Abstract
Sarcoidosis is a multisystem granulomatous disorder of unknown etiology. The number of patients with cardiac involvement is considered to be limited, but cardiac sarcoidosis is a very serious and unpredictable aspect of sarcoidosis resulting in conduction-system abnormalities and heart failure. The severity of cardiac involvement depends on the extent and location of the granulomatous lesions.
When establishing a diagnosis, 18F-fluorodeoxyglucose (18F-FDG) positron emission tomography (PET) is a useful tool to detect active inflammatory lesions associated with sarcoidosis. The heart uses different energy sources including free fatty acids (FFA), glucose, and others. The 18F-FDG is an analog of glucose, and for the precise evaluation of the extent and severity of cardiac involvement, recent studies have focused on reducing physiological myocardial 18F-FDG uptake. Long fasting and dietary modification, such as observing a low-carbohydrate or high-fat diet, are the recommended regimens for preparations to make a precise evaluation. The FFA level before the PET scan could be a predictor of the success to the suppression of the physiological 18F-FDG accumulation.
With 18F-FDG PET therapy monitoring or risk stratification based on quantitative 18F-FDG accumulation becomes possible. The quantification of the volume and intensity of 18F-FDG uptake could assist in predicting the clinical outcomes and in evaluating the efficiency of steroid treatments.
This report provides a summary of the usefulness of 18F-FDG PET in its current status as a diagnostic modality for cardiac sarcoidosis.
Keywords
- Cardiac sarcoidosis
- Positron emission tomography
- Fluorodeoxyglucose
Download conference paper PDF
1 Background
Sarcoidosis is a multisystem granulomatous disorder of unknown etiology. It is characterized by noncaseating, epithelioid granulomas. Typically, young or middle-aged adults are affected. In Japan, the annual incidence ranges from 1 to 2 cases per 100,000 of the population. The bilateral hilar and mediastinal lymph nodes, lungs, skin, musculoskeletal system, and eyes are well known to be involved in lesions. Essentially all organs, including the heart, may potentially be involved [1, 2].
Sarcoidosis patient treatment generally follows a favorable clinical course. However, about 30 % of patients suffer chronically or experience recurrence. Granulomas forming in an organ can affect how the organ functions and be a cause of signs and symptoms. Especially, prognosis is related to the presence of cardiac lesions [3].
The frequency of cardiac involvement varies and is significantly influenced by ancetstry. In Japan over 25 % of cases with sarcoidosis experience symptomatic cardiac involvement, whereas in the USA and Europe, only about 5 % of cases present cardiac involvement. Autopsy studies in the USA have shown the frequency of cardiac involvement to be about 20 %, whereas autopsy studies in Japan have shown a frequency above 50 % [4–6].
2 Diagnostic Criteria for Cardiac Sarcoidosis
Histologic analysis of operative or endomyocardial biopsy specimens could be the irrefutably best standard in diagnosing cardiac sarcoidosis. However, it is not feasible to perform endomyocardial biopsies on all suspected regions, and myocardial biopsies tend to have lower sensitivity in the diagnosis of cardiac sarcoidosis. Therefore, the Japanese Ministry of Health and Welfare (JMHW) guidelines for diagnostic imaging have been used as the diagnostic standard since early times [7]. The JMHW criteria include both the histologic and the clinical diagnosis groups. For the clinical diagnosis group, the positive findings of electrocardiography, echocardiography, and 67Ga scintigraphy are the major criteria; minor criteria include findings of electrocardiography, echocardiography, perfusion images, and cardiac magnetic resonance images. Among the criteria, 18F-fluorodeoxyglucose (18F-FDG) positron emission tomography (PET) is not included in the 2006 criteria; it is only noted as a comment that abnormal 18F-FDG accumulation in the heart is a diagnostically useful finding. However, the usefulness of 18F-FDG PET has been increasingly recognized; the Japanese health insurance system approved it for detection of inflammation sites in cardiac sarcoidosis on April 2012. Recently, the Heart Rhythm Society of the USA also proposed the diagnosis and management of cardiac sarcoidosis with 18F-FDG PET and MRI recommended for the evaluation of cardiac sarcoidosis, if there is a cardiac history and abnormality in the electrocardiogram or echocardiography in sarcoidosis patients [8].
