Skip to main content

Visual Hallucinations in a Patient with Adult Onset Acid Maltase Deficiency Disorder

Abstract

A 66-year-old male presented with visual hallucinations. He had chronically elevated serum creatine kinase (CK) levels without muscle weakness. His hospital course was complicated by hypercapnic respiratory failure requiring mechanical ventilation. His hallucinations completely subsided on mechanical ventilation. Elevated CK levels prompted a muscle biopsy, which showed myopathy consistent with acid maltase deficiency disorder (AMDD). This is the first reported case of adult onset AMDD presenting with psychiatric symptoms. Our objective in reporting this case is to encourage early recognition of neuromuscular respiratory failure in AMDD and to reinforce that respiratory failure may develop without associated extremity muscle weakness.

CASE NARRATIVE

A 66-year-old male presented to his primary care physician’s office with a three-week history of visual hallucinations and nightmares. The hallucinations had all occurred at night while in bed. The patient had a two-year history of depression marked by decreased appetite, inability to concentrate and memory problems. He was diagnosed as having depression with psychotic features and was admitted to the inpatient psychiatry service for further evaluation.

The patient had minimal past medical history, significant only for hypertension and chronic, mildly elevated CK levels. This elevation in CK levels had been present for at least five years, with values generally ranging between 250-500 international units per liter (IU/L). An extensive workup had been performed to evaluate the cause of his elevated CK levels. He was not on any lipid lowering agents and his thyroid function was normal. His rheumatologic work-up, including antinuclear antibody, rheumatoid factor, anti-double stranded DNA, anti-centromere antibodies and erythrocyte sedimentation rate were all normal. His only symptoms were chronic minimal shortness of breath and fatigue, but he was still physically active. In fact the day prior to admission he had exercised on his treadmill. He had a remote history of smoking. He smoked 1-2 cigarettes for about five years and had quit about thirty years ago. There was no family history of inherited muscular disorders. His medications on admission to the hospital were nifedipine, metoprolol succinate, venlafaxine and eszopiclone. The eszopiclone had been prescribed recently for insomnia, but the patient had not been taking it, as he believed it was worsening his nightmares. On physical examination he was awake and alert. His body mass index was 23.3. Neurological examination revealed normal cranial nerves. Sensory and cerebellar systems were normal. The patient did have slight shoulder and pelvic girdle weakness but the distal muscles had good strength. Deep tendon reflexes and the plantar response were normal. The remainder of the physical exam was normal.

Mental status exam revealed a blunted affect but an appropriate thought process that was goal directed, logical and coherent without tangentiality or loosening of association. He admitted to visual hallucinations but denied any auditory hallucinations. His sensorium was clear and insight and judgment were good. He scored 24/30 on a mini mental state exam.

While in the inpatient psychiatry service, the patient was assessed to have depression with new onset psychotic features and cognitive impairment. Venlafaxine and eszopiclone were continued. In addition aripiprazole was started for the psychotic symptoms. A computerized tomography (CT) scan of the head did not identify any intracranial pathology. Admission labs were significant only for a CK level of 384 IU/L (normal range 30-200 IU/L) and serum bicarbonate of 32 mEq/L. An electroencephalogram was performed and was normal. To evaluate the elevated CK levels a nerve conduction test / electromyography was done. This showed evidence of myopathy. Based on these findings the patient was scheduled for a muscle biopsy.

On day two of hospitalization the patient was ambulating in the hallway and interacting with his family members, but he continued to have episodes of visual hallucinations intermittently. On the fourth morning the patient was found to be acutely unresponsive, even to painful stimuli. He had shallow respirations at a rate of 14/min. Arterial blood gases (ABG) obtained showed a PCO2 of 116. He was intubated and sent to the intensive care unit (ICU) to be placed on mechanical ventilation. Duplex venous exams of the lower extremities and the spiral CT did not show any evidence of thromboembolic disease. Aripiprazole, venlafaxine and eszopiclone were discontinued, though review of the patient’s medication administration record (MAR) revealed that he had not received aripiprazole for 24 hours prior to his acute mental status change.

