Skip to main content

Different effects of p53 protein overexpression on the survival of gastric cancer patients according to Lauren histologic classification: a retrospective study

Abstract

Background

Inactivation of TP53, a tumor suppressor gene, is associated with the development of several malignancies, including gastric cancer (GC). The present study aimed to evaluate the correlation between the overexpression of p53 and survival in different Lauren-type GCs.

Methods

From May 2003 to December 2019, 3608 GC patients treated endoscopically or surgically at the Seoul National University Bundang Hospital were enrolled for the study. Immunohistochemical staining for p53 was performed on all endoscopic and surgical gastric specimens. Clinicopathologic characteristics with Lauren classification, survival rate, and cancer recurrence were analyzed according to p53 overexpression.

Results

Among 3608 GC patients, p53 overexpression was seen in 1334 patients (37%). p53 overexpression was associated with lower depth of invasion (P = 0.026) and Early gastric cancer (P = 0.044) in intestinal-type GC, and with advanced TNM stage (P < 0.001) and Advanced gastric cancer (P < 0.001) in diffuse-type GC. The overall survival (OS) and GC-specific survival (GCSS) were significantly lower in p53 overexpression positive patients. This significance was more pronounced and enhanced in the diffuse-type GC and was absent in the intestinal-type GC. In multivariate analyses, p53 overexpression was associated with poor OS in both subtypes of GC and cancer recurrence in diffuse-type GC. (OS in intestinal-type: adjusted hazard ratio [aHR] = 1.423, P = 0.022; OS in diffuse-type: aHR = 1.401 P = 0.035; cancer recurrence in diffuse-type: aHR = 1.502, P = 0.039).

Conclusion

p53 overexpression was associated with poor prognosis in GC, especially in diffuse-type. In addition, p53 overexpression was associated with early stage disease in intestinal-type GC and with advanced stage disease in diffuse-type GC.

Introduction

Gastric cancer (GC) is the fifth most common malignant tumor and the third leading cause of cancer-related deaths worldwide [1]. It is a heterogeneous disease exhibiting differences in phenotype, prognoses, and response to treatment. Several classification systems exist for the diagnosis of gastric carcinomas. Borrmann classification is based on the gross appearance: Borrmann type I (polypoid tumor), Borrmann type II (ulcerated tumor with sharp demarcated margin), Borrmann type III (ulcerated tumor without demarcated margin and infiltrating to surrounding gastric wall), and Borrmann type IV (diffuse infiltrating tumor). The World Health Organization (WHO) classification system classifies GC into papillary, tubular, mucinous, and signet-ring cell subtypes [2]. In 1965, Lauren proposed the classification of GC into intestinal- and diffuse-type, based on the presence or absence of a glandular growth pattern [3]. Lauren classification reflects the biological differences as one does not transform into the other during growth [3], and the differences in epidemiological trends [4]. The TNM staging is made up of three variables, namely the depth of invasion, lymph node involvement, and distant metastasis and is considered a global gold standard tool for clinical decision-making. It is widely used for the selection of treatment methods and assessment of prognosis. However, patients belonging to the same TNM stage often show different clinical outcomes, suggesting the need for additional prognostic factors [5], such as molecular biomarkers that find implication in the development and progression of tumors.

TP53, a well-known tumor suppressor gene located on chromosome 17p13.1 is regarded as the guardian of the genome [6, 7]. Mutations in TP53 represent the most frequent genetic alteration [8] seen in various human carcinomas [9]. Approximately 50% of all human carcinomas have loss of p53 function or express the mutated form of the protein [8, 10]. Several studies related to GC using next-generation sequencing (NGS) have identified TP53 as the most frequent mutated gene (32%) [11]. TP53 encodes the protein p53, an important transcription factor associated with the regulation of cell cycle, inhibition of DNA synthesis, DNA repair, and apoptosis [12, 13]. Mutations in TP53 lead to the synthesis of mutated p53 that lacks anti-oncogenic activity and is associated with tumorigenesis [14,15,16]. Mutated p53 being resistant to degradation accumulates in the nucleus of tumor cells and is detected by immunohistochemical (IHC) staining using monoclonal antibodies. In contrast, wild-type p53 does not show IHC staining because of the absence of accumulation in cells [17, 18]. A high level of p53 expression does not necessarily imply a mutation in the gene. However, the overexpression of p53 in most cases (75–85%) is associated with TP53 mutation [19,20,21]. Hence, overexpression of p53 might be considered as an indicator of TP53 mutations [22].

The prognostic role of p53 overexpression in GC has been examined by several studies, albeit with certain controversies. Few studies have reported reduced survival in patients overexpressing p53 compared with those with normal p53 expression [23,24,25]. Further studies failed to demonstrate the significance of the expression of p53 in the outcome of GC [26,27,28,29], probably because of the different proportion of intestinal- and diffuse-type GCs that show distinct clinical characteristics [3, 30]. Furthermore, type-specific genetic and epigenetic alterations have been identified [31, 32]. Studies comparing the prognostic value of p53 overexpression between the intestinal- and diffuse-type GC indicated conflicting results [10, 33, 34]. Majority of these studies had a smaller sample size, lacked multivariate analyses related to survival, and cancer recurrence in correlation with p53 overexpression between intestinal- and diffuse-type GC. Based on these data, we hypothesized that the effect of p53 overexpression on survival or cancer recurrence could differ depending on the Lauren histologic type of GC. Thus, the present study aimed to evaluate the correlation between the clinicopathological characteristics and p53 overexpression as well as the prognostic significance of p53 overexpression on survival and cancer recurrence in a large cohort of GC patients conforming to Lauren classification.

