers against pollution. The biomarker data from this study can, in the future, be used to evaluate the effects of management actions. With a view to minimize the devastating effects of pollutants, effluent treatment plants are recommended to establish corporately near the major industrial zone to treat industrial effluents before disposal.
Abbreviations
- AChE:
-
Acetylcholinesterase
- H:
-
Hematoxylin
- E:
-
Eosin
- DO:
-
Dissolved oxygen.
References
Amiard JC, Amiard-Triquet C, Barka S, Pellerin J, Rainbow PS: Metallothioneins in aquatic invertebrates: their role in metal detoxification and their use as biomarkers. Aquat Toxicol 2006, 76: 160–202. 10.1016/j.aquatox.2005.08.015
APHA: Standard methods for the examination of water and wastewater. American Public Health Association, Washington DC; 1992.
Baquero MR, Carrillo P, Arco BJ, Martinez PC, Argaiz VM: Climate-driven change on phytoplankton-zooplankton coupling and nutrient availability in high mountain lakes of Southern Europe. Freshwater Biol 2006, 51: 989–998. 10.1111/j.1365-2427.2006.01545.x
Barnhoorn IEJ, Bornman MS, Pieterse GM, Van Vuren JHJ: Histological evidence of intersex in feral sharptooth catfish ( Clarias gariepinus ) from an estrogen-polluted water source in Gauteng, South Africa. Environ Toxicol 2004, 19: 603–608. 10.1002/tox.20068
Barnhoorn IEJ, Vandyk JC, Pieterse GM, Bornman MS: Intersex in feral indigenous freshwater Oreochromis mossambicus , from various parts in the Luvuvhu River, Limpopo Province, South Africa. Ecotoxicol Environ Saf 2010, 73: 1537–1542. 10.1016/j.ecoenv.2010.07.026
Baršienė J, Lehtonen KK, Koehler A, Broeg K, Vourinen PJ, Lang T, Pempkowiak J, Šyvokienė J, Dedonytė V, Rybakovas A, Repečka R, Vountisjarvi H, Kopecka J: Biomarker responses in flounder ( Platichthys flesus ) and mussel ( Mytilus edulis ) in the Klaipėda-Būtingė area (Baltic Sea). Mar Pollut Bull 2006, 53: 422–436. 10.1016/j.marpolbul.2006.03.009
Begum ZNT: A taxonomic account on the phytoplankton of a pond receiving textile industrial effluents. Bang J Plant Tax 2008, 15: 129–139.
Begum ZNT, Khanam D: Physicochemical aspects and phytoplankton of the river Shitalakhya receiving pharmaceutical effluents. Bang J Bot 2009, 38: 77–85.
Bellinger EG: A key to common algae: freshwater, estuarine and some coastal species. The Institution of Water and Environmental Management, London; 1992:138.
Bucher F, Hofer R: The effects of treated domestic sewage on three organs (gills, kidney, liver) of brown trout ( Salmo trutta ). Water Res 1993, 27: 255–261. 10.1016/0043-1354(93)90083-T
Carageorgiou H, Tzotzes V, Pantos C, Mourouzis C, Zorros A, Tsakiris S: In vivo and in vitro effects of cadmium on adult rat brain total antioxidant status, acetylcholinesterase, (Na+, K+)-ATPase and Mg2 + −ATPase activities: protection by L -cysteine. Pharmacol Toxicol 2004, 94: 112–118.
Çetin AK, Şen B: Seasonal distribution of phytoplankton in Orduzu Dam Lake (Malatya, Turkey). Turk J Bot 2004, 28: 279–285.
de la Torre FR, Ferrari L, Salibián A: Freshwater pollution biomarker: response of brain acetylcholinesterase activity in two fish species. Pharmacol Toxicol 2002, 131: 271–280.
Ellman GL, Courtney KD, Andres VJ, Featherstone RM: A new and rapid colorimetric determination of acetylcholinesterase activity. Biochem Pharmacol 1961, 7: 88–95. 10.1016/0006-2952(61)90145-9
Eloranta P: Zooplankton in a watercourse polluted by sulphite pulp mill. Ann Zoo Fennici 1980, 17: 261–267.
Farag AM, May T, Marty GD, Easton M, Harper DD, Little EE, Cleveland L: The effect of chronic chromium exposure on the health of Chinook salmon ( Oncorhynchus tshawytscha ). Aquat Toxicol 2006, 76: 246–257. 10.1016/j.aquatox.2005.09.011
Ferdous Z, Muktadir AKM: A review: potentiality of zooplankton as bioindicator. Am J App Sci 2009, 6: 1815–1819.
