Understanding Posterior Reversible Encephalopathy Syndrome

  • S. Legriel
  • F. Pico
  • E. Azoulay
Part of the Annual Update in Intensive Care and Emergency Medicine 2011 book series (AUICEM, volume 1)

Abstract

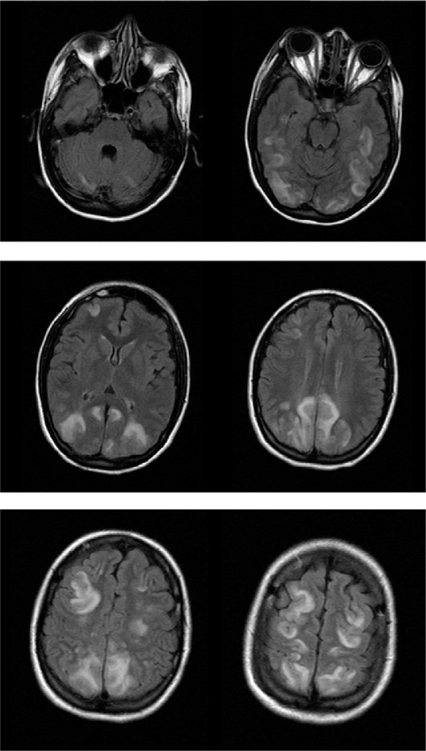
Posterior reversible encephalopathy syndrome (PRES) [1], [2] is a clinicoradiological entity that was well described by Hinchey et al. [3] in 1996 based on 15 cases, shortly after two other small case-series were published [4], [5]. This condition has been designated by a variety of names (reversible posterior leukoencephalopathy syndrome, reversible posterior cerebral edema syndrome, and reversible occipital parietal encephalopathy). PRES is now the accepted term [1], [2], [6] but has been challenged recently based on the risk of neurological impairment and up to 15 % mortality rate [7], [8]. PRES is characterized by variable associations of seizure activity, consciousness impairment, headaches, visual abnormalities, nausea/vomiting, and focal neurological signs. The cerebral imaging abnormalities are often symmetric and predominate in the posterior white matter (Fig. 1). Recognition of PRES has evolved with increasing availability of magnetic resonance imaging (MRI).
Fig. 1

Cerebral magnetic resonance imaging in a patient with posterior reversible encephalopathy syndrome (PRES). Fluid-attenuated inversion recovery (FLAIR) sequence showing bilateral high-signal foci in the cerebellum, basal ganglia, and occipital, parietal, frontal, and temporal lobes

Keywords

Magnetic Resonance Angiography Status Epilepticus Progressive Multifocal Leukoencephalopathy Mean Arterial Blood Pressure Occipital Lobe 
These keywords were added by machine and not by the authors. This process is experimental and the keywords may be updated as the learning algorithm improves.

Preview

Unable to display preview. Download preview PDF.

Unable to display preview. Download preview PDF.

