Skip to main content

Induction of follicular luteinization by equine chorionic gonadotropin in cyclic guinea pigs

正常发情周期豚鼠经孕马血清促性腺激素诱导的卵泡黄体化研究

Abstract

The effects of equine chorionic gonadotropin (eCG) on follicular development and ovulation in cyclic guinea pigs were investigated by histological and immunohistochemical analyses. Three groups of guinea pigs (n=12) were administrated subcutaneously with saline, 20 or 50 IU of eCG, respectively, on cyclic Day 12 (Day 1=vaginal openings). Ovaries were collected at 4 and 8 d after administration (6 animals per group each time). The eCG administration induced significant and distinct morphological changes in the ovaries, as it promoted the luteinization of granulosa cells, but not follicular development. In addition, proliferating cell nuclear antigen (PCNA) and steroidogenic acute regulatory protein (StAR) were immunolocalized specifically in luteinized follicles. Our experiments together indicate that eCG administration can induce follicular luteinization but not superovulation in guinea pigs. The eCG in cyclic guinea pigs functions similar to that of luteinizing hormone (LH), but not follicle-stimulating hormone (FSH).

中文概要

目 的

研究孕马血清促性腺激素(eCG)对发情周期豚鼠卵巢卵泡的作用。

创新点

首次发现eCG 对于发情周期豚鼠发挥了类似促黄体素的作用,而非促卵泡素的作用。

方 法

将成年雌性豚鼠(400∼700 g,连续2 次以上观察到稳定的16 天发情周期)分为对照组(腹腔注射生理盐水)和实验组(腹腔注射eCG)。实验组根据注射强度分为20 IU 组和50 IU 组,并分别于注射后4 和8 天采集豚鼠卵巢。用苏木精-伊红染色法(H&E)和免疫组化法观察豚鼠卵巢变化情况。测定注射后4 天卵巢卵泡大小和数量,测定注射后8 天卵巢和子宫重量、黄体数量、黄体化细胞数量和闭锁黄体细胞比例。

结 论

本实验中,豚鼠经eCG 注射后卵巢变化结果显示:发情期豚鼠卵巢经eCG 注射发生明显的形态改变(图1), 50 IU 组豚鼠卵巢在注射后8 天出现了黄体化未破裂卵泡(LUF)现象(图3)。免疫组化结果显示增值细胞核抗原(PCNA)和类激素调节蛋白(StAR)都免疫定位于黄体化卵泡(图8)。综上所述, eCG 对于发情期豚鼠发挥了类似促黄体素的作用。

1 Introduction

Exogenous gonadotropins, such as follicle-stimulating hormone (FSH), luteinizing hormone (LH), equine chorionic gonadotropin (eCG), and human menopausal gonadotropin (hMG), can successfully induce superovulation in most mammalian species (Hudson et al., 1999; Miller et al., 1999; Singh and Madan, 1999; Suzuki et al., 2003; Brooke et al., 2007). Specifically, eCG or FSH can induce superovulation in rats (Popova et al., 2002), pigs (Manjarin et al., 2009), sheep (Cognie, 1999), and cattle (Small et al., 2009). FSH and LH are both secreted from pituitary gland, and FSH has a short metabolic half-life (Fry et al., 1987). FSH stimulates follicular growth and recruits immature follicles in ovaries, while LH is generally required for successful superovulation (Kumar et al., 1997; Howles, 2000). eCG plays a role similar to that of as FSH but has a long half-life after single injection (Murphy and Martinuk, 1991; Zanetti et al., 2014).

Guinea pigs are a more reliable reproductive model as compared with mice or rats (Silva et al., 1998; Shi et al., 1999; Kulduk et al., 2014; Sun et al., 2014), because they share similarities with humans and large domestic animals in estrous cycles and prolonged pregnancy (van Kan et al., 2009). Guinea pigs, only ovulate a few oocytes (3.6±0.1) in one typical estrous cycle (Suzuki et al., 1993), and the majority of follicles are lost by atresia (Hermreck and Greenwald, 1964) in the four continuous stages (Wang et al., 2010b). Gonadotropins do not always reliably induce superovulation in guinea pigs (Suzuki et al., 2003), and the mechanism of ovulation remains poorly understood. Thus, to elucidate the ovarian response to gonadotropins in guinea pigs, we investigated follicular processes after administration of eCG.

The objectives of the present study were to investigate the effects of eCG, also called pregnant mare’s serum gonadotropin (PMSG), on ovarian follicles in cyclic guinea pigs, with a focus on follicular development and atresia, both before and after ovulation. Guinea pigs were designed to induce superovulation by administration of 20 or 50 IU eCG on cyclic Day 12, since injection of 10 IU eCG on cycle Days 9 and 10 was still not effective in inducing superovulation in guinea pigs (Rawson et al., 1979). As reported, the dosage of gonadotropin to induce superovulation should be based on body weight (Rahman et al., 2014). Superovulation can be induced by 5–10 IU eCG in female mice (Kanter et al., 2004; Wei et al., 2014), 500–600 IU eCG in ewes (Leoni et al., 2001; Simonetti et al., 2008; Forcada et al., 2011), and 2000–3000 IU eCG in cows (Bó and Mapletoft, 2014). During the biphasic follicular growth in guinea pigs, the first phase culminates on cycle Days 10–11 (Bland, 1980; Hutz et al., 1990), and the dominant follicle is transformed on cycle Day 12 (Shi et al., 2000). Our experiments together indicate that eCG administration can induce follicular luteinization but not superovulation in guinea pigs, and we re-confirmed follicular luteinization by immunohistochemical (IHC) observation of proliferating cell nuclear antigen (PCNA) and steroidogenic acute regulatory protein (StAR), which are important indicators reflecting their treatment effect. Specifically, PCNA indicates cellular proliferation (Wildemann et al., 2003), promotes oocyte apoptosis in mice (Xu et al., 2011), and is concomitant with follicular atresia in guinea pigs (Wang et al., 2010a). StAR modulates the first and rate-limiting step of steroidogenesis (Clark et al., 1997).

