Haemoproteus Species
Synonyms
Haemamoeba (partim); Haemocystidium (partrim); Halteridium; Laverania (partim)
Etiology
Haemoproteus parasites are classified as members of the phylum Apicomplexa (syn. Sporozoa), order Haemosporida, family Haemoproteidae.
Important Species
Different morphological forms of mature gametocytes of Haemoproteus spp. from the blood of the Eurasian Sparrowhawk Accipiter nisus (1, 5), the Common Blackbird Turdus merula (2, 6), the Tawny Owl Srix aluco (3, 7) and the Rock Dove Columba livia (4, 8): 1–4 – macrogametocytes, 5–8 – microgametocytes of Haemoproteus (Parahaemoproteus) nisi (1, 5), Haemoproteus (Parahaemoproteus) minutus (2, 6), Haemoproteus (Parahaemoproteus) syrnii (3, 7), and Haemoproteus (Haemoproteus) columbae (4, 8). These species can be readily distinguished based on morphology of their blood stages due to markedly different size and shape of mature gametocytes, different size and shape of pigment granules, different patterns of growth in infected erythrocytes, and presence of volutin granules in some gametocytes. Arrows – nuclei of parasites. Triangle arrowheads – pigment granules. Simple arrowheads – volutin granules. Giemsa-stained thin blood films. Bar = 10 μm
Important Haemoproteus species
| Subgenus and species | Type avian host | Vector | Distribution | Pathogenicity |
|---|---|---|---|---|
| Haemoproteus | ||||
| H. columbae | Columba livia | Pseudolynchia canariensis Pseudolynchia brunnea Microlynchia pusilla | Mainly countries with warm climates | −/+ |
| H. palumbis | Columba palumbus | Ornithomyia avicularia Pseudolynchia canariensis | Eurasia | Unknown |
| H. iwa | Fregata minor | Probably Olfersia spinifera | Oceanic islands | Unknown |
| Parahaemoproteus | ||||
| H. handai | Psittacula cyanocephala | Culicoides nubeculosus | Widespread in tropics | −/+ |
| H. lophortyx | Lophortyx californica | Culicoides bottimeri | Nearctic | −/++ |
| H. mansoni (syn. H. meleagridis) | Lagopus scoticus | Culicoides edeni and many other Culicoides spp. | Holarctic | −/++ |
| H. minutus | Turdus merula | Unknown | Palearctic | −/++ |
| H. nettionis | Anas castanea | Culicoides downesi | Cosmopolitan | −/+ |
| H. passeris | Passer hispaniolensis | Culicoides spp., needs to be identified | Cosmopolitan | −/+ |
| H. tartakovskyi | Loxia curvirostra | Culicoides impunctatus | Palearctic | Unknown |
| H. parabelopolskyi | Sylvia atricapilla | Culicoides impunctatus | Palearctic | −/+ |
Main Diagnostic Characters
Haemosporidian parasites with merogony (schizogony) in cells of fixed tissues of vertebrate hosts. Merogony is absent from circulating blood cells. Gametocytes develop in red blood cells and contain malarial pigment (hemozoin) (Fig. 1). Sexual process and sporogony take place in biting midges (Ceratopogonidae) and louse flies (Hippoboscidae). Widespread parasites of birds; several Haemoproteus species have been described in reptiles, but their relationships with bird parasites remain insufficiently studied.
