Skip to main content

Expression of the microRNA regulators Drosha, Dicer and Ago2 in non-small cell lung carcinomas

Abstract

Purpose

MicroRNAs are evolutionarily conserved non-coding components of the transcriptome that can post-transcriptionally control gene expression. Altered microRNA expression has been found to be a common feature of several cancers, including lung carcinomas. The biogenesis and maturation of microRNAs is known to be mediated by the ribonucleases Drosha, Dicer and Ago2. The purpose of the present study was to investigate the expression and distribution of Drosha, Dicer and Ago2 in human non-small cell lung carcinomas (NSCLC) and to relate the respective expression patterns to clinocopatholical features.

Methods

We used five human NSCLC-derived cell lines and primary formalin-fixed paraffin-embedded tissue samples from 83 NSCLC patients. Drosha, Dicer and Ago2 mRNA and protein expression levels, and their sub-cellular distributions, were assessed using RT-PCR, Western blotting, immunofluorescence and immunohistochemistry, respectively.

Results

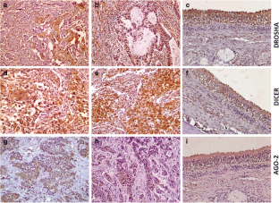
We found that Drosha, Dicer and Ago2 were expressed in all the cell lines and primary neoplastic and non-neoplastic tissue samples tested. The intensity of the immunohistochemical staining was found to be significantly lower in stage I tumors compared to normal lung tissues. Dicer expression was found to be significantly higher in stage II compared to stage I tumors, and in stage III compared to stage II and stage I tumors.

Conclusions

Our results point at a role of Drosha, Dicer and Ago2 in the development of NSCLC and suggest that Dicer may be implicated in the progression of these tumors to advanced stages.

This is a preview of subscription content, access via your institution.

Fig. 1
Fig. 2
Fig. 3
Fig. 4

References

  1. Α. Jemal, F. Bray, M.M. Center, J. Ferlay, E. Ward, D. Forman, Global cancer statistics. CA Cancer J. Clin. 61, 69–90 (2011)

    PubMed  Article  Google Scholar 

  2. A. Koren, H. Motaln, T. Cufer, Lung cancer stem cells: a biological and clinical perspective. Cell. Oncol. 36, 265–275 (2013)

    CAS  Article  Google Scholar 

  3. H. Peng, J. Huang, Y. Hu, Y. Wei, H. Liu, M. Huang, L. Wang, J. Wang, Associations between polymorphisms in the SYK promoter and susceptibility to sporadic colorectal cancer in a Southern Han Chinese population - a short report. Cell. Oncol. 38, 165–172 (2015)

    CAS  Article  Google Scholar 

  4. E. Yiannakopoulou, Targeting epigenetic mechanisms and microRNAs by aspirin and other non steroidal anti-inflammatory agents—implications for cancer treatment and chemoprevention. Cell. Oncol. 37, 167–178 (2014)

    CAS  Article  Google Scholar 

  5. B.P. Lewis, C.B. Burge, D.P. Bartel, Conserved seed pairing often flanked by adenosines, indicates that thousands of human genes are microRNA targets. Cell 14, 15–20 (2005)

    Article  Google Scholar 

  6. R.C. Friedman, K.K. Farh, C.B. Burge, D.P. Bartel, Most mammalian mRNAs are conserved targets of microRNAs. Genome Res. 19, 92–105 (2009)

    CAS  PubMed Central  PubMed  Article  Google Scholar 

  7. L.P. Lim, N.C. Lau, P. Garrett-Engele, A. Grimson, J.M. Schelter, J. Castle, D.P. Bartel, P.S. Linsley, J.M. Johnson, Microarray analysis shows that some microRNAs downregulate large numbers of target mRNAs. Nature 433, 769–773 (2005)

