Pediatric Neuro-Ophthalmology pp 75-120 | Cite as
Congenital Optic Nerve Anomalies
Abstract
Congenital anomalies of the optic disc underlie many cases of decreased vision, strabismus, and nystagmus in childhood [54, 151]. A comprehensive evaluation necessitates an understanding of the ophthalmoscopic features, associated neuro-ophthalmologic findings, pathogenesis, and appropriate ancillary studies for each anomaly [46]. The subclassification of different forms of colobomatous defects on the basis of their ocular and systemic associations has further refined our ability to predict the likelihood of associated central nervous system (CNS) anomalies solely on the basis of the appearance of the optic disc [46]. The widespread availability of modern neuroimaging has refined the ability to identify subtle associated CNS anomalies and to prognosticate neurodevelopmental and endocrinological problems [46]. Genetic analysis has now advanced the understanding of some anomalies. It has been recognized [194, 218, 333] that many of these disorders are accompanied by some degree of peripheral retinal nonperfusion.
Keywords
Optical Coherence Tomography Optic Disc Lamina Cribrosa Myelinated Nerve Fiber Optic Nerve HypoplasiaIntroduction
Congenital anomalies of the optic disc underlie many cases of decreased vision, strabismus, and nystagmus in childhood [54, 151]. A comprehensive evaluation necessitates an understanding of the ophthalmoscopic features, associated neuro-ophthalmologic findings, pathogenesis, and appropriate ancillary studies for each anomaly [46]. The subclassification of different forms of colobomatous defects on the basis of their ocular and systemic associations has further refined our ability to predict the likelihood of associated central nervous system (CNS) anomalies solely on the basis of the appearance of the optic disc [46]. The widespread availability of modern neuroimaging has refined the ability to identify subtle associated CNS anomalies and to prognosticate neurodevelopmental and endocrinological problems [46]. Genetic analysis has now advanced the understanding of some anomalies. It has been recognized [194, 218, 333] that many of these disorders are accompanied by some degree of peripheral retinal nonperfusion.
- 1.
Children with bilateral optic disc anomalies generally present with poor vision and nystagmus in infancy, while those with unilateral optic disc anomalies may present later in the preschool period with sensory esotropia.
- 2.
CNS malformations are common in patients with malformed optic discs [76]. Small discs are associated with a variety of malformations involving the cerebral hemispheres, pituitary infundibulum, and midline intracranial structures (e.g., septum pellucidum, corpus callosum). Large optic discs of the morning glory configuration are associated with the transsphenoidal form of basal encephalocele [46]. The finding of a discrete V- or tongue-shaped zone of infrapapillary retinochoroidal depigmentation in an eye with an anomalous optic disc should prompt a search for a transsphenoidal encephalocele [61].
- 3.
In contradistinction to the severe dyschromatopsia that characterizes most acquired optic neuropathies, color vision is relatively preserved in eyes with congenital optic disc anomalies.
- 4.
Any unilateral structural abnormality that reduces visual acuity in infancy may lead to superimposed amblyopia [229]. A trial of occlusion therapy may be warranted in some patients with unilateral optic disc anomalies and decreased vision.
Optic Nerve Hypoplasia
Background
Optic nerve hypoplasia is an anomaly that for many years escaped the scrutiny of even the most meticulous observers [45]. It was not until the late 1960s that its clinical description became commonplace. Optic nerve hypoplasia is now unquestionably the most common optic disc anomaly encountered in ophthalmologic practice [46]. This dramatic increase in prevalence primarily reflects a greater recognition by clinicians. Many cases of optic nerve hypoplasia that previously went unrecognized or were misconstrued as congenital optic atrophy are now correctly diagnosed. In addition, some investigators believe that parental drug and alcohol abuse, which have become more widespread as time goes on, may also be contributing to an increasing prevalence of optic nerve hypoplasia [45, 231]. Although numerous teratogenic exposures have been reported to cause optic nerve hypoplasia [406], these are now considered to be insignificant causes of optic nerve hypoplasia. As discussed below, hereditary cases and recognized gene mutations are also exceedingly rare. However, young maternal age and primiparity continue to stand out as the most striking risk factors in children with optic nerve hypoplasia [134].
Ophthalmoscopic Appearance
Optic nerve hypoplasia. Note severe bilateral diminution in optic nerve size with “double-ring” sign [231].
Optic nerve hypoplasia. (a) Optic nerve hypoplasia with selective retinal venous tortuosity. (b) Pseudo-normal optic disc in a child with optic nerve hypoplasia and no light perception. The disc appears normal at first glance but shows complete absence of retinal nerve fiber layer. It is difficult to tell whether central white area corresponds to lamina cribrosa or to hypoplastic and atrophic optic disc. Surrounding area represents extension of retinal pigment epithelium over normal-sized lamina cribrosa, producing double-ring sign. (c) Optic nerve hypoplasia with nasal pallor and extension of retinal pigment epithelium (RPE) and choroid over temporal aspect of disc. (d) Black optic disc caused by optic nerve hypoplasia with congenital optic disc pigmentation.
Histopathology
Histopathologically, optic nerve hypoplasia is characterized by a subnormal number of optic nerve axons with normal mesodermal elements and glial supporting tissue [26, 187, 268]. The double-ring sign has been found histopathologically to consist of a normal junction between the sclera and lamina cribrosa, which corresponds to the outer ring, and an abnormal extension of the retina and pigment epithelium over the outer portion of the lamina cribrosa, which corresponds to the inner ring [26, 187].
The retina shows thinning of the ganglion cell and retinal nerve fiber layer [267, 319]. In some patients, OCT shows mild thinning of the outer retina as well [292, 350], which may represent contiguous transsynaptic degeneration.
Visual Function
Visual acuity in optic nerve hypoplasia ranges from 20/20 to no light perception, and the affected eyes show localized visual field defects, often combined with a generalized constriction of the visual fields [130]. Because visual acuity is determined primarily by the integrity of the papillomacular nerve fiber bundle, it does not necessarily correlate with the overall size of the disc. The association of astigmatism with optic nerve hypoplasia warrants careful attention to correction of refractive errors [404]. A classic Pulfrich phenomenon (illusory perception of elliptical motion in the frontal plane) was detected [174] in a 12-year-old girl with normal acuity and asymmetrical optic nerve hypoplasia.
The role of optic nerve hypoplasia in the pathogenesis of amblyopia has received attention [235]. Using optic disc photographs corrected for magnification, Lempert found smaller optic discs and smaller axial lengths in amblyopic eyes compared with their fellow eyes and suggested that vision impairment in presumed amblyopia may be caused by optic nerve hypoplasia with relative microphthalmos [235]. Archer [11] questioned whether a small optic disc area could be associated with amblyopia by being correlated with hyperopia and anisometropia rather than being the cause of the decreased vision. In other words, small eyes may have small optic discs, and further study is needed to determine whether the small optic nerves or the associated hyperopia or anisometropia is causal [11]. In a follow-up study, Lempert [236] factored axial length into the calculation and found the optic disc areas of eyes with hyperopic strabismus (with and without amblyopia) to be smaller than those in hyperopic eyes without amblyopia or esotropia. More recently, OCT has demonstrated a normal nerve fiber layer in amblyopic eyes, effectively refuting the Lempert hypothesis [308].
Visual acuity remains stable throughout life unless amblyopia develops in one eye. However, Taylor has documented mild optic nerve hypoplasia in children with congenital suprasellar tumors, which can slowly enlarge to produce the confusing diagnostic picture of acquired visual loss in the child with optic nerve hypoplasia [367].
Measurement Techniques
While moderate or severe optic nerve hypoplasia can be recognized ophthalmoscopically, the diagnosis of mild hypoplasia continues to be problematic in infants and small children, whose visual acuity cannot be accurately quantified. Several techniques have been devised to directly measure fundus photographs of the optic disc in an attempt to apply quantitative criteria to the diagnosis of optic nerve hypoplasia. Jonas et al. [211] have defined microdiscs statistically as the mean disc area minus 2 standard deviations. In their study of 88 patients [211], the mean optic disc area measured 2.89 mm2, and the diagnosis of a microdisc corresponded to a disc area smaller than 1.4 mm. Romano [313] has advocated the simple method of directly measuring the optic disc diameter using a hand ruler and a 30° transparency (both under magnification) and has concluded that a horizontal disc diameter of less than 3.4 mm constitutes optic nerve hypoplasia. This quick and simple technique is limited to eyes with minimal spherical refractive error.
Zeki et al. [405] have found that a disc-to-macula/disc diameter ratio of 2.94 provides a one-tailed upper population limit of 95%, while individuals with optic nerve hypoplasia have a mean ratio of 3.57. Calculation of this ratio has the important advantage of eliminating the magnification effect of high refractive errors (myopic refractive errors can make a hypoplastic disc appear normal in size, whereas hyperopic refractive errors can make a normal disc appear abnormally small).
While the Zeki technique is useful in patients with high refractive errors, the notion that one can establish an unequivocal dividing line between the normal and hypoplastic disc strictly upon the basis of size is inherently flawed. Furthermore, the location of the optic disc and macula are both shifted into the temporal retina in albinism, making it difficult to assign the macula as a space-stable diagnostic structure to make inferences about optic disc size. Finally, OCT can now quantitate nerve fiber layer thickness and readily identify even segmental forms of optic nerve hypoplasia. OCT measurements have also shown that the clinical border of the optic disc does not always correspond to the position of the edge of the Bruch’s membrane; OCT measurements provide an accurate quantitative assessment of the border of the optic disc and the thickness of the neuroretinal rim [85].
The fundamental limitation of these quantitative measurements in the diagnosis of optic nerve hypoplasia lies in the fact that ophthalmologists have grown accustomed to drawing inferences about axon counts on the basis of size. However, large optic discs can be axonally deficient [251, 302], and small optic discs do not preclude normal visual function. While it is reasonable to infer that an extremely small disc must be associated with a diminution in axons, the application of this reasoning to mild or borderline cases is limited by additional variables, including the size of the central cup, the percentage of the nerve occupied by axons (as opposed to glial tissue and blood vessels), and the cross-sectional area and density of axons. Furthermore, segmental forms of optic nerve hypoplasia (described later in this chapter) may affect a sector of the disc without producing a diffuse diminution in size. As such, it would seem prudent to reserve the diagnosis of optic nerve hypoplasia for patients with small optic discs who have reduced vision or visual-field loss with corresponding nerve fiber bundle defects.
Hypoplasia vs. Apoptosis
The use of the term hypoplasia to describe a congenitally small, axonally deficient optic nerve implies that this abnormality necessarily results from a primary failure of optic axons to develop [191]. The timing of other CNS anomalies, which often coexist with optic nerve hypoplasia, would suggest that some cases of optic nerve hypoplasia represent an intrauterine degenerative phenomenon rather than a primary failure of axons to develop. In human fetuses, Provis et al. [298] found a peak of 3.7 million axons at 16–17 weeks of gestation, with a subsequent decline to 1.1 million axons by the 31st gestational week. This massive degeneration of supernumerary axons (termed apoptosis) occurs as part of the normal development of the visual pathways and may serve to establish the correct topography of the visual pathways [231]. Toxins or associated CNS malformations may, in some instances, augment or interfere with the usual processes by which superfluous axons are eliminated from the developing visual pathways [231]. A study by Garcia-Filion et al. [136] confirmed young maternal age and primiparity as significant risk factors. Preterm labor, gestational vaginal bleeding, low maternal weight gain, and weight loss during pregnancy were also prevalent in mothers of children with optic nerve hypoplasia [136].
Hypopituitarism
Optic nerve hypoplasia is often associated with a wide variety of CNS abnormalities. Septo-optic dysplasia (de Morsier syndrome) refers to the constellation of small anterior visual pathways, absence of the septum pellucidum, and thinning or agenesis of the corpus callosum [100, 294]. The clinical association of septo-optic dysplasia and pituitary dwarfism was documented by Hoyt et al. [192] in 1970. Growth hormone deficiency is the most common endocrinologic abnormality associated with optic nerve hypoplasia, followed by thyrotropin, corticotropin, and antidiuretic hormone [2, 38, 46, 136, 339]. Hypothyroidism, panhypopituitarism, diabetes insipidus, and hyperprolactinemia may also occur [12, 190, 199, 252]. Hyperprolactinemia is said to occur in 62% of cases and does not cause galactorrhea or seem to contribute to the high incidence of obesity in children with optic nerve hypoplasia [379]. Neonatal hypothyroidism is a significant risk factor for developmental delay [135, 304]. Growth hormone deficiency may be clinically inapparent in the first 3–4 years of life because high prolactin levels may stimulate normal growth over this period [3, 93]. Growth hormone surrogates such as insulin-like growth factor (IGF-1) and insulin-like growth factor binding protein (IGFBP-3) can also be decreased in patients with growth-hormone deficiency [38]. Puberty may be precocious or delayed in children with hypopituitarism [162].
Because subclinical hypopituitarism can manifest as acute adrenal insufficiency following general anesthesia, it may be prudent to empirically treat children who have optic nerve hypoplasia with perioperative intravenous corticosteroids [334]. Although the incidence of clinical hypopituitarism has been estimated at 15% [58], in a analysis of multiple hormone levels in children with optic nerve hypoplasia, Ahmad et al. [3] found a 72% prevalence of endocrinopathies, suggesting that subclinical pituitary involvement is common. Other retrospective studies support this higher incidence [158, 306]. According to Borchert and Garcia-Filion [38], the “endocrinological workup should include fasting morning cortisol and glucose, thyroid-stimulating hormone (TSH), free T4, IGF-1, IGFBP-3, and prolactin. If the child is less than 6 months of age, luteinizing hormone, follicle-stimulating hormone, and/or testosterone levels should be checked in order to anticipate delayed sexual development. Beyond 6 months of age, sex hormones are not normally produced until puberty and thus cannot be tested.” Micropenis is a harbinger of delayed puberty that can be treated with testosterone injections during infancy.
In an infant with optic nerve hypoplasia, a history of neonatal jaundice suggests congenital hypothyroidism, while neonatal hypoglycemia or seizures suggest congenital panhypopituitarism [231]. The serum thyroxine level may be normal in children with secondary hypothyroidism. Because the adverse developmental effects associated with secondary hypothyroidism are irreversible by 15 months of age, it is advisable to also obtain the serum TSH level to rule out this treatable problem with secondary hypothyroidism, and this deficiency may prognosticate poorer vision in children with optic nerve hypoplasia [122]. This association is believed to occur because hepatic bilirubin diphosphate glucuronosyltransferase activity, which is necessary for the conjugation of bilirubin, utilizes thyroxine as a cofactor [230, 247]. Because of inherent difficulties in measuring normal physiologic growth hormone levels, which vary widely over a 24-hour period, most patients with optic nerve hypoplasia are followed clinically and their conditions only investigated biochemically if growth is subnormal. However, when magnetic resonance (MR) imaging shows posterior pituitary ectopia (discussed below), or when a clinical history of neonatal jaundice or neonatal hypoglycemia is obtained, anterior pituitary hormone deficiency is probable, and more extensive endocrinologic testing becomes mandatory [291].
The eyes and neurohypophysis function as a unified complex for integrating and crosslinking external and internal stimuli. The pituitary gland serves as the neurochemical interface between internal homeostasis and the external world. The fact that it controls the critical survival functions of the organism (to eat, drink, reproduce, and respond to stress within the environment) may explain why it is seated in the middle of the head in a bony cage, where it is well protected. The electrochemical responses of the melanopsin-containing retinal ganglion cells function in continuum with the pituitary hormones, which also show active circadian regulation that is controlled by the hypothalamus. Some patients with optic nerve hypoplasia have sleep disturbances with increased daytime napping, as well as more profound effects on behavior, psychology, and family and social interactions [312, 387]. Blue light pupillography can now be used to identify the delayed melanopsin response to blue light [269]. It remains to be determined whether most of these sleep disturbances are directly attributable to the absence of melanopsin-containing retinal ganglion cells or to hypothalamic injury [387]. Nevertheless, these sleep disturbances are often responsive to oral melatonin [204] (although it has been reported that oral melanopsin may interfere with normal progression of puberty) [376]. It is now recognized that many other organs (kidneys, pancreas, heart, adipose tissue) function to orchestrate chronobiological function via organ-specific gene-dependent mechanisms that are not subordinate to light [358].
Risk of Sudden Death
Telltale Signs and Symptoms that Signify a Risk of Sudden Death in Children with Optic Nerve Hypoplasia
| Signs and Symptoms |
|---|
| • Hypothermia |
| • High fever |
| • Dehydration |
| • Negative sepsis evaluation |
| • Recurrent hypoglycemia |
| • Frequent hospitalizations |
| • Jaundice |
| • Poikilothermia |
| • Polyuria |
| • Excessive thirst |
| • Diabetes insipidus |
| • Hypotension |
| • Jitters |
MR Imaging Abnormalities
MR imaging provides an excellent noninvasive neuroimaging modality for delineating associated CNS malformations in patients with optic nerve hypoplasia [60]. MR imaging can be used to provide specific prognostic information regarding the likelihood of neurodevelopmental deficits and pituitary hormone deficiency in the infant or young child with unilateral or bilateral optic nerve hypoplasia [58].
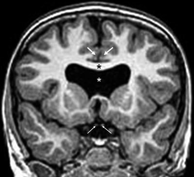
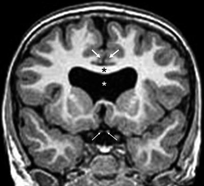
Septo-optic dysplasia. T2-weighted coronal MR image shows absent septum pellucidum (white asterisk denotes normal position) with characteristic squaring of the frontal horns of the lateral ventricles. Both optic nerves are hypoplastic (lower arrows). The corpus callosum (black asterisk) appears normal but there is mild holoprosencephaly with anomalous interdigitations of cerebral gray matter (upper arrows) just above the lateral ventricles.
Cerebral Hemispheric Abnormalities
Cerebral hemispheric abnormalities associated with optic nerve hypoplasia. (a) Axial T1-weighted inversion recovery MR image demonstrating schizencephaly in patient with optic nerve hypoplasia. Schizencephalic cleft (arrows) consists of abnormal band of dysmorphic gray matter in left cerebral hemisphere extending from cortical surface to lateral ventricle. (b) T2-weighted axial MR image demonstrating asymmetrical periventricular leukomalacia, worse in right hemisphere (left side of picture), in child with optic nerve hypoplasia. Note enlargement and irregular contour of posterior aspect of lateral ventricle. Black arrow denotes loss of posterior periventricular white matter, with direct apposition of cortical gray matter to trigone of lateral ventricle. White arrow indicates greater volume of posterior periventricular white matter in the left hemisphere. With permission, from Brodsky and Glasier [58]. Copyright 1993, American Medical Association.
Neurohypophyseal Abnormalities
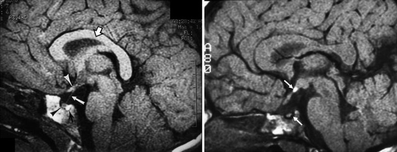
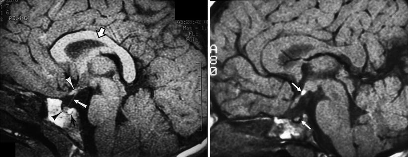
Posterior pituitary ectopia. (a) T1-weighted sagittal MR image demonstrating normal hyperintense signal of posterior pituitary gland (lower white arrow), normal pituitary infundibulum (lower white arrow), optic chiasm (upper white arrow). Open arrow denotes normal corpus callosum. (b) T1-weighted sagittal MR image demonstrating posterior pituitary ectopia (upper white arrow), which appears as abnormal focal area of increased signal intensity at tuber cinereum. Note absence of pituitary infundibulum and absence of normal posterior pituitary bright spot (lower white arrow). Upper white arrow denotes ectopic posterior pituitary gland. This child had a normal septum pellucidum and corpus callosum. Used with permission, from Brodsky and Glasier [58]. Copyright 1993, American Medical Association.
The finding of an absent pituitary infundibulum with no orthotopic or heterotopic bright spot corresponding to the posterior pituitary gland (Fig. 11.42) signifies loss of antidiuretic hormone secretion, which is associated with diabetes insipidus. When this finding is present, the anterior pituitary hormones are deficient as well.
Deconstructing the Facade of Septo-Optic Dysplasia
Because MR imaging often shows associated structural abnormalities involving the cerebral hemispheres and the pituitary infundibulum, septo-optic dysplasia can no longer be considered a monolith and is best viewed as a heterogeneous malformation syndrome [58, 294]. In the patient with optic nerve hypoplasia, posterior pituitary ectopia is virtually pathognomonic of anterior pituitary hormone deficiency [303], whereas cerebral hemispheric abnormalities are highly predictive of neurodevelopmental deficits [58]. Absence of the septum pellucidum alone does not portend neurodevelopmental deficits or pituitary hormone deficiency [391]. Thinning or agenesis of the corpus callosum is predictive of neurodevelopmental problems [58], probably by virtue of its frequent association with cerebral hemispheric abnormalities. The finding of unilateral optic nerve hypoplasia does not preclude coexistent intracranial malformations [58].
Miscellaneous Associations
Many children with optic nerve hypoplasia and other forms of congenital blindness show autistic behaviors that may improve over time [392]. In rare cases, gelastic epilepsy can be the only clinical sign of hypothalamic injury [123]. When optic nerve hypoplasia is accompanied by a hemangiomas or cardiovascular anomalies, the diagnosis of PHACE (posterior fossa malformations, large facial hemangiomas, arterial anomalies, cardiac anomalies and aortic coarctation, and eye anomalies) syndrome should be considered [263].
