Imaging of Neck Injuries
Synonyms
Definition
Imaging of neck injuries encompasses all imaging-based methods by which patients with suspected or known traumatic neck injuries may be assessed including plain film radiography, fluoroscopic examinations, computed tomography (CT), magnetic resonance imaging (MRI), and catheter angiography.
Preexisting Condition
Anatomic constraints within the neck result in close proximity of many vital structures. As such, trauma to this region may affect a single or multiple organ systems including injury to the aero-digestive tract, vasculature, and/or spine. Initial assessment of patients with suspected neck injury is aimed at identifying those who are unstable or exhibit clear evidence of vascular or aero-digestive tract injury as these individuals should proceed directly to surgical exploration without delay for imaging evaluation (Inaba et al. 2012). The possibility of cervical spine injury including fracture, dislocation, and/or cervical spinal cord injury should be considered in all cases of significant trauma as such injuries occur in 3–4 % of major trauma victims (Hasler et al. 2012). Traditionally, penetrating injuries are triaged according to the level of entry/exit wound. Injuries involving the neck from the level of the cricoid cartilage to the angle of the mandible (zone II) have traditionally undergone surgical exploration whereas imaging was pursued for injuries more cephalad or caudal to this level (zones I and III). Today, with the increasing availability and speed of imaging, most patients undergo imaging prior to surgery unless expedient treatment is necessary due to poor or declining patient stability.
Vascular and spinal injuries may be clinically occult, often due to the challenges of performing the neurologic exam in altered, sedated, or otherwise uncooperative trauma patients. Occasionally, vascular injuries manifest as a rapidly expanding neck mass; however, such cases are an exception rather than the rule. Most vascular injuries in the neck are not readily detectable on exam but rather clinically suspected based on the mechanism of injury or the presence of neurological deficit suggestive of cerebral infarction. Similarly, spinal injuries may manifest clinically; however, even in those with no obvious evidence of cord signs/symptoms, imaging screening for spinal injury is the currently accepted standard of care in patients who have sustained significant trauma.
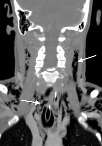
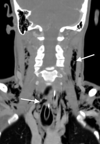
Coronal image from a CT angiogram demonstrates extensive soft tissue emphysema throughout the superficial and deep soft tissues of the neck (arrows) in a patient with a history of benzodiazepine overdose who was intubated in the field
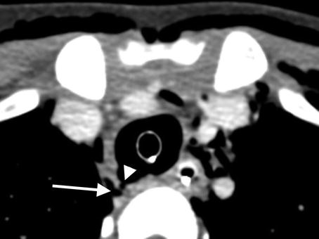
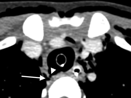
Axial image from the same CT angiogram demonstrates focal contour abnormality within the dorso-lateral quadrant of the upper trachea (arrowhead) with immediately adjacent paratracheal gas (arrow) representing the site of iatrogenic tracheal disruption. Surgical repair of the injured trachea was required
Application
Axial CTA image through the neck in a 24-year-old male following blunt motor vehicle trauma shows a psuedoaneurysm (dashed arrow) arising from the medial aspect of the cervical left internal carotid artery (arrow)
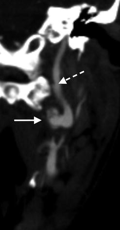
Coronal CTA image reveals an intimal dissection flap (dashed arrow) distal to the site of pseudoaneurysm formation (arrow)
3D volumetric CTA image of the internal carotid artery with external carotid artery branches removed reveals irregular contour of the ICA pseudoaneurysm (arrow). More distally, ICA dissection manifests as focal contour abnormality of the vessel (dashed arrow)
MRI/MRA may also be employed for the detection of carotid and/or vertebral artery dissection with sensitivity and specificity similar to that of CTA (Provenzale and Sarikaya 2009). The choice of imaging modality for potential dissection is thus typically based upon local practice patterns and patient specific factors. Advantages for MRI/MRA include improved detection of small infarctions and diffuse axonal injury when compared to CT. Additionally, for patients suspected of cervical cord injury, MR assessment of the extracranial cerebral vasculature may be included among the sequences acquired during a single although prolonged imaging session. Given the widespread availability of accuracy of noninvasive angiographic techniques, the role of conventional angiography lies mainly in cases of equivocal or discrepant results on CTA/MRA or for those in which high pretest suspicion for injury requiring endovascular intervention demands expedient evaluation and treatment (Provenzale and Sarikaya 2009).
