Skip to main content

Systemische Auswirkungen und klinische Aspekte der SARS-CoV-2-Infektion

Systemic consequences and clinical aspects of SARS-CoV-2 infection

Zusammenfassung

Hintergrund

COVID-19 wird als systemische Erkrankung eingestuft. Ein schwerer Verlauf mit tödlichem Ausgang ist möglich und unvorhersehbar.

Fragestellung

Welche Organsysteme sind primär betroffen? Welche Organveränderungen prädisponieren für einen ungünstigen Verlauf? Welche Organschädigungen finden sich bei letalem Ausgang?

Material und Methode

Daten aus publizierten Obduktionsstudien (davon 28 eigene publizierte Fälle) in Hinblick auf Organschädigung und mögliche Todesursachen.

Ergebnisse

Die schwersten Veränderungen finden sich in den Lungen in Form eines diffusen Alveolarschadens als akutes Atemnotsyndrom des Erwachsenen (ARDS), zum Teil bereits mit Fibrose. Thrombosen in kleinen bis mittelgroßen Pulmonalarterien sind mit Lungeninfarkten vergesellschaftet. Häufige Komplikationen sind bakterielle Bronchopneumonien, seltener Pilzpneumonien. Pulmonale Thromboembolien finden sich in 20–30 % der tödlichen Verläufe, auch bei Fehlen einer tiefen Beinvenenthrombose. Eine intestinale Beteiligung von COVID-19 kann mit ischämischer Schädigung des Darmes einhergehen, in erster Linie bedingt durch Schock oder lokale Thrombose. Die Nieren zeigen eine akute Tubulusschädigung als Ausdruck eines akuten Nierenversagens, Lymphknoten und Milz einen Schwund der Lymphozyten, die Nebennierenrinde eine Hyperplasie. In der Leber finden sich häufig eine Steatose, Leberzellnekrosen, ein portales Entzündungsinfiltrat und eine Proliferation der Kupffer-Zellen. Häufige Grunderkrankungen sind in den Autopsiekollektiven arterieller Hypertonus mit hypertensiver und ischämischer Kardiomyopathie und Diabetes mellitus. In großen bevölkerungsbasierten Studien ergibt sich aber für Hypertoniker im Gegensatz zu Diabetikern kein erhöhtes Mortalitätsrisiko.

Schlussfolgerungen

Pulmonale Kreislaufstörungen mit arteriellen Thrombosen, Infarkten und Pneumonien sind wesentliche und oft letale Komplikationen des ARDS bei COVID-19. Die Erkenntnisse aus Obduktionsstudien haben Therapie und Prophylaxe beeinflusst.

Abstract

Background

COVID-19 is considered a systemic disease. A severe course with fatal outcome is possible and unpredictable.

Objectives

Which organ systems are predominantly involved? Which diseases are predisposed for a fatal course? Which organ changes are found with lethal outcome?

Materials and methods

Data from published autopsy studies (28 cases by our group) with respect to organ changes and possible cause of death.

Results

The most severe alterations are found in the lungs by diffuse alveolar damage as a symptom of an acute respiratory distress syndrome (ARDS), in part with fibrosis. Thrombosis of small- to mid-sized pulmonary arteries is associated with hemorrhagic lung infarction. Frequent complications are bacterial pneumonias and less frequently fungal pneumonias by aspergillus. Pulmonary thromboembolism is found in 20–30% of lethal courses, also in the absence of deep venous thrombosis. Intestinal involvement of COVID-19 can be associated with intestinal ischemia, caused by shock or local thrombosis. In most cases, the kidneys display acute tubular injury reflecting acute renal failure, depletion of lymphocytes in the lymph nodes and spleen, and hyperplastic adrenal glands. The liver frequently reveals steatosis, liver cell necrosis, portal inflammation, and proliferation of Kupffer cells. Important preexisting diseases in autopsy studies are arterial hypertension with hypertensive and ischemic cardiomyopathy and diabetes mellitus but large population-based studies reveal increased risk of mortality only for diabetes mellitus not for arterial hypertension.

Conclusions

Alterations of the pulmonary circulation with pulmonary arterial thrombosis, infarction, and bacterial pneumonia are important and often lethal complications of COVID-19-associated ARDS. Findings from autopsy studies have influenced therapy and prophylaxis.

Die durch das neue Coronavirus SARS-CoV‑2 verursachte Erkrankung COVID-19 ist durch unterschiedliche Krankheitsverläufe und Symptome charakterisiert [13]. Am häufigsten ist ein asymptomatischer oder milder Verlauf. Typischerweise ist COVID-19 mit grippeartigen Allgemeinsymptomen vergesellschaftet, kann aber auch gastroenteritis- oder hepatitisartige Manifestationen zeigen.

Bei schwerem oder kritischem Verlauf bietet sich ein Sepsis/SIRS(„systemic inflammatory response syndrome“)-artiges Bild mit schwerer Schädigung der Lungen und weiteren Organmanifestationen. Eine ausschließlich extrapulmonale Symptomatik ist hierbei ungewöhnlich. Der folgende Übersichtsartikel soll die verschiedenen Organveränderungen in Bezug zum klinischen Bild beleuchten, wobei die Daten vor allem auf von uns und anderen Gruppen publizierten Obduktionsstudien basieren (Tab. 1).

