Skip to main content

Ein Fall aus der Höhenmedizin

A case from the alpine medicine

Anamnese

Ein 15-jähriger Junge (Tourist), in gutem Gesundheitszustand, zeigte eine schleichende, innerhalb von 2–3 h auftretende und fortschreitende Dyspnoe am Anfang des Urlaubs beim Skifahren auf einem Gletscher im Schnalstal (über 2000 m ü. d. Meeresspiegel).

Klinischer Befund

Der Patient wurde wegen akut aufgetretenen Fiebers, Husten, starken Kopfschmerzen mit Atemnot und auffälligen weißen, schaumigem Auswurfs von der Skipiste per Hubschrauber in die Notaufnahme gebracht. Noch im Hubschrauber erhielt der Patient 500 mg Methylprednisolon i.v. Als Erstuntersuchung wurden ein EKG und ein Blutbild durchgeführt, wobei das EKG eine pulmonale Hypertonie anzeigte. Die anschließende angefragte Echokardiographie bestätigte den Verdacht einer pulmonalen Hypertonie bei normaler biventrikulärer systolischer Funktion.

Der Zustand des Patienten verbesserte sich zunehmend klinisch unter nichtinvasiver Ventilationstherapie innerhalb von 72 h, wobei er auch als Ergänzung eine orale antivirale Therapie (75 mg oral 2‑mal am Tag Oseltamivir) erhielt. Eine antibiotische Therapie wurde auch am Aufnahmetag begonnen, mehr als Vorsichtsmaßnahme, und zwar mit Ceftriaxon (1 g/Tag i.v.) und mit Azitromycin (500 mg/Tag i.v.). Diese Therapie wurde 7 Tage lang durchgeführt. Insgesamt war der Patient 9 Tage lang eingeliefert.

Labor

Bei der Ankunft in der Akutstation wurde eine Hämogasanalyse durchgeführt, mit folgenden Ergebnissen: Anteil an eingeatmetem Sauerstoff 21 % (FiO2, Normwert: 21 %), Sauerstoffpartialdruck 47 mm Hg (pO2, Normwert: 75–100 mm Hg), Kohlendioxidpartialdruck von 29 mm Hg (pCO2, Normwert: 35–45 mm Hg), einen D‑Dimer-Wert von 464 ng/ml (Normwert: <500 ng/ml), Procalcitonin von 0,16 ng/ml (Normwert: <0,05 ng/ml) und einer Anzahl von weißen Blutkörperchen von 26.610/ml (Normwert: 4000–10.000/ml). Weiters wurden mehrere Blutabnahmen zur Virus-Antikörper-Bestimmung durchgeführt, und zwar für das H1N1-Virus, für H3N2, für das Adenovirus, für das humane Meta-Pneumovirus 3, das Parainfluenza-Virus 1–4, das Bocavirus, und für das Coronavirus 229E und OC43, alle mit negativem Ausgang. Diese ausgedehnten Virus-Titer-Bestimmungen werden in der Pneumologie nur bei klinischen Notfällen durchgeführt, wobei man ein Ergebnis innerhalb von 3–6 h (wenn dringend eingestuft) erhält. Auch die Bestimmung von Autoimmun-Antikörpern verlief negativ. Blutkulturen für aerobe und anaerobe Bakterien blieben negativ. Auch zeigte sich keine Erhöhung des C‑reaktiven Proteins.

Laut dem „Lake Louise Consensus of the Definition of Altitude Illness“ hatte dieser Patient einen Punkte-Score von 6 und damit mehr als pathologisch (ab 3 Punkte spricht man von einer AMS – „acute mountain sickness“).

Radiologische Diagnostik

Nach der Aufnahme in die Notaufnahme wurde weiters ein Röntgen-Thorax in der p.-a.-Projektion im Liegen während der Akutdiagnostik durchgeführt (Abb. 1).

Abb. 1
figure 1

Bilaterale multiple, vorwiegend perihiläre, vaskuläre und interstitielle Konsolidierungen, deutlicher auf der linken Seite ausgeprägt (weiße Pfeile). Normaler Herzschatten

Dabei zeigten sich multiple perivaskuläre und interstitielle perihiläre, konfluierende Transparenzminderungen in Ober- und Mittellappenanteilen, ohne Zeichen der kardialen Dekompensation, am ehesten mit einem akuten Lungenödem vereinbar. Da die Echokardiographie eine pulmonale Hypertension moderaten Grades zeigte, entschied man sich für die Durchführung einer Thorax-Computertomographie zum Ausschluss einer Lungenembolie, und zwar mit der Einverständniserklärung der Eltern, auch wenn die akute Lungenembolie eine eher unwahrscheinliche Verdachtsdiagnose bei einem 15-Jährigen war (Abb. 2 und 3).

