Abstract
Brazil is becoming one of the main global producers of the shrimp Litopenaeus vannamei. Worldwide outbreaks of viral disease place this aquaculture industry at risk, causing episodic economical loss. The primary viruses for L. vannamei, particularly in northeastern Brazil, are the infectious hypodermal and hematopoietic necrosis virus (IHHNV) and the infectious myonecrosis virus (IMNV). After a period of unusual rainfall, we detected that farmed shrimp developing IMN or IHHN disease were co-infected with both viruses, and the disease outcome resulted from reciprocal IHHNV and IMNV proliferation. To comprehend how the key molecules of innate immunity respond to this double infection, the levels of HSP-70, crustin, penaeidin-3a, and C-type lectin-br1 were assessed by quantitative PCR. HSP-70 expression was expressively up-regulated by IHHNV infection in the gills of double-infected shrimp but not by IMNV infection; the other transcripts were not significantly altered. These findings implicate the HSP-70 as a differential modulator of viral co-infection in shrimp.
Background
Penaeid shrimp aquaculture is a crescent global industry that is valued in billions of US dollars but is affected episodically by bacterial and viral diseases that cause significant economical losses (Lightner and Redman 1998; Lightner 2003; Flegel 2006). In Brazil, two viruses are the primary causative agents of epizootic diseases of Litopenaeus vannamei farmed in the northeast of Brazil: infectious hypodermal and hematopoietic necrosis virus (IHHNV) and infectious myonecrosis virus (IMNV). IHHNV is a single-stranded DNA virus that, upon infection, causes symptoms such as shrimp deformities and growth retardation (Lightner et al. 1983). In contrast, IMNV is a non-enveloped, double-stranded RNA virus that causes severe muscle degeneration and high rates of mortality in affected shrimp (Lightner et al. 2004). In previous work, we reported the occurrence of the natural co-infection of L. vannamei (the Pacific whiteleg shrimp) with IHHNV and IMNV in Brazil (Teixeira-Lopes et al. 2011). In that report, we showed that the most positive samples of shrimp were simultaneously co-infected with both viruses, but the disease symptoms and outcome, as seen in the field, indicated that one type of virus might be predominating and impairing the replication of the other, often to the detriment of its own viral replication.
L. vannamei is a decapod that relies on molecules of the innate immune system to defend itself from microorganisms (Iwanaga and Lee 2005). Essentially, the innate invertebrate immune system is based on cellular and molecular components that, upon infection, recognize molecular patterns in the microbial membranes and contribute to the triggering of a cascade of events that culminate with the killing of pathogens. For example, C-type lectins, calcium-dependent proteins with one or more conserved carbohydrate recognition domains (CRDs), are known to act as pattern recognition receptors by binding to pathogen-associated molecular patterns and activating the innate host defense (Fujita et al. 2004). C-type lectins and C-type lectin-like domain-containing proteins have been identified in several species of crustaceans, including crabs (Kong et al. 2008) and shrimp (Luo et al. 2006; Liu et al. 2007; Costa et al. 2011), as well as in other invertebrates such as barnacles (Matsubara et al. 2007), cnidarians (Wood-Charlson and Weis 2009), and mollusks (Yamaura et al. 2008; Zhang et al. 2009). Other polypeptides that are conjunctly involved in innate defense in penaeid shrimp include members of the family of antimicrobial peptides and heat shock proteins. Crustins and penaeidins, for example, are two classes of antimicrobial peptides that are expressed in crustacean and shrimp tissues. Initially identified in the crab Carcinus maemas, crustins were collectively named carcinines (Schnapp et al. 1996). In L. vannamei and Litopenaeus setiferus, more than one isoform precursor has been found (Gross et al. 2001). Crustins are categorized into three types (I to III) according to their functions and the arrangement of their protein domains (Smith et al. 2008). In the epipodite, but not the hemocytes, of the penaeid shrimp Penaeus monodon, crustin-like molecules were observed to be up-regulated upon heat treatment and hyperosmotic salinity stress. This up-regulation revealed the crustin-like molecules' function as a stress mediator in addition to their in vitro antibacterial action against gram-positive bacteria (Vatanavicharn et al. 2009). The family of penaeidins also includes members with variable amino acid sequences and functions. Three families that show biological activity against filamentous fungi and bacteria have been characterized from the hemolymph of L. vannamei (Destoumieux et al. 1997). The expression pattern of penaeidins-2, -3, and −4 in the hemocytes of L. vannamei was studied by relative (qPCR) and was shown to fluctuate; penaeidin-3 was expressed 103-fold more than penaeidin-2 and penaeidin-4 were (O'Leary and Gross 2006). Another class of polypeptides that are recruited in response to an elicitor and are connected to the innate immune system of crustacean encompasses the heat shock proteins (HSPs). The HSPs are intrinsic chaperones that include polypeptides with molecular weights in the range of 16 to 100 kDa, which correspond to their family names (e.g., HSP21, HSP-60, HSP-70, and HSP-90), that are expressed by all cellular organisms in response to a stress (Roberts et al. 2010). In L. vannamei, the expression profiles of HSP60 and HSP-70 in response to bacterial infection and heat shock have been studied and reveal that both proteins are significantly up-regulated in the tissues of the gill, hepatopancreas, and hemocytes after shrimp exposure to bacteria, such as Staphylococcus aureus and Vibrio alginolyticus (Zhou et al. 2010).
