Skip to main content

Adult soft tissue myoepithelial carcinoma: treatment outcomes and efficacy of chemotherapy

Abstract

Soft tissue myoepithelial carcinomas are a rare, malignant subgroup of myoepithelial tumours mostly arising in the extremities with equal predilection for women and men. The mainstay of management of localised disease is complete surgical resection. Despite optimal treatment, 40–45% of tumours recur. Data regarding the efficacy of systemic therapy for advanced and metastatic disease are lacking. The primary aim of this study was to evaluate the outcome of all patients with soft tissue myoepithelial carcinoma treated at a single referral centre. The secondary aim was to establish the efficacy of systemic therapies in patients with advanced disease. A retrospective review of the prospectively maintained Royal Marsden Sarcoma Unit database was performed to identify soft tissue myoepithelial carcinoma patients treated between 1996 and 2019. Patient baseline characteristics and treatment history were recorded. Response to systemic therapy was evaluated using RECIST 1.1. We identified 24 patients treated at our institution between 1996 and 2019,12 males and 12 females. Median age at presentation was 49.6 years [interquartile range (IQR) 40.5–63.3 years]. Twenty-two out of 24 patients (91.7%) underwent primary surgical resection. Nine patients (37.5%) received systemic treatment. A partial response was documented in one patient treated with doxorubicin. The median progression-free survival for first-line chemotherapy was 9.3 months. Myoepithelial carcinoma frequently recurs after complete surgical resection. Conventional chemotherapy demonstrated some activity in myoepithelial carcinoma, however, more effective systemic therapies are required and enrolment in clinical trial should be encouraged.

Introduction

Myoepithelial tumours are a heterogenous group of tumours which demonstrate myoepithelial differentiation. These tumours are typically found in structures containing glandular or ductal tissues, but are increasingly reported in bone, soft tissue and cutaneous tissues [1]. Soft tissue myoepithelial carcinoma/malignant myoepithelioma is a rare, malignant subtype of myoepithelial tumour, with a wide histologic spectrum [1]. Whilst approximately half of the salivary gland myoepithelial tumours demonstrate benign histological features, the majority of myoepithelial tumours arising in the soft tissue are malignant [1]. Soft tissue myoepithelial carcinomas have equal predilection for women and men. They may present in any age group, but are typically present before the 4th decade with most lesions arising within extremities [1, 2].

Histologically, myoepithelial carcinomas have a varied morphology, and can be composed of epithelioid, spindled, rounded or even rhabdoid or plasmacytoid cells, with a variety of architectural patterns, but generally demonstrate moderate or severe cytologic atypia with vesicular nuclei and prominent nucleoli. Tumours with cytological atypia, high mitotic count and high tumour necrosis exhibit a more aggressive pattern of clinical behaviour [1,2,3]. Myoepithelial carcinomas are characterised by the variable expression of cytokeratins or epithelial membrane antigen (EMA) with S100 protein and often muscle/myoepithelial markers such as smooth muscle actin (SMA) or calponin. Approximately, 10–20% demonstrate nuclear loss of integrase interactor 1 (INI1) expression due to chromosome 22q deletions [2, 4]. EWSR1 (or sometimes FUS) gene rearrangements have been demonstrated in approximately 40–50% of soft tissue myoepithelial carcinomas, and deletions of the SMARCB1 gene are seen in approximately 30% of cases [1, 2, 5]. The significance of these gene rearrangements is not yet fully understood [2], although those tumours lacking the EWSR1 gene rearrangement are typically associated with a benign clinical course [1, 6].

The mainstay of management of localised soft tissue myoepithelial carcinoma is surgical resection with clear margins, with or without pre-/post-operative radiation. Despite optimal treatment, 40–45% of patients develop metastatic or recurrent disease [2, 3]. However, data regarding the efficacy of systemic therapy for advanced/metastatic disease and outcomes of patients with soft tissue myoepithelial carcinoma are lacking. The aim of this study was to evaluate the outcome of all patients with soft tissue myoepithelial carcinoma treated at a single referral centre, in order to provide a benchmark for clinical practice and future studies.

Method

Institutional approval was obtained prior to commencing the study. A retrospective review of the prospectively maintained Royal Marsden Hospital (RMH) Sarcoma Unit database was performed to identify soft tissue myoepithelial carcinoma patients treated from June 1996 to February 2019. Baseline characteristics and treatment history were obtained from the database and electronic patient record.

