Skip to main content

Intraoperative Radiofrequency Ablation for Hepatocellular Carcinoma: Long-Term Results in a Large Series

Abstract

Background

Intraoperative radiofrequency (RF) ablation with or without surgical resection currently plays one of important roles in modern hepatocellular carcinoma (HCC) therapy. We evaluated long-term follow-up results including prognostic factors of intraoperative RF ablation for HCC that was difficult to treat percutaneously.

Methods

A total of 133 patients (male, 22 female, mean age 55.8 years) underwent intraoperative RF ablations for 200 HCCs (follow-up period 3.0–79.7 months, median 22.3 months). Hepatic resection was also performed in 29 patients. Reasons for the intraoperative procedure included no safe electrode path (n = 59), excessive tumor burden (n = 41), nonvisualization of the HCC on ultrasonography (n = 20), and risk of collateral thermal damage to adjacent organs (n = 13). We evaluated the technique effectiveness rate at 1 month computed tomography (CT), cumulative local tumor progression rate, cumulative disease-free and overall survival rates, and complications. We also sought significant prognostic factors for overall survival.

Results

The technique effectiveness at 1 month was 94.7% (126/133). The cumulative local tumor progression rates at 1 and 3 years were 4.9% and 8.8%, respectively. The cumulative disease-free and overall survival rates at 1, 3 and 5 years were 51.8%, 21.3%, and 16.0% and 92.3%, 72.6%, and 46.5%, respectively. Major complications occurred in nine patients (6.8%). Procedure-related mortality was 1.5% (2/133). The patients treated for recurrent HCC (P = 0.003) or with high serum alpha-fetoprotein levels (P = 0.009) had poor survival by multivariate analysis.

Conclusion

The results of this study showed that intraoperative radiofrequency ablation with or without hepatic resection is a safe and effective treatment for hepatocellular carcinoma in patients who are not candidates for the percutaneous approach.

This is a preview of subscription content, access via your institution.

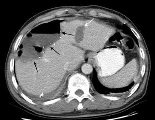
FIG. 1
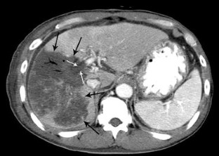
Fig. 2
Fig. 3

References

  1. Choi D, Lim HK, Rhim H, et al. Percutaneous radiofrequency ablation for early-stage hepatocellular carcinoma as a first-line treatment: long-term results and prognostic factors in a large single-institution series. Eur Radiol 2007; 17:684–92

    PubMed  Article  Google Scholar 

  2. Lencioni R, Cioni D, Crocetti L, et al. Early-stage hepatocellular carcinoma in patients with cirrhosis: long-term results of percutaneous image-guided radiofrequency ablation. Radiology 2005; 234:961–7

    PubMed  Article  Google Scholar 

  3. Rhim H, Lim HK, Kim YS, et al. Percutaneous radiofrequency ablation with artificial ascites for hepatocellular carcinoma in the hepatic dome: initial experience. AJR Am J Roentgenol 2008; 190:91–8

    Google Scholar 

  4. Santambrogio R, Opocher E, Costa M, et al. Survival and intra-hepatic recurrences after laparoscopic radiofrequency of hepatocellular carcinoma in patients with liver cirrhosis. J Surg Oncol 2005; 89:218–25; discussion 25–6

    PubMed  Article  Google Scholar 

  5. Bruix J, Sherman M, Llovet JM, et al. Clinical management of hepatocellular carcinoma. Conclusions of the Barcelona-2000 EASL conference. European Association for the Study of the Liver. J Hepatol 2001; 35:421–30

    PubMed  Article  CAS  Google Scholar 

  6. Chinn SB, Lee FT Jr., Kennedy GD, et al. Effect of vascular occlusion on radiofrequency ablation of the liver: results in a porcine model. AJR Am J Roentgenol 2001; 176:789–95

    PubMed  CAS  Google Scholar 

  7. Kim SK, Lim HK, Ryu JA, et al. Radiofrequency ablation of rabbit liver in vivo: effect of the pringle maneuver on pathologic changes in liver surrounding the ablation zone. Korean J Radiol 2004; 5:240–9

    PubMed  Article  Google Scholar 

  8. Goldberg SN, Grassi CJ, Cardella JF, et al. Image-guided tumor ablation: standardization of terminology and reporting criteria. Radiology 2005; 235:728–39