References

  1. 1.
    Bartynski WS (2008) Posterior reversible encephalopathy syndrome, part 1: fundamental imaging and clinical features. AJNR Am J Neuroradiol 29: 1036–1042PubMedCrossRefGoogle Scholar
  2. 2.
    Bartynski WS (2008) Posterior reversible encephalopathy syndrome, part 2: controversies surrounding pathophysiology of vasogenic edema. AJNR Am J Neuroradiol 29: 1043–1049PubMedCrossRefGoogle Scholar
  3. 3.
    Hinchey J, Chaves C, Appignani B, et al (1996) A reversible posterior leukoencephalopathy syndrome. N Engl J Med 334: 494–500PubMedCrossRefGoogle Scholar
  4. 4.
    Schwartz RB, Jones KM, Kalina P, et al (1992) Hypertensive encephalopathy: findings on CT, MR imaging, and SPECT imaging in 14 cases. AJR Am J Roentgenol 159: 379–383PubMedGoogle Scholar
  5. 5.
    Schwartz RB, Bravo SM, Klufas RA, et al (1995) Cyclosporine neurotoxicity and its relationship to hypertensive encephalopathy: CT and MR findings in 16 cases. AJR Am J Roentgenol 165: 627–631PubMedGoogle Scholar
  6. 6.
    Casey SO, Sampaio RC, Michel E, Truwit CL (2000) Posterior reversible encephalopathy syndrome: utility of fluid-attenuated inversion recovery MR imaging in the detection of cortical and subcortical lesions. AJNR Am J Neuroradiol 21: 1199–1206PubMedGoogle Scholar
  7. 7.
    Lee VH, Wijdicks EF, Manno EM, Rabinstein AA (2008) Clinical spectrum of reversible posterior leukoencephalopathy syndrome. Arch Neurol 65: 205–210PubMedCrossRefGoogle Scholar
  8. 8.
    Burnett MM, Hess CP, Roberts JP, Bass NM, Douglas VC, Josephson SA (2010) Presentation of reversible posterior leukoencephalopathy syndrome in patients on calcineurin inhibitors. Clin Neurol Neurosurg 112: 886–889PubMedCrossRefGoogle Scholar
  9. 9.
    Servillo G, Striano P, Striano S, et al (2003) Posterior reversible encephalopathy syndrome (PRES) in critically ill obstetric patients. Intensive Care Med 29: 2323–2326PubMedCrossRefGoogle Scholar
  10. 10.
    Kozak OS, Wijdicks EF, Manno EM, Miley JT, Rabinstein AA (2007) Status epilepticus as initial manifestation of posterior reversible encephalopathy syndrome. Neurology 69: 894–897PubMedCrossRefGoogle Scholar
  11. 11.
    Bartynski WS, Boardman JF (2007) Distinct imaging patterns and lesion distribution in posterior reversible encephalopathy syndrome. AJNR Am J Neuroradiol 28: 1320–1327PubMedCrossRefGoogle Scholar
  12. 12.
    Bartynski WS, Boardman JF, Zeigler ZR, Shadduck RK, Lister J (2006) Posterior reversible encephalopathy syndrome in infection, sepsis, and shock. AJNR Am J Neuroradiol 27: 2179–2190PubMedGoogle Scholar
  13. 13.
    Covarrubias DJ, Luetmer PH, Campeau NG (2002) Posterior reversible encephalopathy syndrome: prognostic utility of quantitative diffusion-weighted MR images. AJNR Am J Neuroradiol 23: 1038–1048PubMedGoogle Scholar
  14. 14.
    McKinney AM, Short J, Truwit CL, et al (2007) Posterior reversible encephalopathy syndrome: incidence of atypical regions of involvement and imaging findings. AJR Am J Roentgenol 189: 904–912PubMedCrossRefGoogle Scholar
  15. 15.
    Ducros A, Boukobza M, Porcher R, Sarov M, Valade D, Bousser MG (2007) The clinical and radiological spectrum of reversible cerebral vasoconstriction syndrome. A prospective series of 67 patients. Brain 130: 3091–3101PubMedCrossRefGoogle Scholar
  16. 16.