Due to the biological roles that these families of molecules play in the innate immunity of most invertebrates, and particularly that of L. vannamei, they are adequate molecular markers to deeper investigate their pattern of expression in response to epizootics. In the field, farmed shrimp are subjected to several simultaneous stress stimuli such as changes in temperature, osmotic balance, feeding scheme, and bacterial and viral assaults. Consequently, the induction of gene expression, and ultimately the control or susceptibility of an infectious disease, is the result of an intricate balance of these biological and environmental factors. Moreover, because most experiments that involve expression profiling are conducted in the laboratory, under strict controlled conditions, we decided to investigate how representative members of the four classes of genes connected to the immune response (crustin, C-type lectin, HSP, and penaeidin) oscillate in farmed shrimp that are naturally infected with IMNV and IHHNV. We have demonstrated that the level of HSP-70 expression in co-infected farmed shrimp is up-regulated in response to IHHNV proliferation, but it seems unrelated to the IMNV particle number.
Methods
Shrimp samples
Sub-adult L. vannamei (average body weight 10.16 ± 4.19 g), growing at a density of 40 to 60 individuals per m2 in a temperature range from 26°C to 30°C, and a salinity of 10 to 40 ppt, were sampled from local shrimp farms (in the states of Ceará and Rio Grande do Norte) and classified as asymptomatic, IHHNV- or IMNV-infected shrimp based on the visual inspection of a gross signal of disease. IHHN-affected shrimp show growth retardation, which is characterized by high levels of energy consumption, and runt deformity syndrome, which is characterized by cuticular deformities and a bent rostrum (Kalagayan et al. 1991). Shrimp suffering from IMN disease show a loss of transparency and coloration around the tail, necrosis of the abdomen and cephalothorax, white foci in the muscle, progressive necrosis of the tail fan, and high rates of mortalities. The gill tissue from the individual samples was biopsied and immediately transferred to microtubes containing RNAlater solution (Ambion/Applied Biosystems, Austin, TX, USA) for the preservation of total RNA. The samples were maintained at 4°C until they were processed within 1 week following collection.
Total RNA preparation
Total RNA was extracted from minced gills (10 to 20 mg) using the SV Total RNA Isolation System (Promega, Madison, WI, USA), according to the manufacturer's protocol, which includes a step of DNaseI treatment. The quality and yield of total RNA were verified by assessing the integrity of 28S and 18S rRNA by formamide-based denaturing agarose gel electrophoresis (Masek et al. 2005) and by 260/280 nm ratio spectrophotometric assessment.
Complementary DNA synthesis
For complementary DNA (cDNA) synthesis, 1 μg of each DNase I-treated total RNA sample, mixed with 500 ng of random primers (Promega, Madison, WI, USA) in a final volume of 10 μl, was heated to 70°C for 10 min and then placed on ice. ImProm-II reverse transcriptase (Promega, Madison, WI USA) (100 U) was added together with 1 mM of each deoxynucleoside triphosphate, 2 mM MgSO4, 1 mM dithiothreitol, 20 U recombinant RNase inhibitor, and nuclease-free water to a final volume of 20 μl. The reverse transcription mixture was incubated at 42°C for 1 h and then at 70°C for 15 min. The cDNA was diluted tenfold with TE (10 mM Tris–HCl, pH 7.5, 1 mM ethylenediaminetetraacetic acid), and 2 μl aliquots were used for relative and quantitative real time PCR (qRT-PCR) experiments.
Absolute quantitative real time PCR
For the quantification of IHHNV and IMNV load in L. vannamei and to determine the expression profile of the innate immunity genes, the absolute and relative quantitative strategies were used. The genes encoding the non-structural proteins of IHHNV and of IMNV, as well as L. vannamei β-actin, crustin, C-type lectin, penaeidin-3a, and HSP-70 (Table 1), were cloned into pGEM T-easy (Promega, Madison, WI, USA), and serial tenfold dilutions of each gene were made to establish the quantitative PCR (qPCR) standard curves. The standard curve series were made in triplicate. The primers used for qRT-PCR assessment of the viral load and the expression profile analysis of innate defense gene transcripts are listed in Table 1.
The amplification of virus (IHHNV and IMNV) and of L. vannamei (β-actin, crustin, C-type lectin, penaeidin-3a, and HSP-70) cDNAs was carried out in the Rotor-Gene 3000 that was operated with its respective software, version 6.0.19 (Corbett Research, Mortlake, Australia). Each reaction, in a final reaction volume of 25 μl, consisted of 2.0 μl cDNA aliquots (approximately 10 ng of reverse transcribed mRNA), 200 nM of each gene specific sense and anti-sense primer, and 12.5 μl GoTaq qPCR Master Mix (Promega, Madison, WI, USA). The amplification conditions were as follows: 95°C for 30 s, 50°C for 30 s, and 72°C for 30 s, in 45 repetitions. Fluorescence was detected at 494 to 521 nm during the extension phase.
