Skip to main content

Postoperatives Knie

Tipps und Fallstricke für die Befundung der VKB-Plastik

Postoperative knee

Tips and pitfalls for the interpretation of ACL surgery

Zusammenfassung

Das vordere Kreuzband (VKB) ist das wichtigste Widerlager gegen die vordere tibiale Subluxation (vordere Schublade) und ermöglicht die Stabilität des Kniegelenks in Flexion, Extension und Innenrotation sowie Varus- und Valgusstress. Sportarten wie Fußball, Rugby, Skifahren und Tanzen erhöhen das Risiko für VKB-Verletzungen. Die Entscheidung zur operativen Versorgung der VKB-Verletzung ist vorwiegend klinisch basiert unter Berücksichtigung von vielen Faktoren wie Alter, Habitus, Geschlecht und physische Aktivitäten. Die vielen unterschiedlichen Techniken der VKB-Rekonstruktion haben ihre jeweiligen Vor- und Nachteile. Der Radiologe und der Kliniker sollten mit den unterschiedlichen Facetten der VKB-Plastik, abhängig vom Zeitintervall zwischen Operation und Bildgebung, vertraut sein. Dieser Artikel gibt eine Übersicht über die Anatomie des VKB und die häufigsten VKB-Rekonstruktions-Techniken und diskutiert normale postoperative Befunde und Komplikationen der VKB-Rekonstruktion anhand unterschiedlicher Bildgebungsmodalitäten.

Abstract

The anterior cruciate ligament (ACL) is the most important restraint against anterior tibial subluxation and provides stability in flexion, extension and internal rotation as well as varus and valgus stress. Certain sports activities, such as soccer, rugby, skiing, and dancing increase the risk of ACL injuries. The decision for surgical treatment is primarily clinically based under consideration of multiple factors, such as age, body habitus, gender and specific physical activities. There are numerous different techniques for ACL reconstruction each with advantages and disadvantages. The radiologist and the clinician should be familiar with the different appearances of ACL grafts on postoperative imaging depending on the time interval between arthroscopy and imaging. This article reviews the anatomy of the ACL and the most common ACL reconstruction techniques and discusses the normal postoperative findings and complications of ACL reconstruction based on different imaging techniques.

Lernziele

Nach der Lektüre dieses Fortbildungsbeitrags …

  • kennen Sie die wichtigsten Rekonstruktionsverfahren für die vordere Kreuzbandruptur.

  • haben Sie einen Überblick über die Morphologie der Kreuzbandplastik.

  • können Sie die postoperativen Komplikationen von den normalen postoperativen Veränderungen unterscheiden.

  • kennen Sie die Risikofaktoren für eine wiederholte Ruptur der Kreuzbandplastik.

Einleitung

Kasuistik

Der 28-jährige Manuel hat vor 4 Jahren eine vordere Kreuzbandplastik (VKB-Plastik) mittels Patellasehnenersatz erhalten. Beim Skifahren war Manuel gestürzt und sein Knie war unmittelbar danach angeschwollen. Beim Sturz hatte er sich sein Knie in Flexionsstellung nach innen verdreht (Pivot-Shift-Mechanismus). Der Orthopäde stellte eine vordere Schublade (Lachmann +++) fest und veranlasste eine weitere Abklärung mittels Magnetresonanztomographie (MRT). Dabei zeigte sich eine komplette Ruptur der VKB-Plastik. Es stellt sich nun die Frage, in welcher Technik eine Revision der VKB-Plastik durchgeführt werden sollte.

Das vordere Kreuzband (VKB) ist eine multifaszikuläre ligamentäre Struktur, bestehend aus dem anteromedialen und posterolateralen Bündel, die sowohl arthroskopisch als auch auf den MRT-Bildern voneinander unterschieden werden können. Der anteromediale Zügel gibt einen Widerstand bei Knieflexion, während der posterolaterale Zügel das Knie in Extension stabilisiert (Abb. 1). Der femorale Ansatz des VKB ist an der posterioren lateralen Facette des interkondylären Notch und zieht nach anterior und distal entlang der Blumensaat-Linie (parallel zum Dach des interkondylären Notch) in etwa 75° zum Tibiaplateau in koronarer Ebene und inseriert am medialen Interkondylärprozess im anterioren Drittel des Tibiaplateaus. Ein Fallstrick für Anfänger ist die Verwechslung des interponierten Fettgewebes zwischen dem anteromedialen und dem posterolateralen Bündel mit einer Teilruptur des VKB.

Abb. 1
figure 1

a Schematische Grafik des anteromedialen (rot) und des posterolateralen (blau) Bündels in der sagittalen (a) und in der koronaren (b) Ebene. In der koronaren Ebene in der Magnetresonanztomographie (MRT) (c) sind die beiden Bündel durch das interponierte Fett, das in der T1-Sequenz ein hohes Signal aufweist, gut zu differenzieren (Pfeil). (Mit freundlicher Genehmigung aus [1])

Die Entscheidung zur VKB-Rekonstruktion ist eine multifaktorielle, die gemeinsam mit der klinischen Untersuchung, den Anforderungen des Patienten an das Kniegelenk und den radiologischen Befunden getroffen wird [2]. Dabei spielen Alter, Konstitution, Geschlecht, stabilisierende Muskulatur sowie sportliche Aktivitäten des Patienten sowie tägliche Anforderungen an das Gelenk eine wichtige Rolle. Begleitverletzungen wie Meniskusriss, Knorpelschäden oder andere ligamentäre Verletzungen erfordern eine arthroskopische oder chirurgische Versorgung und sind in der MRT erkennbar. Daher ist es leicht nachvollziehbar, dass der Sportmediziner, Traumatologe oder Orthopäde vor der Kniearthroskopie eine MRT-Bildgebung wie auch bei Manuel verlangt. Das Zitat „die jungen Patienten mit den alten Kniegelenken“ von Lohmander bezieht sich auf die Profisportler, die ihre Kniegelenke einer hohen Belastung aussetzen, und auf repetitive Kniegelenkverletzungen mit resultierenden VKB-Verletzungen, die durch die Instabilität zu erhöhten Knorpelschäden und dadurch zur Osteoarthrose führen [3].