Methods

Study population

From May 2003 to December 2019, At the Seoul National University Bundang Hospital (SNUBH), Seongnam, Korea, 3608 GC patients treated with endoscopic or surgical methods and who had IHC staining data for p53 were selected for retrospective analyses by reviewing EMR (Electronic medical records). Medical records included date and cause of death, date of recurrence, current status of Helicobacter pylori infection [defined as being positive for at least one of these: campylobacter-like organism (CLO) test, urea breath test, or histology], histopathological data including the presence of atrophic gastritis (AG), intestinal metaplasia (IM), histologic type of cancer, IHC staining results of p53 expression, and TNM stage, the treatment methods used, social history including family history of GC, sex, age, smoking, and alcohol consumption were collected from the EMR and reviewed data of surgical and medical cohorts [35]. In terms of H. pylori infection H. pylori-positive cancer group was defined when H. pylori test was performed and the result was positive. In the opposite cases were categorized as the H. pylori-negative group including the cases when the H. pylori test was not performed. The date and cause of death of the enrolled patients were cross-checked with the data from the National Statistical Office for verification. The study was reviewed and approved by the Institutional Review Board of SNUBH (B-1902-523-107) and registered at clinicaltrials.com (NCT 03978481).

Immunohistochemical study

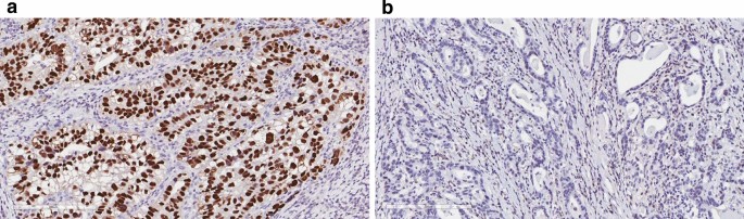
IHC staining for mutant p53 was performed on all endoscopic and surgical GC resection specimens. IHC staining for p53 (DO7, mouse monoclonal, Dako, Agilent Technologies, Santa Clara, CA, USA) was performed on 3-μm-thick sections using an automated immunostainer (BenchMark XT, Ventana Medical Systems, Tucson, AZ, USA) as per the manufacturer’s protocol. For the statistical analysis, p53 IHC staining was interpreted in two tiers: strong nuclear staining in more than 10% of tumor cells was considered as overexpression positive, samples without any nuclear staining of tumor cells (complete absence) or cases exhibiting weak, scattered, or patchy positivity were interpreted as overexpression negative (Fig. 1) [21]. Accuracy of inter/intra-observer concordance for p53 positivity is very high with the following reasons: (1) Most cases were diagnosed by prof. HSL alone, (2) The other cases were diagnosed after sharing the diagnosis criteria with Prof. Lee’s. Thus, the inter-observer variation seems to be negligible. In addition, the intra-observer variation is unlikely to be a problem as there are distinct staining images for p53 immunostaining.

Fig. 1
figure 1

Representative images of p53 protein overexpression status by p53 immunohistochemistry. a p53 protein overexpression-positive case in which strong nuclear staining of p53 was observed in > 10% of tumor cells (×200). b p53 protein overexpression-ne gative case in which nuclear staining of p53 was not detected (×200)

Statistical analyses

Statistical analyses were performed using the SPSS software for Windows (Windows version 22.0; SPSS Inc., Chicago, IL, USA). The Chi-square test was used to analyze the expression of p53 in the context of various clinical and pathological variables. The overall survival (OS) was defined as the time elapsed between the date of surgical or endoscopic resection and the date of death of any cause, or if the patient was still alive, and 5 years after the date of resection. Gastric cancer-specific survival (GCSS) was defined as the time elapsed between the date of surgical or endoscopic resection and the date of death due to GC, or if the patient was still alive, and 5 years after the date of resection. Patients who were lost to follow-up within 5 years were censored at their last date of follow-up. In the analysis of GCSS, deaths due to causes other than GC were treated as censored observations at the time of death. Recurrences were confirmed by pathologic exam after curative surgical or endoscopic resection. Estimation of OS and GCSS was calculated using the Kaplan–Meier method, and differences between curves were assessed with the log-rank test. Simultaneous multivariate adjustment of all covariates was performed using Cox proportional hazards regression analyses to evaluate the significance of p53 overexpression in survival and recurrence in each Lauren subtypes. Variables with P value < 0.2 in the univariate analyses were used as covariates for multivariate analyses. A P value < 0.05 was considered statistically significant.

Results

Total 3608 patients were analyzed with IHC staining for p53 overexpression. Among 3608 patients, p53 overexpression was positive in 1334 patients (37.5%) and negative in 2274 patients (62.5%). Among the total patients enrolled, 2471 (68.5%) were men and 1137 (31.5%) were women. Early gastric cancer (EGC) and advanced gastric cancer (AGC) were detected in 2484 (68.8%) and 1124 (31.2%) patients, respectively. The age of all patients ranged between 22 and 92 years (mean = 61.1 years). The median follow-up period was 51.1 months (range = 6–60 months).

Clinicopathological features

The clinicopathological characteristics of both p53 overexpression-positive and p53 overexpression-negative patients are summarized in Table 1. p53 overexpression was significantly more frequent in intestinal-type than in diffuse-type cancers (43.1% vs. 25.5%, P < 0.001). p53 overexpression was associated with older age, male sex, presence of AG, and tumor location in the upper and lower third of the stomach in GC. Other variables, including family history of GC, smoking, alcohol consumption, H. pylori infection state, presence of IM, proportion of EGC, and TNM staging were not significantly different between the positive and negative patient groups (Table 1).

Table 1 Baseline characteristics of enrolled patients depending on p53 overexpression state

Subgroup analyses according to Lauren classification

Among the 3608 patients, the number of Lauren intestinal- and diffuse-type GC patients were 2274 (61.5%) and 1223 (34.3%), respectively. In subgroup analyses, mixed-type GC patients (139, 3.9%) were included in the diffuse-type, and indeterminate-type GC patients (17, 0.5%) were excluded from the analyses. Differences in clinicopathological characteristics according to Lauren classification are summarized in Table 2. p53 overexpression in intestinal-type GC was more prominent in males than in females (P < 0.001), had lower depth of invasion (P = 0.026), and higher incidence of EGC (P = 0.044). In contrast, p53 overexpression in diffuse-type GC was associated with older age (P = 0.039), larger tumor size (P = 0.001), advanced cancer stage (P < 0.001), and higher incidence of AGC (P < 0.001). p53 overexpression was significantly associated with advanced TNM stage in diffuse-type GC (Table 2).

