Skip to main content

The Microvacular Thrombi of Colonic Tissue in Ulcerative Colitis

Abstract

Mucosal microvacular thrombi in rectal biopsies were observed in some ulcerative colitis (UC). Heparin may be effective in steroid resistant UC in some studies, however, the new results of meta-analysis demonstrated a non-significant effect of heparin in controlled clinical trials, differing markedly from observational studies. The objective of this study was to identify colonic microvascular thrombi in larger cases with UC, and analyse its possible risk factors: age, gender, histologic score, extent of lesions and operation or biopsy specimens, and assess the significance of microvascular thrombosis in patients with UC. The microvascular thrombi were identified by immunohistochemical staining with anti-CD61 monoclonal antibody and Martius scarlet blue (MSB) staining in 40 colonic tissue samples of UC (31 biopsy specimens and nine operated cases) and 12 cases of normal colon tissue from operated colonic carcinoma. Logistic regression analysis was used to assess the relationship of age, gender, degree of histology, origin of the specimens, extent of lesions and microvascular thrombi examined. Microvascular thrombi were positive in 14 of 40 UC cases, and none in the controls. The presence of microvascular thrombi was related to operation specimens with odds ratio 11.667, P=0.0179, it might be also related to histologic score (OR=1.350) and extent of lesions (OR=1.619). These results suggest that microvascular thrombosis may be one of the important pathogenesis in some UC, and that the effect of anticoagulant treatment still needs to be assessed.

This is a preview of subscription content, access via your institution.

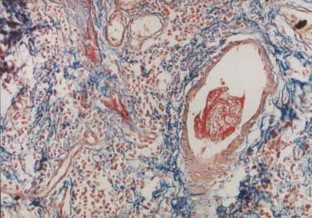
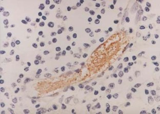
Fig. 1
Fig. 2
Fig. 3
Fig. 4

References

  1. Dhillon AP, Anthony A, Sim R, Wakefield AJ, Sankey EA, Hudson M, Allison MC, Pounder RE (1992) Mucosal capillary thrombi in rectal biopsies. Histopathology 21:127–133

    PubMed  Article  CAS  Google Scholar 

  2. Gaffney PR, O’Leary JJ, Doyle CT, Gaffney A, Hogan J, Smew F, Annis P (1991) Response to heparin in patients with ulcerative colitis. Lancet 26(337):238–239

    Article  Google Scholar 

  3. Gaffney PR, Doyle CT, Gaffney A, Hogan J, Hayes DP, Annis P (1995) Paradoxical response to heparin in 10 patients with ulcerative colitis. Am J Gastroenterol 90:220–223

    PubMed  CAS  Google Scholar 

  4. Evans RC, Wong VS, Morris AI, Rhodes JM (1997) Treatment of corticosteroid-resistant ulcerative colitis with heparin: A report of 16 cases. Aliment Pharmacol Ther 11:1037–1040

    PubMed  Article  CAS  Google Scholar 

  5. Folwaczny C, Wiebecke B, Loeschke K (1999) Unfractioned heparin in the therapy of patients with highly active inflammatory bowel disease. Am J Gastroenterol 94:1551–1555

    PubMed  Article  CAS  Google Scholar 

  6. Torkvist L, Thorlacius H, Sjoqvist U, Bohman L, Lapidus A, Flood L, Agren B, Raud J, Lofberg R (1999) Low molecular weight heparin as adjuvant therapy in active ulcerative colitis. Aliment Pharmacol Ther 13:1323–1328

    PubMed  Article  CAS  Google Scholar 

  7. Ang YS, Mahmud N, White B, Byrne M, Kelly A, Lawler M, McDonald GS, Smith OP, Keeling PW (2000) Randomized comparison of unfractionated heparin with corticosteroids in severe active inflammatory bowel disease. Aliment Pharmacol Ther 14:1015–1022

    PubMed  Article  CAS  Google Scholar 

  8. Panes J, Esteve M, Cabre E, Hinojosa J, Andreu M, Sans M, Fernandez-Banares F, Feu F, Gassull MA, Pique JM (2000) Comparison of heparin and steroids in the treatment of moderate and severe ulcerative colitis. Gastroenterology 119:903–908