Data analysis of qRT-PCR
To calculate the copy number in the absolute qPCR experiments, the following equation was used (http://www.uri.edu/research/gsc/resources/cndna.html): Number of copies = [DNA amount (ng) * 6.022 × 1023 / [DNA length (nt) * 1 × 109 * 650]. The threshold and threshold cycle values were automatically determined by the Rotor Gene 6.0.19 software, using the default parameters. All measurements were obtained as the mean of at least nine measurements ± SEM (less than 5% error). The corresponding real-time PCR efficiencies (E) of the cycles in the exponential phase were calculated from the given slopes (k) in the Rotor Gene 6.0.19 software, according to the equation E = 10(−1/k) − 1. For normalization of the values of the viral load and the innate immunity gene expression, the mean copy number of β-actin transcripts in each sample, equivalent to 1 μg, was determined from at least ten independent experiments (n ≈ 30); the results of the viral infection and gene expression analysis were indicated as the logarithm of the copy number. Statistic analysis was conducted with the BioStat 5.0 software (Ayres et al. 2007). The linearity of the qPCR standard curve was expressed as the square of the Pearson correlation coefficient (R2); the positive correlation between the viral load and the gene expression level was expressed as the Pearson coefficient (r). Tests of significance were performed with a one-way ANOVA, Tukey test, and the significant difference was considered as P < 0.01.
Results
Natural co-infection in farmed L. vannamei shrimp with IHHNV and IMNV
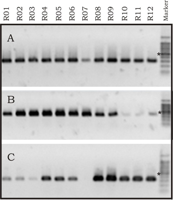
A total of 120 shrimp were inspected for a gross signal of viral disease and were classified as asymptomatic, IHHNV- or IMNV-infected, with a total of 50 (approximately 42%), 40 (approximately 33%), and 30 (25%) samples, respectively (Table 2). Through conventional PCR analysis, 98% of the asymptomatic samples scored positive for IHHNV when shrimp genomic DNA from gill was used as the template, and the recommended ‘Office International des Epizooties (OIE)’ oligonucleotides (77012F and 77353R, amplicon size 341 nt) were used as the primers in the diagnostic reactions. Shrimp samples suspected of IHNNV and IMNV infections were analyzed by reverse transcription coupled with PCR (RT-PCR) with shrimp gill cDNA as the template and oligonucleotides specific for viral genes as the primers (Table 1). RT-PCR analysis revealed that 50% of the samples suspected of IHHNV infection scored positive for IHHNV, 12.5% scored positive for IMNV, and 37.5% were shown to be positive for both IHHNV and IMNV. In case of samples suspected of IMNV infection, 10% scored positive for IHHNV, 6.7% scored positive for IMNV, and 75% scored positive for double-infection with IHHNV and IMNV (Table 2). Molecular diagnostic analysis also revealed qualitative differences in the ratios of viral load in co-infected shrimp samples (Figure 1). The quantitative differences in IHHNV and IMNV copy number were ascertained by qPCR and confirmed the relationship of the inverse proportionality in the viral loads (next section).
Qualitative diagnostic analysis of IHHNV and IMNV by reverse transcription coupled with PCR (RT-PCR). (A) The product of the amplification reaction of the penaeid β-actin gene that was used as internal control. (B) Representative samples that are positive for IHHNV, amplified from cDNA using the primer pair for IHHNV detection as described in Table 1. In (C), the same samples that are shown in (A) and (B); however, the samples were analyzed for IMNV infection using the primers MV4587F and MV4914R (Table 1). The lanes in each individual position, in all panels, correspond to the same sample. Marker = 1 bp DNA ladder. Asterisks denote 500 bp.
Reciprocal IHHNV and IMNV loads in co-infected shrimp
In the samples of farmed shrimp from Brazil, absolute quantitative real time PCR has shown the reciprocal presence of IHHNV and IMNV; when the number of IHHNV is higher, the number of IMNV is lower and vice-versa (Teixeira-Lopes et al. 2011). The proportionality or reciprocity in IHHNV and IMNV load is seen in Figure 2. The presence of other viruses (yellow head virus (YHV), Taura syndrome virus (TSV), and white spot syndrome virus (WSSV)) and bacteria (necrotizing hepatopancreatic bacteria and Vibrio sp.) was tested, according to OIE recommendations (2011), but was not detected, which confirmed the status of a double-infection with IHHNV and IMNV. In several cases, the ratio IHHNV/IMNV was seen to be approximately 1 when the viral load of both viruses was proportional, more than 1 when the IHHNV load was higher than the IMNV load, and less than 1 when the IHHNV load was inferior to the IMNV load.
Reciprocal quantitative differences in shrimp samples co-infected with IHHNV and IMNV. The logarithm of the mean copy number of IHHNV and IMNV co-infecting farmed L. vannamei. In each shrimp sample (n ≥ 6), actively transcribed genes from IHHNV and IMNV were quantified by absolute qPCR using cDNA as the template and specific primers as described in Table 1. The number of viral particles was then normalized in relation to the logarithm (Log10) of copy number of 1 μg of shrimp β-actin transcripts.
