Skip to main content

The spinal dermal-sinus-like stalk

Abstract

Objects

In this study, a disjunction anomaly mimicking the spinal congenital dermal sinus (DS) is described. This anomaly is referred to as the dermal-sinus-like stalk. Dissimilarities between a true dermal sinus and a dermal-sinus-like stalk are discussed.

Clinical material

Three cases in which a spinal congenital dermal sinus was suspected are presented. A similar anatomical configuration, different from that of a dermal sinus, was found. All cases presented with a skin-covered dimple from which a solid tract was seen continuing intramedullary in two cases and intraspinally in one case. None of the patients presented with signs of infection or an associated dermoid–epidermoid tumor. Clinical, radiological, and surgical findings are discussed. A hypothesis is made on the pathological genesis of this malformation.

Conclusion

A dermal-sinus-like stalk is a malformation similar to a spinal congenital dermal sinus but is not associated with DS-related complications. Despite important clinical, radiological, surgical, and histopathological differences, it is difficult to distinguish this malformation from a true DS based on clinical and radiological examination alone. Therefore, surgical intervention, at the time of diagnosis, is recommended in all cases.

Introduction

A spinal congenital dermal sinus (DS) is a developmental anomaly of the dorsal midline axis, in which a hollow, epithelium-lined tract extends inward from the skin surface for a variable distance [9]. A key feature of a DS is an open skin defect. Occasional discharge from this orifice is a common finding. When a DS tract is surgically explored, a quite variable anatomical configuration is found. The outer lining of the tract is that of a white, smooth tube. The tract may end in the subcutaneous or muscular layers but predominantly continues into the intradural space, where a delicate connection with the spinal cord is frequently found [1, 9, 17]. In many cases, the DS is continuous with the spinal cord at this point, and finding a dissection plane between both can be difficult [17].

Lumbosacral dermal sinuses are usually associated with a low positioned conus medullaris and a tethered cord, with or without the clinical presentation of a tethered cord syndrome.

Another feature of a DS is the accumulation of dermoid–epidermoid remnants in the tract, often presenting as tumors inside the hollow tract or inside the spinal cord [1, 9].

Due to the open connection of the central nervous system with the surface of the skin, many cases present with meningitis and intraspinal, intramedullary, or intraepidermoid abscesses [58, 12, 13, 17].

In this report, the authors describe three cases of a tract mimicking a DS but with significant differences. In all cases, dimples were found, but in none of them was an orifice present. Moreover, the tracts did not have a lumen nor did they contain dermoid–epidermoid remnants. However, all three tracts continued into the intradural space, and two ended in the spinal cord.

Although some authors mention tracts resembling the tracts described in our report [10], to the best of our knowledge, a detailed description of such tracts has not been reported in the literature before. In order to differentiate these tracts from the true DS, the authors suggest to refer to this malformation as the spinal dermal-sinus-like stalk.

Case 1

Clinical condition

At birth, a midline dimple, located at lower lumbar level and surrounded by a discoloration of the skin, was noted (Fig. 1). A membrane covered the center of the dimple. No neurological deficits were found at physical examination.

Fig. 1
figure 1

Preoperative picture of dimple (D) in case 1

Imaging

Magnetic resonance (MR) imaging showed a tethered cord with the level of the conus medullaris positioned at L4–L5. The dimple seemed to be attached to a tract, which was only vaguely depicted, continuing through the underlying tissues up to the conus medullaris.

Surgery

After circumscribing the dimple, a subcutaneous stalk was found, continuous with the skin. It did not resemble the white epithelium-lined tract as commonly found in a DS but instead seemed to consist of dense fibrous tissue and fat. The stalk was seen continuing through the fascia and paraspinal muscles up to the dura mater. At that point, the stalk was surrounded by a dorsally directed dural sleeve, as is seen in case of a spinal nerve root. After opening the dura, a connection between the stalk and the conus medullaris in a typical DS-like way [17] was found (Fig. 2). The stalk was resected caudal to the lowest roots seen branching of the spinal cord. No lumen was detected in the resected specimen.