    PubMed  Article  CAS  Google Scholar 

  9. Papa A, Danese S, Gasbarrini A, Gasbarrini G (2000) Review article: Potential therapeutic applications and mechanisms of action of heparin in inflammatory bowel disease. Aliment Pharmacol Ther 14:1403–1409

    PubMed  Article  CAS  Google Scholar 

  10. Dotan I, Hallak A, Arber N, Santo M, Alexandrowitz A, Knaani Y, Hershkoviz R, Brazowski E, Halpern Z (2001) Low-dose low-molecular weight heparin (enoxaparin) is effective as adjuvant treatment in active ulcerative colitis: An open trial. Dig Dis Sci 46:2239–2244

    PubMed  Article  CAS  Google Scholar 

  11. Thompson NP, Wakefield AJ, Pounder RE (1995) Inherited disorders of coagulation appear to protect against inflammatory bowel disease. Gastroenterology 108:1011–1015

    PubMed  Article  CAS  Google Scholar 

  12. Spina L, Saibeni S, Battaglioli T, Peyvandi F, de Franchis R, Vecchi M (2005) Thrombosis in inflammatory bowel diseases: Role of inherited thrombophilia. Am J Gastroenterol 100:2036–2041

    PubMed  Article  CAS  Google Scholar 

  13. Vecchi M, Sacchi E, Saibeni S, Meucci G, Tagliabue L, Duca F, De Franchis R (2000) Inflammatory bowel diseases are not associated with major hereditary conditions predisposing to thrombosis. Dig Dis Sci 45:1465–1469

    PubMed  Article  CAS  Google Scholar 

  14. Salasa M, Sansa A, Sorianoa JC, Reverterb DC, Andersonc JM, Piqua J, Pansa J (2000) Heparin attenuates TNF- induced inflammatory response through a CD11b dependent mechanism. Gut 47:88–96

    Article  Google Scholar 

  15. Hogasen AK, Abrahamsen TG (1995) Heparin suppresses lipopolysaccharide-induced monocyte production of several cytokines, but simultaneously stimulates C3 production. Thromb Res 80:179–184

    PubMed  Article  CAS  Google Scholar 

  16. Baram D, Rashkovsky M, Hershkoviz R, Drucker I, Reshef T, Ben-Shitrit S, Mekori YA (1997) Inhibitory effects of low molecular weight heparin on mediator release by mast cells: preferential inhibition of cytokine production and mast cell-dependent cutaneous inflammation. Clin Exp Immunol 110:485–491

    PubMed  Article  CAS  Google Scholar 

  17. Vrij AA, Jansen JM, Schoon EJ, de Bruine A, Hemker HC, Stockbrugger RW (2001) Low molecular weight heparin treatment in steroid refractory ulcerative colitis: Clinical outcome and influence on mucosal capillary thrombi. Scand J Gastroenterol Suppl 234:41–47

    PubMed  Article  Google Scholar 

  18. Malhotra S, Kondal A, Shafiq N, Sidhu S, Bhasin DK, Pandhi P (2004) A comparison of observational studies and controlled trials of heparin in ulcerative colitis. Int J Clin Pharmacol Ther 42:690–694

    PubMed  CAS  Google Scholar 

  19. Hudson M, Chitolie A, Hutton RA, Smith MS, Pounder RE, Wakefield AJ (1996) Thrombotic vascular risk factors in inflammatory bowel disease. Gut 38:733–737

    PubMed  CAS  Google Scholar 

  20. Bernstein CN, Blanchard JF, Houston DS, Wajda A (2001) The incidence of deep venous thrombosis and pulmonary embolism among patients with inflammatory bowel disease: A population-based cohort study. Thromb Haemost 85:430–434

    PubMed  CAS  Google Scholar 

  21. Miehsler W, Reinisch W, Valic E, Osterode W, Tillinger W, Feichtenschlager T, Grisar J, Machold K, Scholz S, Vogelsang H, Novacek G (2004) Is inflammatory bowel disease an independent and disease specific risk factor for thromboembolism? Gut 53:542–548