3 Cardiac Metabolism
For the cardiac metabolism, under long fasting conditions, glucose production and glucose oxidation would decrease. As a result, free fatty acid (FFA) is mobilized from adipose tissue, and the increase in available FFA becomes an alternative source of energy in the myocardium. The 18F-FDG is a glucose analog used clinically in PET to indicate glucose utilization (Fig. 16.1), and physiological myocardial uptake has been reported. The levels of the cardiac uptake vary regardless of blood glucose levels [9].
Chemical structural formula of D-glucose and 18F-FDG.
The chemical structural formulas of the glucose and 18F-fluorodeoxyglucose (18F-FDG) are shown in panels A and B, respectively. 18F-FDG is a glucose analog widely used in PET studies of glucose metabolism. 18F-FDG is taken up by plasma-membrane transporters and phosphorylated by the intracellular enzymes in the same manner as glucose. The metabolism of 18F-FDG stops after 6-phosphorylation which is different from glucose and provides an advantage in metabolism studies
4 18F-FDG Uptake Patterns in Evaluations of Cardiac Sarcoidosis
To evaluate cardiac sarcoidosis, uptake patterns of 18F-FDG were divided into four kinds as suggested in Fig. 16.2 [7]. Without myocardial 18F-FDG uptake is considered to be negative in active cardiac lesions. A distinct diffuse 18F-FDG uptake in the entire left ventricular wall without localized high 18F-FDG uptake generally is thought to represent a physiological uptake, not indicating an abnormality. Focal and focal on diffuse 18F-FDG uptakes in the left ventricular wall are considered to be positive indicators of cardiac sarcoidosis.
18F-FDG uptake patterns to evaluate cardiac sarcoidosis.
Uptake patterns were divided into four groups. No 18F-fluorodeoxyglucose (18F-FDG) uptake is considered to be a negative sign for any active cardiac lesion (a). A diffuse 18F-FDG uptake in the entire left ventricular wall without any localized high 18F-FDG uptake is generally thought to be a physiological uptake (b). With slight accumulation in (b), it was not possible to determine if this was caused by cardiac sarcoidosis. Focal uptake (c) and focal on diffuse uptakes (d) of 18F-FDG in the left ventricular wall are considered to be positive signs for cardiac sarcoidosis
5 Preparation for the 18F-FDG PET to Evaluate Cardiac Lesions
The physiological myocardial 18F-FDG uptake may mislead when attempting to establish cardiac sarcoidosis. Proper preparation such as extended fasting with a low-carbohydrate diet before the scan is needed to suppress the physiological cardiac uptake [10]. We have confirmed the usefulness of the effect of 18 h of fasting with a low-carbohydrate diet compared to a minimum 6-h fasting preparation [9]. Patients with at least 6 h of fasting showed a higher diffuse left ventricular (LV) 18F-FDG uptake than patients with longer fasting and low-carbohydrate diets. Patients who fasted for longer and observed a low-carbohydrate diet showed higher FFA levels than a shorter fasting group. In the shorter fasting group, patients with diffuse LV 18F-FDG uptake showed significantly lower FFA levels than patients without a diffuse LV uptake. This shows that the FFA level is an important marker to suppress physiological 18F-FDG uptake. The protocol to obtain better 18F-FDG PET images in cardiac sarcoidosis patients is shown in Fig. 16.3.
6 Location of the 18F-FDG Uptake
Cardiac sarcoidosis provoked the conduction disturbance such as atrioventricular block. There is a relationship between electrocardiogram abnormalities and myocardial 18F-FDG uptake. In particular, the focal 18F-FDG uptake in the interventricular septum in cardiac sarcoidosis is associated with atrioventricular blockage. Therefore, to identify the location of the 18F-FDG uptake is an important issue of potentially great benefit in treatment planning [11].
The 18F-FDG uptake due to inflammation in the LV wall is sometimes difficult to distinguish from the physiological uptake. On the other hand, the physiological uptake in the right ventricle (RV) is less common and less intense. Therefore, although less frequent of the sarcoidosis involvement, the 18F-FDG uptake in the RV due to cardiac sarcoidosis may be useful in diagnosing in sarcoidosis [12].