Table 2 Baseline characteristics of enrolled patients depending on p53 overexpression state and Lauren histologic type

Comparative analyses of p53 overexpression between intestinal- and diffuse-type GC according to the stages revealed significant differences (Table 3). p53 overexpression was more frequent in the EGC than in the AGC group in intestinal-type GC (79.9% vs 20.1, P < 0.044). In contrast, p53 overexpression was more frequent in the AGC than in the EGC group in diffuse-type tumors (62.2% vs. 37.8%, P < 0.001). p53 overexpression was significantly associated with the intestinal-type than with the diffuse-type in EGC (44.2% vs. 18.6%, P < 0.001). However, difference in p53 overexpression was not different between the two types of tumors in AGC, probably because of increased proportion of p53 overexpression-positive seen in diffuse-type GC (39.1% vs 37%, P = 0.494) (Table 3).

Table 3 Comparison of p53 overexpression between intestinal- and diffuse-type gastric cancer according to stage

Survival analyses

Among the enrolled patients in the study, 409 succumbed to death during the follow-up period, of which, 227 died of GC, 92 of reasons other than GC, and 40 of unknown causes (Supplemental Table 1, see online). The most prominent among the alternate cause of death was lung cancer in both p53 overexpression-positive (n = 10) and -negative groups (n = 7) (Supplementary Table 2, see online).

OS analyses using the Kaplan–Meier method (Fig. 2) indicated significantly lower OS in p53 overexpression-positive group than in -negative group of the total GC patients (5-year cumulative survival rate in negative group vs positive group: 88.6% vs 83.5%). In subgroup analyses according to Lauren classification, the difference of 5-year cumulative survival rate was more obvious in diffuse-type GC patients (87.7% vs 78.3%, P < 0.001) (Fig. 2c) than the difference shown in the total GC patients. However, no such difference was seen in intestinal-type GC patients (89.7% vs 86.6%; P = 0.065) (Fig. 2b). p53 overexpression-positive group showed lower OS than −negative group in both Lauren subtypes. However, only in diffuse-type GC patients showed statistically significant P value obtained using the log-rank test.

Fig. 2
figure 2

Comparisons of overall survival depending on p53 protein overexpression state. The disadvantage of overall survival was observed in the p53 protein overexpression positive group in total gastric cancer patients (a) and Diffuse-type gastric cancer patients (c) compared to p53 protein overexpression negative group, with statistical significance (P value a P < 0.001, c P < 0.001). In Intestinal-type gastric cancer patients (b), there were no statistical significance between p53 protein overexpression positive and negative group (P = 0.065). Cumulative survival was calculated using Kaplan–Meier estimates; the P values were calculated using the log-rank test

GCSS analyses (Fig. 3) also indicated significantly lower GCSS in p53 overexpression-positive group of the total GC patients (92.2% vs. 89.2%, P = 0.006, Fig. 3a). Similar to the OS analyses, the difference of 5-year cumulative survival rate was more obvious in diffuse-type GC patients (90% vs 82.2% P < 0.001, Fig. 3c), while no such difference was seen in intestinal-type GC patients (94.6% vs 93.3%; P = 0.253) (Fig. 3b).

Fig. 3
figure 3

Comparisons of gastric cancer specific survival depending on p53 protein overexpression state. The disadvantage of gastric cancer specific survival was observed in the p53 protein overexpression positive group in total gastric cancer patients (a) and diffuse-type gastric cancer patients (c) compared to p53 protein overexpression negative group, with statistical significance (P value a P = 0.006, c P < 0.001). In Intestinal-type gastric cancer patients (b), there were no statistical significance between p53 protein overexpression positive and negative group (P = 0.253). Cumulative survival was calculated using Kaplan–Meier estimates; the P values were calculated using the log-rank test

Univariate and multivariate analyses for GC survival and recurrence

The results of univariate and multivariate analyses of OS, GCSS, and GC are shown for each Lauren subtypes in Supplementary Tables 3–5 (see online), and the results having statistical significance are shown in Table 4. Multivariate analyses were performed using Cox proportional hazards regression. Variables with P < 0.2 in univariate analyses were used for multivariate analyses.

Table 4 Multivariate analysis regarding clinical and pathological factors associated with overall survival in intestinal- and diffuse-type gastric cancer, and gastric cancer recurrence in diffuse-type gastric cancer

Multivariate analysis of OS in intestinal-type GC revealed that age (aHR = 1.024, P < 0.001), sex (aHR = 0.640, P = 0.025), T stage (aHR = 2.647, P < 0.001), LN (lymph node) metastasis (aHR = 1.823 P = 0.002), distance metastasis (aHR = 4.665, P < 0.001), and p53 overexpression positivity (aHR = 1.423, P = 0.022) were independent prognostic indicators (Table 4). Multivariate analysis of OS in diffuse-type GC revealed that age (aHR = 1.024, P < 0.001), intestinal metaplasia (aHR = 0.623, P = 0.005), T stage (aHR = 3.650, P < 0.001), LN metastasis (aHR = 2.944, P < 0.001), distance metastasis (aHR = 3.144, P < 0.001), p53 overexpression (aHR = 1.401, P = 0.035), and cancer size (aHR = 1.051, P = 0.034) were independent prognostic indicators (Table 4).

Gastric cancer recurrence was seen in 181 out of 3608 patients (5.5%); 17 patients in the EGC group (17 of 2484, 0.7%) and 167 patients in the AGC group (167 out of 1124, 14.9%). The incidence of cancer recurrence was higher in the p53 overexpression-positive group (80 out of 1334, 5.9%) than in the − negative group (101 out of 2274, 4.4%). Multivariate analysis of GC recurrence in diffuse-type GC revealed that T stage (aHR = 4.531, P < 0.001), LN metastasis (aHR = 4.503, P < 0.001), p53 overexpression (aHR = 1.502, P = 0.039), and cancer size (aHR = 1.073, P = 0.011) were independent prognostic indicators.

Multivariate analyses on GCSS and gastric cancer recurrence in intestinal-type GC were not showed statistic significances (Supplementary Tables 4-1–5–1).

