The Structure and Characteristics of Sago Starch
Abstract
The crystalline structure of sago starch related to the gelatinization characteristics is reported in this chapter, although the sago starch synthesis at the molecular biological level is still under discussion. Sago starch granules are oval with a temple bell-like shape, a mean diameter of 37.59 μm, and exhibit a Maltese cross, indicating the presence of some common internal ordering. Sago starch from its X-ray diffraction pattern shows a peak at around 5.6, 17, 18, and 23° (2θ for Cu Kα), which corresponds to 1.58, 0.521, 0.492, and 0.386 nm, respectively. Sago starch is classified as a C type (a mixture of A type and B type as an accessary), containing slightly higher content of B type in the basal portion of sago palm trunk. Low viscosity of sago starch amylopectin is explained by the presence of smaller molecule with a slightly higher number of long chains than the high-viscosity amylopectin. The gelatinization temperature and enthalpy of sago starch determined by a differential scanning calorimeter (DSC) are 69.4–70.1 °C and 15.1–16.6 J g−1, depending on the moisture content, degree of a crystallinity within the granule, granule size, and the amylose to amylopectin ratio. The observation of granular birefringence (Maltese cross) under polarized light is one of the useful tools to determine the gelatinization behavior of sago starch.
18.1 Starch Synthesis
Starch production by photosynthesis (Akazawa 1965, partly modified)
Starch production in storage organs (F-6-P fructose-6-phospahte, G-1-P glucose-6-phosphate, ADPG adenosine diphosphate glucose, GBSS granule-bound starch synthase, SSS soluble starch synthase)
No information on sago starch synthesis in relation to starch synthase is available at the present time.
18.2 Starch Conformation
Starch contains polymer chains of glucose units with a high degree of regularity, crystalline clusters of double helices (Kainuma and French 1971, 1972), which consist of two glucans: amylopectin and amylose. Amylopectin is the major component in most starches. It is the extensively branched structure and is composed of short chains of α-(1,4)-linked D-glucosyl units that are interconnected through α-(1,6)-linkages (Vamadevan and Bertoft 2015). Amylose is a minor component and is essentially longer linear chains than amylopectin.
Crystalline structure of A-type and B-type amylose (Imberty et al. 1991, partly modified)
The synthetic processes and mechanisms of starch by synthetic enzymes in amyloplast have been elucidated. However, the working processes of A-, B-, and C-type starch are not yet clear. Synthesized ADPG forms α-1,4 glucoside bonding by dehydration shrinkage with OH group of non-reductive edges of glucose, and the elongation of glucose gradually occurs to make maltose and/or maltotriose. The basic unit of six glucoses, consisting of A-type starch, is maltose. Three units of maltose form a basic unit of amylose and amylopectin, in the case of A type. On the other hand, two units of maltotriose form a basic unit of amylose and amylopectin for B type. Two basic units are closely hydrated to each other, allowing hydrogen bonding to produce a double helix. Double-helical units can precipitate from the soluble state of starch to high molecular starch in amyloplast.
The fragments of low molecular starch form the double helix structure, associated with the formation of stable three-dimensional structures at a low energy level. The conformation analysis has been developed in protein science and elucidated the structure of the domains. When amyloplast is present at a high temperature and a low moisture content, the restriction of free movement in the solution of amyloplast and the limitation of water molecules result in the formation of A-type starch, monoclinic crystalline structure, which is found in aboveground starch accumulation organs. Meanwhile when amyloplast is at a low temperature and high moisture content, the double helix can easily move and hold water molecules resulting in the formation of hexagonal crystalline structure in belowground starch accumulation organs.
The C-type starch structure derived from both A type and B type consists of exsolution-like materials formed by GBSS and SSS under a given temperature and concentration. Most sago starch is C-type starch, so-called CA type, including B-type starch as accessary.
