Skip to main content

Image quality improvements using adaptive statistical iterative reconstruction for evaluating chronic myocardial infarction using iodine density images with spectral CT

Abstract

Single-source dual-energy CT (ssDECT) allows the reconstruction of iodine density images (IDIs) from projection based computing. We hypothesized that adding adaptive statistical iterative reconstruction (ASiR) could improve image quality. The aim of our study was to evaluate the effect and determine the optimal blend percentages of ASiR for IDI of myocardial late iodine enhancement (LIE) in the evaluation of chronic myocardial infarction using ssDECT. A total of 28 patients underwent cardiac LIE using a ssDECT scanner. IDIs between 0 and 100% of ASiR contributions in 10% increments were reconstructed. The signal-to-noise ratio (SNR) of remote myocardia and the contrast-to-noise ratio (CNR) of infarcted myocardia were measured. Transmural extent of infarction was graded using a 5-point scale. The SNR, CNR, and transmural extent were assessed for each ASiR contribution ratio. The transmural extents were compared with MRI as a reference standard. Compared to 0% ASiR, the use of 20–100% ASiR resulted in a reduction of image noise (p < 0.01) without significant differences in the signal. Compared with 0% ASiR images, reconstruction with 100% ASiR image showed the highest improvement in SNR (229%; p < 0.001) and CNR (199%; p < 0.001). ASiR above 80% showed the highest ratio (73.7%) of accurate transmural extent classification. In conclusion, ASiR intensity of 80–100% in IDIs can improve image quality without changes in signal and maximizes the accuracy of transmural extent in infarcted myocardium.

This is a preview of subscription content, access via your institution.

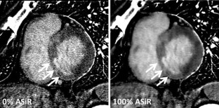
Fig. 1
Fig. 2
Fig. 3
Fig. 4
Fig. 5

References

  1. Shivalkar B, Maes A, Borgers M, Ausma J, Scheys I, Nuyts J, Mortelmans L, Flameng W (1996) Only hibernating myocardium invariably shows early recovery after coronary revascularization. Circulation 94:308–315

    CAS  Article  PubMed  Google Scholar 

  2. Bax JJ, Visser FC, Poldermans D, Elhendy A, Cornel JH, Boersma E, Lingen A, Fioretti PM, Visser CA (2001) Time course of functional recovery of stunned and hibernating segments after surgical revascularization. Circulation 104:314–318

    Article  Google Scholar 

  3. Baks T, Cademartiri F, Moelker AD, Giessen WJ, Krestin GP, Duncker DJ, Feyter PJ (2007) Assessment of acute reperfused myocardial infarction with delayed enhancement 64-MDCT. Am J Roentogenol 188:W135–W137

    Article  Google Scholar 

  4. Lardo AC, Cordeiro MAS, Silva C, Amado LC, George RT, Saliaris AP, Schuleri KH, Fernandes VR, Zviman M, Nazarian S, Halperin HR, Wu KC, Hare JM, Lima JAC (2006) Contrast-enhanced multidetector computed tomography viability imaging after myocardial infarction characterization of myocyte death, microvascular obstruction, and chronic scar. Circulation 113:394–404

    Article  PubMed  PubMed Central  Google Scholar 

  5. Gerber BL, Belge B, Legros GJ, Lim P, Poncelet A, Pasquet A, Gisellu G, Coche E, Vanoverschelde JL (2006) Characterization of acute and chronic myocardial infarcts by multidetector computed tomography comparison with contrast-enhanced magnetic resonance. Circulation 113:823–833

    Article  PubMed  Google Scholar 

  6. Nieman K, Shapiro MD, Ferencik M, Nomura CH, Abbara S, Hoffmann U, Gold HK, Jang IK, Brady TJ, Cury RC (2008) Reperfused myocardial infarction: contrast-enhanced 64-section CT in comparison to MR imaging. Radiology 247:49–56

    Article  PubMed  Google Scholar 

  7. Zhang D, Li X, Liu B (2011) Objective characterization of GE discovery CT750 HD scanner: gemstone spectral imaging mode. Med Phys 38:1178–1188

    Article  PubMed  Google Scholar 

  8. Karcaaltincaba M, Aktas A (2011) Dual-energy CT revisited with multidetector CT: review of principles and clinical applications. Diagn Interv Radiol 17:181–194

    PubMed  Google Scholar 

  9. Ohta Y, Kitao S, Watanabe T, Mukai N, Kishimoto J, Yamamoto K, Ogawa T (2017) Measurement of myocardial extracellular volume fraction from iodine density images using single-source, dual-energy computed tomography: a feasibility study. J Comput Assist Tomogr 41:750–756