Tab. 1 Analysierte und zitierte Obduktionsstudien (siehe auch Tab. 2)

Primär betroffene Organe: Lungen und Gastrointestinaltrakt

Eine Infektion mit SARS-CoV‑2 betrifft primär die Lungen und andere Teile des Respirationstraktes sowie häufig den Gastrointestinaltrakt (GI-Trakt). Dementsprechend liegt häufig eine grippeartige Symptomatik mit Müdigkeit, Fieber und respiratorischen Symptomen, vor allem trockenem Husten vor. Ein Teil der Patienten (ca. 10–20 %) zeigt aber primär eine gastrointestinale Symptomatik mit enteritisartigem Bild mit Durchfällen, aber auch ein hepatitisartiges Krankheitsbild wurde beschrieben [41]. Interessanterweise wiesen bis zu 28 % der Patienten mit gastrointestinalen Symptomen keine respiratorischen Symptome auf [15]. Das Ausmaß der Organschädigung unterscheidet sich deutlich zwischen Lungen und Darm (Tab. 2).

Tab. 2 Akute Organschäden bei COVID-19 mit tödlichem Ausgang

Die Lungen weisen bei schwerem Verlauf das Bild eines akuten Atemnotsyndroms (acute respiratory distress syndrom/ARDS) mit einem diffusen Alveolarschaden auf. Dieser ist durch unterschiedliche Stadien charakterisiert, die nebeneinander bestehen können, wodurch makroskopisch und histologisch meist ein inhomogenes Bild entsteht. Im Zuge der frühen exsudativen Phase kommt es vorerst zu einer massiven Stauung im Bereich der alveolären Kapillaren, einem Ödem und zur Ausbildung hyaliner Membranen im Bereich der Wand der Alveolen, in der Folge zu einer Proliferation von Makrophagen, die das Lumen der Alveolen ausfüllen können [19, 24]. Die Resorption dieses entzündlichen Infiltrates führt meist zu einer Fibrose unter dem Bild der organisierenden Pneumonie. Dabei können auch Nester metaplastischen Plattenepithels im Bereich der ehemaligen Alveolen auftreten (Abb. 2d) [3]. Ein wesentlicher und für die Prognose entscheidender Befund sind allerdings thrombotische Gefäßverschlüsse auf der Ebene subsegmentaler und segmentaler Pulmonalarterienäste (Abb. 1 und 2a, b; [3, 19]). Diese sind typisch für das ARDS bei COVID-19 und möglicherweise durch eine Endotheliitis mitverursacht [2, 43]. Da auch sehr kleine Gefäße betroffen sein können und die Veränderungen ursprünglich mikroskopisch entdeckt wurden, wird in der Literatur fälschlicherweise von Mikrothromben gesprochen, obwohl ein Teil dieser Thromben makroskopisch erkennbar ist [30]. Ebenso wird die Genese der pulmonalen Blutgerinnsel oft nicht exakt dargestellt, indem lokale Thrombosen auf subsegmentaler Ebene mit Thromboembolien verwechselt bzw. als solche fehlinterpretiert werden. Es finden sich auch Blutungen in das Lungengewebe, die Ausdruck lokaler Durchblutungsstörungen sein können. Die Häufigkeit eines diffusen Alveolarschadens verbunden mit Thrombosen scheint den Veränderungen bei SARS‑1 zu ähneln [8, 12]. In unserem Untersuchungsgut fanden sich in ca. 20 % der Fälle auch Thromboembolien in größeren Pulmonalarterienästen, wobei nur etwa in der Hälfe der Fälle eine tiefe Beinvenenthrombose nachweisbar war. In der ersten Hamburger Studie waren pulmonale Thromboembolien mit etwa 33 % etwas häufiger, noch häufiger fanden sich hingegen tiefe Beinvenenthrombosen (knapp 60 %) [48]. In einer Folgestudie zeigten sich pulmonale Thromboembolien in 21 % und tiefe Beinvenenthrombosen in 40 % [23]. Pulmonalarterielle Thrombosen und Thromboembolien führten in unserem Untersuchungsgut häufig zu hämorrhagischen Lungeninfarkten unterschiedlicher Ausdehnung, oft nur mit wenigen Zentimetern Durchmesser. Infarkte, Lungenparenchymblutungen und die massive Hypostase mit oft infarktartigen Zirkulationsstörungen, letztere in Verbindung mit einer linksventrikulären Insuffizienz begünstigen die Entstehung bakterieller Bronchopneumonien mit betont neutrophil-granulozytärem Exsudat (Abb. 2c). Pilzpneumonien, speziell durch Aspergillus wurden bei bis zu einem Drittel der intensivpflichtigen COVID-19-Patienten beschrieben und als COVID-assoziierte pulmonale Aspergillose (CAPA) bezeichnet, fanden sich hingegen nur selten in unserem Obduktionskollektiv (in < 5 %) [44]. Die beschriebenen Lungenveränderungen führen je nach vorhandener Reservekapazität früher oder später zu massiven Problemen bei der Oxygenierung und sind somit auch für die respiratorischen Probleme verantwortlich. Bronchopneumonien, Lungeninfarkte sowie Thrombosen und Thromboembolien können als wesentliche Todesursachen betrachtet werden [23, 40]. Vorbestehende Erkrankungen bzw. Gewebeschädigungen sind im Einzelfall als Todesursache oder wesentliche Kofaktoren zu berücksichtigen [5]. Nach durchgemachter SARS-CoV-2-Infektion sprechen die schweren Lungenveränderungen, wie z. B. ein ARDS mit Lungenarterienthrombosen, auch ohne unmittelbaren postmortalen Nachweis viraler RNA für eine COVID-19-assoziierte und für COVID-19 typische Lungenveränderung [39].