2 Materials and methods

2.1 Animals and experimental design

Adult female Harley-White guinea pigs (Cavia porcellus) weighing 400–700 g were housed and fed with a commercially prepared diet and tap water ad libitum. They were examined daily for signs of opening (either partial or full) in the vaginal membrane, and the first day of opening was designated as Day 1 of the cycle. Only animals showing at least 2 consecutive 16-d cycles immediately before the experiments were selected. Finally, 36 animals were included and randomly divided into 3 groups (n=12), which were injected subcutaneously with 20 or 50 IU of eCG (Sansheng Hormone Co., Ltd., Ningbo, China) or physiological saline, respectively, on Day 12 of their cycles. The animals were sacrificed after 4 and 8 d of injection; the other 6 animals from each group were sacrificed 8 d after injection (six animals from each group each time). The ovaries were collected immediately after scarification, fixed in 4% paraformaldehyde at room temperature for 36 h, and then stored in 70% alcohol for histological and IHC analyses.

2.2 Morphologic and IHC observation

After fixation, the ovaries were embedded in paraffin, sectioned serially at 5 µm, and stained with hematoxylin and eosin (H&E). These sections were observed for morphologic changes that indicate follicular development and ovulation after eCG treatment.

In order to study proliferation and steroidogenesis in luteinized follicles, we performed IHC analyses using monoclonal antibodies (MABs) against PCNA (Biogenix Co., CA, USA; lot: MU2060899) and StAR (Santa Cruz Biotechnology Inc., TX, USA; lot: SC25806) with the strept avidin-biotin complex (SABC) method (Boshide Biotechnology Inc., Wuhan, China; lot: SA1021). The antibodies of PCNA and StAR were diluted 1:500 (v/v) and 1:1000 (v/v), respectively, in a phosphate-buffered solution (PBS) containing 1% (0.01 g/ml) bovine serum albumin (BSA). Some sections with luteinized follicles were selected and sent into heat-induced epitope retrieval (HIER): the sections on slides were immersed in a 10 mmol/L sodium citrate buffer (pH 6.0) and heated at 100 °C in the microwave oven for 10 min. Then the sections were mounted on slides coated with 3-aminopropyl-triethoxysilane (APES), and dried at 37 °C for 24 h. The sections were incubated with primary antibodies at 4 °C overnight. Then immunoreactivity was visualized using diaminobenzidine (DAB, Sigma-Aldrich Co., MO, USA) as substrate and counter-staining with hematoxylin. Normal rabbit serum instead of the primary antibodies, was used as a negative control.

2.3 Ovarian and follicular assessments

The follicular size and number on cycle Day 16 before ovulation were recorded. The follicular size was determined as the mean of two diameters, which were recorded at right-angles by measuring the largest follicular diameter through a section containing the largest cut surface of oocyte as described previously (Bland, 1980; Hutz et al., 1990). Follicles were classified as small (<300 µm), medium (300–600 µm), or large (>600 µm) (Curry et al., 1984a; 1984b; Garris and Foreman, 1984). The number of corpora lutea, weights of single ovary and uterus, number of luteinized cells in CL, and proportion of apoptotic luteinized cells in luteinized follicles were also determined (Li et al., 2014).

2.4 Statistical analysis

Statistical analyses were performed using an IBM SPSS Statistics 21 (Chicago, IL, USA). Differences were evaluated by one-way analysis of variance (ANOVA) with a Tukey’s test for multiple comparisons. P<0.05 was considered to be significant.

3 Results

3.1 Effects of eCG on follicular development before ovulation

In the control groups, the healthy antral follicles on the ovaries showed thick layers of granulosa cells (Figs. 1a and 1b). Moreover, the oocytes were clearly outlined and uniformly dyed, while the granulosa cells were neatly-arranged outside the zona pellucida (ZP) (Fig. 1c). Follicular development was more obvious in the 20 IU group versus the control group. Larger antral follicles (>600 µm in diameter) appeared on the ovaries. Most of the granulosa cells were apoptotic or eliminated. Also the numbers of blood cells outside the ovarian medulla, at the follicular fringe, and inside the atretic follicles increased (Fig. 1d). In the regular antral follicles (Fig. 1e), granulosa cells without obvious apoptosis were arranged loosely inside the follicular antrum. The ZP was surrounded by multiple granulosa layers, and the polygonal-shaped granulosa cells were not granular, and more extracellular matrixes (ECMs) were interconnected (Fig. 1f). The 50 IU group contained generally higher proportions of follicular atresia compared with the 20 IU group. The apoptosis of granulosa cells was delayed in some preantral and small antral follicles, while the differentiation and proliferation of follicular cells were accelerated in the large antral follicles. Also a mass of blood cells and a corpus luteum-like (CL-like) structure appeared in the atretic follicles (Fig. 1g). The granulosa cells were mass-eliminated inside the follicular antrum (Fig. 1h), and differentiation of the inner membrane cells started to occur (Fig. 1i).