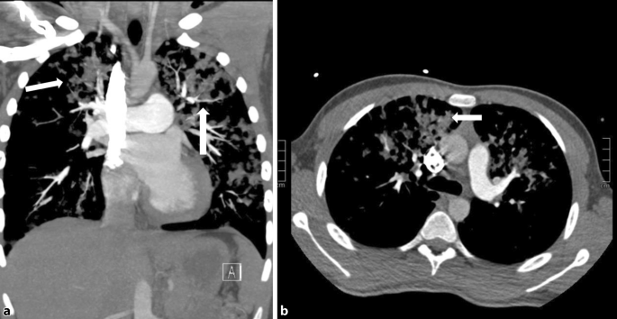
Abb. 2
figure 2

Lungenparenchym-Fenster axial mit bilateralen multiplen, vorwiegend perihilären, vaskulär-interstitiellen Konsolidierungen (oranger Pfeil)

Abb. 3
figure 3

Koronare (a) und axiale (b) Schichtführung mit unklaren vorwiegend perivaskulär angeordneten Konsolidierungen perihilär bds. (weiße Pfeile)

Die CT-Untersuchung zeigte dabei keine Füllungsdefekte in den Lungenarterien, sondern multiple, fleckige Parenchymkonsolidierungen mit perivaskulärer und interstitieller Disposition beidseits, unklarer Genese. Fünf Tage nach Therapiebeginn wurde ein erneutes Kontroll-Röntgen durchgeführt, das keine Konsolidierungen mehr zeigte (Abb. 4).

Abb. 4
figure 4

Fünf Tage nach symptomatischer Therapie normales p.-a.-Thorax-Röntgen

Differenzialdiagnosen

Differenzialdiagnostisch kommt eine Pneumonie als Erstes in Betracht, wobei negative Blutkulturen, negative Virus-Antikörper und eine fehlende Erhöhung des C‑reaktiven Proteins dieses Krankheitsbild eher ausschließen. Eine weitere wichtige Differenzialdiagnose stellt die akute Herzinsuffizienz dar.

Da dieser Patient aber nur eine moderate pulmonale Hypertonie im Echokardiogramm zeigte und keine anderen kardialen Vorerkrankungen hatte, blieb diese Diagnose sehr unwahrscheinlich.

Für den Pneumologen war hingegen eine Lungenembolie nicht mit Sicherheit auszuschließen, wobei ein D‑Dimer-Wert von 464 ng/ml diese Hypothese eher unwahrscheinlich machte. Als weitere Differenzialdiagnosen kommen ein akutes Koronarsyndrom, eine akute Bronchitis, reaktive Atemwegserkrankungen und eine bewegungsassoziierte Hyponatriämie in Frage.

Nachdem der anfängliche Verdacht einer akuten Pneumonie und seltene kardiogene Ursachen schnell ausgeschlossen werden konnten, wurde ein akutes Höhenlungenödem (HAPE) als wahrscheinlichste Diagnose gestellt. Die anschließende Behandlung erfolgte symptomatisch mit nichtinvasiver Beatmung, Antibiotika und einer antiviralen Therapie, worauf es zu einer raschen Besserung kam und der Patient nach 9 Tagen wieder entlassen werden konnte.

Wie lautet Ihre Diagnose?

Diagnose: Höhenlungenödem (HAPE – „high altitude pulmonary edema“)”

Definition

Das Lungenödem in großer Höhe muss in Akutstationen in Berggebieten wie dem Himalaya, in alpinen Regionen und anderen Regionen der Welt mit Höhen von über 2000 m als Notfall berücksichtigt werden. Es wird auch bei Einheimischen, die in großer Höhe wohnen, diagnostiziert, wenn sie in geringere Höhe absteigen und dann ebenfalls in große Höhen zurückkehren [1]. Das Höhenlungenödem ist ein akutes nichtkardiogenes Lungenödem, das durch eine hypoxische Lungenvasokonstriktion verursacht wird [1, 2]. Dabei wird die Wirkung von Stickoxid verstärkt, indem er den Abbau von zyklischem Guanosinmonophosphat blockiert. Glukokortikoide können die Funktionen der kapillaren Endothelzellen und des Alveolarepithels verbessern und sind bei der Behandlung von akuter Bergkrankheit und vermutetem Hirnödem indiziert. Bei schneller Behandlung hat das Höhenlungenödem eine gute Prognose. Typischerweise wird diese Form des Lungenödems bei Menschen beobachtet, die von einer niedrigeren bis zu einer höheren Höhe aufsteigen [3,4,5]. Die zugrunde liegende Pathophysiologie ist eine vaskuläre hypoxische pulmonale Gefäßverengung, die zu erhöhten mikrovaskulären Drücken führt. Der daraus resultierende hydrostatische Druck verursacht dynamische Veränderungen in der Permeabilität der alveolären Kapillarbarriere und mechanische Schäden, die bei fehlender Entzündung zum Austritt großer Proteine und Erythrozyten in den Alveolarraum führen [2].