In all cases, the histological diagnosis of a soft tissue myoepithelial tumour was confirmed by an expert soft tissue pathologist (CF, KT). All primary salivary gland or salivary gland-type myoepithelial neoplasms were excluded, as were any metastatic salivary gland-type myoepithelial carcinomas, as these are a genetically distinct population from salivary gland-type myoepithelial carcinomas. One case of primary malignant adenomyoepithelioma of the breast, whilst arising from glandular rather than soft tissues, was included in our study since this subtype shares many of the clinical and histopathological elements of malignant soft tissue myoepithelial tumours.

Patients were staged pre-operatively using either a CT or MRI of the primary site and CT or plain radiograph of the chest. Pre-/post-operative radiotherapy was considered for patients with operable disease. Re-staging was performed every 3–6 months initially. Patients with inoperable/metastatic disease were considered for palliative therapy depending on the disease burden/location and symptoms.

Standard doses of systemic anticancer treatments were used in all patients. Re-staging scans were routinely performed every 2–3 cycles of systemic therapy. Response to systemic therapy was assessed using the Response Evaluation Criteria in Solid Tumours (RECIST) version 1.1 [7]. The radiological response in all patients treated with systemic therapy was re-reviewed for this study. Toxicity was managed according to standard institutional guidelines. Descriptive statistics were employed as well as Kaplan–Meier methods for estimating overall survival (OS) and progression-free survival (PFS) for patients treated with systemic therapies.

Results

We identified 24 adult patients diagnosed with soft tissue myoepithelial carcinoma treated between June 1996 and February 2019. Patient baseline characteristics are shown in Table 1. The median age at diagnosis was 49.6 years (IQR 40.5–63.3 years). Twelve patients were female (50%) and twelve were male (50%). Ten patients (41.7%) were dead of disease, 9 patients (37.5%) were alive with no evidence of disease and 3 patients (12.5%) were alive with disease. The status of 2 patients (8.3%) was unknown, as they had left the United Kingdom. Median follow-up of all patients from diagnosis to death or last follow-up was 3.9 years (IQR 2.7–6.3 years).

Table 1 Clinical characteristics of 24 myoepithelial carcinoma patients

Tumour characteristics

Seventeen patients (70.8%) were classified as having soft tissue myoepithelial carcinoma, six patients (25.0%) were classified as having ‘malignant myoepithelioma’ and one patient (4.2%) had a malignant adenomyoepithelioma of the breast. Most tumours originated in the extremities (n = 6, 25.0%), followed by thorax (n = 5, 20.8%), head/neck (excluding salivary glands) (n = 4, 16.7%) and abdomen (n = 4, 16.7%). Twenty patients (83.3%) presented with localised disease of which nineteen (95.0%) were managed with surgical resection. Thirteen patients (54.2%) relapsed during the study period; 3 (23.1%) with local relapse and 10 (76.9%) with metastatic disease. In the relapsed cohort, median follow-up from primary surgical resection to first relapse was 21 months (IQR 4.8–40.8 months). Four patients (16.7%) presented with metastatic disease of which three (75.0%) were managed with surgical resection. The most common metastatic site at presentation was lung (n = 2, 8.3%).

Local therapies

Twenty-two of 24 patients (91.7%) underwent surgical resection as primary management of which 3 (13.6%) had locally advanced or metastatic disease at presentation. Median follow-up from diagnosis to death or last follow-up for those who underwent primary surgical resection was 4.1 years (IQR 3.2–7.9 years). In the two patients (8.3%) who did not have primary surgery, this was due to inoperability at presentation.

Eleven of 22 patients (50.0%) had an R0 resection, whilst 7 of 22 (31.8%) and 4 of 22 (18.2%) had a R1 and R2 resection, respectively on review of the post-operative pathology. Seven of 11 patients (63.6%) with a R1 or R2 resection did not have surgery performed at RMH and 8 of 11 (72.7%) of these patients did not have surgery performed by a specialist sarcoma surgeon. Of the patients who had a R2 resection, only 1 of 4 (25.0%) had their surgery performed at RMH. This patient with an R2 resection treated at RMH underwent a palliative excision of a parotid soft tissue myoepithelial carcinoma which had presented over 20 years following surgery and radiotherapy for a parotid adenoma in the same site. At time of surgery, this patient had stable low volume pulmonary metastases, and palliative debulking surgery of the parotid mass was performed. The patient was subsequently treated with palliative radiotherapy and chemotherapy. The patient survived for 8.8 years following palliative surgery, but died from progressive metastatic disease.