    Hefzy HM, Bartynski WS, Boardman JF, Lacomis D (2009) Hemorrhage in posterior reversible encephalopathy syndrome: imaging and clinical features. AJNR Am J Neuroradiol 30: 1371–1379PubMedCrossRefGoogle Scholar
  17. 17.
    Belogolovkin V, Levine SR, Fields MC, Stone JL (2006) Postpartum eclampsia complicated by reversible cerebral herniation. Obstet Gynecol 107: 442–445PubMedCrossRefGoogle Scholar
  18. 18.
    Lamy C, Mas JL (2001) [Reversible posterior leukoencephalopathy. A new syndrome or a new name for an old syndrome?]. Presse Med 30: 915–920PubMedGoogle Scholar
  19. 19.
    Legriel S, Bruneel F, Spreux-Varoquaux O, et al (2008) Lysergic acid amide-induced posterior reversible encephalopathy syndrome with status epilepticus. Neurocrit Care 9: 247–252PubMedCrossRefGoogle Scholar
  20. 20.
    Cole AJ (2004) Status epilepticus and periictal imaging. Epilepsia 45(Suppl 4): 72–77PubMedCrossRefGoogle Scholar
  21. 21.
    Thurnher MM, Post MJ, Rieger A, Kleibl-Popov C, Loewe C, Schindler E (2001) Initial and follow-up MR imaging findings in AIDS-related progressive multifocal leukoencephalopathy treated with highly active antiretroviral therapy. AJNR Am J Neuroradiol 22: 977–984PubMedGoogle Scholar
  22. 22.
    O’Sullivan M (2008) Leukoaraiosis. Pract Neurol 8: 26–38PubMedCrossRefGoogle Scholar
  23. 23.
    Chabriat H, Joutel A, Dichgans M, Tournier-Lasserve E, Bousser MG (2009) Cadasil. Lancet Neurol 8: 643–653PubMedCrossRefGoogle Scholar
  24. 24.
    Gilman S (1998) Imaging the brain. First of two parts. N Engl J Med 338: 812–820PubMedCrossRefGoogle Scholar
  25. 25.
    Sonneville R, Klein IF, Wolff M (2010) Update on investigation and management of postinfectious encephalitis. Curr Opin Neurol 23: 300–304PubMedCrossRefGoogle Scholar
  26. 26.
    Matthews PM, Tampieri D, Berkovic SF, et al (1991) Magnetic resonance imaging shows specific abnormalities in the MELAS syndrome. Neurology 41: 1043–1046PubMedGoogle Scholar
  27. 27.
    Pomper MG, Miller TJ, Stone JH, Tidmore WC, Hellmann DB (1999) CNS vasculitis in autoimmune disease: MR imaging findings and correlation with angiography. AJNR Am J Neuroradiol 20: 75–85PubMedGoogle Scholar
  28. 28.
    Kallenberg K, Schulz-Schaeffer WJ, Jastrow U, et al (2006) Creutzfeldt-Jakob disease: comparative analysis of MR imaging sequences. AJNR Am J Neuroradiol 27: 1459–1462PubMedGoogle Scholar
  29. 29.
    Stam J (2005) Thrombosis of the cerebral veins and sinuses. N Engl J Med 352: 1791–1798PubMedCrossRefGoogle Scholar
  30. 30.
    Culebras A, Kase CS, Masdeu JC, et al (1997) Practice guidelines for the use of imaging in transient ischemic attacks and acute stroke. A report of the Stroke Council, American Heart Association. Stroke 28: 1480–1497PubMedGoogle Scholar
  31. 31.
    Vaughan CJ, Delanty N (2000) Hypertensive emergencies. Lancet 356: 411–417PubMedCrossRefGoogle Scholar
  32. 32.
    Baethmann A, Maier-Hauff K, Kempski O, Unterberg A, Wahl M, Schurer L (1988) Mediators of brain edema and secondary brain damage. Crit Care Med 16: 972–978PubMedCrossRefGoogle Scholar
  33. 33.
    Ferrara JL (2000) Pathogenesis of acute graft-versus-host disease: cytokines and cellular effectors. J Hematother Stem Cell Res 9: 299–306PubMedCrossRefGoogle Scholar
  34. 34.
    Antin JH, Ferrara JL (1992) Cytokine dysregulation and acute graft-versus-host disease. Blood 80: 2964–2968PubMedGoogle Scholar
  35. 35.