Discussion

In the present study, the overexpression of p53 was associated with different clinicopathological characteristics according to Lauren histological types of GC. p53 overexpression was more frequent and primarily associated with EGC in intestinal-type GC. In contrast, it was associated with AGC and advanced T, N, and M stages in diffuse-type GC. Although early- and intestinal-type GCs showed the highest correlation with p53 overexpression, early and advanced intestinal-type and advanced diffuse-type showed a similar incidence of p53 overexpression, which was significantly different from infrequent expression in early diffuse-type GC. Consequently, p53 overexpression was specifically associated with intestinal-type GC than with diffuse-type GC (44.2% vs. 18.6%, P < 0.001) in EGC. Further differences in p53 overexpression were not observed between the two types (39.1% vs. 37%, P = 0.494) in AGC.

Furthermore, p53 overexpression was associated with poor OS and GCSS. Sub-group analyses of p53 overexpression revealed poor prognosis in diffuse-type GC related to both OS and GCSS, which was absent in intestinal-type GC. Multivariate analyses revealed p53 overexpression was an independent prognostic factor for OS, and for GC recurrence in diffuse-type GC.

Incidence of p53 overexpression is different between histological types and cancer stages [36, 37]. Thus, p53 overexpression might have a different role in tumor carcinogenesis and progression between the two histological subtypes of GC [33, 34]. According to Correa’s multistep model concept of human gastric carcinogenesis, intestinal-type GC was a result of a multi-step process, including AG, IM, and dysplasia, all of which were associated with the existence of chronic inflammatory processes [38]. Despite few studies attempting to elucidate carcinogenesis and the pathological differences between the two subgroups of GC, diffuse-type carcinogenesis and its epidemiology and pathogenetic features remain poorly understood [39]. Therefore, further studies are needed to clarify these differences.

The prognostic implication of p53 overexpression in GC has been controversial [23,24,25,26,27,28,29]. These conflicting results might be because of the differences in the study population, IHC methods (including the types of antibody used), cutoff value of p53 overexpression positivity in IHC, and tumor stages [28, 29, 40]. Furthermore, the prognostic relevance has not been compared between different Lauren histological types and if analyzed was rarely by multivariate analyses. Studies that compared the prognostic value of p53 overexpression between intestinal-type GC and diffuse-type GC have also shown conflicting results. Our results indicating poor prognosis in diffuse-type GC is consistent with the earlier published data [33, 34]. However, the results of a published study indicating poor prognosis in intestinal-type GC contradicts our results [6]. These studies were conducted on a small number of cohort (83–178), and lacked statistical significance in multivariate analyses, including Lauren histologic types. Taking into consideration these aspects, our study is significant based on its large cohort and survival rate. In our study, p53 overexpression was significantly associated with poor OS and GCSS, especially in diffuse-type GC, which was absent in intestinal-type GC. The results of multivariate analyses were in support of these results. p53 overexpression was a consistent independent prognostic factor for OS in both Lauren subtypes considering covariables, such as TNM staging, these results in multivariate analyses were more meaningful than previous studies. In recently conducted two meta-analysis studies [22, 41], p53 overexpression was also associated with poor prognosis, which is consistent with the results of the present study.

Discordance between TP53 mutation and p53 protein overexpression in IHC serves as an explanation for the controversy seen in the prognostic value [26, 27]. Immunostaining of p53 is strongly associated with missense mutation; of the 12 missense mutations, 10 cases (83.3%) were positive for p53 immunostaining, but not with frameshift or nonsense mutations in TP53 [42]. However, according to a recent study of Hwang et al., strong p53 expression could predict nonsynonymous missense mutations with a sensitivity of 90.9%, specificity of 95.4%, and accuracy of 94.2% [21]. Furthermore, p53 overexpression and nonsynonymous TP53 mutations correlate with lower survival compared with other mutations. Several studies have reported a strong correlation between TP53 mutation and p53 expression in more than 80% of the cases [19, 20, 42,43,44]. These correlations indicate the possible role of p53 overexpression as a prognostic factor for poor prognosis in relation to TP53 mutation.

During the last decades, advancement in molecular technology had made it possible to determine mutations in carcinomas and thus classifications were based on these findings. Between 2014 and 2015, two kinds of molecular classifications were proposed for GC by comprehensive molecular analyses using NGS. The Cancer Genome Atlas (TCGA) and the Asian Cancer Research Group (ACRG) each classified GC into four different subtypes based on the molecular features. The TCGA Research Network classified GCs into four distinct molecular subtypes: GCs positive for Epstein–Barr virus (EBV type), microsatellite-unstable GCs (MSI type), genomically stable GCs (GS type), and GCs with chromosomal instability (CIN type) [45]. Similarly, ACRG classified GCs into four groups: microsatellite instability (MSI), microsatellite-stable and epithelial-to-mesenchymal transition (MSS/EMT), microsatellite stability, and the presence of TP53 (MSS/TP53+) or absence of TP53 signature (MSS/TP53−) [46]. In TCGA classification, when observing the distribution of Lauren classification in each subtypes, 118/147 (80.27%) of the CIN subtype were intestinal-type and 40/58 (68.97%) of the GS subtype were diffuse-type. Hence, intestinal-type was related to CIN subtype and diffuse-type was related to GS subtype. Among the CIN subtype tumours, authors of TCGA observed TP53 mutations in 71% of tumours and also found elevated expression of p53, consistent with frequent TP53 mutation and aneuploidy in the CIN subtype [45]. In ACRG classification, 58/107 (54.2%) of MSS/TP53−, 38/79 (48.1%) of MSS/TP53+, and 42/68 (61.8) of MSI were Lauren intestinal-type. 37/46 (80.4%) of MSS/EMT subtype were diffuse-type. Among the MSS/TP53 subtypes, TP53 mutation was observed in 42.5% of tumours [46].

Therefore, in general, the CIN type of TCGA classification and MSS/TP53 type of ACRG classification showed an association with TP53 mutation and with the intestinal-type of Lauran classification. The GS type of the TCGA classification and MSS/EMT type of the ACRG classification have been reported to be associated with the diffuse-type of Lauran classification [47,48,49].

