Abstract
Vascular tumors comprise a broad spectrum of lesions that often represent a diagnostic and therapeutic challenge. The use of different terminologies in the literature has led to considerable confusion. The revised WHO classification differs from the International Society for the Study of Vascular Anomalies (ISSVA) classification for benign lesions, but they are in overall agreement regarding intermediate and malignant lesions. The use of the ISSVA classification system has been strongly recommended in recent years because of its effectiveness and usefulness for determining the appropriate treatment in patients with vascular lesions, particularly in pediatric patients. Ultrasound coupled with color Doppler US is the imaging modality of choice for the initial assessment and characterization of a lesion of presumed vascular origin. MRI has a major role in defining the lesion’s extent and therapy planning. Infantile hemangioma is the most common vascular tumor in infancy. Venous malformation represents the most common peripheral vascular malformation, followed by lymphatic malformation. Furthermore, a number of familial or sporadic syndromes may be associated with vascular tumors and malformations.
Keywords
Hereditary Hemorrhagic Telangiectasia Glomus Tumor Venous Malformation Infantile Hemangioma Lymphatic Malformation16.1 Introduction
Vascular soft tissue lesions represent a wide and heterogeneous spectrum of lesions. Most of the lesions are recognized on clinical history and physical examination. When imaging is requested, it should be targeted to address specific issues such as planning therapeutic management by a multidisciplinary team [1].
Ultrasound (US) coupled with color Doppler US is traditionally considered the imaging modality of choice for the initial assessment and characterization of a lesion of presumed vascular origin [2]. Magnetic resonance imaging (MRI) in combination with dynamic magnetic resonance (MR) angiography is the most valuable modality for the classification of vascular anomalies [3]. Its role in evaluating the extent and relationship of the lesion to the adjacent structures is important, particularly for therapy planning. The aim of this chapter is to review the spectrum of vascular and lymphatic lesions of the musculoskeletal system.
16.2 Classification
The use of different terminologies in the literature for vascular lesions has led to considerable confusion [4]. For example, the term hemangioma has been applied to many vascular lesions of differing origins and clinical behaviors. Because the treatment strategy depends on the type of vascular anomaly, the correct diagnosis and classification are critical.
These two classifications show differences in terminology for benign lesions, but they are in agreement for intermediate and malignant tumors.
16.2.1 WHO Classification
Histological classification of vascular tumors, WHO 2013 [5]
| Benign vascular tumors |
| Hemangiomas of subcutaneous/deep soft tissue |
| Capillary |
| Cavernous |
| Arteriovenous |
| Venous |
| Intramuscular |
| Synovial |
| Epithelioid hemangioma |
| Angiomatosis |
| Lymphangioma |
| Vascular tumors of intermediate malignancy (locally aggressive) |
| Kaposiform hemangioendothelioma |
| Vascular tumors of intermediate malignancy (rarely metastasizing) |
| Retiform hemangioendothelioma |
| Papillary intralymphatic angioendothelioma |
| Composite hemangioendothelioma |
| Kaposi’s sarcoma |
| Malignant vascular tumors |
| Epithelioid hemangioendothelioma |
| Angiosarcoma |
16.2.2 ISSVA Classification
ISSVA classification of vascular tumors and malformations
| Tumors |
| Benign |
| Infantile hemangioma |
| Congenital hemangioma (RICH, NICH, PICH)a |
| Others: tufted angioma, spindle cell hemangioma, epithelioid hemangioma, pyogenic granuloma |
| Locally aggressive or borderline |
| Kaposiform hemangioendothelioma, retiform hemangioendothelioma |
| Papillary intralymphatic angioendothelioma (PILA), Dabska tumor |
| Composite hemangioendothelioma, Kaposi’s sarcoma, others |
| Malignant |
| Angiosarcoma |
| Epithelioid hemangioendothelioma |
| Malformations |
| Simple (i.e., venous, lymphatic, capillary, and arterial) |
| Combined: defined as two or more vascular malformations found in one lesion |
| Associated with other syndromes: Klippel-Trenaunay syndrome, Parkes Weber syndrome, etc. |
Equivalence in terminology between the two main classification systems for vascular lesions
| WHO classification | ISSVA |
|---|---|
| Cavernous hemangioma | Venous malformation |
| Venous hemangioma | Venous malformation |
| Intramuscular hemangioma | Venous malformation (mainly) |
| Lymphangioma | Lymphatic malformation (localized) |
| Lymphangiomatosis | Lymphatic malformation (diffuse) |
| Arteriovenous hemangioma | Arteriovenous malformation |
| Capillary hemangioma | Infantile hemangioma |
Other entities, such as glomus tumors and synovial hemangiomas, will be discussed separately.
16.3 Vascular Tumors
16.3.1 Benign Vascular
We will only describe the most common lesions and those associated with clinical or specific nosological entities.
16.3.1.1 Infantile Hemangioma (IH)
Proliferative infantile hemangioma in a 15-month-old boy. Clinical photograph shows a diffuse and lobulated mass in the arm with superficial involvement, which causes its strawberry-like appearance
-
The proliferative phase, which is characterized by rapid endothelial growth in the first few months of life that stabilizes in size at approximately 9–10 months of age. Reflecting the characteristic high-flow component of this phase, the tumor manifests as a pulsatile and warm mass [15].
-
The involuting phase, which occurs over the next several years, is a period during which the hemangioma spontaneously decreases in size and is replaced by a residual fibrofatty mass [16]. This process is usually completed by 7–10 years of age [17].
On pathological examination, whatever the phase, IHs express a unique immunophenotype (glucose transporter protein-1 (GLUT1)), which differentiates them from other vascular lesions [18].
Infantile hemangiomas are most commonly seen on the face and neck (60 % of cases), followed by the trunk (25 %) and extremities (15 %) [19]. They are multifocal in approximately 30 % of the cases [1].
Infantile hemangioma. Nine-month-old boy with subcutaneous mass in his posterior cervical neck. (a) Axial Ultrasound. (b) Axial color Doppler ultrasound. (c) Spectral analysis obtained in tumor center. (d) Axial T1-weighted MR image. (e) Axial T2-weighted MR image, with fat suppression. (f) Axial T1-weighted MR image after Gadolinium contrast administration with fat suppression. (a–c) Ultrasound shows a solid mass with well-defined margins in the subcutaneous soft tissues of the neck (a). The lesion is predominantly hyperechoic with scattered hypoechoic foci that correspond to vessels (white arrow). (b, c) Color Doppler shows hypervascular lesion with low-resistance arteries. (d–f) MRI shows a well-defined, lobulated soft-tissue mass confined to the subcutaneous soft tissues. The mass is isointense relative to muscle on the unenhanced T1-weighted image (d), hyperintense on T2-weighted image (e), and shows uniform enhancement (f). All three images demonstrate small, intralesional signal void foci (black arrows) due to fast flow vessels. There is no invasion of the underlying muscle and no perilesional oedema
Infantile haemangioma of the cheek in a 7-year-old girl during involution phase. (a) Axial T1-weighted MR image. (b) Axial T2-weighted MR image with fat suppression. (c) Axial T1-weighted MR image after Gadolinium contrast administration with fat suppression. MRI images show a subcutaneous hyperintense mass on T1-weighted image (a), slightly hyperintense on T2-weighted image (b) with minimal enhancement (c). No flow voids are seen
The presence of a high resistance index on the spectral analysis or a marked perilesional edema on the T2-weighted images is suggestive of other tumoral lesions, such as sarcomas, neuroblastomas, myofibromatosis, tuft hemangiomas, metastatic neuroblastomas, or other tumors [2].
Multiple hemangiomas of the skin are usually linked with visceral hemangiomas. Segmental hemangiomas may be associated with PHACE syndrome (see Sect. 16.6.1) [22]. Most of these segmental hemangiomas are telangiectatic or reticular and do not demonstrate a high-flow pattern on Doppler US.
In the majority of the cases, no treatment is required due to spontaneous involution. However, 10–20 % of the cases require treatment, including cases with periocular location with vision compromise, high-output cardiac failure, ulceration, compression of the airway, facial hemangiomas with rapid growth and distortion, and symptomatic muscular hemangiomas. Medical treatment is usually attempted first, and propranolol is typically the first-line therapy with excellent results in most cases [23]. Other treatments include corticosteroids, vincristine, interferon, and laser therapy. Surgery is required when medical alternatives are ineffective, mostly in cases involving function-threatening, life-endangering, and disfiguring lesions [16].
