Skip to main content

Fabrication of Three-Dimensional Bioactive Composite Scaffolds for Hemostasis and Wound Healing

Abstract

Fabrication of 3D composite scaffolds was carried out by lyophilization of variable concentrations of collagen and chitosan gel solutions. Fibrinogen and thrombin aerosol were deposited over the surface of scaffolds to enhance hemostasis and wound healing. Composite scaffolds were characterized using differential scanning calorimetry, thermogravimetric analysis, and Fourier-transform infrared spectrophotometer to ascertain the aerosol deposition and stability. Scanning electron microscope showed multilayered porosity with pore size of ~30 μm and mushroom-like fibril growth of aerosol. A detailed investigation by surface plasmon resonance confirmed higher binding affinity of collagen toward the human blood platelets and erythrocytes in comparison to chitosan and was found to increase with the increase in blood cell concentration from 480.8 to 886.4 RU for erythrocytes. Scaffolds showed higher binding response for platelets than erythrocytes, while fibrinogen and thrombin showed no or limited interaction. Highest blood sorption of 83 ± 4% was observed in case of aerosol deposited scaffolds. Aerosol deposited scaffolds showed minimum clotting time of 20 ± 3 s and bleeding time of 38 ± 4 s, which was significantly lower compared to the scaffolds without aerosol treatment. Aerosol deposited composite scaffolds with 2:1 concentration of chitosan/collagen showed complete wound contraction by day 14, while 50% was observed in case of the control group. In vivo studies revealed that chitosan had a crucial role in the inflammatory phase, while collagen played an important role in the proliferation and maturation phase. The present study suggests that the fabricated 3D composite scaffolds with bioactive moieties may be a potential candidate for enhanced hemostasis and wound healing applications.

Graphical abstract

This is a preview of subscription content, access via your institution.

Fig. 1
Fig. 2
Fig. 3
Fig. 4
Fig. 5
Fig. 6
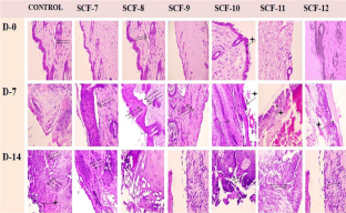
Fig. 7
Fig. 8

References

  1. Valdez C, Sarani B, Young H, Amdur R, Dunne J, Chawla LS. Timing of death after traumatic injury—a contemporary assessment of the temporal distribution of death. J Surg Res. 2016;200(2):604–9.

    Article  Google Scholar 

  2. Kunio NR, Riha GM, Watson KM, Differding JA, Schreiber MA, Watters JM. Chitosan based advanced haemostatic dressing is associated with decreased blood loss in a swine uncontrolled haemorrhage model. Am J Surg. 2013;205(5):505–10.

    CAS  Article  Google Scholar 

  3. Seyednejad H, Imani M, Jamieson T, Seifalian AM, Brown EE, Laborie MP, et al. Topical haemostatic agents. Br J Surg. 2008;95(10):1197–225.

    CAS  Article  Google Scholar 

  4. Peng T. Biomaterials for hemorrhage control. Trends Biomater Artif Organs. 2010;24(1):27–68.

    CAS  Google Scholar 

  5. Gousia Sheikh QM, Majeed S, Hassan I. Comparison of levels of serum copper, zinc, albumin, globulin and alkaline phosphatase in psoriatic patients and controls: a hospital based case control study. Indian Dermatol Online J. 2015;6(2):81.

    Article  Google Scholar 

  6. Björk J, Hugli TE, Smedegård G. Microvascular effects of anaphylatoxins C3a and C5a. J Immunol. 1985;134(2):1115–9.

    PubMed  Google Scholar 

  7. Clark RA, editor. The molecular and cellular biology of wound repair: Springer Science & Business Media; 2013.

  8. Leibovich SJ, Ross R. The role of the macrophage in wound repair. A study with hydrocortisone and antimacrophage serum. Am J Pathol. 1975;78(1):71.

    CAS  PubMed  PubMed Central  Google Scholar 

  9. Gómez-Guillén MC, Giménez B, López-Caballero MA, Montero MP. Functional and bioactive properties of collagen and gelatin from alternative sources: a review. Food Hydrocoll. 2011;25(8):1813–27.

    Article  Google Scholar 

  10. Morishige H, Sugahara T, Nishimoto S, Muranaka A, Ohno F, Shiraishi R, et al. Immunostimulatory effects of collagen from jellyfish in vivo. Cytotechnology. 2011;63(5):481–92.

    Article  Google Scholar 

  11. Fan J, Zhuang Y, Li B. Effects of collagen and collagen hydrolysate from jellyfish umbrella on histological and immunity changes of mice photoaging. Nutrients. 2013;5(1):223–33.

    CAS  Article  Google Scholar 

  12. Alemán A, Gómez-Guillén MC, Montero P. Identification of ace-inhibitory peptides from squid skin collagen after in vitro gastrointestinal digestion. Food Res Int. 2013;54(1):790–5.

    Article  Google Scholar 

  13. Barzideh Z, Latiff AA, Gan CY, Abedin M, Alias AK. ACE inhibitory and antioxidant activities of collagen hydrolysates from the ribbon jellyfish (Chrysaora sp.). Food Technol Biotechnol. 2014;52(4):495–504.

