Skip to main content

Sclerosing angiomatoid nodular transformation of the spleen: CT, MR, PET, and 99mTc-sulfur colloid SPECT CT findings with gross and histopathological correlation

Abstract

Sclerosing angiomatoid nodular transformation (SANT) is a benign, proliferative vascular lesion affecting the spleen. Few reports detailing the cross sectional and PET appearance of this lesion are available, and the lesion’s behavior with 99mTc-sulfur colloid scintigraphy is previously unreported. Sclerosing nodular transformation of the spleen shows increased tracer accumulation on positron emission tomography, and a central scar-like appearance with an enhancing capsule and radiating septae on CT and MR studies that reflects the gross and histopathological features of the lesion may be visible. An understanding of this pathological finding may allow prospective recognition of the sclerosing nodular transformation of the spleen on cross sectional imaging studies.

Splenic lesions are commonly incidentally encountered during abdominal cross sectional imaging studies. The majority of such lesions are benign. Occasionally solid, vascular splenic lesions may be identified and can prove difficult to characterize with non-invasive imaging. Awareness of the imaging appearance and differential diagnosis of rare vascular splenic lesions, and, in particular, recognition of certain imaging features that may suggest a specific diagnosis for these uncommon lesions, may facilitate proper patient management.

Report of case

An 80-year-old white man with a history of indolent myelodysplastic syndrome (MDS), melanoma, basal cell carcinoma, and squamous cell carcinoma underwent an oncologic whole body 2-[18F]-Fluoro-2-Deoxy-D-Glucose positron emission computed tomography-CT (FDG-PET CT) survey which revealed a solitary 8.5 cm hypermetabolic splenic mass with a peak standard uptake value of 4.5 (Fig. 1). Subsequent contrast-enhanced CT confirmed the presence of an irregular, solid and low attenuation splenic lesion (Fig. 2A–D) without features that would allow the diagnosis of a benign lesion. Based on the patient’s history of myelodysplasia, the incidental nature of the detection of the lesion, and limited reports suggesting an association between myelodysplasia and extramedullary hematopoiesis [1], MRI examination was recommended to assess for the presence of iron within the lesion (Fig. 3). Magnetic resonance imaging of the mass (Fig. 3A, B) showed predominantly decreased signal on T1- and T2-weighted images associated with several areas of hyperintensity on both sequences. Following the intravenous administration of gadolinium contrast (Gd-DPTA; gadopentetate dimeglumine, Magnevist, Bayer Healthcare), MR imaging (Fig. 3C–F) showed peripheral nodular enhancement with enhancing septae and delayed central filling of the lesion. Opposed-phase imaging (Fig. 3G, H) examination showed findings suggesting the presence of an iron-containing lesion, such as extramedullary hematopoiesis, and confirmation with 99mTc-sulfur colloid scanning was recommended. 99mTc-sulfur colloid single photon emission tomography-computed tomography (SPECT/CT) scan (Fig. 4) was performed and showed a lack of radiopharmaceutical uptake, suggesting that extramedullary hematopoiesis was not the likely diagnosis. The etiology for the lesion remained indeterminate and neoplasm could not be excluded.

Fig. 1
figure 1

SANT of the spleen: 2-[18F]-Fluoro-2-Deoxy-D-Glucose (FDG-PET) findings. Axial fused image shows intense tracer activity (standard uptake value = 4.5) within the splenic lesion.

Fig. 2
figure 2

SANT of the spleen: CT findings. Axial unenhanced (A), arterial phase (B), portal venous phase (C), and delayed (D) enhanced imaging of the abdomen show that the splenic lesion is initially isodense or mildly hypodense to normal spleen (A). Arterial phase imaging (B) shows marked nodular enhancement of the periphery of the lesion (arrows) with a few faintly visible septae (arrowheads) penetrating the center of the lesion from the periphery. The portal venous phase image (C) again shows the hypervascular rim of the lesion (arrows). Vague areas of decreased attenuation centrally represent the fibrosclerotic center of the lesion (when correlated with gross appearance in Fig. 5). Delayed enhanced imaging (D) shows that the lesion progressively enhances toward its center, becoming nearly isodense to the normal spleen. Note, however, that the central “scar” remains visible (when compared with gross pathological appearance in Fig. 5).