Although enormous amount of data gathered by extensive molecular genomic experiments were integrated into these classification models, they are rarely used in daily clinical practice because of the high cost and time-consuming nature of genomic tests [50]. In contrast, IHC staining has been widely used to detect molecular markers of cancer because of the simple methodology and rapidity. Accordingly, certain studies related to IHC-based molecular classification have shown prognostic significance [50, 51]. Despite advance in newer technologies, such as whole exome sequencing, the most frequently mutated gene is TP53 (32%) [11], and TP53 mutations continue to play a pivotal role in integrative genomic molecular studies in classifying GC [45, 46, 50]. These studies have confirmed the biological and clinical significance of TP53 mutation as context-dependent, with large differences among histological subtypes of the same cancers [52]. In the present study, p53 overexpression used as a surrogate marker of TP53 mutation showed statistical significance for poor OS, and higher GC recurrence in diffuse-type GC, as well as clinical significance indicating advanced stage in diffuse-type GC. Thus, it could be useful for next integrative genomic studies for the molecular classification of GC. Furthermore, it could be used as a clinical prognostic marker for the analyses of survival and recurrence in GC.

There was no treatment difference between intestinal-type of GCs and diffuse-type GCs, so far. However, it is meaningful that p53 overexpression in IHC stain clarifies prognostic values according to subtypes in GC which has large heterogenicity. Also, if molecular mechanisms for example immune check point is further identified in the future, our analysis could be useful for understanding the disease course of GC to the oncologists, surgeons, pathologists, and gastroenterologists. Furthermore, it will be easy to explain the prognosis regarding GC to the patients and their family.

Although multiple strategies have been investigated for targeting dysfunctional p53 for cancer treatment, only 2 of these have so far yielded compounds for testing in clinical trials [53]. These strategies include the identification of compounds for reactivating the mutant form of p53 back to its wild-type form and compounds for inhibiting the interaction between wild-type p53 and MDM2/MDM4 [53]. To date, it is still unclear if these agents have clinical efficacy. However, should any of the compounds currently being evaluated in clinical trials be shown to have efficacy, it is likely to usher in a new era in cancer treatment, especially as p53 dysfunction is so prevalent in human cancers including GC [53]. Thus, clinical and prognostic significance of p53 overexpression shown in this study and GC classification according to p53 IHC results in future studies could lead to useful results as representative of the TP53 mutation in each subtype.

A previous study that analyzed the association of p53 expression and tumor recurrence in GC demonstrated the correlation between tumor angiogenesis represented by microvessel density (MVD) and p53 and VEGF expression [54]. p53 and VEGF expression were independently associated with disease-free and OS [54]. TP53 mutations occurred more frequently in differentiated histologic type than in undifferentiated type in the early stage (48.6% vs. 7%, P = 0.0006), while the mutations correlated with venous invasion among advanced stages (47.7% vs. 20.7%, P = 0.04) in GC [55]. These results are consistent with our present study and could be a possible explanation for the association between p53 overexpression and poor survival and independent risk factors for GC survival and recurrence. In addition, unlike diffuse-type GC, absence of correlation between p53 overexpression and poor survival rate in intestinal-type GC might be because of the offset effect of association with early-stage disease and tumor angiogenesis in intestinal-type GC.

This study has a few limitations. There may be a bias due to the retrospective nature of the analyses. However, the patients in this study came from a surgical and medical GC cohort that had been collected prospectively, and the large number of patients may have minimized the effect of selection bias. As GCs treated using endoscopic and surgical resection were included and advanced-stage GCs that underwent palliative chemotherapy or conservative treatment were excluded, the mortality may have been underestimated.

In multivariate analyses for GCSS, and GC recurrence in intestinal-type patients, p53 protein overexpression did not show statistical significance. There might be several possible explanations. One of the possible explanations for this might be due to disturbing effect of unknown or other causes of death which had been investigated retrospectively. As presented in supplementary Table 1, death caused by gastric cancer was 277 of 409 (67.8%). Otherwise, 40 (9.8%), 46 (11.2%), and 46 (11.2%) of total 409 deaths were unknown cause of death, deaths from cancer other than gastric cancer, and deaths from diseases other than cancer, respectively. The possibility that they interfered with the effect of p53 overexpression on GCSS by obscuring or masking the cause of death, preventing it from having statistical significance. Another possible explanation may be due to reduced survival difference between the p53 overexpression positive and negative groups because of high 5-year survival rate of GCSS in this cohort. The 5-year survival rate of localized gastric cancer in Korea is 95%, which is highest level in the world [56]. And our hospital is the top leading hospital for endoscopic and surgical treatment for GC. Therefore, in this cohort, the 5-year cumulative survival were also as high as 0.950 in EGCs and 0.733 in AGCs. It is possible that the reduced effect of the variable on survival caused loss of the statistical significance in GCSS between the two groups.

In this retrospective study, H. pylori positivity was rather lower (1482/3068, 42.2%) than the previous reports from our hospital [57, 58], Actually H. pylori-positive cancer group was defined as H. pylori test was performed and the result was positive. In the opposite cases were categorized as the negative group including the cases when the H. pylori test was not performed. Furthermore, there was a decline in the prevalence of H. pylori infection prof. N. Kim’s cohort (a total of 1,227 patients with GC). That is, when age, sex, histologic type (Lauren classification), and H. pylori infection status were compared between three periods (2003–2007, 2008–2012, and 2013–2018) H. pylori-positive GC decreased from 93.4% (436/467) to 88.5% (500/565) to 82.1% (160/195) during these three periods, respectively (P < 0.001) [59]. In addition, the recent declining in the prevalence of H. pylori infection in Korea (seropositivity of H. pylori was 67% in 1998, 60% in 2005, 54% in 2011, and 41.5% in 2016) can be the one of the possible causes for our result [60, 61].

In conclusion, this study demonstrated the association of p53 overexpression in IHC staining with poor prognosis for survival and recurrence in GC patients and these associations were more significant in diffuse-type GC patients of Lauren histologic classification. In addition, p53 overexpression was associated with EGC in intestinal-type GC in contrast to AGC and advanced stage in diffuse-type GC. These results imply that p53 overexpression has different clinical and prognostic significance depending on the histological subtypes. In future studies, considering these different clinical contexts will be helpful to provide practical and prognostic implications for research, such as the molecular classification of GC.