Segmental Optic Nerve Hypoplasia
Superior segmental optic hypoplasia. (a) Right optic disc demonstrating abnormal superior entrance of central retinal artery, relative pallor of superior disc, and superior peripapillary halo. Superior nerve fiber layer is absent, while inferior nerve fiber layer is clearly seen. (b) Corresponding Humphrey 60-2 visual field demonstrating nonaltitudinal inferior defect with mild superior constriction. Used, with permission, from Brodsky et al. [65].
Segmental optic nerve hypoplasia. (a) Segmental hypoplasia of temporal optic disc with focal absence of the temporal nerve fiber layer in patient with “macular coloboma.” (b) Subtle segmental hypoplasia of temporal portion of disc. Child was thought to have amblyopia with 20/400 OS but was refractory to occlusion therapy. (c, d) Chiasmal hypoplasia with congenital bitemporal hemianopia. Note segmental “band” hypoplasia of the nasal and temporal nerve fiber layer bilaterally (Courtesy of William F. Hoyt, M.D.). (e, f) Homonymous hemioptic hypoplasia in patient with right occipital porencephalic cyst. Both optic discs are hypoplastic. Left optic disc (f) shows relative loss of disc substance and peripapillary nerve fiber layer nasally and temporally. With permission, from Novakovic et al. [273]. Photographs courtesy of William F. Hoyt, M.D.
Periventricular leukomalacia produces another segmental form of optic nerve hypoplasia [169, 170]. In 1997, Jacobson et al. [201] recognized that periventricular leukomalacia produces a unique form of bilateral optic nerve hypoplasia characterized by an abnormally large optic cup and a thin neuroretinal rim contained in a normal-sized optic disc (see Fig. 1.20). They attributed this morphologic characteristic to intrauterine injury to the optic radiations with retrograde transsynaptic degeneration of retinogeniculate axons after the scleral canals had established normal diameters. The large optic cups can simulate glaucoma, but the history of prematurity, normal intraocular pressure, and characteristic symmetrical inferior visual field defects all serve to distinguish periventricular leukomalacia from glaucomatous optic atrophy [50]. Most authorities believe that this anomaly warrants classification as a prenatal form of optic atrophy because of its normal optic-disc diameter [50]. Patients with periventricular leukomalacia can also have typical optic nerve hypoplasia [46], albeit one that is not associated with endocrinologic deficiency.
Pathogenesis
Although the precise cause of optic nerve hypoplasia in any given child is rarely understood, several distinct pathogenetic mechanisms may give rise to this focal neurodevelopmental aberration. Early investigators [326] attributed optic nerve hypoplasia to a primary failure of retinal ganglion cell differentiation at the 13- to 15-mm stage of embryonic life (4–6 weeks of gestation). Experiments have shown that a deficiency of axon guidance molecules at the optic disc can lead to optic nerve hypoplasia. Netrin-1 is an axon-guidance molecule that is involved in development of spinal commissural axons and is expressed by neuroepithelial cells at the developing optic nerve head. Retinal ganglion cells in vitro respond to netrin-1 as a guidance molecule. Mice with a targeted deletion of the netrin-1 gene exhibit pathfinding errors at the optic disc, whereas retinal ganglion cells fail to exit into the optic nerve and instead grow inappropriately into the other side of the retina. As a result of this aberrant pathfinding, these mice exhibit optic nerve hypoplasia [101, 102, 279]. In addition to defects in optic nerve formation, the lack of netrin-1 function during development also results in abnormalities in other parts of the CNS, such as agenesis of the corpus callosum and cell migration and axonal guidance defects in the hypothalamus [279]. Thus, elimination of specific axon guidance molecules during development of the mouse nervous system gives rise to a phenotype that bears striking resemblance to septo-optic dysplasia [279].
The timing of coexistent CNS injuries would also suggest that some cases of optic nerve hypoplasia may result from intrauterine destruction of a normally developed structure (i.e., an encephaloclastic event), whereas others represent a primary failure of axons to develop [339]. In human fetuses, Provis et al. [298] found a peak of 3.7 million optic axons at 16 or 17 weeks of gestation, with a subsequent decline to 1.1 million axons by the 31st gestational week. This massive degeneration of supernumerary axons, termed apoptosis, occurs as part of the normal development of the visual pathways and may serve to establish the correct topography of the visual pathways [231]. Toxins or associated CNS injury could augment the usual processes by which superfluous axons are eliminated from the developing visual pathways [58, 231, 339]. The common association of optic nerve hypoplasia with periventricular leukomalacia [58], which clearly cannot be reconciled with a deficiency of axon guidance molecules at the optic disc, demonstrates the importance of retrograde transsynaptic degeneration in the development of some forms of optic nerve hypoplasia [50, 201].
Genetics
A genetic etiology for optic nerve hypoplasia has been aggressively pursued with little success. Reported cases of optic nerve hypoplasia in siblings have all been bilateral and without consanguinity [25, 157, 216]. These cases are sufficiently rare that parents of a child with optic nerve hypoplasia can reasonably be assured that subsequent siblings are at little or no additional risk. However, somatic mosaic brain-only mutations (those arising after fertilization during embryologic development), which are increasingly recognized to play a role in a number of neurodevelopmental diseases (such as epilepsy, autism spectrum disorders, and intellectual disability) and in regional cortical migration anomalies such as hemimegalencephaly, may also cause at least some cases of “isolated” optic nerve hypoplasia [293]. Parsa has speculated that isolated unilateral optic nerve hypoplasia and other congenital ocular malformations could be caused by prenatal thromboembolism through a patent foramen ovale [285].
While genetic mutations in the human netrin-1 and DCC genes have not been described, homozygous mutations in the HESX1 gene has been identified in two siblings with optic nerve hypoplasia, absence of the corpus callosum, and hypoplasia of the pituitary gland [25]. Numerous additional mutations in HESX1 have been observed in children with sporadic pituitary disease and septo-optic dysplasia [89, 97, 260, 371]. Mutations have clustered in the DNA-binding region of the chromosome, consistent with a presumed loss in protein function. Formal examination of homeobox genes with expression patterns similar to HESX1, such as SOX2 and SOX3, may yield additional genes responsible for both sporadic and familial septo-optic dysplasia [98, 216]. The targets and partners of the transcriptional factors involved in the development of forebrain structures that are affected in septo-optic dysplasia are unknown [216]. Optic nerve hypoplasia may accompany other ocular malformations in patients with mutations in the PAX6 gene [26], and may be associated with anophthalmia/microphthalmia when there are mutations in the ALDH1A3 gene [396].
It has also been suggested that mitochondrial disease may underlie some cases of optic nerve hypoplasia [32, 39, 361]. Taban et al. [361] retrospectively reviewed the medical records of 80 patients with nonsyndromic mitochondrial cytopathies and found ten cases of optic nerve hypoplasia. This finding led the authors to question whether excessive apoptosis during embryonic ganglion cell and/or axonal development could result from abnormal mitochondrial function and cellular energy metabolism. Superoxide dismutase (SOD)-deficient mice with inactivation of SOD2 (the mitochondrial form of SOD) produces multiple ocular and systemic abnormalities that are accompanied by optic nerve hypoplasia [320].
Excavated Optic Disc Anomalies
Excavated or cavitated optic disc anomalies include optic disc coloboma, morning glory disc anomaly, and peripapillary staphyloma, megalopapilla, and optic pit. Two new excavated optic disc anomalies have been associated with periventricular leukomalacia (discussed in the previous section) and the vacant optic disc associated with papillorenal syndrome. To our knowledge, no case of normal-tension glaucoma with progressive nerve fiber layer loss has been reported in the pediatric population. In morning glory disc anomaly and peripapillary staphyloma, an excavation of the posterior globe surrounds and incorporates the optic disc, while in coloboma, the excavation obliterates the inferior portion of the optic disc. The inevitable transposition of the terms morning glory disc, optic disc coloboma, and peripapillary staphyloma has propagated tremendous confusion regarding their diagnostic criteria, associated systemic findings, and pathogenesis [46]. It is now clear that optic disc colobomas, morning glory optic discs, and peripapillary staphylomas are distinct anomalies, each with its own specific embryological origin, and not simply clinical variants along a broad phenotypic spectrum [46]. However, all of these disorders may be associated with peripheral retinal nonperfusion [333]. These disorders share a common tendency to develop serous macular detachment due to dynamic pressure gradients between anomalous communications specific extraocular and intraocular spaces. The contributory role of vitreous traction in inciting the cascade of events leading to serous macular detachment is a matter of ongoing debate [202]. Genetic mechanisms producing optic disc excavation have been associated with papillorenal syndrome [286], and others have been mapped to specific chromosomal sites [121]. For example, the autosomal dominantly inherited optic disc excavation with optic disc dysplasia, high myopia, and ovoid-appearing globes has been found to segregate with a deletion a frameshift mutation in the MYC-binding protein gene (MYCBP2), a multifunctional protein that is involved in axonal outgrowth and guidance during visual pathway development [42]. Finally, in microcephalic children, maternal infection with the Zika virus is emerging as an infectious cause of congenital optic disc excavation associated with large patches of chorioretinal atrophy [104].
Morning Glory Disc Anomaly (the Moyamoya Optic Disc)
Background
The morning glory disc anomaly is a congenital, funnel-shaped excavation of the posterior fundus that incorporates the optic disc [296]. It was so named by Kindler [221] in 1970 because of its resemblance to the morning glory flower.
Ophthalmoscopic Appearance
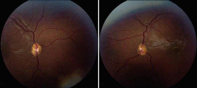
Morning glory optic disc. Large optic disc is surrounded by annular zone of pigmentary disturbance. Retinal vessels appear increased in number, emerge from periphery of disc, and have abnormally straight, radial configuration. There is radial folding of peripapillary retina. Note characteristic central white glial tuft and focal yellowish discoloration that corresponds to macula lutea pigment (macular capture). Used, with permission, from Goldhammer and Smith [149]. Copyright 1975, American Medical Association. With permission Photograph courtesy of Stephen C. Pollock, M.D.
Morning glory disc anomaly with multiple retinal arteriovenous communications (denoted by arrows; A indicates arterioles; V, venules). This child was later found to have neurofibromatosis 2. Used, with permission, from Brodsky and Wilson [66]. Copyright 1995, American Medical Association.
Morning glory disc anomaly with chronic retinal detachment. Top left: Slit lamp photograph of the right eye showing a 10% layered hyphema with sparse multicolored crystals floating within the aqueous. Top right: Slit lamp photograph of the right eye demonstrates multiple, iridescent, needle-like crystals floating freely within the aqueous. Bottom left: Right optic disc photograph demonstrates a morning glory optic disc anomaly. There is a tuft of glial tissue overlying the center of the disc, a slightly elevated yellow annulus surrounding the disc, and a low-lying peripapillary retinal detachment. Bottom right: CT scan showing calcific excavation of the globe at its junction with the optic nerve. (From Brodsky [46, 67], with permission.)
Visual Function
The morning glory disc anomaly is usually unilateral but can be bilateral [29, 296, 311]. Visual acuity usually ranges from 20/200 to finger counting in the morning glory disc anomaly, but cases with 20/20 vision as well as no light perception have been reported. The fact that visual acuity tends to be near normal in bilateral cases suggests that functional amblyopia may contribute to visual loss in unilateral cases [229]. Unlike optic disc colobomas that have no ethnic or sex predilection, morning glory discs are conspicuously more common in females and rare in African Americans [159, 297, 353]. With rare exceptions [13, 274], the morning glory disc anomaly does not present as part of a multisystem genetic disorder [296].
Systemic and CNS Malformations
Transsphenoidal Encephalocele
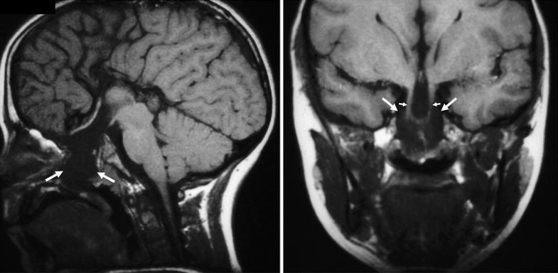
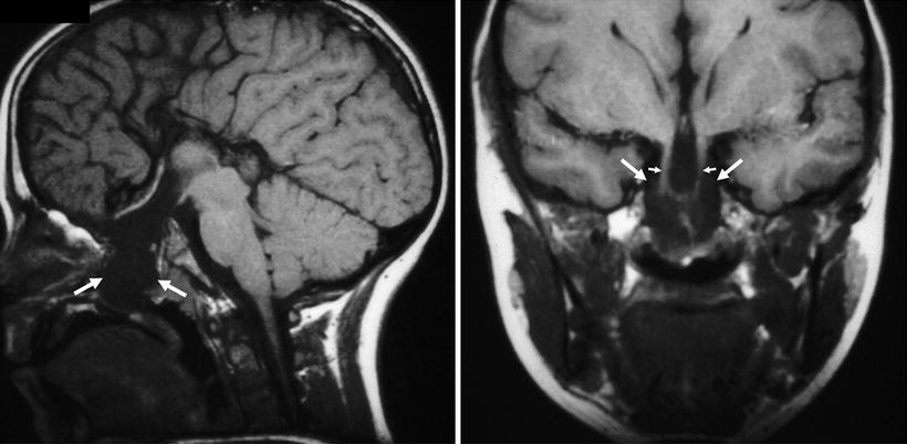
Transsphenoidal encephalocele. (a) T1-weighted sagittal MR image shows an encephalocele extending down through the sphenoid bone into the nasopharynx with impression on the hard palate (white arrows). (b) T1-weighted coronal MR image shows the third ventricle and hypothalamus extending inferiorly into the encephalocele (delimited inferiorly by open arrows). Used, with permission, from Barkovich [19]. Photographs courtesy of A. James Barkovich, M.D.
Transsphenoidal encephalocele. (a) Infant with transsphenoidal encephalocele. Note hypertelorism, depressed nasal bridge, and mid–upper lip defect. Photograph courtesy of Thomas P. Naidich, M.D. (b) Infant with cleft palate and intraoral transsphenoidal encephalocele. Note midline cleft in upper lip. Photograph courtesy of William F. Hoyt, M.D.
(a) Older patient showing midline cleft in the upper lip, depressed nasal bridge, and mild hypertelorism. (b) Close-up view showing characteristic midline cleft in the upper lip. Used with permission from Brodsky et al. [61]. Photographs courtesy of William F. Hoyt, M.D.
Transsphenoidal encephalocele can present initially by interfering with intubation during general anesthesia [336]. Associated brain malformations include agenesis of the corpus callosum and posterior dilatation of the lateral ventricles [380]. Absence of the chiasm is seen in approximately one-third of patients at surgery or autopsy. Most of the affected children have no overt intellectual or neurological deficits, but panhypopituitarism is common [106, 296]. Surgery for transsphenoidal encephalocele is considered by many authorities to be contraindicated because herniated brain tissue may include vital structures, such as the hypothalamic-pituitary system, optic nerves and chiasm, and anterior cerebral arteries, and because of the high postoperative mortality reported, particularly in infants [46, 61]. As with other dysplastic optic discs (see Fig. 2.28), the finding of a discrete V- or tongue-shaped zone of infrapapillary depigmentation can be considered a clinical sign of transsphenoidal encephalocele [61].
Moyamoya Disease
(a) Morning glory disc anomaly in the left eye of a child with PHACE syndrome. (b) Magnetic resonance (MR) angiography shows hypoplasia of the ipsilateral internal carotid artery (large arrow) with moyamoya vessels (small arrow). Used with permission from Massaro et al. [256].
Moyamoya optic disc. (a) In the morning glory disc anomaly, absence of central retinal vasculature gives rise to compensatory collateralization of chorioretinal anastomoses (cilioretinal vessels) to also impart a “moyamoya” bypass system that is ophthalmoscopically visible within the distal optic nerve. (b) Color Doppler ultrasonography demonstrates the absence of vasculature within the central optic nerve. (From Brodsky MC and Parsa CF [64], with permission.)
PHACE Syndrome
PHACE (posterior fossa malformations, large facial hemangiomas, arterial anomalies, cardiac anomalies and aortic coarctation, and eye anomalies) syndrome. (a) Large facial hemangioma. (b) Morning glory disc anomaly. (c) Magnetic resonance (MR) angiogram showing tortuosity of the right internal carotid artery (open arrow) and narrowing of the proximal right middle cerebral artery (closed arrow). Used with permission from Kniestedt et al. [223].
Miscellaneous Disorders
The morning glory disc anomaly has been reported in patients with neurofibromatosis type 2 (Fig. 2.9) [63] and in Okihiro syndrome [24].
Associated Retinal Detachment
Patients with morning glory disc anomaly are also at increased risk for acquired visual loss. Serous retinal detachments have been estimated to develop in 26%–38% of eyes with morning glory anomalies optic discs [159, 352]. These detachments typically originate in the peripapillary area and extend through the posterior pole, occasionally progressing to total detachments (Fig. 2.10) [364, 381]. Although retinal tears are rarely evident, several reports have identified small retinal tears adjacent to the optic nerve in patients with morning glory disc-associated retinal detachments [8, 165, 381, 382]. Subretinal neovascularization may occasionally develop within the circumferential zone of pigmentary disturbance adjacent to a morning glory disc [95, 346]. In addition to retinal detachments, careful fundus examination reveals nonattachment and radial folding of the retina within the excavated zone in a substantial percentage of the remaining cases [296]. The sources of subretinal fluid may be multiple. Irvine et al. [198] reported a patient with a morning glory disc–associated retinal detachment who was treated with optic nerve fenestration followed by gas injection into the vitreous cavity. Following the procedure, gas was seen to bubble out through the dural window, demonstrating an interconnection between the vitreous cavity and the subarachnoid space through the anomalous disc. Chang et al. [83] also reported resolution of a morning glory–associated serous retinal detachment following optic nerve sheath fenestration. Spontaneous resolution of morning glory–associated retinal detachments has also been reported [159].
Contractility
Contractile morning glory optic disc. (a) Morning glory disc prior to contraction. Note minor retinal elevation with radial folding of the peripapillary retina. (b) Same morning glory disc during contraction. There is now greater elevation of retina and encroachment of peripapillary retinal folds on central glial tuft. Used with permission from Pollock [296]. Photographs courtesy of Stephen C. Pollock, M.D.
Embryogenesis
The embryogenesis of the morning glory disc anomaly is poorly understood [151]. Histopathological reports have, unfortunately, lacked clinical confirmation [296]. Older reports mistakenly attributed the morning glory disc anomaly to defective closure of the embryonic fissure and considered it to be a phenotype a colobomatous (i.e., embryonic fissure-related) defect [137, 248]. Other investigators have interpreted the clinical findings of a central glial tuft, vascular anomalies, and a scleral defect, together with the histological findings of adipose tissue and smooth muscle within the peripapillary sclera in presumed cases of the morning glory disc to signify a primary mesenchymal abnormality [296, 375]. According to this interpretation, the associated midfacial anomalies in some patients further support the concept of a primary mesenchymal defect because most of the cranial structures are derived from mesenchyme. Dempster [103] attempted to reconcile these two views by proposing that the basic defect is mesodermal but that some clinical features of the defect may result from a dynamic disturbance between the relative growth of mesoderm and ectoderm. The observation that neural guidance molecules such as netrins also regulate angiogenesis may provide a clue to the molecular pathomechanism for this neurovascular anomaly [78, 115, 380, 394].
Pollock [296] has argued that the fundamental symmetry of the fundus excavation with respect to the disc implicates an anomalous funnel-shaped enlargement of the distal optic stalk at its junction with the primitive optic vesicle as the primary embryological defect. According to this hypothesis, the glial and vascular abnormalities that characterize the morning glory disc anomaly would be explainable as the secondary effects of a primary neuroectodermal dysgenesis on the formation of mesodermal elements that arise later in embryogenesis [296].
Optic Disc Coloboma
Terminology
The term coloboma, of Greek derivation, means curtailed or mutilated [71, 250, 281]. It is used only with reference to the eye.
Ophthalmoscopic appearance
In optic disc coloboma, a sharply delimited, glistening white, bowl-shaped excavation occupies an enlarged optic disc (Fig. 2.18). The excavation is decentered inferiorly, reflecting the position of the embryonic fissure relative to the primitive epithelial papilla [296]. The inferior neuroretinal rim is thin or absent, while the superior neuroretinal rim is relatively spared. Rarely, the entire disc may appear excavated; however, the colobomatous nature of the defect can still be appreciated ophthalmoscopically because the excavation is deeper inferiorly [296]. The defect may extend further inferiorly to involve the adjacent choroid and retina, in which case microphthalmia is frequently present [27, 127]. Optic disc colobomas may contain focal pit-like excavations [378].
Optic disc coloboma. (a) Disc is enlarged. Deep white excavation occupies most of disc but spares its superior aspect. Note chronic serous retinal elevation (seen best at the 11 o’clock position) that has caused subretinal fibrosis. Otherwise, there is minimal peripapillary pigment disturbance in contrast to morning glory disc anomaly. Used with permission from Brodsky [46]. (b) Enlarged colobomatous optic disc (Courtesy of Paul H. Phillips, M.D.). (c) Vertically oval colobomatous disc with atypical vascular dysplasia (Courtesy of Stephen C. Pollock, M.D. and William F. Hoyt, M.D.). (d) Colobomatous disc with infrapapillary defect simulating a double optic disc (Courtesy of William F. Hoyt, M.D.).