Fig. 1
figure 1

Effects of eCG on follicular development before ovulation

Representative ovarian sections from the guinea pigs sacrificed on cyclic Day 16 before ovulation were treated with saline (a-c), 20 IU eCG (d-f) or 50 IU eCG (g-i). Sections were stained with H&E. O, oocyte; ZP, zona pellucida; G, granulose layer; A, follicular antrum

The number and proportion of follicles were shown in Fig. 2. The numbers of follicles were significantly different among the groups (P<0.05) and were quantitatively in the following sequence: 50 IU group>20 IU group>control group. The proportion of small follicles in the 50 IU group was significantly lower than that in the other two groups (P<0.05). The proportions of medium follicles were significantly different among the groups (P<0.05) and were quantitatively in the following sequence: 50 IU group> control group>20 IU group. The proportions of large follicles did not differ significantly among the three groups (P>0.05).

Fig. 2
figure 2

Follicular number and size in the ovary before ovulation

Each value is expressed as mean±standard error of the mean (SEM). Superscripts a, b, and c represent significant differences between categories (P<0.05) as analyzed by Tukey’s test, while the same letters denote non-significance (P>0.05). n=12 ovaries in each group; the F-test is for homogeneity of variance, P>0.05; and the W-test is for normality of distribution, P>0.05

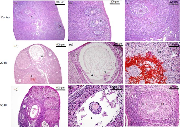
3.2 Effects of eCG on ovulation rate and follicular development after ovulation

Follicles were observed 8 d after treatment and ovulation occurred in all groups. In the control group, most of the follicles were at Stage III or IV of atresia, without large antral follicles in the ovaries (Figs. 3a and 3b), and the follicular theca and granulosa cells luteinized into luteal cells were closely distributed in the corpus luteum (Fig. 3c). In the 20 IU group, the corpora lutea after ovulation also appeared in the ovaries, while the large antral follicles were still present in the ovulated ovaries (Fig. 3d). Many granulosa cells without visible signs of differentiation were neatly arranged within these antral follicles (Fig. 3e). Blood vessel cells were also present in the corpora lutea (Fig. 3f). The ovaries in the 50 IU group contained an apparent luteinized structure (Fig. 3g). In some luteinized follicles with a large follicular antrum, the granulosa cells in the ZP or follicular membrane did not show obvious signs of differentiation, but were denser and irregularly oriented (Fig. 3h). Luteinized unruptured follicles (LUFs) appeared in the ovaries (Fig. 3i). The oocyte and differentiated granulosa cells were visible in these luteinized follicles, but the cell density in the luteal follicles was lower than that in the corpus luteum. Differentiation of the granulosa cells was directly induced by eCG. The differentiated granulosa cells became thin and long and contained abundant ECM (Fig. 3i).

Fig. 3
figure 3

Effects of eCG on follicular development in the ovary after ovulation

Representative ovarian sections from guinea pigs sacrificed on Day 4 of the next cycle after ovulation, were treated with saline (a-c), 20 IU (d-f) or 50 IU (g-i) eCG. Sections were stained with H&E. O, oocyte; A, follicular antrum; CL, corpora lutea; LUF, luteinized unruptured follicle

The numbers of corpora lutea excluding luteal follicles were assessed (Fig. 4). The ovulation rates were similar in the 3 groups (P>0.05). The ovarian weights both before and after ovulation were significantly different among the groups (P<0.05) and were in the following sequence: 50 IU group>20 IU group>control group. The uterus weight in the 20 IU group was significantly higher than that in the 50 IU group (P<0.05).

Fig. 4
figure 4

Numbers of corpora lutea, weights of ovaries and uteri in guinea pigs

Each value is expressed as mean±SEM. Different superscripts a, b, and c denote significance (P<0.05) as analyzed by Tukey’s test, while the same letters denote non-significance (P>0.05). n=12 ovaries in each group; The F-test is for homogeneity of the variance, P>0.05; and the W-test is for normality of the distribution, P>0.05

3.3 Effects of eCG on cell differentiation and proliferation in luteinized follicles and apoptotic oocytes

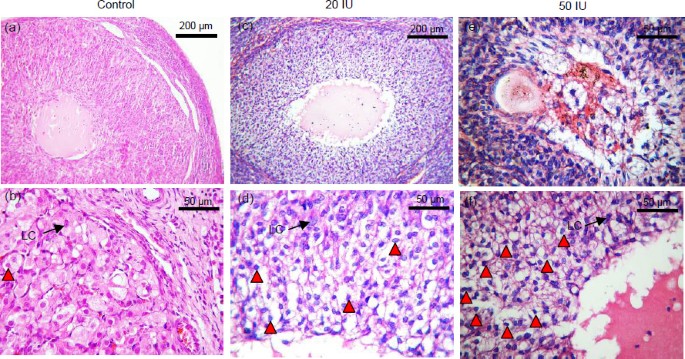
Differentiation of the follicular cells, theca, and granulosa cells in the ovaries was induced by the eCG treatment, especially in the corpora lutea (Fig. 5). In the control group, the remaining theca and granulosa cells in follicles rapidly differentiated and proliferated into a luteal structure and formed a distinct cellular morphology (Figs. 5a and 5b). In the 20 IU group and in the large antral follicles, follicular cells rapidly differentiated and proliferated, while either theca or granulosa cells formed a CL-like structure (Figs. 5c and 5d). In the 50 IU group, the follicular cells differentiated and proliferated on cycle Day 16 before ovulation (Fig. 5e), while a CL-like structure was formed in the differentiated cells thereafter (Fig. 5f). The numbers of luteinized cells (Fig. 6) were significantly different among the groups (P<0.05) and were changed in the following sequence: control group> 20 IU group>50 IU group. The proportions of apoptotic luteinized cells (Fig. 6) were significantly different among the groups (P<0.05) and were in the following sequence: 50 IU group>20 IU group>control group.

