Skip to main content

Alterations in Manganese Superoxide Dismutase Expression in the Progression From Reflux Esophagitis to Esophageal Adenocarcinoma

Abstract

Background

Comprehensive understanding of the basic mechanisms in the progression of esophagitis, Barrett esophagus (BE), and esophageal adenocarcinoma (EAC) is urgently needed to develop a management strategy for an effective screening of BE and management of EAC. The aim of this study is to provide a detailed insight of the histology and the cellular and molecular events associated with the genesis of BE and EAC under the esophagoduodenal reflux conditions.

Methods

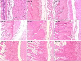
Esophagoduodenal anastomosis (EDA) was performed on rats. Animals were weighed weekly and killed after 1, 2, 3, 4, 5, and 6 months. The entire esophagi were examined for macroscopic and microscopic changes and for manganese superoxide dismutase (MnSOD) expression, and TUNEL (terminal deoxynucleotidyl transferase dUTP nick-end labeling) assay was performed.

Results

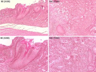
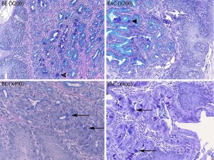
Morphological transformation from esophagitis (100% of animals) to BE (66% of animals) to EAC was observed after 3 months. There was marked loss of MnSOD expression in animals with esophagitis and BE at 1 and 2 months, with an increase in expression during the transformation to dysplasia and EAC. Increased proliferation and apoptosis was observed and reached a peak at months 1 and 2. Greatly increased levels of 8-hydroxy-deoxyguanosine was found during the progression to EAC.

Conclusions

The morphological transformation of the esophageal mucosa is an adaptive process, and it is an important foundation for the transdifferentiation of BE and cancer. The significant loss of MnSOD expression to achieve BE and then the adaptive increase in expression to achieve dysplasia and EAC during this transformation may represent a predictive marker in identifying patients who will progress from BE to EAC.

This is a preview of subscription content, access via your institution.

FIG. 1.
FIG. 2.
FIG. 3.
FIG. 4.
FIG. 5.
FIG. 6.

References

  1. Nebel OT, Fornes MF, Castell DO. Symptomatic gastroesophageal reflux—incidence and precipitating factors. Am J Dig Dis 1976; 21:953–6

    PubMed  Article  CAS  Google Scholar 

  2. Thompson WG, Heaton KW. Heartburn and globus in apparently healthy people. Can Med J Assn 1982; 126:46–8

    CAS  Google Scholar 

  3. Altorki NK, Oliveria S, Schrump DS. Epidemiology and molecular biology of Barrett’s adenocarcinoma. Semin Surg Oncol 1997; 13:270–80

    PubMed  Article  CAS  Google Scholar 

  4. Isolauri J, Luostarinen M, Isolauri E, et al. Natural course of gastroesophageal reflux disease: 17–22 year follow-up of 60 patients. Am J Gastroenterol 1997; 92:37–41

    PubMed  CAS  Google Scholar 

  5. Cameron AJ. Barrett’s esophagus: does the incidence of adenocarcinoma matter? Am J Gastroenterol 1997; 92:193–4

    PubMed  CAS  Google Scholar 

  6. Blot WJ, Devesa SS, Kneller RW, et al. Rising incidence of adenocarcinoma of the esophagus and gastric cardia. JAMA 1991; 265:1287–9

    PubMed  Article  CAS  Google Scholar 

  7. Pera M, Cameron AJ, Trastek VF, et al. Increasing incidence of adenocarcinoma of the esophagus and esophagogastric junction. Gastroenterology 1993; 104:510–3

    PubMed  CAS  Google Scholar 

  8. Farrow DC, Vaughan TL. Determinants of survival following the diagnosis of esophageal adenocarcinoma (United States). Cancer Causes Control 1996; 7:322–7

    PubMed  Article  CAS  Google Scholar 

  9. Katzka DA. Barrett’s esophagus: surveillance and treatment. Gastroenterol Clin North Am 2002; 31:481–486

    PubMed  Article  Google Scholar 

  10. Jankowski JA, Wright NA, Meltzer SJ, et al. Molecular evolution of the metaplasiadysplasia-adenocarcinoma sequence in the esophagus. Am J Pathol 1999; 154:965–73