    Holler E, Kolb HJ, Moller A, et al (1990) Increased serum levels of tumor necrosis factor alpha precede major complications of bone marrow transplantation. Blood 75: 1011–1016PubMedGoogle Scholar
  36. 36.
    Schots R, Kaufman L, Van Riet I, et al (2003) Proinflammatory cytokines and their role in the development of major transplant-related complications in the early phase after allogeneic bone marrow transplantation. Leukemia 17: 1150–1156PubMedCrossRefGoogle Scholar
  37. 37.
    de Vries HE, Kuiper J, de Boer AG, Van Berkel TJ, Breimer DD (1997) The blood-brain barrier in neuroinflammatory diseases. Pharmacol Rev 49: 143–155PubMedGoogle Scholar
  38. 38.
    Stanimirovic D, Satoh K (2000) Inflammatory mediators of cerebral endothelium: a role in ischemic brain inflammation. Brain Pathol 10: 113–126PubMedCrossRefGoogle Scholar
  39. 39.
    Narushima I, Kita T, Kubo K, et al (2003) Highly enhanced permeability of blood-brain barrier induced by repeated administration of endothelin-1 in dogs and rats. Pharmacol Toxicol 92: 21–26PubMedCrossRefGoogle Scholar
  40. 40.
    Wijdicks EF (2001) Neurotoxicity of immunosuppressive drugs. Liver Transpl 7: 937–942PubMedCrossRefGoogle Scholar
  41. 41.
    Bartynski WS, Boardman JF (2008) Catheter angiography, MR angiography, and MR perfusion in posterior reversible encephalopathy syndrome. AJNR Am J Neuroradiol 29: 447–455PubMedCrossRefGoogle Scholar
  42. 42.
    Brubaker LM, Smith JK, Lee YZ, Lin W, Castillo M (2005) Hemodynamic and permeability changes in posterior reversible encephalopathy syndrome measured by dynamic susceptibility perfusion-weighted MR imaging. AJNR Am J Neuroradiol 26: 825–830PubMedGoogle Scholar
  43. 43.
    Engelter ST, Petrella JR, Alberts MJ, Provenzale JM (1999) Assessment of cerebral microcirculation in a patient with hypertensive encephalopathy using MR perfusion imaging. AJR Am J Roentgenol 173: 1491–1493PubMedGoogle Scholar
  44. 44.
    Wang X, Lo EH (2003) Triggers and mediators of hemorrhagic transformation in cerebral ischemia. Mol Neurobiol 28: 229–244PubMedCrossRefGoogle Scholar
  45. 45.
    Szabo C (2005) Mechanisms of cell necrosis. Crit Care Med 33(12 Suppl): S530–S534PubMedCrossRefGoogle Scholar
  46. 46.
    Allport JR, Ding H, Collins T, Gerritsen ME, Luscinskas FW (1997) Endothelial-dependent mechanisms regulate leukocyte transmigration: a process involving the proteasome and disruption of the vascular endothelial-cadherin complex at endothelial cell-to-cell junctions. J Exp Med 186: 517–527PubMedCrossRefGoogle Scholar
  47. 47.
    Bartynski WS, Tan HP, Boardman JF, Shapiro R, Marsh JW (2008) Posterior reversible encephalopathy syndrome after solid organ transplantation. AJNR Am J Neuroradiol 29: 924–930PubMedCrossRefGoogle Scholar
  48. 48.
    Kwon EJ, Kim SW, Kim KK, Seo HS, Kim do Y (2009) A case of gemcitabine and cisplatin associated posterior reversible encephalopathy syndrome. Cancer Res Treat 41: 53–55PubMedCrossRefGoogle Scholar
  49. 49.
    Nagata Y, Omuro Y, Shimoyama T, et al (2009) [A case of colon cancer with reversible posterior leukoencephalopathy syndrome following 5-FU and oxaliplatin (FOLFOX regime)]. Gan To Kagaku Ryoho 36: 1163–1166PubMedGoogle Scholar
  50. 50.
    Vieillot S, Pouessel D, de Champfleur NM, Becht C, Culine S (2007) Reversible posterior leukoencephalopathy syndrome after carboplatin therapy. Ann Oncol 18: 608–609PubMedCrossRefGoogle Scholar