Fig. 5
figure 5

Effects of eCG on cell differentiation and proliferation in luteinized follicles

Representative ovarian sections from guinea pigs were sacrificed on Day 16 of the estrous cycle (e) and 8 d after eCG injection (a–d, f), or were treated with saline (control). Sections were stained with H&E. Triangle, apoptotic luteinized cells; LC, luteinized cells

Fig. 6
figure 6

Composition of luteinized cells in the luteinized follicles 8 d after eCG injection

Each value is expressed as mean±SEM. Different superscripts a, b, and c denote significance (P<0.05) as analyzed by Tukey’s test, while the same letters denote non-significance (P>0.05). n=12 ovaries in each group; the F-test is for homogeneity of the variance, P>0.05; the W-test is for normality of the distribution, P>0.05Fig. 5 Effects of eCG on cell differentiation and proliferation in luteinized follicles Representative ovarian sections from guinea pigs were sacrificed on Day 16 of the estrous cycle (e) and 8 d after eCG injection (a-d, f), or were treated with saline (control). Sections were stained with H&E. Triangle, apoptotic luteinized cells; LC, luteinized cells

According to relevant revised classification criteria (Wang et al., 2010b), the follicular atresia and oocyte degeneration in the control group were at the latter Stage III (Fig. 7a) or Stage I (Fig. 7b), since only a few differentiated cells emerged from the ZP and some cavities remained in the oocyte. In the 20 IU group, most of the follicular atresia was at Stage I (Fig. 7c) or Stage II (Fig. 7d). The eCG treatment induced massive elimination in the majority of granulosa cells and early differentiation in the theca inner cells. A differentiation strip appeared along the follicular antrum, and the granulosa layer was loosened. The oocyte degeneration was at Stage II, and only a few cavities were formed. The 50 IU group, also showed an abnormal manner of follicular atresia after ovulation, since the cumulus granulosa cells were eliminated first (Fig. 7e). In addition, LUFs without vacuoles appeared after ovulation, and the oocytes in LUFs were reduced in size, while no obvious differentiation of the granulosa cells surrounding the ZP occurred (Fig. 7f).

Fig. 7
figure 7

Effects of eCG on oocyte apoptosis during follicular atresia 8 d after eCG injection

Representative ovarian sections were taken from guinea pigs sacrificed 8 d after saline (a, b) or eCG (20 IU (c, d) or 50 IU (e, f)) injection. Sections were stained with H&E. O, oocyte

3.4 Immunolocalization of PCNA and StAR proteins in ovaries

Like normal corpora lutea, PCNA was obviously expressed in luteinized follicles after eCG administration (Figs. 8a8c), indicating that normal level of mass proliferation also occurred in the luteinized granulosa cells. In addition, StAR proteins were medially expressed in luteinized follicles after eCG administration (Figs. 8d and 8e), indicating that the differentiated cells in luteinized follicles were normal and luteal.

Fig. 8
figure 8

Immunolocalization of PCNA and StAR proteins in ovaries 8 d after eCG injection

IHC staining was performed using monoclonal antibodies against PCNA (a-c) and StAR (d, e) by the SABC method. The brown reaction products indicated positive immunostaining for PCNA and StAR. The negative control (f) was normal rabbit serum (NRS) instead of primary antibody (Note: for interpretation of the references to color in this figure legend, the reader is referred to the web version of this article)

4 Discussion

Our results suggest that eCG administration resulted in a larger number of developing follicles but not in full maturation to ovulation. This administration increased the number of developing follicles and the proportion of large follicles in the ovaries. However, the eCG administration did not increase the number of corpora lutea, even though it increased the ovarian weights both before and after ovulation. The possible reason for this may be that the eCG is mainly effective at the antral follicle stage, but is insufficient to induce ovulation of all the large follicles. Other studies both in vivo and in vitro also show that eCG exerts inhibitory effects on follicular atresia and apoptosis of granulosa cells (Carson et al., 1979; Braw et al., 1981; Chun et al., 1994).

eCG treatment resulted in the formation of more blood vessel cells in the atretic follicles, similar to the formation of the corpora lutea after ovulation. After administration of eCG on cycle Day 12, the numbers of large atretic follicles with an irregular antral cavity and apoptotic granulosa cells increased before ovulation. A large number of granulosa layers were still arranged inside the follicular antrum in the 20 IU group, but most granulosa cells were eliminated and theca internal cells began to differentiate in the 50 IU group. The most cogent reason might be that eCG accelerated the luteal process of the follicular cells, including the granulosa and theca cells (Fujimori et al., 1987), resulting in changes in the ovarian blood supply.

