Skip to main content

Impact of FOXA1 Expression on the Prognosis of Patients with Hormone Receptor-Positive Breast Cancer

Abstract

Background

Assessing indications for adjuvant chemotherapy (CT) in patients with hormone receptor (HR)-positive/human epidermal receptor 2 (HER2)-negative breast cancer remains a challenge for oncologists. In this study, we evaluated whether forkhead-box protein A1 (FOXA1) expression was a prognostic and predictive marker for HR-positive breast cancer.

Methods

FOXA1 expression was analyzed immunohistochemically in 239 primary breast cancers. Associations between FOXA1 expression and clinicopathological characteristics and prognosis were evaluated.

Results

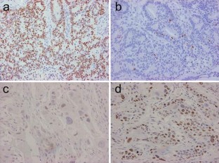
FOXA1 expression was positively correlated with estrogen receptor (ER) (P < 0.0001) and progesterone receptor (PR) expression (P = 0.0011), and inversely correlated with nuclear grade (P = 0.0048) and Ki67 index (P = 0.0112). High FOXA1 was associated with longer recurrence-free survival (RFS) in all cases (P < 0.0001) and in ER-positive cases (P < 0.0001), but not in ER-negative cases. In addition, FOXA1 expression was associated with good prognosis, regardless of the Ki67 index, in HR-positive cases. FOXA1 was an independent prognostic factor on multivariate analysis in all cases and in ER-positive cases. Among HR-positive/HER2-negative cases with high FOXA1 expression, there was no difference in RFS between those given hormone therapy (HT) alone and those given CT plus HT.

Conclusions

In HR-positive breast cancer, FOXA1 expression was significantly associated with good prognosis. FOXA1 expression may be a useful marker for HR-positive/HER2-negative breast cancer to identify patients with good prognosis who may not require CT.

This is a preview of subscription content, access via your institution.

Fig. 1
Fig. 2
Fig. 3

References

  1. Perou CM, Sorlie T, Eisen MB, et al. Molecular portraits of human breast tumours. Nature. 2000;406:747–52.

    PubMed  Article  CAS  Google Scholar 

  2. Sorlie T, Perou CM, Tibshirani R, et al. Gene expression patterns of breast carcinomas distinguish tumor subclasses with clinical implications. Proc Natl Acad Sci USA. 2001;98:10869–74.

    PubMed  Article  CAS  Google Scholar 

  3. Goldhirsch A, Ingle JN, Gelber RD, Coates AS, Thurlimann B, Senn HJ. Thresholds for therapies: highlights of the St Gallen International Expert Consensus on the primary therapy of early breast cancer 2009. Ann Oncol. 2009;20:1319–29.

    PubMed  Article  CAS  Google Scholar 

  4. Kim C, Paik S. Gene-expression-based prognostic assays for breast cancer. Nat Rev Clin Oncol. 2010;7:340–7.

    PubMed  Article  CAS  Google Scholar 

  5. Yerushalmi R, Woods R, Ravdin PM, Hayes MM, Gelmon KA. Ki67 in breast cancer: prognostic and predictive potential. Lancet Oncol. 2010;11:174–83.

    PubMed  Article  CAS  Google Scholar 

  6. Cheang MC, Chia SK, Voduc D, et al. Ki67 index, HER2 status, and prognosis of patients with luminal B breast cancer. J Natl Cancer Inst. 2009;101:736-50.

    PubMed  Article  CAS  Google Scholar 

  7. Hugh J, Hanson J, Cheang MC, et al. Breast cancer subtypes and response to docetaxel in node-positive breast cancer: use of an immunohistochemical definition in the BCIRG 001 trial. J Clin Oncol. 2009;27:1168–76.

    PubMed  Article  CAS  Google Scholar 

  8. Carlsson P, Mahlapuu M. Forkhead transcription factors: key players in development and metabolism. Dev Biol. 2002;250:1–23.

    PubMed  Article  CAS  Google Scholar 

  9. Kaestner KH. The hepatocyte nuclear factor 3 (HNF3 or FOXA) family in metabolism. Trends Endocrinol Metab. 2000;11:281–5.

    PubMed  Article  CAS  Google Scholar 

  10. Tomaru Y, Kondo S, Suzuki M, Hayashizaki Y. A comprehensive search for HNF-3alpha-regulated genes in mouse hepatoma cells by 60 K cDNA microarray and chromatin immunoprecipitation/PCR analysis. Biochem Biophys Res Commun. 2003;310:667–74.