  51. 51.
    Saito B, Nakamaki T, Nakashima H, et al (2007) Reversible posterior leukoencephalopathy syndrome after repeat intermediate-dose cytarabine chemotherapy in a patient with acute myeloid leukemia. Am J Hematol 82: 304–306PubMedCrossRefGoogle Scholar
  52. 52.
    Dicuonzo F, Salvati A, Palma M, et al (2009) Posterior reversible encephalopathy syndrome associated with methotrexate neurotoxicity: conventional magnetic resonance and diffusion-weighted imaging findings. J Child Neurol 24: 1013–1018PubMedCrossRefGoogle Scholar
  53. 53.
    Hualde Olascoaga J, Molins Castiella T, Souto Hernandez S, et al (2008) [Reversible posterior leukoencephalopathy: report of two cases after vincristine treatment]. An Pediatr (Barc) 68: 282–285CrossRefGoogle Scholar
  54. 54.
    Allen JA, Adlakha A, Bergethon PR (2006) Reversible posterior leukoencephalopathy syndrome after bevacizumab/FOLFIRI regimen for metastatic colon cancer. Arch Neurol 63: 1475–1478PubMedCrossRefGoogle Scholar
  55. 55.
    Cumurciuc R, Martinez-Almoyna L, Henry C, Husson H, de Broucker T (2008) Posterior reversible encephalopathy syndrome during sunitinib therapy. Rev Neurol (Paris) 164: 605–607Google Scholar
  56. 56.
    Govindarajan R, Adusumilli J, Baxter DL, El-Khoueiry A, Harik SI (2006) Reversible posterior leukoencephalopathy syndrome induced by RAF kinase inhibitor BAY 43-9006. J Clin Oncol 24: e48PubMedCrossRefGoogle Scholar
  57. 57.
    Kamar N, Kany M, Bories P, et al (2001) Reversible posterior leukoencephalopathy syndrome in hepatitis C virus-positive long-term hemodialysis patients. Am J Kidney Dis 37: E29PubMedCrossRefGoogle Scholar
  58. 58.
    Karp BI, Yang JC, Khorsand M, Wood R, Merigan TC (1996) Multiple cerebral lesions complicating therapy with interleukin-2. Neurology 47: 417–424PubMedGoogle Scholar
  59. 59.
    Zito JA, Lee CC, Johnson S, Singer A, Vacirca J (2010) Reversible posterior leukoencephalopathy syndrome after rituximab. Am J Emerg Med 28: 537PubMedCrossRefGoogle Scholar
  60. 60.
    Zamvar V, Sugarman ID, Tawfik RF, Macmullen-Price J, Puntis JW (2009) Posterior reversible encephalopathy syndrome following infliximab infusion. J Pediatr Gastroenterol Nutr 48: 102–105PubMedCrossRefGoogle Scholar
  61. 61.
    Belmouaz S, Desport E, Leroy F, et al (2008) Posterior reversible encephalopathy induced by intravenous immunoglobulin. Nephrol Dial Transplant 23: 417–419PubMedCrossRefGoogle Scholar
  62. 62.
    Kastrup O, Diener HC (2008) TNF-antagonist etanercept induced reversible posterior leukoencephalopathy syndrome. J Neurol 255: 452–453PubMedCrossRefGoogle Scholar
  63. 63.
    Greaves P, Oakervee H, Kon SS, Jones R, Farah N (2006) Posterior reversible encephalopathy syndrome following anti-lymphocyte globulin treatment for severe aplastic anaemia. Br J Haematol 134: 251PubMedCrossRefGoogle Scholar
  64. 64.
    Bodkin CL, Eidelman BH (2007) Sirolimus-induced posterior reversible encephalopathy. Neurology 68: 2039–2040PubMedCrossRefGoogle Scholar
  65. 65.
    Huang YC, Tsai PL, Yeh JH, Chen WH (2008) Reversible posterior leukoencephalopathy syndrome caused by blood transfusion: a case report. Acta Neurol Taiwan 17: 258–262PubMedGoogle Scholar
  66. 66.