At the time of analysis, 6 of 11 patients (54.5%) with an R0 resection, 4 of 7 patients (57.1%) with R1 and 3 of 4 (75.0%) with an R2 resection had relapsed. Median follow-up from diagnosis to death or last follow-up for R0 and R1/R2 resections was 5.5 years (IQR 1.9–6.1 years) and 4.0 years (IQR 2.5–5.3 years), respectively.

Two patients (8.3%) underwent repeat surgical resection at 2.6 months and 14.0 months for a local relapse following primary surgical excision. The first patient had a second relapse 8.4 months after their repeat surgery and was started on systemic chemotherapy. The other patient has been followed up for 22.6 months after repeat surgery and has not had a second relapse to date. Post-operative radiation was administered to 6 patients (25%), with a total dose of 30-65 grays (Gy) delivered in 2 Gy fractions. None received pre-operative radiation. Median follow-up from diagnosis to death or last follow-up in patients who received post-operative radiotherapy was 4.4 years (IQR 2.9–5.5 years).

Six patients (25.0%) received palliative radiotherapy (total dose of 20–55 Gy delivered in 2–3 Gy fractions). Median follow-up from diagnosis to death or last follow-up for those who received palliative radiotherapy was 5.3 years (IQR 3.0–8.4 years). All patients were subsequently treated with systemic chemotherapy following palliative radiotherapy. None of these patients received isolated limb perfusion or cryoablation.

Systemic therapy

Nine patients (37.5%) were treated with palliative systemic therapy for metastatic disease following primary surgery with a median time from surgery to first systemic chemotherapy treatment of 30.0 months (IQR 10.7–48.4 months). Table 2 summarises the systemic treatments administered. Median number of chemotherapy lines was 2 (range 1–4). In the first-line, doxorubicin (either as single agent or combination) was administered to 5 of 9 (55.6%) patients. Three patients (12.5%) were enrolled in phase I clinical trials.

Table 2 Outcome of patients treated with systemic therapy

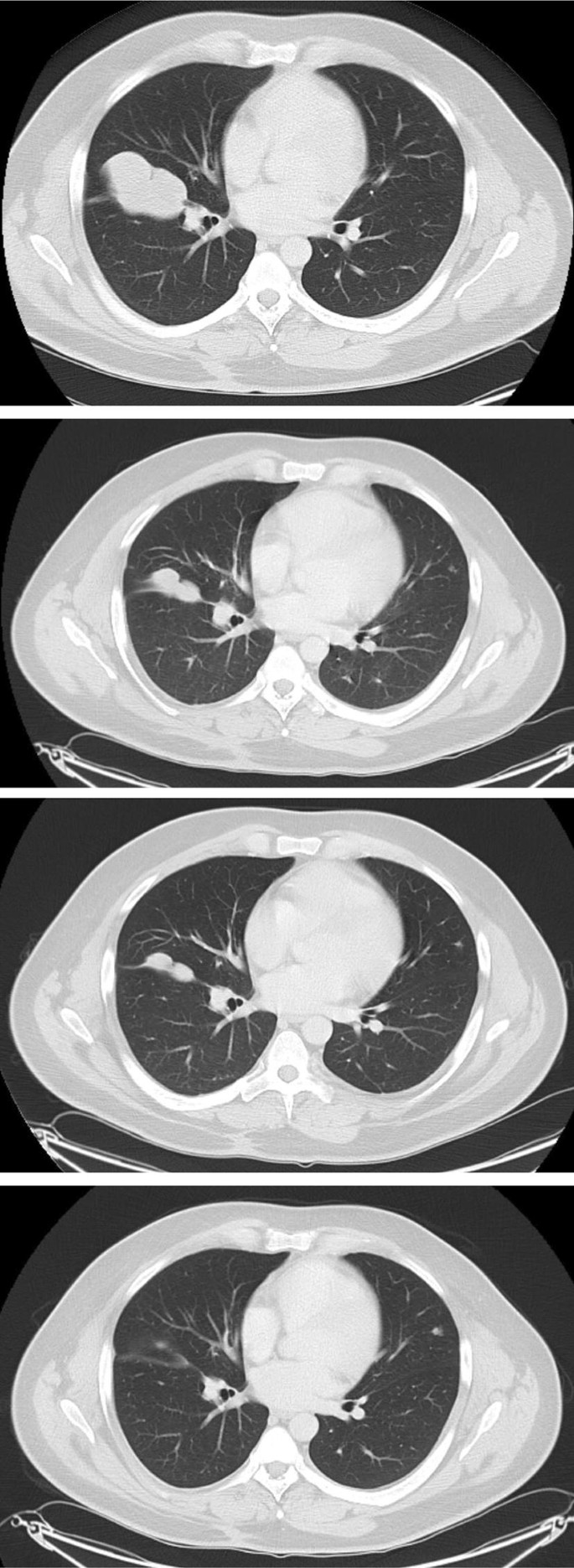
One (11%) patient treated with 6 cycles of doxorubicin had a partial response (PR). The patient was a 33-year-old male with soft tissue myoepithelial carcinoma of the neck. Initial surgery was followed by post-operative radiotherapy. A local recurrence and lung metastases were diagnosed 5.1 months after primary surgery. The patient received first- line palliative chemotherapy with carboplatin and capecitabine, for two cycles, with progressive disease (PD). The patient was offered second-line palliative chemotherapy with doxorubicin (completing 6 cycles), with a PR and a PFS of 8.0 months (see Fig. 1). This patient died of disease 4.1 years after initial diagnosis.