Ferenczy J, Szegletes T, Bálint T, Ábrahám M, Nemcsók J: Characterization of acetylcholinesterase and its molecular forms in organs of five freshwater teleosts. Fish Physiol Biochem 1997, 16: 515–529. 10.1023/A:1007701323808
Forget J, Beliaeff B, Bocquené G: Acetylcholinesterase activity in copepods ( Tigriopus brevicornis ) from the Vilaine River estuary, France, as a biomarker of neurotoxic contaminants. Aquat Toxicol 2003, 62: 195–204. 10.1016/S0166-445X(02)00084-X
Habig C, Di Giulio RT, Abou-Donia MB: Comparative properties of channel catfish ( Ictalurus punctatus ) and blue crab ( Callinectes sapidus ) acetylcholinesterases. Comp Biochem Physiol C Toxicol Pharmacol 1988, 91: 293–300.
Jash NB, Chatterjee S, Bhattacharya S: Role of acetylcholine in the recovery of brain acetylcholinesterase in Channa punctatus (Bloch) exposed to furadan. Comp Physiol Ecol 1982, 7: 56–58.
Kohila T, Parkkonen E, Tähti H: Evaluation of the effects of aluminium, ethanol and their combination on rat brain synaptosomal integral proteins in vitro and after 90-day oral exposure. Arch Toxicol 2004, 78: 276–282. 10.1007/s00204-003-0530-3
Kopecka J, Rybakowas A, Baršiene J, Pempkowiak J: AChE levels in mussels and fish collected off Lithuania and Poland (southern Baltic). Oceanologica 2004, 46: 405–418.
Kopecka J, Lehtonen KK, Baršiene J, Broeg K, Vuorinen PJ, Gercken J, Pempkowiak J: Measurements of biomarker levels in flounder ( Platichthys flesus ) and blue mussel ( Mytilus trossulus ) from the Gulf of GdaDsk (southern Baltic). Mar Pollut Bull 2006, 53: 406–421. 10.1016/j.marpolbul.2006.03.008
Liao CY, Zhou QF, Fu JJ, Shi JB, Yuan CG, Jiang GB: Interaction of methylmercury and selenium on the bioaccumulation and histopathology in medaka ( Oryzias latipes ). Environ Toxicol 2007, 22: 69–77. 10.1002/tox.20236
Liu XJ, Luo Z, Xiong BX, Liu X, Zhao YH, Hua GF, Lv GJ: Effect of waterborne copper exposure on growth, hepatic enzyme activities and histology in Synechogobius hasta . Ecotoxicol Environ Saf 2010, 73: 1286–1291. 10.1016/j.ecoenv.2010.06.019
Lowry OH, Rosebrough NJ, Farr AL, Randall RJ: Protein measurement with the Folin phenol reagent. J Biol Chem 1951, 193: 265–275.
Magni P, De Falco G, Falugi C, Franzoni M, Monteverde M, Perrone E, Sgro M, Bolognesi C: Genotoxicity biomarkers and acetylcholinesterase activity in natural populations of Mytilus galloprovincialis along a pollution gradient in the Gulf of Oristano (Sardinia, western Mediterranean). Environ Poll 2006, 142: 65–72. 10.1016/j.envpol.2005.09.018
Marchand MJ, Van Dyk JC, Pieterse GM, Barnhoorn IE, Bornman MS: Histopathological alterations in the liver of the sharptooth catfish Clarias gariepinus from polluted aquatic systems in South Africa. Environ Toxicol 2009, 24: 133–147. 10.1002/tox.20397
Mohiuddin KM, OgawaY ZHM, Otomo K, Shikazono N: Heavy metals contamination in water and sediments of an urban river in a developing country. Int J Environ Sci Technol 2011, 8: 723–736.
Nero V, Farwell A, Lister A, Van der Kraak G, Lee LE, Van Meer T, MacKinnon MD, Dixon DG: Gill and liver histopathological changes in yellow perch ( Perca flavescens ) and goldfish ( Carrasius auratus ) exposed to oil sands process affected water. Ecotoxicol Environ Saf 2005, 63: 365–377.
Nigro M, Falleni A, Del Barga I, Scarcelli V, Lucchesi P, Regoli F, Frenzilli G: Cellular biomarkers for monitoring estuarine environments: transplanted versus native mussels. Aquat Toxicol 2006, 77: 339–347. 10.1016/j.aquatox.2005.12.013
Nunes B, Carvalho F, Guilhermino L: Characterization of total head cholinesterases of Gambusia holbrooki (mosquito fish) and the assessment of effects induced by two environmental contaminants. J Vet Pharmacol Ther 2003, 26: 260–261.