Retinochoroidal coloboma. (a) “Halloween coloboma” with optic pits. (b) T1-weighted axial MR image showing bilateral excavation of the globes at their junction with the optic nerves. The left globe has a signal intensity isointense to brain because of silicone oil injected during retinal detachment surgery.
Visual Function
Visual acuity, which depends primarily on the integrity of the papillomacular bundle, may be mildly to severely decreased and is difficult to predict from the appearance of the disc [46]. Unlike the morning glory disc anomaly, which is usually unilateral, optic disc colobomas occur unilaterally or bilaterally with approximately equal frequency [296].
Genetics
As with uveal colobomas, optic disc colobomas may arise sporadically or be inherited in an autosomal dominant fashion [385]. Ocular colobomas may also be accompanied by multiple systemic abnormalities in myriad conditions including, the CHARGE (coloboma, heart defect, atresia choanae, retarded growth and development, genital abnormality, and ear abnormality) association [86, 282, 317], Walker–Warburg syndrome [281], Goltz focal dermal hypoplasia [281, 400], Aicardi syndrome [79, 189], Goldenhar sequence [239, 385], linear sebaceous nevus syndrome [281], and Wolf–Hirschhorn syndrome [105]. Other conditions such as amniotic band syndrome may produce a pseudo-colobomatous nasal excavation of the optic nerve with a corresponding iris defect [82].
Mutations have been identified in the following genes: PAX6 [13, 145], CHX10 [21, 119], MAF [203], SHH [328], CHD7 [31], GDF6 [301], and SOX2 [384]. However, these genes account for only a fraction of colobomas [385], so there is no high-yield genetic test. Sixty percent of patients with CHARGE association have a mutation in the CHD7 gene [213]. Because chromosomal abnormalities are more common in cases in which coloboma is clearly syndromic, it is in the child who has systemic malformations involving the CNS, ears, spine or ribs, digits, or urogenital syndrome that genetic testing is most fruitful.
Associated Findings
Rarely, large orbital cysts can occur in conjunction with atypical excavations of the disc, which are probably colobomatous in nature [75, 341, 389]. A communication between the excavation and the cyst was documented ultrasonographically in one case [341]. The presence of β2-transferrin in the subretinal fluid and in the orbital cyst of a patient with coloboma-associated retinal detachment provides further evidence that the cyst can be the source of the subretinal fluid [287]. Histopathological examination in optic disc coloboma has demonstrated the presence of intrascleral smooth muscle strands oriented concentrically around the distal optic nerve [124, 393]. This pathological finding may account for the contractility seen in rare cases of optic disc coloboma [125].
Associated Retinal Detachment
Eyes with isolated optic disc colobomas are prone to develop serous macular detachments, while those with retinochoroidal colobomas develop complicated rhegmatogenous retinal detachments [240, 324]. OCT is useful in depicting subclinical retinal detachments along the margins of retinochoroidal colobomas and retinoschisis cavities adjacent to optic disc colobomas [152]. In a clinicopathologic study of an optic disc coloboma and associated macular detachment in a rhesus monkey, Lin et al. [240] noted disruption of the intermediary tissue of Kuhnt, with diffusion of retrobulbar fluid from the orbit into the subretinal space. A variety of treatment modalities have been applied to the associated sensory retinal detachments, including patches, bed rest, corticosteroids, vitrectomy, scleral buckling procedures, gas-fluid exchange, and photocoagulation [35, 324]. Some have advocated waiting 3 months before treating coloboma-associated macular detachments because spontaneous reattachment may occur [35, 324]. In patients with atypical optic disc colobomas, intraoperative drainage of subretinal fluid through the disc anomaly may be possible, or gas or silicone oil may be seen to migrate subretinally. The pressure differential required for migration of gas through a small defect in the roof of a cavitary lesion is within the range of expected fluctuations in cerebrospinal fluid pressure, suggesting the presence of interconnections between the vitreous cavity, subarachnoid space, and subretinal space [206]. Perkins et al. [288, 289] described three patients with macular schisis cavities who developed (noncolobomatous-appearing) optic disc cavitations concurrent with the resolution of the macular fluid. They proposed that a communication through dysplastic tissue could allow either liquefied vitreous to migrate posteriorly into the perineural space or CSF to migrate intraretinally. They cautioned that, in cases of macular schisis in which an optic nerve excavation is not initially apparent, spontaneous resolution of the macular schisis cavity is possible [288, 289].
Nosology
Colobomatous malformations of the optic disc produce an inferior segmental hypoplasia of the optic nerve, with a C-shaped or quarter-moon–shaped neuroretinal rim confined to the superior aspect of the optic disc (Fig. 2.18) [46]. Colobomas constitute the most common segmental form of optic nerve hypoplasia encountered in clinical practice [48]. Coronal T1-weighted MR imaging confirms that the intracranial portion of the optic nerve is reduced in size [48]. The nosological overlap between colobomatous derangement of the optic nerve and segmental hypoplasia reflects the early timing of colobomatous dysembryogenesis, which results in primary failure of inferior retinal ganglion cells to develop.
Unfortunately, many uncategorizable dysplastic optic discs are indiscriminately labeled optic disc colobomas. This practice continues to complicate the nosology of coloboma-associated genetic disorders. It is therefore crucial that the diagnosis of optic disc coloboma be reserved for discs that show an inferiorly decentered, white-colored excavation with minimal peripapillary pigmentary changes [46, 296]. For example, the purported association between optic disc coloboma and basal encephalocele [238, 296, 355] is deeply entrenched in the literature; however, a critical review reveals only two photographically documented cases [92, 355]. In striking contrast to the numerous well documented reports of morning glory optic discs occurring in conjunction with basal encephaloceles, cases of optic disc coloboma with basal encephalocele are conspicuous by their absence.
Ophthalmoscopic Findings that Distinguish Morning Glory Disc Anomaly from Optic Disc Coloboma [187]
| Morning Glory Disc Anomaly | Optic Disc Coloboma |
|---|---|
| • Optic disc lies within the excavation | • Excavation lies within the optic disc |
| • Symmetrical defect (disc lies centrally within the excavation) | • Asymmetrical defect (excavation lies inferiorly within the disc) |
| • Central glial tuft | • No central glial tuft |
| • Severe peripapillary pigmentary disturbance | • Minimal peripapillary pigmentary disturbance |
| • Anomalous retinal vasculature | • Normal retinal vasculature |
Associated Ocular and Systemic Findings that Distinguish Morning Glory Disc Anomaly from Isolated Optic Disc Coloboma
| Morning glory disc anomaly | Optic disc coloboma |
|---|---|
| • More common in females, rare in African Americans | • No sex or ethnic predilection |
| • Rarely familial | • Often familial |
| • Rarely bilateral | • Often bilateral |
| • No iris, ciliary, or retinal colobomas | • Iris, ciliary, and retinal colobomas common |
| • Rarely associated with multisystem genetic disorders | • Often associated with multisystem genetic disorders |
| • Basal encephalocele common | • Basal encephalocele rare |
Peripapillary Staphyloma
Peripapillary staphyloma that was ipsilateral to an orofacial hemangioma in a child with PHACE (posterior fossa malformations, large facial hemangiomas, arterial anomalies, cardiac anomalies and aortic coarctation, and eye anomalies) syndrome. Used with permission from Kniestedt et al. [223].
Visual acuity is usually markedly reduced, but cases with normal acuity have also been reported [74]. Affected eyes are usually emmetropic or slightly myopic [71]. Eyes with decreased vision frequently have centrocecal scotomas [71].
Although peripapillary staphyloma is clinically and embryologically distinct from morning glory disc anomaly, these conditions are frequently transposed in the literature [46]. Although peripapillary staphyloma is usually unassociated with systemic or intracranial disease, it has been reported in association with transsphenoidal encephalocele [180], PHACE syndrome [222, 223], linear nevus sebaceous syndrome [62], and 18q-(de Grouchy) syndrome [200].
The relatively normal appearance of the optic disc and retinal vessels in peripapillary staphyloma suggests that the development of these structures is complete, prior to the onset of the staphylomatous process [296]. According to Pollock [296], the clinical features of peripapillary staphyloma are consistent with diminished peripapillary structural support, perhaps resulting from incomplete differentiation of sclera from posterior neural crest cells in the fifth month of gestation. Staphyloma formation presumably occurs when establishment of normal intraocular pressure leads to herniation of unsupported ocular tissues through the defect [296]. Thus, peripapillary staphyloma and the morning glory disc anomaly appear to be pathogenetically distinct both in the timing of the insult (5 months gestation vs. 4 weeks gestation) as well as the embryological site of structural dysgenesis (posterior sclera versus distal optic stalk).
Megalopapilla
Megalopapilla. (a) Massively enlarged optic disc within a peripapillary staphyloma (Courtesy of Kenneth Wald, M.D.). (b) Common variant of megalopapilla in which an abnormally large optic disc contains a large central cup.
Megalopapilla versus Coloboma. The enlarged right optic disc with a large cup appears to correspond to megalopapilla. However, the small retinochoroidal coloboma in the left eye confirms the diagnosis of coloboma. On close examination, the enlarged optic cup in the right optic disc is deeper inferiorly.
Two reports [251, 302] have documented large optic discs in patients with optic nerve hypoplasia associated with a congenital homonymous hemianopia. This combination of findings suggests that a prenatal loss of optic nerve axons leading to optic nerve hypoplasia may not always alter the genetically predetermined size of the scleral canals [298].
Visual acuity is usually normal but may be mildly decreased in some cases of megalopapilla. Visual fields are usually normal except for an enlarged blind spot, allowing the examiner to effectively rule out normal-tension glaucoma or compressive optic atrophy. However, Jonas reported the exceptional case of a 3-year-old boy with congenital megalopapilla and normal neuroretinal rims who developed a glaucomatous optic neuropathy 10 years later [207]. Colobomatous discs are distinguished from megalopapilla by their predominant excavation of the inferior optic disc. Aside from glaucoma and optic disc coloboma, the differential diagnosis of megalopapilla includes orbital optic glioma, which in children can cause progressive enlargement of a previously normal-sized optic disc [155].
Pathogenetically, most cases of megalopapilla may simply represent a statistical variant of normal. However, it is likely that megalopapilla occasionally results from altered optic axonal migration early in embryogenesis, as evidenced by a report [149] of megalopapilla in a child with basal encephalocele. The rarity of this association, however, would suggest that neuroimaging is unwarranted in megalopapilla, unless midfacial anomalies (e.g., hypertelorism, cleft palate, depressed nasal bridge) coexist.
Optic Pit
Optic pit showing each stage in evolution of serous macular detachment. (a) Abnormal radial striations between disc and macula (delimited by large arrows) correspond to schisis-like inner-layer retinal separation. There is also outer-layer hole (open arrow) surrounded by outer-layer macular detachment (delimited by small arrows). (b) Black and white photograph from another patient showing demonstrating inner-layer separation (delimited by large arrows), macular hole (open arrow), and outer-layer sensory detachment (delimited by arrowheads). Used with permission from Lincoff et al. [242]. Copyright 1988, American Medical Association. Photograph courtesy of Harvey Lincoff, M.D.
“Mitotic” optic disc appearance caused by two distinct optic pits (Courtesy of Neil Miller, M.D.).
Histologically, optic pits consist of herniations of dysplastic retina into a collagen-lined pocket extending posteriorly, often into the subarachnoid space, through a defect in the lamina cribrosa [71, 120, 198]. Numerous reports of familial optic pits [209, 300, 351] suggest an autosomal dominant mode of transmission.
In unilateral cases, the involved disc is slightly larger than the normal disc [71]. Visual acuity is typically normal in the absence of subretinal fluid. Although visual field defects are variable and often correlate poorly with the location of the pit, the most common defect appears to be a paracentral arcuate scotoma connected to an enlarged blind spot [69, 227]. With rare exceptions [377], optic pits do not portend additional CNS malformations. Acquired depressions in the optic disc have been documented in normal-tension glaucoma; however, these central pits are not associated with serous maculopathy [205, 299]. The association of optic pits with mild optic disc enlargement is particularly useful in distinguishing optic pits from normal-tension glaucoma in adults.
Serous macular elevations have been estimated to develop in 25%–75% of eyes with optic pits [36, 69, 227, 357]. Optic pit–associated maculopathy generally becomes symptomatic in the third or fourth decade of life. Vitreous traction on the margins of the pit and tractional changes in the roof of the pit may be the inciting events that ultimately lead to late-onset macular detachment [36, 120, 369].
- 1.
A schisis-like inner-layer retinal separation initially forms in direct communication with the optic pit, which produces a mild, relative, centrocecal scotoma.
- 2.
An outer-layer macular hole develops beneath the boundaries of the inner-layer separation and produces a dense central scotoma.
- 3.
An outer-layer retinal detachment develops around the macular hole (presumably from influx of fluid from the inner-layer separation). This outer-layer detachment ophthalmoscopically resembles an RPE detachment but fails to hyperfluoresce on fluorescein angiography.
- 4.
The outer-layer detachment may eventually enlarge and obliterate the inner-layer separation. At this stage, it is no longer ophthalmoscopically or histopathologically distinguishable from a primary serous macular detachment.
Figure 2.23 depicts the retinal findings that can be observed in the evolution of an optic pit–associated macular detachment. The finding of a sensory macular detachment in histopathologically studied eyes with optic pits presumably represents the end stage of this sequence of events. Optical coherence tomography has confirmed this mechanism [228, 241]. The risk of optic pit–associated macular detachment is greater in eyes with large optic pits and in eyes with temporally located pits [69]. Perhaps because of age-related differences in vitreopapillary traction, optic pit–associated serous maculopathy in children may tend toward spontaneous resolution [51, 403]. Spontaneous reattachment is seen in approximately 25% of adult cases [69, 345]. Early reports of spontaneous resolution of most optic pit–associated macular detachments with good visual recovery [357] differ from the experience of subsequent investigators who have noted permanent visual loss in untreated patients, even when spontaneous reattachment occurs [138, 345]. Bed rest and bilateral patching have led to retinal reattachment in some patients, presumably by decreasing vitreous traction [94, 324].
Laser photocoagulation to block the flow of fluid from the pit to the macula is largely unsuccessful, perhaps due to the inability of laser photocoagulation to seal a retinoschisis cavity [36, 94, 138, 233, 242, 324, 345, 368, 370]. Vitrectomy with internal gas tamponade laser photocoagulation has produced long-term improvement in acuity [9, 138, 176, 242, 258, 324, 344]. Although the aim of this treatment is to compress the retina at the edge of the disc to enhance the effect of laser treatment, Lincoff et al. [243] have postulated that internal gas tamponade functions to mechanically displace subretinal fluid away from the macula, allowing a shallow, inner-layer separation to persist, which is associated with a mild scotoma and relatively good visual acuity. On the basis of clinical and perimetric observations following treatment, Lincoff et al. have concluded that laser photocoagulation probably does not contribute to the success of this procedure [243].
Vitrectomy without laser treatment or gas tamponade has also been successful in treating optic pit–associated macular detachment [40, 175]. It is proposed that vitrectomy may remove traction around the entrance cavity of the optic pit and disrupt fluid currents into the intraretinal space, allowing photoreceptor outer segments to remodel and vision to improve prior to complete resorption of subretinal fluid [175]. The finding that vitrectomy with induction of posterior vitreous detachment without gas tamponade or laser photocoagulation allows resolution of optic pit maculopathy suggests that primary vitreous traction is the trigger of the schisis-like separation and that the perivascular space around the optic pit allows for the passage of fluid into the retina. A tight adhesion of the posterior hyaloid or an abnormal membrane such as an anomalous Cloquet’s canal has been reported during the surgical induction of posterior vitreous detachment [175]. Based on the notion that fluid from the pit enters the retinoschisis cavity under pressure, vitrectomy with inner retinal radial fenestration temporal to the disc (to allow fluid egress into the vitreous) has been effective in producing long-term resolution [276], including in a 15-year-old boy [348].
The source of intraretinal fluid in eyes with optic pits is controversial. Possible sources include vitreous cavity via the pit, the subarachnoid space, blood vessels at the base of the pit, and the orbital space surrounding the dura. Although fluorescein angiography shows early hypofluorescence of the pit followed in many cases by late hyperfluorescent staining. However, optic pits do not generally leak fluorescein, and there is no extension of fluorescein into the subretinal space toward the macula [69]. The finding of late hyperfluorescent staining has been shown [370] to correlate strongly with the presence of cilioretinal arteries emerging from the pit. Careful slit-lamp biomicroscopy and OCT [110] often reveal a thin membrane overlying the pit [69] or a persistent Cloquet canal terminating at the margin of the pit [7].
Although active flow of fluid from the vitreous cavity through the pit to the subretinal space has been demonstrated in collie dogs, this mechanism has never been conclusively demonstrated in humans [70]. Friberg and McClellan [129] demonstrated a pulsatile communication of fluid between the vitreous cavity and a retrobulbar cyst through an optic pit. Theodossiadis et al. [370] described a similar optic nerve sheath cyst that compressed and displaced the nerve, producing optic pallor. On the other hand, Dithmar et al. [108] reported progressive migration of oil into the subretinal space following retinal detachment surgery in an eye with a pit, suggesting that a communication between the vitreous cavity and the subretinal space through the pit can also cause retinal detachment. Rarely, macular holes can develop in eyes with optic pits or optic disc colobomas and lead to rhegmatogenous retinal detachment [30, 357]. Most recently, Gowdar et al. used enhanced depth OCT imaging to demonstrate that the retinoschisis cavity connects to a gap within the lamina cribrosa, supporting the cerebrospinal fluid as the site of origin of the subretinal fluid [153]. This interesting finding does not reconcile with the proposed vitreous origin of the fluid or the success of vitrectomy in producing resolution of the serous detachment [276].
- 1.
Optic pits are usually unilateral, sporadic, and unassociated with systemic anomalies. Colobomas are bilateral as often as unilateral, commonly autosomal dominant, and may be associated with a variety of multisystem disorders.
- 2.
It is rare for optic pits to coexist with iris or retinochoroidal colobomas.
- 3.
Optic pits usually occur in locations unrelated to the embryonic fissure (Fig. 2.24).
Following a review of 75 eyes with optic pits, Brown et al. [69] concluded that “the sparsity of inferonasal pits (none among our cases) casts doubt as to whether the pits are truly colobomas resulting from incomplete closure of the embryonic fissure. Some ophthalmologists have colloquially thought that pits are colobomas, and the finding of pits in three of our patients in association with true optic nerve colobomas indicates more than an incidental relationship. However, if pits are colobomatous defects, they are certainly atypical” [69]. While it is true that colobomas may contain focal crater-like deformations that resemble optic pits [10, 148], and that the distinction between an inferiorly located pit and a small optic disc coloboma is difficult at times, there appears to be sufficient evidence to conclude that most optic pits are fundamentally distinct from colobomas in their pathogenesis. The observation that one or more cilioretinal arteries emerge from the majority of optic pits suggests that this finding must somehow be pathogenetically related [69, 173].
Papillorenal Syndrome (The PARSA Optic Disc)
The papillorenal syndrome, previously known as renal coloboma syndrome, was first described by Rieger in 1977 [310]. This syndrome was initially considered to be a rare autosomal dominant disorder consisting of bilateral optic disc anomalies associated with hypoplastic kidneys [277]. Associated retinal detachments were described, as was eventual renal failure. In 1995, Sanyanusin et al. [322] discovered mutations in the human homologue of the developmental mouse gene PAX2, in two affected families. Schimmenti et al. [327] identified three additional families with PAX2 mutations with similar ophthalmologic features and a wider spectrum of renal abnormalities. These abnormalities may include hypoplasia, variable proteinuria, vesicoureteral reflux, recurrent pyelonephritis, microhematuria, echogenicity on ultrasound, or high resistance to blood flow on Doppler ultrasound.
Papillorenal syndrome. The PARSA optic disc is characterized by perturbed angiogenesis, associated renal complications, sans a central retinal artery. Note central excavation with multiple cilioretinal vessels and absence of central retinal vasculature.
Color Doppler imaging has confirmed the absence of central retinal circulation in patients with papillorenal syndrome [286]. Visual acuity is usually 20/20 but may occasionally be severely diminished secondary to choroidal and retinal hypoplasia and, in some cases, to late-onset serous retinal detachments [286]. Peripheral visual field defects corresponding to areas of retinal hypoplasia are often present. The central optic disc excavation and peripheral field defects can simulate coloboma as well as normal-tension glaucoma. Follow-up examination has shown renal disease in some patients who were originally reported as having isolated familial autosomal dominant coloboma [286, 323]. In infants, the bilateral optic disc excavation can simulate congenital glaucoma, but the diagnosis can be established clinically by recognizing the characteristic optic disc morphology [217].
This malformation is attributed to a primary deficiency in angiogenesis involved in vascular development [286]. In these patients, there is a failure of the hyaloid system to convert to normal central retinal vessels. The absence of a well-defined central retinal artery or vein in several adult mammalian species, including lemurs and cats, suggests that this malformation could be considered analogous to an evolutionary regression to a feline pattern of circulation [286]. Because ocular tissues and renal cortex are the most highly perfused tissues of the body, both develop a significant portion of their vasculature by means of angiogenesis (budding) in addition to vasculogenesis [286]. These tissues may thus be particularly susceptible to anomalies in vascular development, resulting in hypoplasia or anomalies of associated structures. Many patients with papillorenal syndrome have no detectable mutations in the PAX2 gene [113, 286].