Abb. 1
figure 1

Makroskopische Veränderungen der Lunge. a Indurierter, infarktartiger Bezirk (Sterne), der von thrombosierten Blutgefäßen umgeben ist (Pfeile). b Nebeneinander von hämorrhagischen Arealen (entsprechend Blutungen und Infarkten; Pfeil: thrombosiertes Gefäß) und graugelben körnigen Bezirken (entsprechend konsolidierten pneumonischen Infiltraten)

Abb. 2
figure 2

Akute Veränderungen und Krankheitsresiduen in der Lunge. Mittelgroße (a) und kleine Lungenarterien (b) mit thrombotischem Material (Pfeile). Das umgebende Lungengewebe zeigt Blutstauung, Einblutungen und Ödem. c Hämorrhagisch infarziertes Lungengewebe mit Bronchopneumonie. d Organisation des diffusen Alveolarschadens mit Fibrose und Plattenepithelmetaplasie. HE-Färbung, Originalvergr. 10:1 (a), 40:1 (b,c), 100:1 (d)

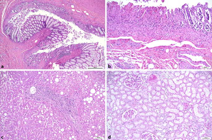
Im Gegensatz dazu ist die morphologische Basis der gastrointestinalen Symptome, welche in ca. 10–20 % der Patienten mit COVID-19 vorliegen, schlecht charakterisiert [29]. Der Nachweis von SARS-CoV‑2 in der intestinalen Mukosa und im Stuhl legt nahe, dass der GI-Trakt eine mögliche Infektionsroute darstellen könnte [15]. Wir fanden bei einem Teil der an COVID-19 Verstorbenen ischämische Darmschädigungen vergesellschaftet mit einem Nachweis viraler RNA in der Darmschleimhaut [39]. Die ischämischen Veränderungen sind überwiegend durch flache Schleimhautulcera charakterisiert (Abb. 3a, b) und in erster Linie im Rahmen des Schockgeschehens und weniger durch eine lokale Koagulopathie mit Mikrothromben zu erklären. Ungeklärt ist, ob SARS-CoV‑2 die Darmschleimhaut durch Vermehrung in den Enterozyten direkt schädigt. Bis dato gibt es auch keine Berichte über eine schwere und nachhaltige Schädigung des GI-Traktes mit Defektheilung. Auch bezüglich akuter schwerer bzw. letaler Verläufe durch Befall des Gastrointestinaltraktes gibt es eingeschränkte Evidenz. In letzter Zeit wurden akute ischämische Komplikationen von COVID-19-Patienten berichtet, unter anderem durch mesenterielle Gefäßthrombosen, die eine akute Laparotomie erforderlich machten [38]. Ein erhöhter Bedarf an Opioiden und die durch COVID-19 induzierte Koagulopathie könnten auch die unverhältnismäßig hohe Rate an Ileus und ischämischer Darmschädigung erklären [6].

Abb. 3
figure 3

Extrapulmonale Organschäden. Ischämische Kolopathie (ab) mit Schleimhautnekrosen und Ulcera. Ausgeprägte Steatosis hepatis mit portalem (lymphozytärem) Entzündungsinfiltrat und portaler Fibrose (c). Akute Tubulusschädigung der Niere mit deutlicher Ausweitung des Lumens, ohne Entzündungsinfiltrat (d). HE-Färbung (ac), PAS-Färbung (d). Originalvergr. 40:1 (a), 100:1 (bd)

Weitere Organveränderungen aufgrund viraler Sepsis und Schockgeschehen

Im Zuge einer schweren COVID-19-Erkrankung kann eine Reihe weiterer Organe betroffen sein (Tab. 2), sodass sich der Begriff einer systemischen Erkrankung durchaus anbietet [20]. Dies wird auch immer wieder von erkrankten Personen nach deren Genesung zum Ausdruck gebracht (persönliche Mitteilungen). Eine Reihe von Organveränderungen sind wahrscheinlich auf den Kreislaufschock im Rahmen der viralen Sepsis zurückzuführen, der die systemische Wirkung des „Zytokinsturms“ noch verstärkt. Da sich Gewebeuntersuchungen bis auf Ausnahmen auf Autopsiematerial beschränken, besteht unser Wissen fast ausschließlich über Veränderungen bei letalem Verlauf. Bei leichteren und mittelschweren Krankheitsverläufen gibt es zwar reichlich klinische Informationen, aber kaum Daten zu eventuellen morphologischen Organveränderungen [10].

In nahezu allen Fällen mit letalem Ausgang zeigt sich eine akute Schädigung der Nierentubuli („acute tubular injury“), die in erster Linie als schockbedingt zu werten ist (Abb. 3d). Akute Veränderungen des Myokards wie Herzmuskelnekrosen finden sich nur in wenigen Fällen [19], ebenso ein entzündliches Infiltrat im Sinne von Myokarditiden [4] obwohl Virus-RNA in etwa 60 % der Fälle im Herzmuskel nachweisbar ist (davon in 20 % in sehr geringen Mengen) [21]. Dies steht im Gegensatz zu klinischen Berichten über eine häufige Beteiligung des Herzens bei COVID-19 [31]. Leberzellnekrosen sind hingegen nicht ungewöhnlich und können ebenfalls als schockbedingt bzw. im Rahmen einer hypoxischen Hepatitis (bei ARDS) betrachtet werden. In der Leber fanden sich häufig eine Steatose (Abb. 3c), Leberzellnekrosen, ein portales Entzündungsinfiltrat und eine Proliferation der Kupffer-Zellen [19], wobei diese Veränderungen Ausdruck einer direkten zytopathischen Schädigung durch Infektion mit SARS-CoV‑2, des Zytokinsturms, der Hypoxie durch ARDS bzw. vaskuläre Veränderungen, aber auch iatrogener Ursachen (Medikamente, hoher Beatmungsdruck) sein können [26]. Eine herdförmige akute Pankreatitis, ebenfalls in erster Linie schockbedingt, fand sich in unserer ersten Obduktionsserie in 45 %, in einer Obduktionsserie aus England in 25 % der Fälle, ebenso in klinischen Berichten (in bis zu 12 % der Patienten) [9]. In der Erweiterung unserer Obduktionsserie fanden sich aber kaum Pankreatitiden [39, 40], ebenso wenig wurde von anderen Gruppen über pathologische Veränderungen des Pankreas berichtet [24, 48].