    CAS  PubMed  Article  Google Scholar 

  8. D.J. Papachristou, E. Sklirou, D. Corradi, C. Crassani, V. Kontogeorgakos, U.N.M. Rao, Immunohistochemical analysis of the endoribonucleases Drosha, Dicer and Ago2 in smooth muscle tumours of soft tissues. Histopathology 60, E28–E36 (2012)

    PubMed  Article  Google Scholar 

  9. M. Negrini, M.S. Nicoloso, G.A. Calin, MicroRNAs and cancer: new paradigms in molecular oncology. Curr. Opin. Cell Biol. 21, 470–479 (2009)

    CAS  PubMed  Article  Google Scholar 

  10. T.A. Farazi, J.I. Spitzer, P. Morozov, T. Tuschl, microRNAs in human cancer. J. Pathol. 223, 102–115 (2011)

    CAS  PubMed Central  PubMed  Article  Google Scholar 

  11. Y. Wang, H.M. Stricker, D. Gou, L. Liu, MicroRNA: past and present. Front. Biosci. 12, 2316–2329 (2007)

    CAS  PubMed  Article  Google Scholar 

  12. Y. Lee, C. Ahn, J. Han, H. Choi, J. Kim, J. Lee, P. Provost, O. Radmark, S. Kim, V.N. Kim, The nuclear RNase III Drosha initiates microRNA processing. Nature 425, 415–419 (2003)

    CAS  PubMed  Article  Google Scholar 

  13. L. Rask, E. Balslev, R. Søkilde, E. Høgdall, H. Flyger, J. Eriksen, T. Litman, Differential expression of miR-139, miR-486 and miR-21 in breast cancer patients sub-classified according to lymph node status. Cell. Oncol. 37, 215–227 (2014)

    CAS  Article  Google Scholar 

  14. E. Lund, S. Guttinger, A. Calado, J.E. Dahlberg, U. Kutay, Nuclear export of microRNA precursors. Science 303, 95–98 (2004)

    CAS  PubMed  Article  Google Scholar 

  15. J. Mattes, A. Collison, P.S. Foster, Emerging role of microRNAs in disease pathogenesis and strategies for therapeutic modulation. Curr. Opin. Mol. Ther. 10, 150–157 (2008)

    CAS  PubMed  Google Scholar 

  16. H. Guo, N.T. Ingolia, J.S. Weissman, D.P. Bartel, Mammalian microRNAs predominantly act to decrease target mRNA levels. Nature 466, 835–840 (2010)

    CAS  PubMed Central  PubMed  Article  Google Scholar 

  17. T. Tomankova, M. Petrek, E. Kriegova, Involvement of microRNAs in physiological and pathological processes in the lung. Respir. Res. 11, 159 (2010)

    CAS  PubMed Central  PubMed  Article  Google Scholar 

  18. L. Peters, G. Meister, Argonaute proteins: mediators of RNA silencing. Mol. Cell 26, 611–623 (2007)

    CAS  PubMed  Article  Google Scholar 

  19. Y. Karube, H. Tanaka, H. Osada, Reduced expression of Dicer associated with poor prognosis in lung cancer patients. Cancer Sci. 96, 111–115 (2005)

    CAS  PubMed  Article  Google Scholar 

  20. S. Chiosea, E. Jelezcova, U. Chandran, J. Luo, G. Mantha, R.W. Sobol, S. Dacic, Overexpression of Dicer in precursor lesions of lung adenocarcinoma. Cancer Res. 67, 2345–2350 (2007)

    CAS  PubMed  Article  Google Scholar 

  21. D.J. Papachristou, A. Korpetinou, E. Giannopoulou, A.G. Antonakopoulou, H. Papadaki, P. Grivas, C.D. Scopa, H.P. Kalofonos, Expression of the ribonucleases Drosha, Dicer, and Ago2 in colorectal carcinomas. Virchows Arch. 459, 431–440 (2011)