Fig. 3
figure 3

SANT of the spleen: MR findings. Axial T1-weighted [TR = 690 ms, TE = 40 ms] (A) and T2-weighted fat saturation [TR = 16000 ms, TE = 91 ms] (B) images show the lesion to be predominantly low signal on both sequences, with a few foci of relatively hyperintense T1- and T2-weighted signal (arrows) representing foci of hemorrhage. Unenhanced (C) and arterial (D), venous (E) and delayed (F) enhanced axial 3D T1-weighted gradient echo images with fat saturation [LAVA, TR = 4.5 ms, TE = 2.2 ms] images show initial intense enhancement of the periphery of the lesion (double arrow) with progressive appearance of thin enhancing septae (arrowheads) penetrating the center of the lesion from the periphery. Areas of nodular enhancement (arrows) correlate with the presence of angiomatoid nodules (compare with gross pathological appearance in Fig. 5). Axial in-phase [TR = 180 ms, TE = 2.4 ms] (G) and out-of-phase [TR = 180 ms, TE = 2.4 ms] (H) images show a progressive signal increase on the shorter TE sequence (H), consistent with the presence of iron within the lesion. Pathological analysis shows that iron within SANT of the spleen is likely due to the presence of blood products.

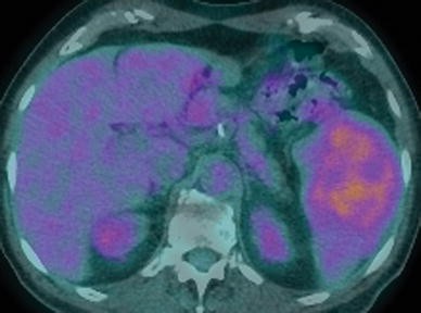
Fig. 4
figure 4

SANT of the spleen: 99mTc-sulfur colloid scan findings. SPECT CT shows normal tracer activity within the liver and spleen with essentially no activity within the splenic lesion, confirming the absence of reticuloendothelial elements within this abnormality.

Following splenectomy, at gross inspection the spleen was granular and gray–purple with a lobulated 9 cm mass with hemorrhagic areas measuring 0.1–0.5 cm (Fig. 5). Histopathological examination of the lesion (Fig. 6) showed concentric bands of fibrosis surrounding nodules of splenic white pulp associated with irregular-shaped vascular spaces lined with plump endothelial cells that contained numerous erythrocytes compatible with sclerosing angiomatoid nodular transformation (SANT). No malignancy was found.

Fig. 5
figure 5

SANT of the spleen: gross pathological findings. Cut specimen shows a central fibrosclerotic scar (*) with septae (arrowheads) and hemorrhagic angiomatoid nodules (arrow). The spleen is visible at the left of the image.

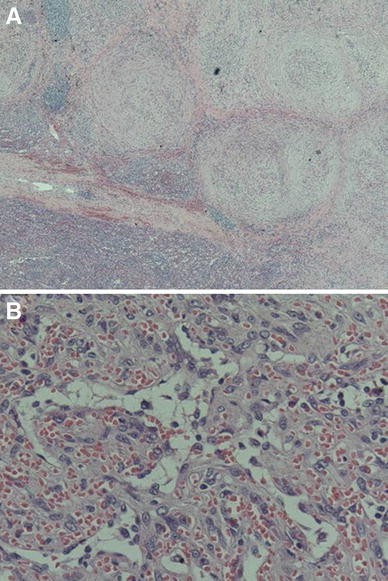
Fig. 6
figure 6

SANT of the spleen: histopathological findings. Low-power (A, 20×) photomicrograph (hematoxylin and eosin) shows the formation of fibrous nodules in a background of splenic red pulp. High-power (B, 400×) photomicrograph (hematoxylin and eosin) of the central portion of one of the nodules shows proliferation of irregular vascular spaces lined by plump endothelial cells, circumscribed by bands of concentric fibrosis, and abundant hemosiderin.