Merke

Frauen sind im Vergleich zu Männern aufgrund des höheren Östrogenlevels einem 6‑fach höheren Risiko für VKB-Rupturen ausgesetzt.

Unterschiedliche VKB-Rekonstruktions-Techniken

Das VKB kann mithilfe von Autograft/Allograft oder eines synthetischen Grafts repariert werden. Zu den bewährtesten Techniken zählen die Knochen-Patellasehnen-Knochen-Plastik („bone-patella tendon-bone graft“) und die Hamstring-Plastik (Teilentnahme der Semitendinosus- und Grazilissehne). Gemeinsam mit der Quadrizepssehnenentnahme werden diese Techniken zumeist in der Einzelbündeltechnik („single-bundle technique“) durchgeführt.

Die Patellasehnenplastik ist ein beliebtes Verfahren für männliche Patienten und für Sportler, da sie durch die Entnahme von den Knochenblöcken an dem unteren Patellapol und an der tibialen Tuberositas ein schnelles Einwachsen in die Bohrkanäle und somit eine kurze Rehabilitationszeit benötigt und sehr widerstandsfähig ist (Abb. 2). Das Verfahren ist relativ einfach durchzuführen, kann aber einen vorderen Knieschmerz an der Entnahmestelle verursachen. Auf die genauen Komplikationen wird später in diesem Artikel eingegangen.

Abb. 2
figure 2

Die Computertomographie (CT) zeigt in der VRT („volume-rendering technique“) deutlich die Defekte am unteren Patellapol und an der Tuberositas tibiae. In der sagittalen Ebene (b) ist der Knochenblock im tibialen Bohrkanal erkennbar (Pfeil)

Die Hamstring-Plastik (Semitendinosus-gracilis-Sehne) vermeidet zwar den postoperativen vorderen Knieschmerz, erfordert aber eine längere Rehabilitationszeit durch ein langsameres Einwachsen und eine verzögerte Heilungsphase der VKB-Plastik. Im Gegensatz zum Knochenblock erfolgt die Heilung über die Sharpey-Fasern [4]. Dieses Verfahren wird eher bei Frauen bevorzugt, da auch kleinere Narben hinterlassen werden und zumeist die Anforderungen an eine widerstandsfähige VKB-Plastik geringer sind.

Langzeitergebnisse für die Quadrizepssehnenplastik liegen noch nicht vor, da diese Technik erst in der letzten Dekade zunehmend an Bedeutung gewonnen hat. Aber dieses Verfahren ist bisher recht vielversprechend, da bei der Fixationstechnik der Knochenblock an der patellaren Seite der Plastik zu einem schnelleren Einwachsen im Knochentunnel führt [5]. Eine Schwäche der Quadrizepsmuskulatur kann als Komplikation auftreten, was allerdings mit gezieltem Muskelaufbau während der postoperativen Rehabilitation mit Physiotherapie kompensiert werden kann. Im Gegensatz zum Patellasehnenersatz sind Dicke und Länge der Plastik frei wählbar. Die Quadrizepssehnenentnahme ist insbesondere bei der Revisionschirurgie populär, wenn andere Entnahmestellen bereits verwendet wurden (Abb. 3). Für Manuel wurde daher die Quadrizepssehne als Sehnenersatz für die Revision der rupturierten VKB-Plastik gewählt.

Abb. 3
figure 3

Rekonstruktion des vorderen Kreuzbands (VKB) mit Quadrizepssehnenplastik. In der Magnetresonanztomographie (MRT) ist in der sagittalen T1-Sequenz eine Verdickung der distalen Quadrizepssehne mit umgebendem Narbengewebe erkennbar (Pfeil)

Merke

Die Quadrizepssehne wird gerne für die Revisionsoperation als VKB-Ersatz verwendet.

Die Plantarissehne ist ein selten verwendetes Transplantat und kann als dünne langstreckige Sehne 8‑fach gewickelt mit einem Durchmesser von 6–8 mm ebenfalls Stabilität erzielen. Die Entnahmetechnik ist hier allerdings aufwendiger und erfordert eine längere Operationszeit. Bei der Revisionschirurgie stellt die Plantarissehne, sofern sie vorhanden ist, ebenfalls eine gute Alternative dar.

Wegen der Entnahmemorbidität wurden ab den 1970er-Jahren VKB-Techniken unter Verwendung von Bändern aus Synthetik- oder Kohlefasern eingesetzt. Zwar entsteht kein Schaden an der Entnahmestelle („donor site“) und die zweiwöchige Rehabilitationszeit bis zur Rückkehr zum Sport („return to sports“) ist unübertroffen kurz. Jedoch beträgt die Überlebenszeit der Kunstbänder nur etwa 10 bis 15 Jahre, weshalb die Kunststoffbänder eher bei älteren Patienten eingesetzt werden. Insbesondere unter sportlicher Belastung ist die Wahrscheinlichkeit relativ hoch, dass das Kunstband frühzeitig reißt und eine neuerliche Rekonstruktion erfordert. Ebenso führte der Kunststoffabrieb zu chronischen Synovitiden.

1983 wurde die Doppelbündeltechnik („double-bundle technique“) erstmals von Mott beschrieben [6]. Die Bohrung von mehreren Kanälen in die Tibia und/oder in den Femur und die Rekonstruktion beider Bündel des nativen VKB wurde über die letzten Jahrzehnte modifiziert ([7]; Abb. 4). Die Idee dahinter war, die Rotationsinstabilität, die bei 10–15 % der Patienten nach Einzelbündeltechnik entstehen kann, mit der Doppelbündeltechnik zu vermeiden. Klinische Studien zeigten allerdings, dass der klinische Benefit gegenüber der Single-Bundle-Rekonstruktion teilweise ausblieb und die markanten Knochendefekte durch die Bohrung von 2 Kanälen jeweils in der Tibia und im Femur von Nachteil sind, wenn eine Kreuzbandrevision erforderlich ist. Die Operationstechnik erfordert mehr Geschick und dauert meistens länger als die Single-Bundle-Rekonstruktion.