    PubMed  Article  CAS  Google Scholar 

  11. Carroll JS, Brown M. Estrogen receptor target gene: an evolving concept. Mol Endocrinol. 2006;20:1707–14.

    PubMed  Article  CAS  Google Scholar 

  12. Laganiere J, Deblois G, Lefebvre C, Bataille AR, Robert F, Giguere V. From the Cover: Location analysis of estrogen receptor alpha target promoters reveals that FOXA1 defines a domain of the estrogen response. Proc Natl Acad Sci USA 2005;102:11651–56.

    PubMed  Article  CAS  Google Scholar 

  13. Hurtado A, Holmes KA, Ross-Innes CS, Schmidt D, Carroll JS. FOXA1 is a key determinant of estrogen receptor function and endocrine response. Nat Genet. 2011;43:27–33.

    PubMed  Article  CAS  Google Scholar 

  14. Badve S, Turbin D, Thorat MA, et al. FOXA1 expression in breast cancer–correlation with luminal subtype A and survival. Clin Cancer Res. 2007;13:4415–21.

    PubMed  Article  CAS  Google Scholar 

  15. Thorat MA, Marchio C, Morimiya A, et al. Forkhead box A1 expression in breast cancer is associated with luminal subtype and good prognosis. J Clin Pathol. 2008;61:327–32.

    PubMed  Article  CAS  Google Scholar 

  16. Habashy HO, Powe DG, Rakha EA, et al. Forkhead-box A1 (FOXA1) expression in breast cancer and its prognostic significance. Eur J Cancer. 2008;44:1541–51.

    PubMed  Article  CAS  Google Scholar 

  17. Albergaria A, Paredes J, Sousa B, et al. Expression of FOXA1 and GATA-3 in breast cancer: the prognostic significance in hormone receptor-negative tumours. Breast Cancer Res. 2009;11:R40.

    PubMed  Article  Google Scholar 

  18. Ademuyiwa FO, Thorat MA, Jain RK, Nakshatri H, Badve S. Expression of Forkhead-box protein A1, a marker of luminal A type breast cancer, parallels low Oncotype DX 21-gene recurrence scores. Mod Pathol. 2010;23:270–5.

    PubMed  Article  CAS  Google Scholar 

  19. Tan PH, Bay BH, Yip G, et al. Immunohistochemical detection of Ki67 in breast cancer correlates with transcriptional regulation of genes related to apoptosis and cell death. Mod Pathol. 2005;18:374–81.

    PubMed  Article  CAS  Google Scholar 

  20. Tokunaga E, Kimura Y, Oki E, et al. Akt is frequently activated in HER2/neu-positive breast cancers and associated with poor prognosis among hormone-treated patients. Int J Cancer. 2006;118:284–9.

    PubMed  Article  CAS  Google Scholar 

  21. Nguyen PL, Taghian AG, Katz MS, et al. Breast cancer subtype approximated by estrogen receptor, progesterone receptor, and HER-2 is associated with local and distant recurrence after breast-conserving therapy. J Clin Oncol. 2008;26:2373–8.

    PubMed  Article  Google Scholar 

  22. Penault-Llorca F, Andre F, Sagan C, et al. Ki67 expression and docetaxel efficacy in patients with estrogen receptor-positive breast cancer. J Clin Oncol. 2009;27:2809–15.

    PubMed  Article  CAS  Google Scholar 

  23. Petit T, Wilt M, Velten M, et al. Comparative value of tumour grade, hormonal receptors, Ki-67, HER-2 and topoisomerase II alpha status as predictive markers in breast cancer patients treated with neoadjuvant anthracycline-based chemotherapy. Eur J Cancer. 2004;40:205–11.

    PubMed  Article  CAS  Google Scholar 

  24. Wolf I, Bose S, Williamson EA, Miller CW, Karlan BY, Koeffler HP. FOXA1: Growth inhibitor and a favorable prognostic factor in human breast cancer. Int J Cancer. 2007;120:1013–22.

    PubMed  Article  CAS  Google Scholar 

Download references

Author information

Affiliations

Authors

Corresponding author

Correspondence to Eriko Tokunaga MD, PhD.

Rights and permissions

Reprints and Permissions

About this article

Cite this article

Hisamatsu, Y., Tokunaga, E., Yamashita, N. et al. Impact of FOXA1 Expression on the Prognosis of Patients with Hormone Receptor-Positive Breast Cancer. Ann Surg Oncol 19, 1145–1152 (2012). https://doi.org/10.1245/s10434-011-2094-4

Download citation

  • Received:

  • Published:

  • Issue Date:

  • DOI: https://doi.org/10.1245/s10434-011-2094-4

Keywords

  • Breast Cancer
  • Estrogen Receptor
  • Hormone Therapy
  • Progesterone Receptor
  • Ki67 Index