Key Points
-
Infantile hemangioma.
-
The most common vascular tumor of infancy.
-
Characterized by two biologic phases (proliferative/involuting).
-
Positive for the GLUT1 marker at both stages.
-
Presence of a high-flow soft tissue mass.
-
If perilesional edema is present, other tumoral lesions must be ruled out.
16.3.1.2 Congenital Hemangioma (CH)
-
Rapidly involuting congenital hemangiomas (RICH), which completely regress during the first 2 years of life.
- Noninvoluting congenital hemangiomas (NICH), which demonstrate growth proportional to that of the child without regression (Fig. 16.4).Fig. 16.4
Congential hemangioma in a 3-year-old boy. (a) Clinical photograph. (b) Axial color Doppler image with spectral display obtained in tumor center. (a) Non-involuting congenital hemangioma (NICH) is seen as an overlying bluish discoloration with clear peripheral halo (arrow). The lesion has been present since birth, growing proportionally to the patient’s growth. (b) Color Doppler image shows the marked increased vascularity inside the lesion with low-resistance arteries. The imaging features are indistinguishable from those of infantile hemangioma
-
Partially involuting congenital hemangiomas (PICH), which have a distinct behavior, evolving from RICH to NICH-like lesions. RICH may be clinically difficult to differentiate from infantile hemangioma but the GLUT1 marker is negative.
Congenital hemangiomas share the same imaging findings on sonography. These features are similar to those of infantile hemangiomas, except for the presence of intravascular thrombi, vascular aneurysms, and arteriovenous shunting [26].
NICH are usually treated by a surgical resection [27].
16.3.1.3 Epithelioid Hemangioma
This benign vascular tumor is encountered in adult patients with a variable sex predilection [5, 28]. It is usually superficially located and is responsible for red nodules mainly on the face and fingers. Furthermore, deep locations, including in the bone, are possible [5]. Epithelioid hemangiomas are differentiated from Kimura’s disease, a chronic inflammatory lesion affecting young Asian men, which shares clinical and pathological similarities to epithelioid hemangiomas [29]. The imaging is nonspecific [28].
16.3.2 Intermediate and Malignant Vascular Tumors
16.3.2.1 Kaposiform Hemangioendothelioma (KHE)
KHEs are locally aggressive, rare vascular tumors of intermediate malignancy [5, 6]. Their pathology is characterized by frequent lymphatic abnormalities [10]. Even if the tumor does not metastasize, intra-abdominal deep forms have a poor prognosis because they are rarely curable by surgery [30].
MR imaging helps to differentiate KHEs from infantile hemangiomas. KHE appears as an ill-defined lesion with hemosiderin deposits and smaller feeding and draining vessels. Moreover, KHEs involve multiple tissue planes and destruction of the adjacent bones is also observed [10, 15].
KHEs are often associated with Kasabach-Merritt syndrome [10] which is characterized by thrombocytopenia, microangiopathic hemolytic anemia, and localized consumption coagulopathy. In the latter case, medical treatment is recommended (propranolol, corticosteroids, vincristine) [31, 32].
16.3.2.2 Kaposi’s Sarcoma
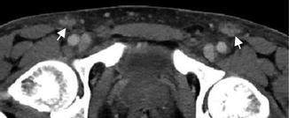
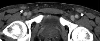
Kaposi sarcoma in a 35-year-old man (endemic type). Computed tomography after iodinated-contrast injection shows an enhancing bilateral inguinal lymphadenopathy (arrows)
16.3.2.3 Epithelioid Hemangioendothelioma (EH)
This rare malignant vascular tumor demonstrates a local recurrence rate of 10–15 % and a high metastatic rate (20–30 %). About half of the cases are multifocal [34, 35]. This lesion can arise in any vascular tissue and has been reported to be located on the skin, muscle, vasculature, bone, brain, and stomach. Tumor location in the liver and lungs may be confused with metastatic disease [35, 36, 37]. The adjacent vessels may be thrombosed, which may lead to symptoms. Calcifications can be observed [36, 38]. This lesion is often associated with Kasabach-Merritt syndrome.
16.3.2.4 Angiosarcoma
Angiosarcoma in a 70-year-old men. (a) Clinical photograph. (b) Axial color Doppler image. (c) Computed tomography. (a) Clinical appearance of numerous skin lesions. (b) Ultrasound with color Doppler shows nodular superficial tissue mass, slightly hypoechogenic and predominately peripheral flow within the soft tissue mass. (c) Computed tomography demonstrates a non specific subcutaneous nodular lesion
Stewart-Treves syndrome in a 66-year-old woman who was treated 20 years ago for uterus cervical cancer. (a) Axial T2-weighted MR image, with fat suppression. (b) Axial T1-weighted MR image. (c) Axial T1-weighted MR image after Gadolinium contrast administration, with fat suppression. (d) Clinical photograph. (a) Axial T2-W fat-suppressed MR images reveals an enlarged right extremity with subcutaneous edema (arrowheads) (a–c) Nodular mass of low signal intensity on T1, with low to intermediate and heterogeneous signal intensity on T2 and a heterogeneous enhancement (arrows) representing the angiosarcoma. (d) Clinical photograph shows the purplish skin lesion
16.4 Vascular Malformations
-
Low-flow malformations (venous, lymphatic, capillary, capillary-venous, and capillary-lymphatic-venous)
-
High-flow malformations (arteriovenous malformations [AVMs] corresponding to an anastomosis between an artery and a vein through a nidus and arteriovenous fistulas [AVFs] with a direct anastomosis between a main artery and a main vein)
This distinction is important for planning treatment. Interventional radiologists play a major role in these lesions with the increasing use of sclerotherapy and embolization therapies.
16.4.1 Venous Malformations (VMs)
VMs represent the most common peripheral vascular malformation [43, 44]. They can be simple, combined (e.g., capillary-venous and capillary-lymphaticovenous malformations), or syndromic (associated with Klippel-Trenaunay syndrome, blue rubber bleb nevus syndrome, or Maffucci syndrome). They are present at birth, but patients usually develop symptoms during late childhood or early adulthood (especially during puberty and pregnancy). They vary in size and shape and can be localized and well defined or diffuse and infiltrative. They can involve the superficial and/or deep tissues. When superficial, patients typically demonstrate bluish skin abnormalities and a soft compressible and nonpulsatile soft tissue mass [45]. They typically expand during the Valsalva maneuver and decompress with extremity elevation and local compression [17, 45]. They can also be deep, involving many anatomical structures, including the muscle, synovial membrane, bone, and liver [4, 45, 46]. They may cause pain, impaired mobility, and skeletal deformities. They are usually located on the extremities (40 %), head and neck (40 %), and trunk (20 %) [17, 45]. Elevated D-dimer levels are a specific biomarker for VMs [47].
Pathologically, VMs are characterized by small- or large-sized venous channels connected with the normal venous system. They may contain thrombi whose dystrophic mineralization produces phleboliths [43]. Although pathologists now apply the new ISSVA nomenclature [46, 48], the historical terminology is kept in the current WHO classification (Table 16.1) [5]. Therefore, entities such as cavernous, venous, or intramuscular hemangiomas usually correspond to venous malformations and are still frequently used in pathologic reports using the WHO classification [5, 38, 46].