Four days after ICU admission the deltoid muscle and the sural nerve were biopsied and were sent for histopathological analysis. Through these four days, while the patient was on the ventilator, he was awake and alert with good muscle strength. He did not have a single episode of hallucinations. Following the biopsies the patient did well and was extubated. Twelve hours later his blood gases showed a pH of 7.37, pCO2 of 56 and pO2 of 68. At this time the patient was clinically stable and was transferred to a medical floor.

Later that day the patient was noted to be using accessory muscles of respiration. Stat blood gases were unchanged and the patient was placed on a bi-level positive airway pressure (BiPAP) mask. Approximately ten hours later at around 01:15 AM the patient became suddenly unresponsive again. His pCO2 now was 148. He was re-intubated. Review of the MAR revealed that the patient had not received any sedatives, analgesics or psychiatric medications in the 24-hour period prior to this episode of hypercapnic failure. After eleven days on the ventilator a tracheostomy was performed for persistent respiratory failure.

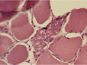
The following day the histopathology results of the muscle biopsy were available, which read as ‘vacuolated myopathy - probable acid maltase deficiency disorder’ (see Fig. 1). The patient was transferred to a tertiary center for possible enzyme replacement therapy. Four weeks later the results of the biochemical enzyme assay were obtained and showed low acid maltase levels, 0.57 micromol/min/gram1.74-9.98, confirming the diagnosis of primary acid maltase deficiency.

Figure 1
figure 1

Vacuolated myopathy: Biopsy of the patient’s deltoid muscle on a hematoxylin-eosin stain showing intracytoplasmic vacuoles.

Currently the patient is receiving enzyme replacement therapy. He has shown clinical improvement. He is off mechanical ventilator support for about 10-12 hours each day. Since he has been on mechanical ventilation the patient’s visual hallucinations have completely resolved.

DISCUSSION

Glycogen storage disorder type II (Pompe’s disease, acid maltase deficiency disorder-AMDD) is a rare autosomal recessive disorder caused by a deficiency of the lysosomal enzyme acid alpha glucosidase1. Figure 2 shows Pompe’s disease in the context of other glycogen storage disorders. Deficiency leads to intra-lysosomal accumulation of glycogen, primarily in the muscle causing muscle weakness and wasting2. Table 1 summarizes major characteristics of AMDD.

Figure 2
figure 2

Glycogen storage disorders and the sites of enzymatic defects. GSD : Glycogen storage disorder. GSD I : Von Gierke disease, glucose-6- phosphatase deficiency. GSD Ib : Glucose-6-phosphate transport defect. GSD II : Pompe disease, lysosomal acid maltase deficiency. GSD III : Forbes-Cori disease, glycogen debranching enzyme deficiency. GSD IV : Andersen disease, glycogen branching enzyme deficiency. GSD V : McArdle disease, muscle phosphorylase deficiency. GSD VI : Hers disease, liver phosphorylase deficiency. GSD VII : Tarui disease, phosphofructokinase deficiency in muscle. GSD VIII/IX: Phosphorylase kinase deficiency. Figure adopted with permission from Coriell Institute for Medical Research website.

Table 1 Major Characteristics of the Various Forms of Acid Maltase Deficiency Disorder

The incidence of acid maltase deficiency disorder is estimated to be about 1 in 40,000 births1,3. Traditionally three phenotypes, representing a continuum of disease spectrum, have been identified including the infantile onset, juvenile onset and the adult onset types. The infantile form has near complete deficiency of the enzyme. It generally presents in the first few months of life and is typically characterized by cardiomyopathy, generalized muscular hypotonia, macroglossia and hepatomegaly. The juvenile form has some residual alpha-glucosidase activity and is characterized by predominant involvement of the skeletal and respiratory muscles2.

