Acetabulum Fractures
Synonyms
Definition
Excessive loading of the proximal femur through the femoral head causes the acetabulum to fracture. In this example, the left-sided unstable acetabular fracture fragments are displaced significantly as the proximal femur intrudes medially into the pelvis
Epidemiology
Acetabular fracture patterns are determined by the hip position at impact, the local bone quality, and the magnitude of the applied load. As the load is further transmitted, the acetabular fracture displaces, and the femoral head may dislocate from the hip joint. These fractures commonly occur in a bimodal age distribution. Older patients have poor bone quality and sustain them after a fall from standing. Young patients have better bone quality and are also more exposed to high-energy traumatic events such as car and motorcycle crashes.
Osteology
Normal pelvic osteology is complex and confusing, and displaced acetabular fractures are even more challenging to thoroughly comprehend. The acetabulum is a hemisphere-shaped recess located between the ilium, ischium, and pubis. It develops from the triradiate cartilage and matures into the adult acetabulum. The acetabular surface is concave and is mostly covered by hyaline cartilage. The fossa acetabuli is a recessed area in the center of the acetabulum that contains fat and the ligamentum teres. The acetabular labrum is attached to the acetabular wall perimeter and the hip capsule.
The Inverted Y Structural Concept
These two medial and lateral hemipelvis illustrations demonstrate the structural anterior and posterior acetabular columns. The anterior wall area is a part of the anterior column just as the posterior wall area is a part of the posterior column
Radiology
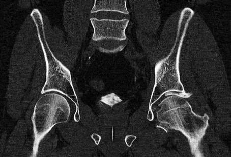
Three-dimensional surface-rendered images generated from CT data are helpful when planning the surgical treatment of a displaced acetabular fracture. In this example, the right-sided transverse acetabular fracture is seen to divide the joint into two separate halves. The caudal fragment is displaced medially from the intact and stable cranial portion, and the proximal femur remains in association with the displaced caudal fragment. The 3D image also demonstrates a left-sided sacroiliac joint disruption and pubic ramus fracture
Classification
Acetabular fracture groups and specific injury patterns
| Elementary | Associated |
|---|---|
| Posterior wall | Transverse/posterior wall |
| Posterior column | T-type |
| Anterior wall | Anterior column/posterior hemitransverse |
| Anterior column | Both column |
| Transverse | Posterior column/posterior wall |
Initial Management
Patients with these fractures may present in a variety of manners depending usually on the mechanism of injury. Each patient is resuscitated according to ATLS protocols, and plain pelvic radiographs are obtained once the patient has been stabilized. Fracture-dislocations are reduced urgently once the fracture pattern details are understood. Posteriorly directed dislocations are usually associated with posterior wall, posterior column/posterior wall, and transverse/posterior wall acetabular fracture patterns. Medial dislocations are usually noted with associated both-column, transverse, T-type, anterior column/posterior hemitransverse, and posterior column fracture patterns. Prior to closed reduction, the treating physician should carefully assess the femoral neck area on the X-rays for fracture. Adequate muscle relaxation is mandatory prior to the manipulative reduction attempt and can be achieved using a variety of techniques. The dislocated femoral head is then manipulated so that it can be held beneath the area of the weight-bearing dome. Skeletal traction may be needed to secure this reduction.
Once the patient and the fracture have been stabilized, secondary and tertiary repeat evaluations are indicated to identify other injuries that were initially missed. Pelvic imaging is then obtained so the treatment can be planned.