    CAS  PubMed  Article  Google Scholar 

  22. S.M. Jafarnejad, C. Sjoestroem, M. Martinka, G. Li, Expression of the RNase III enzyme DROSHA is reduced during progression of human cutaneous melanoma. Mod. Pathol. 26, 902–910 (2013)

    CAS  PubMed  Article  Google Scholar 

  23. S.M. Khoshnaw, E.A. Rakha, T. Abdel-Fatah, C.C. Nolan, Z. Hodi, R.D. Macmillan, I.O. Ellis, A.R. Green, The MicroRNA maturation regulator Drosha is an independent predictor of outcome in breast cancer patients. Breast Cancer Res. Treat. 137, 139–153 (2013)

    CAS  PubMed  Article  Google Scholar 

  24. K.J. Dedes, R. Natrajan, M.B. Lambros, F.C. Geyer, M.A. Lopez-Garcia, K. Savage, R.L. Jones, J.S. Reis-Filho, Down-regulation of the miRNA master regulators Drosha and Dicer is associated with specific subgroups of breast cancer. Eur. J. Cancer 47, 138–150 (2011)

    CAS  PubMed  Article  Google Scholar 

  25. N. Sugito, H. Ishiguro, Y. Kuwabara, M. Kimura, A. Mitsui, H. Kurehara, T. Ando, R. Mori, N. Takashima, R. Ogawa, Y. Fujii, RNASEN regulates cell proliferation and affects survival in esophageal cancer patients. Clin. Cancer Res. 12, 7322–7328 (2006)

    CAS  PubMed  Article  Google Scholar 

  26. S. Chiosea, E. Jelezcova, U. Chandran, M. Acquafondata, T. McHale, R.W. Sobol, R. Dhir, Up-regulation of Dicer, a component of the micro RNA machinery, in prostate adenocarcinoma. Am. J. Pathol. 169, 1812–1820 (2006)

    CAS  PubMed Central  PubMed  Article  Google Scholar 

  27. R.J. Flavin, P.C. Smyth, S.R. Finn, A. Laios, S.A. O’ Toole, C. Barrett, M. Ring, K.M. Denning, J. Li, S.T. Aherne, N.A. Aziz, A. Alhadi, B.L. Sheppard, M. Loda, C. Martin, O.M. Sheils, J.J. O’ Leary, Altered eIF6 and Dicer expression is associated with clinicopathological features in ovarian serous carcinoma patients. Mod. Pathol. 21, 676–684 (2008)

    CAS  PubMed  Article  Google Scholar 

  28. C. Faber, D. Horst, F. Hlubek, T. Kirchner, Overexpression of Dicer predicts poor survival in colorectal cancer. Eur. J. Cancer 47, 1414–1419 (2011)

    CAS  PubMed  Article  Google Scholar 

  29. D.J. Papachristou, U.N.M. Rao, A. Korpetinou, E. Giannopoulou, E. Sklirou, V. Kontogeorgakos, H.P. Kalofonos, Dicer expression in sarcomas prognostic significance of dicer cellular levels in soft tissue sarcomas. Cancer Investig. 30, 172–179 (2011)

    Article  Google Scholar 

  30. N. Potenza, U. Papa, A. Russo, Differential expression of Dicer and Argonaute genes during the differentiation of human neuroblastoma cells. Cell Biol. Int. 33, 734–738 (2009)

    CAS  PubMed  Article  Google Scholar 

  31. N. Potenza, U. Papa, P. Scaruffi, N. Mosca, G.P. Tonini, A. Russo, A novel splice variant of the human dicer gene is expressed in neuroblastoma cells. FEBS Lett. 584, 3452–3457 (2010)

    CAS  PubMed  Article  Google Scholar 

  32. W.M. Merrit, Y.G. Lin, L.Y. Han, A.A. Karnat, W.A. Spannuth, R. Schumandt, D. Urbauer, L.A. Pennacchio, J.F. Cheng, A.M. Nick, M.T. Deavers, A. Mourad- Zeidan, H. Wang, P. Mueller, M.E. Lenburg, J.W. Gray, S. Mok, M.J. Birrer, G. Lopez-Berestein, R.L. Coleman, M. Bar-Eli, A.K. Sood, Dicer, Drosha and outcomes in patients with ovarian cancer. N. Engl. J. Med. 359, 2641–2650 (2008)