References

  1. Bray F, Ferlay J, Soerjomataram I, Siegel RL, Torre LA, Jemal A. Global cancer statistics 2018: GLOBOCAN estimates of incidence and mortality worldwide for 36 cancers in 185 countries. CA Cancer J Clin. 2018;68:394–424.

    Google Scholar 

  2. Watanabe H, Jass JR, Sobin LH. Histological typing of oesophageal and gastric tumours: in collaboration with pathologists in 8 countries. Berlin: Springer Science & Business Media; 2012.

    Google Scholar 

  3. Lauren P. The tow hitological main types of gastric carcinoma: diffuse and so-called intestinal-type carcinoma. Anattept at a histo-clinical classification. Acta Pathol Microbiol Scand. 1965;64:31–49.

    CAS  PubMed  Google Scholar 

  4. Fuchs CS, Mayer RJ. Gastric carcinoma. N Engl J Med. 1995;333:32–41.

    CAS  PubMed  Google Scholar 

  5. Sano T, Coit DG, Kim HH, Roviello F, Kassab P, Wittekind C, et al. Proposal of a new stage grouping of gastric cancer for TNM classification: International Gastric Cancer Association staging project. Gastric Cancer. 2017;20:217–25.

    PubMed  Google Scholar 

  6. Roviello F, Marrelli D, Vindigni C, De Stefano A, Spina D, Pinto E. P53 accumulation is a prognostic factor in intestinal-type gastric carcinoma but not in the diffuse type. Ann Surg Oncol. 1999;6(8):739–45.

    CAS  PubMed  Google Scholar 

  7. Lane DP. Cancer. p53, guardian of the genome. Nature. 1992;358:15–6.

    CAS  PubMed  Google Scholar 

  8. Toledo F, Wahl GM. Regulating the p53 pathway: in vitro hypotheses, in vivo veritas. Nat Rev Cancer. 2006;6:909–23.

    CAS  PubMed  Google Scholar 

  9. Olivier M, Hainaut P, Børresen-Dale A-L. Prognostic and predictive value of TP53 mutations in human cancer. In: Hainaut P, Wiman KG, editors. 25 years of p53 research. Dordrecht: Springer Netherlands; 2005. p. 321–38.

    Google Scholar 

  10. Efeyan A, Serrano M. p53: guardian of the genome and policeman of the oncogenes. Cell Cycle. 2007;6:1006–10.

    CAS  PubMed  Google Scholar 

  11. Forbes SA, Beare D, Gunasekaran P, Leung K, Bindal N, Boutselakis H, et al. COSMIC: exploring the world’s knowledge of somatic mutations in human cancer. Nucleic Acids Res. 2015;43(Database issue):D805–11.

    CAS  PubMed  Google Scholar 

  12. Kastan MB, Onyekwere O, Sidransky D, Vogelstein B, Craig RW. Participation of p53 protein in the cellular response to DNA damage. Cancer Res. 1991;51:6304–11.

    CAS  PubMed  Google Scholar 

  13. Soussi T. The p53 tumor suppressor gene: from molecular biology to clinical investigation. Ann N Y Acad Sci. 2000;910:121–37 ((discussion 137–139)).

    CAS  PubMed  Google Scholar 

  14. Hollstein M, Sidransky D, Vogelstein B, Harris CC. p53 mutations in human cancers. Science. 1991;253:49–53.

    CAS  PubMed  Google Scholar 

  15. Baker SJ, Preisinger AC, Jessup JM, Paraskeva C, Markowitz S, Willson JK, et al. p53 gene mutations occur in combination with 17p allelic deletions as late events in colorectal tumorigenesis. Cancer Res. 1990;50:7717–22.

    CAS  PubMed  Google Scholar 

  16. Imazeki F, Omata M, Nose H, Ohto M, Isono K. p53 gene mutations in gastric and esophageal cancers. Gastroenterology. 1992;103:892–6.

    CAS  PubMed  Google Scholar 

  17. Greenblatt MS, Bennett WP, Hollstein M, Harris CC. Mutations in the p53 tumor suppressor gene: clues to cancer etiology and molecular pathogenesis. Cancer Res. 1994;54:4855–78.

    CAS  PubMed  Google Scholar 

  18. Pietrantonio F, De Braud F, Da Prat V, Perrone F, Pierotti MA, Gariboldi M, et al. A review on biomarkers for prediction of treatment outcome in gastric cancer. Anticancer Res. 2013;33:1257–66.

    CAS  PubMed  Google Scholar 

  19. Baas IO, Mulder JW, Offerhaus GJ, Vogelstein B, Hamilton SR. An evaluation of six antibodies for immunohistochemistry of mutant p53 gene product in archival colorectal neoplasms. J Pathol. 1994;172:5–12.

    CAS  PubMed  Google Scholar 

  20. Karim S, Ali A. Correlation of p53 over-expression and alteration in p53 gene detected by polymerase chain reaction-single strand conformation polymorphism in adenocarcinoma of gastric cancer patients from India. World J Gastroenterol. 2009;15:1381–7.

    CAS  PubMed  PubMed Central  Google Scholar 

  21. Hwang HJ, Nam SK, Park H, Park Y, Koh J, Na HY, et al. Prediction of TP53 mutations by p53 immunohistochemistry and their prognostic significance in gastric cancer. J Pathol Transl Med. 2020;54:378–86.

    PubMed  PubMed Central  Google Scholar 

  22. Wei K, Jiang L, Wei Y, Wang Y, Qian X, Dai Q, et al. The prognostic significance of p53 expression in gastric cancer: a meta-analysis. J Cancer Res Clin Oncol. 2015;141:735–48.

    CAS  PubMed  Google Scholar 

  23. Starzynska T, Bromley M, Ghosh A, Stern PL. Prognostic significance of p53 overexpression in gastric and colorectal carcinoma. Br J Cancer. 1992;66:558–62.

    CAS  PubMed  PubMed Central  Google Scholar 

  24. Kakeji Y, Korenaga D, Tsujitani S, Baba H, Anai H, Maehara Y, Sugimachi K. Gastric cancer with p53 overexpression has high potential for metastasising to lymph nodes. Br J Cancer. 1993;67:589–93.