When aero-digestive tract injury is suspected, CT examination of the neck and chest with contrast should be considered the examination of choice for detection and gross localization of the site of aero-digestive tract disruption within the neck and/or chest. Further, CT provides adding benefit of visualization of the vasculature, soft tissues, and osseous structures in the neck. Contrast esophagography, which is regarded as the gold standard radiologic examination for investigation of potential esophageal injury, is often challenging in patients who have sustained significant traumatic injury due to their inability to cooperate with the exam (Woo et al. 2005). In critically ill and intubated/sedated patients, video-endoscopy often allows detection of hypopharyngeal injuries that are notoriously difficult to identify via contrast esophagography as well as injuries of the cervical esophagus. For those patients who are able to cooperate for contrast fluoroscopic exams, several caveats must be considered. Due to the potential for fibrosing mediastinitis as a sequela of barium extravasation through a thoracic esophageal defect, water-soluble agents such as gastrograffin are used initially. Caution with these agents should be employed in patients at risk for aspiration due to the potential for pneumonitis. Given the improved sensitivity of thicker barium-based agents over water-soluble contrast, many radiologists advance to barium esophagography if no evidence of extravasation is seen with initial water-soluble swallows.
Sagittal CT of the cervical spine displays a mild distracted fracture of the C7 spinous process (arrow) without malalignment in a 35-year-old patient following a motor vehicle accident. Of note, the intracanalicular contents include the spinal cord that cannot be reliably assessed on this image
Sagittal T2-weighted MR image reveals abnormal cord signal indicative of cord contusion/edema (arrow) that was not apparent by CT
Cross-References
References
- Como JJ, Thompson MA, Anderson JS et al (2007) Is magnetic resonance imaging essential in clearing the cervical spine in obtunded patients with blunt trauma? J Trauma 63:544–549. doi:10.1097/TA.0b013e31812e51aePubMedCrossRefGoogle Scholar
- Duval EL, Geraerts SD, Brackel HJ (2007) Management of blunt tracheal trauma in children: a case series and review of the literature. Eur J Pediatr 166:559–563. doi:10.1007/s00431-006-0279-9PubMedCrossRefGoogle Scholar
- Hasler RM, Exadaktylos AK, Bouamra O et al (2012) Epidemiology and predictors of cervical spine injury in adult major trauma patients: a multicenter cohort study. J Trauma Acute Care Surg 72:975–981. doi:10.1097/TA.0b013e31823f5e8ePubMedCrossRefGoogle Scholar
- Hogan GJ, Mirvis SE, Shanmuganathan K, Scalea TM (2005) Exclusion of unstable cervical spine injury in obtunded patients with blunt trauma: is MR imaging needed when multi-detector row CT findings are normal? Radiology 237:106–113. doi:10.1148/radiol.2371040697PubMedCrossRefGoogle Scholar
- Inaba K, Branco BC, Menaker J et al (2012) Evaluation of multidetector computed tomography for penetrating neck injury: a prospective multicenter study. J Trauma Acute Care Surg 72:576–583. doi:10.1097/TA.0b013e31824badf7, discussion 583–4– quiz 803–4PubMedCrossRefGoogle Scholar
- Karmy-Jones R, Avansino J, Stern EJ (2003) CT of blunt tracheal rupture. AJR Am J Roentgenol 180:1670PubMedCrossRefGoogle Scholar
- Menaker J, Philp A, Boswell S, Scalea TM (2008) Computed tomography alone for cervical spine clearance in the unreliable patient – are we there yet? J Trauma 64:898–903. doi:10.1097/TA.0b013e3181674675, discussion 903–4PubMedCrossRefGoogle Scholar
- Provenzale JM, Sarikaya B (2009) Comparison of test performance characteristics of MRI, MR angiography, and CT angiography in the diagnosis of carotid and vertebral artery dissection: a review of the medical literature. AJR Am J Roentgenol 193:1167–1174. doi:10.2214/AJR.08.1688PubMedCrossRefGoogle Scholar
- Sidell D, Mendelsohn AH, Shapiro NL, St John M (2011) Management and outcomes of laryngeal injuries in the pediatric population. Ann Otol Rhinol Laryngol 120:787–795Google Scholar
- Soult MC, Weireter LJ, Britt RC et al (2012) MRI as an adjunct to cervical spine clearance: a utility analysis. Am Surg 78:741–744PubMedGoogle Scholar
- Stuhlfaut JW, Barest G, Sakai O et al (2005) Impact of MDCT angiography on the use of catheter angiography for the assessment of cervical arterial injury after blunt or penetrating trauma. Am J Roentgenol 185:1063–1068. doi:10.2214/AJR.04.1217CrossRefGoogle Scholar
- Woo K, Magner DP, Wilson MT, Margulies DR (2005) CT angiography in penetrating neck trauma reduces the need for operative neck exploration. Am Surg 71:754–758PubMedGoogle Scholar






