Skip to main content

Chromosome X aneusomy and androgen receptor gene copy number aberrations in apocrine carcinoma of the breast

Abstract

Carcinomas with apocrine differentiation (CAD) of the breast are rare tumours typically presenting high immunohistochemical expression of androgen receptor (AR) which is a target molecule for personalised therapy. To date, no studies have evaluated the genetic changes that are associated with AR immunohistochemical expression in CADs. The present work aims to characterise AR status in CADs. Twenty CAD tumours were studied with immunohistochemistry, in situ fluorescence hybridization and DNA methylation analysis, to evaluate AR expression and its regulator status. All tumours demonstrated high AR immunohistochemical expression, with over 95% of the neoplastic cells showing AR positivity in 19/20 cases. CADs showed AR gene copy loss in a percentage of neoplastic cells ranging from 5 to 84% (mean 48.93%). AR regulator genes, including the MAGE family, UXT and FLNA, presented variable methylation levels, but were mainly hypomethylated and therefore all transcriptionally active. The results of this study indicate that CADs present AR monosomy, paralleled by higher transcriptional activity of the gene with potential to influence response to AR deprivation therapy.

Introduction

In the study of oestrogen (ER) and progesterone (PR) receptor-negative tumours, attention is currently focused on cases that express androgen receptor (AR). In most of the cases, these tumours display the morphological features of carcinoma with apocrine differentiation (CAD) of the breast (1), composed of large cells with abundant, granular and eosinophilic cytoplasm, a centrally located nucleus with a thick nuclear membrane, coarse nuclear chromatin and a prominent nucleolus [1,2,3]. Gross cystic disease fluid protein 15 (GCDFP15) is frequently positive [1,2,3]. CADs are generally triple negative or show HER2 amplification, in addition to strong and diffuse AR positivity on immunohistochemistry [1,2,3]. AR is a targetable molecule as has been demonstrated mainly in prostate [4] and, more recently, in male breast cancer [5]. Trials have been approved to evaluate anti-AR therapy efficacy in women affected by AR-positive tumours with promising results [4].

To date, most studies of CADs are based on immunohistochemical evaluation of AR expression in neoplastic cells. The AR gene is located on X chromosome at Xq11–12 [6, 7]. In addition to AR, a group of genes involved in the regulation of AR function and expression are located on X chromosome: FLNA, UXT and the MAGE family genes, (MAGEA1, MAGEA2, MAGEA3, MAGEA9, MAGEA11, MAGEC1, MAGEC2) [8]. Recent studies have demonstrated a role for AR in the neoplastic transformation of male breast [9]. In previous studies performed at our institution, it has been demonstrated that neoplastic cells in male breast cancer acquire additional copies of X chromosome with consequent AR polysomy [10, 11]. There are currently no data on X chromosome and AR copy number variations in female breast CADs. The aim of this study was to evaluate the AR status, X chromosome copy number variations and the methylation pattern of AR regulators in a series of CADs.

Materials and methods

Case selection

Consecutive cases were retrieved from the files of the Surgical Pathology Units of the Department of Biomedical and Neuromotor Sciences at Bellaria Hospital in Bologna (Italy), St. Vincent’s University Hospital in Dublin (Ireland) and Morgagni Hospital in Forlì (Italy).

Selection criteria

Cases were retained for the present study when they showed (a) ER and PR negativity and AR positivity; (b) the morphological and immunohistochemical profile consistent with the diagnosis of CAD according to recent guidelines [1]; (c) sufficient tissue to perform in situ hybridization and molecular tests. All cases had been diagnosed in the period January 2000–December 2016. All cases with their immunohistochemical profile were reviewed, classified and graded according to currently available criteria [1]. All tissue specimens had been fixed in buffered formalin for 24 h and then paraffin-embedded (FFPE) according to routine procedures.

Immunohistochemistry (IHC)

Immunohistochemistry was performed on an automated stainer (Ventana BenchMark, Ventana Medical Systems Inc., Tucson, AZ, USA) applying a pre-diluted monoclonal anti-androgen receptor (Cell Marque, clone SP 107) and anti-GCDFP-15 (Thermo Fisher Scientific, clone 23A3) antibodies.