Fig. 2
figure 2

Peroperative picture, showing the dermal-sinus-like stalk (DS-S) being attached to the conus medullaris. FT = filum terminale

Outcome

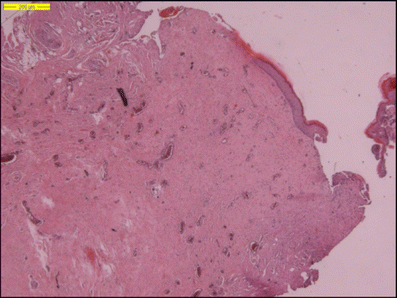
The child recovered well after surgery and remained neurologically intact. Histological examination (Fig. 3) of the stalk revealed connective tissue and fat, with nervous elements and muscle tissue visible in some parts of the resected specimen. The absence of a lumen was confirmed.

Fig. 3
figure 3

Photomicrograph of the resected stalk in case 1. Most of it is composed of connective tissue

Case 2

Clinical condition

This patient presented at birth with a lumbar dimple, surrounded by some hypertrichosis. At that time, no neurological deficits were noted. At the age of 7 years, she was referred to our hospital with pain in the lower extremities. Clinical examination revealed a lumbar dimple, without orifice, and a pes cavus, while urodynamic evaluation showed a mild detrusor instability.

Imaging

At MR imaging, the conus was estimated at L1–L2. At L2–L3 level, a tenting of the dura was seen, presumably continuing as a trajectory up to the skin defect (Fig. 4).

Fig. 4
figure 4

Sagittal T2-weighted MR image showing the subcutaneous trajectory (T) as well as the tenting of the dural sac (DT)

Surgery

After circumscribing the dimple, a fibrous stalk was found continuous with the skin, passing the subcutaneous and muscular layers up to the dura. The stalk was seen traversing the dura, being loosely attached to the arachnoidal membranes. At that point, it was dissected from the arachnoidal membranes and resected en bloc. No lumen could be detected in the stalk at Peroperative inspection.

No infected areas or dermoid masses were found. Because a tight filum terminale was noted, it was sectioned.

Outcome

The postoperative course was uneventful and the child reported a significant decrease of pain in the lower extremities.

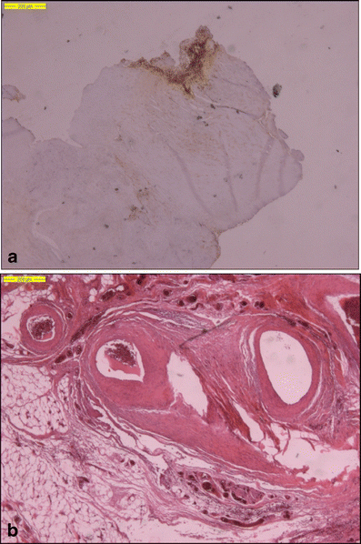
Histological examination of the resected stalk revealed connective tissue, of which some parts were positively stained with epithelial membrane antigen (EMA), indicating a dural origin. A considerable amount of fat and large vessels were seen. The absence of a lumen in the resected stalk was confirmed (Fig. 5a, b).

Fig. 5
figure 5

Photomicrographs of the resected stalk in case 2. Some areas are EMA positive (a). Note the large vessels and a considerable amount of fat (b)

Case 3

Clinical condition

At birth, this child presented with two dimples, located at lumbosacral and coccygeal levels. Hypertrichosis was noted around the lumbosacral dimple (Fig. 6). No neurological deficits were found at clinical examination.

Fig. 6
figure 6

Preoperative picture of dimples in case 3. C = coccygeal, LS = lumbosacral

Imaging

MR imaging showed a tethered cord. The level of the conus was estimated at level L4.

A trajectory was seen connecting the upper skin defect with the intradural space.

Surgery

Both dimples were surgically explored. The coccygeal dimple ended subcutaneously.

A solid tract was found underneath the lumbosacral dimple, continuing up to the conus medullaris at the L5 level. Although no epidermoid tissue was noted, a lipomatous mass at the level of connection with the conus was seen. The tract was amputated from the conus distal to the level at which the lowest roots were seen branching off.

Outcome

The child recovered well after surgery and remained neurologically intact.