    Article  Google Scholar 

  33. W.D. Travis, E. Brambilla, H.K. Müller-Hermelink, C.C. Harris, Pathology and genetics of tumours of the lung, pleura, thymus and heart (IARC Press, Lyon, 2004), pp. 10–11

    Google Scholar 

  34. A.E. Williams, S.A. Moschos, M.M. Perry, P.J. Barnes, M.A. Lindsay, Maternally imprinted microRNAs are differentially expressed during mouse and human lung development. Dev. Dyn. 236, 572–580 (2007)

    CAS  PubMed Central  PubMed  Article  Google Scholar 

  35. C. Chen, H. Chen, J. Sun, P. Jr, Y. Bringas, D. Chen, W.S. Warburton, Smad1 expression and function during mouse embryonic lung branching morphogenesis. Am. J. Physiol. Lung Cell. Mol. Physiol. 288, 1033–1039 (2005)

    Article  Google Scholar 

  36. D.B. Frank, A. Abtahi, D.J. Yamaguchi, S. Manning, Y. Shyr, A. Pozzi, H.S. Baldwin, J.E. Johnson, M.P. de Caestecker, Bone morphogenetic protein 4 promotes pulmonary vascular remodeling in hypoxic pulmonary hypertension. Circ. Res. 97, 496–504 (2005)

    CAS  PubMed  Article  Google Scholar 

  37. Y. Lu, J.M. Thomson, H.Y. Wong, S.M. Hammond, B.L. Hogan, Transgenic overexpression of the microRNA miR-17-92 cluster promotes proliferation and inhibits differentiation of lung epithelial progenitor cells. Dev. Biol. 310, 442–453 (2007)

    CAS  PubMed Central  PubMed  Article  Google Scholar 

  38. Y. Li, E.Y. Chan, J. Li, C. Ni, X. Peng, E. Rosenzweig, T.M. Tumpey, M.G. Katze, MicroRNA expression and virulence in pandemic influenza virus-infected mice. J. Virol. 84, 3023–3032 (2010)

    CAS  PubMed Central  PubMed  Article  Google Scholar 

  39. S. Volinia, G.A. Calin, C.G. Liu, S. Ambs, A. Cimmino, F. Petrocca, R. Visone, M. Iorio, C. Roldo, M. Ferracin, R.L. Prueitt, N. Yanaihara, G. Lanza, A. Scarpa, A. Vecchione, M. Negrini, C.C. Harris, C.M. Croce, A microRNA expression signature of human solid tumors defines cancer gene targets. Proc. Natl. Acad. Sci. U. S. A. 103, 2257–2261 (2006)

    CAS  PubMed Central  PubMed  Article  Google Scholar 

  40. X. Tang, Y. Zhang, L. Tucker, B. Ramratnam, Phosphorylation of the RNase III enzyme Drosha at Serine 300 or Serine 302 is required for its nuclear localization. Nucleic Acids Res. 38, 6610–6619 (2010)

    CAS  PubMed Central  PubMed  Article  Google Scholar 

  41. M.M. Bjaanae, A.R. Halvorsen AR, S. Solberg, L. Jørgensen, T.A. Dragani, A. Galvan, F. Colombo, M. Anderlini, U. Pastorino, E. Kure, A.L. Børresen-Dale, O.T. Brustugun, A. Helland, Unique microRNA-profiles in EGFR-mutated lung adenocarcinomas. Int. J. Cancer 135, 1812–1821 (2014)