Abb. 4
figure 4

Sowohl in der axialen Magnetresonanztomographie (MRT; a) als auch in der Computertomographie (CT; b) sind die beiden Bohrkanäle im Tibiaplateau für die Doppelbündeltechnik erkennbar

Indikation zur Bildgebung nach VKB-Rekonstruktion

Im postoperativen Szenario erfordern 2 bedeutende Indikationen eine weitere Abklärung mittels Bildgebung:

  1. 1.

    Eine wiederholte Instabilität des Kniegelenks tritt bei 8 % der Patienten auf. Dies kann auf eine Überdehnung der VKB-Plastik oder eine komplette Ruptur oder einen Ausriss der Plastik zurückzuführen sein. Eine Instabilität innerhalb der ersten 6 postoperativen Monate kann durch eine insuffiziente chirurgische Technik mit z. B. daraus resultierendem fehlenden Einwachsen der Plastik in die Bohrkanäle verursacht sein.

  2. 2.

    Ein zunehmender Bewegungsumfang des Kniegelenks kann durch ein Impingement der VKB-Plastik oder eine Arthrofibrose erfolgen. Das ossäre Impingement der VKB-Plastik kann durch Osteophyten im interkondylären Notch (Interkondylärregion) in degenerativen Gelenken erzeugt werden. Häufiger ist allerdings das Roof-Impingement bei dem die Plastik gegen das Dach des femoralen Notch reibt. Auf das Roof-Impingement wird in diesem Artikel bei der Abhandlung der Komplikationen der VKB-Plastik näher eingegangen.

Stellenwert der Bildgebung

Die konventionelle Radiografie wird als initiale Bildgebung für die Beurteilung des tibialen und femoralen Bohrkanals, für dislozierte oder gelockerte Schrauben, Pins und Endobuttons oder Materialbrüche, für neuerliche Frakturen, aber auch für die Beurteilung der Gelenkstellung („alignment“) eingesetzt. Die frühzeitige Osteoarthrose tritt gehäuft bei Kniegelenken mit insuffizienter VKB-Plastik oder bei einem VKB-defizienten Gelenk auf. Die Entstehung der Osteoarthrose mit randständigen Osteophyten an den Gelenkflächen und einer Gelenkspaltverschmälerung als indirektem Hinweis auf eine Knorpelbelagverdünnung oder Knorpelglatze (Verlust des Knorpels mit Exposition des subchondralen Knochens) wird mit der konventionellen Radiografie beurteilt.

Besteht der Verdacht auf eine Reruptur der VKB-Plastik, ist die MRT die bildgebende Methode der Wahl. In der MRT werden das Signal, die Kontinuität und das Kaliber der Plastik beurteilt. Für die Beurteilung der Bohrkanäle in der MRT wird ein besonderes Augenmerk auf Flüssigkeiten in den Kanälen, umgebendes Knochenmarködem oder Erweiterungen des Kanals geworfen. Weichteilschwellungen können nur bedingt in der konventionellen Radiografie oder in der Computertomografie (CT) analysiert werden. In der MRT werden Veränderungen des Gelenkraums, fokale und diffuse Synovialproliferationen oder Ergüsse befundet. Ein wiederholtes Trauma nach der VKB-Rekonstruktion erfordert in den meisten Fällen eine Abklärung mit der MRT, um die VKB-Plastik zu beurteilen und Begleitverletzungen wie Meniskus‑, Band- und Knorpelläsionen auszuschließen. Wir empfehlen dabei zumindest in einer Ebene eine STIR(„short tau inversion recovery“)-Sequenz in das MRT-Protokoll einzuschließen, damit das Knochenmarködem und die Bohrkanäle zuverlässig beurteilt werden können. Die fettsupprimierten protonendichten Sequenzen erschweren die Beurteilung des Knochenmarks aufgrund der starken Suszeptibilitätsartefakte durch Schrauben oder Pins.

Die CT spielt für die präoperative Planung nach VKB-Plastik-Versagen eine bedeutende Rolle, um die Position, die Geometrie und das Kaliber der Bohrkanäle für die Revision zu beurteilen. Die Entscheidung zu einem Knochenaufbau in den Kanälen, besonders häufig bei der Double-Bundle-Technik, wird zumeist anhand der CT-Untersuchung getroffen. Des Weiteren ist im Vergleich zur MRT die Beurteilung von disloziertem orthopädischen Material in der CT besser, da die Metallartefakte deutlich geringer sind. Kleine knöcherne Ausrisse oder ossäre freie Gelenkkörper sind ebenfalls besser in der CT-Untersuchung zu erkennen (Abb. 5).

Abb. 5
figure 5

Die Computertomografie (CT) spielt eine bedeutende Rolle in der Abklärung von Avulsionsfrakturen nach Retrauma (Pfeil in a; Dislokation von Schrauben und Pins). Für die präoperative Planung wird die Weite des vorbestehenden Bohrkanals am besten in der axialen Ebene gemessen (b). Die hyperdensen Areale im tibialen Bohrkanal entsprechen Resten der bioresorbierbaren Polymerschrauben

Merke

Die CT ist hervorragend für die Beurteilung von knöchernen Ausrissen und disloziertem orthopädischen Material geeignet.

Morphologie und Position der VKB-Plastik

Einer der wichtigsten Erfolgsfaktoren für ein gutes klinisches Outcome des Patienten nach VKB-Plastik ist die korrekte Position der Bohrkanäle. Dies hat einen direkten Einfluss auf die Biomechanik des Kniegelenks. Die Einzelbündeltechnik versucht das anteromediale Bündel des VKB in der ursprünglichen anatomischen Position zu ersetzen, allerdings wird zunehmend häufiger der isometrische Punkt für den VKB-Ersatz im Operationssaal getestet und die VKB-Plastik an diesem Punkt inseriert [8]. Der tibiale Bohrkanal orientiert sich entlang der Blumensaat-Linie, eine Parallele zum Dach des interkondylären Notch des Femurs. Der tibiale Kanal wird gewöhnlich posterior zum ursprünglichen tibialen Ansatz des VKB in das Tibiaplateau paramedian lateral gebohrt. Eine hohe femorale Befestigung ist wünschenswert, um einerseits ein Roof-Impingement und andererseits eine Laxizität in der Rotation zu vermeiden. In der koronaren Ebene wird die VKB-Plastik um etwa 75° oder weniger zum Tibiaplateau geneigt.