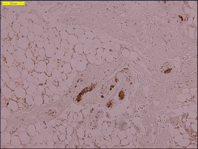
Histological examination of the resected stalk revealed connective tissue and large areas of fat. In some parts, neural tissue was noted (S100+). The absence of a lumen in the stalk was confirmed (Fig. 7).

Fig. 7
figure 7

Photomicrograph of the resected stalk in case 3. Note the large fat cells and the small parts, which are positively stained with S100. (H & E, S100 staining)

Discussion

The authors present three cases in which the diagnosis of a DS was initially suggested. Although a dimple with an underlying tract continuing to the intradural space was found in all cases, the clinical and anatomical findings did not resemble that of a DS (Table 1, Fig. 8).

Fig. 8
figure 8

Artist illustration of the anatomical configuration of the dermal-sinus-like stalk. D = dimple, DS-S = dermal-sinus-like stalk, DS = dural sleeve, FT = filum terminale, SC = spinal cord

Table 1 Characteristics of the dermal sinus and dermal-sinus-like stalk

All cases presented with a dimple without orifice. Neither a lumen nor a dermoid–epidermoid tumor was detected in any of the resected specimens. None of these patients presented with signs of infection. These findings do not fit in the clinical picture of a typical DS, which presents with an orifice at the skin surface, from which an epithelial-lined fistula travels inward, up to the spinal cord.

Etiology of the spinal congenital dermal sinus

The embryological pathogenesis of a DS is not known. It has been suggested that the separation between surface ectoderm and neural ectoderm did not take place during embryonic development, resulting in an epidermal–neural fistula [9, 11, 14, 18].

In the normal human embryo, closure of the neural tube takes place in the fourth developmental week. Subsequently, the neural ectoderm is separated from the surface ectoderm. The former gives rise to the brain and spinal cord, the latter to the epidermis. The mesoderm then develops in between these two layers of ectoderm, giving rise to the spinal arches, paraspinal muscles, dura, and other mesodermal derivatives.

In case of a DS, the tract leads from epidermis for a variable distance through dermis, subcutaneous fat, fascia, muscle, vertebral arch, and meninges up to the spinal cord. Of these layers, only the epidermis and the spinal cord are of ectodermal origin. Histological analysis of a typical DS tract reveals that this fistula has a lumen, which is lined by stratified squamous epithelium immediately surrounded by dermal tissue [19]. This epithelium resembles normal epidermis.

From this point of view, it is likely that a nondisjunction of both ectodermal layers gives rise to a persistent epidermal–neural fistula.

What happens after this event that causes the two layers of ectoderm not to detach?

The hollow fistula that comes to development might be the result of the cutaneous ectoderm being carried down ventrally into the future spinal canal as it is attached to the neural ectoderm. Within this epithelium-lined invagination, normal epidermal appendages come to development. This would explain the presence of hairs and sebaceous glands in the inclusion tumors, frequently found in case of a DS.

We previously described a typical configuration of the dura at the point where the dermal sinus tract enters the intradural space. A dural sleeve is always seen, directed from the dural sac into the intradural space [17]. The direction of this mesodermal sleeve could be determined by a process in which the meninx primitiva is dragged into the future dural sac together with the cutaneous ectoderm.

Etiology of the spinal dermal-sinus-like stalk

To the best of our knowledge, DS-like stalks, as presented in this report, have never been described in the literature as a significantly different type of the DS. The fibrous stalk may represent a particular appearance of a dermal sinus tract. We suggest that in such cases the inner epidermal lining of the hollow tract has degenerated, and the canal has been obliterated.

However, the DS-like stalk may also have a different etiology. The absence of a central lumen may indicate that the model of inward dragging of epidermis does not fit. The absence of an open skin defect and of intramedullary epidermoid or dermoid masses may indicate a lack of ectodermal involvement in the etiology of the DS-like stalk.

Since the tracts are composed of fibrous tissue of presumed mesodermal origin, after separation of epidermal and neural tissue, invading mesodermal cells may have formed a tight and persistent connection between the two.

