Skip to main content

Abdominopelvic tuberculosis mimicking advanced ovarian cancer and pelvic inflammatory disease: a series of 28 female cases

Abstract

Objective

To present and discuss 28 female cases with abdominopelvic tuberculosis (TB) and abnormal CA125 levels to better distinguish this disease from advanced ovarian cancer (AOC) and pelvic inflammatory disease (PID). Abdominopelvic tuberculosis (APTB) is one of the extrapulmonary tuberculosis (TB) sites, usually misdiagnosed as AOC and PID and then has to undergo surgery. However, the treatment of APTB is totally based on medical therapy other than surgery except biopsy. This article aims to present and discuss 28 female APTB cases with abnormal CA125 levels to better distinguish this disease from AOC and PID so as to find out non-invasive APTB diagnosis methods.

Methods

28 APTB patients diagnosed between January 2000 and January 2010 in our gynecologic department of Nanjing Jinling hospital were reviewed retrospectively and compared with AOC and PID.

Results

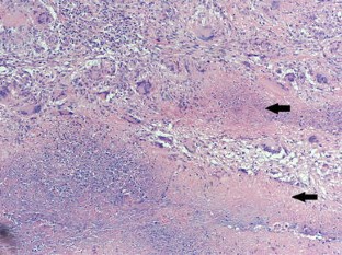
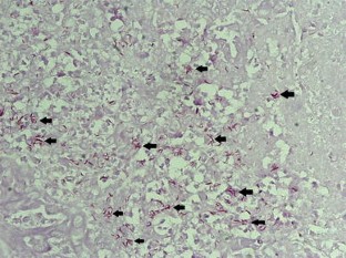
The mean age was 38.24 ± 11 (range 15–64) years. Elevated levels of serum CA125 were determined in all 28 patients (100 %). Other common findings were ascites in 20 (71.43 %, 20/28), pelvic mass in 21(75 %, 21/28), slight fever with night sweat in 13 (46.43 %, 13/28), cough and pleural effusion in nine (32.14 %, 9/28), high fever more than 39 °C combined with abdominal pain and elevated white blood count in five (17.86 %, 5/28), weight loss more than 5 kg at admission in six (21.43 %, 6/28). Diagnoses were made based on biopsy from laparotomy in 14 (50 %) patients, from laparoscopy in nine (32.14 %), from diagnostic curettage because of primary infertility in two (7.14 %), and only from clinical suspicion in three patients. Histopathology revealed that caseating granulomatous lesions were seen in 25 patients, positive anti-acid staining in 11 patients. Totally 26 patients completed anti-TB therapy successfully and were cured, two patients died of the disease because of long-term immune inhibitor used.

Conclusion

Although it is difficult to exactly distinguish APTB from AOC and PID without operation, it is important because the treatment of APTB is totally based on medical therapy other than surgery. Some difference may be found out if clinical manifestation, physical examination, laboratory tests and imaging findings are carefully analyzed to avoid unnecessary extensive surgery and improve the prognosis.

This is a preview of subscription content, access via your institution.

Fig. 1–3
Fig. 4
Fig. 5
Fig. 6

References

  1. Ofluoglu R, Guler M, Unsal E, Kilic N, Capan N (2009) Malignity-like peritoneal tuberculosis associated with abdominal mass, ascites and elevated serum Ca125 level. Acta Chir Belg 109:71–74

    CAS  PubMed  Google Scholar 

  2. Thaiss CA, Kaufmann SH (2010) Toward novel vaccines against tuberculosis: current hopes and obstacles. Yale J Biol Med 83:209–215

    PubMed Central  PubMed  Google Scholar 

  3. Masiello A, Pacifico P, Giglio S, Maio P, Dell’Aquila G, Magliocca M, Acone N (2012) Abdominal tuberculosis in a young immigrant patient: a clinical case. Infez Med 20:120–124

    PubMed  Google Scholar 

  4. Devi L, Tandon R, Goel P, Huria A, Saha PK (2012) Pelvic tuberculosis mimicking advanced ovarian malignancy. Trop Doct 42:144–146

    PubMed  Article  Google Scholar 

  5. Chhabra S, Saharan K, Pohane D (2010) Pelvic tuberculosis continues to be a disease of dilemma—case series. Indian J Tuberc 57:90–94

    CAS  PubMed  Google Scholar 

  6. Zaidi SN, Conner M (2001) Disseminated peritoneal tuberculosis mimicking metastatic ovarian cancer. South Med J 94:1212–1214

    CAS  PubMed  Article  Google Scholar 

  7. Hussain W, Mutimer D, Harrison R, Hubscher S, Neuberger J (1995) Fulminant hepatic failure caused by tuberculosis. Gut 36:792–794

    CAS  PubMed  Article  Google Scholar 

  8. Marshall JB (1993) Tuberculosis of the gastrointestinal tract and peritoneum. Am J Gastroenterol 88:989–999

    CAS  PubMed  Google Scholar 

  9. Poyrazoglu OK, Timurkaan M, Yalniz M, Ataseven H, Dogukan M, Bahcecioglu IH (2008) Clinical review of 23 patients with tuberculous peritonitis: presenting features and diagnosis. J Dig Dis 9:170–174