Die Kenntnis über die Technik der VKB-Rekonstruktion und über den Zeitraum zwischen Operation und Bildgebung ist essenziell für die korrekte Befundung der Plastik. In den ersten 3 Monaten ist die VKB-Plastik bezüglich der Signalintensität ähnlich dem ursprünglichen VKB und erscheint auf allen Sequenzen signalarm. Nach dem 3. bis zum 12. Monat kommt es zu einer verstärkten Einsprossung von Gefäßen und Synovialzotten in die VKB-Plastik, was zu einer Zunahme des Kalibers und zu einem erhöhten Signal in den protonendichte- und T2-gewichteten Sequenzen führt (Abb. 6). Ohne Kenntnis dieses Phänomens und des genauen Zeitpunkts der Rekonstruktion kann der normale postoperative Verlauf der VKB-Plastik als Partialruptur mit Ödem fehlinterpretiert werden. Nach 12 bis 18 Monaten normalisiert sich das Signal der VKB-Plastik wieder zu einem niedrigeren Signal, und das Kaliber nimmt ab [9, 10]. In manchen Fällen kann das „ödematöse“ Erscheinungsbild der VKB-Plastik über 4 Jahre persistieren. Die Kunststoffbänder weisen bereits zu Beginn ein erhöhtes T2-Signal auf und verändern nicht ihre Signalgebung im Verlauf.

Abb. 6
figure 6

Synovialisation der VKB(vorderes Kreuzband)-Plastik: Die ACL(„anterior cruciate ligament“)-Plastik nach 4 Monaten (a) weist in der fettsuprimierten protonendichtegewichteten Sequenz aufgrund der Einsprossung der Gefäße und Synovialzotten ein erhöhtes Signal auf (Pfeil in a). Nach 10 Monaten normalisiert sich das Signal der Plastik wieder (Pfeil in b)

Merke

Die Kenntnis des Operationsdatums ist hilfreich für die richtige Interpretation eines erhöhten T2-Signals der VKB-Plastik.

Komplikationen nach VKB-Plastik

Die Ursachen des Transplantatversagens können technisch, biologisch oder traumatisch bedingt sein [11]. Einer der Hauptrisikofaktoren für das erhöhte Risiko einer VBK-Plastik-Ruptur ist die zu frühe Rückkehr zum Sport ohne Berücksichtigung der spezifischen Kriterien (z. B. verschlechterte neuromuskuläre Funktion oder Ungleichgewicht zwischen Hamstring- und Quadrizepsmuskulatur). Die derzeitigen klinischen Empfehlungen orientieren sich an dem 6‑Monats-Intervall [12]. Jedoch spielen viele andere Kriterien wie Operationstechnik und Compliance des Patienten eine wichtige Rolle für die Reruptur oder die Instabilität des postoperativen Kniegelenks. Das Übersehen einer Verletzung der posterolateralen Ecke in der präoperativen Bildgebung erhöht das Risiko des Versagens der VKB-Plastik.

Merke

Eine Instabilität der posterolateralen Ecke ist einer der Risikofaktoren für das Versagen der VKB-Rekonstruktion.

Instabilität

Ein laxer Bandersatz führt zu einem erhöhten Risiko des Transplantatversagens [13]. In 70–80 % der Fälle ist die Bandlaxizität auf eine falsche Positionierung der Bohrkanäle zurückzuführen. Eine zu hohe Spannung in der Flexion und eine Lockerung in der Extension werden durch eine zu weit anteriore Fehlposition des femoralen Bohrkanals verursacht. Eine zu weit posteriore Lokalisation des femoralen Tunnels kann zu einem Ausbruch der Kortikalis mit daraus resultierender fehlender Fixierung der Plastik und Streckhemmung führen. Eine Rotationsinstabilität wird durch eine zu zentral gelegene Position des femoralen Tunnels bei 12 Uhr und einen zu posterior gelegenen tibialen Tunnel verursacht.

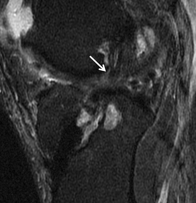
Partialruptur

Partialrupturen können sich sowohl in einer Kaliberzunahme mit Signalintensitätserhöhung in T1- und T2-gewichteten Aufnahmen als auch in einer Ausdünnung der Sehne äußern (Abb. 7). Eine Elongation mit abgeflachtem Verlauf des Bands kann eines der Kriterien für die Partialruptur sein. Einer der Fallstricke für die Fehlinterpretation der Signaländerung ist die Synovialisation des Kreuzbandersatzes zwischen dem 3. und 12. postoperativen Monat. Die genaue Anamnese des Patienten mit der Information über den Zeitpunkt des Bandersatzes ist daher ausschlaggebend, um die Signalveränderung und Kaliberschwankung richtig einzuordnen.

Abb. 7
figure 7

Die sagittalen fettunterdrückten protonengewichteten Sequenzen zeigen eine deutliche Auftreibung und ein Ödem in der VKB(vorderes Kreuzband)-Plastik (Pfeil); eine komplette Diskontinuität liegt nicht vor. Eine Synovialisation kann ein ähnliches Erscheinungsbild erzeugen

Komplette Ruptur

Eine frühzeitige VKB-Plastik-Ruptur innerhalb der ersten 6 Monate nach Operation kann auf eine inkorrekte Position der Bohrkanäle oder auf ein fehlendes Einwachsen der Plastik zurückzuführen sein. Ein spätes Versagen der Plastik nach mehr als 6 Monaten ist durch ein wiederkehrendes Trauma verursacht.

Die frische Ruptur ist durch ein hohes T2-Signal (Ödem) der Bandstümpfe sowie durch Flüssigkeit zwischen den separierten Stümpfen und im Gelenkraum gekennzeichnet (Abb. 8). Bei einer chronischen Bandruptur findet sich Granulationsgewebe zwischen den Stümpfen, allerdings können sich die Bandstümpfe auch teilweise resorbieren und die restlichen Anteile des Bandes können von umgebenden synovialem Gewebe in der MRT maskiert werden.