Honkanen et al. [183] described a fourth-generation pedigree with progressive optic nerve head cupping, anomalous vasculature (often emerging from the periphery of the disc), and serous macular detachments in some patients and mapped the chromosomal location of the disease-causing gene to chromosome 12q [121]. These patients may have had undiagnosed papillorenal syndrome. In patients with vacant optic disc, we routinely check blood pressure and order testing of serum blood urea nitrogen (BUN) and creatinine levels, urinalysis for hematuria, and Doppler renal ultrasound to look for structural defects such as renal hypoplasia.
Congenital Tilted Disc Syndrome
Congenital tilted disc syndrome. (a, b) Optic discs appear obliquely oval. There is elevation of superonasal discs and posterior displacement of inferonasal disc. Note subtle inferonasal peripapillary crescent, albinotic appearance of inferonasal retina, and situs inversus of vessels as they emerge from disc. (c, d) Goldmann visual field of right eye demonstrates superotemporal visual field defect confined to midperipheral isopter that does not respect horizontal meridian. (e, f) Axial computed tomography (CT) scan showing “tilted eyeballs”, with posterior protrusion of both globes (Courtesy of Klara Landau, M.D.).
Familiarity with tilted disc syndrome is crucial for the ophthalmologist because affected patients may present with bitemporal hemianopia or optic disc elevation that simulates papilledema [10, 46]. The bitemporal hemianopia in affected patients, which is typically incomplete and confined primarily to the superior quadrants, represents a refractive scotoma, secondary to regional myopia localized to the inferonasal retina. Unlike the visual field loss from chiasmal lesions, the field defects seen in tilted disc syndrome fail to respect the vertical meridian on careful kinetic perimetry. Furthermore, the superotemporal depression is selectively confined to the midsize isopter, while the large and small isopters remain fairly normal due to the marked ectasia of the midperipheral fundus. Repeat perimetry after addition of a −4.00 lens often eliminates the visual field abnormality, confirming the refractive nature of the defect. In some cases, retinal sensitivity may be decreased in the area of the ectasia, and the defect persists to some degree despite appropriate refractive correction [401].
It should be emphasized that the tilted disc syndrome has been associated with true bitemporal hemianopia in several patients who were found to harbor a congenital suprasellar tumor. As with optic nerve hypoplasia, these two seemingly disparate findings may reflect the disruptive effect of the suprasellar tumor on optic axonal migration during embryogenesis [367]. This sinister association makes neuroimaging mandatory in any patient with a tilted disc syndrome whose bitemporal hemianopia either respects the vertical meridian or fails to preferentially involve the midperipheral isopter on kinetic perimetry [215, 278]. Tilted discs without retinal ectasia occur in patients with transsphenoidal encephalocele [61, 74]. The tilted disc syndrome has also been reported in patients with X-linked congenital stationary night blindness [168, 178]. In eyes with tilted discs or the full tilted disc syndrome, anomalies at the junction of the staphyloma or at the junction between the peripapillary retina and the altered disc margin may cause serous macular detachments [49, 90, 372]. Crowding and elevation of the superotemporal portion of the tilted disc may predispose the patient to the formation of optic disc drusen [144] and to central retinal vein occlusion [143]. Severe multilayered optic disc hemorrhages may develop in Asian myopic patients with tilted discs [195].
The congenital tilted disc syndrome can also be complicated by choroidal neovascularization, which develops at the inferotemporal edge of the staphyloma [142], serous macular detachment and subretinal leakage [90], and polypoidal choroidal vasculopathy [257].
Optic Disc Dysplasia
Optic disc dysplasia. Optic disc is vertically elongated and grossly anomalous. Retinal vessels emerge from disc in anomalous pattern. Used with permission from Brodsky [46]. Photograph courtesy of Stephen C. Pollock, M.D.
Infrapapillary retinochoroidal depigmentation associated with transsphenoidal encephalocele. (a) V-shaped defect with inferior segmental optic hypoplasia. Photograph courtesy of William F. Hoyt, M.D. (b) Tongue-shaped infrapapillary depigmentation with dysplastic optic disc. Used with permission from Brodsky et al. [61].
Congenital Optic Disc Pigmentation
Congenital optic disc pigmentation. (a) Right optic disc. Circular area of patchy pigmentation surrounds severely hypoplastic, elevated, central tuft of optic nerve substance, producing appearance of gray optic disc. Arteries and veins overlying disc are anomalous; difficult to distinguish from melanocytoma of the optic disc. (b) Left optic disc. Disc is elevated and uniformly gray in appearance. Note anomalous superior vasculature and anomalous venous trunk along the 2 o’clock meridian of disc. Used with permission from Brodsky et al. [56].
Optic disc from infant with albinism and delayed visual maturation, demonstrating diffuse gray cast unrelated to pigmentation. Used with permission from Brodsky [46].
Despite their fundamental differences, optically gray optic discs and congenital optic disc pigmentation have, unfortunately, been lumped together in many reference books. These two conditions can usually be distinguished ophthalmoscopically because melanin deposition in true congenital optic disc pigmentation is often discrete, irregular, and granular in appearance [56].
Aicardi Syndrome
Aicardi syndrome in a 2-year-old girl with a microdeletion on chromosome 3. Retinal photographs showing bilateral peripapillary chorioretinal lacunae in the right (a) and left (b) eyes, and multiple multiple midperipheral oblong depigmented areas in the right (c) and left (d) eyes. (From Broomall et al. [68] with permission.)
Histologically, chorioretinal lacunae consist of well-circumscribed, full-thickness defects limited to the RPE and choroid. The overlying retina remains intact but is often histologically abnormal [79]. Although virtually pathognomonic for Aicardi syndrome, these lacunae have rarely been reported in other conditions, including autosomal dominant microcephaly with lacunar retinal hypopigmentations [386], amniotic band syndrome [166], oral-facial-digital syndrome [272], and oculo-auricular syndrome [330]. Congenital optic disc anomalies, including optic disc coloboma, optic nerve hypoplasia, and congenital optic disc pigmentation, may accompany chorioretinal lacunae [79, 87, 131]. Other ocular abnormalities include microphthalmos, retrobulbar cyst, pseudoglioma, retinal detachment, macular scars, cataract, pupillary membranes, iris synechiae, and iris colobomas [87, 189]. OCT may eventually assist in establishing the diagnosis, showing inner nuclear layer retinal cysts with choroidal and scleral thinning within and adjacent to the lacunae in one patient [255].
The most common systemic findings associated with the Aicardi syndrome are vertebral malformations (e.g., fused vertebrae, scoliosis, spina bifida) and costal malformations (e.g., absent ribs, fused or bifurcated ribs) [79, 87, 189]. Other systemic associations include muscular hypotonia, microcephaly, dysmorphic facies, auricular anomalies, and gastrointestinal dysfunction [146]. A constellation of facial anomalies, including a prominent premaxilla, upturned nasal tip, decreased angle of the nasal bridge, and sparse lateral eyebrows may assist in the diagnosis of the Aicardi syndrome [359]. Various skin lesions are also present in 20% of cases [359]. Severe mental retardation is almost invariable [79, 189].
Magnetic resonance (MR) imaging in Aicardi syndrome. (a) Sagittal T1-weighted MR image demonstrating agenesis of corpus callosum (upper solid arrow denotes normal position of corpus callosum), arachnoid cyst in region of quadrigeminal cistern (open arrow), and hypoplasia of cerebellar vermis with cystic dilatation of fourth ventricle (Dandy–Walker variant) (lower solid arrow). (b) Coronal T1-weighted image demonstrating absent corpus callosum (black arrow denotes normal position of corpus callosum) and chiasmal hypoplasia (white arrow). (c) Coronal inversion recovery image (arrow) demonstrating pachygyria (thickened dysmorphic cortex with decreased cortical gyri and sulci). (d) Axial T1-weight MR image demonstrating gray matter heterotopias in right temporal lobe (upper arrow), small areas of probable polymicrogyria just medial to occipital poles (greater in left hemisphere), dilatation of posterior horns of lateral ventricles (also known as colpocephaly) (open arrows), and arachnoid cyst in region of quadrigeminal cistern (lower solid arrow). Used with permission from Carney et al. [79].
Several observations support the hypothesis that the Aicardi syndrome is caused by de novo mutations of a gene on the X-chromosome that is subject to X-chromosomal inactivation and that is lethal in males [87, 271, 359, 375]. Parents should therefore be asked about a previous history of miscarriages. All but four affected individuals have been female [82] and, except for one pair of sisters [268], all reported cases are sporadic. At least six pairs of twins who are discordant for Aicardi syndrome are known. Five of these are confirmed to be dizygotic, which excludes the possibility that the etiology is a prenatal toxic or other disruptive event. With a single exception [84], all males confirmed to have Aicardi syndrome had a 47XXY karyotype [5, 186, 335]. In 1986, Chevrie and Aicardi [88] suggested that all cases of Aicardi syndrome represent fresh gene mutations because no cases of affected siblings had been reported [87]. A report of Aicardi syndrome in two sisters challenged the notion that Aicardi syndrome always results from a de novo mutation in the affected infant and indicates that parental gonadal mosaicism for the mutation may be an additional mechanism of inheritance [266]. A linkage to chromosome 3 is also suggested by the fact that Aicardi syndrome has been described in two girls who had translocations in chromosome 3 [109, 314] and in another girl who had a microdeletion on chromosome 3 [68].
Although early infectious CNS insults can lead to severe CNS anomalies, test results for infective agents have been consistently negative. No teratogenic drug or other toxin has yet been associated with Aicardi syndrome [79]. On the basis of the pattern of cerebroretinal malformations in Aicardi syndrome, it is speculated that an insult to the CNS must take place between the fourth and eighth week of gestation [87].
The neurodevelopmental prognosis of Aicardi syndrome is extremely poor [315], with most children having seizures that are intractable despite therapy and 91% attaining milestones at no higher than 12 months [261, 262]. However, some do well; one girl reportedly never had seizures, and her psychomotor and language development were normal for her age [297]. One study [262] found the presence of large chorioretinal lacunae to correlate with poor neurodevelopment. New medications such as vigabatrin and lamotrigine, which are more effective in controlling infantile spasms, have also improved the neurodevelopmental outcome and obviated the need for treatment with adrenocorticotropic hormones and prednisone.
On the basis of the associated ocular abnormalities (microphthalmos, persistent pupillary membrane, persistent hyperplastic primary vitreous, vascular loops on the optic disc, and epiretinal glial tissue), Ganesh et al have proposed that a persistence of fetal vasculature may provide a unifying hypothesis for the embryogenesis of the Aicardi syndrome [133].
Doubling of the Optic Disc
Doubling of optic disc. In both cases, a focal retinochoroidal coloboma simulates duplication of the optic disc (Courtesy of Klara Landau, M.D. [left] and William F. Hoyt, M.D. [right]).
Most clinical reports antedate the era of high-resolution neuroimaging and have relied upon the roentgenographic demonstration of two optic nerves in the same orbit, results of fluorescein angiography, synchronous pulsations of each major disc artery, dual blind spots, and angioscotomas to provide indirect evidence of optic nerve diastasis [111]. In most cases, an apparent doubling of the optic disc results from a focal, juxtapapillary retinochoroidal coloboma that displays an abnormal vascular anastomosis with the optic disc [111, 378]. However, rare cases of true optic nerve doubling with two separate origins of the retinal vasculature have been documented [280].
Separation of the optic nerve into two or more segments is rare in humans but common in lower vertebrates [111]. However, separation of various portions of an intracranial or orbital optic nerve has been documented in a handful of autopsy cases [91, 132, 277, 298, 340, 343]. High-resolution orbital MR imaging should allow in vivo confirmation of optic nerve diastasis. In one case, retinal examination disclosed distinct vasculatures, OCT and ultrasound permitted in vivo imaging confirmation of two distinct optic nerve heads [307]. Acquired optic nerve splitting has been described [107, 214] after trauma and penetration by an aneurysm. Occasionally, coronal MR imaging can create the false appearance of optic nerve diastasis [139].
Optic Nerve Aplasia
Optic nerve aplasia. (a) Retinal photograph shows absence of the optic nerve and vessels and only rudimentary development of the retinal vessels. Used with permission from Brodsky et al. [56]. (b) Histopathologic section of eye with optic nerve aplasia. Note mass of gliotic retina (arrowheads) filling vitreous cavity. RPE ends abruptly (open arrow) in area in which optic nerve should be. The choroid (solid arrow) is replaced with gliotic tissue. Residual tag of dura (asterisk) is attached to outer sclera (Courtesy of Curtis Margo, M.D.).
-
Absence of a normally defined optic nerve head or papilla in the ocular fundus, without central blood vessels or macular differentiation
-
A whitish area corresponding to the optic disc, without central vessels or macular differentiation
-
A deep avascular cavity in the site corresponding to the optic disc, surrounded by a whitish annulus
Optic nerve aplasia seems to fall within a malformation complex that is fundamentally distinct from that seen with optic nerve hypoplasia, as evidenced by its tendency to occur unilaterally and its frequent association with malformations that are otherwise confined to the involved eye (microphthalmia, malformations in the anterior chamber angle, hypoplasia or segmental aplasia of the iris, cataracts, persistent hyperplastic primary vitreous, colobomas, and retinal dysplasia), as opposed to the brain [34, 140, 188, 305]. Although the pathogenesis of optic nerve aplasia is unknown, loss of function due to OTX2 mutations have been identified in patients with a variety of severe eye malformations, including optic nerve aplasia [301]. This homeodomain protein also plays a role in development of the ventral brain, eye, and pituitary gland [96]. When optic nerve aplasia occurs bilaterally, it is usually associated with other CNS malformations [20, 353, 398], although exceptions exist. One infant with bilateral optic nerve aplasia was found to have congenital hypopituitarism and posterior pituitary ectopia [55]. Another case was associated with lactic acidosis and neonatal seizures due to mitochondrial respiratory chain complex I deficiency [37], suggesting a possible role for intrauterine mitochondrial dysfunction in rare cases.
In patients with unilateral optic nerve aplasia, the intracranial course of the intact optic nerve may vary. This phenomenon may explain the concurrence of optic nerve hypoplasia with contralateral megalopapilla [4]. One patient with unilateral anophthalmos had optic nerve aplasia associated with a congenital giant suprasellar aneurysm [181]. The remaining optic nerve was identified at craniotomy as passing posteriorly as a single cord to form an optic tract with no adjoining chiasm. It was speculated that the absent optic nerve and chiasm may have formed initially and then degenerated in a retrograde fashion. Autopsy findings from a patient with a Hallermann–Streiff-like syndrome and left optic nerve hypoplasia showed normal geniculate bodies and optic tracts with only a single nerve that emerged anteriorly from a chiasm that deviated to the right [187]. In another patient with unilateral optic nerve aplasia and microphthalmos, MR imaging disclosed optic nerve aplasia and hemichiasmal hypoplasia on the affected side [253]. Visually evoked cortical responses demonstrated increased signals over the occipital lobe contralateral to the intact optic nerve, suggesting chiasmal misdirection of axons from the temporal retina of the normal eye, as is seen in albinism. The authors speculated that this abnormal decussation may represent an atavistic form of neuronal reorganization [253]. Optic nerve aplasia and its associated chorioretinal lacunae may occasionally overlap with the autosomal dominant microcephaly-lymphedema-chorioretinal dysplasia syndrome [80, 156].
Myelinated (Medullated) Nerve Fibers
Myelination of the afferent visual pathways begins at the lateral geniculate body at 5 months of age and terminates at the lamina cribrosa at term or shortly thereafter. Oligodendrocytes, which are responsible for myelination of the CNS, are not normally present in the human retina. A histological study [354] has confirmed the presence of presumed oligodendrocytes and myelin in areas of myelinated nerve fibers and their absence in other areas. Myelinated retinal nerve fibers have been found in approximately 1% of eyes examined at autopsy [373] and in 0.3%–0.6% of routine ophthalmic patients.
Myelinated nerve fibers.
- 1.
A defect in the lamina cribrosa may allow oligodendrocytes to gain access to the retina and produce myelin there.
- 2.
There may be fewer axons relative to the size of the scleral canal, producing enough room for myelination to proceed into the eye. In eyes with remote, isolated peripheral patches of myelinated nerve fibers, an anomaly in the formation or timing of formation of the lamina cribrosa permits access of oligodendrocytes to the retina. These cells then migrate through the nerve fiber layer until they find a region of relatively low nerve fiber layer density, where they proceed to myelinate some axons [390].
- 3.
Late development of the lamina cribrosa may allow oligodendrocytes to migrate into the eye. The sclera begins to consolidate in the limbal region, then proceeds posteriorly toward the lamina cribrosa. As Williams stated, “in a sense, it is possible to imagine a race going on, with the oligodendrocytes myelinating their way toward the retina and the mesodermal tissue consolidating its way to make the lamina cribrosa. If scleral consolidation is retarded, then some retinal myelination may occur” [390].
Diffuse myelination of nerve fibers in eye with high myopia and refractory amblyopia.
Gorlin syndrome. Left: Multiple pigmented early basal cell carcinomas on the neck. Right: Myelinated retinal nerve fibers along the inferior vascular arcade in the left eye.
Traboulsi et al. [373] described an autosomal dominant vitreoretinopathy characterized by congenitally poor vision, bilateral extensive myelination of the retinal nerve fiber layer, severe vitreal degeneration, high myopia, a retinal dystrophy with night blindness, reduction of the electroretinographic responses, and limb deformities.
The GAPO syndrome of growth retardation, alopecia, pseudo-anodontia, and optic atrophy (detailed in Chap. 4) has also been associated with myelinated retinal nerve fibers in two patients [41].
Rarely, areas of myelinated nerve fibers are acquired after infancy and even in adulthood [1, 14]. Myelinated retinal nerve fibers have reported to develop in two children with disc drusen [114]. Trauma to the eye (a blow to the eye in one patient and an optic nerve sheath fenestration in the other) seems to be a common denominator in these cases. Williams has suggested that “perhaps there was sufficient damage to the lamina cribrosa in these patients to permit oligodendrocytes to enter the retina, whereupon they moved to the nearest area of relatively loose nerve fibers and myelinated them.” Myelinated nerve fibers have also been known to disappear as a result of tabetic optic atrophy, pituitary tumor, glaucoma [347], central retinal artery occlusion, and optic neuritis, chronic papilledema [332], and Leber hereditary neuroretinopathy [141].
Albinotic Optic Disc
The optic discs of children with albinism have a number of distinct ophthalmoscopic appearances that have gone largely unrecognized. Albinotic optic discs often have a diffuse gray tint when viewed ophthalmoscopically in the first few years of life. This discoloration must somehow be related to optical effects resulting from surrounding chorioretinal depigmentation because it is no longer evident in older children and adults.
Albinotic optic disc. Note small size, situs inversus of vessels and abnormal course of retinal vessels (Courtesy of Stephen C. Pollock, M.D.).
Optic nerve hypoplasia would then be inevitable unless other nerve fiber bundles contained a proportionately larger number of axons. Several histological studies have estimated that animals with albinism have approximately 7% fewer optic nerve fibers than their normally pigmented counterparts [43, 112]. These findings raise the possibility that optic nerve hypoplasia is a component of albinism. In one study, high-resolution MR imaging of the intracranial optic nerves in humans with albinism shows no diminution in size [59], while a more recent quantitative study detected hypoplasia anterior visual pathways [259].