Vector stages of Haemoproteus (Parahaemoproteus) fringillae (1–6, 8) and Haemoproteus (Haemoproteus) palumbis (7, 9): 1 – macrogamete, 2 – microgamete, 3 – fertilization of macrogamete with microgamete, 4 – zygote, 5 – ookinete, 6, 7 – oocysts, 8, 9 – sporozoites. Note the presence of a “vacuole” in zygote (4); large size of the H. palumbis oocyst, which possesses numerous roundish germinative centres (7); sporozoites, which are with approximately equally pointed ends in species of the subgenus Parahaemoproteus (8), but with one end more pointed than the other in species of the subgenus Haemoproteus (9). Short arrows – nuclei of parasites. Triangle arrowheads – pigment granules. Simple arrowhead – a “vacuole”. Long arrows – oocysts. Giemsa-stained thin blood films (1–5, 8, 9), a whole mount of the midgut of Culicoides impunctatus (6), and a formalin fixed and haematoxylin-eosin stained histological section of the midgut of hippoboscid fly Ornithomyia avicularia (7). Bars: images 1–6, 8, 9 = 10 μm, image 7 = 50 μm
Life Cycle and Epizootiology
The life cycle of Haemoproteus parasites is obligate heteroxenous. The parasites develop in vertebrates (mainly birds) and vectors, which are blood-sucking dipterans belonging to the Ceratopogonidae and Hippoboscidae. Sexual process takes place in the vectors. Complete life cycles and details of development remain unknown for the great majority of described species. The exoerythrocytic development has been fragmentarily investigated, but knowledge on this issue is particularly important for better understanding pathology caused by these parasites.
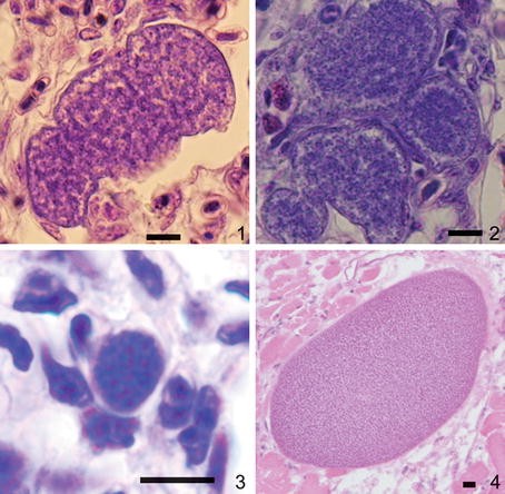
Mature tissue stages of Haemoproteus (Parahaemoproteus) attenuatus in lungs (1) and spleen (2) of the European Robin Erithacus rubecula, Haemoproteus (Haemoproteus) palumbis in lungs of the Common Wood Pigeon Columba palumbus (3), and Haemoproteus (Parahaemoproteus) mansoni in pectoral muscle of the Wild Turkey Meleagris gallopavo. Note the markedly different size and shape of nearly mature exoerythrocytic meronts (1–3) and megalomeronts (4) in different parasite species. Bars = 10 μm
In some species (Haemoproteus handai, Haemoproteus mansoni), huge meronts (megalomeronts) develop in the endothelial cells of capillaries, in myofibroblasts of the skeletal musculature, in the heart muscle, and sometimes in other muscular organs. Megalomeronts are significantly larger than meronts developing in the lungs and other organs (Fig. 3, 4). The length of the largest megalomeronts exceeds 400 μm; they can be observed without microscope on surfaces of the damaged organs. Megalomeronts reach maturity between 2 and 3 weeks post exposure and rupture to release small numerous spherical merozoites. As a result of the exoerythrocytic merogony, there is an avalanche growth of the initial source of infection. Exoerythrocytic merozoites initiate a new cycle of the merogony and/or invade erythrocytes and develop into gametocytes (Fig. 1).
Prepatent period for the majority of investigated Haemoproteus species varies between 10 and 17 days. Gametocytes develop in mature erythrocytes (Fig. 1, 1–8). More than one (sometimes up to 15) merozoites can penetrate into an individual erythrocyte. Multiple infection of one erythrocyte by several parasites is a function of the intensity of parasitemia. Usually, one or two parasites gain the maturity. Malaria pigment (hemozoin) is the product of digestion of host hemoglobin; it is well visible in gametocytes as discrete granules of golden-brown, brown, or black color (Fig. 1, 2, 5, 7). The number, form, and position of pigment granules in gametocytes are important characters used in taxonomy on species level. Together with the true malarial pigment (hemozoin), more or less compact gatherings of matter called volutin are often found in the gametocytes of certain species (Fig. 1, 3, 7). The granules of volutin, if stained by Giemsa, usually obtain various hues of the violet color and sometimes have azurophilic tints. They are usually readily distinguishable from pigment granules by their lesser light refraction. In some species, volutin granules are associated with pigment granules, making the latter difficult to visualize (Fig. 1, 4, 8). The nature and role of volutin granules are still not completely understood in Haemoproteus spp. Gametocytes capable of gametogenesis appear within 2–6 days after penetrating of merozoites in erythrocytes. Afterward, the capability of gametocytes to produce gametes decreases. A small number of viable gametocytes (often less than 1 per 1000 erythrocytes) is usually maintained in the blood of infected birds due to the weak merogony in internal organs during the period, when transmission occurs in nature.