The up-regulation HSP-70 is mediated by IHHNV in double-infected L. vannamei
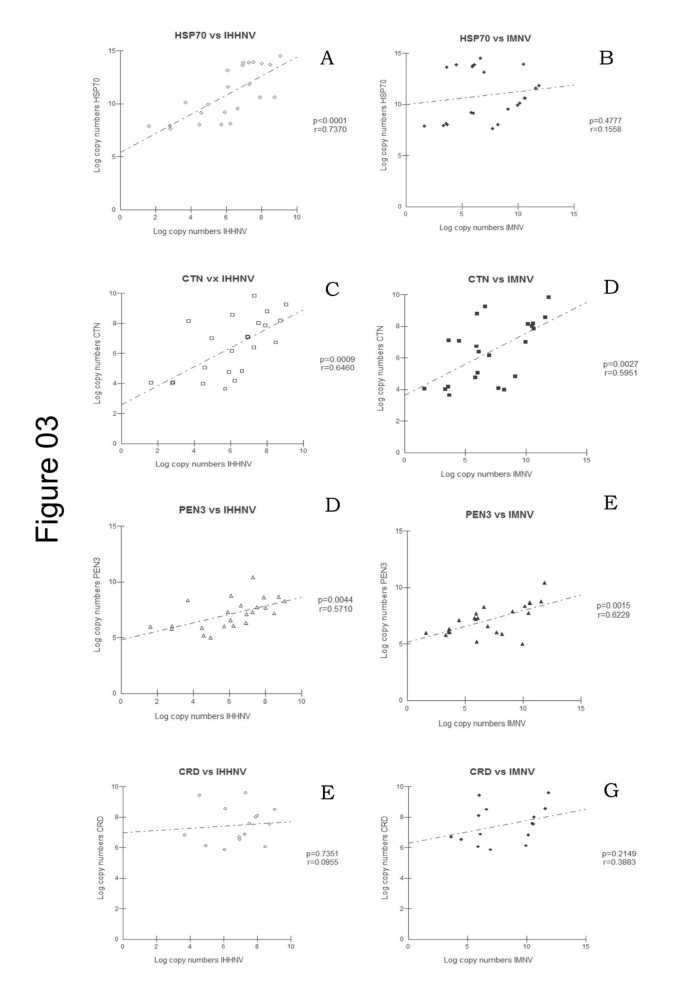
In the double-infected shrimp samples, the expression of HSP-70 in the gills is induced by 3 orders of magnitude when IHHNV is the predominant epizootic, which reveals a relatively strong positive correlation (p < 0.0001 and r = 0.7370) between the number of IHHNV particles and the increase in HSP-70 copy number (Figure 3A). In the case of IMNV, the relationship between the viral load and the expression of the HSP-70 gene was not relevant and is numerically corroborated by its respective statistical values of Pearson correlation and confidence (p = 0.4777, r = 0.1558) (Figure 3B). The induction of HSP-70 expression in relation to IHHNV infection was also observed in some shrimp samples in which IHHNV was the only infecting virus (Figure 4). In Figure 4, the lack of a relationship between the up-regulation of HSP-70 and the IMNV load is illustrated. The expression of crustin, C-type lectin (CTL-br1), and penaeidin-3a in natural double-infected farmed shrimp was concomitantly evaluated, but in shrimp gill, these genes were not strictly related to either the IHHNV or IMNV load, as seen in Figure 3C,D,E,F,G,H. The absence of a direct relationship between the induction of the tested innate immune genes (crustin, CTL-br1, and penaeidin-3a) mediated by IHHNV and IMNV alone or by both viruses together in chronically infected shrimp was therefore statistically determined (Figure 3C,D,E,F,G,H and Figure 4).
Linear correlations between shrimp virus copy number and selected genes from the innate immune system. (A) IHHNV vs. HSP-70; (B) IMNV vs. HSP-70; (C) IHHNV vs. crustin; (D) IMNV vs. crustin; (E) IHHNV vs. penaeidin-3a; (F) IMNV vs. penaeidin-3a; (G) IHHNV vs. C-type lectin (CTL)-br1; (H) IMNV vs. CTL-br1. Quantitative (q) PCR data were obtained and statistically analyzed as described in the ‘Methods’ section. The values of r and P are shown in the plots.
Comparative expression: innate immune genes of shrimp infected with a virus alone or simultaneously co-infected. Representative shrimp samples (n ≥ 9) that are positive only for IHHNV or IMNV, as well as positive for both viruses were confirmed by RT-PCR, and the viral load (log of copy number) was determined by absolute qPCR. The samples labeled ‘Positive’ are those in which the log copy number of viral particle is maximal for one type of virus and ‘zero’ for the another; ‘Predominance’ means that a kind of virus that predominates (in terms of copy number) in relation to the other for the same numerical factor; for example, in the sample labeled as ‘IHHNV predominance’ the difference between IHHNV and IMNV is 2.6, while in IMNV predominance, the difference between IMNV and IHHNV is 2.7. P < 0.01.
Discussion
In this study, we investigate the pattern of expression of four representative members of the polypeptide families that are related to the innate immune response of the Pacific whiteleg shrimp L. vannamei, in the standard natural condition of raring in farms located in the northeast of Brazil. Brazil is becoming one of the main global producers of this shrimp species, and approximately 98% of the national aquaculture industry is concentrated in the northeastern region of the country. This Brazilian region favors shrimp and fish aquaculture due to the particular climate, which is characterized by low temperature fluctuation and low rainfall throughout the year. Despite these excellent environmental conditions for shrimp farming, an anomalous period of excessive rain occurred in the interval from December 2009 to March 2010. Consequently, a virus outbreak began, likely as a consequence of reduced water salinity and osmotic shock that compromised the regional shrimp production in that period. The samples for molecular diagnostic analysis were collected in these circumstances and were inspected for known symptoms of viral and bacterial disease. Based on the distinct pathological signs seen in the shrimp infected with IHHNV and IMNV, the two prevalent viruses in Northeastern Brazil, the samples were classified as asymptomatic, IHHNV- or IMNV-suspected (Table 2). Conventional PCR-based analysis proved that 98% of asymptomatic shrimps were IHHNV carriers, although the gross signals of infection were not manifested when they were sampled. The presence of IMNV in asymptomatic shrimp was not tested in such samples because they were collected in a preservation solution for genomic DNA extraction, and IMNV is an RNA virus. Whether carried IHHNV was in its infective form or silently integrated in the shrimp genome, as previously reported (Tang and Lightner 2006; Teixeira et al. 2010), was not addressed in the present study. However, shrimp samples that were grouped and labeled as IHHNV- and IMNV-suspected were analyzed by RT-PCR to confirm the gross signals of chronic viral disease. Unexpectedly, a relatively high number of shrimp samples were co-infected with both viruses, and the disease outcome was the result of the predominance of one kind of virus that quantitatively proliferates to the detriment of the other (Figures 1 and 2). In fact, the prevalent co-infection of L. vannamei with IHHNV and other virus, like TSV, and even in association with two other viruses (TSV and WSSV), i.e., triple-virus infection, has been found among samples in distinct shrimp farms located in China (Tan et al. 2009). Therefore, IHHNV seems to be a constant co-infecting agent in shrimp that is capable of genome integration events and of being carried by asymptomatic individuals in all phases of shrimp development.