Different from what is found in other animals, 50 IU of the eCG group on Day 12 induced the formation of LUFs, which reflected LH activity of eCG in guinea pigs, since LUFs depend on LH for an ovulatory signal. Large antral follicles were still apparent in the eCG-treated animals after ovulation, unlike the control group, and LUFs exhibited entrapped ova and low density luteal cells. The results are consistent with a previous report about ovaries receiving exogenous gonadotropin (Rawson et al., 1979). LUFs are linked to unexplained infertility, but no effective treatment is available for LUFs (Koninckx and Brosens, 1982; Mio et al., 1992). LUFs also appeared after hCG administration in small follicles, which did not induce successful ovulation even after a strong ovulatory signal (Coetsier and Dhont, 1996). An in vitro assay indicated that cells of LUFs were more sensitive to hCG (Westfahl, 1993). The possible reason for this might be that the high dose of eCG can destroy or inhibit granulosa cells, which secrete inhibins to regulate the function of FSH (Shi et al., 1999; Ozawa et al., 2001).

The injection of eCG induced the differentiation and proliferation of theca and granulosa cells in follicles, and then differentiated cells formed CL-like structures. Like normal corpora lutea, the StAR and PCNA proteins were both expressed in luteinized follicles, with normal-level proliferation of luteinized cells. The active luteinized cells in the CL-like structure were believed to secrete progesterone like CL (Smith et al., 1994). CL-like structures (luteinized follicles from LUFs) can secrete progesterone (Plas-Roser et al., 1984) and estrogen, which function differently from the corpora lutea (Westfahl, 1988). It was confirmed that a CL-like structure has a significantly lower number of luteinized cells and higher proportion of apoptotic luteinized cells. Cell differentiation and proliferation contribute to follicular formation (Sun et al., 2014). However, the source of differentiated cells is unclear: they may rapidly differentiate from basal membrane cells after apoptosis of granulosa cells, or they may differentiate and proliferate from theca and granulosa cells.

eCG treatment might accelerate viable follicular atresia in guinea pigs (Fujimori et al., 1989), since during follicular atresia, the atretic stage is quite different among different doses of eCG. A similar conclusion was reported in guinea pigs by Rawson et al. (1979): the conversion of normal follicles to atretic ones reflected the LH activity of the eCG. Previous works suggested that follicular luteinization and atresia in guinea pigs might be complex and differ from the processes in other mammals (Wang et al., 2010a; 2010b). Certainly, the dependence on the selection of antral follicles in guinea pigs warrants further studies, which should allow this system to become a more informative model.

5 Conclusions

The administration of eCG on Day 12 promoted the luteinization of granulosa cells, but not follicular development or superovulation in guinea pigs. Our findings suggest that the function of eCG in cyclic guinea pigs is similar to that of LH, but not FSH.

Compliance with ethics guidelines

Jun-rong LI, Wei WANG, and Fang-xiong SHI declare that they have no conflict of interest.

All institutional and national guidelines for the care and use of laboratory animals were followed.

References

  • Bland, K.P., 1980. Biphasic follicular growth in the guinea-pig oestrous cycle. J. Reprod. Fertil., 60(1):73–76. [doi:10. 1530/jrf.0.0600073]

    CAS  Article  PubMed  Google Scholar 

  • Braw, R.H., Bar-Ami, S., Tsafriri, A., 1981. Effect of hypophysectomy on atresia of rat preovulatory follicles. Biol. Reprod., 25(5):989–996. [doi:10.1095/biolreprod25. 5.989]

    CAS  Article  PubMed  Google Scholar 

  • Brooke, D.A., Orsi, N.M., Ainscough, J.F.X., et al., 2007. Human menopausal and pregnant mare serum gonadotrophins in murine superovulation regimens for transgenic applications. Theriogenology, 67(8):1409–1413. [doi:10.1016/jtheriogenology.2007.03.008]

    CAS  Article  PubMed  Google Scholar 

  • Bó, G.A., Mapletoft, R.J., 2014. Historical perspectives and recent research on superovulation in cattle. Theriogenology, 81(1):38–48. [doi:10.1016/jtheriogenology.2013.09.020]

    Article  PubMed  Google Scholar 

  • Carson, R.S., Findlay, J.K., Burger, H.G., et al., 1979. Gonadotropin receptors of the ovine ovarian follicle during follicular growth and atresia. Biol. Reprod., 21(1):75–87. [doi:10.1095/biolreprod21.1.75]

    CAS  Article  PubMed  Google Scholar 

  • Chun, S.Y., Billig, H., Tilly, J.L., et al., 1994. Gonadotropin suppression of apoptosis in cultured preovulatory follicles: mediatory role of endogenous insulin-like growth factor I. Endocrinology, 135(5):1845–1853. [doi:10.1210/en.135. 5.1845]

    CAS  PubMed  Google Scholar 

  • Clark, B.J., Combs, R., Hales, K.H., et al., 1997. Inhibition of transcription affects synthesis of steroidogenic acute regulatory protein and steroidgenesis in MA-10 mouse leydig tumor cells. Endocrinology, 138(11):4893–4901. [doi:10.1210/en.138.11.4893]

    CAS  PubMed  Google Scholar 

  • Coetsier, T., Dhont, M., 1996. Complete and partial luteinized unruptured follicle syndrome after ovarian stimulation with clomiphene citrate/human menopausal gonadotropin/human chorionic gonadotropin. Hum. Reprod., 11(3):583–587. [doi:10.1093/HUMREP/11.3.583]

    CAS  Article  PubMed  Google Scholar 

  • Cognie, Y., 1999. State of the art in sheep-goat embryo transfer. Theriogenology, 51(1):105–116. [doi:10.1016/S0093-691 X(98)00235-0]