    CAS  PubMed  PubMed Central  Google Scholar 

  25. Joypaul BV, Hopwood D, Newman EL, Qureshi S, Grant A, Ogston SA, et al. The prognostic significance of the accumulation of p53 tumour-suppressor gene protein in gastric adenocarcinoma. Br J Cancer. 1994;69:943–6.

    CAS  PubMed  PubMed Central  Google Scholar 

  26. Motojima K, Furui J, Kohara N, Ito T, Kanematsu T. Expression of p53 protein in gastric carcinomas is not independently prognostic. Surgery. 1994;116:890–5.

    CAS  PubMed  Google Scholar 

  27. Gomyo Y, Ikeda M, Osaki M, Tatebe S, Tsujitani S, Ikeguchi M, et al. Expression of p21 (waf1/cip1/sdi1), but not p53 protein, is a factor in the survival of patients with advanced gastric carcinoma. Cancer. 1997;79:2067–72.

    CAS  PubMed  Google Scholar 

  28. Gabbert HE, Müller W, Schneiders A, Meier S, Hommel G. The relationship of p53 expression to the prognosis of 418 patients with gastric carcinoma. Cancer. 1995;76:720–6.

    CAS  PubMed  Google Scholar 

  29. Gonçalves AR, Carneiro AJ, Martins I, de Faria PA, Ferreira MA, de Mello EL, et al. Prognostic significance of p53 protein expression in early gastric cancer. Pathol Oncol Res. 2011;17:349–55.

    PubMed  Google Scholar 

  30. Vauhkonen M, Vauhkonen H, Sipponen P. Pathology and molecular biology of gastric cancer. Best Pract Res Clin Gastroenterol. 2006;20:651–74.

    CAS  PubMed  Google Scholar 

  31. Yasui W, Oue N, Ito R, Kuraoka K, Nakayama H. Search for new biomarkers of gastric cancer through serial analysis of gene expression and its clinical implications. Cancer Sci. 2004;95:385–92.

    CAS  PubMed  Google Scholar 

  32. Oue N, Sentani K, Sakamoto N, Yasui W. Clinicopathologic and molecular characteristics of gastric cancer showing gastric and intestinal mucin phenotype. Cancer Sci. 2015;106:951–8.

    CAS  PubMed  PubMed Central  Google Scholar 

  33. Liu XP, Tsushimi K, Tsushimi M, Oga A, Kawauchi S, Furuya T, et al. Expression of p53 protein as a prognostic indicator of reduced survival time in diffuse-type gastric carcinoma. Pathol Int. 2001;51:440–4.

    CAS  PubMed  Google Scholar 

  34. Lee WJ, Shun CT, Hong RL, Wu MS, Chang KJ, Chen KM. Overexpression of p53 predicts shorter survival in diffuse type gastric cancer. Br J Surg. 1998;85:1138–42.

    CAS  PubMed  Google Scholar 

  35. Choi Y, Kim N, Yun CY, Choi YJ, Yoon H, Shin CM, et al. Effect of Helicobacter pylori eradication after subtotal gastrectomy on the survival rate of patients with gastric cancer: follow-up for up to 15 years. Gastric Cancer. 2020;23:1051–63.

    PubMed  Google Scholar 

  36. Ranzani GN, Luinetti O, Padovan LS, Calistri D, Renault B, Burrel M, et al. p53 gene mutations and protein nuclear accumulation are early events in intestinal type gastric cancer but late events in diffuse type. Cancer Epidemiol Biomark Prev. 1995;4:223–31.

    CAS  Google Scholar 

  37. Wu MS, Shun CT, Lee WC, Chen CJ, Wang HP, Lee WJ, et al. Overexpression of p53 in different subtypes of intestinal metaplasia and gastric cancer. Br J Cancer. 1998;78:971–3.

    CAS  PubMed  PubMed Central  Google Scholar 

  38. Correa P. Human gastric carcinogenesis: a multistep and multifactorial process–first American Cancer Society Award Lecture on Cancer Epidemiology and Prevention. Cancer Res. 1992;52:6735–40.

    CAS  PubMed  Google Scholar 

  39. Assumpção PP, Barra WF, Ishak G, Coelho LGV, Coimbra FJF, Freitas HC, et al. The diffuse-type gastric cancer epidemiology enigma. BMC Gastroenterol. 2020;20:223.

    PubMed  PubMed Central  Google Scholar 

  40. Victorzon M, Nordling S, Haglund C, Lundin J, Roberts PJ. Expression of p53 protein as a prognostic factor in patients with gastric cancer. Eur J Cancer. 1996;32A:215–20.

    CAS  PubMed  Google Scholar 

  41. Yildirim M, Kaya V, Demirpence O, Gunduz S, Bozcuk H. Prognostic significance of p53 in gastric cancer: a meta- analysis. Asian Pac J Cancer Prev. 2015;16:327–32.

    PubMed  Google Scholar 

  42. Seta T, Imazeki F, Yokosuka O, Saisho H, Suzuki T, Koide Y, et al. Expression of p53 and p21WAF1/CIP1 proteins in gastric and esophageal cancers: comparison with mutations of the p53 gene. Dig Dis Sci. 1998;43:279–89.

    CAS  PubMed  Google Scholar 

  43. Ando K, Oki E, Saeki H, Yan Z, Tsuda Y, Hidaka G, et al. Discrimination of p53 immunohistochemistry-positive tumors by its staining pattern in gastric cancer. Cancer Med. 2015;4:75–83.

    CAS  PubMed  Google Scholar 

  44. Murnyák B, Hortobágyi T. Immunohistochemical correlates of TP53 somatic mutations in cancer. Oncotarget. 2016;7:64910–20.

    PubMed  PubMed Central  Google Scholar 

  45. Cancer Genome Atlas Research Network. Comprehensive molecular characterization of gastric adenocarcinoma. Nature. 2014;513:202–9.

    Google Scholar 

  46. Cristescu R, Lee J, Nebozhyn M, Kim KM, Ting JC, Wong SS, et al. Molecular analysis of gastric cancer identifies subtypes associated with distinct clinical outcomes. Nat Med. 2015;21:449–56.

    CAS  PubMed  Google Scholar 

  47. Saito R, Abe H, Kunita A, Yamashita H, Seto Y, Fukayama M. Overexpression and gene amplification of PD-L1 in cancer cells and PD-L1+ immune cells in Epstein-Barr virus-associated gastric cancer: the prognostic implications. Mod Pathol. 2017;30:427–39.