In two cases, dorsal tenting of the dura was found. In case 1, this was noted peroperatively as in case 2 it was clearly shown by MR imaging. Histological examination of the resected tract in case 2 showed tissue with dural origin. This was previously described by Scotti et al., who reported on a case of a thoracic DS with dorsal tenting of the dura. Although histological examination of this tract revealed an epidermal-lined tract, it was mainly composed of dense collagenous tissue with foci of meningeal tissue [15].

Additionally, this dorsal tenting was previously described by Aydin et al. [2] in a case of a thoracocervical dermal sinus. In this report, multiple vertebral body anomalies were noted, suggesting additional mesodermal developmental failure.

If the primary failure in case of a DS-like stalk is the same as the one presumed in case of a DS, a nondisjunction of neural and cutaneous ectoderm takes place. In case of a DS, the epidermis is dragged into the future spinal canal along with the neural ectoderm. However, in the cases described in this report, mesenchymal and neural elements were detected in the stalks. Thus, in case of a DS-like stalk, this “dragging” may take place in an opposite (ventral–dorsal) direction in which the neural ectoderm and future dura mater are pulled out of the future spinal canal, producing a stalk representing an atrophic mesodermal–neural stalk rather than a fistula composed of epidermal tissue.

Imaging in case of a dermal-sinus-like stalk

MR imaging is imperative in case of a dermal sinus or dermal-sinus-like stalk [4, 6, 16], but interpretation can be difficult [3, 20]. In case of a lumbosacral tract, the low position of the tethered conus medullaris can be depicted.

In the three cases described in this report, MR imaging vaguely demonstrated the trajectory of the stalk. However, the connection of the stalk with the spinal cord was not demonstrated in any case. No empyema or dermoid mass were seen, whereas these are common findings in case of a typical DS [3, 4, 17]. In case 2, dorsal tenting of the dura was clearly demonstrated.

Indications for surgery

Of three patients, one presented with mild neurological deficits. Although the other two patients did not have any symptoms, all three underwent surgical exploration because a DS was feared.

Theoretically, there is no need for urgent surgical exploration in case of a DS-like stalk because there is no open connection between the skin surface and the intradural space which minimizes the risk of intraspinal infection.

However, differentiating a true DS from a DS-like stalk after clinical and radiological evaluation is difficult. Therefore, the authors recommend urgent surgical exploration in all cases.

Moreover, the connection of the stalk with the spinal cord can give rise to a tethering mechanism. In addition, a tight filum terminale can be found, tethering the cord. During surgical exploration, an untethering should be performed simultaneously.

Conclusion

Whenever a patient presents with a skin-covered dimple, cranial to the gluteal cleft, without signs of infection and without radiological signs of abscess or intraspinal dermoid–epidermoid tumor, a dermal-sinus-like stalk should be suspected. Even though this malformation is not associated with intraspinal infection, it is difficult to distinguish a true DS from a DS-like stalk based on clinical examination and MR imaging. Therefore, we recommend surgical exploration and careful histopathological examination of the resected tract in all cases.

References

  1. Ackerman LL, Menezes AH (2003) Spinal congenital dermal sinuses: a 30-year experience. Pediatrics 112:641–647

    PubMed  Article  Google Scholar 

  2. Aydin K, Sencer S, Minareci O (2001) Thoracocervical dorsal dermal sinus associated with multiple vertebral body anomalies. Neuroradiology 43:1084–1086

    PubMed  Article  CAS  Google Scholar 

  3. Barkovich AJ, Edwards M, Cogen PH (1991) MR evaluation of spinal dermal sinus tracts in children. AJNR Am J Neuroradiol 12:123–129

    PubMed  CAS  Google Scholar 

  4. Bruff P, Sgouros S (2002) Lumbar dermoid cyst causing pyomyelia in a child. Pediatr Neurosurg 36:162–163

    PubMed  Article  CAS  Google Scholar 

  5. Candon E, Frerebeau P (1994) Bacterial abscesses of the spinal cord. Review of the literature (73 cases). Rev Neurol (Paris) 150:370–376

    CAS  Google Scholar 

  6. Dev R, Husain M, Gupta A et al (1997) MR of multiple intraspinal abscesses associated with congenital dermal sinus. AJNR Am J Neuroradiol 18:742–743

