Skip to main content

Airborne Bacteria Enriched PM2.5 Enhances the Inflammation in an Allergic Adolescent Mouse Model Induced by Ovalbumin

Abstract

Air pollution events frequently occur in China during the winter. Most investigations of pollution studies have focused on the physical and chemical properties of PM2.5. Many of these studies have indicated that PM2.5 exacerbates asthma or eosinophil inflammation. However, few studies have evaluated the relationship between bacterial loads in PM2.5, and especially pathogenic bacteria and childhood asthma. Airborne PM2.5 samples from heavily polluted air were collected in Hangzhou, China between December 2014 and January 2015. PM2.5 and ovalbumin (OVA) were intratracheally administered twice in 4-week intervals to induce the allergic pulmonary inflammation in adolescent C57/BL6 mice. PM2.5 exposure caused neutrophilic alveolitis and bronchitis. In the presence of OVA, the levels of the Th2 cytokines IL-4, IL-12, and IL-17 were significantly increased in bronchoalveolar lavage fluids (BALF) after PM2.5 exposure, while eosinophil infiltration and mucin secretion were also induced. In addition to adjuvant effects on OVA-induced allergic inflammation, PM2.5 exposure also led to the maturation of dendritic cells. These results suggest that PM2.5 exposure may aggravate lung eosinophilia and that PM2.5-bound microbial can exacerbate allergic and inflammatory lung diseases.

This is a preview of subscription content, access via your institution.

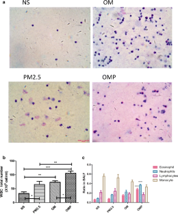
Fig. 1
Fig. 2
Fig. 3
Fig. 4
Fig. 5
Fig. 6
Fig. 7

Abbreviations

BHR:

bronchial hyper-responsiveness

PM:

particulate matter

OVA:

ovalbumin

BALF:

bronchoalveolar lavage fluid

IL:

interleukin

DC:

dendritic cell

IFN-γ:

interferon-γ

TNF-α:

tumor necrosis factor-α

EOS:

eosinophil

NEU:

neutrophil

References

  1. Masoli, M., D. Fabian, S. Holt, and R. Beasley. 2004. Global initiative for asthma P: The global burden of asthma: Executive summary of the GINA dissemination committee report. Allergy 59: 469–478.

    Article  Google Scholar 

  2. Chen, Z.H., P.L. Wang, and H.H. Shen. 2013. Asthma research in China: A five-year review. Respirology 18: 10–19.

    CAS  Article  Google Scholar 

  3. Chen, Y.Z. 2003. National Cooperation Group on Childhood a: [a nationwide survey in China on prevalence of asthma in urban children]. Zhonghua Er Ke Za Zhi 41: 123–127.

    PubMed  Google Scholar 

  4. Bowatte, G., C. Lodge, A. Lowe, B. Erbas, J. Perret, M. Abramson, M. Matheson, and S. Dharmage. 2015. The influence of childhood traffic-related air pollution exposure on asthma, allergy and sensitization: A systematic review and a meta-analysis of birth cohort studies. Allergy 70: 245–256.

    CAS  Article  Google Scholar 

  5. Ding, L., D. Zhu, and D. Peng. 2015. Meta-analysis of the relationship between particulate matter (PM(10) and PM(2.5)) and asthma hospital admissions in children. Zhonghua Er Ke Za Zhi 53: 129–135.

    PubMed  Google Scholar 

  6. Zheng, X.Y., H. Ding, L.N. Jiang, S.W. Chen, J.P. Zheng, M. Qiu, Y.X. Zhou, Q. Chen, and W.J. Guan. 2015. Association between air pollutants and asthma emergency room visits and hospital admissions in time series studies: A systematic review and meta-analysis. PLoS One 10: e0138146.