    Article  Google Scholar 

  42. S. Hong, H. Noh, H. Chen, R. Padia, Z.K. Pan, S.B. Su, Q. Jing, H.F. Ding, S. Huang, Signaling by p38 MAPK stimutaltes nuclear localization of the microprocessor component p68 for processing of selected primary MicroRNAs. Sci. Signal. 6, ra16 (2013)

    PubMed  Article  Google Scholar 

  43. C.V. Diaz-Garcia, A. Agudo-Lopez, C. Perez, A. Lopez-Martin, J.L. Rodriguez-Peralt, J. de Castro, A. Cortijo, M. Martinez-Villanueva, L. Iglesias, Dicer1, Drosha and miRNAs in patients with non-small cell lng cancer: implications for outcomes and histologic classification. Carcinogenesis 34, 1031–1038 (2013)

    CAS  PubMed  Article  Google Scholar 

  44. G. Grelier, N. Voirin, A.S. Ay, D.G. Cox, S. Chabaud, I. Treilleux, S. Leon-Goddard, R. Rimokh, I. Mikaelian, C. Venoux, A. Puisieux, C. Lasset, C. Moyret-Lalle, Prognostic value of Dicer in human breast cancers and association with the mesenchymal phenotype. Br. J. Cancer 101, 673–683 (2009)

    CAS  PubMed Central  PubMed  Article  Google Scholar 

  45. X. Zhang, P. Graves, Y. Zeng, Overexpression of human Argonaute2 inhibits cell and tumor growth. Biochim. Biophys. Acta 1830, 2553–2561 (2013)

    CAS  PubMed  Article  Google Scholar 

  46. J. Zhang, X.S. Fan, C.X. Wang, B. Liu, Q. Li, X.J. Zhou, Up-regulation of Ago2 expression in gastric carcinoma. Med. Oncol. 30, 628 (2013)

    PubMed  Article  Google Scholar 

  47. A.M. Liu, C. Zhang, J. Burchard, S.T. Fan, K.F. Wong, H. Dai, R.T. Poon, J.M. Luk, Global regulation on microRNA in hepatitis B virus-associated hepatocellular carcinoma. OMICS 15, 187–191 (2011)

    CAS  PubMed  Article  Google Scholar 

  48. B.D. Adams, K.P. Claffey, B.A. White, Argonaute-2 expression is regulated by epidermal growth factor receptor and mitogen-activated protein kinase signaling and correlates with a transformed phenotype in breast cancer cells. Endocrinology 150, 14–23 (2009)

    CAS  PubMed Central  PubMed  Article  Google Scholar 

  49. S.H. Ahn, E.H. Jeong, T.G. Lee, S.Y. Kim, H.R. Kim, C.H. Kim, Gefitinib induces cytoplasmic translocation of the CDK inhibitor p27 and its binding to a cleaved intermediate of caspase 8 in non-small cell lung cancer cells. Cell. Oncol. 37, 377–386 (2014)

    CAS  Article  Google Scholar 

Download references

Acknowledgments

We would like to thank the Medical School, University of Patras, Greece, for providing the Advanced Light Microscopy facility.

Conflict of interest

The authors report no conflict of interest.

Author information

Affiliations

Authors

Corresponding authors

Correspondence to H. P. Kalofonos or D. J. Papachristou.

Additional information

E. Prodromaki and A. Korpetinou contributed equally to this work.

Rights and permissions

Reprints and Permissions

About this article

Verify currency and authenticity via CrossMark

Cite this article

Prodromaki, E., Korpetinou, A., Giannopoulou, E. et al. Expression of the microRNA regulators Drosha, Dicer and Ago2 in non-small cell lung carcinomas. Cell Oncol. 38, 307–317 (2015). https://doi.org/10.1007/s13402-015-0231-y

Download citation

  • Accepted:

  • Published:

  • Issue Date:

  • DOI: https://doi.org/10.1007/s13402-015-0231-y

Keywords

  • Lung cancer
  • microRNA
  • Drosha
  • Dicer
  • Ago2