To understand the immune response of L. vannamei chronically co-infected with IHHNV and IMNV in the natural condition of farming, we chose to test four representative classes of polypeptides that are responsible for the first line of defense against pathogenic microorganisms. These molecular markers of the innate immune response include two classes of antimicrobial peptides (crustin and penaeidin), a C-type lectin and a heat shock protein (HSP-70). qPCR was used to evaluate the expression patterns of the transcripts that corresponded to the four polypeptides. The analysis was focused on the gill tissue because this shrimp organ is the first to accumulate pathogenic microorganisms (Burgents et al. 2005), and several studies have reported the differential gene expression related to environmental stress in the gill (Zhou et al. 2010; Wang et al. 2011).
As was observed by means of experimental results with samples that were environmentally exposed and thriving with IHHNV and IMNV co-infection (Figure 3A), the higher the number of IHHNV particles, the higher the level of HSP-70 expression in the shrimp gill, and values reached at least 3 orders of magnitude in comparison with estimates from the basal level of HSP-70 copy number. On the contrary, the proliferation of IMNV in co-infect shrimp neither caused such a proportional increase in the HSP-70 level as that which was observed for IHHNV nor caused a down-regulation of this gene, as statistically tested (Figure 3B). The validation of such an observation is also applicable for samples in which IHHNV or IMNV is the single infecting virus (see Figure 4).
The expression levels of crustin, penaeidin and C-type lectin was assessed in the condition of reciprocal viral co-infection. However, the relationship between IHHNV/IMNV reciprocal co-infection and crustin or penaeidin expression was not observed, which showed a weak positive correlation (Figure 3C,D,E,F,G,H). Crustin and penaeidin, which are primarily produced in high level in hemocytes, were shown to be expressed differently in several shrimp tissues, including the gill. Crustin and penaeidin act mainly as antimicrobial agents against bacteria and fungi (Tassanakajon et al. 2011), despite of the reported data about their role as anti-virals (Amparyup et al. 2008).
The recently cloned CTL-br1 cDNA was evaluated for the purpose of establishing a relationship between its expression in response to the simultaneous presence of IHHNV and IMNV in sub-adult farmed shrimps. Despite some level of induction detected in the gill of sub-chronic IHHNV-infected shrimps (Costa et al. 2011), a correlation was observed in the same tissue of L. vannamei co-infected with both IHHNV and IMNV. In fact, homologous C-type lectin gene products were observed to fluctuate positively in L. vannamei hemocytes in the first 48 h of WSSV infection, which showed a direct anti-viral activity that is displayed by this kind of molecule (Zhao et al. 2009).
To certify that the oscillation in gene expression is virus-specific and not a generalized response, a number of samples were evaluated for the ratio between IHHNV and IMNV copy number and the pattern of expression (Figure 4). When IHHNV is the only virus or when its number predominates in co-infected samples by a difference of twofold, the same pattern of expression for HSP-70 and a positive relationship are observed. Again, no significant relationship was seen when IHHNV is predominant in respect to IHHNV and IMNV co-infected shrimp, although there was a slight increase in samples with the presence of IHHNV alone. The same analysis conducted for IMNV revealed that when IMNV predominates in IHHNV/IMNV double-infected shrimps, or when IMNV is the only infective virus, the level of HSP-70 is still inferior by 3 orders of magnitude when compared to IHHNV in the same circumstances. However, as seen in a number of samples, the levels of crustin, penaeidin, and CTL-br1 are preferentially increased in the shrimp gill when IMNV is present alone. For now, we are unable to speculate this differential pattern of expression, but we can conclude, based on the present data, that the triggering of the innate immune genes by IHHNV and IMNV seemed to be virus-specific and does not overlap even in a double-infected host. The up-regulation of HSP-70 IHHNV might confer a certain degree of immunity in shrimp through activation of the toll-like receptor transduction pathway (Tsan and Gao 2004). Thus, HSP-70 may display a dual role: it exerts immune activation as danger signals, mediates protection against infectious diseases, or exhibits regulatory activities in controlling and preventing disease (Multhoff 2006). In fact, shrimp exposed to sub-lethal doses of virus induce a status of ‘pseudo-vaccination’ of the host, improving the resistance and survival of Parribacus japonicus to high infective doses of WSSV (Wu et al. 2002). However, as observed through our data, with excessive increases of HSP-70 expression, damage to the shrimp tissues may occur, due to pro-inflammatory cytokines that are normally produced, which would facilitate IMNV proliferation. In fact, this explanation is plausible because shrimp carrying IHHNV, or in which the number of IHHNV particles is predominant, develop IHHN disease, but not IMN disease. In contrast, shrimp that develop IMN disease are most likely to be co-infected with both IHHNV and IMNV (Table 2).