Palmer CM: Algae and Water Pollution. Cambridge Printers Limited, England; 1980:123.
Perez ZO, Alvarez SR, Barroso EN, Güemes J, Bouchot GG, Ortega A, Medina AA: Toxicity of sediments from Bahia de Chetumal, Mexico, as assessed by hepatic EROD induction and histology in Nile tilapia Oreochromis niloticus . Mar Environ Res 2000, 50: 385–391. 10.1016/S0141-1136(00)00107-0
Peuranen S: The effects of aluminium and iron on fish gills. Academic dissertation, Helsinki; 2000:8–30.
Playle RC: Modelling metal interactions at fish gills. Sci Total Environ 1998, 219: 147–163. 10.1016/S0048-9697(98)00232-0
Purves D, Augustine GJ, Fitzpatrick D, Hall WC, LaMantia AS, McNamara JO, White LE Neuroscience. In Synaptic transmission. 4th edition. Sinauer Associates, Sunderland MA; 2008:121–122.
Rangsayatorn N, Kruatrachue M, Pokethitiyook P, Upatham ES, Lanza GR, Singhakaew S: Ultrastructural changes in various organs of the fish Puntius gonionotus fed cadmium-enriched cyanobacteria. Environ Toxicol 2004, 19: 585–593. 10.1002/tox.20066
Rank J, Lehtonen KK, Strand J, Laursen M: DNA damage, acetylcholinesterase activity and lysosomal stability in native and transplanted mussels ( Mytilus edulis ) in areas close to coastal chemical dumping sites in Denmark. Aquat Toxicol 2007, 84: 50–61. 10.1016/j.aquatox.2007.05.013
Roberts RJ (Ed): Fish Pathology. Saunders WB, Philadelphia; 2001.
Rodrigues SR, Caldeira C, Castro BB, Gonçalves F, Nunes B, Antunes SC: Cholinesterase (ChE) inhibition in pumpkinseed ( Lepomis gibbosus ) as environmental biomarker: ChE characterization and potential neurotoxic effects of xenobiotics. Pestic Biochem Physiol 2011, 99: 181–188. 10.1016/j.pestbp.2010.12.002
Roy S, Chattoraj A, Bhattacharya S: Arsenic-induced changes in optic tectal histoarchitecture and acetylcholinesterase–acetylcholine profile in Channa punctatus : amelioration by selenium. Comp Biochem Physiol C Toxicol Pharmacol 2006, 144: 16–24. 10.1016/j.cbpc.2006.04.018
Saha ML, Khan MR, Ali M, Haque S: Bacterial load and pollution level of the river Buriganga, Dhaka, Bangladesh. Bang J Bot 2009, 38: 87–91.
Sancho FMD, Andreu E: In vivo inhibition of AChE activity in the European eel Anguilla anguilla exposed to technical grade fenitrothion. Comp. Biochem. Physiol. Part C 1998, 120: 389–395.
Sandahl J, Jenkins JJ: Pacific steelhead ( Oncorhynchus mykiss ) exposed to chlorpyrifos: benchmark concentration estimates for acetylcholinesterase inhibition. Environ Toxicol Chem 2002, 21: 2452–2458.
Schiedek D, Broeg K, Barsiene J, Lehtonen KK, Gercken J, Pfiefer S, Vuontisjärvi H, Vuorinen PJ, Dedonyte V, Koehler A, Balk L, Schneider R: Biomarker responses as indication of contaminant effects in blue mussel (Mytilus edulis ) and female eelpout (Zoarcesviviparus ) from the southwestern Baltic Sea. Mar Pollut Bull 2006, 53: 387–405. 10.1016/j.marpolbul.2005.11.013
Schultz MM, Painter MM, Bartell SE, Logue A, Furlong ET, Werner SL, Schoenfuss HL: Selective uptake and biological consequences of environmentally relevant antidepressant pharmaceutical exposures on male fathead minnows. Aquat Toxicol 2011, 104: 38–47. 10.1016/j.aquatox.2011.03.011
Shah MMR, Hossain MY, Begum M, Ahmed ZF, Ohtomi J, Rahman MM, Alam MJ, Islam MA, Fulanda B: Seasonal variations of phytoplanktonic community structure and production in relation to environmental factors of the southwest coastal waters of Bangladesh. J Fish Aquat Sci 2008, 3: 102–113.