    Article  Google Scholar 

  7. Li, G.X,. Ming, and Qiang Zeng. 2017. Association between fine ambient particulate matter and daily total mortality: An analysis from 160 communities of China. Science of the Total Environment 599: 108–113.

    CAS  Article  Google Scholar 

  8. Tian YX, Xiao; Juan, Juan;: Fine particulate air pollution and hospital visits for asthma in Beijing, China.Environmental Pollution 2017, 230:227–233.

    CAS  Article  Google Scholar 

  9. Chow, J.C., J.G. Watson, L.W. Chen, S.S. Ho, D. Koracin, B. Zielinska, D. Tang, F. Perera, J. Cao, and S.C. Lee. 2006. Exposure to PM2.5 and PAHs from the Tong Liang, China epidemiological study. Journal of Environmental Science and Health. Part A, Toxic/Hazardous Substances & Environmental Engineering 41: 517–542.

    CAS  Article  Google Scholar 

  10. Kay, A.B. 2001. Allergy and allergic diseases. First of two parts. The New England Journal of Medicine 344: 30–37.

    CAS  Article  Google Scholar 

  11. Ji, N.F., Y.C. Xie, M.S. Zhang, X. Zhao, H. Cheng, H. Wang, K.S. Yin, and M. Huang. 2014. Ligustrazine corrects Th1/Th2 and Treg/Th17 imbalance in a mouse asthma model. International Immunopharmacology 21: 76–81.

    CAS  Article  Google Scholar 

  12. Liang, P., S. Peng, M. Zhang, Y. Ma, X. Zhen, and H. Li. 2017. Huai qi Huang corrects the balance of Th1 /Th2 and Treg /Th17 in an ovalbumin -induced asthma mouse model. Bioscience Reports 37: BSR20171071.

    CAS  Article  Google Scholar 

  13. Shi, Y.H., G.C. Shi, H.Y. Wan, L.H. Jiang, X.Y. Ai, H.X. Zhu, W. Tang, J.Y. Ma, X.Y. Jin, and B.Y. Zhang. 2011. Coexistence of Th1/Th2 and Th17/Treg imbalances in patients with allergic asthma. Chinese Medical Journal 124: 1951–1956.

    CAS  PubMed  Google Scholar 

  14. Mazzarella, G., A. Bianco, E. Catena, R. De Palma, and G.F. Abbate. 2000. Th1/Th2 lymphocyte polarization in asthma. Allergy 55 (Suppl 61): 6–9.

    Article  Google Scholar 

  15. Foster, P.S., A.W. Mould, M. Yang, J. Mackenzie, J. Mattes, S.P. Hogan, S. Mahalingam, A.N. McKenzie, M.E. Rothenberg, I.G. Young, et al. 2001. Elemental signals regulating eosinophil accumulation in the lung. Immunological Reviews 179: 173–181.

    CAS  Article  Google Scholar 

  16. Nakagome, K., S. Matsushita, and M. Nagata. 2012. Neutrophilic inflammation in severe asthma. International Archives of Allergy and Immunology 158 (Suppl 1): 96–102.

    CAS  Article  Google Scholar 

  17. Liu, H., X. Zhang, H. Zhang, X. Yao, M. Zhou, J. Wang, Z. He, H. Zhang, L. Lou, W. Mao, et al. 2017. Effect of air pollution on the total bacteria and pathogenic bacteria in different sizes of particulate matter. Environmental Pollution 233: 483–493.

    Article  Google Scholar 

  18. Tanaka, H., T. Masuda, S. Tokuoka, M. Komai, K. Nagao, Y. Takahashi, and H. Nagai. 2001. The effect of allergen-induced airway inflammation on airway remodeling in a murine model of allergic asthma. Inflammation Research 50: 616–624.

    CAS  Article  Google Scholar 

  19. Padrid, P., S. Snook, T. Finucane, P. Shiue, P. Cozzi, J. Solway, and A.R. Leff. 1995. Persistent airway hyperresponsiveness and histologic alterations after chronic antigen challenge in cats. American Journal of Respiratory and Critical Care Medicine 151: 184–193.