Discussion

The incidental detection of a splenic lesion is not an uncommon clinical occurrence, and differentiation of indolent from aggressive splenic lesions on imaging studies can occasionally be difficult. Fortunately, most cystic and solid lesions within the spleen in patients without known primary malignancy are benign, and neoplasms within the spleen are less common than benign processes and are often encountered in a known clinical context, commonly patients with lymphoma or metastatic disease.

Vascular splenic lesions include both benign and malignant etiologies, but most of these lesions are non-hematolymphoid tumors [2]. Non-hematolymphoid tumors arise from the red pulp of the spleen and include hemangiomas, hamartomas, lymphangiomas, and SANT [2]. Vascular splenic lesions with variable biological behavior include littoral cell angioma, hemangioendothelioma, and hemangiopericytoma, whereas angiosarcoma is a primary, frankly malignant, vascular splenic neoplasm [2].

SANT of the spleen is a recently recognized, rare, benign vascular splenic neoplasm of uncertain etiology, first described in 2004 as a distinct, non-neoplastic vascular splenic lesion by Martel et al. [3]. Prior to 2004, isolated reports of splenic SANT were described under various other terms, including splenic hamartomas, multinodular hemangiomas, cord-capillary hemangioma, or splenic hemangioendotheliomas [4].

Clinical, pathological, and histopathological features of splenic SANT

Only a few reports have detailed the clinicopathological aspects of splenic SANT [36]. The few reports detailing this lesion suggest that splenic SANT is most commonly encountered in middle-aged adults, with a mean age of presentation approximating 50 years [4, 7], although a fairly wide age range for presentation of 22–74 years has been noted [4]. A female preponderance of cases is described, with a female-to-male ratio of 2:1 suggested in several sources [4, 7]. Most reports indicate that splenic SANT is clinically silent and is detected incidentally, usually during laparotomy or imaging studies for unrelated reasons.

At gross inspection, patients with splenic SANT often have a normal-sized or mildly enlarged spleen. The lesion itself usually appears as solitary, unencapsulated but circumscribed mass consisting of red or brown nodules of variable size. The histopathological and immunohistochemical findings of splenic SANT have been the subject of several reports [310]. At low-power examination, splenic SANT is composed of multiple, variably sized, circumscribed and confluent angiomatoid nodules within a fibrosclerotic stroma containing hemosiderin-laden macrophages, myofibroblasts, lymphocytes, and plasma cells [4]. The nodules have a slit-like, vascular morphology lined with endothelial cells, pericytes, and red blood cells. Minimal cellular atypia may be present within splenic SANT nodules but mitotic figures are rare. Immunohistochemical analysis of splenic SANT shows staining with various markers for splenic sinusoidal lining cells, capillary-like, and venule-like elements [4], including CD34, CD21, and CD8. CD68 staining is also typical in splenic SANT, whereas CD21 staining is characteristically absent.

Imaging features of splenic SANT (Table 1)

Little is known of the typical cross-sectional imaging features of splenic SANT as fewer than 30 cases have been reported in the medical literature [7, 1113], and most published reports have concentrated on the pathological aspects of this lesion. The published reports detailing the cross sectional imaging appearance of splenic SANT are summarized in Table 1. Li et al. [6] were the first to describe the CT appearance of SANT. These investigators indicated that CT showed a lesion with a small focus of central calcification, initially hypodense on portal phase imaging, that became progressively homogeneous and approaching the attenuation of surrounding enlarged spleen in the late portal venous phase [6]. Subsequent reports by other investigators have repeatedly described a lesion that shows a comparatively hypovascular center with an enhancing rim and radiating vascularized tissue penetrating from the periphery toward the center of the lesion; this morphology has been seen on contrast-enhanced ultrasound [11], CT [7, 12], and MR examinations. When mutiphasic imaging is performed, splenic SANT lesions show progressive central enhancement with delayed imaging, thought to be the result of contrast penetrating the center of the lesion from the vascular rim. This morphological pattern has been referred to as a “spoke-wheel” pattern [11, 12]. In those reports detailing radiological and pathological correlation for splenic SANT lesions, this “spoke-wheel” morphology corresponds with a central, stellate fibrous stroma with fibrous septa separating angiomatoid nodules [7, 1114].