Abb. 8
figure 8

Komplette VKB(vorderes Kreuzband)-Plastik-Ruptur: In der fettunterdrückten protonengewichteten Sequenz sind die Stümpfe der Plastik separiert, und Flüssigkeit ist zwischen den Stümpfen erkennbar (Pfeil), was auf ein akutes Trauma hindeutet

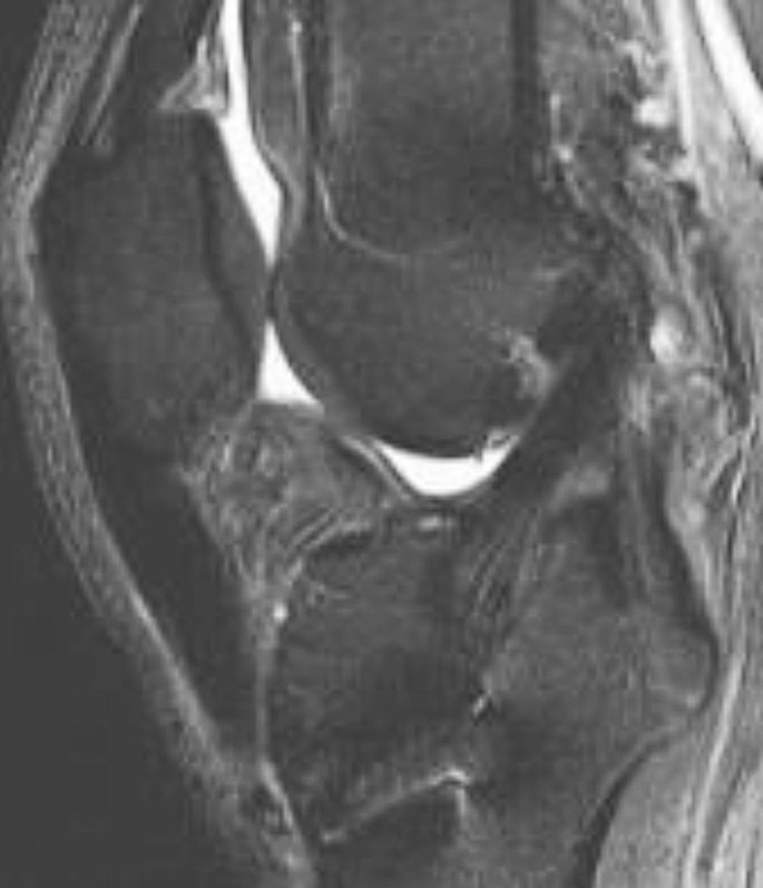
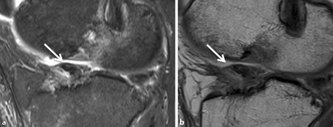
Roof-Impingement

Der Zusammenstoß zwischen den posterioren femoralen Anteilen der VKB-Plastik und dem Femurkondylus im Bereich des femoralen Notch wird als Roof-Impingement bezeichnet (Abb. 9). Ein zu weit anterior angelegter tibialer Bohrkanal führt bei gestrecktem Kniegelenk zum Roof-Impingement. Die VKB-Plastik weist einen gebogenen Verlauf um den anteroinferioren Anteil des Femurkondylendachs (Notch) auf. Typischerweise findet sich eine ödematöse Auftreibung der Plastik, was sich etwa 12 Wochen nach der Notch-Plastik normalisieren kann. Die Notch-Plastik ist eine Knochenentnahme am lateralen Femurkondylus, um den Konflikt zwischen der VKB-Plastik und dem Knochen zu beheben [14].

Abb. 9
figure 9

Roof-Impingement: In der sagittalen STIR(„short tau inversion recovery“)-Sequenz zeigt sich ein bogenförmiger Verlauf der Plastik. Die fokale Signalanhebung der Plastik im mittleren Drittel wird vermutlich durch ein Impingement gegen das Dach der Femurs hervorgerufen (Pfeil)

Diffuse Arthrofibrose

Histologisch handelt es sich bei der Arthrofibrose um eine überschießende fibröse Narbenbildung mit entzündlicher Zellinfiltration und synovialer Hyperplasie. Zumeist wird die VKB-Plastik von der Arthrofibrose umgeben und der Gelenksraum ausgekleidet. Durch die Kapselkontraktion wird eine Streck- und Beugehemmung begünstigt. Des Weiteren kann im Rahmen der diffusen Arthrofibrose eine Hypertrophie des Hoffa-Fettkörpers mit Ödem entstehen. Der Hoffa-Fettkörper wölbt sich in den Gelenkraum zwischen dem patellofemoralen und dem femorotibialen Gelenk hervor (Abb. 10). Ein erhöhtes Risiko für die Entstehung der Arthrofibrose besteht bei Patienten, die noch in der akuten posttraumatischen Phase operiert werden, oder nach verlängerter postoperativer Immobilisation.

Abb. 10
figure 10

Die ödematöse Hypertrophie des Hoffa-Fettkörpers stellt eine weitere Form der Arthrofibrose dar. In der sagittalen fettunterdrückten protonendichtegewichteten Sequenz wölbt sich der Hoffa-Fettkörper in den Gelenksraum hervor (Pfeil) und führt zu einer Streckhemmung

Fokale Arthrofibrose

Eine fokale Form der Arthrofibrose wird als Zyklopsläsion bezeichnet, da bei der Arthroskopie das fokale synoviale Gewebe/Narbengewebe bläulich schimmert und einem Zyklopenauge ähnelt. In der MRT imponiert die Zyklopsläsion nodulär mit niedrigem T1- und T2-gewichteten Signal oder intermediärem T2-Signal (Abb. 11). Dieses fokale Gewebe ist immer anterior zur VKB-Plastik gelegen und kann durch Einklemmung die Kniestreckung blockieren und zu Schmerzen führen. Die einzige Therapie für eine Zyklopsläsion ist die chirurgische Entfernung [15].

