Skip to main content

The basal ganglia: a substrate for fatigue in multiple sclerosis

Abstract

Introduction

The origin of fatigue in multiple sclerosis (MS) remains uncertain. However, the use of nonconventional magnetic resonance techniques has increased our understanding of this problem. We aimed to study the relationship between fatigue in MS and the presence of focal dysfunction in the basal ganglia and frontal white matter.

Methods

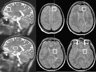
Included in the study were 41 patients with relapsing–remitting MS with mild disability and 20 healthy controls. Fatigue was assessed by the Fatigue Severity Scale (FSS) and the Modified Fatigue Impact Scale (MFIS). Patients were classified as “fatigued” when they expressed a subjective feeling of fatigue, and the FSS score was ≥5.0 and/or the MFIS score was >38. Patients with no subjective fatigue were classified as “nonfatigued” when the FSS score was <4.0. Proton magnetic resonance spectra were obtained from two different regions: the frontal white matter and the lentiform nucleus. The relationships between fatigue and NAA/Cr, NAA/Cho and Cho/Cr ratios were analysed.

Results

A significant decrease in NAA/Cr in the lentiform nucleus region in patients with fatigue was observed. No differences between the groups were found in the frontal white matter.

Conclusion

Although confirmatory studies are needed, our results would support the idea that a specific dysfunction or involvement of the basal ganglia might partly contribute to the development of MS-related fatigue.

This is a preview of subscription content, access via your institution.

Fig. 1

References

  1. Multiple Sclerosis Clinical Practice Guidelines Council (1998) Fatigue and multiple sclerosis: evidence-based management strategies for fatigue in multiple sclerosis. Paralyzed Veterans of America, Washington DC

    Google Scholar 

  2. Bakshi R, Shaikh ZA, Miletich RS et al (2000) Fatigue in multiple sclerosis and its relationship to depression and neurologic disability. Mult Scler 6:181–185

    PubMed  CAS  Google Scholar 

  3. Flachenecker P, Kumpfel T, Kallmann B et al (2002) Fatigue in multiple sclerosis: a comparison of different rating scales and correlation to clinical parameters. Mult Scler 8:523–526

    PubMed  Article  CAS  Google Scholar 

  4. Kroencke DC, Lynch SG, Denney DR (2000) Fatigue in multiple sclerosis: relationship to depression, disability, and disease pattern. Mult Scler 6:131–136

    PubMed  CAS  Google Scholar 

  5. Téllez N, Río J, Tintoré M, Nos C, Galán I, Montalban X (2005) Does the Modified Fatigue Impact Scale offer a more comprehensive assessment of fatigue in MS? Mult Scler 11:198–202

    PubMed  Article  Google Scholar 

  6. Mainero C, Faroni J, Gasperini C et al (1999) Fatigue and magnetic resonance imaging activity in multiple sclerosis. J Neurol 246:454–458

    PubMed  Article  CAS  Google Scholar 

  7. Bakshi R, Miletich RS, Henschel K et al (1999) Fatigue in multiple sclerosis: cross sectional correlations with brain MRI findings in 71 patients. Neurology 53:1151–1153

    PubMed  CAS  Google Scholar 

  8. Van der Werf SP, Jongen PJH, Lycklama à Nijeholt GJ, Barkhof F, Hommes OR, Bleijenberg G (1998) Fatigue in multiple sclerosis: interrelations between fatigue complaints, cerebral MRI abnormalities and neurological disability. J Neurol Sci 160:164–170

    PubMed  Article  Google Scholar 

  9. Roelcke U, Kappos L, Lechner-Scott J et al (1997) Reduced glucose metabolism in the frontal cortex and basal ganglia of multiple sclerosis patients with fatigue. Neurology 48:1566–1571

    PubMed  CAS  Google Scholar 

  10. Filippi M, Rocca MA, Colombo B et al (2002) Functional magnetic resonance imaging study correlates of fatigue in multiple sclerosis. Neuroimage 15:559–567

