Abstract
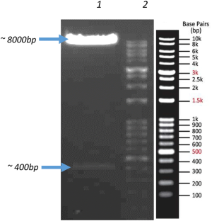
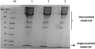
The production of the recombinant proteins under the control of AOX1 promoter is a one of the most common expression systems in the methylotrophic yeast Pichia pastoris which is induced by methanol. The application of this expression platform is restricted by the toxicity and inflammatory nature of methanol, especially in food and pharmaceutical products. Human granulocyte macrophage-colony stimulating factor (hGM-CSF) is an important pharmaceutical protein, playing a crucial role in the proliferation and differentiation of innate immune cells. In this study, a methanol-free expression platform for extracellular expression of hGM-CSF was developed. To attain this goal, a novel constructed expression vector pEP(α)101, carrying the FMD promoter regulating recombinant expression by glycerol derepression was designed. The optimized hGM-CSF gene was subcloned into pEP(α)101 and transformed into P. pastoris. The expression of rhGM-CSF in three different culture media were investigated. Based on the observed heterogeneous glycosylation pattern on SDS-PAGE and western blot, the glycoproteins were deglycosylated to remove carbohydrate units. According to the results, the novel methanol independent PFMD expression platform would be a suitable candidate for driving heterologous gene expression especially for the production of food-grade and therapeutically important recombinant proteins.





Similar content being viewed by others
References
Bot, F. J., Schipper, P., Broeders, L., Delwel, R., Kaushansky, K., & Lowenberg, B. (1990). Interleukin-1 alpha also induces granulocyte-macrophage colony-stimulating factor in immature normal bone marrow cells. Blood, 76, 307–311.
Hamilton, J. A. (2015). GM-CSF as a target in inflammatory/autoimmune disease: Current evidence and future therapeutic potential. Expert Review of Clinical Immunology, 11, 457–465.
Kelso, A., & Metcalf, D. (1990). T lymphocyte-derived colony-stimulating factors. Advances in Immunology, 48, 69–105.
Kita, H., Ohnishi, T., Okubo, Y., Weiler, D., Abrams, J. S., & Gleich, G. J. (1991). Granulocyte/macrophage colony-stimulating factor and interleukin 3 release from human peripheral blood eosinophils and neutrophils. Journal of Experimental Medicine, 174, 745–748.
Plaut, M., Pierce, J. H., Watson, C. J., Hanley-Hyde, J., Nordan, R. P., & Paul, W. E. (1989). Mast cell lines produce lymphokines in response to cross-linkage of Fc epsilon RI or to calcium ionophores. Nature, 339, 64–67.
Pluznik, D. H., Bickel, M., & Mergenhagen, S. E. (1989). B lymphocyte derived hematopoietic growth factors. Immunological Investigations, 18, 103–116.
Rich, I. N. (1986). A role for the macrophage in normal hemopoiesis. I. Functional capacity of bone-marrow-derived macrophages to release hemopoietic growth factors. Experimental Hematology, 14, 738–745.
Shiomi, A., & Usui, T. (2015). Pivotal roles of GM-CSF in autoimmunity and inflammation. Mediators of Inflammation, 2015, 568543.
Ushach, I., & Zlotnik, A. (2016). Biological role of granulocyte macrophage colony-stimulating factor (GM-CSF) and macrophage colony-stimulating factor (M-CSF) on cells of the myeloid lineage. Journal of Leukocyte Biology, 100, 481–489.
Bhattacharya, P., Budnick, I., Singh, M., Thiruppathi, M., Alharshawi, K., Elshabrawy, H., et al. (2015). Dual role of GM-CSF as a pro-inflammatory and a regulatory cytokine: Implications for immune therapy. Journal of Interferon and Cytokine Research, 35, 585–599.
Clive, K. S., Tyler, J. A., Clifton, G. T., Holmes, J. P., Mittendorf, E. A., Ponniah, S., et al. (2010). Use of GM-CSF as an adjuvant with cancer vaccines: Beneficial or detrimental? Expert review of vaccines, 9(5), 519–525.
Garcia-Carbonero, R., Mayordomo, J. I., Tornamira, M. V., Lopez-Brea, M., Rueda, A., Guillem, V., et al. (2001). Granulocyte colony-stimulating factor in the treatment of high-risk febrile neutropenia: A multicenter randomized trial. Journal of the National Cancer Institute, 93, 31–38.
Smith, T. J., Khatcheressian, J., Lyman, G. H., Ozer, H., Armitage, J. O., Balducci, L., et al. (2006). 2006 update of recommendations for the use of white blood cell growth factors: An evidence-based clinical practice guideline. Journal of Clinical Oncology, 24, 3187–3205.