Veränderungen des lymphatischen und des endokrinen Systems

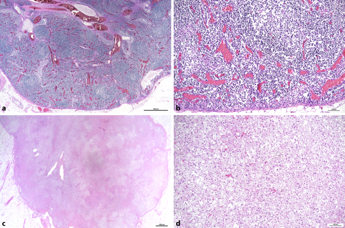
COVID-19 ist in seinen schweren Verläufen mit einer ausgeprägten Lymphopenie vergesellschaftet, die sich auf organischer Ebene als Verminderung der weißen Pulpa der Milz und der Lymphozyten in den Lymphknoten äußert [19]. Dabei erscheinen die Lymphknoten zwar makroskopisch als groß, bei der histologischen Untersuchung ist das lymphatische Gewebe aber stark reduziert und Keimzentren fehlen (Abb. 4a, b). Kompensatorisch sind die Sinus deutlich ausgeweitet, es können auch Makrophagen vermehrt sein [11, 19]. Die „Erschöpfung“ der Lymphozyten betrifft vor allem CD8-positive T‑Lymphozyten [11]. Andererseits können auch Plasmablasten vermehrt sein [24].

Abb. 4
figure 4

Reduktion der Lymphozyten in den Lymphknoten mit Verlust von Keimzentren (a) und prominentem Gefäßmuster mit Blutstauung (b). Knotige Hyperplasie der Nebennierenrinde (c) mit prominenter Zona fasciculata (d). HE-Färbung, Originalvergr. 20:1 (a), 100:1 (b,d), 10:1 (c)

Das endokrine System zeigt häufig eine diffuse und mitunter nodöse Hyperplasie der Nebennierenrinde (Abb. 4c, d). Der dadurch bedingte Hypercortisolismus wird für die Reduktion der Lymphozyten verantwortlich gemacht [28]. Dazu gibt es ähnliche Berichte von SARS-CoV‑1 [47]. Für die Hyperplasie der Nebennierenrinde wird ein durch die systemische Erkrankung bedingter hypothalamisch-hypophysär gesteuerter Stressmechanismus verantwortlich gemacht, der genaue Pathomechanismus ist aber nicht bekannt.

Morphologische und funktionelle Veränderungen des Nervensystems

Im Zusammenhang mit COVID-19 wurden verschiedene neurologische Störungen berichtet, die mit unterschiedlichen Symptomen einhergehen. Als frühe Symptome werden Kopfschmerzen, Schwindelgefühl sowie Störungen des Geschmacks‑ und des Geruchsempfindens eingestuft [33]. Auch für die Entstehung der Ateminsuffizienz wird eine neurogene Komponente und Genese vermutet. Im Wesentlichen wird angenommen, dass sich das Virus über den Nervus olfactorius in den Hirnstamm und das dort gelegene Atemzentrum ausbreitet [33]. Eine COVID-assoziierte Enzephalitis ist selten, kann aber letal verlaufen [42]. Virale RNA kann dabei im Liquor entdeckt und bei Obduktionen kann zusätzlich auch Virusprotein im Gehirngewebe nachgewiesen werden [23, 42]. Zerebrovaskuläre Veränderungen, die mit arteriellen und venösen Thrombosen, Infarkten und Blutungen einhergehen, sind durch die COVID-assoziierte Koagulopathie und Endotheliitis wesentlich mitverursacht [7]. Nicht zuletzt ist auf mögliche Nebenwirkungen der medikamentösen Therapie von COVID-19 auf das Nervensystem zu achten. Es gibt ferner Hinweise darauf, dass gerontopsychiatrische Patienten häufiger an COVID-19 erkranken mit erhöhtem Risiko für einen schwereren Verlauf [27].

Organveränderungen als mögliche Prädisposition für COVID-19

Aufgrund des hohen Altersschnittes (80 Jahre) der Patienten mit letalem Verlauf fanden sich in den Autopsiekollektiven häufig Erkrankungen aus dem Bereich der chronischen degenerativen Gefäßerkrankungen wie allgemeine Arteriosklerose, stenosierende Koronararteriensklerose mit ischämischer Kardiomyopathie, benigne Nephrosklerose und linksventrikuläre Myokardhypertrophie im Sinne einer hypertensiven Kardiomyopathie. Das tatsächliche Mortalitätsrisiko dieser Erkrankungen in Bezug auf COVID-19 scheint aber anders gelegen zu sein. In einer großen Studie an mehr als 10.000 COVID-assoziierten Todesfällen ergab sich ein erhöhtes Mortalitätsrisiko für Diabetes mellitus, Alter über 60 Jahre, rezente Tumorerkrankungen und Zustand nach Organtransplantation, aber nicht für arteriellen Hypertonus [49]. Eine isolierte kardiale Amyloidose zeigte sich in 14–29 %, wobei ein ursächlicher Zusammenhang mit COVID-19 zwar ungeklärt, aber eher unwahrscheinlich ist [4, 24, 40]. Bei einem Teil der Patienten (30–40 %) fand sich außerdem ein zum Teil insulinpflichtiger Diabetes mellitus Typ II. Es ist möglich, dass eine mit ischämischer bzw. hypertensiver Kardiomyopathie einhergehende chronische Herzinsuffizienz die Entstehung der pulmonalarteriellen Zirkulationsstörung mit Ausbildung von Thromben begünstigt. Eine arterielle Hypertonie findet sich bei etwa 80 % der an COVID-19 Verstorbenen. Inwieweit die Dichte an ACE-Rezeptoren bzw. eine mögliche antihypertensive Therapie hierbei eine Rolle spielt, ist ungeklärt. Nach neueren Daten stellt eine Therapie mit Inhibitoren des Renin-Angiotensin-Aldosteron-Systems jedoch keinen Risikofaktor dar [1, 22].