18.3 Sago Starch Structure
18.3.1 Crystalline Structure of Sago Starch
Scanning electron microscope image of sago starch granules from Leyte, Philippines
Particle size distribution of sago starch from Leyte, Philippines (Nishiyama et al. 2015)
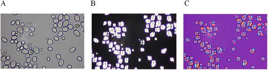
Light and polarized light microscope images of sago starch (Nishiyama et al. 2015)
XRD pattern of sago starch from Leyte, Philippines (Nishiyama et al. 2015) (Corn, Kosakai Pharmaceutical Co.; potato, Miyazawa Pharmaceoutical Co.; sago, collected from Leyte, Philippines)
XRD patterns of sago starch from Leyte, Philippines (Okazaki et al. 2008). Sago starches were extracted from the lower trunk (0–80 cm) to the apical (600–660 cm) portion. The numbers 1, 2a, 2b, 3, 4a, 4b, 5, 6, and 7 show the peaks
X-ray diffraction after waveform separation (Katsumi et al. 2014) (Amylopectin, MP Biomedicals Inc.; amylose, Sigma-Aldrich Inc.; corn, Kosakai Pharmaceutical Co.; potato, Miyazawa Pharmaceutical Co.; sago, collected from Leyte, Philippines. Crystalline index = peak height3b/ FWHM3b + peak height4a/FWHM4a (1) FWHM: full width at half maximum)
Recently, Polnaya et al. (2013) also revealed that native sago starch from Indonesia was characterized by a weak diffraction peak at 2θ = 5.67°and broad peaks at 2θ = 15.30°, 17.12°, 18.08°, and 23.46°, which indicated the C type. In addition, Uthumporn et al. (2014) showed that the XRD patterns of sago starch at different growth stages from Malaysia were C type. However, the XRD analysis of sago starch was not sufficient to provide an understanding of the flexibility of sago starch structure during wet and dry processes.
Okazaki et al. (2014) found that the scarcity of change in sago starch structure (from non-spiny and spiny palms) was due to heating up to 60 °C in the case of low moisture content according to X-ray diffraction. However, over 60 °C the dehydration caused structural changes in sago starch.
18.3.2 Amylopectin and Amylose in Sago Starch
Amylopectin is made up of chains of α-(1,4)-linked D-glucosyl units that are interconnected through α-(1,6)-linkages, containing 107–108 of molecular weight (degree of polymerization: 12,000–40,000) (Hizukuri 2003). On the other hand, amylose is mainly composed of a liner structure of glucose units linked by α-(1,4) bonds with 105–106 of molecular weight (degree of polymerization: 600–36,000) (Hizukuri 2003), entangled with amylopectin. These components represent approximately 98–99% of the dry weight of starch (Tester et al. 2004). Amylose itself comprises 15–35% of the starch by weight. High percentages of amylose give starch less stickiness and a low gelatinization temperature.
Takeda et al. (1989) reported that the low viscosity of sago starch amylopectin is explained by the presence of a smaller molecule with a slightly higher number of long chains than the high-viscosity amylopectin. The amylopectin chain distribution of sago starch is composed of four fractions with the different chain lengths of Fraction I (22.9 ± 0.8%), Intermediate Fraction (3.9 ± 0.4%), Fraction II (17.2 ± 0.4%), and Fraction III (56.0 ± 1.4%) (Ishii et al. 1990). Takahashi and Hirao (1994) reported that Fraction III of sago amylopectin was 52.3%, intermediate in value between sweet potato and mung bean amylopectin. Furthermore, Srichuwong et al. (2005) reported that the mean chain length of amylopectin taken from 14 varieties of sago starch from Fiji, Samoa, and Vanuatu was 41.0% for the degree of polymerization (DP) of 6–12, 53.8% for DP 13–24, and 5.2% for DP 25–30.
18.3.3 Gelatinization Characteristics of Sago Starch
Starch gelatinization is the disruption of molecular order within the starch granule manifested in irreversible changes in properties such as granular swelling, native crystallite melting, loss of birefringence, and starch solubilization (Maaruf et al. 2001). Starch undergoes a glass transition in the amorphous components prior to the gelatinization when the starch granule is heated in the presence of water (Vamadevan and Bertoft 2015).