    PubMed  Article  Google Scholar 

  10. Xi X, Shuang L, Dan W, Ting H, Han MY, Ying C, Quan M, Sun C, Chen Z, Cui F, Ming C, Zhou JF, Xuan WS, Lu YP, Ma D (2010) Diagnostic dilemma of abdominopelvic tuberculosis:a series of 20 cases. J Cancer Res Clin Oncol 136:1839–1844

    PubMed  Article  Google Scholar 

  11. Sharma JB, Roy KK, Pushparaj M, Kumar S, Malhotra N, Mittal S (2008) Laparoscopic findings in female genital tuberculosis. Arch Gynecol Obstet 278:359–364

    PubMed  Article  Google Scholar 

  12. Dursun P, Ersoz S, Gultekin M, Aksan G, Yuce K, Ayhan A (2006) Disseminated peritoneal tuberculosis mimicking advanced-stage endodermal sinus tumor: a case report. Int J Gynecol Cancer 16(Suppl 1):303–307

    PubMed  Article  Google Scholar 

  13. Ozan H, Ozerkan K, Orhan A (2009) Peritoneal tuberculosis mimicking peritoneal carcinomatosis. Eur J Gynaecol Oncol 30:426–430

    CAS  PubMed  Google Scholar 

  14. Ilmer M, Bergauer F, Friese K, Mylonas I (2009) Genital tuberculosis as the cause of tuboovarian abscess in an immunosuppressed patient. Infect Dis Obstet Gynecol 2009:745060

    CAS  PubMed Central  PubMed  Article  Google Scholar 

  15. Akbulut S, Arikanoglu Z, Basbug M (2011) Tubercular tubo-ovarian cystic mass mimicking acute appendicitis: a case report. J Med Case Rep 5:363

    PubMed Central  PubMed  Article  Google Scholar 

  16. Piura B, Rabinovich A, Leron E, Yanai-Inbar I, Mazor M (2002) Peritoneal tuberculosis mimicking ovarian carcinoma with ascites and elevated serum CA-125: case report and review of literature. Eur J Gynaecol Oncol 23:120–122

    CAS  PubMed  Google Scholar 

  17. Geisler JP, Crook DE, Geisler HE, Cudahay TJ, Fraiz J, Bunce CP, Moore DK, Kay K (2000) The great imitator: miliary peritoneal tuberculosis mimicking stage III ovarian carcinoma. Eur J Gynaecol Oncol 21:115–116

    CAS  PubMed  Google Scholar 

  18. Riquelme A, Calvo M, Salech F, Valderrama S, Pattillo A, Arellano M, Arrese M, Soza A, Viviani P, Letelier LM (2006) Value of adenosine deaminase (ADA) in ascitic fluid for the diagnosis of tuberculous peritonitis: a meta-analysis. J Clin Gastroenterol 40:705–710

    CAS  PubMed  Article  Google Scholar 

  19. Hillebrand DJ, Runyon BA, Yasmineh WG, Rynders GP (1996) Ascitic fluid adenosine deaminase insensitivity in detecting tuberculous peritonitis in the United States. Hepatology 24:1408–1412

    CAS  PubMed  Article  Google Scholar 

  20. Burgess LJ, Swanepoel CG, Taljaard JJ (2001) The use of adenosine deaminase as a diagnostic tool for peritoneal tuberculosis. Tuberculosis (Edinb) 81:243–248

    CAS  Article  Google Scholar 

  21. Adali E, Dulger C, Kolusari A, Kurdoglu M, Yildizhan R (2009) Pelvic-peritoneal tuberculosis simulating peritoneal carcinomatosis: high clinical suspicion and a minimally invasive procedure. Arch Gynecol Obstet 280:867–868

    PubMed  Article  Google Scholar 

  22. Panoskaltsis TA, Moore DA, Haidopoulos DA, McIndoe AG (2000) Tuberculous peritonitis: part of the differential diagnosis in ovarian cancer. Am J Obstet Gynecol 182:740–742

    CAS  PubMed  Article  Google Scholar 

  23. Piura B, Rabinovich A, Leron E, Yanai-Inbar I, Mazor M (2003) Peritoneal tuberculosis—an uncommon disease that may deceive the gynecologist. Eur J Obstet Gynecol Reprod Biol 110:230–234

    PubMed  Article  Google Scholar 

  24. Chen HL, Wu MS, Chang WH, Shih SC, Chi H, Bair MJ (2009) Abdominal tuberculosis in southeastern Taiwan: 20 years of experience. J Formos Med Assoc 108:195–201

    PubMed  Article  Google Scholar 

Download references

Conflict of interest

We declare that we have no conflict of interest.

Author information

Affiliations

Authors

Corresponding author

Correspondence to Qun-li Shi.

Rights and permissions

Reprints and Permissions

About this article

Cite this article

Liu, Q., Zhang, Q., Guan, Q. et al. Abdominopelvic tuberculosis mimicking advanced ovarian cancer and pelvic inflammatory disease: a series of 28 female cases. Arch Gynecol Obstet 289, 623–629 (2014). https://doi.org/10.1007/s00404-013-3034-2

Download citation

  • Received:

  • Accepted:

  • Published:

  • Issue Date:

  • DOI: https://doi.org/10.1007/s00404-013-3034-2

Keywords

  • Abdominopelvic
  • Tuberculosis
  • Advanced ovarian cancer
  • Pelvic inflammatory disease