Dauerhafte Organschäden als Folge von COVID-19

Über die Dauerfolgen bei überstandener COVID-19 Erkrankung (Post-COVID-Syndrom) gibt es zunehmend mehr Daten und Erkenntnisse. In etwa 70 % der Patienten mit pulmonaler Manifestation von COVID-19 mit diffusem Alveolarschaden finden sich Lungenfibrosen als Ausdruck einer Defektheilung [14, 50]. Dabei ist die Diffusionskapazität der Lungen in der Regel um 50 % reduziert. Häufig finden sich auch Herzmuskelveränderungen im MRT und manifeste Myokarditiden, unter anderem bei erkrankten aktiven Sportlern [31, 32]. Über Dauerschäden des Herzens gibt es hingegen keine Erfahrungswerte. Psychische Veränderungen finden sich in Form von chronischer Müdigkeit und Hoffnungslosigkeit, aber auch Isolation und Einsamkeit und werden als „brain fog“ bezeichnet [51]. Schlussendlich scheint es auch nach mildem Krankheitsverlauf unterschiedliche immunologische Reaktionsformen zu geben, wobei die einen günstigerweise mit einer Aktivierung von T‑Zellen und erhöhter Anzahl von Plasmablasten, die anderen ungünstigerweise mit einer Reduktion der neutrophilen Granulozyten und der regulatorischen T‑Lymphozyten einhergehen [17]. Informationen über einen möglichen Zusammenhang zwischen immunologischem Profil und akuten sowie dauerhaften Organschäden fehlen jedoch noch.

Klinische Konsequenzen aus den Obduktionsstudien

Die Ergebnisse der Obduktionsstudien haben wesentlichen Einfluss auf das therapeutische Management der COVID-19-Patienten [18, 35]. Eine Thromboseprophylaxe wird bei allen symptomatischen Patienten ab dem Erkrankungsbeginn empfohlen und hat möglicherweise zu einer Verminderung der Häufigkeit letaler Verläufe beigetragen [25]. Ein weiterer wesentlicher Punkt ist eine gezielte Antibiose zur Vermeidung bzw. Therapie bakterieller Pneumonien, die eine wesentliche Komplikation und häufige Todesursache darstellen. Bei Intensivpatienten wird das Screening auf Pilzinfektionen mit entsprechendem Einsatz einer antimykotischen Therapie empfohlen, wobei über die Häufigkeit von Pilzpneumonien unterschiedliche Daten vorliegen und Pilzpneumonien in unserem Obduktionsgut selten sind [40]. Während eine präexistente systemische Therapie mit Kortikosteroiden aufgrund der immunsuppressiven Wirkung einen Risikofaktor für schwere COVID-Verläufe darstellt, senkt eine Therapie mit Dexamethason die Mortalität über die Unterdrückung der überschießenden Entzündungsantwort [45]. Anti-Zytokin-Strategien gegen IL‑6 und TNF-alpha haben bisher keinen durchschlagenden Erfolg gezeigt [34]. Antivirale Therapieansätze, im speziellen der Einsatz von Remdesivir, Hydroxychloroquin, Lopinavir und Interferon beta-1a hatten trotz anfänglichem Optimismus keinen signifikanten Einfluss auf die Mortalität [46]. Der Einsatz von Rekonvaleszentenplasma hatte bei schweren Verläufen bisher keinen klaren Erfolg [37], während der Einsatz monoklonaler Antikörper gegen SARS-CoV‑2 in der Frühphase der Infektion derzeit noch untersucht wird. Die größten Hoffnungen ruhen derzeit zweifellos auf der Wirksamkeit der entwickelten Impfstoffe gegen SARS-CoV‑2 und der raschen Durchimpfung eines Großteils der Bevölkerung [16].

Fazit für die Praxis

  • COVID-19 führt vor allem im Bereich der Lungen zu schweren Organveränderungen in Form eines diffusen Alveolarschadens mit Übergang in eine organisierende Pneumonie.

  • Wesentliche häufige letale Komplikationen sind Thrombosen kleiner und mittelgroßer Pulmonalarterien. Daraus resultieren Lungeninfarkte und bakterielle Bronchopneumonien.

  • Pulmonale Thromboembolien sind eine weitere wesentliche Komplikation. Sie finden sich auch ohne klinisch manifeste tiefe Beinvenenthrombosen.

  • Die gastrointestinale Manifestation von COVID-19 scheint insbesondere mit einer ischämischen Darmschädigung einherzugehen. Diese könnte sowohl durch Schock als auch durch lokalisierte Thrombosen entstehen.

  • Bei letalem Verlauf ist fast immer eine schockbedingte Schädigung des Tubulusapparats der Niere vorhanden.

  • Erkenntnisse aus Obduktionsstudien haben insbesondere die Prophylaxe von Thrombosen und Pneumonien beeinflusst.