Fluorescent in situ hybridization (FISH)

Dual-colour FISH was carried out according to a standard protocol as previously described [10, 11], shortly summarized as follows: Five micron sections were obtained from each tumour block. One specific probe kit for the X chromosome (ON AR (Xq12)/SE X, Kreatech Diagnostics, Amsterdam, The Netherlands), added with the Smart-ISH hybridization buffer (OACP IE LTD, Cork, IE), was applied. The AR gene-specific probe length is stated of 340Kb (product-specific datasheet from Kreatech Diagnostics). The X chromosome centromeric region-specific probe length has not been disclosed by the producer. The two regions tested are schematically illustrated in Fig. 1.

Fig. 1
figure 1

Schematic representation of X chromosomes and the anatomical location of both regions tested with FISH

FISH for HER2 gene amplification status was routinely performed, at the time of diagnosis, applying specific probes (ON HER2/CE 17, Kreatech Diagnostics, Amsterdam, The Netherlands) with the same method cited above.

Evaluation criteria and data analysis

FISH analysis was carried out using an Olympus BX61 epifluorescence microscope (Olympus, Melville, NY) equipped with a 100-planar objective. For each case, a minimum of 60 non-overlapping nuclei was scored. Scoring was performed as previously described [10,11,12]: total number of X chromosome centromeric probe signals (spectrum green), average number of green signals, total number of AR signals (spectrum orange), average number of orange signals and ratio between green (X chromosome) and orange (AR) signals. In the non-neoplastic ductal cells, utilized as internal control, two signals for both the AR gene (spectrum orange) and the centromeric X chromosome region (spectrum green) identified the normal chromosome asset.

HER2 results were scored following currently available guidelines [13].

Methylation analysis

Methylation analysis was performed as previously described [11]. Briefly, DNA obtained from formalin-fixed paraffin-embedded tissues was purified using the QuickExtract™ FFPE DNA extraction kit (Epicentre, Madison, WI). Two hundred to 500 ng of genomic DNA underwent bisulfite treatment applying the EZ DNA Methylation-Lightning™ Kit (Zymo Research Europe, Freiberg, Germany) according to the manufacturer’s protocol. DNA methylation was analysed by bisulfite next-generation sequencing (bisulfite-SEQ) following an internal protocol [14] using a two-step library preparation approach: the first step comprises multiplex PCR amplification for target enrichment and a second PCR amplification for specimen barcoding (primers and region details are available on Supplementary Table 1). Libraries were loaded on the MiSeq (Illumina, San Diego, CA) according to the manufacturer’s protocol. Each NGS experiment was designed to allocate 1,000 reads for any region of interest, in order to have a depth of coverage of at least 1000×. FASTQ files were processed for quality control (> Q30), reads length (> 100 bp) and converted into FASTA format in galaxy project environment [14]. In order to evaluate the methylation ratio of each CpG, a single specific file for every case and every gene was created by Perl, which was then visualized using KISMETH [15]. In parallel, reads were mapped by BWAmeth generating a bam file which was then processed by MethylDackel using hg38 as a reference; this tool created an excel file assigning at each CpG position the exact methylation level.

Statistical analyses

Statistical analyses were performed using commercially available software: QuickCalcs, which is an online tool for linear regression by GraphPad, and Excel, from Microsoft Corporation.

The relationship between FISH results and clinical and histopathological data was calculated using the generalized Fisher’s exact test that is part of the GraphPad QuickCalcs online tool. P values smaller than 0.05 were considered to reflect a significant difference between groups.

Ethical statement

All investigations were conducted according to the principles expressed in the Declaration of Helsinki; the study was approved by the local Ethical Committee (Code: n. CE17133).

Results

Twenty tumours met the inclusion criteria and constituted the basis of the present study. Clinical and pathological features are summarized in Table 1 (Figs. 2 and 3).