The adult form of AMDD is the least common type. Adult onset AMDD generally presents in the third to sixth decade, classically with proximal myopathy2. Muscle weakness tends to be symmetric with the lower extremities generally being weaker than the upper extremities4. Respiratory failure is the most common cause of death2. Isolated respiratory failure without muscle weakness has been previously described1. We report an unusual case where a patient with adult onset AMDD presented with psychiatric symptoms as a manifestation of underlying neuromuscular respiratory weakness. Hagemans et al.1 performed a comprehensive review of the clinical characteristics of 54 Dutch patients with adult onset AMDD. They observed that the most common symptoms were difficulty in running/sports (67%), climbing stairs (28%), rising from an armchair (20%), all suggesting proximal limb muscle weakness. Nonspecific generalized complaints such as fatigue (24%) were also noted.

Respiratory insufficiency is an unusual presentation of adult onset AMDD. In Hageman’s review, only 1 out of 54 patients reported having respiratory symptoms as the initial symptom1. Solium et al. reported 2 out of 34 patients with acute onset respiratory insufficiency as the initial symptom5. Respiratory involvement may be more severe than skeletal muscle involvement4. Respiratory insufficiency in adult onset AMDD is attributed predominantly to diaphragmatic weakness4,6.

Adequate diaphragmatic function has been shown to be essential in preventing hypoxia during supine posture. Mellies and co-workers studied respiratory parameters in eight adult onset Pompe’s disease patients with chronic respiratory failure. They measured vital capacity and inspiratory muscle pressure in upright and supine postures. Nocturnal oxygen saturations were also measured. All patients showed a significant drop in vital capacity in supine posture and were noted to have severe deterioration of respiratory function and hypoxemia during sleep6. In a similar study Bye and associates7 studied oxygen saturations in patients with various neuromuscular disorders. They showed that oxygen saturations were lower during sleep than during the daytime and that the drop was greater during REM sleep as compared to non REM sleep.

Various clinical studies and isolated clinical reports have suggested a causal association between respiratory failure and the occurrence of psychiatric symptoms, in particular visual hallucinations and nightmares. Karanti and Landen reported a patient with visual hallucinations and psychotic features who was diagnosed with Pickwickian syndrome and obstructive sleep apnea. The patient’s psychiatric symptoms completely resolved after the patient was treated with continuous positive airway pressure8. Similar findings were reported in another study involving chronic nightmare sufferers with obstructive sleep apnea9. In these studies treatment of sleep apnea was associated with significant reduction in the frequency of nightmares. Klink and Quan in their study on chronic lung diseases have reported increased frequency of nightmares in patients with chronic obstructive airway disease10.

Our patient had a very unique presentation with visual hallucinations and psychosis as the initial symptoms. Most of his symptoms occurred at night while in bed. We hypothesize that our patient’s psychiatric symptoms were related to his neuromuscular respiratory failure. We were unable to create plausible temporal relationships between any medications and these episodes of hypercapnic respiratory failure. Further, our patient has had no further hallucinations since he has been on mechanical ventilator support, without being started on any antipsychotic medications. All these suggest a causal relationship between his neuromuscular respiratory failure and his hallucinations.

Respiratory failure is the primary cause of death in patients with adult onset acid maltase deficiency disorder. Longitudinal data from a recent study demonstrated that the use of nocturnal non-invasive ventilation was associated with improvement in the respiratory symptoms and survival. Improvements in sleep quality, daytime sleepiness, fatigue and dyspnea were observed11. Thus early identification and prompt treatment of respiratory failure in patients with adult onset AMDD may contribute significantly towards a reduction in morbidity and mortality from the illness.

Since AMDD is an autosomal recessive disorder it is important that patients with adult-onset AMDD receive genetic counseling. De Novo mutations are felt to be uncommon, so it should be assumed the patient’s parents are carriers. Once the abnormal alleles are identified in a diseased individual, molecular genetic testing techniques are available on a clinical basis to detect the carrier status of the at-risk family members. Prenatal testing is also available. The disease causing alleles can be identified in fetal cells obtained by amniocentesis or chorionic villus sampling12.

In conclusion, this atypical presentation of adult-onset AMDD illustrates the challenge of diagnosing neuromuscular disorders in the primary care setting. In addition to being very uncommon, they often have insidious onsets and manifest atypical features. While these disorders will rarely be in the initial differential diagnosis for patients presenting with respiratory or psychiatric complaints, one should consider a neuromuscular etiology if the initial evaluation is non-diagnostic.