Fig. 1
figure 1

CT images of patient who demonstrated a partial response to chemotherapy. CT thorax baseline prior to doxorubicin chemotherapy demonstrating 6.7 cm metastatic deposit in right thorax, abutting the oblique fissure. CT thorax post two cycles of doxorubicin chemotherapy demonstrating reduction in metastatic deposit in right thorax, abutting the oblique fissure from 6.7 to 4.3 cm. CT thorax post four cycles of doxorubicin chemotherapy demonstrating reduction in metastatic deposit in right thorax, abutting the oblique fissure from 6.7 cm (baseline) to 4.1 cm. 1CT thorax end of treatment (post six cycles) with doxorubicin chemotherapy demonstrating reduction in metastatic deposit in right thorax, abutting the oblique fissure from 6.7 cm (baseline) to 3.5 cm

Six out of 9 patients (66.7%) had stable disease (SD) as the best response to first-line systemic treatment (See Table 2). One patient (11.1%) had a prolonged period (1.3 years) of SD with oral cyclophosphamide (200 mg once daily on an alternate week schedule) and prednisolone (20 mg once daily) [8]. This was a 63-year-old female treated for a malignant adenomyoepithelial carcinoma of the left breast with a lung metastasis. The patient had two previous excisions of the primary tumour and a metastectomy for thoracic/chest wall disease. Survival from diagnosis to death was 3.7 years.

The Kaplan–Meier curve of OS for patients treated with palliative systemic therapy is shown in Fig. 2. Median OS was 2.7 years from first relapse to death or last follow-up and median PFS for first-line systemic therapy was 9.3 months. OS rates at 5 years for patients with advanced or metastatic disease treated with palliative chemotherapy was 14.6% (95% CI 0.7–47.1%).

Fig. 2
figure 2

Survival from the start of first-line systemic therapy to death or last follow-up in patients with locally advanced or metastatic disease

There were no unexpected toxicities from systemic therapy and there were no treatment-related deaths. One patient treated with combination doxorubicin, cyclophosphamide and carboplatin in the first-line developed grade 3 neutropaenia, thrombocytopaenia and anaemia after four cycles of treatment which led to treatment discontinuation.