References
- 1.Aaby AA, Kushner BJ. Acquired and progressive myelinated nerve fibers. Arch Ophthalmol. 1985;103:542–4.PubMedCrossRefGoogle Scholar
- 2.Ahmad T, Borchert M, Geffner M. Optic nerve hypoplasia and hypopituitarism. Pediatr Endocrinol Rev. 2008;5:772–7.PubMedGoogle Scholar
- 3.Ahmad T, Garcia-Filion P, Borchert M, et al. Endocrinological and auxological abnormalities in young children with optic nerve hypoplasia: a prospective study. J Pediatr. 2006;148:78–84.PubMedCrossRefGoogle Scholar
- 4.Ahua Y, Traboulsi EI. Unilateral megalopapilla and contralateral optic nerve hypoplasia: a case report and review of the literature. J AAPOS. 2010;14:83–4.CrossRefGoogle Scholar
- 5.Aicardi J. Aicardi syndrome: old and new findings. Int Pediatr. 1999;14:5–8.Google Scholar
- 6.Aicardi J. Aicardi syndrome. Brain Dev. 2005;27:164–71.PubMedCrossRefGoogle Scholar
- 7.Akiba J, Kakehashi A, Hikichi T, et al. Vitreous findings of optic nerve pits and serous macular detachment. Am J Ophthalmol. 1993;116:38–41.PubMedCrossRefGoogle Scholar
- 8.Akiyama K, Azuma N, Hida T, et al. Retinal detachment in morning glory syndrome. Ophthalmic Surg. 1984;15:841–3.PubMedGoogle Scholar
- 9.Alexander TA, Billson FA. Vitrectomy and photocoagulation in the management of serous detachment associated with optic nerve pits. Aust J Ophthalmol. 1984;12:139–42.PubMedCrossRefGoogle Scholar
- 10.Apple DJ, Rabb MF, Walsh PM. Congenital anomalies of the optic disc. Surv Ophthalmol. 1982;27:3–41.PubMedCrossRefGoogle Scholar
- 11.Archer SM. Amblyopia? J AAPOS. 2000;4:257.PubMedCrossRefGoogle Scholar
- 12.Arslanian SA, Rothfus WE, Foley TP, et al. Hormonal, metabolic, and neuroradiologic abnormalities associated with septo-optic dysplasia. Acta Endocrinol. 1984;139:249–54.Google Scholar
- 13.Azuma N, Yamaguchi Y, Handa H, et al. Mutations of the PAX6 gene detected in patients with a variety of optic nerve malformations. Am J Hum Genet. 2003;72:1565–70.PubMedPubMedCentralCrossRefGoogle Scholar
- 14.Baarsma GS. Acquired medullated nerve fibers. Br J Ophthalmol. 1980;64:651.PubMedPubMedCentralCrossRefGoogle Scholar
- 15.Baieri P, Markl A, Thelen M, et al. MR imaging in Aicardi syndrome. AJNR Am J Neuroradiol. 1998;9:805–6.Google Scholar
- 16.Bakri SJ, Skier D, Masaryk T. Ocular malformations, Moyamoya disease, and midline cranial defects. A distinct syndrome. Am J Ophthalmol. 1999;127:356–7.PubMedCrossRefGoogle Scholar
- 17.Bandopadhayay P, Dagi L, Robison N. Morning glory optic disc anomaly in association with ipsilateral optic nerve glioma. Arch Ophthalmol. 2012;130:1082–5.PubMedCrossRefGoogle Scholar
- 18.Banu B, Murat I, Gedik S, et al. Topographical analysis of corneal astigmatism in patients with tilted disc syndrome. Cornea. 2002;21:458–62.CrossRefGoogle Scholar
- 19.Barkovich AJ. Pediatric neuroimaging, vol. 1. New York: Raven Press; 1990. p. 89.Google Scholar
- 20.Barry DR. Aplasia of the optic nerves. Int Ophthalmol. 1985;7:235–42.PubMedCrossRefGoogle Scholar
- 21.Bar-Yosef U, Abuelaish I, Harel T. CHX10 mutations cause non-syndromic microphthalmia/anophthalmia in Arab and Jewish kindreds. Hum Genet. 2004;115:302–9.PubMedCrossRefGoogle Scholar
- 22.Beauvieux J. La pseudo-atrophie optique dés nouveau-nes (dysgénésie myélinique des voies optiques). Ann Ocul (Paris). 1926;163:881–921.Google Scholar
- 23.Beauvieux J. La cécité apparente chez le nouveau-né: la pseudoatrophie grise du nerf optique. Arch Ophthalmol (Paris). 1947;7:241–9.Google Scholar
- 24.Becker K, Beales PL, Calver DM, et al. Okihiro syndrome and acro-renal-ocular syndrome: clinical overlap, expansion of the phenotype, and absence of PAX2 mutations in two new families. J Med Genet. 2002;39:68–71.PubMedPubMedCentralCrossRefGoogle Scholar
- 25.Benner JD, Preslan MW, Gratz E, et al. Septo-optic dysplasia in two siblings. Am J Ophthalmol. 1990;109:632–7.PubMedCrossRefGoogle Scholar
- 26.Bennett JL. Developmental neurogenetics and neuroophthalmology. J Neuroophthalmol. 2003;22:286–93.CrossRefGoogle Scholar
- 27.Berk AT, Yaman A, Saatei AO. Ocular and systemic findings associated with optic disc colobomas. J Pediatr Ophthalmol Strabismus. 2003;40:272–8.PubMedGoogle Scholar
- 28.Bertelsen TI. The premature synostosis of the cranial sutures. Acta Ophthalmol. 1958;51(Suppl):62–92.Google Scholar
- 29.Beyer WB, Quencer RM, Osher RH. Morning glory syndrome: a functional analysis including fluorescein angiography, ultrasonography, and computerized tomography. Ophthalmology. 1982;89:1362–4.PubMedCrossRefGoogle Scholar
- 30.Biedner B, Klemperer I, Dagan M, et al. Optic disc coloboma associated with macular hole and retinal detachment. Ann Ophthalmol. 1993;25:350–2.PubMedGoogle Scholar
- 31.Billingsley EM. PTCH-ing it together. A basal cell nevus syndrome review. Dematol Surg. 2013;39:1557–72.CrossRefGoogle Scholar
- 32.Biousse V, Pardue MT, Wallace DC, et al. The eyes of mitomouse: mouse models of mitochondrial disease. J Neuroophthalmol. 2002;22:279–85.PubMedCrossRefGoogle Scholar
- 33.Birgbauer E, Cowan CA, Sretavan DW, et al. Kinase independent function of EphB receptors in retinal axon pathfinding to the optic disc from dorsal but not ventral retina. Development. 2000;127:1231–41.PubMedGoogle Scholar
- 34.Blanco R, Salvador F, Galan A, et al. Optic nerve aplasia: report of three cases. J Pediatr Ophthalmol Strabismus. 1992;29:228–31.PubMedGoogle Scholar
- 35.Bochow TW, Olk RJ, Knupp JA, et al. Spontaneous reattachment of a total retinal detachment in an infant with microphthalmos and an optic nerve coloboma. Am J Ophthalmol. 1991;112:347–9.PubMedCrossRefGoogle Scholar
- 36.Bonnet M. Serous macular detachment associated with optic nerve pits. Arch Clin Exp Ophthalmol. 1991;229:526–32.CrossRefGoogle Scholar
- 37.Boor R, Rochels R, Walther B, Reitter B. Aplasia of the retinal vessels combined with optic nerve hypoplasia, neonatal epileptic seizures, and lactic acidosis due to mitochondrial complex I deficiency. Eur J Pediatr. 1992;151:519–21.PubMedCrossRefGoogle Scholar
- 38.Borchert M, Garcia-Filion P. The syndrome of optic nerve hypoplasia. Curr Neurol Neurosci Rep. 2008;8:395–403.PubMedCrossRefGoogle Scholar
- 39.Bosley TM, Brodsky MC, Glasier CM, et al. Sporadic bilateral optic neuropathy in children: the role of mitochondrial abnormalities. Invest Ophthalmol Vis Sci. 2008;49:5250–6.PubMedCrossRefGoogle Scholar
- 40.Bottoni F, Secondi R, Giani A, et al. Maculopathy resolution after surgery for an optic pit. Ophthalmology.2013;120:877–8.PubMedCrossRefGoogle Scholar
- 41.Bozkurt B, Yildirim MS, Bitirgen G. GAPO syndrome: four new patients with congenital glaucoma and myelinated nerve fiber layer. Am J Med Genet A. 2013;161A:829–34.PubMedCrossRefGoogle Scholar
- 42.Bredrup C, Johansson S, Bindoff LA, et al. High myopia-excavated optic disc anomaly associated with a frameshift mutation in the MYC-binding protein 2 gene (MYCBP2). Am J Ophthalmol. 2015;159:973–9.Google Scholar
- 43.Breusch SR, Arey LB. The number of myelinated and unmyelinated fibers in the optic nerves of vertebrates. J Comp Neurol. 1942;77:631–65.CrossRefGoogle Scholar
- 44.Brito PN, Vieira MP, Falcão MS, et al. Optical coherence tomography study of peripapillary retinal nerve fiber layer and choroidal thickness in eyes with tilted optic disc. J Glaucoma. 2013;Feb 19, epub.Google Scholar
- 45.Brodsky MC. Septo-optic dysplasia: a reappraisal. Semin Ophthalmol. 1991;6:227–32.PubMedCrossRefGoogle Scholar
- 46.Brodsky MC. Congenital optic disk anomalies. Surv Ophthalmol. 1994;39:89–112.PubMedCrossRefGoogle Scholar
- 47.Brodsky MC. Morning glory disc anomaly or optic disc coloboma. Arch Ophthalmol. 1994;112:153. Letter.Google Scholar
- 48.Brodsky MC. Magnetic resonance imaging of colobomatous optic hypoplasia. Br J Ophthalmol. 1999;83:755–6.PubMedCrossRefGoogle Scholar
- 49.Brodsky MC. Central serous papillopathy. Br J Ophthalmol. 1999;83:878.PubMedPubMedCentralCrossRefGoogle Scholar
- 50.Brodsky MC. Periventricular leukomalacia: an intracranial cause of pseudoglaucomatous cupping. Arch Ophthalmol. 2001;119:626–7.PubMedCrossRefGoogle Scholar
- 51.Brodsky MC. Congenital optic pit with serous maculopathy in childhood. J AAPOS. 2003;7:150.PubMedCrossRefGoogle Scholar
- 52.Brodsky MC. Melanocytoma or congenital optic disk pigmentation? Am J Ophthalmol. 2004;137:207–9.CrossRefGoogle Scholar
- 53.Brodsky MC. Contractile morning glory disc causing transient monocular blindness in a child. Arch Ophthalmol. 2006;124:1199–201.PubMedCrossRefGoogle Scholar
- 54.Brodsky MC. Congenital optic disc anomalies. In: Yanoff M, Duker JS, editors. Ophthalmology. 3rd ed. Philadelphia: Mosby Elsevier; 2009. p. 956–9.CrossRefGoogle Scholar
- 55.Brodsky MC, Atreides S-PA, Fowlkes JL, et al. Optic nerve aplasia in an infant with congenital hypopituitarism and posterior pituitary ectopia. Arch Ophthalmol. 2004;122:125–6.PubMedCrossRefGoogle Scholar
- 56.Brodsky MC, Buckley EG, Rosell-McConkie A. The case of the gray optic disc. Surv Ophthalmol. 1989;33:367–72.PubMedCrossRefGoogle Scholar
- 57.Brodsky MC, Conte FA, Taylor D, et al. Sudden death in septo-optic dysplasia. Report of five cases. Arch Ophthalmol. 1997;15:66–70.Google Scholar
- 58.Brodsky MC, Glasier CM. Optic nerve hypoplasia: clinical significance of associated central nervous system abnormalities on magnetic resonance imaging. Arch Ophthalmol. 1993;111:66–74.Google Scholar
- 59.Brodsky MC, Glasier CM, Creel DJ. Magnetic resonance imaging of the visual pathways in human albinos. J Pediatr Ophthalmol Strabismus. 1993;30:382–5.PubMedGoogle Scholar
- 60.Brodsky MC, Glasier CM, Pollock SC, et al. Optic nerve hypoplasia: identification by magnetic resonance imaging. Arch Ophthalmol. 1990;108:1562–7.PubMedCrossRefGoogle Scholar
- 61.Brodsky MC, Hoyt WF, Hoyt CS, et al. Atypical retinochoroidal coloboma in patients with dysplastic optic discs and transsphenoidal encephalocele. Arch Ophthalmol. 1995;113:624–8.PubMedCrossRefGoogle Scholar
- 62.Brodsky MC, Kincannon JM, Nelson-Adesokan P, et al. Oculocerebral dysgenesis in the linear nevus sebaceous syndrome. Ophthalmology. 1997;104:497–503.PubMedCrossRefGoogle Scholar
- 63.Brodsky MC, Landau K, Wilson RS, et al. Morning glory disc anomaly in neurofibromatosis type 2. Arch Ophthalmol. 1999;117:839–41.PubMedCrossRefGoogle Scholar
- 64.Brodsky MC, Parsa CF. The moyamoya optic disc. JAMA Ophthalmol. 2015;133:164.PubMedCrossRefGoogle Scholar
- 65.Brodsky MC, Schroeder GT, Ford R. Superior segmental optic hypoplasia in identical twins. J Clin Neuroophthalmol. 1993;13:152–4.PubMedGoogle Scholar
- 66.Brodsky MC, Wilson RS. Retinal arteriovenous communications in the morning glory disc anomaly. Arch Ophthalmol. 1995;115:410–1.CrossRefGoogle Scholar
- 67.Brodsky MC. Synchysis scintillans in a child. JAMA Ophthalmol. 2015;133, e150793.Google Scholar
- 68.Broomall E, Renaud D, Ghadban R, et al. Peripapillary chorioretinal lacunae in a girl with 3q21.3 to 3q22.1 microdeletion without other features of Aicardi syndrome. Arch Ophthalmol. 2013;131:1485–7.Google Scholar
- 69.Brown GC, Shields JA, Goldberg RE. Congenital pits of the optic nerve head. II. Clinical studies in humans. Ophthalmology. 1980;87:51–65.PubMedCrossRefGoogle Scholar
- 70.Brown GC, Shields JA, Patty BE, et al. Congenital pits of the optic nerve head. I. Experimental studies in collie dogs. Arch Ophthalmol. 1979;97:1341–4.PubMedCrossRefGoogle Scholar
- 71.Brown GC, Tasman W. Congenital anomalies of the optic disc. New York: Grune & Stratton; 1983. p. 31–215.Google Scholar
- 72.Bynke H, Holmdahl G. Megalopapilla: a differential diagnosis in suspected optic atrophy. Neuro-Ophthalmology. 1981;2:53–7.CrossRefGoogle Scholar
- 73.Cabrera MT, Winn BJ, Porco T, et al. Laterality of brain and ocular lesions in Aicardi syndrome. Pediatr Neurol. 2011;45:149–54.PubMedPubMedCentralCrossRefGoogle Scholar
- 74.Caldwell JB, Sears ML, Gilman M. Bilateral peripapillary staphyloma with normal vision. Am J Ophthalmol. 1971;71:423–5.PubMedCrossRefGoogle Scholar
- 75.Calhoun FP. Bilateral coloboma of the optic nerve associated with holes in the disc and a cyst of the optic nerve sheath. Arch Ophthalmol. 1930;3:71–9.CrossRefGoogle Scholar
- 76.Capo H, Repka MX, Edmond JC, et al. Optic nerve abnormalities in children: a practical approach. J AAPOS. 2011;15:281–90.PubMedCrossRefGoogle Scholar
- 77.Caprioli J, Lesser R. Basal encephalocele and morning glory syndrome. Br J Ophthalmol. 1983;67:349–51.PubMedPubMedCentralCrossRefGoogle Scholar
- 78.Carmeliet P, Tessier-Lavigne M. Common mechanisms of nerve and blood vessel wiring. Nature. 2005;436:193–200.PubMedCrossRefGoogle Scholar
- 79.Carney SH, Brodsky MC, Good WV, et al. Aicardi syndrome: more than meets the eye. Surv Ophthalmol. 1993;37:419–24.PubMedCrossRefGoogle Scholar
- 80.Casteels I, Devriendt K, Leys A, et al. Autosomal dominant microcephaly-lymphedema-chorioretinal dysplasia syndrome. Br J Ophthalmol. 2001;85:499–500.PubMedCrossRefGoogle Scholar
- 81.Cennamo G, Sammartino A, Fioretti F. Morning glory syndrome with contractile peripapillary staphyloma. Br J Ophthalmol. 1983;67:346–8.PubMedPubMedCentralCrossRefGoogle Scholar
- 82.Chamney S, Willoughby CE, McLoone E. Amniotic band syndrome associated with an atypical iris and optic nerve defect. J AAPOS. 2013;17:539–41.PubMedCrossRefGoogle Scholar
- 83.Chang S, Haik BG, Ellsworth RM, et al. Treatment of total retinal detachment in morning glory syndrome. Am J Ophthalmol. 1984;97:596–600.PubMedCrossRefGoogle Scholar
- 84.Chappelow AV, Reid J, Parikh S, et al. Aicardi syndrome in a genotypic male. Ophthalmic Genet. 2008;29:181–3.PubMedCrossRefGoogle Scholar
- 85.Chauhan BC, Burgoyne CF. From clinical examination of the optic disc to clinical assessment of the optic nerve head: a paradigm change. Am J Ophthalmol. 2013;156(2):218–27.PubMedPubMedCentralCrossRefGoogle Scholar
- 86.Chestler RJ, France TD. Ocular findings in the CHARGE syndrome. Ophthalmology. 1988;95:1613–9.PubMedCrossRefGoogle Scholar
- 87.Chevrie JJ, Aicardi J. The Aicardi syndrome. In: Pedley TA, Meldrum BS, editors. Recent advances in epilepsy. New York: Churchill Livingston; 1986. p. 189–210.Google Scholar
- 88.Cockburn DM. Tilted disc and medullated nerve fibers. Am J Optom Physiol Opt. 1982;59:760–1.PubMedCrossRefGoogle Scholar
- 89.Cogen RN, Cohen LE, Botero D, et al. Enhanced repression by HESX1 as a cause of hypopituitarism and septo-optic dysplasia. J Clin Endocrinol Metab. 2003;88:4832–9.Google Scholar
- 90.Cohen SY, Quentel G, Guiberteau B, et al. Macular serous retinal detachment caused by subretinal leakage in titled disc syndrome. Ophthalmology. 1998;105:1831–4.Google Scholar
- 91.Collier M. Communications sur le sujet du rapport les doubles papilles optiques. Bull Soc Ophtalmol Fr. 1958;71:328–52.Google Scholar
- 92.Corbett JJ, Savino PJ, Schatz NJ, et al. Cavitary developmental defects of the optic disc: visual loss associated with optic pits and colobomas. Arch Neurol. 1980;37:210–3.PubMedCrossRefGoogle Scholar
- 93.Costin G, Murphree AL. Hypothalamic pituitary dysfunction in children with optic nerve hypoplasia. Am J Dis Child. 1985;143:249–54.Google Scholar
- 94.Cox MS, Witherspoon D, Morris RE, et al. Evolving techniques in treatment of macular detachment caused by optic nerve pits. Ophthalmology. 1988;95:889–96.PubMedCrossRefGoogle Scholar
- 95.Dailey JR, Cantore WA, Gardner TW. Peripapillary choroidal neovascular membrane associated with an optic disc coloboma. Arch Ophthalmol. 1993;111:1833–6.CrossRefGoogle Scholar
- 96.Dateki S, Kosaka K, Hasegawa K, et al. Heterozygous orthodenticle homeobox 2 mutations are associated with variable pituitary phenotype. J Clin Endocrinol Metab. 2010;95:56–764.CrossRefGoogle Scholar
- 97.Dattani M, Martinez-Barbera JP, Thomas PQ, et al. Mutations in the homeobox gene HESX/Hesx1 associated with septo-optic dysplasia in human and mouse. Nat Genet. 1998;19:125–33.PubMedCrossRefGoogle Scholar
- 98.Dattani M, Martinez-Barbera JP, Thomas PQ, et al. Molecular genetics of septo-optic dysplasia. Horm Res. 2000;53 Suppl 1:26–33.PubMedGoogle Scholar
- 99.De Jong PT, Bistervels B, Cosgrove J, et al. Medullated nerve fibers: a sign of multiple basal cell nevi (Gorlin’s) syndrome. Arch Ophthalmol. 1985;103:1833–6.Google Scholar
- 100.de Morsier G. Etudes sur les dysraphies crânioencéphaliques. III. Agénésis du septum lucidum avec malformation du tractus optique. La dysplasie septo-optique. Schweiz Arch Neurol Psychiatr. 1956;77:267–92.Google Scholar
- 101.Deiner MS, Kennedy TE, Fazeli A, et al. Netrin-1 and DCC mediate axon guidance locally at the optic disc: loss of function leads to optic nerve hypoplasia. Neuron. 1997;19:575–89.PubMedCrossRefGoogle Scholar
- 102.Deiner MS, Sretavan DW. Altered midline axon pathways and ectopic neurons in the developing hypothalamus of netrin-1 and DCC deficient mice. J Neurosci. 1999;19:9900–12.PubMedGoogle Scholar
- 103.Dempster AG, Lee WR, Forrester JV, et al. The “morning glory syndrome”. A mesodermal defect? Ophthalmologica. 1983;187:222–30.PubMedCrossRefGoogle Scholar
- 104.de Paula Freitas B, de Oliviera Dias JR, Prazeres J, et al. Ocular findings in infants with microcephaly associated with presumed Zika virus infection in Salvador, Brazil. JAMA Ophthalmol. doi:10.1001/jamaophthalmol. 2016.0267.Google Scholar
- 105.Dickmann A, Parrilla R, Salerni A, et al. Ocular manifestations in Wolf–Hirschhorn syndrome. J AAPOS. 2009;13:264–7.Google Scholar
