Skip to main content

Inverse Association between miR-194 Expression and Tumor Invasion in Gastric Cancer

Abstract

Background

MiR-194 has been shown to be specifically expressed in the human gastrointestinal tract and may play an antimetastatic role in primary liver cancer cells. However, the role of miR-194 in gastric cancer is still unclear.

Methods

Total RNA was extracted from tissues of 119 patients with gastric cancer and three gastric cancer cell lines (SGC-7901, MGC-803, and BGC-823). Expression levels of miR-194 were determined by real-time polymerase chain reaction (PCR). Moreover, a MTT proliferation assay and transwell cell invasion assay were performed to study the effect of miR-194 on SGC-7901 cell proliferation and invasion. Finally, we used real-time PCR and western blot to verify which gene was the target of miR-194 in gastric cancer.

Results

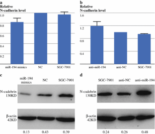
Though there was no significant difference between cancerous and matching noncancerous tissues, we found patients with lower expression of miR-194 tended to have larger tumor size (P = 0.002) and more advanced pT stage (P = 0.028) in gastric cancer. Moreover, the expression of miR-194 was significantly lower in Borrmann IV type gastric cancer than in Borrmann I, II, and III types (P = 0.019). Furthermore, an in vitro invasion assay indicated that the penetrated cell intensity after miR-194 mimics transfection was significantly lower than the control. However, overexpression of miR-194 had little effect on the SGC-7901 cell cycle and proliferation. The results of real-time PCR and western blot highlighted that miR-194 interacted with N-cadherin and negatively regulated its expression at the translational level.

Conclusion

These findings imply that miR-194 might play an important role in gastric cancer invasion and progression.

This is a preview of subscription content, access via your institution.

Fig. 1
Fig. 2
Fig. 3
Fig. 4
Fig. 5

References

  1. Lee RC, Feinbaum RL, Ambros V. The C. elegans heterochronic gene lin-4 encodes small RNAs with antisense complementarity to lin-14. Cell. 1993;75:843–54.

    PubMed  Article  CAS  Google Scholar 

  2. Bartel DP. MicroRNAs: genomics, biogenesis, mechanism, and function. Cell. 2004;116:281–97.

    PubMed  Article  CAS  Google Scholar 

  3. Harfe BD. MicroRNAs in vertebrate development. Curr Opin Genet Dev. 2005;15:410–5.

    PubMed  Article  CAS  Google Scholar 

  4. Esquela-Kerscher A, Slack FJ. Oncomirs—microRNAs with a role in cancer. Nat Rev Cancer. 2006;6:259–69.

    PubMed  Article  CAS  Google Scholar 

  5. Hwang HW, Mendell JT. MicroRNAs in cell proliferation, cell death, and tumorigenesis. Br J Cancer. 2006;94:776–80.

    PubMed  Article  CAS  Google Scholar 

  6. Calin GA, Sevignani C, Dumitru CD, Hyslop T, Noch E, Yendamuri S, et al. Human microRNA genes are frequently located at fragile sites and genomic regions involved in cancers. Proc Natl Acad Sci USA. 2004;101:2999–3004.

    PubMed  Article  CAS  Google Scholar 

  7. Calin GA, Dumitru CD, Shimizu M, Bichi R, Zupo S, Noch E, et al. Frequent deletions and down-regulation of micro-RNA genes miR15 and miR16 at 13q14 in chronic lymphocytic leukemia. Proc Natl Acad Sci USA. 2002;99:15524–9.

    PubMed  Article  CAS  Google Scholar 

  8. Takamizawa J, Konishi H, Yanagisawa K, Tomida S, Osada H. Endoh H, et al. Reduced expression of the let-7 microRNAs in human lung cancers in association with shortened postoperative survival. Cancer Res. 2004;64:3753–6.

    PubMed  Article  CAS  Google Scholar 

  9. Iorio MV, Ferracin M, Liu CG, Veronese A, Spizzo R, Sabbioni S, et al. MicroRNA gene expression deregulation in human breast cancer. Cancer Res. 2005;65:7065–70.

    PubMed  Article  CAS  Google Scholar 

  10. Ikenaga N, Ohuchida K, Mizumoto K, Yu J, Kayashima T, Sakai H, et al. MicroRNA-203 expression as a new prognostic marker of pancreatic adenocarcinoma. Ann Surg Oncol. 2010;17:3120–8.