Table 1 Sclerosing angiomatoid nodular transformation of the spleen: summary of cross-sectional imaging reports 2005–2009

The presence of signal changes on MR imaging suggesting the presence of iron initially supported the impression of extramedullary hematopoiesis as the etiology of the splenic lesion in this patient. However, iron deposition may occur in a number of conditions unrelated to extramedullary hematopoiesis, and it is likely that the hemorrhagic nature of splenic SANT accounts for this MR imaging appearance.

Only one prior published report of the FDG-PET behavior of splenic SANT is known [13]. These authors [13] indicated that splenic SANT shows hypermetabolic activity on FDG-PET, simulating neoplasm; our lesion showed similar behavior. The abundance of cells, including hemosiderin-laden macrophages, myofibroblasts, lymphocytes, and plasma cells, may account for splenic SANT’s FDG avidity.

The 99mTc-sulfur colloid SPECT CT imaging findings of splenic SANT have not been previously reported. The absence of reticuloendothelial cells within the SANT lesion accounts for the lack of uptake of 99mTc-sulfur colloid.

Diagnosis of splenic SANT

Most published reports of SANT of the spleen have established the diagnosis following splenectomy, although one investigation has shown that the diagnosis of SANT may be made with percutaneous core biopsy [11]. Nevertheless, percutaneous biopsy of the spleen must be undertaken with caution as a higher frequency of complication is noted with percutaneous biopsy of vascular splenic lesions [15]. The gross pathological and radiological correlation of splenic SANT in this report as well as the published descriptions of the cross-sectional imaging findings of splenic SANT [7, 1113] suggest that the diagnosis of SANT of the spleen may be specifically offered when contrast-enhanced CT or MR shows a centrally hypovascular lesion with peripheral enhancement progressively extending toward the center of the lesion through septae on delayed imaging- the so-called “spoke-wheel” appearance [11, 12]. However, it is likely that when a vascular splenic lesion is encountered, particularly when large and bulging the capsular surface of the spleen, concerns for malignancy and the potential for splenic rupture will render splenectomy the primary means by which splenic SANT will be diagnosed and treated.

Conclusion

SANT of the spleen is a recently described, non-neoplastic benign vascular lesion. Few cross-sectional imaging reports have detailed the radiological appearance of SANT of the spleen, but the literature suggests that a variably sized lesion, often large, with peripheral enhancement that progressively fills in toward the center of the lesion through radiating septae is a typical appearance on enhanced ultrasound, CT, and MR studies. Possibly due to the presence of various inflammatory cells within the lesion, FDG avidity is expected on FDG-PET studies of SANT of the spleen, whereas, due to the absence of reticuloendothelial elements, absence of 99mTc-sulfur colloid uptake is observed. The diagnosis of SANT of the spleen may be established by percutaneous biopsy, but, due to the potential for an increased rate of complications when vascular lesions of the spleen undergo percutaneous biopsy and concerns regarding the possibility of spontaneous rupture of a large vascular splenic lesion, splenectomy will likely be the means by which SANT of the spleen is diagnosed and managed.

References

  1. Kraus MD, Bartlett NL, Fleming MD, Dorfman DM (1998) Splenic pathology in myelodysplasia: a report of 13 cases with clinical correlation. Am J Surg Pathol 22:1255–1266

    CAS  Article  PubMed  Google Scholar 

  2. Abbott RM, Levy AD, Aguilera NS, Gorospe L, Thompson WM (2004) From the archives of the AFIP: primary vascular neoplasms of the spleen: radiologic-pathologic correlation. Radiographics 24:1137–1163

    Article  PubMed  Google Scholar 

  3. Martel M, Cheuk W, Lombardi L, et al. (2004) Sclerosing angiomatoid nodular transformation (SANT): report of 25 cases of a distinctive benign splenic lesion. Am J Surg Pathol 28:1268–1279

    Article  PubMed  Google Scholar 

  4. Awamleh AA, Perez-Ordonez B (2007) Sclerosing angiomatoid nodular transformation of the spleen. Arch Pathol Lab Med 131:974–978