Venous malformation of the left plantar region. (a) Plain radiograph. (b) Axial ultrasound. (c) Axial spin-echo T2-weighted MR image, with fat suppression. (d) Axial gradient-echo T2-weighted MR image. (a) Plain radiography demonstrates periosteal reaction, probably related to chronic vascular stasis (black arrowhead), and phlebolith (circle). This finding is characteristic of intramuscular venous malformation. (b) US shows hypoechogenic soft-tissue lesion with hyper echogenic foci with posterior acoustic shadowing corresponding to phleboliths (arrow). (c, d) Spin-echo and gradient-echo T2-weighted images show the VM as multiple slightly hyperintense serpiginous channels (star) with rounded hypointense phleboliths (white arrowheads), extending within the plantar muscles
Five-year-old girl with intramuscular venous malformation. (a) Ultrasound image. (b) Ultrasound image after local compression. (c) Color Doppler image. (a) Ultrasound image shows a heterogeneous lesion (arrowhead) with internal fluid component (arrow). (b) The lesion is compressible (arrowhead). (c) After decompression, filling of the cavities (vessels) can be observed on color Doppler US
Ten-year-old boy with subcutaneaous venous malformation. (a) Axial T1-weighted MR image. (b) Axial T2-weighted MR image with fat suppression. (c) Axial T1-weighted MR image after Gadolinium contrast administration with fat suppression. (a) MR images show multiple serpiginous areas confined to the subcutaneous soft tissues, isointense on T1-weighted image, separated by hyperintense areas corresponding to fatty components. (b) The lesion is hyperintense on T2-weighted image and (c) shows diffuse enhancement
Venous malformation with fluid-fluid level in a 5-year-old boy with recent trauma. Axial T2-weighted MR image with fat suppression reveals numerous intramuscular cavities with fluid–fluid levels. Note the presence of low signal intensity spot corresponding to phlebolith
Intramuscular venous malformation of the upper extremity. (a) Sagittal T1-weighted MR image. (b) Sagittal T2-weighted image with fat saturation. (c) Maximum intensity projection (MIP) after 3D contrast-enhanced MR angiography, late venous phase. (a) T1-weighted image shows an intramuscular and extensive lesion which involves the forearm muscles and elbow joint, surrounded by fat component (arrowheads). (b) The lesion is composed of multiple tortuous hyperintense vessels on T2-weighted image representing a slow flow vascular malformation. At least two phleboliths (circles) are seen as low signal foci inside the dilated veins. (c) Late venous phase image from gadolinium-enhanced 3D MR angiography shows characteristic filing of cavernous spaces with diffuse and nodular enhancement (star)
Intramuscular venous malformation of the thigh in a 32-year-old man with pain exacerbated during exercise. (a) Ultrasound. (b) Sagittal T1-weighted MR image. (c) Axial T1-weighted MR image after Gadolinium contrast administration, with fat suppression (a) Ultrasound shows a nonspecific intramuscular soft tissue lesion (white arrowhead) (b) MR image demonstrates fat component surrounding the lesion (black arrowheads), (c) and serpiginous enhancement after gadolinium contrast administration (arrow)
Patient with diffuse and infiltrative venous malformation of the knee. (a) Plain radiograph. (b) Coronal T2-weighted image with fat saturation. (c) Axial T2-weighted image with fat saturation. (a) Plain radiograph shows a widening of intercondylar notch with erosion of the medial femoral condyle. (b, c) MRI shows infiltrative and serpentine vascular spaces with involvement of multiple compartments of the knee. Hyperintense nodular and serpentine areas of vascular vessels are seen in the subcutis (arrowheads), muscles and joint. Note the dilated deep veins (black arrowhead)
Most VMs are managed conservatively with a compression bandage of the extremity and medical antalgics for pain. In cases of major pain, joint involvement, and functional or cosmetic problems, the first-line treatment for VMs is sclerotherapy (dehydrated ethanol, sodium tetradecyl sulfate, polidocanol, and bleomycin), which can be followed by resection, laser therapy, and photodynamic therapy [57, 58].
Key Points
-
Venous malformations
-
Superficial or deep (muscle, synovial membrane, bone, liver) and localized or diffuse
-
Expansion during Valsalva maneuver/decompression with extremity elevation and local compression
-
Phleboliths +++
-
Tubular and serpiginous cavities strongly hyperintense on T2-weighted images
-
Diffuse and delayed enhancement of the slow-flowing venous channels after contrast administration
16.4.2 Lymphatic Malformations (LMs)
-
Macrocystic types (formerly cystic hygroma), with cysts >2 cm
-
Microcystic types (formerly lymphangioma), with cysts between 1 and 2 cm
-
Mixed types with capillary and/or venous malformations
Pathologically, they are composed of serpiginous dilated lymphatic channels that do not communicate with the normal lymphatic system [45], except in the retroperitoneum. Macrocystic and microcystic lesions are pathologically indistinguishable [61]. Diagnosis is suggested after a positive test for markers of lymph vessels, such as the vascular endothelial growth factor receptor 3 (VEGFR-3), LYVE-1, D2-40, and podoplanin [61, 62, 63]. However, it should be kept in mind that LMs can be associated with the other vascular malformations.
LMs are present at birth in half of the patients (prenatal diagnosis of macrocystic types is possible) and are diagnosed before the age of 2 years in 90 % of the cases [61, 64]. They mainly involve the head and neck (55–95 %) and axillary regions (20 %) with a predilection for the left side of the body [64]. They can affect multiple structures (lung, intestine, liver, spleen, etc.) including the bones [38]. Macrocystic LMs are typically large and clinically manifest as a soft swelling mass with a rubbery consistency. They are well limited and mobile under a normal skin [57, 64]. Transillumination confirms the liquid nature of the lesion. The majority of the cases are asymptomatic, but complications, such as local compression, sudden increase in size secondary to bleeding (trauma), or infection from an adjacent process of the head and neck, can occur [65].
Microcystic LMs tend to infiltrate the adjacent structures. They are sometimes associated with a particular skin damage (lymphangioma circumscriptum) [1, 2, 61]. More unusual locations include the mediastinum, retroperitoneum, omentum, mesentery, and bones [66].
Ultrasound demonstrates a multiloculated cystic mass and the size of the cavity determines the type of LM. The cystic spaces are mostly anechoic or hypoechoic, but levels may be observed in cases of bleeding, infection, or chylous fluid. Septa of variable thickness correspond to clusters of lymph structures. LMs do not demonstrate any associated vascularity, soft tissue components, or perilesional inflammatory changes. Calcifications are sometimes observed.
Macrocystic lymphatic malformation in a 30-year-old woman with a swollen mass in the neck. (a) Axial T1-weighted MR image. (b) Axial T2-weighted MR image with fat suppression. (c) Axial T1-weighted MR image after Gadolinium contrast administration with fat suppression. (a) MRI demonstrates a well-defined, lobulated isointense mass on T1-weighted image, (b) which is highly hyperintense on T2-weighted image, (c) and does not enhance after gadolinium contrast administration
Microcystic lymphatic malformation. (a) Clinical photograph. (b) Coronal T1-weighted MR image. (c) Coronal T2-weighted MR image with fat suppression. (d) Coronal T1-weighted MR image after Gadolinium contrast administration with fat suppression. (a) Clinical photograph shows an extensive skin lesion of the thigh (white arrowheads). (b–d) MRI reveals the skin thickening on T1-weighted image (white arrowhead) (b) and a diffuse involvement of the subcutaneous tissue (star) with a lobulated and septated mass (arrow). There is no significant enhancement of these features (d), a finding characteristic of a microcystic lymphatic malformation. Note the associated involvement of the bone
The first-line therapy is percutaneous sclerotherapy, usually with absolute alcohol under radiological control. Several sessions are needed in extensive forms of LM. As this treatment is usually effective in macrocystic LMs, surgery is less frequently proposed [57]. Microcystic LMs are more difficult to treat and recurrence is more frequent. They should be managed conservatively as much as possible [2].
Key Points
-
Lymphatic malformations
-
Macrocystic, microcystic, or mixed
-
Most frequent in the neck and head regions and then axilla
-
Can be combined with other vascular malformations (capillary-venous)
-
Macrocystic LMs: cystic lesion/ring-septal enhancement after gadolinium contrast administration
-
Microcystic LMs: cutaneous skin damage/no significant enhancement after gadolinium contrast administration
16.4.3 Capillary Malformations (CMs)
These intradermal vascular lesions are composed of mature ectatic capillary channels and are hemodynamically inactive. The diagnosis of CMs is clinically based on the appearance of a cutaneous red discoloration [9]. CMs are present at birth in 0.3 % of children [15], and they typically regress. They usually involve the face but can develop anywhere. They can be associated with malformation syndromes, such as Sturge-Weber syndrome, Klippel-Trenaunay syndrome, and Parkes Weber syndrome. Nonspecific thickening of the skin can be observed with US or MRI [1].