    CAS  Article  PubMed  Google Scholar 

  • Curry, T.E.Jr., Lawrence, I.E.Jr., Burden, H.W., 1984a. Ovarian sympathectomy in the guinea pig. I. Effects on follicular development during estrous cycle. Cell Tissue Res., 236(2):257–263. [doi:10.1007/BF00214226]

    Article  PubMed  Google Scholar 

  • Curry, T.E.Jr., Lawrence, I.E.Jr., Burden, H.W., 1984b. Ovarian sympathectomy in the guinea pig. II. Effects on follicular development during the prepubertal period and following exogenous gonadotrop stimulation. Cell Tissue Res., 236(3):593–596. [doi:10.1007/BF00217227]

    CAS  Article  PubMed  Google Scholar 

  • Forcada, F., Amer-meziane, M.A., Abecia, J.A., et al., 2011. Repeated superovulation using a simplified FSH/eCG treatment for in vivo embryo production in sheep. Theriogenology, 75(4):769–776. [doi:10.1016/jtheriogenology. 2010.10.019]

    CAS  Article  PubMed  Google Scholar 

  • Fry, R.C., Cahill, L.P., Cummins, J.T., et al., 1987. The halflife of follicle-stimulating hormone in ovary-intact and ovariectomized booroola and control merino ewes. J. Reprod. Fertil., 81(2):611–615. [doi:10.1530/jrf.0.0810611]

    CAS  Article  PubMed  Google Scholar 

  • Fujimori, K., Nakamura, R.M., Tonetta, S.A., et al., 1987. Cessation of transition-phase follicle growth in the guinea pig by follicle-regulatory protein. Biol. Reprod., 37(4):812–822. [doi:10.1095/biolreprod37.4.812]

    CAS  Article  PubMed  Google Scholar 

  • Fujimori, K., Nakamura, R.M., Tonetta, S.A., et al., 1989. Quantitative-determination of follicle size distribution in the guinea-pig ovary after hemi-castration and PMSG treatment. Endocrinol. Jpn., 36(2):175–185. [doi:10.1507/endocrj1954.36.175]

    CAS  Article  PubMed  Google Scholar 

  • Garris, D.R., Foreman, D., 1984. Follicular growth and atresia during the last half of the luteal phase of the guinea pig estrous cycle: relation to serum progesterone and estradiol levels and utero-ovarian blood flow. Endocrinology, 115(1):73–77. [doi:10.1210/endo-115-1-73]

    CAS  Article  PubMed  Google Scholar 

  • Hermreck, A.S., Greenwald, G.S., 1964. The effects of unilateral ovariectomy on follicular maturation in the guinea pig. Anat. Rec., 148(2):171–176. [doi:10.1002/ar.1091480207]

    CAS  Article  PubMed  Google Scholar 

  • Howles, C.M., 2000. Role of LH and FSH in ovarian function. Mol. Cell. Endocrinol., 161(1-2):25–30. [doi:10.1016/S0303-7207(99)00219-1]

    CAS  Article  PubMed  Google Scholar 

  • Hudson, N.L., O’Connell, A.R., Shaw, L., et al., 1999. Effect of exogenous FSH on ovulation rate in homozygous carriers or noncarriers of the booroola FecB gene after hypothalamic-pituitary disconnection or after treatment with a GnRH agonist. Domest. Anim. Endocrinol., 16(1):69–80. [doi:10.1016/S0739-7240(98)00045-9]

    CAS  Article  PubMed  Google Scholar 

  • Hutz, R.J., Bejvan, S.M., Durning, M., et al., 1990. Changes in follicular populations, in serum estrogen and progesterone, and in ovarian steroid secretion in vitro during the guinea pig estrous cycle. Biol. Reprod., 42(2):266–272. [doi:10.1095/biolreprod42.2.266]

    CAS  Article  PubMed  Google Scholar 

  • Kanter, M., Yildiz, C., Meral, I., et al., 2004. Effects of a GnRH agonist on oocyte number and maturation in mice superovulated with eCG and hCG. Theriogenology, 61(2-3):393–398. [doi:10.1016/S0093-691X(03)00222-X]

    CAS  Article  PubMed  Google Scholar 

  • Koninckx, P.R., Brosens, I.A., 1982. Clinical significance of the luteinized unruptured follicle syndrome as a cause of infertility. Eur. J. Obstet. Gynecol. Reprod. Biol., 13(6):355–368. [doi:10.1016/0028-2243(82)90071-5]

    CAS  Article  PubMed  Google Scholar 

  • Kulduk, E., Eren, E., Soy, F., et al., 2014. Histological analysis of the effects of anti-adhesive haemostatic agents on the middle ear of the guinea pig. J. Laryngol. Otol., 128(10):885–891. [doi:10.1017/S0022215114001571]

    CAS  Article  PubMed  Google Scholar 

  • Kumar, T.R., Wang, L., Lu, N.F., et al., 1997. Follicle stimulating hormone is required for ovarian follicle maturation but not male fertility. Nat. Genet., 15(2):201–204. [doi:10. 1038/ng0297-201]

    CAS  Article  PubMed  Google Scholar 

  • Leoni, G., Bogliolo, L., Pintus, P., et al., 2001. Sheep embryos derived from FSH/eCG treatment have a lower in vitro viability after vitrification than those derived from FSH treatment. Reprod. Nutr. Dev., 41(3):239–246. [doi:10. 1051/rnd:2001127]