Table 1 Clinical and pathological details
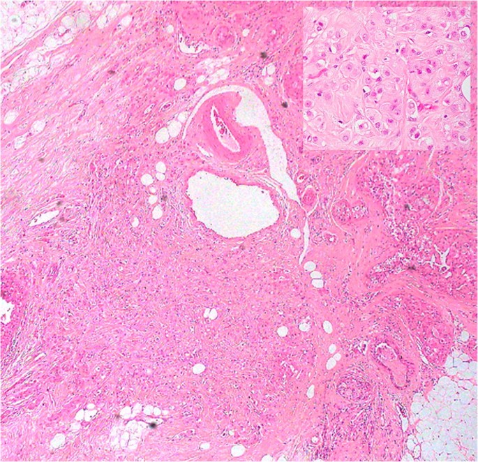
Fig. 2
figure 2

On histology, all the tumors showed the typical CAD features, being composed of eosinophilic cells. Inset: at higher power, the neoplastic cells show eosinophilic and granular cytoplasm, atypical nucleus and prominent nucleolus

Fig. 3
figure 3

Gross cystic disease fluid protein 15 was strongly positive in most of the neoplastic cells. Inset: detail at high power

All patients were female, aged 49 to 85 years (mean age 64 years). Tumours were graded as grade 3 (n = 16) and grade 2 (n = 4) [16]. Nine patients had axillary lymph node metastases at the time of presentation. Invasive carcinoma size ranged from 2 to 60 mm with an average of 19.6 mm.

pTNM [17] was as follows: pT1a in 2, pT1b in 5, pT1c in 5, pT2 in 6, pT3 in 1 and pT4b in 1.

In 19/20 tumours, AR stained more than 95% of the neoplastic cells (Fig. 4). In the remaining case, AR positivity was detected in 50% of the neoplastic cells (case 7).

Fig. 4
figure 4

On immunohistochemistry, AR stained positive in most of the neoplastic cells. Inset: detail at higher power

HER2 was 3+ or amplified by FISH in 8 cases (40%).

FISH results (Table 2, Fig. 5)

FISH analysis of the X chromosome was performed on all tumours included in the study and informative results were obtained in 13 tumours. In all cases, normal ducts served as an internal control. Tumours were eliminated from the study when the two signals (red and green) were not clearly evaluable.

Table 2 FISH results
Fig. 5
figure 5

Graphic illustrating the AR loss and X chromosome aneuploidy summarized in Table 2

X chromosome copy number variation was observed in 13 of 13 tested tumours. Specifically, all except one (case 3) showed a proportion of neoplastic cells with loss of one X chromosome copy (monosomy) (Fig. 6). The percentage of neoplastic cells displaying X chromosome monosomy (Fig. 7) ranged from 4.63 to 73.10% (average 31.3%).

Fig. 6
figure 6

Fish analysis: AR is stained red and X chromosome is green. AR loss is evident as the number of green signals is higher than the red ones (arrows)

Fig. 7
figure 7

Fish analysis: In the present field, both green and red signals are reduced, demonstrating X chromosome and AR monosomy (arrows)

In three tumours (cases 3, 4 and 10), a neoplastic population with an additional X chromosome copy (polysomy) (Fig. 8) was identified. X chromosome polysomy affected 7.89% (case 10) to 23.66% (case 3) of the neoplastic population.

Fig. 8
figure 8

Fish analysis: some nuclei show X chromosome number increase, as three green signals are seen, not paralleled by AR polysomy as the number of red signals is lower (arrows)

Not all additional copies of the X chromosome carried the AR gene leading to AR gene relative deletion. AR gene deletion was detected in 9/13 cases and affected from 2.43 to 56.17% (average 28.62%) of the neoplastic cells.

Overall, AR gene loss (due to either X chromosome monosomy or AR gene deletion) was observed in all 13 cases tested. The neoplastic cell population showing loss of one AR gene copy varied from 5 to 84% (mean 48.93%). Minimal differences were observed between HER2-positive and HER2-negative cases (Table 3). HER2-positive cases showed a tendency towards a higher level of X chromosome monosomy.

Table 3 Comparison between FISH results according to HER2 status

In situ duct carcinoma, present in 1 case, showed AR gene monosomy in 23.8% (case 10) of the neoplastic cells.

Non-neoplastic, non-apocrine cells present around the tumour showed AR monosomy in two cases, in 15.73% and 4.17% of the cell population respectively. The related tumours showed AR monosomy in 25.19% and 57.14% of the neoplastic cells (cases 4 and 14).