16.4.4 Arteriovenous Malformations (AVMs)
AVMs are high-flow vascular malformations related to an abnormal communication between arteries and veins, with persistence of fetal capillary beds [8]. They are usually sporadic but can be seen in hereditary syndromes [26, 67]. They most often affect the head and neck region (including the brain), the extremities, and the internal organs [5]. They are present at birth in an early quiescent stage and usually do not become evident before until later childhood or adulthood. Like the other vascular malformations, they generally increase in size proportional to the growth of the child and are under hormonal influences (puberty, pregnancy). Their size can also be influenced by trauma (such as biopsy or incomplete surgery) [17, 45]. They are hemodynamically active, which can result in a red, pulsatile, warm mass with dilated superficial draining veins [68]. The presence of the shunt may induce limb hypertrophy and reflex bradycardia after compression of the lesion. Adjacent bone or joint damage is possible (marked periosteal reaction or destruction) [2, 26].
The histology of AVMs is highly variable with a combination of capillaries, venules, and arterioles in a fibrous or fibromyxoid stroma. Correlation with imaging is important for the diagnosis of AVMs. Calcifications and thrombosis are possible [5].
On US, AVMs are seen as ill-defined areas formed by multiple juxtaposed tortuous vessels, separated by hyperechoic fat. The vessels include arteries with diastolic flow and arterialized draining veins with pulsatile flow (not seen in hemangiomas) [17]. The nidus is recognized by its various vascular areas and aliasing phenomena in terms of the color Doppler shunts [20].
Complex arteriovenous malformation affecting the calf in a 15-year-old woman. (a) Axial T1-weighted MR image. (b) Axial T2-weighted MR image with fat suppression. (c) Coronal T2-weighted MR image with fat suppression. (d–f) Conventional angiographic images acquired from early arterial phase to venous phase. (a, b) Signal voids in the high flow vessels can be depicted on both T1-weighted and T2-weighted MR images, including the feeding artery (arrow) and arterialized draining vein (arrowhead). (c) Coronal T2-weighted MR image reveals the nidus (circle). (d–f) Arteriogram acquired demonstrates a slightly enlarged tortuous artery (arrow) during the early arterial phase, the nidus (star) on late arterial phase, and then enlarged draining veins (arrowheads)
Arteriovenous malformation of the knee in a 30-year-old man. (a) Coronal T2-weighted MR image with fat suppression. (b) Maximum intensity projection (MIP) after 3D contrast-enhanced MR angiography. (c, d) Conventional angiographic images acquired during early arterial phase before the treatment. (a) The lesion is composed of tortuous enlarged feeding arteries located within the medial collateral ligament with a distended vein. (b) Two feeding arteries (black arrowheads) are seen on MIP after 3D contrast-enhanced MR angiography, with the early venous feeding (arrow). (c, d) Conventional angiographic images confirm these findings and reveals the two feeding arteries (arrowheads) from the superficial femoral artery
The goal of treatment for AVMs is the eradication of the nidus, causal factor of the shunt. Treatment includes two stages, a preoperative embolization by a biological glue and a complete surgical excision [57]. Different surgical approaches have been described, including arterial microcatheterism, direct percutaneous puncture, and retrograde venous microcatheterism [45].
Key Points
-
Arteriovenous malformations
-
Ill-defined area with multiple vessels (arteries with diastolic flow/arterialized draining veins with pulsatile flow)
-
Early venous filling
16.5 Particular Vascular Lesions
16.5.1 Glomus Tumor (GT)
According to the latest revision of the WHO classification (2013), glomus tumor is regarded as a pericystic (perivascular) tumor (see also Chaps. 11 and 15).
Glomus tumors and its rare variants, such as glomangioma (20 % of cases), glomangiomyoma (less than 10 % of cases), and the exceptional malignant glomus tumor [69], are derived from neuromyoarterial glomus bodies. These millimeter organs are involved in thermoregulation by modulation of cutaneous blood flow. They are mainly localized in the dermis, at the ends of fingers and toes, and especially under the nails [38, 70]. The most common location for GTs is the tip of the fingers, particularly the subungual area where it can lead to erosion of the adjacent phalanx [71]. They are less common in the pulp. They are mainly observed in adults and are observed as a small red-blue superficial nodule (1 mm−3 cm), with extremely intense focal pain, triggered by pressure and cold [70]. This clinical presentation results in diagnosis in 90 % of the cases when the digits are involved [72]. Subungual lesions have female predilection in contrast to the other locations [70, 73]. Other rare locations include muscles, tendons, nerves, bones, and viscera [74, 75, 76] and involve less specific symptoms [70].
Glomus tumor of the nail bed. (a) Ultrasound. (b) Power Doppler image. (a) Ultrasound images show an isoechogenic mass eroding the underlying distal phalanx (P3) (arrow). The lesion is markedly hypervascular (b) on power Doppler image
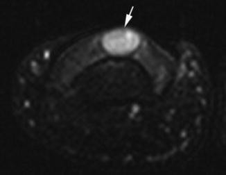
Glomus tumor of the nail bed. Axial T2-weighted MR image with fat suppression shows a 2 mm markedly hyperintense lesion of the nail bed
Surgical excision must be complete to be effective for pain and prevent recurrences (4–20 % in the subungual location) [77].
Key Points
-
Glomus tumor
-
Benign tumor of the neuromyoarterial glomus bodies
-
Tip of the fingers, mainly in the subungual area
-
Highly suggestive clinical presentation: small red-blue nodule, intense focal pain triggered by pressure and cold
-
Small highly vascular lesion of the nail bed, possible erosion of the adjacent bone
16.5.2 Synovial Hemangioma (SH)
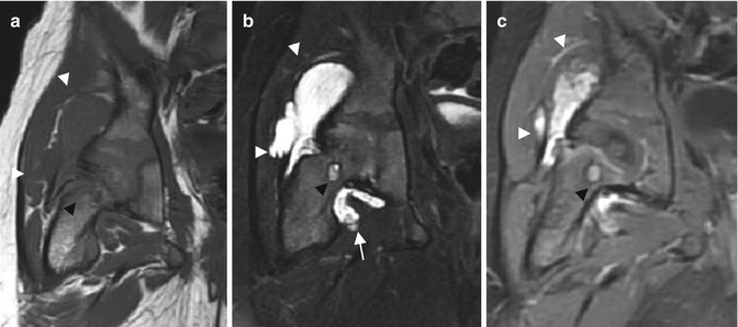
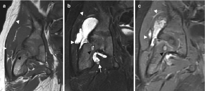
Synovial hemangioma of the hip. (a) Coronal T1-weighted MR image. (b) Coronal T2-weighted MR image with fat suppression. (c) Coronal T1-weighted MR image after Gadolinium contrast administration with fat suppression. Hemangioma demonstrates a low signal intensity on T1-WI, bright signal intensity on T2-WI and enhances after gadolinium administration (white arrowheads). Note the hypointense area under the femoral head related to hemosiderin deposition (arrow) and the erosive change of the anterior aspect of the femoral neck (black arrowhead)
Early surgical excision is mandatory to prevent the development of arthropathy.
16.6 Syndromes Associated with Vascular Lesions
Main syndromes associated with vascular tumors and malformations
| Tumors | ||
| PHACE syndrome/PELVIS and SACRAL syndrome: infantile hemangioma | ||
| Kasabach-Merritt syndrome: kaposiform hemangioendotheliomas, tufted angiomas | ||
| Malformations | ||
| Syndrome | Hemodynamic | Main location |
| Klippel-Trenaunay | Low-flow | Extremities |
| Maffucci | Low-flow | Extremities |
| Parkes Weber | High-flow | Extremities |
| Sturge-Weber | Low-flow | Head |
| Proteus | Low-flow | Diffuse |
| Rendu-Osler-Weber | High-flow | Diffuse |
16.6.1 PHACE Syndrome
PHACE is an acronym for the syndrome’s most common clinical and imaging findings: posterior fossa malformations, segmental infantile hemangiomas of the face and neck (usually larger than 5 cm), arterial anomalies, cardiac defects or coarctation of the aorta, eye or endocrine anomalies, and sternal defects [67, 87].
16.6.2 PELVIS and SACRAL Syndromes
-
PELVIS for Perineal hemangioma, External genitalia malformations, Lipomyelomeningocele, Vesicorenal abnormalities, Imperforate anus, and Skin tag
-
SACRAL for Spinal dysraphism, Anogenital anomalies, Cutaneous malformations, Renal and urological anomalies, and Angioma of Lumbosacral localization
Evaluation with MRI is therefore recommended for such lesions in this particular location [88, 89].