Abb. 11
figure 11

Zyklopsläsion, die 5 Jahre nach der VKB(vorderes Kreuzband)-Rekonstruktion zu einer Streckhemmung führte: Die 5 mm große runde Masse ist anterior zur Plastik gelegen und weist in der sagittalen fettsupprimierten protonendichtegewichteten Sequenz (a) und in der sagittalen T2-Sequenz (b) ein niedriges Signal auf

Komplikationen nach Patellasehnenplastik

Wird ein Teil der Patellasehne für die VKB-Plastik entnommen, kann dies zu vorderen Knieschmerzen führen. Einerseits kann überschießendes Narbengewebe zu Verklebungen der Faszien entlang der Patellasehne (Adhäsionen) führen und somit die Mobilität der Patellasehne einschränken. Andererseits kann die Entnahme des Knochenblocks am unteren Patellapol und an der tibialen Tuberositas Knochenschmerzen im Rahmen der Heilung verursachen oder sogar zu einer Patellafraktur führen. Das Signal der verbleibenden Patellasehne nach der Teilentnahme kann bis zu 12 Monate lang in T2 gewichteten Sequenzen erhöht sein. Im Laufe der Zeit verschließt sich der zentrale Defekt mit Narben‑/Granulationsgewebe und kann häufig eine Kaliberzunahme der Patellasehne zurücklassen.

Durch die Entnahme aus dem Streckbandapparat kann es zu einer Schwächung der Extensionskraft und somit der Quadrizepsmuskulatur kommen. Besteht zusätzlich eine ausgeprägte Fibrose der Patellasehne mit Verkürzung, führt dies zu einem Tiefstand der Patella (Patella baja; [16]). Dies wird Patella-Inferior-Syndrom genannt (Abb. 12).

Abb. 12
figure 12

In der sagittalen T1-Sequenz sind Irregularitäten der Patellasehne nach Patellasehnenentnahme und ein Tiefstand der Patella durch Kontraktion der Patellasehne und Schwächung der Quadrizepssehne erkennbar (Patella-Inferior-Syndrom)

Materialbrüche

Gebrochene oder dislozierte Interferenzschrauben oder Flipanker, die zur gelenkfernen Fixation verwendet werden, sind eher selten und werden besser mittels CT oder Projektionsradiografie befundet. Die erzeugten Metallartefakte in der MRT können die genaue Lokalisation der Schrauben oder Pins maskieren. Die bioresorbierbaren Interferenzschrauben haben den Vorteil, dass keine Metallartefakte in der postoperativen MRT vorliegen.

Fremdkörperreaktion

Osteolytische Veränderungen als Fremdkörperreaktion auf früher verwendete Polymerschrauben präsentieren sich als Lysesaum um die Schrauben [17]. Ganglien in den Tunneln wurden häufig nach Verwendung von bioresorbierbaren Schrauben gefunden und können einerseits den Tunnel erweitern (Abb. 5b) oder entlang des Implantats durch den Tunnel in die Weichteile wachsen und einen Weichteiltumor an der Tibiavorderkante verursachen (Abb. 13).

Abb. 13
figure 13

Ganglion im Bohrkanal und an der anteromedialen Tibiakante als Fremdkörperreaktion: Die koronare fettunterdrückte protonendichte Sequenz (a) zeigt eine Erweiterung des Kanals und polylobulierte flüssigkeitsäquivalente Massen an der Tibiakante (Pfeil in a). In der axialen fettunterdrückten protonendichtegewichteten Sequenz (b) ist ein Rest der bioresorbierbaren Schraube erkennbar (Pfeil in b). (Mit freundlicher Genehmigung aus [1])

Tibiatunnelsyndrom

Die Fixierung von Flipankern (z. B. Endobutton) konnten zu einer Bewegung der VKB-Plastik führen, die durch den sog. Scheiberwischereffekt (in axialer Ausrichtung) oder den Bungeebandeffekt (in longitudinaler Ausrichtung) den Tunnel aufweitet und zu einer Lockerung der Plastik führen kann. Das Risiko für eine Erweiterung der Bohrkanäle ist bei der Hamstring-Sehnen-Plastik erhöht [18]. Scherkräfte des Scheibenwischer- und des Bungeebandeffekts bewirken eine Lockerung und somit einen Zusammenstoß der Plastik mit dem knöchernen Tunnel. Dadurch erhöht sich die Wahrscheinlichkeit einer Ruptur oder Teilruptur der Plastik. Die femorale Fixierung von lateral durch die Plastik ermöglicht eine gelenknahe und feste Verankerung. Die Weite des Tunnels wird am zuverlässigsten in der CT in den axialen Schichten auf Höhe des Eintritts in das Tibiaplateau gemessen.

Postarthroskopische Infektion

Die postarthroskopische Infektion stellt mit einer Häufigkeit von weniger als 1 % ein geringes Risiko dar und kann in 0,3 % der Fälle eine Revision erfordern. Typische Befunde in der MRT sind eine verdickte Synovia mit Kontrastmittelaufnahme der Gelenkkapsel (Synovitis) und Gelenkerguss sowie Knochenmarködeme, peripher kontrastmittelanreichernde Flüssigkeitsansammlungen, die auf Abszesse hinweisen, oder intraossäre Abszesse.

Spätkomplikation

Die frühzeitige Osteoarthrose bei jungen Patienten wurde von Lohmander 2007 als „the young patients with old knees …“ beschrieben [3]. Die Häufigkeit der Osteoarthrose des Knies steigt, wenn Begleitverletzungen wie Meniskus- oder Knorpelschäden gleichzeitig zur VKB-Ruptur vorliegen. Weitere Faktoren wie Geschlecht, Alter, Body-Mass-Index (BMI), Muskelkraft, physische Aktivität und „return to sports“ nach der Verletzung beeinflussen das Risiko einer Osteoarthrose. Ein hoher BMI sowie intensive physische Aktivität führen bei chronischer Instabilität zu einer erhöhten Gelenkbelastung und somit zu einer beschleunigten Degeneration mit Knorpelabrieb. Dies kann mit starker Muskelkraft ausgeglichen werden. Eine verlängerte Rehabilitationszeit bis zur gänzlichen Rückkehr zur Sportaktivität kann sich positiv auf das Kniegelenk auswirken. Des Weiteren beeinflussen rheumatische Entzündungen, Infektionen und neuerliche Knieverletzungen die beschleunigte Osteoarthrose [19].

Fazit für die Praxis

  • Die Kenntnis der verschiedenen VKB(vorderes Kreuzband)-Rekonstruktions-Techniken ist erforderlich, um gezielt auf postoperative Komplikationen zu achten, die je nach „donor site“ unterschiedlich sind.

