Skip to main content

Histopathologie der IgG4-RD

Histopathology of IgG4-related disease

Zusammenfassung

Im Jahr 2011 wurden auf einer internationalen Konsensuskonferenz multifokale chronisch fibrosierende Entzündungsprozesse, denen erhöhte Serum-IgG4-Werte und/oder eine Gewebeinfiltration mit IgG4-positiven Plasmazellen gemeinsam ist, zur Krankheitsentität der IgG4-assoziierten Erkrankung – auf Englisch „IgG4-related disease“ (IgG4-RD) – zusammengefasst. Da die IgG4-RD ausgezeichnet auf Kortison anspricht, in den betroffenen Organen, insbesondere im Pankreas, aber oft einen Tumor vortäuscht, ist eine bioptische Sicherung der Diagnose häufig notwendig. Der histologische Kriterienkatalog, wie er 2011 für die IgG4-RD definiert wurde, basiert auf folgenden Hauptmerkmalen: 1) ein dichtes lymphoplasmazelluläres Infiltrat, 2) eine storiforme Fibrose und 3) eine obliterative Phlebitis. Zur weiteren Diagnosesicherung dient der immunhistochemische Nachweis einer erhöhten Infiltration mit IgG4-positiven Plasmazellen sowie einer erhöhten IgG4/IgG-Ratio. Die morphologischen Kriterien, welche die IgG4-RD charakterisieren, werden in den meisten Fällen in der Biopsie erfasst und können in Zusammenschau mit den klinischen, serologischen (erhöhter Serum-IgG4-Wert) und radiologischen Befunden die Diagnose sichern.

Abstract

At an international consensus conference in 2011, multifocal chronic fibrosing inflammatory processes, which are associated with elevated IgG4 serum levels and/or tissue infiltration with IgG4 positive plasma cells, were recognized as a distinct disease entity called IgG4-related disease (IgG4-RD). As IgG4-RD responds well to steroid treatment but imitates a tumor in many organs, particularly in the pancreas, a biopsy for confirmation of the diagnosis is often warranted. The histological criteria for IgG4-RD as defined in 2011 are based on the following main features: 1) dense lymphoplasmacytic infiltrate, 2) storiform fibrosis and 3) obliterative phlebitis. The diagnosis is further supported by immunohistochemical demonstration of an increased infiltration of IgG4-positive plasma cells and an elevated IgG4/IgG ratio. The morphological criteria of IgG4-RD are in most cases detectable in biopsies and can significantly contribute to the diagnosis of this disease, in concert with clinical, serological (elevated serum IgG4 level) and radiological features.

This is a preview of subscription content, access via your institution.

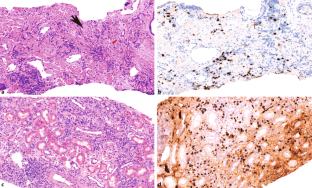
Abb. 1
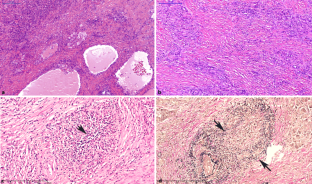
Abb. 2
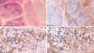
Abb. 3
Abb. 4

Literatur

  1. Buijs J, Maillette de Buy Wenniger L, Leenders G van et al (2014) Immunoglobulin G4-related prostatitis: a case-control study focusing on clinical and pathologic characteristics. Urology 83:521–526

    Article  PubMed  Google Scholar 

  2. Carruthers MN, Khosroshahi A, Augustin T et al (2015) The diagnostic utility of serum IgG4 concentrations in IgG4-related disease. Ann Rheum Dis 74:14–18

    CAS  Article  PubMed  Google Scholar 

  3. Chari ST, Klöppel G, Zhang L et al (2010) Histopathologic and clinical subtypes of autoimmune pancreatitis: the Honolulu consensus document. Pancreas 39:549–554

    CAS  Article  PubMed  Google Scholar 

  4. Chisholm DM, Mason DK (1968) Labial salivary gland biopsy in Sjögren’s disease. J Clin Pathol 21:656–660

    CAS  Article  PubMed  PubMed Central  Google Scholar 

  5. Comings DE, Skubi KB, Van EJ et al (1967) Familial multifocal fibrosclerosis. Findings suggesting that retroperitoneal fibrosis, mediastinal fibrosis, sclerosing cholangitis, Riedel’s thyroiditis, and pseudotumor of the orbit may be different manifestations of a single disease. Ann Intern Med 66:884–892

    CAS  Article  PubMed  Google Scholar 

  6. Dahlgren M, Khosroshahi A, Nielsen GP et al (2010) Riedel’s thyroiditis and multifocal fibrosclerosis are part of the IgG4-related systemic disease spectrum. Arthritis Care Res (Hoboken) 62:1312–1318

    Article  Google Scholar 

  7. Deshpande V, Huck A, Ooi E et al (2012) Fibrosing variant of Hashimoto thyroiditis is an IgG4 related disease. J Clin Pathol 65:725–728

    Article  PubMed  Google Scholar 

  8. Deshpande V, Zen Y, Chan JK et al (2012) Consensus statement on the pathology of IgG4-related disease. Mod Pathol 25:1181–1192