Literatur

  1. de Abajo FJ, Rodriguez-Martin S, Lerma V et al (2020) Use of renin-angiotensin-aldosterone system inhibitors and risk of COVID-19 requiring admission to hospital: a case-population study. Lancet 395:1705–1714

    Article  Google Scholar 

  2. Ackermann M, Verleden SE, Kuehnel M et al (2020) Pulmonary vascular endothelialitis, thrombosis, and angiogenesis in Covid-19. N Engl J Med 383:120–128

    CAS  Article  Google Scholar 

  3. Bosmuller H, Traxler S, Bitzer M et al (2020) The evolution of pulmonary pathology in fatal COVID-19 disease: an autopsy study with clinical correlation. Virchows Arch 477:349–357

    Article  Google Scholar 

  4. Bradley BT, Maioli H, Johnston R et al (2020) Histopathology and ultrastructural findings of fatal COVID-19 infections in Washington State: a case series. Lancet 396:320–332

    CAS  Article  Google Scholar 

  5. Edler C, Schroder AS, Aepfelbacher M et al (2020) Dying with SARS-CoV‑2 infection—an autopsy study of the first consecutive 80 cases in Hamburg, Germany. Int J Legal Med 134:1275–1284

    Article  Google Scholar 

  6. El Moheb M, Naar L, Christensen MA et al (2020) Gastrointestinal complications in critically ill patients with and without COVID-19. JAMA 324(18):1899–1901. https://doi.org/10.1001/jama.2020.19400

    CAS  Article  Google Scholar 

  7. Ellul MA, Benjamin L, Singh B et al (2020) Neurological associations of COVID-19. Lancet Neurol 19:767–783

    CAS  Article  Google Scholar 

  8. Franks TJ, Chong PY, Chui P et al (2003) Lung pathology of severe acute respiratory syndrome (SARS): a study of 8 autopsy cases from Singapore. Hum Pathol 34:743–748

    Article  Google Scholar 

  9. Goyal H, Sachdeva S, Perisetti A et al (2020) Hyperlipasemia and potential pancreatic injury patterns in COVID-19: A marker of severity or innocent bystander? Gastroenterology. https://doi.org/10.1053/j.gastro.2020.10.037

    Article  PubMed  PubMed Central  Google Scholar 

  10. Gupta A, Madhavan MV, Sehgal K et al (2020) Extrapulmonary manifestations of COVID-19. Nat Med 26:1017–1032

    CAS  Article  Google Scholar 

  11. Hanley B, Naresh KN, Roufosse C et al (2020) Histopathological findings and viral tropism in UK patients with severe fatal COVID-19: a post-mortem study. Lancet 1:e245–e253

    CAS  Google Scholar 

  12. Hariri LP, North CM, Shih AR et al (2020) Lung histopathology in coronavirus disease 2019 as compared with severe acute respiratory sydrome and H1N1 influenza: a systematic review. Chest 159(1):73–84

    Article  Google Scholar 

  13. Huang C, Wang Y, Li X et al (2020) Clinical features of patients infected with 2019 novel coronavirus in Wuhan, China. Lancet 395:497–506

    CAS  Article  Google Scholar 

  14. Huang Y, Tan C, Wu J et al (2020) Impact of coronavirus disease 2019 on pulmonary function in early convalescence phase. Respir Res 21:163

    CAS  Article  Google Scholar 

  15. Koehler P, Cornely OA, Bottiger BW et al (2020) COVID-19 associated pulmonary aspergillosis. Mycoses 63:528–534

    CAS  Article  Google Scholar 

  16. Krammer F (2020) SARS-CoV‑2 vaccines in development. Nature 586:516–527

    CAS  Article  Google Scholar 

  17. Kratzer B, Trapin D, Ettel P et al (2020) Immunological imprint of COVID-19 on human peripheral blood leukocyte populations. Allergy. https://doi.org/10.1111/all.14647

    Article  PubMed  PubMed Central  Google Scholar 

  18. Lamontagne F, Agoritsas T, Macdonald H et al (2020) A living WHO guideline on drugs for covid-19. BMJ 370:m3379

    PubMed  Google Scholar 

  19. Lax SF, Skok K, Zechner P et al (2020) Pulmonary arterial thrombosis in COVID-19 with fatal outcome: results from a prospective, single-center, clinicopathologic case series. Ann Intern Med. https://doi.org/10.7326/M20-2566

    Article  PubMed  PubMed Central  Google Scholar 

  20. Li H, Liu L, Zhang D et al (2020) SARS-CoV‑2 and viral sepsis: observations and hypotheses. Lancet 395:1517–1520

    CAS  Article  Google Scholar 

  21. Lindner D, Fitzek A, Brauninger H et al (2020) Association of cardiac infection with SARS-coV‑2 in confirmed COVID-19 autopsy cases. JAMA Cardiol 5:1281–1285

    Article  Google Scholar 

  22. Mancia G, Rea F, Ludergnani M et al (2020) Renin-angiotensin-aldosterone system blockers and the risk of Covid-19. N Engl J Med 382:2431–2440

    CAS  Article  Google Scholar 

  23. Matschke J, Lutgehetmann M, Hagel C et al (2020) Neuropathology of patients with COVID-19 in Germany: a post-mortem case series. Lancet Neurol 19:919–929

    CAS  Article  Google Scholar 

  24. Menter T, Haslbauer JD, Nienhold R et al (2020) Postmortem examination of COVID-19 patients reveals diffuse alveolar damage with severe capillary congestion and variegated findings in lungs and other organs suggesting vascular dysfunction. Histopathology 77:198–209