    CAS  Article  Google Scholar 

  20. He, M., T. Ichinose, Y. Ren, Y. Song, Y. Yoshida, K. Arashidani, S. Yoshida, M. Nishikawa, H. Takano, and G. Sun. 2015. PM2.5-rich dust collected from the air in Fukuoka, Kyushu, Japan, can exacerbate murine lung eosinophilia. Inhalation Toxicology 27: 287–299.

    CAS  Article  Google Scholar 

  21. He, M., T. Ichinose, B. Liu, Y. Song, Y. Yoshida, F. Kobayashi, T. Maki, S. Yoshida, M. Nishikawa, H. Takano, and G. Sun. 2016. Silica-carrying particulate matter enhances Bjerkandera adusta-induced murine lung eosinophilia. Environmental Toxicology 31: 93–105.

    CAS  Article  Google Scholar 

  22. Zhong, C.Y., Y.M. Zhou, K.R. Smith, I.M. Kennedy, C.Y. Chen, A.E. Aust, and K.E. Pinkerton. 2010. Oxidative injury in the lungs of neonatal rats following short-term exposure to ultrafine iron and soot particles. Journal of Toxicology and Environmental Health. Part A 73: 837–847.

    CAS  Article  Google Scholar 

  23. Falcon-Rodriguez, C.I., A. De Vizcaya-Ruiz, I.A. Rosas-Perez, A.R. Osornio-Vargas, and P. Segura-Medina. 2017. Inhalation of concentrated PM2.5 from Mexico City acts as an adjuvant in a Guinea pig model of allergic asthma. Environmental Pollution 228: 474–483.

    CAS  Article  Google Scholar 

  24. Li, N., J.R. Harkema, R.P. Lewandowski, M. Wang, L.A. Bramble, G.R. Gookin, Z. Ning, M.T. Kleinman, C. Sioutas, and A.E. Nel. 2010. Ambient ultrafine particles provide a strong adjuvant effect in the secondary immune response: Implication for traffic-related asthma flares. American Journal of Physiology. Lung Cellular and Molecular Physiology 299: L374–L383.

    CAS  Article  Google Scholar 

  25. Wang, P., P. Thevenot, J. Saravia, T. Ahlert, and S.A. Cormier. 2011. Radical-containing particles activate dendritic cells and enhance Th17 inflammation in a mouse model of asthma. American Journal of Respiratory Cell and Molecular Biology 45: 977–983.

    CAS  Article  Google Scholar 

  26. Goldsmith, C.A., K. Hamada, Y. Ning, G. Qin, P. Catalano, G.G. Krishna Murthy, J. Lawrence, and L. Kobzik. 1999. Effects of environmental aerosols on airway hyperresponsiveness in a murine model of asthma. Inhalation Toxicology 11: 981–998.

    CAS  Article  Google Scholar 

  27. Chiang, C.Y., C.C. Lee, C.K. Fan, H.M. Huang, B.L. Chiang, and Y.L. Lee. 2017. Osthole treatment ameliorates Th2-mediated allergic asthma and exerts immunomodulatory effects on dendritic cell maturation and function. Cellular & Molecular Immunology 14: 935–947.

    CAS  Article  Google Scholar 

  28. Stoll, P., A. Bahker, M. Ulrich, K. Bratke, K. Garbe, J. Christian Virchow, and M. Lommatzsch. 2016. The dendritic cell high-affinity IgE receptor is overexpressed in both asthma and severe COPD. Clinical and Experimental Allergy 46: 575–583.

    CAS  Article  Google Scholar 

  29. Lambrecht, B.N., R.A. Pauwels, and B. Fazekas De St Groth. 2000. Induction of rapid T cell activation, division, and recirculation by intratracheal injection of dendritic cells in a TCR transgenic model. Journal of Immunology 164: 2937–2946.