- 106.Diebler C, Dulac O. Cephaloceles. Clinical and neuroradiological appearance. Neuroradiology. 1983;25:199–216.Google Scholar
- 107.Dinkel TA, Ward TP, Frey DM, et al. Dissection along the optic nerve axis by a BB. Arch Ophthalmol. 1997;115:673–5.PubMedCrossRefGoogle Scholar
- 108.Dithmar S, Schuett F, Voelcker HE, et al. Delayed sequential occurrence of perfluorodecalin and silicone oil in the subretinal space following retinal detachment surgery in the presence of an optic pit. Arch Ophthalmol. 2004;122:409–11.PubMedCrossRefGoogle Scholar
- 109.Donnenfeld AE, Packer RJ, Zackai EH, et al. Clinical, cytogenetic, and pedigree findings in 18 cases off Aicardi syndrome. Am J Med Genet. 1989;32:461–7.PubMedCrossRefGoogle Scholar
- 110.Doyle E, Trivedi D, Good P, et al. High resolution optical coherence tomography demonstration of membranes spanning optic disc pits and colobomas. Br J Ophthalmol. 2009;93:360–5.PubMedCrossRefGoogle Scholar
- 111.Donoso LA, Magargal LE, Eiferman RA, et al. Ocular anomalies simulating double optic disc. Can J Ophthalmol. 1981;16:84–7.Google Scholar
- 112.Dreher B, Sefton AJ, Ni SY, et al. The morphology, number, distribution, and central projections of class I retinal ganglion cells in albinos and hooded rats. Brain Behav Evol. 1985;26:10–48.PubMedCrossRefGoogle Scholar
- 113.Dureau P, Attie-Bitach T, Salomon R, et al. Renal-coloboma syndrome. Ophthalmology. 2001;108:1912–6.PubMedCrossRefGoogle Scholar
- 114.Duval R, Hammamji K, Aroichane M, et al. Acquired myelinated nerve fibers in association with optic disk drusen. J AAPOS. 2010;6:544–7.CrossRefGoogle Scholar
- 115.Eichmann A. Neural guidance molecules regulate vascular remodeling and vessels navigation. Genes Dev. 2005;19:1013–21.Google Scholar
- 116.Ellika S, Robson CD, Heidary G, Paldino MJ. Morning glory disc anomaly: characteristic MR imaging findings. AJNR Am J Neuroradiol. 2013;34:2010–4.PubMedCrossRefGoogle Scholar
- 117.Ellis GS, Frey T, Gouterman RZ. Myelinated nerve fibers, axial myopia, and refractory amblyopia: an organic disease. J Pediatr Ophthalmol Strabismus. 1987;24:111–9.PubMedGoogle Scholar
- 118.Epstein AE, Cavuoto KM, Chang TC. Utilizing optical coherence tomography in diagnosing a unique presentation of chiasmal hypoplasia variant of septo-optic dysplasia. J Neuroophthalmol. 2014;34:95–104.Google Scholar
- 119.Ferda Percin E, Ploder LA, Yu JJ, et al. Human microphthalmia associated with mutations in the retinal homeobox gene CHX10. Nat Genet. 2000;25:397–401.PubMedCrossRefGoogle Scholar
- 120.Ferry AP. Macular detachment associated with congenital pit of the optic nerve head. Arch Ophthalmol. 1963;70:346–57.PubMedCrossRefGoogle Scholar
- 121.Fingert JH, Honkanen RA, Shankar SP, et al. Familial cavitary optic disk anomalies: identification of a novel gene locus. Am J Ophthalmol. 2007;143:795–800.PubMedPubMedCentralCrossRefGoogle Scholar
- 122.Fink C, Vedin AM, Garcia-Filion P, et al: Newborn thyroid-stimulating hormone in children with optic nerve hypoplasia: associations with hypothyroidism and vision. J AAPOS 2012;16:418–23.Google Scholar
- 123.Fink C, Borchert M, Simon CZ, Saper C. Hypothalmic dysfunction without hamartomas causing gelastic seizures in optic nerve hypoplasia. J Child Neurol. 2015;30:233–7.PubMedCrossRefGoogle Scholar
- 124.Font RL, Zimmerman LE. Intrascleral smooth muscle in coloboma of the optic disc. Am J Ophthalmol. 1971;72:452–7.PubMedCrossRefGoogle Scholar
- 125.Foster JA, Lam S. Contractile optic disc coloboma. Arch Ophthalmol. 1991;109:472–3.PubMedCrossRefGoogle Scholar
- 126.Franceschetti A, Bock RH. Megalopapilla: a new congenital anomaly. Am J Ophthalmol. 1950;33:227–35.PubMedCrossRefGoogle Scholar
- 127.Francois J. Colobomatous malformations of the ocular globe. Int Ophthalmol Clin. 1968;8:797–816.PubMedCrossRefGoogle Scholar
- 128.Francois J. Myelinated nerve fibers. In: Francois J, editor. Heredity in ophthalmology. St. Louis: C.V. Mosby; 1961. p. 767–8.Google Scholar
- 129.Friberg TR, McClellan TG. Vitreous pulsations, relative hypotony, and retrobulbar cyst associated with a congenital optic pit. Am J Ophthalmol. 1992;114:767–8.PubMedCrossRefGoogle Scholar
- 130.Frisen L, Holmegaard L. Spectrum of optic nerve hypoplasia. Br J Ophthalmol. 1975;62:7–15.CrossRefGoogle Scholar
- 131.Fruhman G, Eble TN, Gambhir N, et al. Ophthalmologic findings in Aicardi syndrome. J AAPOS. 2012;16:238–41.PubMedPubMedCentralCrossRefGoogle Scholar
- 132.Fuchs E. Über den anatomischen Befun einiger angeborener Anomalien der Netzhaut und des Sehnerven. Graefes Arch Clin Exp Ophthalmol. 1917;93:1.CrossRefGoogle Scholar
- 133.Ganesh A, Mitra S, Koul RL, et al. The full spectrum of persistent fetal vasculature in Aicardi syndrome: an integrated interpretation of ocular malformations. Br J Ophthalmol. 2000;84:227–8.PubMedPubMedCentralCrossRefGoogle Scholar
- 134.Garcia-Filion P, Borchert M. Prenatal determinants of optic nerve hypoplasia: review of suggested correlates and future focus. Surv Ophthalmol. 2013;58:610–9.PubMedCrossRefGoogle Scholar
- 135.Garcia-Filion P, Epport K, Nelson M, et al. Neuroradiographic, endocrinologic, and ophthalmologic correlates of adverse developmental outcomes in children with optic nerve hypoplasia: a prospective study. Pediatrics. 2008;121:e653–9.PubMedCrossRefGoogle Scholar
- 136.Garcia-Filion P, Fink C, Geffner ME, et al. Optic nerve hypoplasia in North America: a reappraisal of perinatal risk factors. Acta Ophthalmol. 2010;88:527–34.Google Scholar
- 137.Gardner TW, Zaparackas ZG, Naidich TP. Congenital optic nerve colobomas: CT demonstration. J Comput Assist Tomogr. 1984;8:95–102.PubMedCrossRefGoogle Scholar
- 138.Gass JD. Serous detachment of the macula: secondary to congenital pit of the optic nerve head. Am J Ophthalmol. 1969;67:821–41.PubMedCrossRefGoogle Scholar
- 139.Gaur A, Squirell D, Burke JP, et al. Optic nerve diastasis in a patient with congenital optic nerve hypoplasia. J AAPOS. 2006;10:482–3.PubMedCrossRefGoogle Scholar
- 140.Ginsberg J, Bove KE, Cuesta MG. Aplasia of the optic nerve with aniridia. Ann Ophthalmol. 1980;12:433–9.PubMedGoogle Scholar
- 141.Giquel JJ, Saloma B, Mercie M, et al. Myelinated nerve fibers loss in Leber’s hereditary optic neuropathy. Acta Ophthalmol Scand 2005;83:517–8.Google Scholar
- 142.Giuffrè G. Chorioretinal degenerative changes in the tilted disc syndrome. Int Ophthalmol Clin. 1991;15:1–7.CrossRefGoogle Scholar
- 143.Giuffrè G. Tilted discs and central retinal vein occlusion. Graefes Arch Clin Exp Ophthalmol. 2002;133:679–85.Google Scholar
- 144.Giuffrè G. Optic disc drusen in tilted disc. Eur J Ophthalmol. 2005;15:647–51.PubMedGoogle Scholar
- 145.Glaser T, Jepeal L, Edwards JG, et al. PAX6 gene dosage effect in an family with congenital cataracts, aniridia, anophthalmia and central nervous system defects. Nat Genet. 1994;7:471–3.Google Scholar
- 146.Glasmacher MA, Sutton VR, Hopkins B, et al. Phenotype and management of Aicardi syndrome: new findings from a survey of 60 children. J Child Neurol. 2007;22:176–84.PubMedCrossRefGoogle Scholar
- 147.Gloor P, Pulido JS, Judisch GF. Magnetic resonance imaging and fundus findings in a patient with Aicardi’s syndrome. Arch Ophthalmol. 1989;107:922–3.PubMedCrossRefGoogle Scholar
- 148.Goldberg RE. Optic nerve pit and associated coloboma with serous detachment. Arch Ophthalmol. 1974;91:160–1.PubMedCrossRefGoogle Scholar
- 149.Goldhammer Y, Smith JL. Optic nerve anomalies in basal encephalocele. Arch Ophthalmol. 1975;93:115–8.PubMedCrossRefGoogle Scholar
- 150.Goldsmith J. Neurofibromatosis associated with tumors of the optic papilla. Arch Ophthalmol. 1949;41:718–29.CrossRefGoogle Scholar
- 151.Golnik KC. Cavitary anomalies of the optic disc: neurologic significance. Curr Neurol Neurosci Rep. 2008;8:409–13.PubMedCrossRefGoogle Scholar
- 152.Gopal L, Khan B, Jain S, Prakesh VS. A clinical and ocular coherence tomography study of the margins of choroidal colobomas. Ophthalmology. 2007;114:571–80.PubMedCrossRefGoogle Scholar
- 153.Gowdar JP, Rajesh B, Giridhar A, et al. An insight into the pathogenesis of an optic disc pit-associated maculopathy with enhanced depth imaging. JAMA Ophthalmol. 2015; in press.Google Scholar
- 154.Graether JM. Transient amaurosis in one eye with simultaneous dilatation of retinal veins. In association with a congenital anomaly of the optic nerve head. Arch Ophthalmol. 1963;70:342–5.PubMedCrossRefGoogle Scholar
- 155.Grimson BS, Perry DD. Enlargement of the optic disk in childhood optic nerve tumors. Am J Ophthalmol. 1984;97:627–31.PubMedCrossRefGoogle Scholar
- 156.Gupta A, Vose M, Lloyd C. Autosomal dominant microcephaly-lymphoedema chorioretinal dysplasia syndrome. In: Proceedings of the European Pediatric Ophthalmology Society. 2006.Google Scholar
- 157.Hackenbruch Y, Meerhoff E, Besio R, et al. Familial bilateral optic nerve hypoplasia. Am J Ophthalmol. 1975;79:314–20.PubMedCrossRefGoogle Scholar
- 158.Haddad NG, Eugster EA. Hypopituitarism and neurodevelopmental abnormalities in relation to central nervous system structural defects in children with optic nerve hypoplasia. J Pediatr Endocrinol Metab. 2005;18:853–8.PubMedCrossRefGoogle Scholar
- 159.Haik BG, Greenstein SH, Smith ME, et al. Retinal detachment in the morning glory syndrome. Ophthalmology. 1984;91:1638–47.PubMedCrossRefGoogle Scholar
- 160.Hall-Craggs MA, Harbord MG, Finn JP, et al. Aicardi syndrome: MR assessment of brain structure myelination. AJNR Am J Neuroradiol. 1990;11:532–6.PubMedGoogle Scholar
- 161.Handmann M. Erbliche, vermutlich angeborene zentrale gliose entartung des sehnerven mit besonderer beteilgung der zentralgefasse. Klin Monbl Augenheilkd. 1929;83:145.Google Scholar
- 162.Hanna ME, Mandel SH, LaFranchi SH. Puberty in the syndrome of septo-optic dysplasia. ADJC. 1989;143:186–9.Google Scholar
- 163.Hansen MR, Price RL, Rothner AD, et al. Developmental anomalies of the optic disc and carotid circulation: a new association. J Clin Neuroophthalmol. 1985;5:3–8.Google Scholar
- 164.Harasymowycz P, Chevrette L, Decarie JD, et al. Morning glory syndrome: clinical, computerized tomographic, and ultrasonographic findings. J Pediatr Ophthalmol Strabismus. 2005;42:290–5.Google Scholar
- 165.Harris MJ, De Bustros S, Michels RG, et al. Treatment of combined traction-rhegmatogenous retinal detachment in the morning glory syndrome. Retina. 1984;4:249–52.PubMedCrossRefGoogle Scholar
- 166.Hashemi K, Traboulsi EI, Chavis R, et al. Chorioretinal lacuna in the amniotic band syndrome. J Pediatr Ophthalmol Strabismus. 1991;28:238–9.PubMedGoogle Scholar
- 167.Hashimoto M, Ohtsuka K, Nakagawa T, et al. Topless optic disk syndrome without maternal diabetes mellitus. Am J Ophthalmol. 1999;128:111–2.PubMedCrossRefGoogle Scholar
- 168.Heckenlively JR, Martin DA, Rosenbaum AL. Loss of electroretinographic oscillatory potentials, optic atrophy, and dysplasia in congenital stationary night blindness. Am J Ophthalmol. 1983;96:526–34.PubMedCrossRefGoogle Scholar
- 169.Hellstrom A. Optic nerve morphology may reveal adverse events during prenatal and perinatal life-digital image analysis. Surv Ophthalmol. 1999;44 Suppl 1:S63–73.PubMedCrossRefGoogle Scholar
- 170.Hellström A, Hård AL, Svensson E, Niklasson AL. Ocular fundus abnormalities in children born before 20 weeks of gestation: a population-based study. Eye. 2000;14:324–9.PubMedCrossRefGoogle Scholar
- 171.Hellström A, Svensson E, Carlsson B, et al. Reduced retinal vascularization in children with growth hormone deficiency. J Clin Endocrinol Metab. 1999;84:795–8.PubMedGoogle Scholar
- 172.Hellström A, Wiklund L-M, Svensson E, et al. Optic nerve hypoplasia with isolated tortuosity of the retinal veins. Arch Ophthalmol. 1999;117:880–4.PubMedCrossRefGoogle Scholar
- 173.Henkind PL. Craterlike holes of the optic nerve. Report of a case with optic nerve colobomas and horizontally oval pupils. Am J Ophthalmol. 1963;55:613–5.Google Scholar
- 174.Heron G, Dutton GN, McCulloch DL, Stanger S. Pulfrich’s phenomenon in optic nerve hypoplasia. Graefes Arch Clin Exp Ophthalmol. 2008;246:429–34.PubMedCrossRefGoogle Scholar
- 175.Hirakata A, Inoue M, Hiraoka T, McCuen 2nd BW. Vitrectomy without laser treatment or gas tamponade for macular detachment associated with optic disc pit. Ophthalmology. 2012;119:810–8.PubMedCrossRefGoogle Scholar
- 176.Hirakata A, Okada AA, Hida T. Long-term results of vitrectomy without laser treatment for macular detachment associated with optic disc pit. Ophthalmology. 2005;112:1430–5.PubMedCrossRefGoogle Scholar
- 177.Hittner HM, Antoszyk JH. Unilateral peripapillary myelinated nerve fibers with myopia and/or amblyopia. Arch Ophthalmol. 1987;105:943–8.PubMedCrossRefGoogle Scholar
- 178.Hittner HM, Borda RP, Justice J. X-linked recessive congenital stationary night blindness, myopia, and tilted discs. J Pediatr Ophthalmol Strabismus. 1981;18:15–20.PubMedGoogle Scholar
- 179.Hittner HM, Kretzer FL, Antoszyk JH, et al. Variable expressivity of autosomal dominant anterior segment mesenchymal dysgenesis in six generations. Am J Ophthalmol. 1982;93:57–70.PubMedCrossRefGoogle Scholar
- 180.Hodgkins P, Lees M, Lawson J, et al. Optic disc anomalies and frontonasal dysplasia. Br J Ophthalmol. 1998;82:290–3.PubMedPubMedCentralCrossRefGoogle Scholar
- 181.Hoff J, Winestock D, Hoyt WF. Giant suprasellar aneurysm associated with optic stalk agenesis and unilateral anophthalmos. J Neurosurg. 1975;43:495–8.PubMedCrossRefGoogle Scholar
- 182.Holmström G, Taylor D. Capillary haemangiomas in association with morning glory disc anomaly. Acta Ophthalmol Scand. 1998;76:613–6.PubMedCrossRefGoogle Scholar
- 183.Honkanen RA, Jampol LM, Fingert JH, et al. Familial cavitary optic disk anomalies: clinical features of a large family with examples of progressive optic nerve head cupping. Am J Ophthalmol. 2007;143:788–94.PubMedCrossRefGoogle Scholar
- 184.Hope-Ross M, Johnston SS. The morning glory syndrome associated with sphenoethmoidal encephalocele. Ophthalmic Pediatr Genet. 1990;2:147–53.CrossRefGoogle Scholar
- 185.Hopkins B, Sutton R, Lewis RA, et al. Neuroimaging aspects of Aicardi syndrome. Am J Hum Genet. 2008;146A:2871–8.Google Scholar
- 186.Hopkins LJ, Humphrey I, Keith CG, et al. The Aicardi syndrome in a 47XXY male. Aust Paediatr J. 1979;15:278–80.PubMedGoogle Scholar
- 187.Hotchkiss ML, Green WR. Optic nerve aplasia and hypoplasia. J Pediatr Ophthalmol Strabismus. 1979;16:225–40.PubMedGoogle Scholar
- 188.Howard MA, Thompson JT, Howard RO. Aplasia of the optic nerve. Trans Am Ophthalmol Soc. 1993;91:276–81.Google Scholar
- 189.Hoyt CS, Billson F, Ouvrier R, et al. Ocular features of Aicardi’s syndrome. Arch Ophthalmol. 1978;96:291–5.PubMedCrossRefGoogle Scholar
- 190.Hoyt CS, Billson F, Ouvrier R, et al. Optic nerve hypoplasia: changing perspectives. Aust N Z J Ophthalmol. 1986;14:325–31.PubMedCrossRefGoogle Scholar
- 191.Hoyt CS, Good WV. Do we really understand the difference between optic nerve hypoplasia and atrophy? Eye. 1992;6:201–4.PubMedCrossRefGoogle Scholar
- 192.Hoyt WF, Kaplan SL, Grumback MM, et al. Septo-optic dysplasia and pituitary dwarfism. Lancet. 1970;1:893–4.PubMedCrossRefGoogle Scholar
- 193.Hoyt WF, Rios-Montenegro EN, Behrens MM, et al. Homonymous hemioptic hypoplasia: funduscopic features in standard and red-free illumination in three patients with congenital hemiplegia. Br J Ophthalmol. 1972;56:537–45.PubMedPubMedCentralCrossRefGoogle Scholar
- 194.Hu J, Chow CC, Kiernan DF, et al. Peripheral retinal nonperfusion associated with optic nerve hypoplasia and lissencephaly. Arch Ophthalmol. 2012;130:398–400.PubMedCrossRefGoogle Scholar
- 195.Hwang J-F, Lin C-J. Multilayered optic disc hemorrhages in adolescents. J Pediatr Ophthalmol Strabismus. 2014;51:313–8.PubMedCrossRefGoogle Scholar
- 196.Igidbashian V, Mahboubi S, Zimmerman RA. Clinical images: CT and MR findings in Aicardi syndrome. J Comput Assist Tomogr. 1987;11:357–8.PubMedCrossRefGoogle Scholar
- 197.Iturralde D, Meyerle CB, Yanuzzi LA. Aicardi syndrome. Chorioretinal lacunae without corpus callosum agenesis. Retina. 2006;26:977–8.PubMedCrossRefGoogle Scholar
- 198.Irvine AR, Crawford JB, Sullivan JH. The pathogenesis of retinal detachment with morning glory disc and optic pit. Retina. 1986;6:632–6.CrossRefGoogle Scholar
- 199.Izenberg N, Rosenblum M, Parks JS. The endocrine spectrum of septo-optic dysplasia. Clin Pediatr. 1984;23:632–6.CrossRefGoogle Scholar
- 200.Izquierdo NJ, Maumenee IH, Traboulsi EI. Anterior segment malformations in 18q-(de Grouchy) syndrome. Ophthalmic Paediatr Genet. 1993;14:91–4.PubMedCrossRefGoogle Scholar
- 201.Jacobson L, Hellström A, Flodmark O. Large cups in normal-sized optic discs. Arch Ophthalmol. 1997;115:1263–9.PubMedCrossRefGoogle Scholar
- 202.Jain N, Johnson MW. Pathogenesis and treatment of cavitary optic disc anomalies. Am J Ophthalmol. 2014;158:423–5.PubMedCrossRefGoogle Scholar
- 203.Jamieson RV, Perveen R, Kerr B, et al. Domain disruption and mutation of the bZIP transcription factor, MAF, associated with cataract, ocular anterior segment dysgenesis, and coloboma. Hum Mol Genet. 2002;11:33–43.PubMedCrossRefGoogle Scholar
- 204.Jan JE, O’Donnell ME. Use of melatonin in the treatment of paediatric sleep disorders. J Pineal Res. 1996;21:193–9.PubMedCrossRefGoogle Scholar
- 205.Javitt JC, Spaeth GL, Katz LJ, et al. Acquired pits of the optic nerve. Ophthalmology. 1990;97:1038–44.PubMedCrossRefGoogle Scholar