The behavior of sago starch gelatinization was observed by a light microscope, a polarized light microscope equipped with a micro-heater, X-ray diffraction, and Brabender amylograph. The highest viscosity of 8% sago starch suspension was determined with a Brabender amylograph to be 830 B.U. around 92.5 °C (Takahashi et al. 1981). Arai et al. (1981) revealed that the viscosity of 8% sago starch suspension was lower than that of 8% sweet potato, corn, cassava, wheat, and 4% potato suspension. In addition Kawabata et al. (1984) reported that 6% sago starch suspension showed the lowest viscosity at 135 B. U. with a small breakdown, compared to cassava, arrowroot, and potato. Yasugi (1986) compared the amylograms of four kinds of 5% sago starch suspension to corn and cassava starch suspension and concluded that good quality sago starch had low viscosity. The viscosity of six sago starches from Papua New Guinea was determined at 30–70 °C with a rotational viscometer and was inversely related to the handling temperature and showed different temperature sensitivity (Sopade and Kiaka 2001). Takeda et al. (1989) found that amylose and amylopectin from sago starches with low and high viscosity on amylography differed in molecular structure. The maximum viscosity of sago starch with high and low viscosity was 735 and 280 B. U., respectively. They concluded that amylose controlled the pasting by the interaction with other materials such as lipid and/or intermolecular hydrogen bonds between other amylose and amylopectin.
The gelatinization temperature and enthalpy of starch determined by a differential scanning calorimeter (DSC) depends on the moisture content and degree of crystallinity within the granule and also on granule size and the amylose to amylopectin ratio (Ahmad et al. 1999b). Ahmad et al. (1999b) showed that the gelatinization peak temperature and enthalpy varied from 69.4–70.1 °C and from 15.1–16.7 J g−1, respectively, among 11 sago starches. The gelatinization peak temperature of sago starch was higher than those of corn, cassava, potato, and pea. Furthermore, Ahmad and Williams (1999a, b) Ahmad et al. (1999a, b)and Maaruf et al. (1999, 2001) reported that the presence of salts and sugars affected the gelatinization properties of sago starch. Intrinsic viscosity decreased with increasing temperature, but the critical concentration remained fairly constant over the range of temperatures (Nurul et al. 2001). Siau et al. (2004) attempted to make cationic sago starch using 3-chloro-2-hydroxypropyltrimethylammonium chloride (0.01–0.10 mol L−1) and sodium hydroxide (0.03–0.86 mol L−1) and found that the gelatinization enthalpy of cationic sago starch was lower, compared with native sago starch. The enthalpy of a transition is explained as corresponding to the amount of crystal order (or double helical structure) in the starch suspension (Mohamed et al. 2008). The structural transformation of sago starch modified by osmotic pressure and heat moisture was observed by DSC (Pukkahuta and Varavinit 2007). The gelatinization peak temperature of sago starch increased linearly with increasing osmotic pressure and heat moisture.
Micrographs of sago starch from Papua New Guinea under normal and polarized light in conjunction with a λ-plate during gelatinization (Okazaki et al. 2016) (Bar is 50 μm. The numbers in parentheses represent the temperature during gelatinization)
References
- Ahmad FA, Williams PA (1999a) Effect of salts on the gelatinization and rheological properties of sago starch. J Agric Food Chem 47:3359–3366Google Scholar
- Ahmad FA, Williams PA (1999b) Effect of sugars on the thermal and rheological properties of sago starch. Biopolymers 50:401–412Google Scholar
- Ahmad FA, Che Man YB, Asbi BA et al (1999a) Differential scanning calorimetry: gelatinisation of sago starch in the presence of sucrose and sodium chloride. J Sci Food Agric 79:2001–2009Google Scholar