    Leniger T, Kastrup O, Diener HC (2000) Reversible posterior leukencephalopathy syndrome induced by granulocyte stimulating factor filgrastim. J Neurol Neurosurg Psychiatry 69: 280–281PubMedCrossRefGoogle Scholar
  67. 67.
    Ridolfo AL, Resta F, Milazzo L, et al (2008) Reversible posterior leukoencephalopathy syndrome in 2 HIV-infected patients receiving antiretroviral therapy. Clin Infect Dis 46:e19–e22PubMedCrossRefGoogle Scholar
  68. 68.
    Nagel S, Kohrmann M, Huttner HB, Storch-Hagenlocher B, Schwab S (2007) Linezolidinduced posterior reversible leukoencephalopathy syndrome. Arch Neurol 64: 746–748PubMedCrossRefGoogle Scholar
  69. 69.
    Delanty N, Vaughan C, Frucht S, Stubgen P (1997) Erythropoietin-associated hypertensive posterior leukoencephalopathy. Neurology 49: 686–689PubMedGoogle Scholar
  70. 70.
    Moawad FJ, Hartzell JD, Biega TJ, Lettieri CJ (2006) Transient blindness due to posterior reversible encephalopathy syndrome following ephedra overdose. South Med J 99: 511–514PubMedCrossRefGoogle Scholar
  71. 71.
    Furuta N, Fujita Y, Sekine A, Ikeda M, Okamoto K (2009) [Reversible posterior leukoencephalopathy syndrome associated with carbamazepine-induced hypertension]. Rinsho Shinkeigaku 49: 191–193PubMedGoogle Scholar
  72. 72.
    Ortiz GA, Bianchi NA, Tiede MP, Bhatia RG (2009) Posterior reversible encephalopathy syndrome after intravenous caffeine for post-lumbar puncture headaches. AJNR Am J Neuroradiol 30: 586–587PubMedCrossRefGoogle Scholar
  73. 73.
    Fabbian F, Pala M, Fallica E, et al (2010) Posterior reversible encephalopathy syndrome in an 87-year-old woman with Escherichia coli bloodstream infection. Clin Exp Nephrol 14: 176–179PubMedCrossRefGoogle Scholar
  74. 74.
    Servillo G, Apicella E, Striano P (2008) Posterior reversible encephalopathy syndrome (PRES) in the parturient with preeclampsia after inadvertent dural puncture. Int J Obstet Anesth 17: 88–89PubMedCrossRefGoogle Scholar
  75. 75.
    Baizabal-Carvallo JF, Barragan-Campos HM, Padilla-Aranda HJ, et al (2009) Posterior reversible encephalopathy syndrome as a complication of acute lupus activity. Clin Neurol Neurosurg 111: 359–363PubMedCrossRefGoogle Scholar
  76. 76.
    Yong PF, Hamour SM, Burns A (2003) Reversible posterior leukoencephalopathy in a patient with systemic sclerosis/systemic lupus erythematosus overlap syndrome. Nephrol Dial Transplant 18: 2660–2662PubMedCrossRefGoogle Scholar
  77. 77.
    Stanzani L, Fusi L, Gomitoni A, Roncoroni M, Villa P, Grampa G (2008) A case of posterior reversible encephalopathy during polyarteritis nodosa vasculitis. Neurol Sci 29: 163–167PubMedCrossRefGoogle Scholar
  78. 78.
    Nishio M, Yoshioka K, Yamagami K, et al (2008) Reversible posterior leukoencephalopathy syndrome: a possible manifestation of Wegener’s granulomatosis-mediated endothelial injury. Mod Rheumatol 18: 309–314PubMedCrossRefGoogle Scholar
  79. 79.
    Burrus TM, Mandrekar J, Wijdicks EF, Rabinstein AA (2010) Renal failure and posterior reversible encephalopathy syndrome in patients with thrombotic thrombocytopenic purpura. Arch Neurol 67: 831–834PubMedCrossRefGoogle Scholar
  80. 80.
    Kamimura H, Hirose S, Tazaki K, Suzuki Y, Satou M (2007) [Reversible posterior leukoencephalopathy syndrome with microscopic polyangiitis]. Nippon Naika Gakkai Zasshi 96: 2532–2535PubMedGoogle Scholar
  81. 81.