    PubMed  Article  CAS  Google Scholar 

  11. Leocani L, Colombo B, Magnani G et al (2001) Fatigue in multiple sclerosis is associated with abnormal cortical activation to voluntary movement – EEG evidence. Neuroimage 13:1186–1192

    PubMed  Article  CAS  Google Scholar 

  12. Tartaglia MC, Narayanan S, Francis SJ et al (2004) The relationship between diffuse axonal damage and fatigue in multiple sclerosis. Arch Neurol 61:201–207

    PubMed  Article  Google Scholar 

  13. Niepel G, Tench CR, Morgan PS et al (2006) Deep gray matter and fatigue in MS: a T1 relaxation time study. J Neurol 253:896–902

    PubMed  Article  CAS  Google Scholar 

  14. Poser CM, Paty DW, Scheinberg L et al (1983) New diagnostic criteria for multiple sclerosis: guidelines for research protocols. Ann Neurol 13:227–231

    PubMed  Article  CAS  Google Scholar 

  15. Krupp LB, LaRocca NG, Muir-Nash J, Steinberg AD (1989) The fatigue severity scale. Application to patients with multiple sclerosis and systemic lupus erythematosus. Arch Neurol 46:1121–1123

    PubMed  CAS  Google Scholar 

  16. Beck AT, Ward CH, Mendelson M, Mock J, Erbaugh JK (1961) An inventory for measuring depression. Arch Gen Psychiatry 4:561–571

    PubMed  CAS  Google Scholar 

  17. Bottomley PA (1987) Spatial localization in NMR spectroscopy in vivo. Ann N Y Acad Sci 508:333–348

    PubMed  Article  CAS  Google Scholar 

  18. Haase A, Frahm J, Hänicke W, Matthaei D (1985) 1H NMR chemical shift selective (CHESS) imaging. Phys Med Biol 30:341–344

    PubMed  Article  CAS  Google Scholar 

  19. Van den Boogaart, Vanhamme L. MRUI Manual v. 96.3. A user’s guide to the Magnetic Resonance User Interface Software Package. Delft Technische Universiteit, Delft

  20. van der Veen JWC, de Beer R, Luyten PR, van Ormondt D (1988) Accurate quantification of in vivo 31-P NMR signals using the variable projection method and prior knowledge. Magn Reson Med 6:92–98

    PubMed  Article  Google Scholar 

  21. Codella M, Rocca MA, Colombo B, Martinelli-Boneschi F, Comi G, Filippi M (2002) Cerebral grey matter pathology and fatigue in patients with multiple sclerosis: a preliminary study. J Neurol Sci 194:71–74

    PubMed  Article  CAS  Google Scholar 

  22. De Stefano N, Matthews PM, Antel JP, Preul M, Francis G, Arnold DL (1995) Chemical pathology of acute demyelinating lesions and its correlation with disability. Ann Neurol 38:901–909

    PubMed  Article  Google Scholar 

  23. Cucurella MG, Rovira A, Grivé E, Tintore M, Montalban X, Alonso J (2002) Serial proton spectroscopy, magnetization transfer ratio and T2 relaxation in pseudotumoral demyelinating lesions. NMR Biomed 15:284–292

    PubMed  Article  Google Scholar 

  24. Husted CA, Goodin DS, Hugg JW et al (1994) Biochemical alterations in multiple sclerosis lesions and normal-appearing white matter detected by in vivo 31P and 1H spectroscopic imaging. Ann Neurol 36:157–165

    PubMed  Article  CAS  Google Scholar 

  25. Davies SE, Newcombe J, Williams SR, McDonald WI, Clark JB (1995) High resolution proton NMR spectroscopy of multiple sclerosis lesions. J Neurochem 64:742–748

    PubMed  CAS  Article  Google Scholar 

  26. Davie CA, Barker GJ, Thompson AJ, Tofts PS, McDonald WI, Miller DH (1997) 1Hmagnetic resonance spectroscopy of chronic cerebral white matter lesions and normal appearing white matter in multiple sclerosis. J Neurol Neurosurg Psychiatry 63:736–742