Sharma S, Siddique A, Singh K, Chouhan M, Vyas A, Solnki CM, Sharma D, Nair S, Sengupta T: Population dynamics and seasonal abundance of zooplankton community in Narmada River (India). Research 2010, 2: 1–9.
Shaw BJ, Handy RD: Dietary copper exposure and recovery in Nile tilapia Oreochromis niloticus . Aquat Toxicol 2006, 76: 111–121. 10.1016/j.aquatox.2005.10.002
Solomon SG, Atagub GA, Baiyewunmi AS: Study of dry season zooplankton of Lower River Benue at Makurdi, Nigeria. J Anim Plant Sci 2009, 1: 42–50.
Tanaka RY, Higo T, Shibata N, Suzuki H, Hatate H, Nagayama K, Nakamura T: Accumulation of hydroxy lipids in live fish infected with fish diseases. Aquaculture 2002, 211: 341–351. 10.1016/S0044-8486(01)00789-X
The World Bank Bangladesh development series paper no.12. In Bangladesh country environmental analysis. The World Bank, Washington, DC; 2006. http://siteresources.worldbank.org/BANGLADESHEXTN/Resources/295759–1173922647418/complete.pdf
Tkatcheva V, Hyvärinen H, Kukkonen J, Ryzhkov LP, Holopainen IJ: Toxic effects of mining effluents on fish gills in a subarctic lake system in NW Russia. Ecotoxicol Environ Saf 2004, 57: 278–289. 10.1016/S0147-6513(03)00079-4
Valbonesi P, Brunelli F, Mattioli M, Rossi T, Fabbri E: Cholinesterase activities and sensitivity to pesticides in different tissues of silver European eel, Anguilla anguilla . Comp Biochem Physiol C Toxicol Pharmacol 2011, 154: 353–359. 10.1016/j.cbpc.2011.07.003
Varo I, Amat F, Navarro JC: Acute toxicity of dichlorvos to Aphanius iberus (Cuvier & Valenciennes, 1846) and its anti-cholinesterase effects on this species. Aquat Toxicol 2008, 88: 53–61. 10.1016/j.aquatox.2008.03.004
Xu WN, Liu WB, Liu ZP: Trichlorfon-induced apoptosis in hepatocyte primary cultures of Carassius auratus gibelio . Chemosphere 2009, 77: 895–901. 10.1016/j.chemosphere.2009.08.043
Xuereb B, Chaumot A, Mons R, Garric J, Geffard O: Acetylcholinesterase activity in Gammarus fossarum (Crustacea Amphipoda): intrinsic variability, reference levels, and a reliable tool for field surveys. Aquat Toxicol 2009, 93: 225–233. 10.1016/j.aquatox.2009.05.006
Zakir HM, Sharmin S, Shikazono N: Heavy metal pollution assessment in water and sediments of Turag River at Tongi area in Bangladesh. Int J LakRiv 2006, 1: 85–96.
Acknowledgments
This work is funded by Bangladesh Agricultural University Research System (BAURES). The authors are indebted to Professor Dr. Mohammad Shamsuddin of the Department of Surgery and Obstetrics, Faculty of Veterinary Science, Bangladesh Agricultural University for facilitating Field Fertility Clinic Laboratory.
Author information
Authors and Affiliations
Corresponding author
Additional information
Competing interest
The authors have no competing interests.
Authors’ contributions
SFR participated in the design of the study, performed the statistical analysis, and drafted the manuscript. AHMMR has made substantial contributions to the concept and design, acquisition, and interpretation of data. MSH helped in the design of the study and in collection of data. ZH supervised the group to coordinate the research, revised the manuscript critically for important intellectual content, and had given the final approval of the version to be submitted. All authors read and approved the final manuscript.
Authors’ original submitted files for images
Below are the links to the authors’ original submitted files for images.
Rights and permissions
Open Access This article is distributed under the terms of the Creative Commons Attribution 2.0 International License ( https://creativecommons.org/licenses/by/2.0 ), which permits unrestricted use, distribution, and reproduction in any medium, provided the original work is properly cited.
About this article
Cite this article
Rakhi, S.F., Reza, A.H.M.M., Hossen, M.S. et al. Alterations in histopathological features and brain acetylcholinesterase activity in stinging catfish Heteropneustes fossilis exposed to polluted river water. Int Aquat Res 5, 7 (2013). https://doi.org/10.1186/2008-6970-5-7
Received:
Accepted:
Published:
DOI: https://doi.org/10.1186/2008-6970-5-7
Keywords
- Acetylcholinesterase activity
- Heteropneustes fossilis
- Histopathology
- River pollution




