Abstract
In the previously studied export quality shrimp samples, presence of a range of pathogenic bacteria including Listeria spp. and Klebsiella spp. were detected. The presence of eae gene in Escherichia coli, aero specific gene in Aeromonas spp., and sodB gene in Vibrio spp. were observed which might confer the associated virulence. Present study further attempted to detect the existence of virulent genes in Listeria spp. and Klebsiella isolates from the same shrimp samples through the gene specific polymerase chain reaction (PCR). Visualization of bands of iap (457 bp) and gyrB2 (711 bp) genes after PCR amplification referred the presence of virulence strains of Listeria spp. and Klebsiella spp., respectively in the export quality shrimp samples. Together with the previous findings of virulence genes of several pathogenic bacteria, the outcomes of current study further conferred the possible detrimental impact of the export quality frozen shrimps as and when consumed.
Findings
Although the export quality frozen shrimps cover the prime economic importance in Bangladesh, they are not unlikely to be microbiologically contaminated resulting in various food-borne disease outbreaks (Rahman et al. 2012; Noor et al. 2013; Hassan et al. 2013; Ahmed et al. 2013; World Health Organization 2008, 2013). Inappropriate conditions of transport, handling and processing may impart such problem associated with quality of shrimps (Noor et al. 2013; Hassan et al. 2013; Ahmed et al. 2013; Sultana et al. 2014; Ghalis et al. 2010; Rahman et al. 2012). Besides, the subsistence of virulent genes could be of clinical importance contributing to the pathogenesis of the contaminating bacteria (Hotopp 2011; Amin and Salem 2012; Yuan et al. 2013; Postollec et al. 2011; Nakamura et al. 2013).
Listeria monocytogenes is known to be an opportunistic foodborne pathogenic bacterium generally triggering listeriosis, and also may lead to the onset of meningitis, sepsis, etc. (Painter and Slutsker 2007; Scallan et al. 2011). Among several food borne complications like diarrhoea, cholera, salmonellosis, etc., commencement of listeriosis also emerged as a major food borne health threat round the globe (Ross 2014). L. monocytogenes have been vastly reported to contaminate raw and undercooked meats, raw vegetables and fruits, unpasteurized milk, soft cheeses, etc. (Senjuti et al. 2014; Tahera et al. 2014; Marjan et al. 2014; Sarker et al. 2013). The iap gene of L. monocytogenes has been reported to be essential for maintaining the cell viability (Krawczyk-Balska et al. 2005).
Besides Listeria spp., bacteria belonging to the genus Klebsiella are well known for the onset of common food borne diseases (Abdaslam et al. 2014). Seafoods have been found earlier to be contaminated by Klebsiella spp. at the processing stages, possibly due to the poor handling and hygiene maintenance (Hamdan et al. 2008). DNA gyrase in Klebsiella spp., encoded by gyrB2 gene, is a prokaryotic type II topoisomerase which is required for DNA replication as well as to maintain the cell viability (Nitiss 2009; Gore et al. 2006).
The molecular techniques have been proven to be promising in the disease diagnosis and estimating the prophylaxis in recent years for the purpose of detection of pathogens as well as the associated virulent genes (Liu et al. 2008). The polymerase chain reaction (PCR) has been reported to be the most useful and cost effective tool (Noor et al. 2014; Liu et al. 2008; Yu et al. 2007). In Bangladesh, the molecular aspect of pathogenic diagnosis of the export quality shrimps still remains scarce (Noor et al. 2014). In our recent study, the gene specific PCR method revealed the presence of eae gene in E. coli, aero specific gene in Aeromonas, sodB gene in Vibrio spp. (Noor et al. 2014). Besides, as stated earlier, some other genes from Listeria spp. and Klebsiella spp. could also be important for imparting the virulence of the respective bacteria as isolated in our previous study (Noor et al. 2014; Nawaz et al. 2012). Based on this rationale, current investigation further intended to detect the presence of virulent genes in the pathogenic isolates of Listeria spp. and Klebsiella spp.