    PubMed  CAS  Article  Google Scholar 

  27. Van Hecke P, Marchal G, Johannik K et al (1991) Human brain proton localized NMR spectroscopy in multiple sclerosis. Magn Reson Med 18:199–206

    PubMed  Article  Google Scholar 

  28. Tourbah A, Stievenart JL, Abanou A et al (1999) Normal-appearing white matter in optic neuritis and multiple sclerosis: a comparative proton spectroscopy study. Neuroradiology 41:738–743

    PubMed  Article  CAS  Google Scholar 

  29. Tedeschi G, Bonavita S, McFarland HF, Richert N, Duyn JH, Frank JA (2002) Proton MR spectroscopic imaging in multiple sclerosis. Neuroradiology 44:37–42

    PubMed  Article  CAS  Google Scholar 

  30. Friedman J, Friedman H (1993) Fatigue in Parkinson’s disease. Neurology 43:2016–2018

    PubMed  CAS  Google Scholar 

  31. Ghika J, Ghika-Schmid F, Fankhauser H et al (1999) Bilateral contemporaneous posteroventral pallidotomy for the treatment of parkinson’s disease: neuropsychological and neurological side effects. Report of four cases and review of the literature. J Neurosurg 91:313–321

    PubMed  CAS  Google Scholar 

  32. Hariz MI, De Salles AA (1997) The side effects and complications of posteroventral pallidotomy. Acta Neurochir 68:42–48

    CAS  Google Scholar 

  33. Hua Z, Guodong G, Qinchuan L, Yaqun Z, Qinfen W, Xuelian W (2003) Analysis of complications of radiofrequency pallidotomy. Neurosurgery 52:89–99

    PubMed  Article  Google Scholar 

  34. Fu L, Matthews PM, De Stefano N et al (2003) Imaging axonal damage of normal-appearing white matter in multiple sclerosis. Brain 121:103–113

    Article  Google Scholar 

  35. Wylezinska M, Ciffeli A, Jezzard P, Palace J, Alecci M, Matthews PM (2003) Thalamic neurodegeneration in relapsing-remitting multiple sclerosis. Neurology 60:1949–1954

    PubMed  CAS  Google Scholar 

  36. Adalsteinsson E, Langer-Gould A, Homer RJ et al (2003) Gray matter N-acetyl aspartate deficits in secondary progressive but not in relapsing-remitting multiple sclerosis. AJNR Am J Neuroradiol 24:1941–1945

    PubMed  Google Scholar 

  37. Gonen O, Catalaa I, Babb JS et al (2000) Total brain N-acetylaspartate. A new measure of disease load in MS. Neurology 54:15–19

    PubMed  CAS  Google Scholar 

Download references

Acknowledgements

The authors thank S. Gelabert, M.D. Blasco, and J.F. Corral for dedicated assistance during the project, Jose Vicente and Rosalia Horno for their work and attention given to the patients, and Mr. Joseph Graells for language editing. We also thank the Fundació d’Esclerosi Múltiple (FEM) and the REDCIEN (03/06). We are particularly grateful to our patients and the healthy volunteers for their collaboration. The MRUI software package was kindly provided by the participants of the EU Network programmes: Human Capital and Mobility (CHRX-CT94-0432) and Training and Mobility of Researchers (ERB-FMRX-CT970160).

Author information

Affiliations

Authors

Corresponding author

Correspondence to N. Téllez.

Additional information

Conflict of interest statement

We declare that we have no conflict of interest.

This study was partly supported by Spain’s MEC-FIS programme, grant no. 01/1374.

Rights and permissions

Reprints and Permissions

About this article

Cite this article

Téllez, N., Alonso, J., Río, J. et al. The basal ganglia: a substrate for fatigue in multiple sclerosis. Neuroradiology 50, 17–23 (2008). https://doi.org/10.1007/s00234-007-0304-3

Download citation

  • Received:

  • Accepted:

  • Published:

  • Issue Date:

  • DOI: https://doi.org/10.1007/s00234-007-0304-3

Keywords

  • MS
  • Multiple sclerosis
  • Fatigue
  • Proton magnetic resonance spectroscopy