    Article  PubMed  Google Scholar 

  9. Detlefsen S, Drewes AM, Vyberg M et al (2009) Diagnosis of autoimmune pancreatitis by core needle biopsy: application of six microscopic criteria. Virchows Arch 454:531–539

    CAS  Article  PubMed  Google Scholar 

  10. Detlefsen S, Zamboni G, Frulloni L et al (2012) Clinical features and relapse rates after surgery in type 1 autoimmune pancreatitis differ from type 2: A study of 114 surgically treated European patients. Pancreatology 12:276–283

    Article  PubMed  Google Scholar 

  11. Detlefsen S, Mortensen MB, Pless TK et al (2015) Laparoscopic and percutaneous core needle biopsy plays a central role for the diagnosis of Autoimmune Pancreatitis in a single-center study from denmark. Pancreas 44:845–858

    Article  PubMed  Google Scholar 

  12. Ectors N, Maillet B, Aerts R et al (1997) Non-alcoholic duct destructive chronic pancreatitis. Gut 41:263–268

    CAS  Article  PubMed  PubMed Central  Google Scholar 

  13. Foster GS, Galdabini JJ (1982) Case records of the Massachusetts General Hospital. Weekly clinicopathological exercises. Case 6‑1982. A 55-year-old man with eight months of obstructive jaundice. N Engl J Med 306:349–358

    Article  Google Scholar 

  14. Geiler G, Stiehl P (1974) Significance of the concepts basic activity and actual activity in the morphological evaluation of synovial membranes in rheumatoid arthritis. Z Rheumatol 33:73–86

    CAS  PubMed  Google Scholar 

  15. Hamano H, Kawa S, Horiuchi A et al (2001) High serum IgG4 concentrations in patients with sclerosing pancreatitis. N Engl J Med 344:732–738

    CAS  Article  PubMed  Google Scholar 

  16. Jennette JC, Falk RJ, Andrassy K et al (1994) Nomenclature of systemic vasculitides. Proposal of an international consensus conference. Arthritis Rheum 37:187–192

    CAS  Article  PubMed  Google Scholar 

  17. Jennette JC, Falk RJ, Bacon PA et al (2013) 2012 revised International Chapel Hill Consensus Conference Nomenclature of Vasculitides. Arthritis Rheum 65:1–11

    CAS  Article  PubMed  Google Scholar 

  18. Kamisawa T, Funata N, Hayashi Y et al (2003) A new clinicopathological entity of IgG4-related autoimmune disease. J Gastroenterol 38:982–984

    CAS  Article  PubMed  Google Scholar 

  19. Kamisawa T, Funata N, Hayashi Y et al (2003) Close relationship between autoimmune pancreatitis and multifocal fibrosclerosis. Gut 52:683–687

    CAS  Article  PubMed  PubMed Central  Google Scholar 

  20. Kamisawa T, Zen Y, Pillai S et al (2015) IgG4-related disease. Lancet 385:1460–1471

    CAS  Article  PubMed  Google Scholar 

  21. Kawaguchi K, Koike M, Tsuruta K et al (1991) Lymphoplasmacytic sclerosing pancreatitis with cholangitis: a variant of primary sclerosing cholangitis extensively involving pancreas. Hum Pathol 22:387–395

    CAS  Article  PubMed  Google Scholar 

  22. Kawano M, Saeki T (2015) IgG4-related kidney disease – an update. Curr Opin Nephrol Hypertens 24:193–201

    CAS  Article  PubMed  PubMed Central  Google Scholar 

  23. Khosroshahi A, Wallace ZS, Crowe JL et al (2015) International Consensus Guidance Statement on the management and treatment of IgG4-Related Disease. Arthritis Rheumatol 67:1688–1699

    CAS  Article  PubMed  Google Scholar 

  24. Kitagawa S, Zen Y, Harada K et al (2005) Abundant IgG4-positive plasma cell infiltration characterizes chronic sclerosing sialadenitis (Kuttner’s tumor). Am J Surg Pathol 29:783–791

    Article  PubMed  Google Scholar 

  25. Krenn V, Morawietz L, Burmester GR et al (2005) Synovialitis score: histopathological grading system for chronic rheumatic and non-rheumatic synovialitis. Z Rheumatol 64:334–342

    CAS  Article  PubMed  Google Scholar 

  26. Leporati P, Landek-Salgado MA, Lupi I et al (2011) IgG4-related hypophysitis: a new addition to the hypophysitis spectrum. J Clin Endocrinol Metab 96:1971–1980

    CAS  Article  PubMed  PubMed Central  Google Scholar 

  27. Lu LX, la-Torre E, Stone JH et al (2014) IgG4-related hypertrophic pachymeningitis: clinical features, diagnostic criteria, and treatment. JAMA Neurol 71:785–793

    Article  PubMed  Google Scholar 

  28. Matsui S, Yamamoto H, Minamoto S et al (2016) Proposed diagnostic criteria for IgG4-related respiratory disease. Respir Investig 54:130–132