This pelvic coronal CT image identifies a displaced posterior wall fracture fragment that is located between the femoral head and acetabular dome causing a nonconcentric reduction. This was one of five separate displaced posterior wall fracture fragments that were noted to be within the joint. An open reduction was indicated and performed urgently. The displaced fracture fragments were first removed from the hip joint so the femoral head could be congruent with the acetabular dome. Then the individual fragments were reduced and stabilized with two supporting plates
Nonoperative Treatment
For patients with stable and minimally displaced acetabular fractures, nonoperative management is recommended, consisting of protected weight bearing on the injured extremity for 6–12 weeks after injury. Serial weekly plain pelvic radiographs are recommended for 1–3 weeks after injury to assure that further fracture displacement is not occurring and that the hip joint remains congruent when nonoperative management is chosen. Skeletal traction is used when the fracture is unstable but the patient is a poor candidate for surgery and the fracture reduction is sufficient in traction. Usually ten pounds of traction is applied through a distal femoral traction pin and simple pulley system attached to the foot of the bed. When traction is chosen, the head of the patient’s bed should be elevated to decrease the risk of aspiration, especially in elderly patients.
Operative Treatment
Displaced and unstable acetabular fractures are treated operatively (Letournel 1993; Helfet et al. 1992). Open anatomical reduction with stable internal fixation (ORIF) is recommended for the majority of patients with these articular injuries. Anatomical reduction restores the articular surfaces and lowers the risk of post-traumatic arthritis formation. Access to the fracture fragments allows the surgeon to directly clean the fracture surfaces of organized hematoma and small bone fragments that can obstruct the reduction and physically manipulate the fracture fragments into a reduced position. Clamps, wires, lag screws, and other devices are routinely used to temporarily maintain the reduction while the definitive fixation is applied to the bone. The Kocher-Langenbeck surgical exposure is used for posterior acetabular injuries, and the ilioinguinal surgical exposure provides access to anterior acetabular fractures. For patients with more complex fracture patterns, the two exposures can be used in sequence either at the same anesthesia or at a subsequent anesthesia. Some recommend using the two exposures simultaneously (Routt and Swiontkowski 1990). The extended iliofemoral and several other more extensive surgical exposures have also been advocated for difficult fracture patterns (Siebenrock et al. 2002). Each surgical exposure and patient positioning for surgery has associated risks. When the lateral patient position is chosen, the patient must be securely positioned on the operating table, usually using a vacuum beanbag and obstructing posts. In the lateral decubitus position, the uninjured side is at risk to pressure points particularly at the axilla, hip, and knee. Medially displaced fracture fragments and instability are much more difficult to accurately correct in the lateral position. Prone patient positioning risks blindness if hypotensive anesthesia is used and the eye regions are not relieved of pressure. The airway access, upper extremities, and male genitalia are also at risk while the patient is prone. When positioned prone, supporting chest rolls suspend the abdomen to facilitate mechanical ventilation during surgery.
This patient (previously seen in Fig. 3) had a right transverse acetabular fracture-dislocation as well as left pubic ramus fracture and SI joint disruption. The acetabular fracture was treated operatively using a posterior Kocher-Langenbeck exposure. The reduction was accomplished after cleaning the fracture surfaces and then clamping the transverse fracture. A cancellous lag screw was inserted percutaneously in the superior pubic ramus, and then two malleable plates were applied posteriorly to stabilize the transverse fracture. The SI joint injury and pubic ramus fracture were treated with closed reduction and then screw fixation. An initial iliosacral cancellous lag screw compressed the SI joint, and the subsequent fully threaded cancellous screw provided additional support. The acetabular lag screw, iliosacral screws, and the retrograde superior pubic ramus screw were all inserted percutaneously using biplanar fluoroscopic imaging
Manipulative reduction of the fracture fragments with percutaneous fixation is another operative treatment method. These techniques usually are reserved for patients who are unable to withstand a routine open reduction due to their overall clinical condition and those fractures that are minimally or essentially non-displaced and do not involve the acetabular dome. In these patients, simple traction maneuvers realign the major fracture fragments so that medullary columnar screws are inserted to stabilize the fracture. This technique may also be useful for morbidly obese patients or those with soft tissue injuries that preclude open procedures.