    Article  Google Scholar 

  25. Nadkarni GN, Lala A, Bagiella E et al (2020) Anticoagulation, bleeding, mortality, and pathology in hospitalized patients with COVID-19. J Am Coll Cardiol 76:1815–1826

    CAS  Article  Google Scholar 

  26. Nardo AD, Schneeweiss-Gleixner M, Bakail M et al (2020) Pathophysiological mechanisms of liver injury in COVID-19. Liver Int 41(1):20–32. https://doi.org/10.1111/liv.14730

    CAS  Article  PubMed  Google Scholar 

  27. Orsini A, Corsi M, Santangelo A et al (2020) Challenges and management of neurological and psychiatric manifestations in SARS-CoV‑2 (COVID-19) patients. Neurol Sci 41:2353–2366

    Article  Google Scholar 

  28. Panesar NS, Lam CW, Chan MH et al (2004) Lymphopenia and neutrophilia in SARS are related to the prevailing serum cortisol. Eur J Clin Invest 34:382–384

    CAS  Article  Google Scholar 

  29. Parasa S, Desai M, Thoguluva Chandrasekar V et al (2020) Prevalence of gastrointestinal symptoms and fecal viral shedding in patients with coronavirus disease 2019: a systematic review and meta-analysis. JAMA Netw Open 3:e2011335

    Article  Google Scholar 

  30. Piazza G, Morrow DA (2020) Diagnosis, management, and pathophysiology of arterial and venous thrombosis in COVID-19. JAMA 324(24):2548–2549. https://doi.org/10.1001/jama.2020.23422

    CAS  Article  PubMed  Google Scholar 

  31. Puntmann VO, Carerj ML, Wieters I et al (2020) Outcomes of cardiovascular magnetic resonance imaging in patients recently recovered from coronavirus disease 2019 (COVID-19). JAMA Cardiol 5:1265–1273

    Article  Google Scholar 

  32. Rajpal S, Tong MS, Borchers J et al (2020) Cardiovascular magnetic resonance findings in competitive athletes recovering from COVID-19 infection. JAMA Cardiol 6(1):116–118. https://doi.org/10.1001/jamacardio.2020.4916

    Article  Google Scholar 

  33. Roman GC, Spencer PS, Reis J et al (2020) The neurology of COVID-19 revisited: a proposal from the environmental neurology specialty group of the world federation of neurology to implement international neurological registries. J Neurol Sci 414:116884

    CAS  Article  Google Scholar 

  34. Salvarani C, Dolci G, Massari M et al (2020) Effect of tocilizumab vs standard care on clinical worsening in patients hospitalized with COVID-19 pneumonia: a randomized clinical trial. JAMA Intern Med 181(1):24–31. https://doi.org/10.1001/jamainternmed.2020.6615

    CAS  Article  Google Scholar 

  35. Sanders JM, Monogue ML, Jodlowski TZ et al (2020) Pharmacologic treatments for coronavirus disease 2019 (COVID-19): a review. JAMA 323(18):1824–1836. https://doi.org/10.1001/jama.2020.6019

    CAS  Article  PubMed  Google Scholar 

  36. Schaller T, Hirschbühl K, Burkhardt K et al (2020) Postmortem examination of patients with COVID-19. JAMA 323:2518–2520

    CAS  Article  Google Scholar 

  37. Simonovich VA, Burgos Pratx LD, Scibona P et al (2020) A randomized trial of convalescent plasma in Covid-19 severe pneumonia. N Engl J Med. https://doi.org/10.1056/NEJMoa2031304

    Article  PubMed  PubMed Central  Google Scholar 

  38. Singh B, Kaur P (2020) COVID-19 and acute mesenteric ischemia: a review of literature. Hematol Transfus Cell Ther. https://doi.org/10.1016/j.htct.2020.10.959

    Article  PubMed  PubMed Central  Google Scholar 

  39. Skok K, Stelzl E, Trauner M et al (2020a) Post-mortem viral dynamics and tropism in COVID-19 patients in correlation with organ damage. Virchows Arch. https://doi.org/10.1007/s00428-020-02903-8

    Article  PubMed  PubMed Central  Google Scholar 

  40. Skok K, Vander K, Setaffy L et al (2020b) COVID-19 autopsies: procedure, technical aspects and cause of fatal course. Experiences from a single-center. Pathol Res Pract 217:153305

    Article  Google Scholar 

  41. Sultan S, Altayar O, Siddique SM et al (2020) AGA institute rapid review of the gastrointestinal and liver manifestations of COVID-19, meta-analysis of international data, and recommendations for the consultative management of patients with COVID-19. Gastroenterology 159:320–334.e27

    CAS  Article  Google Scholar 

  42. Varatharaj A, Thomas N, Ellul MA et al (2020) Neurological and neuropsychiatric complications of COVID-19 in 153 patients: a UK-wide surveillance study. Lancet Psychiatry 7:875–882

    Article  Google Scholar 

  43. Varga Z, Flammer AJ, Steiger P et al (2020) Endothelial cell infection and endotheliitis in COVID-19. Lancet 395(10234):1417–1418. https://doi.org/10.1016/S0140-6736(20)30937-5

    CAS  Article  PubMed  PubMed Central  Google Scholar 

  44. Verweij PE, Gangneux JP, Bassetti M et al (2020) Diagnosing COVID-19-associated pulmonary aspergillosis. Lancet 1:e53–e55