    CAS  Article  PubMed  Google Scholar 

  • Li, Y., Wei, Q.W., Feng, J.Q., et al., 2014. Expression of bone morphogenetic protein 2, 4, and related components of the BMP signaling pathway in the mouse uterus during the estrous cycle. J. Zhejiang Univ.-Sci. B (Biomed. & Biotechnol.), 15(7):601–610. [doi:10.1631/jzus.B1300288]

    CAS  Article  Google Scholar 

  • Manjarin, R., Dominguez, J.C., Castro, M.J., et al., 2009. Effect of prior FSH treatment on the estrus and ovulation responses to eCG in prepubertal gilts. Anim. Reprod. Sci., 110(1-2):123–127. [doi:10.1016/janireprosci.2008.01.001]

    CAS  Article  PubMed  Google Scholar 

  • Miller, A.T., Picton, H.M., Hunter, M.G., 1999. Suppression of ovarian activity in the gilt and reversal by exogenous gonadotrophin administration. Anim. Reprod. Sci., 54(3):179–193. [doi:10.1016/S0378-4320(98)00153-5]

    CAS  Article  PubMed  Google Scholar 

  • Mio, Y., Toda, T., Harada, T., et al., 1992. Luteinized unruptured follicle in the early stages of endometriosis as a cause of unexplained infertility. Am. J. Obstet. Gynecol., 167(1):271–273. [doi:10.1016/S0002-9378(11)91673-1]

    CAS  Article  PubMed  Google Scholar 

  • Murphy, B., Martinuk, S., 1991. Equine chorionic gonadotropin. Endocrine Rev., 12(1):27–44. [doi:10.1210/edrv-12-1-27]

    CAS  Article  Google Scholar 

  • Ozawa, M., Shi, F., Watanabe, G., et al., 2001. Regulatory role of inhibin in follicle-stimulating hormone secretion and folliculogensis in the guinea pig. J. Vet. Med. Sci., 63(10):1091–1095. [doi:10.1292/jvms.63.1091]

    CAS  Article  PubMed  Google Scholar 

  • Plas-Roser, S., Kauffmann, M.T., Aron, C., 1984. Do luteinized unruptured follicles secrete progesterone in mature female rats? Experientia, 40(5):500–501. [doi:10. 1007/BF01952406]

    CAS  Article  PubMed  Google Scholar 

  • Popova, E., Krivokharchenko, A., Ganten, D., et al., 2002. Comparison between PMSG-and FSH-induced superovulation for the generation of transgenic rats. Mol. Reprod. Dev., 63(2):177–182. [doi:10.1002/mrd.10173]

    CAS  Article  PubMed  Google Scholar 

  • Rahman, M.R., Rahman, M.M., wan Khadijah, W.E., et al., 2014. Follicle stimulating hormone (FSH) dosage based on body weight enhances ovulatory responses and subsequent embryo production in goats. Asian-Australas J. Anim. Sci., 27(9):1270–1274. [doi:10.5713/ajas.2013. 13786]

    CAS  Article  PubMed  PubMed Central  Google Scholar 

  • Rawson, J.M., Galey, C.I., Weinberg, L.C., et al., 1979. Effects of gonadotropins on follicular development, ovulation, and atresia in the mature guinea pig. Horm. Res., 10(1):25–36. [doi:10.1159/000178986]

    CAS  Article  PubMed  Google Scholar 

  • Shi, F.X., Ozawa, M., Komura, H., et al., 1999. Secretion of ovarian inhibin and its physiologic roles in the regulation of follicle-stimulating hormone secretion during the estrous cycle of the female guinea pig. Biol. Reprod., 60(1):78–84. [doi:10.1095/biolreprod60.1.78]

    CAS  Article  PubMed  Google Scholar 

  • Shi, F.X., Watanabe, G., Trewin, A.L., et al., 2000. Localization of ovarian inhibin/activin subunits in follicular dominance during the estrous cycle of guinea pigs. Zool. Sci., 17(9):1311–1320. [doi:10.2108/zsj.17.1311]

    CAS  Article  Google Scholar 

  • Silva, E.G., Tornos, C., Deavers, M., et al., 1998. Induction of epithelial neoplasms in the ovaries of guinea pigs by estrogenic stimulation. Gynecol. Oncol., 71(2):240–246. [doi:10.1006/gyno.1998.5153]

    CAS  Article  PubMed  Google Scholar 

  • Simonetti, L., Forcada, F., Rivera, O.E., et al., 2008. Simplified superovulatory treatments in Corriedale ewes. Anim. Reprod. Sci., 104(2-4):227–237. [doi:10.1016/janireprosci. 2007.01.020]

    CAS  Article  PubMed  Google Scholar 

  • Singh, C., Madan, M.L., 1999. The ovarian response of prepubertal buffalo (Bubalus bubalis) to superovulation with equine chorionic gonadotrophin with and without treatment with GnRH. Vet. J., 158(2):155–158. [doi:10.1053/tvjl.1998.0318]

    CAS  Article  PubMed  Google Scholar 

  • Small, J.A., Colazo, M.G., Kastelic, J.P., et al., 2009. Effects of progesterone presynchronization and eCG on pregnancy rates to GnRH-based, timed-AI in beef cattle. Theriogenology, 71(4):698–706. [doi:10.1016/jtherioge nology.2008.09.045]

    CAS  Article  PubMed  Google Scholar 

  • Smith, M.F., McIntush, E.W., Smith, G.W., 1994. Mechanisms associated with corpus luteum development. J. Anim. Sci., 72(7):1857–1872.