Discussion

Soft tissue myoepithelial carcinoma can cause significant morbidity with a paucity of evidence to guide management. To our knowledge, this single centre retrospective study of 24 sequential patients with myoepithelial carcinoma treated is the largest published cohort to date. Although our data are retrospective, a strength of this study is that the diagnosis was confirmed in all cases by an expert soft tissue pathologist. In addition, radiological response was re-evaluated in all patients treated with systemic therapy. Median follow-up for all patients was 3.9 years (IQR 2.7–6.3 years). Low numbers (reflecting the rarity of this disease) make it difficult to provide definitive answers regarding optimum management, but our data provide a benchmark for future studies in soft tissue myoepithelial carcinoma, as well as a guide to clinicians and patients regarding treatment choices and prognosis. Standard management of localised disease is complete surgical resection with or without radiation in a referral centre with experience in treating sarcoma.

Only one (11%) patient had a partial response to first-line systemic therapy. The median PFS following first-line therapy was 9.3 months, and the median OS from starting first-line therapy was 2.7 years. One patient had prolonged SD (15.4 months) with combination cyclophosphamide and prednisolone. Consequently, our data suggest that systemic therapy may have a role in palliating advanced soft tissue myoepithelial carcinoma.

Table 3 shows previous published reports of soft tissue myoepithelial carcinoma. A previous case report has documented a partial response to carboplatin and paclitaxel in a patient with metastatic disease, treated with complete cytoreductive surgery following chemotherapy [9].

Table 3 Case reports of myoepithelial carcinoma published to date

There are also currently no putative prognostic biomarkers for myoepithelial carcinoma; however, further study into the EWSR1 gene rearrangement [2], deletions of SMARCB1 [5] and their downstream pathways may be helpful in building a greater understanding of myoepithelial carcinoma pathogenesis and developing effective therapeutic agents.

Three patients (12.5%) were enrolled in phase I clinical trials at our institution during this period. SD was the best result achieved for 2 out of 3 (66.6%) of these patients. There are currently no clinical trials which specifically include patients diagnosed with myoepithelial carcinoma. Tazemetostat, an oral highly selective EZH2 inhibitor, has been evaluated in a Phase II trial (which included patients with myoepithelial carcinoma) [10].

Conclusion

Despite our data showing a greater than 50% chance of developing relapsed or metastatic disease, our recommendations are that surgery with clear resection margins should be performed by an expert sarcoma surgeon in specialist centres for localised disease. However, palliative or radical surgery in unfit patients or where surgery would lead to high levels of morbidity should be considered on an individual basis. Systemic therapy may have some activity in soft tissue myoepithelial carcinoma, however, there is a clear need for more effective treatments and enrolment into clinical trials should be encouraged. In order to obtain a greater understanding of this disease and improve outcomes, patients with soft tissue myoepithelial carcinoma should be treated and followed up in referral centres by a multi-disciplinary team [11].

References

  1. Thway K, Fisher C. Myoepithelial tumor of soft tissue: Histology and genetics of an evolving entity. Adv Anat Pathol. 2014;21(6):411–9.

    CAS  Article  Google Scholar 

  2. Jo VY, Fletcher CDM. Myoepithelial neoplasms of soft tissue: an updated review of the clinicopathologic, immunophenotypic, and genetic features. Head Neck Pathol. 2015;9(1):32–8.

    Article  Google Scholar 

  3. Hornick JL, Fletcher CDM. Myoepithelial tumors of soft tissue: a clinicopathologic and immunohistochemical study of 101 cases with evaluation of prognostic parameters. Am J Surg Pathol. 2003;27(9):1183–96.

    Article  Google Scholar 

  4. Hornick JL, Dal Cin P, Fletcher CDM. Loss of INI1 expression is characteristic of both conventional and proximal-type epithelioid sarcoma. Am J Surg Pathol. 2009;33:542–50.

    Article  Google Scholar 

  5. Le Loarer F, Zhang L, Fletcher CD, Ribeiro A, Singer S, Italiano A, et al. Consistent SMARCB1 homozygous deletions in epithelioid sarcoma and in a subset of myoepithelial carcinomas can be reliably detected by FISH in archival material. Genes Chromosom Cancer. 2014;53(6):475–86.

    CAS  Article  Google Scholar 

  6. Antonescu CR, Zhang L, Chang NE, Pawel BR, Travis W, Katabi N, et al. EWSR1-POU5F1 fusion in soft tissue myoepithelial tumors. A molecular analysis of sixty-six cases, including soft tissue, bone, and visceral lesions, showing common involvement of the EWSR1 gene. Genes Chromosom Cancer. 2009;12:1114–24.