    CAS  PubMed  Google Scholar 

  48. Tan P, Yeoh KG. Genetics and molecular pathogenesis of gastric adenocarcinoma. Gastroenterology. 2015;149(1153–1162):e3.

    Google Scholar 

  49. Oue N, Sentani K, Sakamoto N, Uraoka N, Yasui W. Molecular carcinogenesis of gastric cancer: Lauren classification, mucin phenotype expression, and cancer stem cells. Int J Clin Oncol. 2019;24:771–8.

    CAS  PubMed  Google Scholar 

  50. Koh J, Lee KW, Nam SK, Seo AN, Kim JW, Kim JW, et al. Development and validation of an easy-to-implement, practical algorithm for the identification of molecular subtypes of gastric cancer: prognostic and therapeutic implications. Oncologist. 2019;24:e1321–30.

    PubMed  PubMed Central  Google Scholar 

  51. Park CK, Park JS, Kim HS, Rha SY, Hyung WJ, Cheong JH, et al. Receptor tyrosine kinase amplified gastric cancer: clinicopathologic characteristics and proposed screening algorithm. Oncotarget. 2016;7:72099–112.

    PubMed  PubMed Central  Google Scholar 

  52. Hainaut P, Pfeifer GP. Somatic TP53 mutations in the era of genome sequencing. Cold Spring Harb Perspect Med. 2016;6:a026179.

    PubMed  PubMed Central  Google Scholar 

  53. Duffy MJ, Synnott NC, O’Grady S, Crown J. Targeting p53 for the treatment of cancer. Semin Cancer Biol. 2020. https://doi.org/10.1016/j.semcancer.2020.07.005.

    Article  PubMed  Google Scholar 

  54. Fondevila C, Metges JP, Fuster J, Grau JJ, Palacín A, Castells A, et al. p53 and VEGF expression are independent predictors of tumour recurrence and survival following curative resection of gastric cancer. Br J Cancer. 2004;90:206–15.

    CAS  PubMed  PubMed Central  Google Scholar 

  55. Tahara T, Shibata T, Okamoto Y, Yamazaki J, Kawamura T, Horiguchi N, et al. Mutation spectrum of TP53 gene predicts clinicopathological features and survival of gastric cancer. Oncotarget. 2016;7:42252–60.

    PubMed  PubMed Central  Google Scholar 

  56. Hong S, Won YJ, Park YR, Jung KW, Kong HJ, Lee ES. Community of population-based regional cancer registries. Cancer statistics in Korea: incidence, mortality, survival, and prevalence in 2017. Cancer Res Treat. 2020;52:335–50.

    PubMed  PubMed Central  Google Scholar 

  57. Yoon H, Kim N, Lee HS, Shin CM, Park YS, Lee DH, et al. Helicobacter pylori-negative gastric cancer in South Korea: incidence and clinicopathologic characteristics. Helicobacter. 2011;16:382–8.

    PubMed  Google Scholar 

  58. Yun CY, Kim N, Lee J, Lee JY, Hwang YJ, Lee HS, et al. Usefulness of OLGA and OLGIM system not only for intestinal type but also for diffuse type of gastric cancer, and no interaction among the gastric cancer risk factors. Helicobacter. 2018;23:e12542.

    PubMed  Google Scholar 

  59. Lee JW, Kim N, Kwon YJ, Lee HS. Changes in the clinical and pathological characteristics of gastric cancer during the last 16 years: A study of a single institution in Korea. Korean J Helicobacter Up Gastrointest Res. 2019;19:120–6.

    Google Scholar 

  60. Park SH. Changes in upper gastrointestinal diseases according to improvement of Helicobacter pylori prevalence rate in Korea. Korean J Gastroenterol. 2015;65:199–204.

    PubMed  Google Scholar 

  61. Lim SH, Kim N, Kwon JW, Kim SE, Baik GH, Lee JY, et al. Trends in the seroprevalence of Helicobacter pylori infection and its putative eradication rate over 18 years in Korea: a cross-sectional nationwide multicenter study. PLoS ONE. 2018;13:e0204762.

    PubMed  PubMed Central  Google Scholar 

Download references

Funding

This work was supported by the National Research Foundation of Korea (NRF) grant for the Global Core Research Center (GCRC), funded by the Korean government (MSIP) (No. 2011-0030001).

Author information

Affiliations

Authors

Contributions

KWK analyzed the data, provided statistical support, and drafted the article; NK designed the study, collected the data, and edited the manuscript. YC checked and filtered the raw data; HY, CMS, YSP, and DHL performed endoscopy for the diagnosis of gastric cancer, edited the text, designed the study, and supervised the preparation of the manuscript; YSP, SHA, DJP, and HHK performed surgery for gastric cancer patients; HSL performed histologic diagnosis of gastric cancer; J-WK, JWK, and K-WL performed chemotherapy in patients with advanced gastric cancer; WC, JHP, YJL, KHL, and YHK performed the radiologic studies. All authors read and approved the final manuscript.

Corresponding author

Correspondence to Nayoung Kim.

Ethics declarations

Conflict of interest

The authors have no conflicts of interest to declare in relation to this article.

Additional information

Publisher's Note

Springer Nature remains neutral with regard to jurisdictional claims in published maps and institutional affiliations.

Supplementary Information

Below is the link to the electronic supplementary material.

Supplementary file1 (DOCX 39 KB)

Rights and permissions

Reprints and Permissions

About this article

Verify currency and authenticity via CrossMark

Cite this article

Kim, K.W., Kim, N., Choi, Y. et al. Different effects of p53 protein overexpression on the survival of gastric cancer patients according to Lauren histologic classification: a retrospective study. Gastric Cancer 24, 844–857 (2021). https://doi.org/10.1007/s10120-021-01163-y

Download citation

  • Received:

  • Accepted:

  • Published:

  • Issue Date:

  • DOI: https://doi.org/10.1007/s10120-021-01163-y

Keywords

  • p53 overexpression
  • Gastric cancer
  • Lauren type
  • Survival
  • Recurrence