In summary, to our knowledge, the present study is the first to correlate the up-regulation of the HSP-70 gene mediated by a virus in naturally double-infected farmed shrimp host. The modulation of HSP expression has implications in the activation of the innate immunity response and may serve as a mean of inducing pseudo-vaccination. However, in double-infected shrimp, the triggered induction of HSP-70 that would contribute to counteract a pathogen assault seems to open a window of immune-modulator imbalance that might be deleterious to the host due to the presence of an opportunistic co-infecting virus. Obviously, more comprehensive studies are required to elucidate the molecular mechanisms that switch on and off in the operation of reciprocal viral proliferation in shrimp, as well as their roles in the molecular arsenal of the host defenses that are necessary to maintain homeostasis. In fact, to better understand the inductive expression of HSP-70 response to IHHNV in white shrimp (L. vannamei) infected with predominant IMNV or only IMNV, we are conducting quantitative expression analysis with samples of shrimps infected in the laboratory under controlled conditions.
Conclusion
The innate immune response comprises a complex of several player molecules that assist the host to neutralize infectious assaults by different microbes. Like other organisms, shrimps also rely their defense on the innate immune components to annihilate bacterial and viral infection. As observed in the present study, in naturally co-infected farmed shrimp, IHHNV triggers the expression of HSP-70, a molecule that might serve to counteract viral infection. Paradoxically, the increase of HSP-70 expression in response to the IHHNV loads seems to facilitate the propagation of IMN virus. In conclusion, we present experimental evidence to show that in farmed shrimps that are environmentally exposed to viral double-infection, a disease outcome might be partially linked to differential fluctuations in HSP-70 expression in the entry port, the shrimp gill.
Authors’ information
PRNVG attained her BS (2009) in Fish Engineering from Federal University of Ceara. She is undertaking her MSc in Tropical Marine Sciences from the Institute of Marine Sciences, Federal University of Ceara. ÍRCBR gained his BS (1999) and MSc (2003) in Fish Engineering both from the Federal University of Ceara. He is a member of the Association of Shrimp Farmers of Ceara State, Fortaleza, Brazil. FHFC obtained his BS (1992) in Fish Engineering from Federal University of Ceara. He received his MSc (1995) and PhD in Biochemistry (2009) in the same university. Today, FHFC is an associate professor in the Department of Fish Engineering in Federal University of Ceara. GRB attained his BS (1993) in Pharmacy and Biochemistry from the University of São Paulo. He received his MSc in Technology of Fermentation in 1996 and his PhD in Life Sciences (Biochemistry) in 2002, both from the University of São Paulo. Presently, he is an associate professor in the Institute of Marine Sciences, Federal University of Ceara. GRB is a member of the Scientific Committee of CNPq.
Abbreviations
- IHHNV:
-
infectious hypodermal and hematopoietic necrosis virus
- IMNV:
-
infectious myonecrosis virus
- CRDs:
-
carbohydrate recognition domains
- HSPs:
-
heat shock proteins
- qPCR:
-
quantitative real time PCR
- RT-PCR:
-
reverse transcriptase coupled with PCR
- TSV:
-
Taura syndrome virus
- WSSV:
-
white spot syndrome virus
- OIE:
-
Office International des Epizooties
- cDNA:
-
complementary DNA.
References
Amparyup P, Donpudsa S, Tassanakajon A: Shrimp single WAP domain (SWD)-containing protein exhibits proteinase inhibitory and antimicrobial activities. Dev Comp Immunol 2008, 32: 1497–1509. 10.1016/j.dci.2008.06.005
Ayres M, Ayres M Jr, Ayres DL, Santos AAS: BioEstat: aplicações estatísticas nas áreas das ciências biológicas e médicas. MCT-CNPq, Belém, Brazil, Sociedade Civil Mamirauá; 2007.
Burgents JE, Burnett LE, Stabb EV, Burnett KG: Localization and bacteriostasis of Vibrio introduced into the Pacific white shrimp, Litopenaeus vannamei. Dev Comp Immunol 2005, 29: 681–691. 10.1016/j.dci.2005.01.004
Costa FH, Valença NS, Silva AR, Bezerra GA, Cavada BS, Rádis-Baptista G: Cloning and molecular modeling of Litopenaeus vannamei (Penaeidae) C-type lectin homologs with mutated mannose binding domain-2. Genet Mol Res 2011, 10: 650–664. 10.4238/vol10-2gmr999
Destoumieux D, Bulet P, Loew D, Van Dorsselaer A, Rodriguez J, Bachère E: Penaeidins, a new family of antimicrobial peptides isolated from the shrimp Penaeus vannamei (Decapoda). J Biol Chem 1997, 272: 28398–28406. 10.1074/jbc.272.45.28398
Flegel TW: Detection of major penaeid shrimp viruses in Asia, a historical perspective with emphasis on Thailand. Aquaculture 2006, 258: 1–33. 10.1016/j.aquaculture.2006.05.013
Fujita T, Matsushita M, Endo Y: The lectin-complement pathway–its role in innate immunity and evolution. Immunol Rev 2004, 198: 185–202. 10.1111/j.0105-2896.2004.0123.x
Gross PS, Bartlett TC, Browdy CL, Chapman RW, Warr GW: Immune gene discovery by expressed sequence tag analysis of hemocytes and hepatopancreas in the Pacific white shrimp, Litopenaeus vannamei, and the Atlantic white shrimp, L. setiferus. Dev Comp Immunol 2001, 25: 565–577. 10.1016/S0145-305X(01)00018-0
Iwanaga S, Lee BL: Recent advances in the innate immunity of invertebrate animals. J Bioch Mol Biol 2005, 38: 128–150. 10.5483/BMBRep.2005.38.2.128
Kalagayan G, Godin D, Kanna R, Hagino G, Sweeney J, Wyban J, Brock J: IHHN virus as an etiological factor in runt-deformity syndrome of juvenile Penaeus vannamei cultured in Hawaii. J World Aquac Soc 1991, 22: 235–243. 10.1111/j.1749-7345.1991.tb00740.x
Kong HJ, Park EM, Nam BH, Kim YO, Kim WJ, Park HJ, Lee CH, Lee SJ: A C-type lectin like-domain (CTLD)-containing protein (PtLP) from the swimming crab Portunus trituberculatus. Fish Shellfish Immunol 2008, 25: 311–314. 10.1016/j.fsi.2008.05.003
Lightner DV, Pantoja CR, Poulos BT, Tang KFJ, Redman RM, Pasos de Andrade T, Bonami JR: Infectious myonecrosis: new disease in Pacific white shrimp. Glob Aquac Advocate 2004, 7: 85.