    PubMed  CAS  Google Scholar 

  7. DiTullio MV Jr (1977) Intramedullary spinal abscess: a case report with a review of 53 previously described cases. Surg Neurol 7:351–354

    PubMed  Google Scholar 

  8. el-Gindi S, Fairburn B (1969) Intramedullary spinal abscess as a complication of a congenital dermal sinus. Case report. J Neurosurg 30:494–497

    CAS  Google Scholar 

  9. French BN (1983) The embryology of spinal dysraphism. Clin Neurosurg 30:295–340

    PubMed  CAS  Google Scholar 

  10. James CCM, Lassman LP (1972) Spinal dysraphism. Butterworth, London

    Google Scholar 

  11. Kanev PM, Park TS (1995) Dermoids and dermal sinus tracts of the spine. Neurosurg Clin N Am 6:359–366

    PubMed  CAS  Google Scholar 

  12. Maurice-Williams RS, Pamphilon D, Coakham HB (1980) Intramedullary abscess—a rare complication of spinal dysraphism. J Neurol Neurosurg Psychiatry 43:1045–1048

    PubMed  Article  CAS  Google Scholar 

  13. Morandi X, Mercier P, Fournier HD et al (1999) Dermal sinus and intramedullary spinal cord abscess. Report of two cases and review of the literature. Childs Nerv Syst 15:202–206, discussion 207–208

    PubMed  Article  CAS  Google Scholar 

  14. Ripley W, Thompson DC (1928) Pilonidal sinus as a route of infection in a case of staphylococcus meningitis. Amer J Dis Child 36:785–788

    Google Scholar 

  15. Scotti G, Harwood-Nash DC, Hoffman HJ (1980) Congenital thoracic dermal sinus: diagnosis by computer assisted metrizamide myelography. J Comput Assist Tomogr 4:675–677

    PubMed  Article  CAS  Google Scholar 

  16. Shah RK, Chaljub G, Swischuk LE (2003) Lower cervical dermal sinus tract and associated intraspinal abscess causing meningitis in a child. Emerg Radiol 10:160–162

    PubMed  Article  Google Scholar 

  17. van Aalst J, Beuls EA, Cornips EM et al (2006) Anatomy and surgery of the infected dermal sinus of the lower spine. Childs Nerv Syst 22:1307–1315

    PubMed  Article  Google Scholar 

  18. Walker E, Bucy PC (1934) Congenital dermal sinuses: a source of spinal meningeal infection and subdural abscesses. Brain 57:401–421

    Article  Google Scholar 

  19. Weprin BE, Oakes WJ (2000) Coccygeal pits. Pediatrics 105:E69

    PubMed  Article  CAS  Google Scholar 

  20. Yang BP, McLone DG (2004) Blood vessel mimicking a dermal sinus tract. Pediatr Neurosurg 40:88–89

    PubMed  Article  Google Scholar 

Download references

Acknowledgments

The authors express their gratitude to Ber Eggen for his illustration.

Open Access

This article is distributed under the terms of the Creative Commons Attribution Noncommercial License which permits any noncommercial use, distribution, and reproduction in any medium, provided the original author(s) and source are credited.

Author information

Affiliations

Authors

Corresponding author

Correspondence to J. van Aalst.

Rights and permissions

Open Access This is an open access article distributed under the terms of the Creative Commons Attribution Noncommercial License (https://creativecommons.org/licenses/by-nc/2.0), which permits any noncommercial use, distribution, and reproduction in any medium, provided the original author(s) and source are credited.

Reprints and Permissions

About this article

Cite this article

van Aalst, J., Beuls, E.A.M., Cornips, E.M.J. et al. The spinal dermal-sinus-like stalk. Childs Nerv Syst 25, 191 (2009). https://doi.org/10.1007/s00381-008-0669-6

Download citation

  • Received:

  • Revised:

  • Published:

  • DOI: https://doi.org/10.1007/s00381-008-0669-6

Keywords

  • Congenital dermal sinus
  • Disjunction anomaly
  • Spina bifida-tethered cord-dermoid tumor
  • Epidermoid tumor