Methods
As has been stated in our recent study (Noor et al. 2014), a total of 30 export quality frozen shrimp samples were collected and was processed for conducting the associated microbiological load estimation including Listeria spp. and Klebsiella spp. (Noor et al. 2014). To meet the objective of the current study, the genomic DNA from each of the two bacterial isolates was extracted through the modified boiling method and used for specific gene amplification (Noor et al. 2014). The primers used for iap gene (457 bp) in Listeria isolates were 5′-ATGTCATGGAATAA-3′ and 3′-GCTTTTCCAAGGTGTTTTT-5′; and for the amplification of gyrB2 gene (711 bp) within Klebsiella isolates, 5′-TCCGGCGGTCTGCACGGCGT-3′ and 3′-TTGTCCGGGTTGTACTCGTC-5′ (Liu et al. 2008; Yu et al. 2007). Amplification of lap gene through PCR was conducted employing the initial denaturation at 94 °C for 1 min followed by further denaturation at 92 °C for 1 min, primer annealing at 60 °C for 1 min and extension at 72 °C for 1 min, and a final extension at 72 °C for 10 min. Thirty (30) PCR cycles were executed in preface experiment within the exponential phase of amplification. Subsequently, amplification of gyrB2 was done with an initial denaturation at 94 °C for 4 min followed by the denaturation step at 94 °C for 1 min, primer annealing at 62 °C for 1–2 min and extension at 72 °C for 90 s followed by a terminating extension step at 72 °C for 10 min. PCR products were resolved through 1.2 % gel electrophoresis, stained with ethidium bromide, and visualized by UV trans-illuminator (Gel Doc, Bio-Rad Laboratories, In., USA).
Results and discussion
Although fish has been known to serve as the major nutrient supplements for human and other animals, the associated microbial spoilage of fish during the harvesting, handling, transportation, storage, and unhygienic maintenance is too common to affect the global food safety as well as the economy (Noor et al. 2013; Acharjee et al. 2014). Considering the popularity for fish consumption together with the business perspectives, it is worth to control the microbiological quality of the fish to ensure the public health safety.
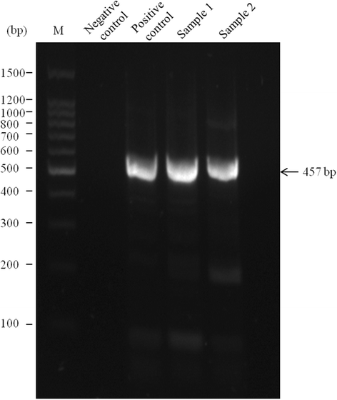
The bacterial bio-burden of Listeria spp. and Klebsiella spp. in the export quality frozen shrimp samples have already been stated in our recent study (Noor et al. 2014). In the present study, the gene specific PCR study revealed the presence of Listeria specific gene iap (encoding the invasion associated protein p60) in the tested Listeria isolates (as shown for two samples in Fig. 1). The isolates of Klebsiella spp. exhibited the presence of gyrB2 gene encoding DNA gyrase βΙΙ subunit (Fig. 2).
Our earlier microbiological and molecular studies on the export quality shrimps demonstrated a huge microbial contamination, possibly due to the lack of hygienic maintenance during the finished product processing and inappropriate storage (Rahman et al. 2012; Hassan et al. 2013; Ahmed et al. 2013; Sultana et al. 2014; Noor et al. 2014). The tested bacterial isolates were found almost to be drug-resistant (Noor et al. 2014). Also, our investigation on the propagation of the virulent genes (presence of eae, sodB and aero specific genes) within the export quality shrimps demonstrated the molecular basis of shrimp related fatality upon consumption (Noor et al. 2014). According to present study, export quality shrimps have been found to harbor the additional virulent genes in Listeria spp. and Klebsiella spp. which further added the new molecular insight into the current knowledge on the shrimp quality.
Considering the food safety as well as the public health significance, molecular study of the virulence traits of fish borne pathogens besides the pathogenic load is of significance in light of the knowledge on the harmful gene propagation among the fish. Besides bacterial burden, the successful detection of the virulent genes in fish may further forecast on the possible remedies with accuracy. Together with our recent findings (Noor et al. 2014), the results of the current study further revealed the existence of the virulent genes in the export quality shrimps contaminated with Listeria and Klebsiella isolates, thereby establishing the necessity of the routine molecular diagnosis for the sake of precise regulation of the microbiological quality of fish.