    PubMed  Article  Google Scholar 

  11. Murakami Y, Yasuda T, Saigo K, Urashima T, Toyoda H, Okanoue T, et al. Comprehensive analysis of microRNA expression patterns in hepatocellular carcinoma and non-tumorous tissues. Oncogene. 2006;25:2537–45.

    PubMed  Article  CAS  Google Scholar 

  12. Michael MZ, O’Connor SM, van Holst Pellekaan NG, Young GP, James RJ. Reduced accumulation of specific microRNAs in colorectal neoplasia. Mol Cancer Res. 2003;1:882–91.

    PubMed  CAS  Google Scholar 

  13. Chen Y, Song Y, Wang Z, Yue Z, Xu H, Xing C, et al. Altered expression of MiR-148a and MiR-152 in gastrointestinal cancers and its clinical significance. J Gastrointest Surg. 2010;14:1170–9.

    PubMed  Article  Google Scholar 

  14. Song YX, Yue ZY, Wang ZN, Xu YY, Luo Y, Xu HM, et al (2011) MicroRNA-148b is frequently down-regulated in gastric cancer and acts as a tumor suppressor by inhibiting cell proliferation. Mol Cancer. 10:116.

    Article  Google Scholar 

  15. Chiang Y, Song Y, Wang Z, Chen Y, Yue Z, Xu H, et al. Aberrant expression of miR-203 and its clinical significance in gastric and colorectal cancers. J Gastrointest Surg. 2010;15:63–70.

    PubMed  Article  Google Scholar 

  16. Hino K, Tsuchiya K, Fukao T, Kiga K, Okamoto R, Kanai T, et al. Inducible expression of microRNA-194 is regulated by HNF-1alpha during intestinal epithelial cell differentiation. RNA. 2008;14:1433–42.

    PubMed  Article  CAS  Google Scholar 

  17. Meng Z, Fu X, Chen X, Zeng S, Tian Y, Jove R, et al. MiR-194 is a marker of hepatic epithelial cells and suppresses metastasis of liver cancer cells in mice. Hepatology. 2010;52:2148–57.

    PubMed  Article  CAS  Google Scholar 

  18. Shi R, Chiang VL. Facile means for quantifying microRNA expression by real-time PCR. Biotechniques. 2005;39:519–25.

    PubMed  Article  CAS  Google Scholar 

  19. Livak KJ, Schmittgen TD. Analysis of relative gene expression data using real-time quantitative pcr and the 2 (delta delta c (T)) method. Methods. 2001;25:402–8.

    PubMed  Article  CAS  Google Scholar 

  20. Lim LP, Lau NC, Garrett-Engele P, Grimson A, Schelter JM, Castle J, et al. Microarray analysis shows that some microRNAs downregulate large numbers of target mRNAs. Nature. 2005;433:769–73.

    PubMed  Article  CAS  Google Scholar 

  21. Wang CJ, Zhou ZG, Wang L, Yang L, Zhou B, Gu J, et al. Clinicopathological significance of microRNA-31, -143 and -145 expression in colorectal cancer. Dis Markers. 2009;26:27–34.

    PubMed  Google Scholar 

  22. Yan LX, Huang XF, Shao Q, Huang MY, Deng L, Wu QL, et al. MicroRNA miR-21 overexpression in human breast cancer is associated with advanced clinical stage, lymph node metastasis and patient poor prognosis. RNA. 2008;14:2348–60.

    PubMed  Article  CAS  Google Scholar 

  23. Calin GA, Croce CM. MicroRNA signatures in human cancer. Nat Rev Cancer. 2006;6:857–66.

    PubMed  Article  CAS  Google Scholar 

  24. Slaby O, Svoboda M, Fabian P, Smerdova T, Knoflickova D, Bednarikova M, et al. Altered expression of miR-21, miR-31, miR-143 and miR-145 is related to clinicopathologic features of colorectal cancer. Oncology. 2007;72:397–402.