Lightner DV, Redman RM, Bell TA: Infectious hypodermal and hematopoietic necrosis, a newly recognized virus disease of penaeid shrimp. J Invertebr Pathol 1983, 42: 62–70. 10.1016/0022-2011(83)90202-1
Lightner DV, Redman RM: Strategies for the control of viral diseases of shrimp in the Americas. Fish Pathol 1998, 33: 165–180. 10.3147/jsfp.33.165
Lightner DV: Exclusion of specific pathogens for disease prevention in a penaeid shrimp biosecurity program. In Biosecurity in aquaculture production systems: exclusion of pathogens and other undesirables. Edited by: Lee CS, O'Bryen PJ. The World Aquaculture Society, Baton Rouge; 2003.
Liu YC, Li FH, Dong B, Wang B, Luan W, Zhang XJ, Zhang LS, Xiang JH: Molecular cloning, characterization and expression analysis of a putative C-type lectin (Fclectin) gene in Chinese shrimp Fenneropenaeus chinensis. Mol Immunol 2007, 44: 598–607. 10.1016/j.molimm.2006.01.015
Luo T, Yang H, Li F, Zhang X, Xu X: Purification, characterization and cDNA cloning of a novel lipopolysaccharide-binding lectin from the shrimp Penaeus monodon. Dev Comp Immunol 2006, 30: 607–617. 10.1016/j.dci.2005.10.004
Masek T, Vopalensky V, Suchomelova P, Pospisek M: Denaturing RNA electrophoresis in TAE agarose gels. Anal Biochem 2005, 336: 46–50. 10.1016/j.ab.2004.09.010
Matsubara H, Nakamura-Tsuruta S, Hirabayashi J, Jimbo M, Kamiya H, Ogawa T, Muramoto K: Diverse sugar-binding specificities of marine invertebrate C-type lectins. Biosci Biotechnol Biochem 2007, 71: 513–519. 10.1271/bbb.60543
Multhoff G: Heat shock proteins in immunity. Handb Exp Pharmacol 2006, 172: 279–304. 10.1007/3-540-29717-0_12
Office international des épizooties (OIE): Manual of diagnostic tests for aquatic animals. 6th edition. OIE Aquatic Animal Health Standards Commission, Paris; 2011.
O'Leary NA, Gross PS: Genomic structure and transcriptional regulation of the penaeidin gene family from Litopenaeus vannamei. Gene 2006, 371: 75–83. 10.1016/j.gene.2005.11.028
Roberts RJ, Agius C, Saliba C, Bossier P, Sung YY: Heat shock proteins (chaperones) in fish and shellfish and their potential role in relation to fish health: a review. J Fish Diseases 2010, 33: 789–801. 10.1111/j.1365-2761.2010.01183.x
Schnapp D, Kemp GD, Smith VJ: Purification and characterization of a proline-rich antibacterial peptide, with sequence similarity to bactenecin-7, from the haemocytes of the shore crab, Carcinus maenas. Eur J Biochem 1996, 240: 532–539. 10.1111/j.1432-1033.1996.0532h.x
Smith VJ, Fernandes JM, Kemp GD, Hauton C: Crustins: enigmatic WAP domain-containing antibacterial proteins from crustaceans. Dev Comp Immunol 2008, 32: 758–772. 10.1016/j.dci.2007.12.002
Tan Y, Xing Y, Zhang H, Feng Y, Zhou Y, Shi ZL: Molecular detection of three shrimp viruses and genetic variation of white spot syndrome virus in Hainan Province, China, in 2007. J Fish Diseases 2009, 32: 777–784. 10.1111/j.1365-2761.2009.01055.x
Tang KF, Lightner DV: Infectious hypodermal and hematopoietic necrosis virus (IHHNV)-related sequences in the genome of the black tiger prawn Penaeus monodon from Africa and Australia. Virus Res 2006, 118: 185–191. 10.1016/j.virusres.2006.01.003
Tassanakajon A, Amparyup P, Somboonwiwat K, Supungul P: Cationic antimicrobial peptides in penaeid shrimp. Mar Biotechnol 2011, 13: 639–657. 10.1007/s10126-011-9381-8
Teixeira MA, Cruz JEF, Vieira PRN, Branco IRC, Costa FHF, Rádis-Baptista G: Differential diagnosis of active hypodermal and hematopoietic necrosis virus based on gene choice and reverse transcription coupled with PCR. Genet Mol Res 2010, 9: 2025–2031. 10.4238/vol9-4gmr917
Teixeira-Lopes MA, Vieira-Girão PRN, Freire JEC, Rocha IRCB, Costa FHF, Rádis-Baptista G: Natural co-infection with infectious hypodermal and hematopoietic necrosis virus (IHHNV) and infectious myonecrosis virus (IMNV) in Litopenaeus vannamei in Brazil. Aquaculture 2011, 312: 212–216. 10.1016/j.aquaculture.2011.01.005
Tsan MF, Gao B: Cytokine function of heat shock proteins. Am J Physiol Cell Physiol 2004, 286: 739–744. 10.1152/ajpcell.00364.2003