Author’s contribution
This work was carried out in collaboration between all authors. Author RN managed literature searches during preparation of the manuscript draft, analyzed the data, revised and approved the final manuscript. Author MFH conducted the experiments. Author MSM initially drafted the manuscript. Author MMR designed the study and supervised the related experiments.
References
Abdaslam SA, Hassan MA, Kaheel HH, Abobaker TM, Alnourain TA, Hamdan HA, Shankar SG, Thambirajah JJ (2014) Isolation of Escherichia coli O157 and other food borne pathogens from meat products and their susceptibility to different antimicrobial agents. Curr Microbiol Biotechnol 2(3):391–397
Acharjee M, Ahmed E, Munshi SK, Noor R (2014) Validation of γ-irradiation in controlling microorganisms in fish. Nutr Food Sci 44(3):258–266
Ahmed T, Baidya S, Sharma BC, Malek M, Das KK, Acharjee M, Munshi SK, Noor R (2013) Identification of drug-resistant bacteria among export quality shrimp samples in Bangladesh. Asian J Microbiol Biotechnol Env Sci 15:31–36
Amin RA, Salem AM (2012) Specific detection of pathogenic Vibrio species in shellfish by using multiplex polymerase chain reaction. Global Vet 8:525–531
Ghalis AE, Dave D, Budge S, Brooks MS (2010) Fish spoilage mechanisms and preservation techniques: review. Am J Appl Sci 7:859–877
Gore J, Bryant Z, Stone MD, Nollmann M, Cozzarelli NR, Bustamante C (2006) Mechanochemical analysis of DNA gyrase using rotor bead tracking. Nature 5(439):100–110
Hamdan RR, Musa N, Nadirah Musa N, Wei LS, Sarman A (2008) Isolation and enumeration of coliform bacteria and Salmonella spp. from short necked clam orbicularia orbiculata at East Coast. Malaysia. Int J Food Safety 10:58–64
Hassan MR, Acharjee M, Das E, Das KK, Ahmed T, Akond MA, Fatema KK, Noor R (2013) Microbiological study of sea fish samples collected from local markets in Dhaka city. Int Food Res J 20:1491–1495
Hotopp JCD (2011) Horizontal gene transfer between bacteria and animals. Trends Genet 27:157–163
Krawczyk-Balska A, Markiewicz Z, Bielecki J (2005) Listeria monocytogenes protein p60 affects hemolytic activity and uptake of bacteria by macrophages. Folia Microbiol 50(6):515–518
Liu Y, Liu C, Zheng W, Zhang X, Yu J, Gao Q (2008) PCR detection of Klebsiella pneumoniae in infant formula based on 16S-23S internal transcribed spacer. Intl J Food Microbiol 125(3):230–235
Marjan S, Das KK, Munshi SK, Noor R (2014) Drug-resistant bacterial pathogens in milk and some milk products. Nutr Food Sci 44(3):241–248
Nakamura Y, Takano T, Yasuike M, Sakai T, Matsuyama T, Sano M (2013) Comparative genomics reveals that a fish pathogenic bacterium Edwardsiella tarda has acquired the locus of enterocyte effacement (LEE) through horizontal gene transfer. BMC Genom 14:642
Nawaz M, Khan SA, Tran Q, Sung K, Khan AA, Adamu I, Steele RS (2012) Isolation and characterization of multidrug-resistant Klebsiella spp. isolated from shrimp imported from Thailand. Int J Food Microbiol 155(3):179–184
Nitiss JL (2009) DNA topoisomerase II and its growing repertoire of biological functions. Nature 16:1–6
Noor R, Acharjee M, Ahmed T, Das KK, Paul L, Munshi SK, Urmi NJ, Rahman F, Alam MJ (2013) Microbiological analysis of major sea fish collected from local markets in Dhaka city, Bangladesh. J Microbiol Biotechnol Food Sci 2:2420–2430
Noor R, Faqrul MH, Rahman MM (2014) Molecular characterization of the virulent microorganisms along with their drug-resistance traits associated with the export quality frozen shrimps in Bangladesh. Springer Plus 3:469
Painter J, Slutsker L (2007) Listeriosis in humans. In: Ryser ET, Marth EH (eds) Listeria, listeriosis and food safety, 3rd edn. Boca Raton, Florida, Taylor and Francis Group, pp 85–110