    CAS  Article  Google Scholar 

  30. Hirahara, K., and T. Nakayama. 2016. CD4+ T-cell subsets in inflammatory diseases: Beyond the Th1/Th2 paradigm. International Immunology 28: 163–171.

    CAS  Article  Google Scholar 

  31. Wisniewski, J., and L. Borish. 2011. Novel cytokines and cytokine-producing T cells in allergic disorders. Allergy and Asthma Proceedings 32: 83–94.

    CAS  Article  Google Scholar 

  32. Mosmann, T.R., and R.L. Coffman. 1989. TH1 and TH2 cells: Different patterns of lymphokine secretion lead to different functional properties. Annual Review of Immunology 7: 145–173.

    CAS  Article  Google Scholar 

  33. Kianmehr, M., D. Haghmorad, R. Nosratabadi, A. Rezaei, A. Alavinezhad, and M.H. Boskabady. 2017. The effect of Zataria multiflora on Th1/Th2 and Th17/T regulatory in a mouse model of allergic asthma. Frontiers in Pharmacology 8: 458.

    Article  Google Scholar 

  34. Kilkenny C, Browne W, Cuthill IC, Emerson M, Altman DG and Group NCRRGW. 2010. Animal research: reporting in vivo experiments: the ARRIVE guidelines. British journal of pharmacology 160(7): 1577-1579.

    CAS  Article  Google Scholar 

Download references

Acknowledgments

The first author wishes to thank all members of the Tang laboratory for their help during the entire experiment. We are also grateful to Li Liu, Jiajia Wang, and Jin Chen (Core Facilities, Zhejiang University School of Medicine) for flow cytometry technical assistance and process analysis, in addition to Ruhuan Mei (Basic Medicinal Experimental Teaching Platform, Zhejiang University School of Medicine) for assisting in the isolation and clutivation of splenocytes.

Availability of Data and Materials

The datasets analyzed during the current study are available from the corresponding author upon reasonable request.

Funding

This work was funded by the Hangzhou Health Science & Technology program (2014A02), the Science Technology Department of Zhejiang Province Project (2017C37132), the Zhejiang Provincial Natural Science Foundation (Y14H310012 and Y18H310007), and the National Natural Science Foundation of China (81570536).

Author information

Affiliations

Authors

Contributions

ZXY and TL participated in most experiments, interpreted the results, and wrote the manuscript. SD and YJE contributed to the preparation of animal models, the collection of tissue specimens, and interpreted many of the experimental results. HZQ, ZLJ, LYJ, and XEF contributed to the preparation of flow cytometry samples and tissue harvesting. THF conceived all of the experiments and participated in the interpretation of the results and manuscript writing.

Corresponding authors

Correspondence to Xu-Yang Zheng or Hui-Fang Tang.

Ethics declarations

Ethics Approval and Consent to Participate

The study was approved by the Ethics Committee of Zhejiang University, and the experiments were performed in accordance with the National Institutes of Health Guidelines for the Use of Laboratory Animals.

Consent for Publication

All authors read and approved the final version of the manuscript.

Competing Interests

The authors declare they have no competing interests.

Additional information

Publisher’s Note

Springer Nature remains neutral with regard to jurisdictional claims in published maps and institutional affiliations.

Rights and permissions

Reprints and Permissions

About this article

Verify currency and authenticity via CrossMark

Cite this article

Zheng, XY., Tong, L., Shen, D. et al. Airborne Bacteria Enriched PM2.5 Enhances the Inflammation in an Allergic Adolescent Mouse Model Induced by Ovalbumin. Inflammation 43, 32–43 (2020). https://doi.org/10.1007/s10753-019-01071-5

Download citation

  • Published:

  • Issue Date:

  • DOI: https://doi.org/10.1007/s10753-019-01071-5

KEY WORDS

  • PM2.5
  • Asthma
  • Dendritic cell
  • IL-17