- 206.Johnson TM, Johnson MW. Pathogenic implications of subretinal gas migration through pits and atypical colobomas of the optic nerve. Arch Ophthalmol. 2004;122:1793–800.PubMedCrossRefGoogle Scholar
- 207.Jonas JB. Large optic disc. Arch Ophthalmol. 2008;126:582.PubMedCrossRefGoogle Scholar
- 208.Jonas JB, Cursiefen C, Budde WM. Optic neuropathy resembling normal-pressure glaucoma in a teenager with congenital macrodiscs. Arch Ophthalmol. 1998;116:1384–6.PubMedGoogle Scholar
- 209.Jonas JB, Freisler KA. Bilateral congenital optic nerve head pits in monozygotic twins. Am J Ophthalmol. 1997;127:844–5.CrossRefGoogle Scholar
- 210.Jonas JB, Gusek GC, Guggenmoss-Holzmann I, et al. Variability of the real dimensions of normal human optic discs. Graefes Arch Clin Exp Ophthalmol. 1998;226:332–6.CrossRefGoogle Scholar
- 211.Jonas JB, Gusek GC, Naumann GO. Optic disc, cup and neuroretinal rim size, configuration, and correlations in normal eyes. Invest Ophthalmol Vis Sci. 1991;29:1151–8.Google Scholar
- 212.Jonas JB, Koniszewski G, Naumann GO. “Morning glory syndrome” and “Handmann’s anomaly in congenital macropapilla”. Extreme variants of confluent optic pits. Klin Monbl Augenheilkd. 1989;195:371–4.PubMedCrossRefGoogle Scholar
- 213.Jongmans MC, Admiraal RJ, van der Donk KP, et al. CHARGE syndrome: the phenotypic spectrum of mutations in the CHD7 gene. J Med Genet. 2006;43:306–14.PubMedCrossRefGoogle Scholar
- 214.Kanamaru K, Ishida F, Taki W. Splitting and penetration of the optic nerve by an aneurysm arising from the anterior wall of internal carotid artery. J Neurol Neurosurg Psychiatry. 2001;71:525–7.PubMedPubMedCentralCrossRefGoogle Scholar
- 215.Keane JR. Suprasellar tumors and incidental optic disc anomalies: diagnostic problems in two patients with hemianopic temporal scotomas. Arch Ophthalmol. 1977;95:2183–9.Google Scholar
- 216.Kelberman D, Dattani MT. Septo-optic dysplasia-novel insights into the aetiology. Horm Res. 2008;69:257–65.PubMedCrossRefGoogle Scholar
- 217.Khan AO, Nowilaty SR. Early diagnosis of the papillorenal syndrome by optic disc morphology. J Neuroophthalmol. 2005;25:209–11.PubMedCrossRefGoogle Scholar
- 218.Kiernan DF, Al-Heeti O, Blair MP, et al. Peripheral retinal nonperfusion in septo-optic dysplasia (de Morsier Syndrome). Arch Ophthalmol. 2011;670–2.Google Scholar
- 219.Kim SH, Choi Y, Yu YS, et al. Peripapillary staphyloma. Clinical features and visual outcome in 19 cases. Arch Ophthalmol. 2005;123:1371–6.PubMedCrossRefGoogle Scholar
- 220.Kim RY, Hoyt WF, Lessell MH, et al. Superior segmental optic hypoplasia: a sign of maternal diabetes. Arch Ophthalmol. 1989;107:1312–5.PubMedCrossRefGoogle Scholar
- 221.Kindler P. Morning glory syndrome: unusual congenital optic disk anomaly. Am J Ophthalmol. 1970;69:376–84.PubMedCrossRefGoogle Scholar
- 222.Kirath H, Bozkurt B, Mocan C. Peripapillary staphyloma associated with orofacial capillary hemangioma. Ophthalmic Genet. 2001;22:249–53.CrossRefGoogle Scholar
- 223.Kniestedt C, Brodsky MC, North P, et al. Infantile orofacial hemangioma with ipsilateral peripapillary excavation in girls. A variant of the PHACE syndrome. Arch Ophthalmol. 2004;122:413–5.PubMedCrossRefGoogle Scholar
- 224.Koenig SP, Naidich TP, Lissner G. The morning glory syndrome associated with sphenoidal encephalocele. Ophthalmology. 1982;89:1368–72.PubMedCrossRefGoogle Scholar
- 225.Konstas P, Katikos G, Vatakas LC. Contractile peripapillary staphyloma. Ophthalmologica. 1971;172:379–81.CrossRefGoogle Scholar
- 226.Kral K, Svarc D. Contractile peripapillary staphyloma. Am J Ophthalmol. 1971;71:1090–2.PubMedCrossRefGoogle Scholar
- 227.Kranenburg EW. Crater-like holes in the optic disc and central serous retinopathy. Arch Ophthalmol. 1960;64:912–24.PubMedCrossRefGoogle Scholar
- 228.Krivoy D, Gentile R, Liebmann JM, et al. Imaging congenital optic disc pits and associated maculopathy using optical coherence tomography. Arch Ophthalmol. 1996;114:1654–70.CrossRefGoogle Scholar
- 229.Kushner BJ. Functional amblyopia associated with abnormalities of the optic nerve. Arch Ophthalmol. 1985;102:683–5.CrossRefGoogle Scholar
- 230.Labrune P, Myara A, Huguet P, et al. Bilirubin uridine diphosphate glucuronosyltransferase hepatic activity in jaundice associated with congenital hypothyroidism. J Pediatr Gastroenterol Nutr. 1992;14:78–92.Google Scholar
- 231.Lambert SR, Hoyt CS, Narahara MH. Optic nerve hypoplasia. Surv Ophthalmol. 1987;32:1–9.PubMedCrossRefGoogle Scholar
- 232.Landau K, Bajka JD, Kirchschlager BM. Topless optic disks in children of mothers with type I diabetes mellitus. Am J Ophthalmol. 1998;125:605–11.PubMedCrossRefGoogle Scholar
- 233.Lee KJ, Peyman GA. Surgical management of retinal detachment associated with optic nerve pit. Int Ophthalmol. 1993;17:105–7.PubMedCrossRefGoogle Scholar
- 234.Lee BJ, Traboulsi EI. Update on the morning glory disc anomaly. Ophthalmic Genet. 2008;29:47–52.PubMedCrossRefGoogle Scholar
- 235.Lempert P. Optic nerve hypoplasia and small eyes in presumed amblyopia. J AAPOS. 2008;4:258–66.CrossRefGoogle Scholar
- 236.Lempert P. Axial length-disc area ratio in esotropic amblyopia. Arch Ophthalmol. 2003;121:821–4.PubMedCrossRefGoogle Scholar
- 237.Lenhart PD, Lambert SR, Newman NJ, et al. Intracranial vascular anomalies in patients with morning glory disc anomaly. Am J Ophthalmol. 2006;142:644–50.PubMedCrossRefGoogle Scholar
- 238.Lewin ML, Schuster MM. Transpalatal correction of basilar meningocele with cleft palate. Arch Surg. 1965;90:687–93.PubMedCrossRefGoogle Scholar
- 239.Limaye SR. Coloboma of the iris and choroid and retinal detachment in oculo-auricular dysplasia (Goldenhar’s syndrome). Eye Ear Nose Throat Mon. 1972;51:28–31.Google Scholar
- 240.Lin CCL, Tso MO, Vygantas CM. Coloboma of the optic nerve associated with serous maculopathy: a clinicopathologic correlative study. Arch Ophthalmol. 1984;102(11):1651–4.PubMedCrossRefGoogle Scholar
- 241.Lincoff H, Kreissig I. Optical coherence tomography of pneumatic displacement of optic pit maculopathy. Br J Ophthalmol. 1998;82:367–72.PubMedPubMedCentralCrossRefGoogle Scholar
- 242.Lincoff H, Lopez R, Kreissig I, et al. Retinoschisis associated with optic nerve pits. Arch Ophthalmol. 1998;106:61–7.CrossRefGoogle Scholar
- 243.Lincoff H, Yannuzzi L, Singerman L, et al. Improvement in visual function after displacement of the retinal elevation emanating from optic pits. Arch Ophthalmol. 1993;111:1071–9.PubMedCrossRefGoogle Scholar
- 244.Little LE, Whitmore PV, Wells Jr TW. Aplasia of the optic nerve. J Pediatr Ophthalmol. 1976;13:84–8.PubMedGoogle Scholar
- 245.Loddenkemper T, Friedman NR, Ruggieri PM, et al. Pituitary stalk duplication in association with moyamoya disease and bilateral morning glory disc anomaly-broadening the clinical spectrum of midline defects. J Neurol. 2008;255:885–90.Google Scholar
- 246.Lyons C, Castano G, Jan JE, et al. Optic nerve hypoplasia with intracranial arachnoid cyst. J AAPOS. 2004;8:61–6.PubMedCrossRefGoogle Scholar
- 247.MacGillivray MH, Crawford JD, Robey JS. Congenital hypothyroidism and prolonged neonatal hyperbilirubinemia. Pediatrics. 1967;40:283–6.PubMedGoogle Scholar
- 248.Mafee MF, Jampol LM, Langer BG, et al. Computed tomography of optic nerve colobomas, morning glory disc anomaly, and colobomatous cyst. Radiol Clin North Am. 1987;25:693–9.PubMedGoogle Scholar
- 249.Maisel JM, Pearlstein CS, Adams WH, et al. Large optic discs in the Marshallese population. Am J Ophthalmol. 1989;107:145–50.PubMedCrossRefGoogle Scholar
- 250.Mann I. Developmental abnormalities of the eye. Philadelphia: JB Lippincott; 1957. p. 74–91.Google Scholar
- 251.Manor RS, Kesler A. Optic nerve hypoplasia, big discs, large cupping, and vascular malformation embolized: a 22-year follow-up. Arch Ophthalmol. 1993;111:901–2.PubMedCrossRefGoogle Scholar
- 252.Margalith D, Tze WJ, Jan JE. Congenital optic nerve hypoplasia with hypothalamic-pituitary dysplasia. Am J Dis Child. 1985;139:361–6.PubMedCrossRefGoogle Scholar
- 253.Margo CE, Hamed LM, Fang E, et al. Optic nerve aplasia. Arch Ophthalmol. 1992;110(11):1610–3.PubMedCrossRefGoogle Scholar
- 254.Margo CE, Hamed LM, McCarty J. Congenital optic tract syndrome. Arch Ophthalmol. 1991;109(8):1120–2.PubMedCrossRefGoogle Scholar
- 255.Martel JN, Rutar T, Lujan BJ, Camponmanes ADA. Choroidal architecture in Aicardi syndrome: an optical coherence tomography and fluorescein angiography study. J AAPOS. 2011;15:308–10.PubMedPubMedCentralCrossRefGoogle Scholar
- 256.Massaro M, Thorarensen O, Liu GT, et al. Morning glory disc anomaly and Moyamoya vessels. Arch Ophthalmol. 1998;116:253–4.PubMedGoogle Scholar
- 257.Mauget-Faysse M, Cornut P-L, El-Maftouhi MQ, et al. Polypoidal choroidal vasculopathy in tilted disk syndrome and high myopia with staphyloma. Am J Ophthalmol. 2006;142:970–5.PubMedCrossRefGoogle Scholar
- 258.McDonald HR, Schatz H, Johnson RN. Treatment of retinal detachment associated with optic nerve pits. Int Ophthalmol Clin. 1992;32:35–42.PubMedCrossRefGoogle Scholar
- 259.McKetton L, Kelly KR, Schneider KA. Abnormal lateral geniculate nucleus and optic chiasm. J Comp Neurol. 2014;522:2680–7.Google Scholar
- 260.Mehta A, Hindmarsh PC, Mehta H, et al. Congenital hypopituitarism: clinical, molecular, and neuroradiological correlates. Clin Endocrinol (Oxf). 2009;71(3):376–82.CrossRefGoogle Scholar
- 261.Menenzes AV, Lewis TL, Buncic JR. Role of ocular involvement in the prediction of visual development and clinical prognosis in Aicardi syndrome. Br J Ophthalmol. 1996;80:805–11.CrossRefGoogle Scholar
- 262.Menenzes AV, MacGregor DL, Buncic JR. Aicardi syndrome: natural history and possible predictors of severity. Pediatr Neurol. 1994;11:313–8.CrossRefGoogle Scholar
- 263.Metry D, Heyer G, Hess C, et al. Consensus statement on diagnostic criteria for PHACE syndrome. Pediatrics. 2009;124:1447–56.PubMedCrossRefGoogle Scholar
- 264.Metry DW, Dowd CF, Barkovich AJ, et al. The many faces of PHACE syndrome. J Pediatr. 2001;139:117–23.PubMedCrossRefGoogle Scholar
- 265.Metry DW, Haggstrom AN, Drolet BA, et al. A prospective study of PHACE syndrome in infantile hemangiomas: demographic features, clinical findings, and complications. Am J Med Genet. 2006;140A:975–86.CrossRefGoogle Scholar
- 266.Molina JA, Mateos F, Merino M, et al. Aicardi syndrome in two sisters. J Pediatr. 1989;115:282–3.PubMedCrossRefGoogle Scholar
- 267.Moon D, Park TK. Optical coherence tomographic findings in optic nerve hypoplasia. Indian J Ophthalmol. 2013;61:596–8.PubMedPubMedCentralCrossRefGoogle Scholar
- 268.Mosier MA, Lieberman MF, Green WR, et al. Hypoplasia of the optic nerve. Arch Ophthalmol. 1978;96:1437–42.PubMedCrossRefGoogle Scholar
- 269.Münch M, Kawasaki A. Intrinsically photosensitive retinal ganglion cells: classification, function, and clinical implications. Curr Opin Neurol. 2013;26:45–51.PubMedCrossRefGoogle Scholar
- 270.Murphy MA, Perlman EM, Rogg JM, et al. Reversible carotid artery narrowing in morning glory disc anomaly. J Neuroophthalmol. 2005;25:198–201.PubMedCrossRefGoogle Scholar
- 271.Neidich JA, Nussbaum RL, Packer RJ, et al. Heterogeneity of clinical severity and molecular lesions in Aicardi syndrome. J Pediatr. 1990;116:911–7.PubMedCrossRefGoogle Scholar
- 272.Nevin NC, Silvestri J, Kernohan DC, Hutchinson WM. Oral-facial-digital syndrome with retinal abnormalities: OFDS type IX. A further case report. Am J Med Genet. 1994;51:228–31.PubMedCrossRefGoogle Scholar
- 273.Novakovic P, Taylor DSI, Hoyt WF. Localizing patterns of optic nerve hypoplasia-retina to occipital lobe. Br J Ophthalmol. 1998;72:176–82.CrossRefGoogle Scholar
- 274.Nucci P, Mets MB, Gabianelli EB. Trisomy 4q with morning glory anomaly. Ophthalmic Paediatr Genet. 1990;2:143–5.CrossRefGoogle Scholar
- 275.Oh B-L, Hwang J-M, Woo SJ. Myelinated nerve fiber-associated local scleral excavation and induced axial myopia. Retina. 2014; in press.Google Scholar
- 276.Ooto S, Mittra RA, Ridley ME, Spaide RF. Vitrectomy with inner retinal fenestration for optic pit maculopathy. Ophthalmology. 2014;121:1727–33.PubMedCrossRefGoogle Scholar
- 277.Orcutt JC, Bunt AH. Anomalous optic discs in a patient with a Dandy-Walker cyst. J Clin Neuroophthalmol. 1982;2:43–7.PubMedGoogle Scholar
- 278.Osher RH, Schatz NJ. A sinister association of the congenital tilted disc syndrome with chiasmal compression. In: Smith JL, editor. Neuro-ophthalmology focus. New York: Masson. p. 117–23.Google Scholar
- 279.Oster SF, Sretavan DW. Connecting the eye to the brain: the molecular basis of ganglion cell axon guidance. Br J Ophthalmol. 2003;87:639–45.PubMedPubMedCentralCrossRefGoogle Scholar
- 280.Padhi TR, Samal B, Kesarwani S, et al. Optic disc doubling. J Neuroophthalmol. 2012;32:238–9.PubMedCrossRefGoogle Scholar
- 281.Pagon RA. Ocular coloboma. Surv Ophthalmol. 1981;25:223–36.PubMedCrossRefGoogle Scholar
- 282.Pagon RA, Graham JM, Zonana J, et al. Coloboma, congenital heart disease, and choanal atresia with multiple anomalies: CHARGE association. J Pediatr. 1981;99:223–7.PubMedCrossRefGoogle Scholar
- 283.Parsa CF. Of Pax2 laboratory mice and human papillorenal investigations: maintaining the distinctions between cause and effect. J AAPOS. 2008;12:113–4.PubMedCrossRefGoogle Scholar
- 284.Parsa CF, Attie-Bitach T, Salomon R, et al. Papillorenal (“renal-coloboma”) syndrome. Am J Ophthalmol. 2002;134:301–2.CrossRefGoogle Scholar
- 285.Parsa CF, Robert MP. Thromboembolism and congenital malformations: from Duane syndrome to thalidomide embryopathy. Arch Ophthalmol. 2013;131:439–47.Google Scholar
- 286.Parsa CF, Silva ED, Sundin OH, et al. Redefining papillorenal syndrome: an underdiagnosed cause of ocular and renal morbidity. Ophthalmology. 2001;108:738–49.Google Scholar
- 287.Patel CK, Berg SJ, Quaghebeur G, et al. Ectopic cerebrospinal-like fluid from retrobulbar cysts as a possible cause of pediatric retinal detachment associated with optic disc coloboma: new implications for management. Arch Ophthalmol. 2012;130:1065–7.PubMedCrossRefGoogle Scholar
- 288.Perkins SL, Han DP, Gonder JE, et al. Dynamic atypical optic nerve coloboma associated with transient macular detachment. Arch Ophthalmol. 2005;123:1750–4.PubMedCrossRefGoogle Scholar
- 289.Perkins SL, Han DP, Gonder JE, et al. Dynamic atypical optic nerve coloboma associated with transient macular detachment. Trans Am Ophthalmol Soc. 2005;103:116–25.PubMedPubMedCentralGoogle Scholar
- 290.Petersen RA, Walton DS. Optic nerve hypoplasia with good visual acuity and visual field defects: a study of children of diabetic mothers. Arch Ophthalmol. 1977;95:254–8.PubMedCrossRefGoogle Scholar
- 291.Phillips PH, Spear C, Brodsky MC. Magnetic resonance diagnosis of congenital hypopituitarism in children with optic nerve hypoplasia. J AAPOS. 2011;5:275–80.CrossRefGoogle Scholar
- 292.Pilat A, Sibley D, McLean RJ, et al. High-resolution imaging of the optic nerve and retina in optic nerve hypoplasia. Ophthalmology. 2015;122:1330–9.Google Scholar
- 293.Poduri A, Evrony GD, Cai X, Walsh A. Somatic mutation, genomic variation, and neurological disease. Science. 2013;341:43–4.CrossRefGoogle Scholar
- 294.Polizzi A, Pavone P, Iannetti P, et al. Septo-optic dysplasia complex: a heterogeneous malformation syndrome. Pediatr Neurol. 2006;34:66–71.PubMedCrossRefGoogle Scholar
- 295.Pollack JA, Newton TH, Hoyt WF. Transsphenoidal and transethmoidal encephalocele: a review of clinical and roentgen features in 8 cases. Radiology. 1968;90:442–53.CrossRefGoogle Scholar
- 296.Pollock S. The morning glory disc anomaly: contractile movement, classification, and embryogenesis. Doc Ophthalmol. 1987;65:439–60.PubMedCrossRefGoogle Scholar
- 297.Prats Viñas JM, Martinez Gonzalex MJ, Garcia Ribes A, et al. Callosal agenesis, chorioretinal lacunae, absence of infantile spasms, and normal development. Aicardi syndrome without epilepsy. Dev Med Child Neurol. 2005;47:419–20.PubMedCrossRefGoogle Scholar
- 298.Provis JM, Van Driel D, Billson FA, et al. Human fetal optic nerve: overproduction and elimination of retinal axons during development. J Comp Neurol. 1985;238:92–100.PubMedCrossRefGoogle Scholar
- 299.Qayum S, Sullivan T, Park SC. Structure and clinical significance of central optic disc pits. Ophthalmology. 2013;120:1415–22.PubMedCrossRefGoogle Scholar
- 300.Ragge NK. Dominant inheritance of optic pits. Am J Ophthalmol. 1998;125:124–5.PubMedCrossRefGoogle Scholar
- 301.Ragge NK, Brown AG, Poloschek CM, et al. Heterozygous mutations of OTX2 cause severe ocular malformations. Am J Hum Genet. 2005;76:1008–22.PubMedPubMedCentralCrossRefGoogle Scholar
- 302.Ragge NK, Hoyt WF, Lambert SR. Big discs with optic nerve hypoplasia. J Clin Neuroophthalmol. 1991;11:137.PubMedGoogle Scholar
- 303.Ramakdrishnaiah RH, Shelton JB, Glasier CM, Phillips PH. Reliability of magnetic resonance imaging for detection of hypopituitarism in children with optic nerve hypoplasia. Ophthalmology. 2014;121:387–91.CrossRefGoogle Scholar
- 304.Rastogi MV, La Franchi SH. Congenital hypothyroidism. Orphanet J Rare Dis. 2010;5:1–22.CrossRefGoogle Scholar
- 305.Recupero SM, Lepore GF, Plateroti R, et al. Optic nerve aplasia associated with macular ‘atypical coloboma’. Acta Ophthalmol. 1994;72:768–79.CrossRefGoogle Scholar
- 306.Reidl S, Mullner-Eidenbock A, Prayer D, et al. Auxological, ophthalmological, and MRI findings in 25 Austrian patients with septo-optic dysplasia (SOD). Horm Res. 2002;58 Suppl 3:16–9.Google Scholar
- 307.Ren Y, Xiao T. Doubling of the optic disc. Br J Ophthalmol. 2008;92:1152–3.CrossRefGoogle Scholar