Westervelt, B. P., & Ley, T. J. (1999). Hydrops fetalis caused by alpha-Thalassemia: An emerging health care problem. Blood, 93, 2143–2148.
Campbell, I. K., Rich, M. J., Bischof, R. J., Dunn, A. R., Grail, D., & Hamilton, J. A. (1998). Protection from collagen-induced arthritis in granulocyte-macrophage colony-stimulating factor-deficient mice. The Journal of Immunology, 161, 3639–3644.
McQualter, J. L., Darwiche, R., Ewing, C., Onuki, M., Kay, T. W., Hamilton, J. A., et al. (2001). Granulocyte macrophage colony-stimulating factor: A new putative therapeutic target in multiple sclerosis. Journal of Experimental Medicine, 194, 873–882.
Sonderegger, I., Iezzi, G., Maier, R., Schmitz, N., Kurrer, M., & Kopf, M. (2008). GM-CSF mediates autoimmunity by enhancing IL-6-dependent Th17 cell development and survival. Journal of Experimental Medicine, 205, 2281–2294.
Walter, M. R., Cook, W. J., Ealick, S. E., Nagabhushan, T. L., Trotta, P. P., & Bugg, C. E. (1992). Three-dimensional structure of recombinant human granulocyte-macrophage colony-stimulating factor. Journal of Molecular Biology, 224, 1075–1085.
Gasmi, N., Lassoued, R., Ayed, A., Treton, B., Chevret, D., Nicaud, J. M., et al. (2012). Production and characterization of human granulocyte-macrophage colony-stimulating factor (hGM-CSF) expressed in the oleaginous yeast Yarrowia lipolytica. Applied Microbiology and Biotechnology, 96, 89–101.
Shahali, M., Yakhchali, B., Zomorodipour, A., & Seyedena, S. Y. (2005). Expression and secretion of human granulocyte macrophage-colony stimulating factor using Escherichia coli enterotoxin I signal sequence. Journal of Sciences, Islamic Republic of Iran, 16(4), 327–332.
Bhatacharya, P., Pandey, G., & Mukherjee, K. J. (2007). Production and purification of recombinant human granulocyte–macrophage colony stimulating factor (GM-CSF) from high cell density cultures of Pichia pastoris. Bioprocess and Biosystems Engineering, 30, 305–312.
Forno, G., Bollati Fogolin, M., Oggero, M., Kratje, R., Etcheverrigaray, M., Conradt, H. S., et al. (2004). N- and O-linked carbohydrates and glycosylation site occupancy in recombinant human granulocyte-macrophage colony-stimulating factor secreted by a Chinese hamster ovary cell line. European Journal of Biochemistry, 271, 907–919.
Lee, J. H., Kim, N. S., Kwon, T. H., Jang, Y. S., & Yang, M. S. (2002). Increased production of human granulocyte-macrophage colony stimulating factor (hGM-CSF) by the addition of stabilizing polymer in plant suspension cultures. Journal of Biotechnology, 96, 205–211.
Ryoo, Z. Y., Kim, M. O., Kim, K. E., Bahk, Y. Y., Lee, J. W., Park, S. H., et al. (2001). Expression of recombinant human granulocyte macrophage-colony stimulating factor (hGM-CSF) in mouse urine. Transgenic Research, 10, 193–200.
Hussein, A. M., Ross, M., Vredenburgh, J., Meisenberg, B., Hars, V., Gilbert, C., et al. (1995). Effects of granulocyte-macrophage colony stimulating factor produced in Chinese hamster ovary cells (regramostim), Escherichia coli (molgramostim) and yeast (sargramostim) on priming peripheral blood progenitor cells for use with autologous bone marrow after high-dose chemotherapy. European Journal of Haematology, 55, 348–356.
Srinivasa Babu, K., Antony, A., Muthukumaran, T., & Meenakshisundaram, S. (2008). Construction of intein-mediated hGMCSF expression vector and its purification in Pichia pastoris. Protein Expression and Purification, 57, 201–205.
Khasa, Y. P., Khushoo, A., Srivastava, L., & Mukherjee, K. J. (2007). Kinetic studies of constitutive human granulocyte-macrophage colony stimulating factor (hGM-CSF) expression in continuous culture of Pichia pastoris. Biotechnology Letters, 29, 1903–1908.
Pal, Y., Khushoo, A., & Mukherjee, K. J. (2006). Process optimization of constitutive human granulocyte-macrophage colony-stimulating factor (hGM-CSF) expression in Pichia pastoris fed-batch culture. Applied Microbiology and Biotechnology, 69, 650–657.