    PubMed  CAS  Google Scholar 

  11. Whittles CE, Biddlestone LR, Burton A, et al. Apoptotic and proliferative activity in the neoplastic progression of Barrett’s oesophagus: a comparative study. J Pathol 1999; 187:535–40

    PubMed  Article  CAS  Google Scholar 

  12. Hong MK, Laskin WB, Herman BE, et al. Expansion of the Ki-67 proliferative compartment correlates with degree of dysplasia in Barretts esophagus. Cancer 1995; 75:423–9

    PubMed  Article  CAS  Google Scholar 

  13. Ouatu-Lascar R, Fitzgerald RC, Triadafilopoulos G. Differentiation and proliferation in Barrett’s esophagus and the effects of acid suppression. Gastroenterology 1999; 117:327–35

    PubMed  Article  CAS  Google Scholar 

  14. Beilstein M, Silberg D. Cellular and molecular mechanisms responsible for progression of Barrett’s metaplasia to esophageal carcinoma. Gastroenterol Clin North Am 2002; 31:461–469

    PubMed  Article  Google Scholar 

  15. Reynolds JC, Rahimi P, Hirschl D. Barrett’s esophagus: clinical characteristics. Gastroenterol Clin North Am 2002; 31:441–448

    PubMed  Article  Google Scholar 

  16. Wetscher GJ, Hinder PR, Bagchi D, et al. Free-radical scavengers prevent reflux esophagitis in rats. Dig Dis Sci 1995; 40:1292–6

    PubMed  Article  CAS  Google Scholar 

  17. Wetscher GJ, Hinder RA, Bagchi D, et al. Reflux esophagitis in humans is mediated by oxygen-derived free radicals. Am J Surg 1995; 170:552–7

    PubMed  Article  CAS  Google Scholar 

  18. Wetscher GJ, Hinder RA, Klingler P, et al. Reflux esophagitis in humans is a free radical event. Dis Esophagus 1997; 10:29–32

    PubMed  CAS  Google Scholar 

  19. Hermann B, Li Y, Ray MB, et al. Association of manganese superoxide dismutase expression with progression of carcinogenesis in Barrett esophagus. Arch Surg 2005; 140:1204–9

    PubMed  Article  CAS  Google Scholar 

  20. Jimenez P, Piazuelo E, Sanchez MT, et al. Free radicals and antioxidant systems in reflux esophagitis and Barrett’s esophagus. World J Gastroenterol 2005; 11:2697–703

    PubMed  CAS  Google Scholar 

  21. Davies KJA. Oxidative stress, antioxidant defenses, and damage removal, repair, and replacement systems. IUBMB Life 2000; 50:279–89

    PubMed  Article  CAS  Google Scholar 

  22. Olyaee M, Sontag S, Salman W, et al. Mucosal reactive oxygen species production in esophagitis and Barretts esophagus. Gut 1995; 37:168–73

    PubMed  CAS  Google Scholar 

  23. Chen XX, Yang CS. Esophageal adenocarcinoma: a review and perspectives on the mechanism of carcinogenesis and chemoprevention. Carcinogenesis 2001; 22:1119–29

    PubMed  Article  CAS  Google Scholar 

  24. Buttar NS, Wang KK, Leontovich O, et al. Chemoprevention of esophageal adenocarcinoma by COX-2 inhibitors in an animal model of Barrett’s esophagus. Gastroenterology 2002; 122:1101–12

    PubMed  Article  CAS  Google Scholar 

  25. Chen XX, Ding YW, Yang GY, et al. Oxidative damage in an esophageal adenocarcinoma model with rats. Carcinogenesis 2000; 21:257–63

    PubMed  Article  CAS  Google Scholar 

  26. Goldstein SR, Yang GY, Curtis SK, et al. Development of esophageal metaplasia and adenocarcinoma in a rat surgical model without the use of a carcinogen. Carcinogenesis 1997; 18:2265–70

    PubMed  Article  CAS  Google Scholar 

  27. Goldstein SR, Yang GY, Curtis SK, et al. Development of esophageal metaplasia and adenocarcinoma in a rat surgical model without the use of a carcinogen. Carcinogenesis 1997; 18:2265–70

    PubMed  Article  CAS  Google Scholar 

  28. Li Y, Wo JM, Ellis S, et al. A novel external esophageal perfusion model for reflux esophageal injury. Dig Dis Sci 2006; 51:527–32