16.6.3 Kasabach-Merritt Syndrome
Kasabach-Merritt syndrome is characterized by a combination of vascular lesions (kaposiform hemangioendotheliomas, tufted angiomas), thrombocytopenia, and coagulopathy causing hemorrhage, infections, and multiple organ failure [67]. The mortality rate is close to 30 % [38], and aggressive therapy is required (steroids, vincristine, and interferons).
16.6.4 Klippel-Trenaunay Syndrome
Klippel-Trenaunay syndrome in a 30-year-old boy. (a) Coronal T2-weighted MR image with fat suppression. (b, c) Axial T2-weighted MR images with fat suppression of the pelvis and thigh. (a–c) There is hemihypertrophy of left lower extremity with extensive subcutaneous (star) and intramuscular venous malformations. Note the characteristic abnormal sapheneous vein (arrowhead in c)
Abnormal development of the deep and superficial veins explains persistent embryonic veins including lateral veins with persistent sciatic vein and dilated superficial system. Hypertrophy is variable, affecting the whole leg or only the distal digits [91]. Syndactyly, polydactyly, and congenital hip dislocation can also be observed [92].
On imaging, vascular overgrowth demonstrates slow and late enhancement indicating low-flow malformations. Deep venous malformations of the femoral vein are commonly seen. Because of overgrowth of the soft tissues, the affected limb is usually larger and longer than the unaffected limb [86].
16.6.5 Maffucci Syndrome
Maffucci syndrome is a rare and non-hereditary syndrome characterized by the association of multiple enchondromas and multiple low-flow vascular malformations (mainly venous, rarely lymphatic) [93]. Clinically, it manifests before 1 year of age in 25 % of the patients and by the puberty in 80 % of all cases [67].
Maffuci syndrome. Plain radiograph of the hand. Multiple, expansible, well-defined and predominantly lytic lesions within the phalanges and metacarpals of the hand (stars) correspond to multiple enchondromas. The presence of phleboliths (arrows) within the soft tissue are highly suggestive of a Maffuci syndrome
The malignant transformation rate is high and involves enchondromas (chondrosarcoma) in 15–20 % of the patients [95] or vascular malformations (angiosarcoma) in 3–5 % of the cases [96]. There is also a higher incidence of other malignant tumors, such as gliomas and ovarian and pancreatic tumors. A long-term follow-up is therefore mandatory [93].
16.6.6 Parkes Weber Syndrome
Parkes Weber syndrome combines a cutaneous capillary malformation with limb hemihypertrophy, congenital varicose veins, and arteriovenous malformations (a major difference with Klippel-Trenaunay syndrome). Numerous small periarticular arteriovenous fistulas or shunts can be detected in the affected limb [97]. Cardiac failure occurs in some patients with high blood flow vascular malformations.
16.6.7 Rendu-Osler-Weber Syndrome
Hereditary hemorrhagic telangiectasia (Rendu-Osler-Weber syndrome) is a genetic, autosomal dominant disorder. It is characterized by telangiectasia and arteriovenous malformations in specific locations, leading to epistaxis and hemorrhage into the digestive tract [98]. Lesions commonly involve the mucous membranes, skin, lungs, and genitourinary and gastrointestinal systems. At imaging, Rendu-Osler-Weber syndrome is characterized by arteriovenous malformations or fistulas in the lungs, liver, central nervous system, or other sites [99].
Key Points
- 1.
Different terminology for designating vascular tumors may cause confusion. The revised WHO classification (2013) differs from ISSVA classification for benign lesions, but there is an overall agreement for intermediate and malignant lesions.
- 2.
Infantile hemangioma is the most common vascular tumor in infancy.
- 3.
Venous malformation represents the most common peripheral vascular malformation, followed by lymphatic malformation.
- 4.
A number of familial or sporadic syndromes may be associated with vascular tumors and malformations.
- 5.
The presence of phleboliths in a soft tissue mass on plain radiographs strongly suggests a venous malformation.
- 6.
Ultrasound coupled with color Doppler US is the imaging modality of choice for the initial assessment and characterization of a lesion of presumed vascular origin.
- 7.
MRI has a major role in defining the lesion’s extent and therapy planning. Conventional angiography has been largely replaced by dynamic magnetic resonance (MR) angiography for the classification of vascular anomalies. Arteriography is only performed when MR features are equivocal or when embolization is considered.
References
- 1.Restrepo R (2013) Multimodality imaging of vascular anomalies. Pediatr Radiol 43(Suppl 1):S141–S154. doi: 10.1007/s00247-012-2584-y CrossRefPubMedGoogle Scholar
- 2.Dubois J, Alison M (2010) Vascular anomalies: what a radiologist needs to know. Pediatr Radiol 40:895–905. doi: 10.1007/s00247-010-1621-y CrossRefPubMedGoogle Scholar
- 3.Flors L, Leiva-Salinas C, Maged IM, Norton PT, Matsumoto AH, Angle JF, Hugo Bonatti M, Park AW, Ahmad EA, Bozlar U, Housseini AM, Huerta TE, Hagspiel KD (2011) MR imaging of soft-tissue vascular malformations: diagnosis, classification, and therapy follow-up. Radiogr Rev Publ Radiol Soc N Am Inc 31:1321–1340. doi: 10.1148/rg.315105213, -1341Google Scholar
- 4.Cohen MM (2007) Hemangiomas: their uses and abuses. Am J Med Genet A 143A:235–240. doi: 10.1002/ajmg.a.31571 CrossRefPubMedGoogle Scholar
- 5.Fletcher C, Bridge J, World Health Organization (2013) Classification of tumours of soft tissue and bone. IRAC, LyonGoogle Scholar
- 6.ISSVA Classification of Vascular Anomalies ©2014 International Society for the Study of Vascular Anomalies Available at “issva.org/classification”Google Scholar
- 7.Enzinger F, Weiss S (1995) Benign tumors and tumorlike lesions of blood vessels. In: Enzinger FM, Weiss SW (eds) Soft tissue tumors, 3rd edn. Mosby, St. Louis, pp 579–626Google Scholar
- 8.Mulliken JB, Glowacki J (1982) Hemangiomas and vascular malformations in infants and children: a classification based on endothelial characteristics. Plast Reconstr Surg 69:412–422CrossRefPubMedGoogle Scholar
- 9.Enjolras O, Wassef M, Chapot R (2007) Color atlas of vascular tumors and vascular malformations. Cambridge University Press, CambridgeCrossRefGoogle Scholar
- 10.Navarro OM, Laffan EE, Ngan B-Y (2009) Pediatric soft-tissue tumors and pseudo-tumors: MR imaging features with pathologic correlation: part 1. Imaging approach, pseudotumors, vascular lesions, and adipocytic tumors. Radiogr Rev Publ Radiol Soc N Am Inc 29:887–906. doi: 10.1148/rg.293085168 Google Scholar