    CAS  PubMed  Google Scholar 

  • Sun, S.Y., Zhang, W., Han, X., et al., 2014. Cell proliferation and apoptosis in the fetal and neonatal ovary of guinea pigs. Genet. Mol. Res., 13(1):1570–1578. [doi:10.4238/2014.March.12.9]

    CAS  Article  PubMed  Google Scholar 

  • Suzuki, O., Ogura, A., Asano, T., et al., 1993. Development of preimplantation guinea-pig embryos in serum-free media. Reprod. Fertil. Dev., 5(4):425–432. [doi:10.1071/RD9930 425]

    CAS  Article  PubMed  Google Scholar 

  • Suzuki, O., Koura, M., Noguchi, Y., et al., 2003. Optimization of superovulation induction by human menopausal gonadotropin in guinea pigs based on follicular waves and FSH-receptor homologies. Mol. Reprod. Dev., 64(2):219–225. [doi:10.1002/mrd.10242]

    CAS  Article  PubMed  Google Scholar 

  • van Kan, C.M., de Vries, J.I., Luchinger, A.B., et al., 2009. Ontogeny of fetal movements in the guinea pig. Physiol. Behav., 98(3):338–344. [doi:10.1016/jphysbeh.2009.06. 011]

    Article  PubMed  Google Scholar 

  • Wang, W., Liu, H., Ding, W., et al., 2010a. Involvement of cell proliferation in the process of follicular atresia in the guinea pig. Tissue Cell., 42(4):234–241. [doi:10.1016/j. tice.2010.04.006]

    Article  PubMed  Google Scholar 

  • Wang, W., Liu, H., Tian, W., et al., 2010b. Morphologic observation and classication criteria of atretic follicles in guinea pigs. J. Zhejiang Univ.-Sci. B (Biomed. & Biotechnol.), 11(5):307–314. [doi:10.1631/jzus.B0900391]

    Article  Google Scholar 

  • Wei, Z., Lu, X., Zhang, G., et al., 2014. The long-term effects of superovulation on fertility and sexual behavior of male offspring in mice. J. Assist. Reprod. Genet., 31(5):555–560. [doi:10.1007/s10815-014-0191-6]

    Article  PubMed  PubMed Central  Google Scholar 

  • Westfahl, P.K., 1988. Circulating sex steroids after induction of luteinized unruptured follicles in adult guinea pigs. Steroids, 51(1-2):101–114. [doi:10.1016/0039-128X(88) 90187-0]

    CAS  Article  PubMed  Google Scholar 

  • Westfahl, P.K., 1993. Comparison of luteinized unruptured follicles and corpora lutea: steroid hormone production and response to luteolytic and luteotropic agents. Biol. Reprod., 48(4):807–814. [doi:10.1095/biolreprod48.4.807]

    CAS  Article  PubMed  Google Scholar 

  • Wildemann, B., Schmidmaier, G., Ordel, S., et al., 2003. Cell proliferation and differentiation during fracture healing are influenced by locally applied IGF-I and TGF-ß 1: comparison of two proliferation markers, PCNA and BrdU. J. Biomed. Mater. Res. B Appl. Biomater., 65(1):150–156. [doi:10.1002/jbmb.10512]

    CAS  Article  PubMed  Google Scholar 

  • Xu, B., Hua, J., Zhang, Y., et al., 2011. Proliferating cell nuclear antigen (PCNA) regulates primordial follicle assembly by promoting apoptosis of oocytes in fetal and neonatal mouse ovaries. PLoS ONE, 6(1):e16046. [doi:10.1371/journalpone.0016046]

    Article  Google Scholar 

  • Zanetti, E.S., Munerato, M.S., Cursino, M.S., et al., 2014. Comparing two different superovulation protocols on ovarian activity and fecal glucocorticoid levels in the brown brocket deer (Mazama gouazoubira). Reprod. Biol. Endocrinol., 12:24. [doi:10.1186/1477-7827-12-24]

    Article  PubMed  PubMed Central  Google Scholar 

Download references

Acknowledgements

We express our gratitude to Dr. Reinhold J. HUTZ in the Department of Biological Sciences, University of Wisconsin-Milwaukee, USA, for reading the revised manuscripts and offering valuable suggestions.

Author information

Affiliations

Authors

Corresponding author

Correspondence to Fang-xiong Shi.

Additional information

Project supported by the National Natural Science Foundation of China (No. 31172206)

ORCID: Jun-rong LI, http://orcid.org/0000-0001-7642-7981; Fang-xiong SHI, http://orcid.org/0000-0001-6271-6184

Rights and permissions

Reprints and Permissions

About this article

Verify currency and authenticity via CrossMark

Cite this article

Li, Jr., Wang, W. & Shi, Fx. Induction of follicular luteinization by equine chorionic gonadotropin in cyclic guinea pigs. J. Zhejiang Univ. Sci. B 16, 980–990 (2015). https://doi.org/10.1631/jzus.B1500046

Download citation

  • Received:

  • Accepted:

  • Published:

  • Issue Date:

  • DOI: https://doi.org/10.1631/jzus.B1500046

Keywords

  • Equine chorionic gonadotropin (eCG)
  • Guinea Pig
  • Follicular development
  • Proliferating cell nuclear antigen (PCNA)
  • Steroidogenic acute regulatory protein (StAR)

关键词

  • 孕马血清促性腺激素
  • 豚鼠
  • 卵泡发育
  • 增值细胞核抗原
  • 类激素调节蛋白

CLC number

  • S865.1