    Google Scholar 

  7. Eisenhauer EA, Therasse P, Bogaerts J, Schwartz LH, Sargent D, Ford R, et al. New response evaluation criteria in solid tumours: revised RECIST guideline (version 1.1). Eur J Cancer. 2009;45(2):228–47.

    CAS  Article  Google Scholar 

  8. Mir O, Domont J, Cioffi A, Bonvalot S, Boulet B, Le Pechoux C, et al. Feasibility of metronomic oral cyclophosphamide plus prednisolone in elderly patients with inoperable or metastatic soft tissue sarcoma. Eur J Cancer. 2011;47(4):515–9.

    CAS  Article  Google Scholar 

  9. Hoggard TM, Henderson-Jackson E, Bui MM, Caracciolo J, Teer JK, Yoder S, et al. Myoepithelial carcinoma with RB1 mutation: remarkable chemosensitivity to carcinoma of unknown origin therapy. BMC Cancer. 2017;17(1):250.

    Article  Google Scholar 

  10. ClinicalTrials.gov. A Phase II, Multicenter Study of the EZH2 inhibitor tazemetostat in adult subjects with INI1-negative tumors or relapsed/refractory synovial sarcoma. U.S. Natl. Libr. Med. 2015 [cited 2019 Apr 19]. https://clinicaltrials.gov/ct2/show/NCT02601950.

  11. Blay JY, Soibinet P, Penel N, Bompas E, Duffaud F, Stoeckle E, et al. Improved survival using specialized multidisciplinary board in sarcoma patients. Ann Oncol. 2017;28:2852–9.

    Article  Google Scholar 

  12. Stojsić Z, Brasanac D, Bacetić D, Janković R, Drndarević N. Soft tissue myoepithelial carcinoma. Vojnosanit Pregl. 2006. https://doi.org/10.2298/VSP0606611S.

    Article  PubMed  Google Scholar 

  13. Tayal S, Suri V, Misra MC, Ray R. Myoepithelial carcinoma of soft tissue: a case report. Indian J Pathol Microbiol. 2007;50:761–3.

    PubMed  Google Scholar 

  14. Balogh Z, Deák L, Sápi Z. Malignant myoepithelioma of soft tissue: a case report with cytogenetic findings. Cancer Genet Cytogenet. 2008. https://doi.org/10.1016/j.cancergencyto.2008.02.013.

    Article  PubMed  Google Scholar 

  15. El-Kabany M, Al-Abdulghani R, Ali AE, Francis IMM, Hussein SA. Soft tissue high grade myoepithelial carcinoma with round cell morphology: report of a newly described entity with EWSR1 gene rearrangement. Gulf J Oncol. 2011;9:73–7.

    Google Scholar 

  16. Choi CH, Chu YC, Kim L, Choi SJ, Park IS, Han JY, et al. Myoepithelial carcinoma of soft tissue: a case report and review of the literature. Korean J Pathol. 2014. https://doi.org/10.4132/KoreanJPathol.2014.48.6.413.

    Article  PubMed  PubMed Central  Google Scholar 

  17. Mahdi Y, Zouaidia F, Zouhair A, Azouz M, Znati K, Jahid A, et al. Combined myoepithelial carcinoma and myoepithelioma in soft tissue: a case report and review of the literature. J Med Case Rep. 2014. https://doi.org/10.1186/1752-1947-8-317.

    Article  PubMed  PubMed Central  Google Scholar 

  18. Combalía A, Marco V, Seijas R, Domínguez R. Rare presentation of a soft-tissue myoepithelial carcinoma. J Orthop Sci. 2014. https://doi.org/10.1007/s00776-013-0399-9.

    Article  PubMed  Google Scholar 

  19. Machado I, Lõpez-Soto MV, Rubio L, Navarro L, Llombart-Bosch A. Soft tissue myoepithelial carcinoma with rhabdoid-like features and EWSR1 rearrangement: fine needle aspiration cytology with histologic correlation. Diagn Cytopathol. 2015. https://doi.org/10.1002/dc.23259.

    Article  PubMed  Google Scholar 

  20. Thway K, Bown N, Miah A, Turner R, Fisher C. Rhabdoid variant of myoepithelial carcinoma, with EWSR1 rearrangement: expanding the spectrum of EWSR1-rearranged myoepithelial tumors. Head Neck Pathol. 2015. https://doi.org/10.1007/s12105-014-0556-2.