- 11.Cohen MM (2006) Vascular update: morphogenesis, tumors, malformations, and molecular dimensions. Am J Med Genet A 140:2013–2038. doi: 10.1002/ajmg.a.31333 CrossRefPubMedGoogle Scholar
- 12.Mulliken J (1993) Cutaneous vascular anomalies. Semin Vasc Surg 6(4):204–218PubMedGoogle Scholar
- 13.Mulliken J (2006) Mulliken and Young’s vascular anomalies: hemangiomas and malformations, 1st edn. Oxford University Press, OxfordGoogle Scholar
- 14.Berenguer B, Mulliken JB, Enjolras O, Boon LM, Wassef M, Josset P, Burrows PE, Perez-Atayde AR, Kozakewich HPW (2003) Rapidly involuting congenital hemangioma: clinical and histopathologic features. Pediatr Dev Pathol Off J Soc Pediatr Pathol Paediatr Pathol Soc 6:495–510Google Scholar
- 15.Moukaddam H, Pollak J, Haims AH (2009) MRI characteristics and classification of peripheral vascular malformations and tumors. Skeletal Radiol 38:535–547. doi: 10.1007/s00256-008-0609-2 CrossRefPubMedGoogle Scholar
- 16.Kwon E-KM, Seefeldt M, Drolet BA (2013) Infantile hemangiomas: an update. Am J Clin Dermatol 14:111–123. doi: 10.1007/s40257-013-0008-x CrossRefPubMedGoogle Scholar
- 17.Dubois J, Rypens F (2009) Vascular anomalies. Ultrasound Clin 4:471–495CrossRefGoogle Scholar
- 18.North PE, Waner M, Mizeracki A, Mrak RE, Nicholas R, Kincannon J, Suen JY, Mihm MC (2001) A unique microvascular phenotype shared by juvenile hemangiomas and human placenta. Arch Dermatol 137:559–570CrossRefPubMedGoogle Scholar
- 19.Finn MC, Glowacki J, Mulliken JB (1983) Congenital vascular lesions: clinical application of a new classification. J Pediatr Surg 18:894–900CrossRefPubMedGoogle Scholar
- 20.Degrugillier-Chopinet C, Bisdorff-Bresson A, Laurian C, Breviere G-M, Staumont D, Fayoux P, Lenica D, Gautier C (2011) Role of duplex Doppler for superficial “angiomas”. J Mal Vasc 36:348–354. doi: 10.1016/j.jmv.2011.08.003 CrossRefPubMedGoogle Scholar
- 21.Konez O, Burrows PE (2002) Magnetic resonance of vascular anomalies. Magn Reson Imaging Clin N Am 10(363–388):viiGoogle Scholar
- 22.Metry DW, Dowd CF, Barkovich AJ, Frieden IJ (2001) The many faces of PHACE syndrome. J Pediatr 139:117–123. doi: 10.1067/mpd.2001.114880 CrossRefPubMedGoogle Scholar
- 23.Léauté-Labrèze C, Taïeb A (2008) Efficacy of beta-blockers in infantile capillary haemangiomas: the physiopathological significance and therapeutic consequences. Ann Dermatol Venereol 135:860–862. doi: 10.1016/j.annder.2008.10.006 CrossRefPubMedGoogle Scholar
- 24.Gorincour G, Kokta V, Rypens F, Garel L, Powell J, Dubois J (2005) Imaging characteristics of two subtypes of congenital hemangiomas: rapidly involuting congenital hemangiomas and non-involuting congenital hemangiomas. Pediatr Radiol 35:1178–1185. doi: 10.1007/s00247-005-1557-9 CrossRefPubMedGoogle Scholar
- 25.Nasseri E, Piram M, McCuaig CC, Kokta V, Dubois J, Powell J (2014) Partially involuting congenital hemangiomas: a report of 8 cases and review of the literature. J Am Acad Dermatol 70:75–79. doi: 10.1016/j.jaad.2013.09.018 CrossRefPubMedGoogle Scholar
- 26.Lowe LH, Marchant TC, Rivard DC, Scherbel AJ (2012) Vascular malformations: classification and terminology the radiologist needs to know. Semin Roentgenol 47:106–117. doi: 10.1053/j.ro.2011.11.002 CrossRefPubMedGoogle Scholar
- 27.Enjolras O, Soupre V, Picard A (2004) Anomalies vasculaires superficielles (« angiomes »). EMC Pédiatrie 2004:98-745-A-10Google Scholar
- 28.Kransdorf M, Murphey M (2006) Imaging of soft tissue tumors, 2nd edn. WB Saunders Company, PhiladelphiaGoogle Scholar
- 29.Park S-W, Kim H-J, Sung KJ, Lee JH, Park IS (2012) Kimura disease: CT and MR imaging findings. AJNR Am J Neuroradiol 33:784–788. doi: 10.3174/ajnr.A2854 CrossRefPubMedGoogle Scholar
- 30.Lalaji TA, Haller JO, Burgess RJ (2001) A case of head and neck kaposiform hemangioendothelioma simulating a malignancy on imaging. Pediatr Radiol 31:876–878. doi: 10.1007/s002470100009 CrossRefPubMedGoogle Scholar
- 31.Hermans DJJ, van Beynum IM, van der Vijver RJ, Kool LJS, de Blaauw I, van der Vleuten CJM (2011) Kaposiform hemangioendothelioma with Kasabach-Merritt syndrome: a new indication for propranolol treatment. J Pediatr Hematol Oncol 33:e171–e173. doi: 10.1097/MPH.0b013e3182152e4e CrossRefPubMedGoogle Scholar
- 32.Fahrtash F, McCahon E, Arbuckle S (2010) Successful treatment of kaposiform hemangioendothelioma and tufted angioma with vincristine. J Pediatr Hematol Oncol 32:506–510. doi: 10.1097/MPH.0b013e3181e001a9 CrossRefPubMedGoogle Scholar
- 33.Restrepo CS, Ocazionez D (2011) Kaposi’s sarcoma: imaging overview. Semin Ultrasound CT MR 32:456–469. doi: 10.1053/j.sult.2011.03.007 CrossRefPubMedGoogle Scholar
- 34.Weiss SW, Enzinger FM (1982) Epithelioid hemangioendothelioma: a vascular tumor often mistaken for a carcinoma. Cancer 50:970–981CrossRefPubMedGoogle Scholar
- 35.Bruegel M, Waldt S, Weirich G, Woertler K, Rummeny EJ (2006) Multifocal epithelioid hemangioendothelioma of the phalanges of the hand. Skeletal Radiol 35:787–792. doi: 10.1007/s00256-005-0943-6 CrossRefPubMedGoogle Scholar
- 36.Nuthakki S, Fessell D, Lal N, Shirkhoda A, Irwin T, Irwin R (2007) Epithelioid hemangioendothelioma mimicking a nerve sheath tumor clinically and on MR imaging. Skeletal Radiol 36(Suppl 1):S58–S62. doi: 10.1007/s00256-006-0197-y CrossRefPubMedGoogle Scholar
- 37.El Demellawy D, Nasr A, Alowami S (2009) Epithelioid hemangioendothelioma of the temporal artery presenting as temporal arteritis: case report and literature review. Rare Tumors 1:e20. doi: 10.4081/rt.2009.e20 CrossRefPubMedPubMedCentralGoogle Scholar
- 38.Weiss S, Goldblum J, Enzinger F (2008) Enzinger and Weiss’s soft tissue tumors. Mosby Elsevier, PhiladelphiaGoogle Scholar
- 39.Meis-Kindblom JM, Kindblom LG (1998) Angiosarcoma of soft tissue: a study of 80 cases. Am J Surg Pathol 22:683–697CrossRefPubMedGoogle Scholar
- 40.Nakazono T, Kudo S, Matsuo Y, Matsubayashi R, Ehara S, Narisawa H, Yonemitsu N (2000) Angiosarcoma associated with chronic lymphedema (Stewart-Treves syndrome) of the leg: MR imaging. Skeletal Radiol 29:413–416CrossRefPubMedGoogle Scholar
- 41.Rossi S, Fletcher CDM (2002) Angiosarcoma arising in hemangioma/vascular malformation: report of four cases and review of the literature. Am J Surg Pathol 26:1319–1329CrossRefPubMedGoogle Scholar
- 42.Jackson IT, Carreño R, Potparic Z, Hussain K (1993) Hemangiomas, vascular malformations, and lymphovenous malformations: classification and methods of treatment. Plast Reconstr Surg 91:1216–1230CrossRefPubMedGoogle Scholar