    PubMed  Google Scholar 

  5. El Demellawy D, Nasr A, Alowami S (2009) Sclerosing angiomatoid nodular transformation of the spleen: case report. Pathol Res Pract 205:289–293

    Article  PubMed  Google Scholar 

  6. Li L, Fisher DA, Stanek AE (2005) Sclerosing angiomatoid nodular transformation (SANT) of the spleen: addition of a case with focal CD68 staining and distinctive CT features. Am J Surg Pathol 29:839–841

    PubMed  Google Scholar 

  7. Zeeb LM, Johnson JM, Madsen MS, Keating DP (2009) Sclerosing angiomatoid nodular transformation. AJR Am J Roentgenol 192:W236–W238

    Article  PubMed  Google Scholar 

  8. Kashiwagi S, Kumasaka T, Bunsei N, et al. (2008) Detection of Epstein-Barr virus-encoded small RNA-expressed myofibroblasts and IgG4-producing plasma cells in sclerosing angiomatoid nodular transformation of the spleen. Virchows Arch 453:275–282

    CAS  Article  PubMed  Google Scholar 

  9. Teng X, Yu X, Wang G, Xu L, Lai M (2008) Sclerosing angiomatoid nodular transformation of the spleen. Anal Quant Cytol Histol 30:125–132

    PubMed  Google Scholar 

  10. Weinreb I, Bailey D, Battaglia D, Kennedy M, Perez-Ordonez B (2007) CD30 and Epstein-Barr virus RNA expression in sclerosing angiomatoid nodular transformation of spleen. Virchows Arch 451:73–79

    CAS  Article  PubMed  Google Scholar 

  11. Gutzeit A, Stuckmann G, Dommann-Scherrer C (2009) Sclerosing angiomatoid nodular transformation (SANT) of the spleen: sonographic finding. J Clin Ultrasound 37:308–311

    Article  PubMed  Google Scholar 

  12. Karaosmanoglu DA, Karcaaltincaba M, Akata D (2008) CT and MRI findings of sclerosing angiomatoid nodular transformation of the spleen: spoke wheel pattern. Korean J Radiol 9 Suppl:S52–S55

    Article  PubMed  Google Scholar 

  13. Lee D, Wood B, Formby M, Cho T (2007) F-18 FDG-avid sclerosing angiomatoid nodular transformation (SANT) of the spleen: case study and literature review. Pathology 39:181–183

    Article  PubMed  Google Scholar 

  14. Lee JC, Lien HC, Hsiao CH (2007) Coexisting sclerosing angiomatoid nodular transformation of the spleen with multiple calcifying fibrous pseudotumors in a patient. J Formos Med Assoc 106:234–239

    Article  PubMed  Google Scholar 

  15. Lucey BC, Boland GW, Maher MM, et al. (2002) Percutaneous nonvascular splenic intervention: a 10-year review. AJR Am J Roentgenol 179:1591–1596

    PubMed  Google Scholar 

Download references

Open Access

This article is distributed under the terms of the Creative Commons Attribution Noncommercial License which permits any noncommercial use, distribution, and reproduction in any medium, provided the original author(s) and source are credited.

Author information

Affiliations

Authors

Corresponding author

Correspondence to Michael B. Gotway.

Rights and permissions

Open Access This is an open access article distributed under the terms of the Creative Commons Attribution Noncommercial License (https://creativecommons.org/licenses/by-nc/2.0), which permits any noncommercial use, distribution, and reproduction in any medium, provided the original author(s) and source are credited.

Reprints and Permissions

About this article

Cite this article

Thacker, C., Korn, R., Millstine, J. et al. Sclerosing angiomatoid nodular transformation of the spleen: CT, MR, PET, and 99mTc-sulfur colloid SPECT CT findings with gross and histopathological correlation. Abdom Imaging 35, 683–689 (2010). https://doi.org/10.1007/s00261-009-9584-x

Download citation

  • Published:

  • Issue Date:

  • DOI: https://doi.org/10.1007/s00261-009-9584-x

Keywords

  • Sclerosing angiomatoid nodular transformation
  • Spleen
  • Proliferation
  • Mass
  • Vascular lesion
  • Sulfur colloid
  • Positron emission tomography