Therapie und Verlauf

Die Behandlung des Höhenlungenödems besteht in der sofortigen Verbesserung der Sauerstoffversorgung entweder durch zusätzlichen Sauerstoff, durch eine hyperbare Behandlung oder durch schnelles Absteigen [6]. Pharmakologische Therapien wie Nifedipin, Tadalafil oder Dexamethason sind weitere Therapiemöglichkeiten. Nifedipin ist ein unspezifischer Kalziumkanalblocker, der den pulmonalen Gefäßwiderstand und den Sauerstoff-Partialdruck reduziert.

Fazit für die Praxis

  • Das Höhenlungenödem ist eine nichtkardiogene Ödemform, die durch eine hypoxische Lungenvasokonstriktion verursacht wird.

  • Im Thorax-Röntgen erkennt man bilaterale peribronchovaskulär angeordnete, meist fleckförmige Lungenverschattungen, bei normalem Herzschatten.

  • Klinische Symptome beginnen innerhalb von 2–5 Tagen nach der Ankunft in großer Höhe. Häufige Symptome sind Atemnot mit schaumigem Auswurf, Husten, Kopfschmerzen, Fieber und Schwäche.

  • Die wichtigsten Differentialdiagnosen sind die akute Pneumonie, das akute kardiogene Lungenödem und die akute Lungenembolie.

Literatur

Verwendete Literatur

  1. Das BB, Wolfe RR, Chan KC, Larsen GL, Reeves JT, Ivy D (2004) High-altitude pulmonary edema in children with underlying cardiopulmonary disorders and pulmonary hypertension living at altitude. Arch Pediatr Adolesc Med 158:1170–1176. https://doi.org/10.1001/archpedi.158.12.1170

    Article  PubMed  Google Scholar 

  2. Swenson ER, Bartsch P (2012) High-altitude pulmonary edema. Compr Physiol 2:2753–2773. https://doi.org/10.1002/cphy.c100029

    Article  PubMed  Google Scholar 

  3. Bartsch P, Swenson ER (2013) Acute high-altitude illnesses. N Engl J Med 369:1666–1667. https://doi.org/10.1056/NEJMc1309747

    CAS  Article  PubMed  Google Scholar 

  4. Hultgren HN, Honigman B, Theis K, Nicholas D (1996) High-altitude pulmonary edema at a ski resort. West J Med 164(3):222–227

    CAS  PubMed  PubMed Central  Google Scholar 

  5. Luks AM, McIntosh SE, Grissom CK, Auerbach PS, Rodway GW, Schoene RB et al (2014) Medical Society practice guidelines for the prevention and treatment of acute altitude illness: 2014 update. Wilderness Environ Med 25:S4–S14. https://doi.org/10.1016/j.wem.2014.06.017

    Article  PubMed  Google Scholar 

  6. Paralikar SJ (2012) High altitude pulmonary edema-clinical features, pathophysiology, prevention and treatment. Indian J Occup Environ Med 16(2):59–62. https://doi.org/10.4103/0019-5278.107066

    Article  PubMed  PubMed Central  Google Scholar 

Weiterführende Literatur

  1. Roach RC, Hackett PH, Oelz O, Bärtsch P, Luks AM, MacInnis MJ, Baillie JK (2018) The 2018 Lake Louise Acute Mountain Sickness Score. High Alt Med Biol 19(1):4–6. https://doi.org/10.1089/ham.2017.0164

    Article  PubMed  PubMed Central  Google Scholar 

Download references

Author information

Affiliations

Authors

Corresponding author

Correspondence to S. Stuppner.

Ethics declarations

Interessenkonflikt

S. Stuppner, A. Ruiu, E. Stirpe und L. Bonazza geben an, dass kein Interessenkonflikt besteht.

Für diesen Beitrag wurden von den Autoren keine Studien an Menschen oder Tieren durchgeführt. Für die aufgeführten Studien gelten die jeweils dort angegebenen ethischen Richtlinien. Für Bildmaterial oder anderweitige Angaben innerhalb des Manuskripts, über die Patienten zu identifizieren sind, liegt von ihnen und/oder ihren gesetzlichen Vertretern eine schriftliche Einwilligung vor.

Additional information

Redaktion

T. Helmberger, München

Rights and permissions

Reprints and Permissions

About this article

Verify currency and authenticity via CrossMark

Cite this article

Stuppner, S., Ruiu, A., Stirpe, E. et al. Ein Fall aus der Höhenmedizin. Radiologe 60, 269–272 (2020). https://doi.org/10.1007/s00117-020-00650-0

Download citation

  • Published:

  • Issue Date:

  • DOI: https://doi.org/10.1007/s00117-020-00650-0