Vatanavicharn T, Supungul P, Puanglarp N, Yingvilasprasert W, Tassanakajon A: Genomic structure, expression pattern and functional characterization of crustinPm5, a unique isoform of crustin from Penaeus monodon. Comp Biochem Physiol B Biochem Mol Biol 2009, 153: 244–252. 10.1016/j.cbpb.2009.03.004
Wang PH, Wan DH, Gu ZH, Deng XX, Weng SP, Yu XQ, He JG: Litopenaeus vannamei tumor necrosis factor receptor-associated factor 6 (TRAF6) responds to Vibrio alginolyticus and white spot syndrome virus (WSSV) infection and activates antimicrobial peptide genes. Dev Comp Immunol 2011, 35: 105–114. 10.1016/j.dci.2010.08.013
Wood-Charlson EM, Weis VM: The diversity of C-type lectins in the genome of a basal metazoan, Nematostella vectensis. Dev Comp Immunol 2009, 33: 881–889. 10.1016/j.dci.2009.01.008
Wu JL, Nishioka T, Mori K, Nishizawa T, Muroga K: A time-course study on the resistance of Penaeus japonicus induced by artificial infection with white spot syndrome virus. Fish Shellfish Immunol 2002, 13: 391–403. 10.1006/fsim.2002.0414
Yamaura K, Takahashi KG, Suzuki T: Identification and tissue expression analysis of C-type lectin and galectin in the Pacific oyster, Crassostrea gigas. Comp Biochem Physiol B Biochem Mol Biol 2008, 149: 168–175. 10.1016/j.cbpb.2007.09.004
Zhang H, Wang H, Wang L, Song X, Zhao J, Qiu L, Li L, Cong M, Song L: A novel C-type lectin (Cflec-3) from Chlamys farreri with three carbohydrate-recognition domains. Fish Shellfish Immunol 2009, 26: 707–715. 10.1016/j.fsi.2009.02.017
Zhao ZY, Yin ZX, Xu XP, Weng SP, Rao XY, Dai ZX, Luo YW, Yang G, Li ZS, Guan HJ, Li SD, Chan SM, Yu XQ, He JG: A novel C-type lectin from the shrimp Litopenaeus vannamei possesses anti-white spot syndrome virus activity. J Virol 2009, 83: 347–356. 10.1128/JVI.00707-08
Zhou J, Wang WN, He WY, Zheng Y, Wang L, Xin Y, Liu Y, Wang AL: Expression of HSP60 and HSP70 in white shrimp, Litopenaeus vannamei in response to bacterial challenge. J Invertebr Pathol 2010, 103: 170–178. 10.1016/j.jip.2009.12.006
Acknowledgments
We are grateful to The National Brazilian Council for the Scientific and Technological Development (CNPq) and to The Ministry of Science and Technology for the financial support. This research is part of the public actions from the National Program for the Defense of Animal Health, The Ministry of Agriculture and Food Supply (MAPA; grant no.: 578460/2008-4). PRNVG is supported by a fellowship from Brazilian Federal Agency for Support and Evaluation of Graduate Education (CAPES). The authors are also thankful to the referees for their priceless comments and suggestions.
Author information
Authors and Affiliations
Corresponding author
Additional information
Competing interests
The authors declare that they have no competing interests.
Authors’ contributions
FHFC and GRB participated in the research design. PRNVG and GRB conducted the experiments. ÍRCBR and FHFC collected and diagnosed the gross signals of viral infection in shrimp samples from farms. PRNVG and GRB performed the data analysis. PRNVG, FHFC, and GRB wrote or contributed to the writing of the manuscript. All authors read and approved the final manuscript.
Authors’ original submitted files for images
Below are the links to the authors’ original submitted files for images.
Rights and permissions
Open Access This article is distributed under the terms of the Creative Commons Attribution 2.0 International License ( https://creativecommons.org/licenses/by/2.0 ), which permits unrestricted use, distribution, and reproduction in any medium, provided the original work is properly cited.
About this article
Cite this article
Vieira-Girão, P.R.N., Rocha, Í.R.C.B., Costa, F.H.F. et al. Differential induction of HSP-70 expression in response to IHHNV in white shrimp Litopenaeus vannamei naturally co-infected with IHHNV and IMNV. Int Aquat Res 4, 17 (2012). https://doi.org/10.1186/2008-6970-4-17
Received:
Accepted:
Published:
DOI: https://doi.org/10.1186/2008-6970-4-17
Keywords
- Shrimp virus
- IHHNV
- IMNV
- Natural co-infection
- qPCR
- Innate immunity gene