  • Das ödematöse Erscheinungsbild der VKB-Plastik nach 3 bis 12 Monaten wird durch die Synovialisation (Einsprossung von Gefäßen) erzeugt und sollte von einer Teilruptur abgegrenzt werden.

  • Begleitverletzungen der posterolateralen Ecke haben einen erheblichen Einfluss auf die Prognose der VKB-Rekonstruktion und sollten daher unbedingt in der präoperativen Magnetresonanztomographie (MRT) berücksichtigt werden.

  • Ein instabiles Kniegelenk nach Kreuzbandruptur erhöht das Risiko der Früharthrose.

Literatur

  1. Kramer J (Hrsg) (2013) MRI oft he Knee, 1. Aufl. Breitenseher Publisher, Horn Österreich. ISBN 978-3-9503296-9‑8

    Google Scholar 

  2. Dunn WR, Lyman S, Lincoln AE et al (2004) The effect of anterior cruciate ligament reconstruction on the risk of knee reinjury. Am J Sports Med 32:1906–1914

    Article  Google Scholar 

  3. Lohmander LS, Englund PM, Dahl LL, Roos EM (2007) The long-term consequence of anterior cruciate ligament and meniscus injuries: osteoarthritis. Am J Sports Med 35:1756–1769

    Article  Google Scholar 

  4. Rodeoe S, Arnoczky S, Torzilli P, Hidaka C, Warren R (1993) Tendon-healing in a bone tunnel. A biomechanical and histological study in the dog. J Bone Joint Surg Am 75:1795–1803

    Article  Google Scholar 

  5. Chen CH, Chuang TY, Wang KC, Chen WJ, Shih CH (2006) Arthroscopic anterior cruciate ligament reconstruction with quadriceps tendon autograft: clinical outcome in 4–7 years. Knee Surg Sports Traumatol Arthrosc 14(11):1077–1085

    CAS  Article  Google Scholar 

  6. Mott H (1983) Semitendinosus anatomic reconstruction for cruciate ligament insufficiency. Clin Orthop Relat Res 172:90–92

    Google Scholar 

  7. Muneta T, Sekiya I, Yagishita K, Ogiuchi T, Yamamoto H, Shinomiya K (1999) Two-bundle reconstruction of the anterior cruciate ligament using semitendinosus tendon with endobuttons: operative technique and preliminary results. Arthroscopy 15:618–624

    CAS  Article  Google Scholar 

  8. Pena E, Calvo B, Martinez MA et al (2006) Influence of the tunnel angle in ACL reconstructions on the biomechanics of the knee joint. Clin Biomech+ 21:508–516

    CAS  Article  Google Scholar 

  9. Recht MP, Piraino DW, Cohen MA et al (1995) Localized anterior arthrofibrosis (cyclops lesion) after reconstruction of the anterior cruciate ligament: MR imaging findings. AJR Am J Roentgenol 165:383–385

    CAS  Article  Google Scholar 

  10. Saupe N, White LM, Chiavaras MM et al (2008) Anterior cruciate ligament reconstruction grafts: MR imaging features at long-term follow-up-correlation with functional and clinical evaluation. Radiology 249:581–590

    Article  Google Scholar 

  11. Salmon L, Russell V, Musgrove T et al (2005) Incidence and risk factors for graft rupture and contralateral rupture after anterior cruciate ligament reconstruction. Arthroscopy 21:948–957

    Article  Google Scholar 

  12. MacDonald PB, Hedden D, Pacin O et al (1995) Effects of an accelerated rehabilitation program after anterior cruciate ligament reconstruction with combined semitendinosus-gracilis autograft and a ligament augmentation device. Am J Sports Med 23:588–592

    CAS  Article  Google Scholar 

  13. Wetzler M, Getelman M, Zimmer M (1998) Revision anterior cruciate ligament surgery: etiology of failures. Oper Tech Sports Med 6:64–70

    Article  Google Scholar 

  14. Howell SM, Berns GS, Farley TE (1991) Unimpinged and impinged anterior cruciate ligament grafts: MR signal intensity measurements. Radiology 179:639–643

    CAS  Article  Google Scholar 

  15. Recht MP, Kramer J (2002) MR imaging of the postoperative knee: a pictorial essay. Radiographics 22:765–774

    Article  Google Scholar 

  16. Paulos L, Wnorowski D, Greenwald A (1994) Infrapatellar contracture syndrome: Diagnosis, treatment and long-term follow-up. Am J Sports Med 22:440–449

    CAS  Article  Google Scholar 

  17. Bostman OM (1991) Osteolytic changes accompanying degradation of absorbable fracture fixation implants. J Bone Joint Surg Br 73:679–682

    CAS  Article  Google Scholar 

  18. Jansson KA, Linko E, Sandelin J, Harilainen A (2003) A prospective randomized study of patellar versus hamstring tendon autografts for anterior cruciate ligament reconstruction. Am J Sports Med 31:12–18

    Article  Google Scholar 

  19. Andriacchi TP, Mundermann A, Smith RL et al (2004) A framework for the in vivo pathomechanics of osteoarthritis at the knee. Ann Biomed Eng 32:447–457

    Article  Google Scholar 

Download references

Funding

Open access funding provided by Medical University of Vienna.

Author information

Affiliations

Authors

Corresponding author

Correspondence to C. Weidekamm MD, FRANZCR, MBA.

Ethics declarations

Interessenkonflikt

Gemäß den Richtlinien des Springer Medizin Verlags werden Autoren und Wissenschaftliche Leitung im Rahmen der Manuskripterstellung und Manuskriptfreigabe aufgefordert, eine vollständige Erklärung zu ihren finanziellen und nichtfinanziellen Interessen abzugeben.

Autoren

C. Weidekamm: Finanzielle Interessen: C. Weidekam gibt an, dass keine finanzieller Interessenkonflikt besteht. Nichtfinanzielle Interessen: angestellte Fachärztin für Radiologie bei TRG Imaging Ltd und am WDHB (University Hospital in Auckland).