Methylation analysis

All 20 tumours were tested, but informative DNA was obtained in 9 cases only due to DNA over-fixation problems. The methylation status of the AR, FLNA and UXT genes, and of the MAGE family genes (MAGEA1, MAGEA2, MAGEA3, MAGEA9, MAGEA11, MAGEC1, MAGEC2), all present on the X chromosome, was evaluated. MAGEG1, a member of the MAGE family that maps to chromosome 15, served as a control as it is not affected by X chromosome inactivation in females. It was consistently non-methylated, as expected, as chromosome 15 is not subject to lyonization.

In all tumours, the tested genes showed variation in methylation status, with respect to the methylation condition of a single chromosome (50% of methylation).

The AR gene showed a mean methylation value in the CpG islands lower than 50% in all but one case (case 20) (Table 2 in Supplementary files shows the data related to the methylation of each CpG island of AR).

MAGE family members that mapped on chromosome X were hypermethylated, with methylation values varying from 42.8 to 100% (average 81.43%) (the mean methylation values obtained for each gene are shown in Table 3 Supplementary files).

FLNA gene displayed a variable methylation pattern ranging from 0 to 70% (Table 4, Supplementary files).

Table 4 Correlation between FISH results and Methylation profile

UXT gene also displayed a variable methylation pattern ranging from 4 to 50% (Table 5, Supplementary files).

Correlation between FISH results and methylation profile (Table 4, Fig. 9)

A complete immunohistochemical and molecular profile was obtained in 6 tumours. In all 6 tumours, AR immunohistochemical expression was high (positivity in > 95% of the neoplastic cells in 5/6 cases) in spite of X chromosome monosomy and AR gene loss in a variable percentage of neoplastic cells. All cases showed variable levels of hypomethylation of the tested genes. Even if a statistically significant correlation was not detected, methylation levels were lower in cases with higher AR gene loss, thus suggesting that the residual AR gene was transcriptionally active.

Fig. 9
figure 9

Graphic illustration of the correlation between AR, X chromosome and methylation, summarized in Table 4

Discussion

AR is a targetable molecule, widely used in the treatment of prostatic cancer [4]. Prostatic cancer may develop AR deprivation resistance [4] for several reasons including AR amplification [18, 19]. More recently, anti-AR therapy has been tested in males with breast cancer and in small series of female breast cancer patients [4] with promising but not always consistent results. Most studies focusing on anti-AR therapy in breast cancer are based on AR expression in neoplastic cells, evaluated with immunohistochemistry. A single functioning AR gene may produce immunohistochemically detectable AR. The amount of AR protein expression depends on AR gene transcription activity. Therefore, AR gene copy number variations, as well as AR gene regulator methylation status, may have a strong influence on AR protein expression.

In the present series, almost all CADs tumours showed X chromosome aneusomy, mostly due to monosomy. AR monosomy was also present, even if at lower levels, in in situ carcinoma.

All tumours showed AR protein expression on immunohistochemistry, with greater than 95% of the neoplastic population staining positively in 19/20 cases. The AR protein expression can be explained by the hypomethylation status of the AR gene and its regulators. Unfortunately, the correlation between FISH and methylation results was possible in 6 cases only. In these cases, it was shown that AR gene monosomy was related to the hypomethylation status of the gene and most of its regulators.

These results lead to two considerations: X chromosome aneusomy can play a role in the neoplastic transformation of mammary epithelium and may regulate therapeutic response to molecules for anti-AR therapy.

The hypothesis of AR aneusomy role in the neoplastic transformation is supported by the fact that in situ duct carcinoma present in the FISH sections demonstrated AR gene monosomy. Furthermore, in 2 cases, AR monosomy was observed in the normal ductal cells surrounding the invasive carcinoma. X chromosome aneusomy has rarely been studied in breast carcinogenesis. Persons et al. [20] studied a series of 55 breast carcinomas of no special type, applying FISH analysis in order to detect chromosome copy number variations. X chromosome loss was present in a minority of cases and was related to lymph node metastases and tumour grade. X chromosome aneusomy and related AR gene copy number aberrations have been demonstrated in male breast cancer. However, male breast cancer, in contrast with the female CADs here studied, showed mainly X chromosome polysomy and related AR gene copy number gain [10, 11].

The second consideration focuses on the possible role of AR as a therapeutic target. Student et al. [4] reviewed the application of anti-AR therapy in different diseases, including ER- and PR-negative breast cancers. Accordingly, promising results are being published based on response to latest-generation anti-AR hormonal drugs.