Arthroplasty has been used sparingly as a primary treatment for certain patients with acetabular fractures (Herscovici et al. 2010). Usually this technique is reserved for older patients with preexisting arthritis and extensive articular damage such that the fracture cannot be reduced accurately. Reduction and stable fixation of the displaced column and wall components of the fracture are still required initially so the replacement cup can be securely placed into stabilized acetabular fracture fragments. Patients with acute acetabular fractures are not as medically optimized as those with degenerative conditions scheduled for elective total hip replacement. A patient with acute acetabular fractures may have other injuries or complications due to their overall condition after trauma that threatens the hip arthroplasty success.
Rehabilitation
Rehabilitation after acetabular fracture repair consists of protected weight bearing on the injured side using crutches or a walker for 12 weeks after surgery. During the initial 6 weeks, the amount of pressure applied to the injured side is limited to the weight of the extremity. Isometric muscle exercises and active range of motion activities are allowed. During the second 6-week time period, muscle strengthening exercises are instituted along with gradual progression of load applied to the injured limb. The goal of independent ambulation at week 13 is achieved for most patients.
Complications
Deep venous thrombosis (DVT), infection, and symptomatic ectopic bone formation are several of the complications associated with acetabular fractures (Russell et al. 2001). A variety of techniques such as early surgery, anticoagulation, and sequential compression devices have been advocated for DVT prophylaxis. Deep wound infections are unusual but demand early and aggressive surgical debridement along with appropriate intravenous antibiotics. Indomethacin, targeted low dose irradiation, and muscle debridement have been recommended to decrease the incidence and extent of heterotopic ossification (Rath et al. 2002; Moore et al. 1998).
Cross-References
References
- Helfet DL, Borrelli J Jr, DiPasquale T, Sanders R (1992) Stabilization of acetabular fractures in elderly patients. J Bone Joint Surg Am 74(5):753–765PubMedCrossRefGoogle Scholar
- Herscovici D Jr, Lindvall E, Bolhofner B, Scaduto JM (2010) The combined hip procedure: open reduction internal fixation combined with total hip arthroplasty for the management of acetabular fractures in the elderly. J Orthop Trauma 24(5):291–296PubMedCrossRefGoogle Scholar
- Judet R, Judet J, Letournel E (1964) Fractures of the acetabulum: classification and surgical approaches for open reduction. Preliminary report. J Bone Joint Surg Am 46:1615–1646PubMedCrossRefGoogle Scholar
- Letournel E (1993) The treatment of acetabular fractures through the ilioinguinal approach. Clin Orthop Relat Res 292:62–76Google Scholar
- Moore KD, Goss K, Anglen JO (1998) Indomethacin versus radiation therapy for prophylaxis against heterotopic ossification in acetabular fractures: a randomised prospective study. J Bone Joint Surg Br 80(2):259–263PubMedCrossRefGoogle Scholar
- Qureshi AA, Archdeacon MT, Jenkins MA, Infante A, DiPasquale T, Bolhofner BR (2004) Infrapectineal plating for acetabular fractures: a technical adjunct to internal fixation. J Orthop Trauma 18(3):175–178PubMedCrossRefGoogle Scholar
- Rath EM, Russell GV Jr, Washington WJ, Routt ML Jr (2002) Gluteus minimus necrotic muscle debridement diminishes heterotopic ossification after acetabular fracture fixation. Injury 33(9):751–756PubMedCrossRefGoogle Scholar
- Routt ML Jr, Swiontkowski MF (1990) Operative treatment of complex acetabular fractures. Combined anterior and posterior exposures during the same procedure. J Bone Joint Surg Am 72(6):897–904PubMedCrossRefGoogle Scholar
- Russell GV Jr, Nork SE, Chip Routt ML Jr (2001) Perioperative complications associated with operative treatment of acetabular fractures. J Trauma 51(6):1098–1103PubMedGoogle Scholar
- Siebenrock KA, Gautier E, Woo AK, Ganz R (2002) Surgical dislocation of the femoral head for joint debridement and accurate reduction of fractures of the acetabulum. J Orthop Trauma 16(8):543–552PubMedCrossRefGoogle Scholar