- Ahmad FA, Williams PA, Doublier J-L et al (1999b) Physico-chemical characterisation of sago starch. Carbohydr Polym 38:361–370CrossRefGoogle Scholar
- Akazawa T (1965) Biosynthesis of starch. Kagaku to seibutsu (Chem Biol) 3:282–291. (in Japanese)CrossRefGoogle Scholar
- Arai Y, Kaneko T, Ito T (1981) Rheological and chemical properties of sago starch. Japan J Trop Agric 25:41–46. (in Japanese)Google Scholar
- Cai CH, Cai JW, Man JM et al (2014) Allomorph distribution and granule structure of lotus rhizome C-type starch during gelatinization. Food Chem 142:408–415CrossRefPubMedGoogle Scholar
- Hamanishi T, Hatta T, Jong FS et al (1999) Physicochemical properties of starches obtained from various parts of sago palm trunks at different growth stages. J Appl Glycosci 46:39–48. (in Japanese)CrossRefGoogle Scholar
- Hamanishi T, Hatta T, Jong FS et al (2000) The relative crystallinity, structure and gelatinization properties of sago starch at different growth stages. J Appl Glycosci 47:335–341CrossRefGoogle Scholar
- Hizukuri S (2003) Molecular structure of starch. In: Fuwa E, Komaki T, Hizukuri S, Kainuma K (eds) Encyclopedia of starch science. Asakura Shoten, Tokyo, pp 11–38. (in Japanese)Google Scholar
- Hizukuri S, Nikuni J (1957) X-ray diffractometric studies on starches. Part II. Structure of “C”-crystallite. J Agric Chem 31:525–527. (in Japanese)Google Scholar
- Imberty A, Perez S (1988) A revisit to the three-dimensional structure of B-type starch. Biopolymers 27:1205–1221CrossRefGoogle Scholar
- Imberty A, Buleon A, Tran V et al (1991) Recent advances in knowledge of starch structure. Starch/Stärke 43:375–384CrossRefGoogle Scholar
- Imberty A, Chanzy H, Perez SA et al (1988) The double-helical nature of the crystalline part of A-starch. J Mol Biol 201:365–378CrossRefPubMedGoogle Scholar
- Ishii Y, Nagashima N, Kawabata A et al (1990) A study of chain length distribution in amylopectins from tropical starches. Starch Sci (Denpun Kagaku) 37:251–257. (in Japanese)Google Scholar
- Kainuma K, French D (1971) Nageli amylodextrin and its relationship to starch granule structure. I. Preparation and properties of amylodextrins from various starch types. Biopolymers 10:1673–1680CrossRefGoogle Scholar
- Kainuma K, French D (1972) Nageli amylodextrin and its relationship to starch granule structure. II. Role of water in crystallization of B-starch. Biopolymers 11:2241–2250CrossRefGoogle Scholar
- Katsumi N, Okazaki M, Yonebayashi K (2014) New proposal for “crystalline index” of starch. Sago Palm 22:25–30Google Scholar
- Kawabata A, Sawayama S, Nagashima N (1984) Some physic-chemical properties of starches from cassava, arrowroot and sago. J Japan Soc Starch Sci 31:224–232CrossRefGoogle Scholar
- Kobayashi S (1993) Utilizing characteristics of sago palm. Sago Palm 1:25–32. (in Japanese)Google Scholar
- Maaruf BA, Ghani YB, Che Man YB et al (1999) A differential scanning calorimetric (DSC) study on the effects of annealing and sugar-emulsifiers on gelatinization of sago starch (Metroxylon sagu). J Food Process Preserv 23:443–462CrossRefGoogle Scholar
- Maaruf AG, Che Man YB, Asbi BA et al (2001) Effect of water content on the gelatinization temperature of sago starch. Carbohydr Polym 46:331–337CrossRefGoogle Scholar
- Mohamed A, Jamilah B, Abbas KA et al (2008) A review on physicochemical and thermorheological properties of sago starch. Amer J Agric Biolog Sci 3:639–646CrossRefGoogle Scholar
- Nishiyama S, Okazaki M, Katsumi N et al (2015) Surface charge on sago starch granules. Sago Palm 23:77–83Google Scholar
- Nurul IMD, Abdul MDM, Azemi BMN (2001) Effect of temperature and starch concentration on the intrinsic viscosity and critical concentration of sago starch (Metroxylon sagu). Starch/Stärke 53:90–94CrossRefGoogle Scholar
- Okazaki M, Igura M, Kimura SD et al (2008) Development of the structure of sago starch. In: Toyoda Y, Okazaki M, Quevedo M, Bacusmo J (eds) Sago: its potential in food and industry. TUAT Press, Tokyo, pp 127–135Google Scholar