All the studies published to date focus on AR expression evaluated by immunohistochemistry. The data here shown demonstrate a great variability of AR gene status paralleled by a great variability of AR and its regulator methylation status. In most of the studied tumours, the AR gene was monosomic and its regulators showed a variable methylation status, with a prevalence of hypomethylation. These conditions lead us to hypothesize that the monosomic AR gene is transcriptionally active, explaining why most of the neoplastic cells show AR positivity on immunohistochemistry. Nevertheless, differences in AR gene status could lead to quantitative differences in AR protein production. It is plausible to hypothesize that AR protein can be reduced in AR monosomic neoplastic cells.

In patients with prostatic cancer, it has been demonstrated that AR gene polysomy may lead to castration therapy resistance [18, 19]. Therefore, anti-AR therapy might be more effective in those patients with lower AR protein production.

The present work has some limitations, including the low case number, inability to perform quantitative evaluation of AR protein with western blot analysis due to the lack of freshly fixed tissue and some compromised FISH and DNA studies due to fixation issues.

Despite these limitations, the data here shown demonstrate that in breast CADs even if AR immunohistochemical expression is high, AR transcriptional status may be quite variable. This variability may have an impact on response to AR deprivation therapy.

Data availability

All data generated or analysed during this study are included in this published article (and its supplementary information files).

References

  1. WHO Classification of Tumours Ed. Bd (2019) WHO classification of tumours of the breast, 5th edn. IARC Press, Lyon

    Google Scholar 

  2. Eusebi V, Millis RR, Cattani MG, Bussolati G, Azzopardi JG (1986) Apocrine carcinoma of the breast. A morphologic and immunocytochemical study. Am J Pathol 123(3):532–541 Erratum in: Am J Pathol 1986 Sep;124(3):following 563

    PubMed  PubMed Central  CAS  Google Scholar 

  3. D’Arcy C, Quinn CM (2019) Apocrine lesions of the breast: part 2 of a two-part review. Invasive apocrine carcinoma, the molecular apocrine signature and utility of immunohistochemistry in the diagnosis of apocrine lesions of the breast. J Clin Pathol 72(1):7–11. https://doi.org/10.1136/jclinpath-2018-205485 Review

    Article  PubMed  CAS  Google Scholar 

  4. Student S, Hejmo T, Poterała-Hejmo A, Leśniak A, Bułdak R (2019) Anti-androgen hormonal therapy for cancer and other diseases. Eur J Pharmacol 2020 866:172783. https://doi.org/10.1016/j.ejphar.2019.172783

    Article  CAS  Google Scholar 

  5. Di Lauro L, Vici P, Barba M, Pizzuti L, Sergi D, Rinaldi M, Di Benedetto A, Sperduti I, Shaaban AM, Speirs V, Mottolese M, De Maria R, Maugeri-Saccà M (2014) Antiandrogen therapy in metastatic male breast cancer: results from an updated analysis in an expanded case series. Breast Cancer Res Treat 148(1):73–80. https://doi.org/10.1007/s10549-014-3138-9

    Article  PubMed  CAS  Google Scholar 

  6. Lubahn DB, Joseph DR, Sullivan PM, Willard HF, French FS, Wilson EM (1988) Cloning of human androgen receptor complementary DNA and localization to the X chromosome. Science 240:327–330. https://doi.org/10.1126/science.3353727

    Article  PubMed  CAS  Google Scholar 

  7. Brown CJ, Goss SJ, Lubahn DB, Joseph DR, Wilson EM, French FS, Willard HF (1989) Androgen receptor locus on the human X chromosome: regional localization to Xq11-12 and description of a DNA polymorphism. Am J Hum Genet 44(2):264–269

    PubMed  PubMed Central  CAS  Google Scholar 

  8. Minges JT, Su S, Grossman G, Blackwelder AJ, Pop EA, Mohler JL et al (2013) Melanoma antigen-A11 (MAGE-A11) enhances transcriptional activity by linking androgen receptor dimmers. J Biol Chem 288:1939–1952. https://doi.org/10.1074/jbc.M112.428409