    Article  PubMed  Google Scholar 

  10. Matsuda T, Kido T, Itoh T, Saeki H, Shigemi S, Watanabe K, Kido T, Aono S, Yamamoto M, Matsuda T, Mochizuki T (2015) Diagnostic accuracy of late iodine enhancement on cardiac computed tomography with a denoise filter for the evaluation of myocardial infarction. Int J Cardiovasc Imaging 31:177–185

    Article  PubMed  Google Scholar 

  11. Leipsic J, Labounty TM, Heilbron B, Min JK, Mancini GB, Lin FY, Taylor C, Dunning A, Earls JP (2010) Adaptive statistical iterative reconstruction: assessment of Image noise and image quality in coronary CT angiography. Am J Roentogenol 195:649–654

    Article  Google Scholar 

  12. Fuchs TA, Stehli J, Fiechter M, Dougoud S, Gebhard C, Ghadri JR, Husmann L, Gaemperli O, Kaufmann PA (2013) First experience with monochromatic coronary computed tomography angiography from a 64-slice CT scanner with Gemstone Spectral Imaging (GSI). J Cardiovasc Comput Tomogr 7:25–31

    Article  PubMed  Google Scholar 

  13. Deseive S, Bauer RW, Lehmann R, Kettner M, Kaiser C, Korkusuz H, Tandi C, Theisen A, Schachinger V, Schoepf UJ, Vogl TJ, Kerl JM (2011) Dual-energy computed tomography for the detection of late enhancement in reperfused chronic infarction: a comparison to magnetic resonance imaging and histopathology in a porcine model. Inverst Radiol 46:450–456

    Article  Google Scholar 

  14. Wichmann JL, Bauer RW, Doss M, Stock W, Lehnert T, Bodelle B, Frellesen C, Vogl TJ, Kerl JM (2013) Diagnostic accuracy of late iodine-enhancement dual-energy computed tomography for the detection of chronic myocardial infarction compared with late gadolinium-enhancement 3-T magnetic resonance imaging. Inverst Radiol 48:851–856

    Article  Google Scholar 

  15. Wichmann JL, Arbaciauskaite R, Kerl JM, Frellesen C, Bodelle B, Lehnert T, Monsefi N, Vogl TJ, Bauer RW (2014) Evaluation of monoenergetic late iodine enhancement dual-energy computed tomography for imaging of chronic myocardial infarction. Eur Radiol 24:1211–1218

    Article  PubMed  Google Scholar 

  16. So A, Lee TY, Imai Y, Narayanan S, Hsieh J, Kramer J, Procknow K, Leipsic J, LaBounty T, Min J (2011) Quantitative myocardial perfusion imaging using rapid kVp switch dual-energy CT: preliminary experience. J Cardiovasc Comput Tomogr 5:430–442

    Article  PubMed  Google Scholar 

  17. Valentin J, International Commission on Radiation Protecion (2007) Managing patient dose in multi-detector computed tomography (MDCT). ICRP publication 102. Ann ICRP 37:73–79

    Google Scholar 

  18. Cerqueira MD, Weissman NJ, Dilsizian V, Jacobs AK, Kaul S, Laskey WK, Pennell DJ, Rumberger JA, Ryan T, Verani MS (2002) Standardized myocardial segmentation and nomenclature for tomographic imaging of the heart. A statement for healthcare professionals from the Cardiac Imaging Committee of the Council on Clinical Cardiology of the American Heart Association. Circulation 105:539–542

    Article  PubMed  Google Scholar 

  19. Kvalseth TO (2003) Weighted specific-category kappa measure of interobserver agreement. Psychol Rep 93:1283–1290

    Article  PubMed  Google Scholar 

  20. Beek AM, Kuhl HP, Bondarenko O, Twisk JW, Hofman MB, van Dockum WG, Visser CA, van Rossum AC (2003) Delayed contrast-enhanced magnetic resonance imaging for the prediction of regional functional improvement after acute myocardial infarction. J Am Coll Cardiol 42:895–901

    Article  PubMed  Google Scholar 

Download references

Author information

Affiliations

Authors

Corresponding author

Correspondence to Junichi Kishimoto.

Ethics declarations

Conflict of interest

All authors has no conflict of interest.

Rights and permissions

Reprints and Permissions

About this article

Verify currency and authenticity via CrossMark

Cite this article

Kishimoto, J., Ohta, Y., Kitao, S. et al. Image quality improvements using adaptive statistical iterative reconstruction for evaluating chronic myocardial infarction using iodine density images with spectral CT. Int J Cardiovasc Imaging 34, 633–639 (2018). https://doi.org/10.1007/s10554-017-1258-0

Download citation

  • Received:

  • Accepted:

  • Published:

  • Issue Date:

  • DOI: https://doi.org/10.1007/s10554-017-1258-0

Keywords

  • Dual energy CT
  • Late iodine enhancement
  • Old myocardial infarction
  • Iodine density images
  • Image noise reduction reconstruction algorithms