Gametocytes possess the sexual potency (they produce gametes). Gametocytes, which produce macrogametes, are known as macrogametocytes (Fig. 1, 1–4), as distinct from microgametocytes (Fig. 1, 5–8), which produce microgametes. Macrogametocytes are usually easily distinguishable from microgametocytes due to their sexual dimorphic characters (compare Fig. 1, 1–4 with Fig. 1, 5–8), which are a more intense staining of the cytoplasm with Giemsa and a compact nucleus with clear margin (there are exceptions). Pigment granules (hemozoin) tend to gather at the ends of elongate gametocytes in microgametocytes (Fig. 1, 5, 8), which is not generally a characteristic of macrogametocytes (there are exceptions). Morphology of gametocytes and the patterns of their impact on infected erythrocytes are important taxonomic characters used for Haemoproteus species identification (Fig. 1). Gametocytes are infective for vectors.
The parasites persist in birds. Once infected and having survived the initial infection, a bird usually maintains the parasites for many years or even for the lifelong period, thus being the source of infection for vectors. A relapse of parasitemia occurs in most of Haemoproteus species during the reproduction period of vertebrate hosts; that facilitates infection of vectors and transfer of infection to the offspring. Mechanism of relapse remains insufficiently investigated. Gonadotrophic hormones are likely involved. Experimental evidence suggests that increases in photoperiod and subsequent physiological changes in levels of hormones such as melatonin, which regulate circadian rhythms, are important stimuli for initiating relapses among species of Haemoproteus in temperate regions.
Gametocytes undergo gametogenesis (Fig. 3, 1, 2) in the midgut of the vectors, resulting in a sexual process of the oogamy type (Fig. 3, 3). This process is extremely rapid and occurs within several minutes after ingestion of mature gametocytes. Main stimuli for the beginning of the gametogenesis are the fall in temperature and the change of the oxygen and carbon dioxide concentration, when the blood is transferred from the vertebrate host to the vector. Sexual process can be readily induced in vitro conditions when blood containing mature gametocytes is exposed to air. A macrogametocyte produces one rounded macrogamete (Fig. 3, 1), while microgametocytes undergo the exflagellation and form eight motile thread-like microgametes (Fig. 3, 2). Fertilization occurs extracellularly (Fig. 3, 3). Zygote (Fig. 3, 4) is transformed into an elongate motile ookinete (Fig. 3, 5). The latter penetrates through a peritrophic membrane and through the epithelial layer of the midgut. The length of microgametes, morphological features of zygotes, patterns of zygote transformation into ookinete, the sizes of ookinetes, and the rate of ookinete formation under standard conditions markedly differ in many Haemoproteus species. The ookinetes round up under the basal lamina and develop into oocyst, which is surrounded by a capsule-like wall built from the material of the host (Fig. 3, 6, 7). During oocyst development (sporogony), numerous uninuclear elongate bodies (sporozoites) develop (Fig. 3, 8, 9). After maturation of oocysts, the sporozoites get into the hemocoele and next penetrate into the salivary glands of the vector. Sporozoites are infective for birds. Transmission occurs when sporozoites are injected by the vector into the vertebrate hosts with salivary gland secretion during its blood meal.