    Article  PubMed  CAS  Google Scholar 

  9. Kornegoor R, van Diest PJ, Buerger H, Korsching E (2015) Tracing differences between male and female breast cancer: both diseases own a different biology. Histopathology. 67(6):888–897. https://doi.org/10.1111/his.12727

    Article  PubMed  Google Scholar 

  10. Di Oto E, Monti V, Cucchi MC, Masetti R, Varga Z, Foschini MP (2015) X chromosome gain in male breast cancer. Hum Pathol 46(12):1908–1912. https://doi.org/10.1016/j.humpath.2015.08.008

    Article  PubMed  CAS  Google Scholar 

  11. Foschini MP, Morandi L, Sanchez M, Santoro A, Mulè A, Zannoni G, Varga Z, Cucchi MC, Moelans CB, Giove G, van Diest PJ, Masetti R (2020) Methylation profile of X-chromosome related genes in male breast cancer. Front Oncol 10. https://doi.org/10.3389/fonc.2020.00784

  12. Graziano F, Galluccio N, Lorenzini P, Ruzzo A, Canestrari E, D’Emidio S, Catalano V, Sisti V, Ligorio C, Andreoni F, Rulli E, Di Oto E, Fiorentini G, Zingaretti C, De Nictolis M, Cappuzzo F, Magnani M (2011) Genetic activation of the MET pathway and prognosis of patients with high-risk, radically resected gastric cancer. J Clin Oncol 29(36):4789–4795. https://doi.org/10.1200/JCO.2011.36.7706

    Article  PubMed  CAS  Google Scholar 

  13. Wolff AC, Hammond MEH, Allison KH, Harvey BE, Mangu PB, Bartlett JMS, Bilous M, Ellis IO, Fitzgibbons P, Hanna W, Jenkins RB, Press MF, Spears PA, Vance GH, Viale G, McShane LM, Dowsett M (2018) Human epidermal growth factor receptor 2 testing in breast cancer: American Society of Clinical Oncology/College of American Pathologists clinical practice guideline focused update. J Clin Oncol 36(20):2105–2122. https://doi.org/10.1200/JCO.2018.77.8738

    Article  PubMed  CAS  Google Scholar 

  14. Afgan E, Baker D, Batut B, van den Beek M, Bouvier D, Cech M, Chilton J, Clements D, Coraor N, Grüning BA et al (2018) The Galaxy platform for accessible, reproducible and collaborative biomedical analyses: 2018 update. Nucleic Acids Res 46:W537–W544. https://doi.org/10.1093/nar/gky379

    Article  PubMed  PubMed Central  CAS  Google Scholar 

  15. Gruntman E, Qi Y, Slotkin RK, Roeder T, Martienssen RA, Sachidanandam R (2008) Kismeth: analyzer of plant methylation states through bisulfite sequencing. BMC Bioinformatics 9:371. https://doi.org/10.1186/1471-2105-9-371

    Article  PubMed  PubMed Central  CAS  Google Scholar 

  16. Elston CW, Ellis IO (1991 Nov) (1991) Pathological prognostic factors in breast cancer. I. The value of histological grade in breast cancer: experience from a large study with long-term follow-up. Histopathology. 19(5):403–410

    Article  CAS  Google Scholar 

  17. AJCC Cancer Staging Manual, 8th edition (2017) Springer International Publishing: American Joint Commission on Cancer.

  18. Conteduca V, Wetterskog D, Sharabiani MTA, Grande E, Fernandez-Perez MP, Jayaram A, Salvi S, Castellano D, Romanel A, Lolli C, Casadio V, Gurioli G, Amadori D, Font A, Vazquez-Estevez S, González Del Alba A, Mellado B, Fernandez-Calvo O, Méndez-Vidal MJ, Climent MA, Duran I, Gallardo E, Rodriguez A, Santander C, Sáez MI, Puente J, Gasi Tandefelt D, Wingate A, Dearnaley D, PREMIERE Collaborators; Spanish Oncology Genitourinary Group, Demichelis F, De Giorgi U, Gonzalez-Billalabeitia E, Attard G (2017) Androgen receptor gene status in plasma DNA associates with worse outcome on enzalutamide or abiraterone for castration-resistant prostate cancer: a multi-institution correlative biomarker study. Ann Oncol 28(7):1508–1516. https://doi.org/10.1093/annonc/mdx155