Postollec F, Falentin H, Pavan S, Combrisson J, Sohier D (2011) Recent advances in quantitative PCR (qPCR) applications in food microbiology. Food Microbiol 28:848–861
Rahman MM, Rahman F, Afroze F, Yesmin F, Fatema KK, Das KK, Noor R (2012) Prevalence of pathogenic bacteria in shrimp samples collected from hatchery, local markets and the shrimp processing plant for export quality frozen shrimps. Bangladesh J Microbiol 29:7–10
Ross T (2014) Risk analysis: risk assessment: microbiological hazards. Encycl Food Saf 1:80–92
Sarker N, Islam S, Hasan M, Kabir F, Uddin MA, Noor R (2013) Use of multiplex PCR assay for detection of diarrheagenic Escherichia coli in street vended food items. Am J Life Sci 1(6):267–272
Scallan E, Hoekstra RM, Angulo FJ, Tauxe RV, Widdowson MA, Roy SL, Jones JL, Griffin PM (2011) Foodborne illness acquired in the United States–major pathogens. Emerg Infect Dis 17(1):7–15
Senjuti JD, Feroz F, Tahera J, Das KK, Noor R (2014) Assessment of microbiological contamination and the in vitro demonstration of the anti-bacterial traits of the commonly available local fruit blend within Dhaka Metropolis. J Pharmacogn Phytochem 3(1):73–77
Sultana S, Tarafder GH, Siddiqui TA, Shaha BC, Walliullah M, Ahmed T, Munna MS, Noor AF, Popy SK, Das KK, Acharjee M, Urmi NJ, Rahman T, Noor R (2014) Microbiological quality analysis of shrimps collected from local market around Dhaka city. Int Food Res J 21:33–38
Tahera J, Feroz F, Senjuti JD, Das KK, Noor R (2014) Demonstration of anti-bacterial activity of commonly available fruit extracts in Dhaka, Bangladesh. Am J Microbiol Res 2(2):68–73
World Health Organization (2008) Foodborne disease outbreaks: guidelines for investigation and control. WHO Press, Geneva
World Health Organization (2013) Research priorities for the environment, agriculture and infectious diseases of poverty. WHO Press, Geneva
Yu VL, Hansen DS, Ko WC, Sagnimeni A, Klugman KP (2007) Virulence characteristics of Klebsiella and clinical manifestations of K. pneumonia bloodstream infections. Emerg Infect Dis 13:986–993
Yuan JB, Zhang XJ, Liu CZ, Wei JK, Li FH, Xiang JH (2013) Horizontally transferred genes in the genome of pacific white shrimp, Litopenaeus vannamei. BMC Evol Biol 13:165
Acknowledgments
Authors are thankful to Saurab Kishore Munshi, Farjana Rahman and Mrityunjoy Acharjee for their thoughtful advices and technical assistance during the experiments. The work was financed by the Ministry of Education, People’s Republic of Bangladesh. Author RN is the Chairman and Associate Professor of the Department of Microbiology, Stamford University Bangladesh. Author MFH is a researcher in the Department of Microbiology, University of Dhaka. Author MSM is an MS student of the Department of Microbiology, Stamford University Bangladesh. Author MMR is the Professor of the Department of Microbiology, University of Dhaka.
Conflict of interest
The authors have declared that they have no competing interests.
Author information
Authors and Affiliations
Corresponding author
Rights and permissions
Open Access This article is distributed under the terms of the Creative Commons Attribution License which permits any use, distribution, and reproduction in any medium, provided the original author(s) and the source are credited.
About this article
Cite this article
Noor, R., Faqrul Hasan, M., Sakil Munna, M. et al. Demonstration of virulent genes within Listeria and Klebsiella isolates contaminating the export quality frozen shrimps. Int Aquat Res 7, 157–161 (2015). https://doi.org/10.1007/s40071-015-0097-7
Received:
Accepted:
Published:
Issue Date:
DOI: https://doi.org/10.1007/s40071-015-0097-7
Keywords
- Consumer health safety
- Export quality frozen shrimps
- Listeria spp.
- Klebsiella spp.
- lap
- gyrB2