It is worth noting that, contrary to the closely related malaria parasites of the genus Plasmodium, the gametogenesis in Haemoproteus parasites does not require additional stimuli, e.g., the presence of vector-derived xanthurenic acid and blood-derived factors. As a result, the extensive sexual process and ookinete development of Haemoproteus spp. occur in the digestive tract located not only in the midgut but also in the head (foregut) and thorax (thoracic midgut) areas of the fully engorged dipteran insects. That results in presence of ookinetes and sometimes even initial stages of oocysts’ development, throughout the body of blood-sucking insects. However, mature oocysts have been observed only in the midgut.
Sporogony of Haemoproteus species developing in biting midges and louse flies is different. The majority of the investigated species of bird hemoproteids develop in biting midges belonging to Culicoides. Small oocysts (<20 μm in diameter) with one germinative center and < 100 sporozoites develop in this case (Fig. 3, 6). The average length of sporozoites exceeds 10 μm; their ends are more or less approximately equally pointed (Fig. 3, 8). Sporogony in biting midges usually completes faster than in 10 days, which is the adjustment to a relatively short (7–10 days) gonadotrophic cycle of the midges. Sporogony of the species developing in louse flies is characterized by a longer development of oocysts (often ≥ 10 days), in which multiple germinative centers and several hundreds of sporozoites are formed (Fig. 3, 7). This type of development, which is not exactly synchronized with blood meal, is an adjustment to the mode of life of relatively long-living louse flies, which spend a long time on birds. The diameter of mature oocysts usually is > 20 μm. For example, oocysts of Haemoproteus columbae reach 40 μm or even more in diameter. The average length of sporozoites is usually less than 10 μm; one end of the sporozoites is more pointed than the other (Fig. 3, 9).
Mature oocysts usually burst, and sporozoites penetrate into the hemocoele of the vectors. Gradual release of sporozoites from oocysts was also observed in several species of Haemoproteus. A part of sporozoites gather in the salivary glands of blood-sucking insects, which become capable to infect birds during their next blood meal.
Distribution
Species of Haemoproteus are widespread in birds in countries with temperate and tropical climates. They are absent from high arctic tundra. The diversity of species and their haplotypes is greatest in countries with warm climates, particularly in the tropics. Haemoproteus parasites usually are rare in birds on oceanic islands; exceptions are frigate birds and some species of seagulls. The latter two groups of birds are often prevalently infected with hippoboscid transmitted species of Haemoproteus. For unclear reasons, Haemoproteus parasites have been rarely reported in birds belonging to primitive orders (Sphenisciformes, Gaviiformes, Podicipediformes, Procellariiformes, Tinamiformes, Apterygiformes, Struthioniformes), but they are common and often prevalent among species of evolutionary relatively young orders, particularly of the Passeriformes and also of the Falconiformes, Strigiformes, Anseriformes, Gruiformes, Columbiformes, and Coraciiformes.
Pathogenicity
Pathogenicity in Avian Hosts
The pathogenic impact of Haemoproteus parasites on their avian hosts is rather complicated, diverse, but remains insufficiently investigated for the great majority of described species. Many investigated parasites are likely relatively benign for adapted avian hosts. However, there are exceptions. For example, nestlings of the Blackcap Sylvia atricapilla infected with Haemoproteus parabelopolskyi, which is a widespread parasite in this bird species, lose their weight in comparison to uninfected birds of the same age, but clinical signs or mortality were not seen. Many recent studies have reported reduced survival in wild birds infected with Haemoproteus and negative effects of this infection on indices of immunity, body condition, and reproductive success of their hosts. There is growing evidence for a trade-off between reproductive effort and resistance to parasites, particularly when food resources are limited.