- 43.Dubois J, Soulez G, Oliva VL, Berthiaume MJ, Lapierre C, Therasse E (2001) Soft-tissue venous malformations in adult patients: imaging and therapeutic issues. Radiogr Rev Publ Radiol Soc N Am Inc 21:1519–1531. doi: 10.1148/radiographics.21.6.g01nv031519 Google Scholar
- 44.Fayad LM, Fayad L, Hazirolan T, Bluemke D, Mitchell S (2006) Vascular malformations in the extremities: emphasis on MR imaging features that guide treatment options. Skeletal Radiol 35:127–137. doi: 10.1007/s00256-005-0057-1 CrossRefPubMedGoogle Scholar
- 45.Cahill AM, Nijs ELF (2011) Pediatric vascular malformations: pathophysiology, diagnosis, and the role of interventional radiology. Cardiovasc Intervent Radiol 34:691–704. doi: 10.1007/s00270-011-0123-0 CrossRefPubMedGoogle Scholar
- 46.Bruder E, Alaggio R, Kozakewich HPW, Jundt G, Dehner LP, Coffin CM (2012) Vascular and perivascular lesions of skin and soft tissues in children and adolescents. Pediatr Dev Pathol Off J Soc Pediatr Pathol Paediatr Pathol Soc 15:26–61. doi: 10.2350/11-11-1119-PB.1 CrossRefGoogle Scholar
- 47.Dompmartin A, Ballieux F, Thibon P, Lequerrec A, Hermans C, Clapuyt P, Barrellier M-T, Hammer F, Labbé D, Vikkula M, Boon LM (2009) Elevated D-dimer level in the differential diagnosis of venous malformations. Arch Dermatol 145:1239–1244. doi: 10.1001/archdermatol.2009.296 PubMedGoogle Scholar
- 48.Wassef M (2011) Vascular tumors and pseudotumors: introduction. Ann Pathol 31:410–412. doi: 10.1016/j.annpat.2011.05.013 CrossRefPubMedGoogle Scholar
- 49.Goto T, Kojima T, Iijima T, Yokokura S, Kawano H, Yamamoto A, Matsuda K (2001) Soft-tissue haemangioma and periosteal new bone formation on the neighbouring bone. Arch Orthop Trauma Surg 121:549–553CrossRefPubMedGoogle Scholar
- 50.Sung MS, Kang HS, Lee HG (1998) Regional bone changes in deep soft tissue hemangiomas: radiographic and MR features. Skeletal Radiol 27:205–210CrossRefPubMedGoogle Scholar
- 51.Herborn CU, Goyen M, Lauenstein TC, Debatin JF, Ruehm SG, Kröger K (2003) Comprehensive time-resolved MRI of peripheral vascular malformations. AJR Am J Roentgenol 181:729–735. doi: 10.2214/ajr.181.3.1810729 CrossRefPubMedGoogle Scholar
- 52.Ohgiya Y, Hashimoto T, Gokan T, Watanabe S, Kuroda M, Hirose M, Matsui S, Nobusawa H, Kitanosono T, Munechika H (2005) Dynamic MRI for distinguishing high-flow from low-flow peripheral vascular malformations. AJR Am J Roentgenol 185:1131–1137. doi: 10.2214/AJR.04.1508 CrossRefPubMedGoogle Scholar
- 53.Buetow PC, Kransdorf MJ, Moser RP, Jelinek JS, Berrey BH (1990) Radiologic appearance of intramuscular hemangioma with emphasis on MR imaging. AJR Am J Roentgenol 154:563–567. doi: 10.2214/ajr.154.3.2154914 CrossRefPubMedGoogle Scholar
- 54.Redondo P, Aguado L, Martínez-Cuesta A (2011) Diagnosis and management of extensive vascular malformations of the lower limb: Part I. Clinical diagnosis. J Am Acad Dermatol 65:893–906. doi: 10.1016/j.jaad.2010.12.047 CrossRefPubMedGoogle Scholar
- 55.Enjolras O, Ciabrini D, Mazoyer E, Laurian C, Herbreteau D (1997) Extensive pure venous malformations in the upper or lower limb: a review of 27 cases. J Am Acad Dermatol 36:219–225CrossRefPubMedGoogle Scholar
- 56.Dompmartin A, Vikkula M, Boon LM (2010) Venous malformation: update on aetiopathogenesis, diagnosis and management. Phlebol Venous Forum R Soc Med 25:224–235. doi: 10.1258/phleb.2009.009041 CrossRefGoogle Scholar
- 57.Brevière G, Degrugillier-Chopinet C, Bisdorff-Bresson A (2011) Anomalies vasculaires superficielle. EMC Cardiologie 6:1–21CrossRefGoogle Scholar
- 58.Sidhu MK, Perkins JA, Shaw DWW, Bittles MA, Andrews RT (2005) Ultrasound-guided endovenous diode laser in the treatment of congenital venous malformations: preliminary experience. J Vasc Interv Radiol 16:879–884. doi: 10.1097/01.RVI.0000163005.50283.62 CrossRefPubMedGoogle Scholar
- 59.Marler JJ, Mulliken JB (2005) Current management of hemangiomas and vascular malformations. Clin Plast Surg 32(99–116):ix. doi: 10.1016/j.cps.2004.10.001 Google Scholar
- 60.Cahill AM, Nijs E, Ballah D, Rabinowitz D, Thompson L, Rintoul N, Hedrick H, Jacobs I, Low D (2011) Percutaneous sclerotherapy in neonatal and infant head and neck lymphatic malformations: a single center experience. J Pediatr Surg 46:2083–2095. doi: 10.1016/j.jpedsurg.2011.07.004 CrossRefPubMedGoogle Scholar
- 61.Chen EY, Hostikka SL, Oliaei S, Duke W, Schwartz SM, Perkins JA (2009) Similar histologic features and immunohistochemical staining in microcystic and macrocystic lymphatic malformations. Lymphat Res Biol 7:75–80. doi: 10.1089/lrb.2009.0003 CrossRefPubMedGoogle Scholar
- 62.Blei F (2008) Congenital lymphatic malformations. Ann N Y Acad Sci 1131:185–194. doi: 10.1196/annals.1413.016 CrossRefPubMedGoogle Scholar
- 63.Jeltsch M, Tammela T, Alitalo K, Wilting J (2003) Genesis and pathogenesis of lymphatic vessels. Cell Tissue Res 314:69–84. doi: 10.1007/s00441-003-0777-2 CrossRefPubMedGoogle Scholar
- 64.Hogeling M, Adams S, Law J, Wargon O (2011) Lymphatic malformations: clinical course and management in 64 cases. Australas J Dermatol 52:186–190. doi: 10.1111/j.1440-0960.2011.00777.x CrossRefPubMedGoogle Scholar
- 65.Koeller KK, Alamo L, Adair CF, Smirniotopoulos JG (1999) Congenital cystic masses of the neck: radiologic-pathologic correlation. Radiogr Rev Publ Radiol Soc N Am Inc 19:121–146. doi: 10.1148/radiographics.19.1.g99ja06121, -153Google Scholar
- 66.Zadvinskis DP, Benson MT, Kerr HH, Mancuso AA, Cacciarelli AA, Madrazo BL, Mafee MF, Dalen K (1992) Congenital malformations of the cervicothoracic lymphatic system: embryology and pathogenesis. Radiogr Rev Publ Radiol Soc N Am Inc 12:1175–1189. doi: 10.1148/radiographics.12.6.1439020 Google Scholar
- 67.Nozaki T, Nosaka S, Miyazaki O, Makidono A, Yamamoto A, Niwa T, Tsutsumi Y, Aida N, Masaki H, Saida Y (2013) Syndromes associated with vascular tumors and malformations: a pictorial review. Radiogr Rev Publ Radiol Soc N Am Inc 33:175–195. doi: 10.1148/rg.331125052 Google Scholar
- 68.Ernemann U, Kramer U, Miller S, Bisdas S, Rebmann H, Breuninger H, Zwick C, Hoffmann J (2010) Current concepts in the classification, diagnosis and treatment of vascular anomalies. Eur J Radiol 75:2–11. doi: 10.1016/j.ejrad.2010.04.009 CrossRefPubMedGoogle Scholar
- 69.Kayal JD, Hampton RW, Sheehan DJ, Washington CV (2001) Malignant glomus tumor: a case report and review of the literature. Dermatol Surg Off Publ Am Soc Dermatol Surg Al 27:837–840Google Scholar
- 70.Schiefer TK, Parker WL, Anakwenze OA, Amadio PC, Inwards CY, Spinner RJ (2006) Extradigital glomus tumors: a 20-year experience. Mayo Clin Proc 81:1337–1344. doi: 10.4065/81.10.1337 CrossRefPubMedGoogle Scholar