    PubMed  Article  Google Scholar 

  29. Ismail-Beigi F, Horton PF, Pope CE. Histological consequences of gastroesophageal reflux in man. Gastroenterology 1970; 58:163–74

    PubMed  CAS  Google Scholar 

  30. Li Y, Wo JM, Cai L, et al. Association of metallothionein expression and lack of apoptosis with progression of carcinogenesis in Barrett’s esophagus. Exp Biol Med (Maywood) 2003; 228:286–92

    CAS  Google Scholar 

  31. Kang YJ, Li Y, Sun X, et al. Antiapoptotic effect and inhibition of ischemia/reperfusion-induced myocardial injury in metallothionein-overexpressing transgenic mice. Am J Pathol 2003; 163:1579–86

    PubMed  CAS  Google Scholar 

  32. Hetzel DJ, Dent J, Reed WD, et al. Healing and relapse of severe peptic esophagitis after treatment with omeprazole. Gastroenterology 1988; 95:903–12

    PubMed  CAS  Google Scholar 

  33. Epperly MW, Kagan VE, Sikora CA, et al. Manganese superoxide dismutase plasmid/liposome (MnSOD-PL) administration protects mice from esophagitis associated with fractionated radiation. Int J Cancer 2001; 20;96:221–31

    Google Scholar 

  34. Stickle RL, Epperly MW, Klein E, et al. Prevention of irradiation-induced esophagitis by plasmid/liposome delivery of the human manganese superoxide dismutase transgene. Radiat Oncol Invest 1999; 7:204–17

    Article  CAS  Google Scholar 

  35. Jankowski JA, Wright NA, Meltzer SJ, et al. Molecular evolution of the metaplasiadysplasia-adenocarcinoma sequence in the esophagus. Am J Pathol 1999; 154:965–73

    PubMed  CAS  Google Scholar 

  36. Jankowski JA, Harrison RF, Perry I, et al. Barrett’s metaplasia. Lancet 2000; 356:2079–85

    PubMed  Article  CAS  Google Scholar 

  37. Chen XX, Mikhail SS, Ding YW, et al. Effects of vitamin E and selenium supplementation on esophageal adenocarcinogenesis in a surgical model with rats. Carcinogenesis 2000; 21:1531–6

    PubMed  Article  CAS  Google Scholar 

  38. Xu XJ, LoCicero J, Macri E, et al. Barrett’s esophagus and associated adenocarcinoma in a mouse surgical model. J Surg Res 2000; 88:120–4

    PubMed  Article  CAS  Google Scholar 

  39. Goldstein SR, Yang GY, Curtis SK, et al. Development of esophageal metaplasia and adenocarcinoma in a rat surgical model without the use of a carcinogen. Carcinogenesis 1997; 18:2265–70

    PubMed  Article  CAS  Google Scholar 

  40. Jankowski JA, Harrison RF, Perry I, et al. Barrett’s metaplasia. Lancet 2000; 356:2079–85

    PubMed  Article  CAS  Google Scholar 

  41. Jankowski JA, Wright NA, Meltzer SJ, et al. Molecular evolution of the metaplasiadysplasia-adenocarcinoma sequence in the esophagus. Am J Pathol 1999; 154:965–73

    PubMed  CAS  Google Scholar 

  42. Hanahan D, Weinberg RA. The hallmarks of cancer. Cell 2000; 100:57–70

    PubMed  Article  CAS  Google Scholar 

Download references

Author information

Affiliations

Authors

Corresponding author

Correspondence to Robert C. G. Martin MD.

Rights and permissions

Reprints and Permissions

About this article

Cite this article

Li, Y., Wo, J.M., Su, R.R. et al. Alterations in Manganese Superoxide Dismutase Expression in the Progression From Reflux Esophagitis to Esophageal Adenocarcinoma. Ann Surg Oncol 14, 2045–2055 (2007). https://doi.org/10.1245/s10434-007-9387-7

Download citation

  • Received:

  • Accepted:

  • Published:

  • Issue Date:

  • DOI: https://doi.org/10.1245/s10434-007-9387-7

Keywords

  • Superoxide dismutase
  • Barrett esophagus
  • Esophageal adenocarcinoma