Wissenschaftliche Leitung

Die vollständige Erklärung zum Interessenkonflikt der Wissenschaftlichen Leitung finden Sie am Kurs der zertifizierten Fortbildung auf www.springermedizin.de/cme.

Der Verlag

erklärt, dass für die Publikation dieser CME-Fortbildung keine Sponsorengelder an den Verlag fließen.

Für diesen Beitrag wurden vom Autor keine Studien an Menschen oder Tieren durchgeführt. Für die aufgeführten Studien gelten die jeweils dort angegebenen ethischen Richtlinien.

Additional information

Wissenschaftliche Leitung

S. Delorme, Heidelberg (Leitung)

P. Reimer, Karlsruhe

W. Reith, Homburg/Saar

C. Weidekamm, Wien

M. Uhl, Freiburg

J. Vogel-Claussen, Hannover

CME-Fragebogen

CME-Fragebogen

Welche Technik zur Rekonstruktion des vorderen Kreuzbands hat schlechte Langzeitergebnisse und wird deshalb eher bei älteren Patienten eingesetzt?

Quadrizepssehnenplastik

Patellasehnenplastik

Hamstring-Plastik

Kunststoffbänder

Plantarissehnenplastik

Wie erfolgt die Abklärung einer Ruptur der VKB(vorderes Kreuzband)-Plastik?

Mittels Sonografie

Mittels Projektionsradiografie

Allein durch die klinische Untersuchung

Mittels Computertomografie

Mittels Magnetresonanztomografie

3 Bei der MRT(Magnetresonanztomografie)-Untersuchung eines postoperativen Kniegelenks nach VKB(vorderes Kreuzband)-Plastik kontrollieren Sie deren korrekte Position. Der tibiale Bohrkanal misst 8 mm im axialen Durchmesser, verläuft sagittal parallel zur Blumensaat-Linie und beginnt anterior des ursprünglichen tibialen VKB-Ansatzes in einem 75°-Winkel zum Tibiaplateau in koronarer Ebene. Die Plastik ist femoral hoch befestigt. Was stimmt hier nicht?

Anteriorer Beginn der tibialen Bohrkanals

Orientierung entlang der Blumensaat-Linie

Weite des tibialen Bohrkanals

75°-Winkel

Hohe femorale Befestigung

Die VKB(vorderes Kreuzband)-Plastik zeigt postoperativ ein erhöhtes Signal durch Einsprossung von Gefäßen und Synovialzotten. In welchem Zeitraum ist dies in der Regel normal und sollte nicht mit einer Partialruptur verwechselt werden?

Bis zu 1 Monat

1 bis 3 Monate

3 bis 12 Monate

24 bis 36 Monate

36 bis 60 Monate

Welcher Faktor hat neben dem laxen Bandersatz einen erheblichen Einfluss auf die Prognose und damit auf das Versagen der VKB(vorderes Kreuzband)-Rekonstruktion?

Arthrofibrose

Unbehandelter Knorpelschaden

Postarthroskopische Infektion

Instabilität der posterlateralen Ecke

Fremdkörperreaktion

Welche Komplikation wird durch die chirurgische Technik der Notch-Plastik therapiert?

Roof-Impingement

Tuberositas-Knochenschmerzen

Zyklopsläsion

Fokale Arthrofibrose

Tibiatunnelsyndrom

Eine Beugehemmung kann als postoperative Komplikation auftreten. Welche Ursache kann dies haben?

Zyklopsläsion (fokale Arthrofibrose)

Hypertrophie des Hoffa-Fettkörpers

Diffuse Arthrofibrose

Ruptur der VKB(vorderes Kreuzband)-Plastik

Roof-Impingement

Welche Komplikation nach Patellasehnenplastik kann auftreten?

Patellahochstand (Patella alta)

Subluxation der Patella

Patellafraktur

Schwäche der Hamstring-Muskulatur

Morbus Osgood-Schlatter

Was führt nicht zum Tibiatunnelsyndrom?

Scheibenwischereffekt

Kunststoffbandersatz

Bungeebandeffekt

Hamstring-Sehnen-Plastik

Fixierung von Flipankern

Welcher Faktor wirkt dem Phänomen der frühzeitigen Osteoarthrose bei jungen Patienten als Spätkomplikation („young patients with old knees“) entgegen?

Verlängerte Rehabilitationszeit

Hoher Body-Mass-Index

Intensive physische Aktivität

Rheumatische Entzündungen

Begleitverletzungen wie Meniskus- oder Knorpelschäden

Rights and permissions

Open Access. Dieser Artikel wird unter der Creative Commons Namensnennung 4.0 International Lizenz veröffentlicht, welche die Nutzung, Vervielfältigung, Bearbeitung, Verbreitung und Wiedergabe in jeglichem Medium und Format erlaubt, sofern Sie den/die ursprünglichen Autor(en) und die Quelle ordnungsgemäß nennen, einen Link zur Creative Commons Lizenz beifügen und angeben, ob Änderungen vorgenommen wurden.

Die in diesem Artikel enthaltenen Bilder und sonstiges Drittmaterial unterliegen ebenfalls der genannten Creative Commons Lizenz, sofern sich aus der Abbildungslegende nichts anderes ergibt. Sofern das betreffende Material nicht unter der genannten Creative Commons Lizenz steht und die betreffende Handlung nicht nach gesetzlichen Vorschriften erlaubt ist, ist für die oben aufgeführten Weiterverwendungen des Materials die Einwilligung des jeweiligen Rechteinhabers einzuholen.

Weitere Details zur Lizenz entnehmen Sie bitte der Lizenzinformation auf http://creativecommons.org/licenses/by/4.0/deed.de.

Reprints and Permissions

About this article

Verify currency and authenticity via CrossMark

Cite this article

Weidekamm, C. Postoperatives Knie. Radiologe 60, 747–758 (2020). https://doi.org/10.1007/s00117-020-00718-x

Download citation

  • Published:

  • Issue Date:

  • DOI: https://doi.org/10.1007/s00117-020-00718-x

Schlüsselwörter

  • Kniegelenk
  • Rekonstruktion
  • Komplikationen
  • Bildgebung
  • Arthrofibrose

Keywords

  • Knee joint
  • Reconstruction
  • Complications
  • Imaging
  • Arthrofibrosis