Clinical signs usually are not visible during low-intensity Haemoproteus infections but can become evident during acute stage of infections when parasitemias and numbers of tissue meronts reach high intensities. Elevation in numbers of circulating white blood cells (lymphocytes, heterophils, basophils, eosinophils, and monocytes) has been observed during Haemoproteus infections. Anemia develops at high parasitemia. During heavy Haemoproteus columbae infections the lungs of pigeons are overfilled with meronts, which block the capillaries, resulting in development of pneumonia-like symptoms, which sometimes may cause death of chicks, but adult birds usually tolerate the infection. The inflammatory reaction around meronts often is pronounced. A great amount of insoluble pigment is accumulated in the macrophages of the spleen and liver; these organs obtain black hue.
Development of Haemoproteus handai in parrots, Haemoproteus mansoni (syn. Haemoproteus meleagridis) in turkeys, and some other parasites is accompanied by the formation of huge tissue stages (megalomeronts) in the endothelial cells of capillaries, in the myofibroblasts of the skeletal muscles (Fig. 3, 4), and in the heart muscle. A capsule-like wall is developed around megalomeronts; an inflammatory reaction is observed. Rupture of megalomeronts leads to the formation of large necrotic nidi; the myopathy often develops. Calcificates appear in the tissues adjacent to megalomeronts. Haemoproteus mansoni causes hemoproteosis in domestic turkeys. Heavily infected birds can perish, while those who survived slowdown in growth and their egg-laying qualities decrease. Megalomeronts of this parasite develop in the skeletal muscles causing necrosis of the muscular tissues (Fig. 3, 4). Lameness is a characteristic clinical manifestation of the disease in heavily infected birds. The lesions due to megalomeronts often are grossly visible as white flecks or dark hemorrhagic streaks on the surface of the damaged organs. The myopathy associated with the development of megalomeronts in the skeletal muscles and heart has been occasionally reported in domestic chickens, but etiology of the chicken infection remains unclear. Haemoproteus sp. causes seasonal lethal myopathy in the Pied Currawong Strepera graculina in Australia; numerous megalomeronts develop in skeletal, cardiac, and gizzard musculature, but gametocytes appear in the blood only in birds surviving the acute myopathy.
Some widespread species and lineages of Haemoproteus spp. are relatively benign in naturally adapted hosts but might cause lethal disease in nonadapted birds. This has been demonstrated in several recent studies in America, Europe, and Australia using a combination of the histopathology and PCR-based methods. However, the true extent of pathology and mortality caused by Haemoproteus parasites remains unclear because the severe hemoproteosis and death of infected birds occur mainly during the tissue stage of parasite development, before the appearance of parasitemia. Such abortive infections are difficult to diagnose using blood samples either by microscopy or PCR-based tools because gametocytes are absent from the circulation. Morphologically, the tissue stages of Haemoproteus spp. in dead hosts resemble the megalomeronts of Leucocytozoon spp. That is why mortality in birds due to unusual pathology in internal organs and muscles was formerly described as an “aberrant Leucocytozoon infection.” Recent PCR-based findings indicate that species of Haemoproteus are responsible for some instances of mortality in birds. Mortality of captive parrots due to tissue stages of Haemoproteus minutus in Europe is an example (Palinauskas et al. 2013). This parasite is widespread and relatively benign in the Common Blackbird Turdus merula in Europe, but it kills many species of captive parrots on the stage of megalomeronts, if these birds are exposed to the infection. In the affected parrots, the megalomeronts have been reported in myocardial and skeletal muscles and, to a lesser extent, in the lung and the smooth muscles of the intestinal tract. Parasitemia does not develop, thus the infection is difficult to diagnose using microscopic tools. Due to application of molecular diagnostic methods, the traditional opinion about the harmlessness and insignificant veterinary importance of avian hemoproteids is ongoing partial reconsideration. Haemoproteus parasites are worth more attention in veterinary medicine and in bird conservation projects.
Pathogenicity in Blood-Sucking Insects
Light chronic Haemoproteus infections (parasitemia < 0.1 %) are predominant in wildlife; such infections are relatively benign for vectors. However, high Haemoproteus infections (parasitemia > 1 %) are also common, particularly during bird breeding seasons; such infections are virulent both in coevolved and not coevolved vector-parasite associations. The life span of blood-sucking insects is inversely proportional to the intensity of gametocytemia in birds, on which they feed. Mortality rate of biting midges fed on heavily infected birds is usually high. Recent studies indicate that Haemoproteus infections negatively influence fitness of louse flies and biting midges.