    CAS  Google Scholar 

  45. WHO Rapid Evidence Appraisal for COVID-19 Therapies (REACT) Working Group, Sterne JAC, Murthy S et al (2020) Association between administration of systemic corticosteroids and mortality among critically ill patients with COVID-19: a meta-analysis. JAMA 324:1330–1341

    Article  Google Scholar 

  46. WHO Solidarity Trial Consortium, Pan H, Peto R et al (2020) Repurposed antiviral drugs for Covid-19—interim WHO solidarity trial results. N Engl J Med. https://doi.org/10.1056/NEJMoa2023184

    Article  PubMed Central  Google Scholar 

  47. Chong PY, Chui P, Ling AE et al (2004) Analysis of deaths during the severe acute respiratory syndrome (SARS) epidemic in Singapore: challenges in determining a SARS diagnosis. Arch Pathol Lab Med 128:195–204

    Article  Google Scholar 

  48. Wichmann D, Sperhake JP, Lutgehetmann M et al (2020) Autopsy findings and venous thromboembolism in patients with COVID-19: a prospective cohort study. Ann Intern Med 173:268–277

    Article  Google Scholar 

  49. Williamson EJ, Walker AJ, Bhaskaran K et al (2020) Factors associated with COVID-19-related death using OpenSAFELY. Nature 584:430–436

    CAS  Article  Google Scholar 

  50. Zhao YM, Shang YM, Song WB et al (2020) Follow-up study of the pulmonary function and related physiological characteristics of COVID-19 survivors three months after recovery. EClinicalMedicine 25:100463

    Article  Google Scholar 

  51. Zubair AS, Mcalpine LS, Gardin T et al (2020) Neuropathogenesis and neurologic manifestations of the coronaviruses in the age of coronavirus disease 2019: a review. JAMA Neurol 77:1018–1027

    Article  Google Scholar 

Download references

Funding

Open access funding provided by Johannes Kepler University Linz.

Author information

Affiliations

Authors

Corresponding author

Correspondence to Sigurd F. Lax.

Ethics declarations

Interessenkonflikt

S. F. Lax erhielt Honorare für Vorträge bzw. beratende Tätigkeit (Advisory Board) von Roche, AstraZeneca, Novartis und Biogena außerhalb der eingereichten wissenschaftlichen Arbeit. M. Trauner erhielt Honorare für Vorträge von Bristol-Myers Squibb, Falk, Gilead, Intercept und Merck Sharp & Dohme (MSD); für beratende Tätigkeit (Advisory Board) von Albireo, Boehringer Ingelheim, BiomX, Falk, Genfit, Gilead, Intercept, MSD, Novartis, Phenex und Regulus; Reisekosten von AbbVie, Falk, Gilead und Intercept; Forschungsunterstützung von Albireo, CymaBay, Falk, Gilead, Intercept, MSD und Takeda, jeweils außerhalb der eingereichten wissenschaftlichen Arbeit. K. Skok, P. M. Zechner, L. Setaffy, H. H. Kessler, N. Kaufmann, K. Vander, N. Cokić, U. Maierhofer und U. Bargfrieder geben an, dass kein Interessenkonflikt besteht.

Für diesen Beitrag wurden von den Autoren keine Studien an Menschen oder Tieren durchgeführt. Für die aufgeführten Studien gelten die jeweils dort angegebenen ethischen Richtlinien.

Additional information

Die Autoren widmen diese Arbeit allen Opfern der COVID-19-Pandemie und ihren Angehörigen. Besondere Wertschätzung gilt allen Kolleginnen und Kollegen aus dem ärztlichen und pflegerischen Bereich für ihren Einsatz am Krankenbett.

Schwerpunktherausgeber

W. Roth, Mainz

P. Boor, Aachen

Rights and permissions

Open Access Dieser Artikel wird unter der Creative Commons Namensnennung 4.0 International Lizenz veröffentlicht, welche die Nutzung, Vervielfältigung, Bearbeitung, Verbreitung und Wiedergabe in jeglichem Medium und Format erlaubt, sofern Sie den/die ursprünglichen Autor(en) und die Quelle ordnungsgemäß nennen, einen Link zur Creative Commons Lizenz beifügen und angeben, ob Änderungen vorgenommen wurden.

Die in diesem Artikel enthaltenen Bilder und sonstiges Drittmaterial unterliegen ebenfalls der genannten Creative Commons Lizenz, sofern sich aus der Abbildungslegende nichts anderes ergibt. Sofern das betreffende Material nicht unter der genannten Creative Commons Lizenz steht und die betreffende Handlung nicht nach gesetzlichen Vorschriften erlaubt ist, ist für die oben aufgeführten Weiterverwendungen des Materials die Einwilligung des jeweiligen Rechteinhabers einzuholen.

Weitere Details zur Lizenz entnehmen Sie bitte der Lizenzinformation auf http://creativecommons.org/licenses/by/4.0/deed.de.

Reprints and Permissions

About this article

Verify currency and authenticity via CrossMark

Cite this article

Lax, S.F., Skok, K., Zechner, P.M. et al. Systemische Auswirkungen und klinische Aspekte der SARS-CoV-2-Infektion. Pathologe 42, 155–163 (2021). https://doi.org/10.1007/s00292-021-00913-0

Download citation

  • Accepted:

  • Published:

  • Issue Date:

  • DOI: https://doi.org/10.1007/s00292-021-00913-0

Schlüsselwörter

  • Autopsie
  • COVID-19
  • Ischämische Darmschädigung
  • Lungenversagen
  • Pulmonale Thrombose

Keywords

  • Autopsy
  • COVID-19
  • Ischemic bowel disease
  • Respiratory distress syndrome
  • Pulmonary thrombosis