Wu, J. M., Lin, J. C., Chieng, L. L., Lee, C. K., & Hsu, T. A. (2003). Combined use of GAP and AOX1 promoter to enhance the expression of human granulocyte-macrophage colony-stimulating factor in Pichia pastoris. Enzyme and Microbial Technology, 33, 453–459.
Grinna, L. S., & Tschopp, J. F. (1989). Size distribution and general structural features of N-linked oligosaccharides from the methylotrophic yeast, Pichia pastoris. Yeast, 5, 107–115.
Mattanovich, D., Branduardi, P., Dato, L., Gasser, B., Sauer, M., & Porro, D. (2012). Recombinant protein production in yeasts. Methods in Molecular Biology, 824, 329–358.
Chang, S. W., Shieh, C. J., Lee, G. C., Akoh, C. C., & Shaw, J. F. (2006). Optimized growth kinetics of Pichia pastoris and recombinant Candida rugosa LIP1 production by RSM. Journal of Molecular Microbiology and Biotechnology, 11, 28–40.
Murray, W. D., Duff, S. J. B., & Lanthier, P. H. (1989). Induction and stability of alcohol oxidase in the methylotrophic yeast Pichia pastoris. Applied Microbiology and Biotechnology, 32, 95–100.
Macauley-Patrick, S., Fazenda, M. L., McNeil, B., & Harvey, L. M. (2005). Heterologous protein production using the Pichia pastoris expression system. Yeast, 22, 249–270.
Suppi, S., Michelson, T., Viigand, K., & Alamae, T. (2013). Repression vs. activation of MOX, FMD, MPP1 and MAL1 promoters by sugars in Hansenula polymorpha: The outcome depends on cell’s ability to phosphorylate sugar. FEMS Yeast Research, 13, 219–232.
Gellissen, G., & Veenhuis, M. (2001). The methylotrophic yeast Hansenula polymorpha: Its use in fundamental research and as a cell factory. Yeast, 18, i–iii.
Krainer, F. W., Dietzsch, C., Hajek, T., Herwig, C., Spadiut, O., & Glieder, A. (2012). Recombinant protein expression in Pichia pastoris strains with an engineered methanol utilization pathway. Microbial Cell Factories, 11, 22.
Gellissen, G. (2000). Heterologous protein production in methylotrophic yeasts. Applied Microbiology and Biotechnology, 54, 741–750.
Amuel, C., Gellissen, G., Hollenberg, C. P., & Suckow, M. (2000). Analysis of heat shock promoters inHansenula polymorpha: TheTPS1 promoter, a novel element for heterologous gene expression. Biotechnology and Bioprocess Engineering, 5, 247–252.
Mayer, A. F., Hellmuth, K., Schlieker, H., Lopez-Ulibarri, R., Oertel, S., Dahlems, U., et al. (1999). An expression system matures: A highly efficient and cost-effective process for phytase production by recombinant strains of Hansenula polymorpha. Biotechnology and Bioengineering, 63, 373–381.
Kruger, N. J. (1994). The Bradford method for protein quantitation. Methods in Molecular Biology, 32, 9–15.
Morelle, W., & Michalski, J. C. (2007). Analysis of protein glycosylation by mass spectrometry. Nature Protocols, 2, 1585–1602.
Tran, A. M., Nguyen, T. T., Nguyen, C. T., Huynh-Thi, X. M., Nguyen, C. T., Trinh, M. T., et al. (2017). Pichia pastoris versus Saccharomyces cerevisiae: A case study on the recombinant production of human granulocyte-macrophage colony-stimulating factor. BMC Research Notes, 10, 148.
Bretthauer, R. K., & Castellino, F. J. (1999). Glycosylation of Pichia pastoris-derived proteins. Biotechnology and Applied Biochemistry, 30(Pt 3), 193–200.
Acknowledgements
This work has been financially supported by University of Tehran (28850/06/05).
Author information
Authors and Affiliations
Corresponding authors
Ethics declarations
Conflict of interest
All the authors declare that there is no conflict of interest.
Additional information
Publisher's Note
Springer Nature remains neutral with regard to jurisdictional claims in published maps and institutional affiliations.
Rights and permissions
About this article
Cite this article
Shirvani, R., Yazdanpanah, S., Barshan-tashnizi, M. et al. A Novel Methanol-Free Platform for Extracellular Expression of rhGM-CSF in Pichia pastoris. Mol Biotechnol 61, 521–527 (2019). https://doi.org/10.1007/s12033-019-00182-6
Published:
Issue Date:
DOI: https://doi.org/10.1007/s12033-019-00182-6