    PubMed  Article  Google Scholar 

  9. Curley SA, Izzo F, Ellis LM, et al. Radiofrequency ablation of hepatocellular cancer in 110 patients with cirrhosis. Ann Surg 2000; 232:381–91

    PubMed  Article  CAS  Google Scholar 

  10. Machi J, Uchida S, Sumida K, et al. Ultrasound-guided radiofrequency thermal ablation of liver tumors: percutaneous, laparoscopic, and open surgical approaches. J Gastrointest Surg 2001; 5:477–89

    PubMed  Article  CAS  Google Scholar 

  11. Nicoli N, Casaril A, Marchiori L, et al. Intraoperative and percutaneous radiofrequency thermal ablation in the treatment of hepatocellular carcinoma. Chir Ital 2000; 52:29–40

    PubMed  CAS  Google Scholar 

  12. Ribeiro MA Jr., Rodrigues JJ, Habr-Gama A, et al. Radiofrequency ablation of primary and metastatic liver tumors—4 years experience. Hepatogastroenterology 2007; 54:1170–5

    PubMed  Google Scholar 

  13. Stang A, Keles H, von Seydewitz C, et al. Percutanous and intraoperative ultrasound-guided radiofrequency ablation of hepatic tumours. Ultraschall Med 2007; 28:181–8

    PubMed  Article  CAS  Google Scholar 

  14. Wood TF, Rose DM, Chung M, et al. Radiofrequency ablation of 231 unresectable hepatic tumors: indications, limitations, and complications. Ann Surg Oncol 2000; 7:593–600

    PubMed  CAS  Google Scholar 

  15. Stella M, Minuto MN, Pasqualini M, et al. Intraoperative use of radiofrequency thermoablation of liver tumors: considerations on indications and related therapeutic aspects. Ann Ital Chir 2002; 73:511–6; discussion 7

    PubMed  CAS  Google Scholar 

  16. Tepel J, Hinz S, Klomp HJ, et al. Intraoperative radiofrequency ablation (RFA) for irresectable liver malignancies. Eur J Surg Oncol 2004; 30:551–5

    PubMed  Article  CAS  Google Scholar 

  17. Kim YS, Rhim H, Lim HK, et al. Completeness of treatment in hepatocellular carcinomas treated with image-guided tumor therapies: evaluation of positive predictive value of contrast-enhanced CT with histopathologic correlation in the explanted liver specimen. J Comput Assist Tomogr 2006; 30:578–82

    PubMed  Article  Google Scholar 

  18. Chok KS, Ng KK, Poon RT, et al. Comparable survival in patients with unresectable hepatocellular carcinoma treated by radiofrequency ablation or transarterial chemoembolization. Arch Surg 2006; 141:1231–6

    PubMed  Article  Google Scholar 

  19. Scaife CL, Ng CS, Ellis LM, et al. Accuracy of preoperative imaging of hepatic tumors with helical computed tomography. Ann Surg Oncol 2006; 13:542–6

    PubMed  Article  Google Scholar 

  20. Shen SQ, Xiang JJ, Xiong CL, et al. Intraoperative radiofrequency thermal ablation combined with portal vein infusion chemotherapy and transarterial chemoembolization for unresectable HCC. Hepatogastroenterology 2005; 52:1403–7

    PubMed  Google Scholar 

  21. Dodd GD III, Frank MS, Aribandi M, et al. Radiofrequency thermal ablation: computer analysis of the size of the thermal injury created by overlapping ablations. AJR Am J Roentgenol 2001; 177:777–82

    PubMed  Google Scholar 

  22. Sasaki Y, Yamada T, Tanaka H, et al. Risk of recurrence in a long-term follow-up after surgery in 417 patients with hepatitis B- or hepatitis C-related hepatocellular carcinoma. Ann Surg 2006; 244:771–80

    PubMed  Article  Google Scholar 

Download references

Author information

Affiliations

Authors

Corresponding author

Correspondence to Hyunchul Rhim MD.

Rights and permissions

Reprints and Permissions

About this article

Cite this article

Kim, Ys., Rhim, H., Lim, H.K. et al. Intraoperative Radiofrequency Ablation for Hepatocellular Carcinoma: Long-Term Results in a Large Series. Ann Surg Oncol 15, 1862 (2008). https://doi.org/10.1245/s10434-008-9941-y

Download citation

  • Received:

  • Revised:

  • Accepted:

  • Published:

  • DOI: https://doi.org/10.1245/s10434-008-9941-y

Keywords

  • Hepatocellular carcinoma
  • Radiofrequency ablation
  • Hepatectomy
  • Complication