- 308.Repka MX, Kraker RT, Tamkins SM, et al. Pediatric Eye Disease Investigator Group. Retinal nerve fiber layer thickness in amblyopic eyes. Am J Ophthalmol. 2009;148(1):143–7.Google Scholar
- 309.Ribeiro-da-Silva J, Castanheira-Dinis A, Agoas V, et al. Congenital optic disc deformities. A clinical approach. Ophthalmic Paediatr Genet. 1985;5:67–70.PubMedCrossRefGoogle Scholar
- 310.Rieger G. Zum Krankheitsbild der Handmannschen Sehnerven-anomalie: “Windenbluten”-(“Morning Glory”-) Syndrom? Klin Monbl Augenheilkd. 1977;170:697–706.PubMedGoogle Scholar
- 311.Risse JF, Guillaume JB, Boissonnot M, et al. Un syndrome polymalformatif inhabituel: à un morning glory syndrome. Unilateral Ophtalmol. 1989;3:196–8.Google Scholar
- 312.Rivkees SA, Fink C, Nelson M, Borchert M. Prevalence and risk factors for disrupted circadian rhythmicity in children with optic nerve hypoplasia. Br J Ophthalmol. 2010;94:1358–62.PubMedCrossRefGoogle Scholar
- 313.Romano PE. Simple photogrammetric diagnosis of optic nerve hypoplasia. Arch Ophthalmol. 1989;107:824–6.PubMedCrossRefGoogle Scholar
- 314.Ropers HH, Zuffardi O, Bianchi E, Tiepolo L. Agenesis of the corpus callosum, ocular and skeletal anomalies (X-linked dominant Aicardi’s syndrome) in a girl with balanced X/3 translocation. Hum Genet. 1982;61:364–8.PubMedCrossRefGoogle Scholar
- 315.Rosser TL, Acosta MT, Packer RJ. Aicardi syndrome: spectrum of disease and long-term prognosis in 77 females. Pediatr Neurol. 2002;77:343–6.CrossRefGoogle Scholar
- 316.Rubenstein K, Ali M. Complications of optic disc pits. Trans Ophthalmol Soc UK. 1978;98:195–200.Google Scholar
- 317.Russell-Eggitt IM, Blake KD, Taylor DS, et al. The eye in the CHARGE association. Br J Ophthalmol. 1990;74:421–6.PubMedPubMedCentralCrossRefGoogle Scholar
- 318.Ruttum MS, Poll J. Unilateral retinal nerve fiber myelination with contralateral amblyopia. Arch Ophthalmol. 2006;124:128–30.PubMedCrossRefGoogle Scholar
- 319.Saadati HG, Hsu HY, Heller KB, et al. A histopathologic and morphometric differentiation of nerves in optic nerve hypoplasia and Leber hereditary optic neuropathy. Arch Ophthalmol. 1998;116:911–6.PubMedCrossRefGoogle Scholar
- 320.Sandbach JM, Coscun PE, Grossniklaus HE, et al. Ocular pathology in mitochondrial superoxide dismutase (Sod2) deficient mice. Invest Ophthalmol Vis Sci. 2001;42:2173–8.Google Scholar
- 321.Sanjari MS, Falavarjani KG, Parvaresh MM, et al. Bilateral aplasia of the optic nerve, chiasm, and tracts in an otherwise healthy infant. Br J Ophthalmol. 2006;90:513–4.PubMedPubMedCentralCrossRefGoogle Scholar
- 322.Sanyanusin P, Schimmenti LA, McNoe A, et al. Mutation of the PAX2 gene in a family with optic nerve colobomas, renal anomalies, and vesicoureteral reflux. Nat Genet. 1995;9:358–64.Google Scholar
- 323.Savell J, Cook JR. Optic nerve colobomas of autosomal dominant heredity. Arch Ophthalmol. 1979;94:395–400.CrossRefGoogle Scholar
- 324.Schatz H, McDonald HR. Treatment of sensory retinal detachment associated with optic nerve pit or coloboma. Ophthalmology. 1988;95:178–86.PubMedCrossRefGoogle Scholar
- 325.Schatz MP, Pollock SC. Optic disc morphology in albinism. Presented as a poster at the North American Neuro-Ophthalmology Society, Durango, CO, February 27–March 3, 1994.Google Scholar
- 326.Scheie HG, Adler FH. Aplasia of the optic nerve. Arch Ophthalmol. 1941;26:61–70.CrossRefGoogle Scholar
- 327.Schimmenti LA, Cunliffe HE, McNoe LA, et al. Further delineation of renal-coloboma syndrome in patients with extreme variability of phenotype and identical PAX2 mutations. Am J Hum Genet. 1997;60:869–72.PubMedPubMedCentralGoogle Scholar
- 328.Schimmenti LA, de la Cruz J, Lewis RA, et al. Novel mutation in sonic hedgehog in non-syndromic colobomatous microphthalmia. Am J Med Genet. 2003;116:215–21.CrossRefGoogle Scholar
- 329.Schmidt D, Meyer JH, Brandi-Dohrn J. Widespread myelinated nerve fibers of the optic disc: do they influence the development of myopia? Int Ophthalmol. 1996–1997;20:263–8.Google Scholar
- 330.Schorderet DF, Nichini O, Boisset G, et al. Mutation in the human homeobox gene NKX5-3 causes an oculo-auricular syndrome. Am J Hum Genet. 2008;82:1178–84.PubMedPubMedCentralCrossRefGoogle Scholar
- 331.Seybold ME, Rosen PN. Peripapillary staphyloma. Ann Ophthalmol. 1977;9:139–41.Google Scholar
- 332.Shah M, Park H-J, Gohari AR Bhatt MT. Loss of myelinated retinal nerve fibers from chronic papilledema. J Neuro-Ophthalmol 2008;28:218–20.Google Scholar
- 333.Shapiro MJ, Chow CC, Blair MP, et al. Peripheral nonperfusion and tractional retinal detachment associated with congenital optic nerve anomalies. Ophthalmology. 2013;120:607–15.PubMedCrossRefGoogle Scholar
- 334.Sherlock DA, McNicol LR. Anaesthesia and septo-optic dysplasia. Anaesthesia. 1987;42:1302–5.PubMedCrossRefGoogle Scholar
- 335.Shetty J, Fraser J, Goudie D, Kirkpatrick M. Aicardi syndrome in a 47 XXY male-A variable developmental phenotype. Eur J Paediatr Neurol. 2014;18:529–31.PubMedCrossRefGoogle Scholar
- 336.Shevchenko Y, Rehman M, Dorsey AT, et al. Unexpected difficult intubation in the patient with morning glory syndrome. Paediatr Anaesth. 1999;9:359–61.PubMedCrossRefGoogle Scholar
- 337.Silver J, Sapiro J. Axonal guidance during development of the optic nerve: the role of pigmented epithelia and other factors. J Comp Neurol. 1981;202:521–38.Google Scholar
- 338.Singh D, Verma A. Bilateral peripapillary staphyloma (ectasia). Indian J Ophthalmol. 1978;25:50–1.PubMedGoogle Scholar
- 339.Skarf B, Hoyt CS. Optic nerve hypoplasia in children. Arch Ophthalmol. 1984;102:255–8.CrossRefGoogle Scholar
- 340.Slade HW, Weekley RD. Diastasis of the optic nerve. J Neurosurg. 1957;14:571–4.PubMedCrossRefGoogle Scholar
- 341.Slamovits TL, Kimball GP, Friberg TR, et al. Bilateral optic disc colobomas with orbital cysts and hypoplastic optic nerves and chiasm. J Clin Neuroophthalmol. 1989;9:172–7.PubMedGoogle Scholar
- 342.Smith ER, Scott RM. Surgical management of Moyamoya syndrome. Skull Base. 2005;15:15–26.PubMedPubMedCentralCrossRefGoogle Scholar
- 343.Snead CM. Congenital division of the optic nerve at the base of the skull. Arch Ophthalmol. 1915;44:418–20.Google Scholar
- 344.Snead MP, James N, Jacobs PM. Vitrectomy, argon laser, and gas tamponade for serous retinal detachment associated with an optic disc pit: a case report. Br J Ophthalmol. 1991;75:381–2.PubMedPubMedCentralCrossRefGoogle Scholar
- 345.Sobol WM, Blodi CF, Folk JC, et al. Long-term visual outcome in patients with optic nerve pit and serous retinal detachment of the macula. Ophthalmology. 1990;97:1539–42.PubMedCrossRefGoogle Scholar
- 346.Sobol WM, Bratton AR, Rivers MB, et al. Morning glory disk syndrome associated with subretinal neovascularization. Am J Ophthalmol. 1990;110:93–4.PubMedCrossRefGoogle Scholar
- 347.Sowka JW, Nadeau MJ. Regression of myelinated retina nerve fibers in a glaucomatous eye. Optom Vis Sci. 2013;90:e218–20.PubMedCrossRefGoogle Scholar
- 348.Spaide RF, Fisher Y, Ober M, Stoller G. Surgical hypothesis: inner retinal fenestration as a treatment for optic disc pit maculopathy. Retina. 2006;26:89–91.PubMedCrossRefGoogle Scholar
- 349.Spedick MJ, Beauchamp GR. Retinal vascular and optic nerve abnormalities in albinism. J Pediatr Ophthalmol Strabismus. 1986;23:58–62.PubMedGoogle Scholar
- 350.Srinivasan G, Venkatesh P, Garg S. Optic nerve head, retinal nerve fiber layer, and macular thickness characteristics on optical coherence tomography in optic disk hypoplasia. J Pediatr Ophthalmol Strabismus. 2007;44:140–1.PubMedGoogle Scholar
- 351.Stefko ST, Campochiaro P, Wang P, et al. Dominant inheritance of optic pits. Am J Ophthalmol. 1997;124:844–5.CrossRefGoogle Scholar
- 352.Steinkuller PG. The morning glory disc anomaly. Case report and literature review. J Pediatr Ophthalmol Strabismus. 1980;17:81–7.PubMedGoogle Scholar
- 353.Storm RL, PeBenito R. Bilateral optic nerve aplasia associated with hydroencephaly. Ann Ophthalmol. 1984;16:988–92.PubMedGoogle Scholar
- 354.Straatsma BR, Foos FY, Heckenlively JR, et al. Myelinated retinal nerve fibers. Am J Ophthalmol. 1981;91:25–38.PubMedCrossRefGoogle Scholar
- 355.Streletz LJ, Schatz NJ. Transsphenoidal encephalocele associated with colobomas of the optic disc and hypopituitary dwarfism. In: Smith JL, Glaser JS, editors. Neuro-ophthalmology symposium of the University of Miami and the Bascom Palmer Eye Institute. St. Louis: CV Mosby; 2012. p. 78–86.Google Scholar
- 356.Sugar HS. Congenital pits of the optic disc with acquired macular pathology. Am J Ophthalmol. 1962;53:307–11.PubMedCrossRefGoogle Scholar
- 357.Sugar HS. Congenital pits of the optic disc and their equivalents (congenital colobomas and coloboma-like excavations) associated with submacular fluid. Am J Ophthalmol. 1967;63:298–307.Google Scholar
- 358.Summa KC, Turek FW. The clocks within us. Sci Am. 2015;312:50–5.CrossRefGoogle Scholar
- 359.Sutton VR, Hopkins BJ, Eble TN, et al. Facial and physical features of Aicardi syndrome: infants to teenagers. Am J Med Genet. 2005;138:254–8.CrossRefGoogle Scholar
- 360.Swaninathan M, Thirumalai SM, Nair AG. Unilateral myelinated nerve fibers associated with ipsilateral myopia and amblyopia. J Pediatr Ophthalmol Strabismus. 2012;49:384.CrossRefGoogle Scholar
- 361.Taban M, Cohen BH, Rothner AD, et al. Association of optic nerve hypoplasia with mitochondrial cytopathies. J Child Neurol. 2006;21:956–60.PubMedCrossRefGoogle Scholar
- 362.Tagawa T, Mimaki T, Ono J, et al. Aicardi syndrome associated with an embryonal carcinoma. Pediatr Neurol. 1989;5:45–57.PubMedCrossRefGoogle Scholar
- 363.Taggard DA, Menezes AH. Three choroid plexus papillomas in a patient with Aicardi syndrome. A case report. Pediatr Neurosurg. 2000;33:219–23.PubMedCrossRefGoogle Scholar
- 364.Takida A, Hida T, Kimura C, et al. A case of bilateral morning glory syndrome with total retinal detachment. Folia Ophthalmol Japonica. 1981;32:1177–82.Google Scholar
- 365.Tarabishy AB, Alexandroiu TJ, Traboulsi EI. Syndrome of myelinated retinal nerve fibers, myopia, and amblyopia: a review. Surv Ophthalmol. 2007;52:588–96.PubMedCrossRefGoogle Scholar
- 366.Taskintuna I, Oz O, Teke MY, et al. Morning glory syndrome: association with moyamoya disease, midline cranial defects, central nervous system anomalies, and persistent hyaloid artery remnant. Retina. 2003;23:400–2.PubMedCrossRefGoogle Scholar
- 367.Taylor D. Congenital tumors of the anterior visual pathways. Br J Ophthalmol. 1982;66:455–63.PubMedPubMedCentralCrossRefGoogle Scholar
- 368.Theodossiadis G. Evolution of congenital pit of the optic disc and macular detachment in photocoagulated and non-photocoagulated eyes. Am J Ophthalmol. 1977;84:620–31.PubMedCrossRefGoogle Scholar
- 369.Theodossiadis GP, Lollia AK, Theodossiadis PG. Cilioretinal arteries in conjunction with a pit of the optic disc. Ophthalmologica. 1992;204:115–21.PubMedCrossRefGoogle Scholar
- 370.Theodossiadis PG, Strigaris K, Papdopoulos V, et al. Optic nerve cyst associated with optic disk pits. Graefes Arch Clin Exp Ophthalmol. 2005;243:718–30.PubMedCrossRefGoogle Scholar
- 371.Thomas PQ, Dattani MT, Brickman JM, et al. Heterozygous HESX mutations associated with isolated congenital pituitary hypoplasia and septo-optic dysplasia. Hum Mol Genet. 2001;10:39–45.PubMedCrossRefGoogle Scholar
- 372.Tosti G. Serous macular detachment and tilted disc syndrome. Ophthalmology. 1991;106:1453–4.CrossRefGoogle Scholar
- 373.Traboulsi EI, Lim JI, Pyeritz R, et al. A new syndrome of myelinated nerve fibers, vitreoretinopathy and skeletal malformations. Arch Ophthalmol. 1993;111:1543–5.PubMedCrossRefGoogle Scholar
- 374.Traboulsi EI, O’Neill JF. The spectrum in the morphology of the so-called “morning glory” disc anomaly. J Pediatr Ophthalmol Strabismus. 1988;25:93–8.PubMedGoogle Scholar
- 375.Van den Veyver IB. Microphthalmia with linear skin defects (MLS), Aicardi, and Goltz syndromes: are they related X-linked dominant male-lethal disorders? Cytogenet Genome Res. 2002;99:289–96.PubMedCrossRefGoogle Scholar
- 376.Vanecek J. Inhibitory effect of melatonin on GnRH-induced LH release. Rev Reprod. 1999;4:67–92.PubMedCrossRefGoogle Scholar
- 377.Van Nouhuys JM, Bruyn GW. Nasopharyngeal transsphenoidal encephalocele, craterlike hole in the optic disc and agenesis of the corpus callosum: pneumoencephalographic visualization in a case. Psychiatr Neurol Neurochir. 1964;67:243–58.Google Scholar
- 378.Vedantham V. Double optic discs, optic disc coloboma, and pit: spectrum of hybrid disc anomalies in a single eye. Arch Ophthalmol. 2005;123:1450–2.PubMedCrossRefGoogle Scholar
- 379.Vedin AM, Garcia-Filion P, Fink C, et al. Serum prolactin concentrations in relation to hypopituitarism and obesity in children with optic nerve hypoplasia. Horm Res Paediatr 2012;10:277–80.Google Scholar
- 380.Vogel G. The unexpected brains behind blood vessel growth. Science. 2005;307:665–6.PubMedCrossRefGoogle Scholar
- 381.von Fricken MA, Dhungel R. Retinal detachment in the morning glory syndrome: pathogenesis and management. Retina. 1984;4:97–9.CrossRefGoogle Scholar
- 382.Vongphanit J, Mitchell P, Wang JJ. Population prevalence of tilted optic disks and the relationship of this sign to refractive error. Am J Ophthalmol. 2002;133:679–85.PubMedCrossRefGoogle Scholar
- 383.von Szily A. Die Obntogenese der idiopathiachen (erbbildlichen Spaltbildungen des Auges des Mikrophthalmus und der Orbitalcysten). Z Anat Entwicklungsgesch. 1924;74:1–230.CrossRefGoogle Scholar
- 384.Wang P, Liang X, Yi J, Zhang Q. Novel SOX2 mutation associated with ocular coloboma in a Chinese family. Arch Ophthalmol. 2008;126:709–13.PubMedCrossRefGoogle Scholar
- 385.Warburg M. Update of sporadic microphthalmos and coloboma. Ophthalmic Paediatr Genet. 1992;13:111–22.PubMedCrossRefGoogle Scholar
- 386.Warburg M, Heuer HE. Autosomal dominant microcephaly with lacunar retinal hypopigmentations. In: Acta: XXIV International congress of ophthalmology. Philadelphia: J.B. Lippincott; 1983.Google Scholar
- 387.Wee R, Van Gelder RN. Sleep disturbances in young subjects with visual dysfunction. Ophthalmology. 2004;111:297–303.PubMedCrossRefGoogle Scholar
- 388.Weiter JJ, McLean IW, Zimmerman LE. Aplasia of the optic nerve and disk. Am J Ophthalmol. 1997;83:569–76.CrossRefGoogle Scholar
- 389.Wiggins RE, von Noorden GK, Boniuk M. Optic nerve coloboma with cyst. A case report and review. J Pediatr Ophthalmol Strabismus. 1991;28:274–7.PubMedGoogle Scholar
- 390.Williams TD. Medullated retinal nerve fibers: speculations on their cause and presentation of cases. Am J Optom Physiol Opt. 1986;63:142–51.PubMedCrossRefGoogle Scholar
- 391.Williams J, Brodsky MC, Griebel M, et al. Septo-optic dysplasia: clinical insignificance of an absent septum pellucidum. Dev Med Child Neurol. 1993;35:490–501.PubMedCrossRefGoogle Scholar
- 392.Williams ME, Fink C, Zamora I, Borchert M. Autism assessment in children with optic nerve hypoplasia. Dev Med Child Neurol. 2014;56:66–74.PubMedCrossRefGoogle Scholar
- 393.Willis R, Zimmerman LE, O’Grady R, et al. Heterotopic adipose tissue and smooth muscle in the optic disc, association with isolated colobomas. Arch Ophthalmol. 1972;88:139–46.PubMedCrossRefGoogle Scholar
- 394.Wilson BD, Ii M, Park KW, et al. Netrins promote developmental and therapeutic angiogenesis. Science Express. June 29, 2006. p. 1–9.Google Scholar
- 395.Wise JB, Maclean AL, Gass JD. Contractile peripapillary staphyloma. Arch Ophthalmol. 1966;75:626–30.PubMedCrossRefGoogle Scholar
- 396.Yahyavi M, Abouzeid H, Gawdat G, et al. ALDH1A3 loss of function causes bilateral anophthalmia/microphthalmia and hypoplasia of the optic nerve and chiasm. Hum Mol Genet. 2013;22:3250–8.PubMedPubMedCentralCrossRefGoogle Scholar
- 397.Yang X, Zou H, Jung G, et al. Nonneuronal control of the differential distribution of myelin along retinal ganglion cell axons in the mouse. Invest Ophthalmol Vis Sci. 2013;54:7819–27.PubMedCrossRefGoogle Scholar
- 398.Yanoff M, Rorke LB, Allman MI. Bilateral optic system aplasia with relatively normal eyes. Arch Ophthalmol. 1978;96:97–101.PubMedCrossRefGoogle Scholar
- 399.Yokota A, Matsukado Y, Fuwa I, et al. Anterior basal encephalocele of the neonatal and infantile period. Neurosurgery. 1986;19:468–78.PubMedCrossRefGoogle Scholar
- 400.Young MP, Sawyer BL, Hartnett ME. Ophthalmologic findings in an 18-month-old boy with focal dermal hypoplasia. J AAPOS. 2014;18:205–6.PubMedPubMedCentralCrossRefGoogle Scholar
- 401.Young SE, Walsh FB, Knox DL. The tilted disc syndrome. Am J Ophthalmol. 1976;82:16–23.PubMedCrossRefGoogle Scholar
- 402.Yu Y-K, We T-EJ, Peng P-H, Cheng C-K. Quantitative optical coherence tomography findings in a 4-year-old boy with typical morning glory disc anomaly. J AAPOS. 2008;12:621–2.CrossRefGoogle Scholar
- 403.Yuen CH, Kaye SB. Spontaneous resolution of serous maculopathy associated with optic disc pit in a child: a case report. J AAPOS. 2002;6:330–1.PubMedCrossRefGoogle Scholar
- 404.Zeki SM. Optic nerve hypoplasia and astigmatism: a new association. Br J Ophthalmol. 1990;74:297–9.PubMedPubMedCentralCrossRefGoogle Scholar
- 405.Zeki SM, Dudgeon J, Dutton GN. Reappraisal of the ratio of disc to macula/disc diameter in optic nerve hypoplasia. Br J Ophthalmol. 1991;75:538–41.PubMedPubMedCentralCrossRefGoogle Scholar
- 406.Zeki SM, Dutton GM. Optic nerve hypoplasia in children. Br J Ophthalmol. 1990;74:300–3.PubMedPubMedCentralCrossRefGoogle Scholar





