REFERENCES

  1. Hagemans M, Winkel L, Van Doorn P, et al. Clinical manifestation and natural course of late-onset Pompe’s disease in 54 Dutch patients. Brain. 2005;128:671–7. Mar.

    PubMed  Article  CAS  Google Scholar 

  2. Raben N, Plotz P, Byrne BJ. Acid alpha-glucosidase deficiency (Glycogenosis type II, Pompe disease). Current Molecular Medicine. 2002;22:145–66. Mar.

    PubMed  Article  CAS  Google Scholar 

  3. Hagemans M, Winkel L, Hop W, Reuser A, Van Doorn P, Van der Ploeg A. Disease severity in children and adults with Pompe disease related to age and disease duration. Neurology. 2005;6412:2139–41.

    PubMed  Article  CAS  Google Scholar 

  4. Case LE, Kishnani PS. Physical therapy management of Pompe disease. Genetics in medicine. 2006;85:318–27. May.

    PubMed  Article  Google Scholar 

  5. Slonim AE, Bulone L, Goldberg T, et al. Modification of the natural history of adult-onset acid maltase deficiency by nutrition and exercise therapy. Muscle Nerve. 2007;351:70–7. Jan.

    PubMed  Article  CAS  Google Scholar 

  6. Mellies U, Ragette R, Schwake C, Baethmann M, Voit T, Teschler H. Sleep-disordered breathing and respiratory failure in acid maltase deficiency. Neurology. 2001;577:1290–5. Oct 9.

    PubMed  CAS  Google Scholar 

  7. Bye P, Ellis E, Issa F, Donnelly P, Sullivan C. Respiratory failure and sleep in neuromuscular disease. Thorax. 1990;45:241–7.

    PubMed  Article  CAS  Google Scholar 

  8. Karanti A, Landen M. Treatment refractory psychosis remitted upon treatment with continuous positive airway pressure: a case report. Psychopharmacol Bull. 2007;401:113–7.

    PubMed  Google Scholar 

  9. Krakow B, Lowry C, Germain A, et al. A retrospective study on improvements in nightmares and post-traumatic stress disorder following treatment for co-morbid sleep-disordered breathing. J Psychosom Res. 2000;495:291–8. Nov.

    PubMed  Article  CAS  Google Scholar 

  10. Klink M, Quan SF. Prevalence of reported sleep disturbances in a general adult population and their relationship to obstructive airways diseases. Chest. 1987;914:540–6. Apr.

    PubMed  Article  CAS  Google Scholar 

  11. Mellies U, Stehling F, Dohna-Schwake C, Ragette R, Teschler H, Voit T. Respiratory failure in Pompe disease: treatment with noninvasive ventilation. Neurology. 2005;648:1465–7. Apr 26.

    PubMed  CAS  Google Scholar 

  12. Gene Reviews. Glycogen storage disease type II (Pompe disease). Available at http://www.ncbi.nlm.nih.gov/bookshelf/br.fcgi?book=gene&part=gsd2. Accessed December 1, 2008.

Download references

Acknowledgement

We have not received any form of funding for the work represented in the manuscript.

Conflict of Interest

None disclosed.

Author information

Affiliations

Authors

Corresponding authors

Correspondence to Ritesh Patil MD, MPH or Jack L. DePriest MD, FCCP, FACP.

Rights and permissions

Reprints and Permissions

About this article

Cite this article

Patil, R., DePriest, J.L. Visual Hallucinations in a Patient with Adult Onset Acid Maltase Deficiency Disorder. J GEN INTERN MED 24, 683–686 (2009). https://doi.org/10.1007/s11606-009-0923-y

Download citation

  • Received:

  • Revised:

  • Accepted:

  • Published:

  • Issue Date:

  • DOI: https://doi.org/10.1007/s11606-009-0923-y

KEY WORDS

  • acid maltase deficiency disorder
  • elevated serum creatine kinase
  • visual hallucinations