- 71.Drapé JL, Idy-Peretti I, Goettmann S, Wolfram-Gabel R, Dion E, Grossin M, Benacerraf R, Guérin-Surville H, Bittoun J (1995) Subungual glomus tumors: evaluation with MR imaging. Radiology 195:507–515. doi: 10.1148/radiology.195.2.7724775 CrossRefPubMedGoogle Scholar
- 72.Van Geertruyden J, Lorea P, Goldschmidt D, de Fontaine S, Schuind F, Kinnen L, Ledoux P, Moermans JP (1996) Glomus tumours of the hand. A retrospective study of 51 cases. J Hand Surg Br Edinb Scotl 21:257–260CrossRefGoogle Scholar
- 73.Lee D-W, Yang J-H, Chang S, Won C-H, Lee M-W, Choi J-H, Moon K-C (2011) Clinical and pathological characteristics of extradigital and digital glomus tumours: a retrospective comparative study. J Eur Acad Dermatol Venereol 25:1392–1397. doi: 10.1111/j.1468-3083.2011.03979.x CrossRefPubMedGoogle Scholar
- 74.Lee S, Le H, Munk P, Malfair D, Lee CH, Clarkson P (2010) Glomus tumour in the forearm: a case report and review of MRI findings. JBR-BTR 93:292–295PubMedGoogle Scholar
- 75.Baek HJ, Lee SJ, Cho KH, Choo HJ, Lee SM, Lee YH, Suh KJ, Moon TY, Cha JG, Yi JH, Kim MH, Jung S-J, Choi JH (2010) Subungual tumors: clinicopathologic correlation with US and MR imaging findings. Radiogr Rev Publ Radiol Soc N Am Inc 30:1621–1636. doi: 10.1148/rg.306105514 Google Scholar
- 76.González-Llanos F, López-Barea F, Isla A, Fernández-Prieto A, Zubillaga A, Alvarez F (2000) Periosteal glomus tumor of the femur: a case report. Clin Orthop 380:199–203CrossRefGoogle Scholar
- 77.Netscher DT, Aburto J, Koepplinger M (2012) Subungual glomus tumor. J Hand Surg 37:821–823. doi: 10.1016/j.jhsa.2011.10.026; quiz 824CrossRefGoogle Scholar
- 78.Theumann NH, Goettmann S, Le Viet D, Resnick D, Chung CB, Bittoun J, Chevrot A, Drapé J-L (2002) Recurrent glomus tumors of fingertips: MR imaging evaluation. Radiology 223:143–151. doi: 10.1148/radiol.2231010977 CrossRefPubMedGoogle Scholar
- 79.Glazebrook KN, Laundre BJ, Schiefer TK, Inwards CY (2011) Imaging features of glomus tumors. Skeletal Radiol 40:855–862. doi: 10.1007/s00256-010-1067-1 CrossRefPubMedGoogle Scholar
- 80.Van Ruyssevelt CEA, Vranckx P (2004) Subungual glomus tumor: emphasis on MR angiography. AJR Am J Roentgenol 182:263–264. doi: 10.2214/ajr.182.1.1820263 CrossRefPubMedGoogle Scholar
- 81.Devaney K, Vinh TN, Sweet DE (1993) Synovial hemangioma: a report of 20 cases with differential diagnostic considerations. Hum Pathol 24:737–745CrossRefPubMedGoogle Scholar
- 82.Greenspan A, Azouz EM, Matthews J, Décarie JC (1995) Synovial hemangioma: imaging features in eight histologically proven cases, review of the literature, and differential diagnosis. Skeletal Radiol 24:583–590PubMedGoogle Scholar
- 83.Llauger J, Monill JM, Palmer J, Clotet M (1995) Synovial hemangioma of the knee: MRI findings in two cases. Skeletal Radiol 24:579–581CrossRefPubMedGoogle Scholar
- 84.Narváez JA, Narváez J, Aguilera C, De Lama E, Portabella F (2001) MR imaging of synovial tumors and tumor-like lesions. Eur Radiol 11:2549–2560. doi: 10.1007/s003300000759 CrossRefPubMedGoogle Scholar
- 85.Garzon MC, Huang JT, Enjolras O, Frieden IJ (2007) Vascular malformations. Part II: associated syndromes. J Am Acad Dermatol 56:541–564. doi: 10.1016/j.jaad.2006.05.066 CrossRefPubMedGoogle Scholar
- 86.Elsayes KM, Menias CO, Dillman JR, Platt JF, Willatt JM, Heiken JP (2008) Vascular malformation and hemangiomatosis syndromes: spectrum of imaging manifestations. AJR Am J Roentgenol 190:1291–1299. doi: 10.2214/AJR.07.2779 CrossRefPubMedGoogle Scholar
- 87.Oza VS, Wang E, Berenstein A, Waner M, Lefton D, Wells J, Blei F (2008) PHACES association: a neuroradiologic review of 17 patients. AJNR Am J Neuroradiol 29:807–813. doi: 10.3174/ajnr.A0937 CrossRefPubMedGoogle Scholar
- 88.Drolet BA, Chamlin SL, Garzon MC, Adams D, Baselga E, Haggstrom AN, Holland KE, Horii KA, Juern A, Lucky AW, Mancini AJ, McCuaig C, Metry DW, Morel KD, Newell BD, Nopper AJ, Powell J, Frieden IJ (2010) Prospective study of spinal anomalies in children with infantile hemangiomas of the lumbosacral skin. J Pediatr 157:789–794. doi: 10.1016/j.jpeds.2010.07.054 CrossRefPubMedGoogle Scholar
- 89.Stockman A, Boralevi F, Taïeb A, Léauté-Labrèze C (2007) SACRAL syndrome: spinal dysraphism, anogenital, cutaneous, renal and urologic anomalies, associated with an angioma of lumbosacral localization. Dermatol Basel Switz 214:40–45. doi: 10.1159/000096911 CrossRefGoogle Scholar
- 90.Jacob AG, Driscoll DJ, Shaughnessy WJ, Stanson AW, Clay RP, Gloviczki P (1998) Klippel-Trénaunay syndrome: spectrum and management. Mayo Clin Proc 73:28–36. doi: 10.1016/S0025-6196(11)63615-X CrossRefPubMedGoogle Scholar
- 91.McGrory BJ, Amadio PC, Dobyns JH, Stickler GB, Unni KK (1991) Anomalies of the fingers and toes associated with Klippel-Trenaunay syndrome. J Bone Joint Surg Am 73:1537–1546CrossRefPubMedGoogle Scholar
- 92.Kanterman RY, Witt PD, Hsieh PS, Picus D (1996) Klippel-Trenaunay syndrome: imaging findings and percutaneous intervention. AJR Am J Roentgenol 167:989–995. doi: 10.2214/ajr.167.4.8819399 CrossRefPubMedGoogle Scholar
- 93.Zwenneke Flach H, Ginai AZ, Wolter Oosterhuis J (2001) Best cases from the AFIP. Maffucci syndrome: radiologic and pathologic findings. Armed Forces Institutes of Pathology. Radiogr Rev Publ Radiol Soc N Am Inc 21:1311–1316. doi: 10.1148/radiographics.21.5.g01se301311 Google Scholar
- 94.Unger EC, Kessler HB, Kowalyshyn MJ, Lackman RD, Morea GT (1988) MR imaging of Maffucci syndrome. AJR Am J Roentgenol 150:351–353. doi: 10.2214/ajr.150.2.351 CrossRefPubMedGoogle Scholar
- 95.Schwartz HS, Zimmerman NB, Simon MA, Wroble RR, Millar EA, Bonfiglio M (1987) The malignant potential of enchondromatosis. J Bone Joint Surg Am 69:269–274CrossRefPubMedGoogle Scholar
- 96.Bach AD, Walgenbach KJ, Horch RE (2000) Hemangiosarcoma of the left hand in a patient with the rare combination of Maffucci’s and Stewart Treves syndrome. Vasa 29:71–73. doi: 10.1024/0301-1526.29.1.71 CrossRefPubMedGoogle Scholar
- 97.Ziyeh S, Spreer J, Rössler J, Strecker R, Hochmuth A, Schumacher M, Klisch J (2004) Parkes Weber or Klippel-Trenaunay syndrome? Non-invasive diagnosis with MR projection angiography. Eur Radiol 14:2025–2029. doi: 10.1007/s00330-004-2274-8 CrossRefPubMedGoogle Scholar
- 98.McDonald J, Bayrak-Toydemir P, Pyeritz RE (2011) Hereditary hemorrhagic telangiectasia: an overview of diagnosis, management, and pathogenesis. Genet Med Off J Am Coll Med Genet 13:607–616. doi: 10.1097/GIM.0b013e3182136d32 Google Scholar
- 99.Jaskolka J, Wu L, Chan RP, Faughnan ME (2004) Imaging of hereditary hemorrhagic telangiectasia. AJR Am J Roentgenol 183:307–314. doi: 10.2214/ajr.183.2.1830307 CrossRefPubMedGoogle Scholar






