    Article  PubMed  PubMed Central  CAS  Google Scholar 

  19. Salvi S, Casadio V, Conteduca V, Lolli C, Gurioli G, Martignano F, Schepisi G, Testoni S, Scarpi E, Amadori D, Calistri D, Attard G, De Giorgi U (2016) Circulating AR copy number and outcome to enzalutamide in docetaxel-treated metastatic castration-resistant prostate cancer. Oncotarget 7(25):37839–37845. https://doi.org/10.18632/oncotarget.9341

    Article  PubMed  PubMed Central  Google Scholar 

  20. Persons DL, Robinson RA, Hsu PH, Seelig SA, Borell TJ, Hartmann LC, Jenkins RB (1996) Chromosome-specific aneusomy in carcinoma of the breast. Clin Cancer Res 2(5):883–888

    PubMed  CAS  Google Scholar 

Download references

Acknowledgements

Mrs. Antonia Conti (Medical Illustrator http://www.medill.it) is thanked for graphical assistance.

Funding

Open Access funding provided by Alma Mater Studiorum - Università di Bologna within the CRUI-CARE Agreement. Work financed with donation by Komen Foundation Italy (RM) and Fundamentally Oriented Research Funds University of Bologna (MPF).

Author information

Affiliations

Authors

Contributions

All authors contributed to the study conception and design. Material preparation, data collection and analysis were performed by Anna Cremonini, Luca Saragoni, Caterina Ravaioli and Francesco Limarzi. Luca Morandi and Enrico Di Oto preformed the molecular experiments. Maria C. Cucchi, Alejandro M. Sanchez and Riccardo Masetti provided the clinical information. The first draft of the manuscript was written by Anna Cremonini, Cecily Quinn and Maria Pia Foschini; all authors commented on previous versions of the manuscript. All authors read and approved the final manuscript.

Corresponding author

Correspondence to Maria P. Foschini.

Ethics declarations

Competing interests

MPF received grants from Roche, Devicor Mammotome as support for course organization and participation, and from MSD and Biocartis as speaker fee. EdO is the CEO/CTO of OaCP IE LTD, Phoenix House, Monahan road, T12H1XY, Cork City, Cork, Ireland. CQ received speaker fees from Roche and Exact Sciences. The remaining authors declare that they have no conflict of interest related to the present work.

Ethics approval and consent to participate

The study was approved by the local Ethical Committee (Code: n. CE17133). Consent to participate is not applicable to the present work (retrospective study done on archival material).

Consent for publication

The present paper does not contain data that can identify the single patients. Therefore, patient consent for publication is not needed. All the authors give the consent for paper publication.

Code availability

Software application or custom code: not applicable.

Additional information

Publisher’s note

Springer Nature remains neutral with regard to jurisdictional claims in published maps and institutional affiliations.

Supplementary Information

ESM 1

(DOCX 18 kb)

Rights and permissions

Open Access This article is licensed under a Creative Commons Attribution 4.0 International License, which permits use, sharing, adaptation, distribution and reproduction in any medium or format, as long as you give appropriate credit to the original author(s) and the source, provide a link to the Creative Commons licence, and indicate if changes were made. The images or other third party material in this article are included in the article's Creative Commons licence, unless indicated otherwise in a credit line to the material. If material is not included in the article's Creative Commons licence and your intended use is not permitted by statutory regulation or exceeds the permitted use, you will need to obtain permission directly from the copyright holder. To view a copy of this licence, visit http://creativecommons.org/licenses/by/4.0/.

Reprints and Permissions

About this article

Verify currency and authenticity via CrossMark

Cite this article

Cremonini, A., Saragoni, L., Morandi, L. et al. Chromosome X aneusomy and androgen receptor gene copy number aberrations in apocrine carcinoma of the breast. Virchows Arch 479, 345–354 (2021). https://doi.org/10.1007/s00428-021-03028-2

Download citation

  • Received:

  • Revised:

  • Accepted:

  • Published:

  • Issue Date:

  • DOI: https://doi.org/10.1007/s00428-021-03028-2

Keywords

  • Carcinoma with apocrine differentiation
  • Androgen receptor
  • Triple negative breast cancer
  • DNA methylation
  • X chromosome