    PubMed  Article  CAS  Google Scholar 

  25. Zhang B, Pan X, Cobb GP, Anderson TA. MicroRNAs as oncogenes and tumor suppressors. Dev Biol. 2007;302:1–12.

    PubMed  Article  CAS  Google Scholar 

  26. Braun CJ, Zhang X, Savelyeva I, Wolff S, Moll UM, Schepeler T, et al. p53-Responsive micrornas 192 and 215 are capable of inducing cell cycle arrest. Cancer Res. 2008;68:10094–104.

    PubMed  Article  CAS  Google Scholar 

  27. Davidson LA, Wang N, Shah MS, Lupton JR, Ivanov I, Chapkin RS. n-3 Polyunsaturated fatty acids modulate carcinogen-directed non-coding microRNA signatures in rat colon. Carcinogenesis. 2009;30:2077–84.

    PubMed  Article  CAS  Google Scholar 

  28. Wijnhoven BP, Hussey DJ, Watson DI, Tsykin A, Smith CM, Michael MZ, et al. MicroRNA profiling of Barrett’s oesophagus and oesophageal adenocarcinoma. South Australian Oesophageal Research Group. Br J Surg. 2010;97:853–61.

    PubMed  Article  CAS  Google Scholar 

  29. Mathé EA, Nguyen GH, Bowman ED, Zhao Y, Budhu A, Schetter AJ, et al. MicroRNA expression in squamous cell carcinoma and adenocarcinoma of the esophagus: associations with survival. Clin Cancer Res. 2009;15:6192–200.

    PubMed  Article  Google Scholar 

  30. Feber A, Xi L, Luketich JD, Pennathur A, Landreneau RJ, Wu M, et al. MicroRNA expression profiles of esophageal cancer. J Thorac Cardiovasc Surg. 2008;135:255–60.

    PubMed  Article  CAS  Google Scholar 

  31. Mees ST, Mardin WA, Wendel C, Baeumer N, Willscher E, Senninger N, et al. EP300–a miRNA-regulated metastasis suppressor gene in ductal adenocarcinomas of the pancreas. Int J Cancer. 2010;126:114–24.

    PubMed  Article  CAS  Google Scholar 

  32. Baffa R, Fassan M, Volinia S, O’Hara B, Liu CG, Palazzo JP, et al. MicroRNA expression profiling of human metastatic cancers identifies cancer gene targets. J Pathol. 2009;219:214–21.

    PubMed  Article  CAS  Google Scholar 

  33. Shiraishi N, Inomata M, Osawa N, Yasuda K, Adachi Y, Kitano S. Early and late recurrence after gastrectomy for gastric carcinoma. Cancer. 2000;89:255–61.

    PubMed  Article  CAS  Google Scholar 

  34. Supriatna Y, Kishimoto T, Furuya M, Tochigi N, Ishiguro H, Tosh D, et al. Expression of liver-enriched nuclear factors and their isoforms in alpha-fetoprotein-producing gastric carcinoma cells. Exp Mol Pathol. 2007;82:316–21.

    PubMed  Article  CAS  Google Scholar 

Download references

Acknowledgment

This work was supported by National Science Foundation of China (No. 30972879 and No. 81000943), Specialized Research Fund for the Doctoral Program of Higher Education (No. 200801590006), and Natural Science Foundation of Liaoning Province (No. 20092129).

Author information

Affiliations

Authors

Corresponding author

Correspondence to Zhenning Wang MD, PhD.

Additional information

Yongxi Song and Feng Zhao contributed equally to this work.

Electronic Supplementary Material

Below is the link to the electronic supplementary material.

10434_2011_1999_MOESM1_ESM.pdf

Table S1. RT-PCR primers for amplification of miR-194 and the sequences of miR-194 mimics and negative control (PDF 32 kb)

Rights and permissions

Reprints and Permissions

About this article

Cite this article

Song, Y., Zhao, F., Wang, Z. et al. Inverse Association between miR-194 Expression and Tumor Invasion in Gastric Cancer. Ann Surg Oncol 19, 509–517 (2012). https://doi.org/10.1245/s10434-011-1999-2

Download citation

  • Received:

  • Published:

  • Issue Date:

  • DOI: https://doi.org/10.1245/s10434-011-1999-2

Keywords

  • Gastric Cancer
  • Gastric Cancer Cell
  • Gastric Cancer Cell Line
  • Gastric Cancer Tissue
  • Noncancerous Tissue