    Article  PubMed  PubMed Central  Google Scholar 

  21. Moussaly E, Nazha B, Kedia S, Chang Q, Forte F. Soft tissue myoepithelial carcinoma of the neck with spinal invasion. Rare Tumors. 2016. https://doi.org/10.4081/rt.2016.6485.

    Article  PubMed  PubMed Central  Google Scholar 

  22. Mourtzoukou D, Zaidi S, Jones RL, Fisher C, Thway K. Soft tissue myoepithelial carcinoma metastatic to the cecum: highlighting an unusual metastatic pattern and the need for diagnostic awareness. Rare Tumors. 2016. https://doi.org/10.4081/rt.2016.6086.

    Article  PubMed  PubMed Central  Google Scholar 

  23. Thway K, Noujaim J, Thomas DM, Fisher C, Jones RL. Myoepithelial carcinoma of the paracecal mesentery: aggressive behavior of a rare neoplasm at an unusual anatomic site. Rare Tumors. 2017. https://doi.org/10.4081/rt.2017.6504.

    Article  PubMed  PubMed Central  Google Scholar 

  24. Kabarriti R, Quinn TJ, Ewart MR, Mehta KJ, Lomita C, Geller DS, et al. Neoadjuvant radiation therapy for the management of myoepithelial carcinoma of the upper extremity. Int J Cancer. 2018. https://doi.org/10.1002/ijc.31101.

    Article  PubMed  Google Scholar 

  25. Hui MM, Merani R, Bonar F, Hong AM, Fung AT. Presumed choroidal metastasis from soft tissue myoepithelial carcinoma. Am J Ophthalmol Case Rep. 2019. https://doi.org/10.1016/j.ajoc.2019.02.009.

    Article  PubMed  PubMed Central  Google Scholar 

Download references

Funding

This research did not receive any specific grant from funding agencies in the public, commercial, or not-for-profit sectors. This work was undertaken in The Royal Marsden NHS Foundation Trust together with The Institute of Cancer Research which receives BRC funding through the National Institute for Health Research (NIHR).

Author information

Affiliations

Authors

Corresponding author

Correspondence to Robin L. Jones.

Ethics declarations

Conflict of interest

Christina Messiou: Receipt of speaker honoraria Celgene, Janssen. Robin L Jones has been a consultant for Adaptimmune, Blueprint, Clinigen, Eisai, Epizyme, Daichii, Deciphera, Immunedesign, Lilly, Merck, Pharmamar and Tracon, Upto Date. The other authors declare that they have no conflict of interest.

Ethical approval

Full institutional ethical approval was obtained prior to commencing this retrospective study.

Additional information

Publisher's Note

Springer Nature remains neutral with regard to jurisdictional claims in published maps and institutional affiliations.

Rights and permissions

Open Access This article is licensed under a Creative Commons Attribution 4.0 International License, which permits use, sharing, adaptation, distribution and reproduction in any medium or format, as long as you give appropriate credit to the original author(s) and the source, provide a link to the Creative Commons licence, and indicate if changes were made. The images or other third party material in this article are included in the article's Creative Commons licence, unless indicated otherwise in a credit line to the material. If material is not included in the article's Creative Commons licence and your intended use is not permitted by statutory regulation or exceeds the permitted use, you will need to obtain permission directly from the copyright holder. To view a copy of this licence, visit http://creativecommons.org/licenses/by/4.0/.

Reprints and Permissions

About this article

Verify currency and authenticity via CrossMark

Cite this article

Chamberlain, F., Cojocaru, E., Scaranti, M. et al. Adult soft tissue myoepithelial carcinoma: treatment outcomes and efficacy of chemotherapy. Med Oncol 37, 13 (2020). https://doi.org/10.1007/s12032-019-1335-4

Download citation

  • Received:

  • Accepted:

  • Published:

  • DOI: https://doi.org/10.1007/s12032-019-1335-4

Keywords

  • Soft tissue myoepithelial carcinoma/tumour
  • Malignant myoepithelioma
  • Sarcomas
  • Soft tissue tumour
  • Treatment
  • Chemotherapy