It is important to note that Haemoproteus parasites cannot complete sporogony in mosquitoes (Culicidae), but they are virulent for the bird-biting mosquitoes, which rapidly die after feeding on heavily infected blood meals. Haemoproteus infections are more virulent to mosquitoes than Plasmodium infections. Exposed mosquitoes die due to numerous ookinetes, which develop throughout entire digestive tracts of fully engorged insects, including the head (foregut) and thorax (thoracic midgut) soon after the exposure; this is not a case during Plasmodium infections. Ookinetes of Haemoproteus parasites find no barrier in their way from gut contents to the adjacent tissues of the head and thorax; these parasites cause marked physical damage throughout the body of the mosquitoes. That contributes to high virulence of Haemoproteus parasites in blood-sucking insects.
Diagnosis
A combination of the microscopic examination of Giemsa-stained thin blood smears and the polymerase chain reaction (PCR)-based methods is the gold standard. The PCR-based diagnostic methods using general primers are sensitive in the detection of light parasitemia and the identification of species, particularly on tissue stages. However, this tool markedly underestimates coinfections of parasites belonging to the same and different genera of hemoproteids and also Plasmodium spp.; microscopic examination of blood films helps to minimize this shortcoming of the molecular detection.
Immunity
Virtually nothing is known about immune mechanisms in hemoproteid infections. Domestic pigeons with chronic parasitemia of H. columbae acquire immunity (premunition) which is being lost while gametocytes disappear from the blood. Widespread coinfections of different species of Haemoproteus indicate that a cross immunity does not develop.
Prevention and Treatment
Prevention is based on the protection of birds from bites of vectors during periods when blood-sucking dipteran insects are abundant and active (usually the rainy warm seasons of a year). Small groups of birds or expensive individuals are put in cages or aviaries covered with fine-mesh bolting silk (a mosquito-net effect); that prevents birds from bites of vectors. Treatment has been insufficiently developed. Atebrine, plasmochin, chloroquine sulfate, primaquine, mefloquine, and buparvaquone are effective for reducing parasitemia, but these drugs usually do not affect tissue stages.
Notes
Acknowledgments
G. Valkiūnas is grateful to C. T. Atkinson for providing preparations of megalomeronts of Haemoproteus mansoni and T. A. Iezhova for technical assistance during preparation of the illustration plates in chapter Haemoproteus.
References
- Palinauskas V, Iezhova TA, Križanauskienė A, Markovets MY, Bensch S, Valkiūnas G (2013) Molecular characterization and distribution of Haemoproteus minutus (Haemosporida, Haemoproteidae): a pathogenic avian parasite. Parasitol Int 62:358–363PubMedCrossRefGoogle Scholar
Further Reading
- Atkinson CT (2008) Haemoproteus. In: Atkinson CT, Thomas NJ, Hunter BC (eds) Parasitic diseases of wild birds. Wiley-Blackwell, Ames, pp 13–35CrossRefGoogle Scholar
- Cannell BL, Krasnec KV, Campbell K et al (2013) The pathology and pathogenicity of a novel Haemoproteus spp. infection in wild Little Penguins (Eudyptula minor). Vet Parasitol 197:74–84PubMedCrossRefGoogle Scholar
- Telford SR (2009) Hemoparasites of the Reptilia. CRC Press, Boca RatonGoogle Scholar
- Valkiūnas G (2005) Avian malaria parasites and other haemosporidia. CRC Press, Boca RatonGoogle Scholar
- Valkiūnas G, Kazlauskienė R, Bernotienė R, Bukauskaitė D, Palinauskas V, Iezhova TA (2014) Haemoproteus infections (Haemosporida, Haemoproteidae) kill bird-biting mosquitoes. Parasitol Res 113:1011–1018PubMedCrossRefGoogle Scholar