    PubMed  Article  CAS  Google Scholar 

  22. Sonoda K, Ikeda S, Mizuta Y, Miyahara Y, Kohno S (2004) Evaluation of venous thromboembolism and coagulation-fibrinolysis markers in Japanese patients with inflammatory bowel disease. J Gastroenterol 39:948–954

    PubMed  Article  Google Scholar 

  23. Larsen TB, Nielsen JN, Fredholm L, Lund ED, Brandslund I, Munkholm P, Hey H (2002) Platelets and anticoagulant capacity in patients with inflammatory bowel disease. Pathophysiol Haemost Thromb 32:92–96

    PubMed  Article  CAS  Google Scholar 

  24. Biancone L, Scopinaro F, Maletta M, Monteleone G, Luzza F, Banci M, Mercantini P, Renda T, Pallone F (1994) Circulating D dimer in inflammatory bowel disease. It J Gastroenterol 26:116–120

    CAS  Google Scholar 

  25. Hayat M, Ariens RA, Moayyedi P, Grant PJ, O’Mahony S (2002) Coagulation factor XIII and markers of thrombin generation and fibrinolysis in patients with inflammatory bowel disease. Eur J Gastroenterol Hepatol 14:249–256

    PubMed  Article  CAS  Google Scholar 

  26. Souto JC, Martinez E, Roca M, Mateo J, Pujol J, Gonzalez D, Fontcuberta J (1995) Prothrombotic state and signs of endothelial lesion in plasma of patients with inflammatory bowel disease. Dig Dis Sci 40:1883–1889

    PubMed  Article  CAS  Google Scholar 

  27. Vrij AA, Rijken J, van Wersch JW, Stockbrugger RW (2003) Coagulation and fibrinolysis in inflammatory bowel disease and in giant cell arteritis. Pathophysiol Haemost Thromb 33:75–83

    PubMed  Article  CAS  Google Scholar 

  28. Van Bodegraven AA, Tuynman HA, Schoorl M, Kruishoop AM, Bartels PC (1995) Fibrinolytic split products, fibrinolysis, and factor XIII activity in inflammatory bowel disease. Scand J Gastroenterol 30:580–585

    PubMed  CAS  Google Scholar 

  29. van Wersch JW, Houben P, Rijken J (1990) Platelet count, platelet function, coagulation activity and fibrinolysis in the acute phase of inflammatory bowel disease. J Clin Chem Clin Biochem 28:513–517

    PubMed  CAS  Google Scholar 

  30. Dotan I, Hershkoviz R, Karmeli F, Brazowski E, Peled Y, Rachmilewitz D, Halpern Z (2001) Heparin and low-molecular-weight heparin (enoxaparin) significantly ameliorate experimental colitis in rats. Aliment Pharmacol Ther 15:1687–1697

    PubMed  Article  CAS  Google Scholar 

  31. Bloom S, Kiilerich S, Lassen MR, Forbes A, Leiper K, Langholz E, Irvine EJ, O’Morain C, Lowson D, Orm S (2004) Low molecular weight heparin (tinzaparin) vs. placebo in the treatment of mild to moderately active ulcerative colitis. Aliment Pharmacol Ther 15:871–878

    Article  Google Scholar 

  32. Day R, Ilyas M, Daszak P, Talbot I, Forbes A (1999) Expression of syndecan-1 in inflammatory bowel disease and a possible mechanism of heparin therapy. Dig Dis Sci 44:2508–2515

    PubMed  Article  CAS  Google Scholar 

Download references

Author information

Affiliations

Authors

Corresponding author

Correspondence to Guobin He.

Rights and permissions

Reprints and Permissions

About this article

Cite this article

He, G., Ouyang, Q., Chen, D. et al. The Microvacular Thrombi of Colonic Tissue in Ulcerative Colitis. Dig Dis Sci 52, 2236–2240 (2007). https://doi.org/10.1007/s10620-006-9158-5

Download citation

  • Received:

  • Accepted:

  • Published:

  • Issue Date:

  • DOI: https://doi.org/10.1007/s10620-006-9158-5

Keywords

  • Ulcerative colitis
  • Microvacular thrombi
  • Thrombosis