7 Relationship Between 18F-FDG Accumulation and Activity of Sarcoidosis
The significant 18F-FDG accumulation in cardiac sarcoidosis is caused by active inflammatory changes involving activated inflammatory cells like neutrophils, macrophages, and lymphocytes [13], and the 18F-FDG uptake may reflect an active inflammation condition. This makes 18F-FDG PET useful both for the detection of cardiac sarcoidosis as well as for monitoring the treatment response and early recurrence [14].
The maximum standardized uptake value (SUVmax) has been used for semiquantitative measurements to assess the intensity of 18F-FDG uptake. Recently, the availability of volume-based analysis, such as metabolic volume and total lesion glycolysis, has been widely used to evaluate the extent and activity of the 18F-FDG uptake in malignant tumors [15]. Ahmadian et al. applied volume-based analysis to cardiac sarcoidosis and reported that the metabolic activity estimated by 18F-FDG PET was a reliable independent predictor of cardiac events in cardiac sarcoidosis patients [16]. A volume-based quantification of 18F-FDG uptake could be of value in a number of fields of cardiac and inflammation diseases like it is for malignant tumors (Fig. 16.4).
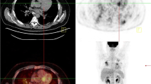
Representative case.
This is a case of a cardiac sarcoidosis patient with uveitis and respiratory discomfort. She had a right bundle branch block and right axis deviation on the electrocardiograph and thinning of the septal wall with severe hypokinesis on the echocardiograph. There was a clearly abnormal 18F-FDG uptake in the LV wall as well as in the lymph nodes which indicated active inflammatory changes associated with sarcoidosis (a). The estimated maximum standardized uptake value (SUVmax) was 10.6, and the volume of the uptake was 76.1 ml (the threshold was obtained from the liver uptake) at the cardiac lesion. The 18F-FDG PET [revealed the dramatic] showed a nearly total disappearance of the abnormal cardiac uptake after 4 weeks of therapy with prednisolone (b). However, the 18F-FDG PET during the tapering of the prednisolone showed renewed 18F-FDG uptake. Here, the estimated maximum standardized uptake value (SUVmax) was 6.2, and the volume of the uptake was 7.83 ml (the threshold was obtained from the liver uptake). This case indicates that 18F-FDG was useful to evaluate the sarcoidosis activity and indicated the improvement during the therapy as well as the recurrence of the active sarcoidosis
8 Conclusions
Observations from 18F-FDG PET images are a useful diagnostic tool to detect active inflammatory lesions associated with cardiac sarcoidosis. For a precise evaluation of the extent and severity of cardiac involvement, long fasting and dietary modifications, such as observing a low-carbohydrate or a high-fat diet, are recommended approaches to reduce physiological myocardial 18F-FDG uptake. The FFA level before the PET data acquisition could be a predictor for success in the suppression of physiological 18F-FDG accumulation. Such 18F-FDG PET images also enable therapy monitoring or risk stratification based on the quantitative accumulation determination. The quantification of the volume and intensity of 18F-FDG uptake may also help predict the clinical outcomes and evaluate the efficiency of steroid treatment.
References
Hunninghake GW, Costabel U, Ando M, et al. ATS/ERS/WASOG statement on sarcoidosis. American Thoracic Society/European Respiratory Society/World Association of Sarcoidosis and other Granulomatous Disorders. Sarcoidosis Vasc Diffuse Lung Dis. 1999;16:149–73.
Iannuzzi MC, Rybicki BA, Teirstein AS. Sarcoidosis. N Engl J Med. 2007;357:2153–65.
Sekhri V, Sanal S, Delorenzo LJ, Aronow WS, Maguire GP. Cardiac sarcoidosis: a comprehensive review. Arch Med Sci. 2011;7:546–54.
Baughman RP, Teirstein AS, Judson MA, et al. Clinical characteristics of patients in a case control study of sarcoidosis. Am J Respir Crit Care Med. 2001;164:1885–9.
Silverman KJ, Hutchins GM, Bulkley BH. Cardiac sarcoid: a clinicopathologic study of 84 unselected patients with systemic sarcoidosis. Circulation. 1978;58:1204–11.
Iwai K, Sekiguti M, Hosoda Y, et al. Racial difference in cardiac sarcoidosis incidence observed at autopsy. Sarcoidosis. 1994;11:26–31.