- Okazaki M, Katsumi N, Nishiyama S et al (2014) Thermal denaturation properties of non-spiny and spiny sago palm starches under low moisture content. Sago Palm 22:31–37Google Scholar
- Okazaki M, Katsumi N, Nishiyama S et al (2016) Polymorph and crystallinity disruption of sago starch during gelatinization. Sago Palm 24:20–25Google Scholar
- Polnaya FJ, Haryadi MDW et al (2013) Effects of phosphorylation and cross-linking on the pasting properties and molecular structure of sago starch. Int Food Res J 20:1609–1615Google Scholar
- Pukkahuta C, Varavinit S (2007) Structure transformation of sago starch by heat-moisture and osmotic-pressure treatment. Starch/Stärke 59:624–631CrossRefGoogle Scholar
- Siau CL, Karim AA, Norziah MH et al (2004) Effects of cationization on DSC thermal profiles, pasting and emulsifying properties of sago starch. J Sci Food Agric 84:1722–1730CrossRefGoogle Scholar
- Sopade PA, Kiaka K (2001) Rheology and microstructure of sago starch from Papua New Guinea. J Food Eng 50:47–57CrossRefGoogle Scholar
- Srichuwong S, Sunarti TC, Mishima T et al (2005) Starches from different botanical sources I: contribution of amylopectin fine structure to thermal properties and enzyme digestibility. Carbohydr Polym 60:529–538CrossRefGoogle Scholar
- Takahashi S, Hirao K (1994) Studies on the physical and the chemical properties of sago starch, and its performance when used in the preparation of Japanese sweets. Bul Fac Home Econ, Kyoritsu Women’s Univ 40:59–64. (in Japanese)Google Scholar
- Takahashi S, Kitahara H, Kainuma K (1981) Properties and cooking quality of starches. Part I, chemical and physical properties of starches from mung bean and sago. J Japan Soc Starch Sci 28:151–159. (in Japanese)CrossRefGoogle Scholar
- Takeda Y, Takeda C, Suzuki A (1989) Structures and properties of sago starches with low and high viscosities on amylography. J Food Sci 54:177–182CrossRefGoogle Scholar
- Tester RF, Karkalas J, Qi X (2004) Starch - composition, fine structure and architecture. J Cereal Sci 39:151–165CrossRefGoogle Scholar
- Uthumporn U, Wahidah N, Karim AA (2014) Physicochemical properties of starch from sago (Metroxylon sagu) palm grown in mineral soil at different growth stages. Global Conf on Polymer Compos Mater (PCM 2014):1–11. doi: 10.1088/1757-899X/62/1/012026
- Vamadevan V, Bertoft E (2015) Structure-function relationships of starch components. Starch/Stärke 67:55–68CrossRefGoogle Scholar
- Wu H-CH, Sarko A (1978a) The double-helical molecular structure of crystalline B-amylose. Carbohydr Res 61:7–25CrossRefGoogle Scholar
- Wu H-CH, Sarko A (1978b) The double-helical molecular structure of crystalline A-amylose. Carbohydr Res 61:27–40CrossRefGoogle Scholar
- Yaacob B, Mohd CIMA, Kamaruddin H et al (2011) Optimization of reaction conditions for carboxymethylated sago starch. Iran Polym J 20:1–14Google Scholar
- Yatsugi T (1986) Problems of sago starch manufacturing. In: Yamada N, Kainuma K (eds) Proceedings of 3rd international sago symposium. Sago Palm Research Fund, Tokyo, pp 201–207Google Scholar
Copyright information
This chapter is distributed under the terms of the Creative Commons Attribution 4.0 International License (http://creativecommons.org/licenses/by/4.0/), which permits use, duplication, adaptation, distribution, and reproduction in any medium or format, as long as you give appropriate credit to the original author(s) and the source, a link is provided to the Creative Commons license, and any changes made are indicated. The images or other third party material in this book are included in the work's Creative Commons license, unless indicated otherwise in the credit line; if such material is not included in the work's Creative Commons license and the respective action is not permitted by statutory regulation, users will need to obtain permission from the license holder to duplicate, adapt or reproduce the material.