    Article  PubMed  Google Scholar 

  29. Meyer S, Hausman R (1976) Occlusive phlebitis in multifocal fibrosclerosis. Am J Clin Pathol 65:274–283

    CAS  Article  PubMed  Google Scholar 

  30. Moriyama M, Furukawa S, Kawano S et al (2014) The diagnostic utility of biopsies from the submandibular and labial salivary glands in IgG4-related dacryoadenitis and sialoadenitis, so-called Mikulicz’s disease. Int J Oral Maxillofac Surg 43:1276–1281

    CAS  Article  PubMed  Google Scholar 

  31. Moriyama M, Ohta M, Furukawa S et al (2016) The diagnostic utility of labial salivary gland biopsy in IgG4-related disease. Mod Rheumatol: doi:10.3109/14397595.2016.1148225

    Google Scholar 

  32. Notohara K, Burgart LJ, Yadav D et al (2003) Idiopathic chronic pancreatitis with periductal lymphoplasmacytic infiltration: clinicopathologic features of 35 cases. Am J Surg Pathol 27:1119–1127

    Article  PubMed  Google Scholar 

  33. Piao Y, Wang C, Yu W et al (2016) Concomitant occurrence of Mikulicz’s disease and immunoglobulin G4-related chronic rhinosinusitis: a clinicopathological study of 12 cases. Histopathology 68:502–512

    Article  PubMed  Google Scholar 

  34. Raina A, Krasinskas AM, Greer JB et al (2008) Serum immunoglobulin G fraction 4 levels in pancreatic cancer: elevations not associated with autoimmune pancreatitis. Arch Pathol Lab Med 132:48–53

    CAS  PubMed  Google Scholar 

  35. Sarles H, Sarles JC, Muratore R et al (1961) Chronic inflammatory sclerosis of the pancreas – an autonomous pancreatic disease? Am J Dig Dis 6:688–698

    CAS  Article  PubMed  Google Scholar 

  36. Shimosegawa T, Chari ST, Frulloni L et al (2011) International consensus diagnostic criteria for autoimmune pancreatitis: Guidelines of the International Association of Pancreatology. Pancreas 40:352–358

    Article  PubMed  Google Scholar 

  37. Stiehl P, Geiler G (1974) Morphological activity estimation of rheumatoid arthritis: a comparative study of synovial fluid and synovial membrane. Z Rheumatol 33:54–62

    CAS  PubMed  Google Scholar 

  38. Stone JH, Khosroshahi A, Deshpande V et al (2012) Recommendations for the nomenclature of IgG4-related disease and its individual organ system manifestations. Arthritis Rheum 64:3061–3067

    CAS  Article  PubMed  Google Scholar 

  39. Strehl JD, Hartmann A, Agaimy A (2011) Numerous IgG4-positive plasma cells are ubiquitous in diverse localised non-specific chronic inflammatory conditions and need to be distinguished from IgG4-related systemic disorders. J Clin Pathol 64:237–243

    Article  PubMed  Google Scholar 

  40. Yoshida K, Toki F, Takeuchi T et al (1995) Chronic pancreatitis caused by an autoimmune abnormality. Proposal of the concept of autoimmune pancreatitis. Dig Dis Sci 40:1561–1568

    CAS  Article  PubMed  Google Scholar 

  41. Zamboni G, Lüttges J, Capelli P et al (2004) Histopathological features of diagnostic and clinical relevance in autoimmune pancreatitis: a study on 53 resection specimens and 9 biopsy specimens. Virchows Arch 445:552–563

    Article  PubMed  Google Scholar 

  42. Zen Y, Kitagawa S, Minato H et al (2005) IgG4-positive plasma cells in inflammatory pseudotumor (plasma cell granuloma) of the lung. Hum Pathol 36:710–717

    CAS  Article  PubMed  Google Scholar 

  43. Zen Y, Nakanuma Y (2010) IgG4-related disease: a cross-sectional study of 114 cases. Am J Surg Pathol 34:1812–1819

    Article  PubMed  Google Scholar 

Download references

Author information

Affiliations

Authors

Corresponding author

Correspondence to G. Klöppel.

Ethics declarations

Interessenkonflikt

S. Detlefsen und G. Klöppel geben an, dass kein Interessenkonflikt besteht.

Dieser Beitrag beinhaltet keine von den Autoren durchgeführten Studien an Menschen oder Tieren.

Additional information

Redaktion

P. Lamprecht, Lübeck

F. Moosig, Neumünster

Rights and permissions

Reprints and Permissions

About this article

Verify currency and authenticity via CrossMark

Cite this article

Detlefsen, S., Klöppel, G. Histopathologie der IgG4-RD. Z Rheumatol 75, 666–674 (2016). https://doi.org/10.1007/s00393-016-0130-2

Download citation

  • Published:

  • Issue Date:

  • DOI: https://doi.org/10.1007/s00393-016-0130-2

Schlüsselwörter

  • Morphologie
  • Pankreatitis
  • Histologie
  • Immunhistochemie
  • Biopsie

Keywords

  • Morphology
  • Pancreatitis
  • Histology
  • Immunohistochemistry
  • Biopsy