Ishida Y, Yoshinaga K, Miyagawa M, et al. Recommendations for (18)F-fluorodeoxyglucose positron emission tomography imaging for cardiac sarcoidosis: Japanese Society of Nuclear Cardiology recommendations. Ann Nucl Med. 2014;28:393–403.
Birnie DH, Sauer WH, Bogun F, et al. HRS expert consensus statement on the diagnosis and management of arrhythmias associated with cardiac sarcoidosis. Heart Rhythm. 2014;11:1305–23.
Manabe O, Yoshinaga K, Ohira H, et al. The effects of 18-h fasting with low-carbohydrate diet preparation on suppressed physiological myocardial (18)F-fluorodeoxyglucose (FDG) uptake and possible minimal effects of unfractionated heparin use in patients with suspected cardiac involvement sarcoidosis. J Nucl Cardiol. 2015. Aug. [Epub ahead of print]
Ohira H, Tsujino I, Yoshinaga K. (1)(8)F-Fluoro-2-deoxyglucose positron emission tomography in cardiac sarcoidosis. Eur J Nucl Med Mol Imaging. 2011;38:1773–83.
Manabe O, Ohira H, Yoshinaga K, et al. Elevated (18)F-fluorodeoxyglucose uptake in the interventricular septum is associated with atrioventricular block in patients with suspected cardiac involvement sarcoidosis. Eur J Nucl Med Mol Imaging. 2013;40:1558–66.
Manabe O, Yoshinaga K, Ohira H, et al. Right ventricular (18)F-FDG uptake is an important indicator for cardiac involvement in patients with suspected cardiac sarcoidosis. Ann Nucl Med. 2014;28:656–63.
Koiwa H, Tsujino I, Ohira H, Yoshinaga K, Otsuka N, Nishimura M. Images in cardiovascular medicine: Imaging of cardiac sarcoid lesions using fasting cardiac 18F-fluorodeoxyglucose positron emission tomography: an autopsy case. Circulation. 2010;122:535–6.
Manabe O, Oyama-Manabe N, Ohira H, Tsutsui H, Tamaki N. Multimodality evaluation of cardiac sarcoidosis. J Nucl Cardiol. 2012;19:621–4.
Hirata K, Kobayashi K, Wong KP, et al. A semi-automated technique determining the liver standardized uptake value reference for tumor delineation in FDG PET-CT. PLoS One. 2014;9, e105682.
Ahmadian A, Brogan A, Berman J, et al. Quantitative interpretation of FDG PET/CT with myocardial perfusion imaging increases diagnostic information in the evaluation of cardiac sarcoidosis. J Nucl Cardiol. 2014;21:925–39.
Acknowledgments
This study was supported in part by grants from the Innovation Program of the Japan Science and Technology Agency and a Hokkaido Heart Association Grant for Research.
Author information
Authors and Affiliations
Corresponding author
Editor information
Editors and Affiliations
Additional information
Conflicts of Interest
None
Rights and permissions
Open Access This chapter is distributed under the terms of the Creative Commons Attribution-Noncommercial 2.5 License (http://creativecommons.org/licenses/by-nc/2.5/) which permits any noncommercial use, distribution, and reproduction in any medium, provided the original author(s) and source are credited.
The images or other third party material in this chapter are included in the work’s Creative Commons license, unless indicated otherwise in the credit line; if such material is not included in the work’s Creative Commons license and the respective action is not permitted by statutory regulation, users will need to obtain permission from the license holder to duplicate, adapt or reproduce the material.
Copyright information
© 2016 The Author(s)
About this paper
Cite this paper
Manabe, O., Yoshinaga, K., Ohira, H., Oyama-Manabe, N. (2016). Usefulness of 18F-FDG PET in Diagnosing Cardiac Sarcoidosis. In: Kuge, Y., Shiga, T., Tamaki, N. (eds) Perspectives on Nuclear Medicine for Molecular Diagnosis and Integrated Therapy. Springer, Tokyo. https://doi.org/10.1007/978-4-431-55894-1_16
Download citation
DOI: https://doi.org/10.1007/978-4-431-55894-1_16
Published:
Publisher Name: Springer, Tokyo
Print ISBN: 978-4-431-55892-7
Online ISBN: 978-4-431-55894-1
eBook Packages: MedicineMedicine (R0)