    Fujita M, Komatsu K, Hatachi S, Yagita M (2008) Reversible posterior leukoencephalopathy syndrome in a patient with Takayasu arteritis. Mod Rheumatol 18: 623–629PubMedCrossRefGoogle Scholar
  82. 82.
    Yildiz OK, Segmen H, Oztoprak I, Bolayir E, Topaktas S (2010) Posterior reversible encephalopathy and alexia without agraphia in a patient with Hashimoto’s encephalopathy. Neurol Sci 31: 523–525PubMedCrossRefGoogle Scholar
  83. 83.
    Zipper SG, Tischendorf M, Westphal K (2006) [Postoperative occurrence of reversible posterior encephalopathy in a patient with Crohn’s disease]. Anaesthesist 55: 1064–1067PubMedCrossRefGoogle Scholar
  84. 84.
    Fugate JE, Wijdicks EF, Kumar G, Rabinstein AA (2009) One Thing Leads to Another: GBS Complicated by PRES and Takotsubo Cardiomyopathy. Neurocrit Care 11: 395–397PubMedCrossRefGoogle Scholar
  85. 85.
    Ma ES, Chiu EK, Fong GC, Li FK, Wong CL (2009) Burkitt lymphoma presenting as posterior reversible encephalopathy syndrome secondary to hypercalcaemia. Br J Haematol 146: 584PubMedCrossRefGoogle Scholar
  86. 86.
    Greenwood MJ, Dodds AJ, Garricik R, Rodriguez M (2003) Posterior leukoencephalopathy in association with the tumour lysis syndrome in acute lymphoblastic leukaemia—a case with clinicopathological correlation. Leuk Lymphoma 44: 719–721PubMedCrossRefGoogle Scholar
  87. 87.
    Kang SY, Kang JH, Choi JC, Lee JS (2010) Posterior reversible encephalopathy syndrome in a patient with acute intermittent porphyria. J Neurol 257: 663–664PubMedCrossRefGoogle Scholar
  88. 88.
    Rodriguez-Uranga JJ, Franco-Macias E, Bernal Sanchez-Arjona M, Villalobos-Chavez F (2003) [Posterior reversible leukoencephalopathy syndrome, pheochromocytoma and von Hippel-Lindau disease]. Rev Neurol 37: 797–798PubMedGoogle Scholar
  89. 89.
    Lodish M, Patronas NJ, Stratakis CA (2010) Reversible posterior encephalopathy syndrome associated with micronodular adrenocortical disease and Cushing syndrome. Eur J Pediatr 169: 125–126PubMedCrossRefGoogle Scholar
  90. 90.
    Narbone MC, Musolino R, Granata F, Mazzu I, Abbate M, Ferlazzo E (2006) PRES: posterior or potentially reversible encephalopathy syndrome? Neurol Sci 27: 187–189PubMedCrossRefGoogle Scholar
  91. 91.
    Schiff D, Lopes MB (2005) Neuropathological correlates of reversible posterior leukoencephalopathy. Neurocrit Care 2: 303–305PubMedCrossRefGoogle Scholar
  92. 92.
    Meierkord H, Boon P, Engelsen B, et al (2010) EFNS guideline on the management of status epilepticus in adults. Eur J Neurol 17: 348–355PubMedCrossRefGoogle Scholar
  93. 93.
    Ramsay LE, Williams B, Johnston GD, et al (1999) British Hypertension Society guidelines for hypertension management 1999: summary. BMJ 319: 630–635PubMedGoogle Scholar
  94. 94.
    Varon J, Marik PE (2003) Clinical review: the management of hypertensive crises. Crit Care 7: 374–384PubMedCrossRefGoogle Scholar
  95. 95.
    Buch J (2010) Urapidil, a dual-acting antihypertensive agent: Current usage considerations. Adv Ther 27: 426–443PubMedCrossRefGoogle Scholar

Copyright information

© Springer Science+Business Media LLC 2011

Authors and Affiliations

  • S. Legriel
    • 1
  • F. Pico
    • 2
  • E. Azoulay
    • 3
  1. 1.Intensive Care DepartmentHôpital André MignotLe ChesnayFrance
  2. 2.Neurology Department and Stroke CenterHôpital André MignotLe ChesnayFrance
  3. 3.Intensive Care DepartmentHôpital St LouisParisFrance

Personalised recommendations