    CAS  Article  Google Scholar 

  14. Zhuang Y, Sun L, Zhang Y, Liu G. Antihypertensive effect of long-term oral administration of jellyfish (Rhopilema esculentum) collagen peptides on renovascular hypertension. Mar Drugs. 2012;10(2):417–26.

    CAS  Article  Google Scholar 

  15. Ennaas N, Hammami R, Gomaa A, Bédard F, Biron É, Subirade M, et al. Collagencin, an antibacterial peptide from fish collagen: activity, structure and interaction dynamics with membrane. Biochem Biophys Res Commun. 2016;473(2):642–7.

    CAS  Article  Google Scholar 

  16. Ennaas N, Hammami R, Beaulieu L, Fliss I. Purification and characterization of four antibacterial peptides from protamex hydrolysate of Atlantic mackerel (Scomber scombrus) by-products. Biochem Biophys Res Commun. 2015;462(3):195–200.

    CAS  Article  Google Scholar 

  17. Chi CF, Cao ZH, Wang B, Hu FY, Li ZR, Zhang B. Antioxidant and functional properties of collagen hydrolysates from Spanish mackerel skin as influenced by average molecular weight. Molecules. 2014;19(8):11211–30.

    Article  Google Scholar 

  18. Asserin J, Lati E, Shioya T, Prawitt J. The effect of oral collagen peptide supplementation on skin moisture and the dermal collagen network: evidence from an ex vivo model and randomized, placebo-controlled clinical trials. J Cosmet Dermatol. 2015;14(4):291–301.

    Article  Google Scholar 

  19. Addad S, Exposito JY, Faye C, Ricard-Blum S, Lethias C. Isolation, characterization and biological evaluation of jellyfish collagen for use in biomedical applications. Mar Drugs. 2011;9(6):967–83.

    CAS  Article  Google Scholar 

  20. Lim CK, Halim AS. Biomedical-grade chitosan in wound management and its biocompatibility in vitro. IntechOpen Limited, London. Biopolymers. 2010:19–33.

  21. Venkatesan J, Vinodhini PA, Sudha PN, Kim SK. Chitin and chitosan composites for bone tissue regeneration. Adv Food Nutr Res. 2014;73:59–81.

    CAS  Article  Google Scholar 

  22. Ahmed S, Ikram S. Chitosan based scaffolds and their applications in wound healing. Achiev Life Sci. 2016;10(1):27–37.

    Google Scholar 

  23. Liu L, Wen H, Rao Z, Zhu C, Liu M, Min L, et al. Preparation and characterization of chitosan-collagen peptide/oxidized konjac glucomannan hydrogel. Int J Biol Macromol. 2018;108:376–82.

    CAS  Article  Google Scholar 

  24. Zhu X, Zhou X, Yi J, Tong J, Wu H, Fan L. Preparation and biological activity of quaternized carboxymethyl chitosan conjugated with collagen peptide. Int J Biol Macromol. 2014;70:300–5.

    CAS  Article  Google Scholar 

  25. Zhang C, Yang X, Hu W, Han X, Fan L, Tao S. Preparation and characterization of carboxymethyl chitosan/collagen peptide/oxidized konjac composite hydrogel. Int J Biol Macromol. 2020;149:31–40.

    CAS  Article  Google Scholar 

  26. De Moerloose P, Casini A, Neerman-Arbez M. Congenital fibrinogen disorders: an update. Semin Thromb Hemost. 2013;39(06):585–995.

    Article  Google Scholar 

  27. Jiang Y, Doolittle RF. The evolution of vertebrate blood coagulation as viewed from a comparison of puffer fish and sea squirt genomes. Proc Natl Acad Sci. 2003;100(13):7527–32.

    CAS  Article  Google Scholar 

  28. Rydzak J, Kaczmarek R, Czerwinski M, Lukasiewicz J, Tyborowska J. PLoS One. 2015;10(1):e0115437.

    Article  Google Scholar 

  29. de Lima JM, Sarmento RR, de Souza JR, Brayner FA, Feitosa APS, Padilha R, et al. Evaluation of hemagglutination activity of chitosan nanoparticles using human erythrocytes. Biomed Res Int. 2015;247965:6. https://doi.org/10.1155/2015/247965.

  30. García-Manzano A, González-Llaven J, Lemini C, Rubio-Póo C. Standardization of rat blood clotting tests with reagents used for humans. Proc West Pharmacol Soc. 2001;44:153–155.

  31. Quinn JG, O’Neill S, Doyle A, McAtamney C, Diamond D, MacCraith BD, et al. Development and application of surface plasmon resonance-based biosensors for the detection of cell–ligand interactions. Anal Biochem. 2000;281(2):135–43.

    CAS  Article  Google Scholar 

  32. Stavitsky AB. Micromethods for the study of proteins and antibodies. I. Procedure and general applications of hemagglutination and hemagglutination-inhibition reactions with tannic acid and protein-treated red blood cells. J Immunol. 1954;72(5):360–7.

    CAS  PubMed  Google Scholar 

  33. Bettini R, Romani AA, Morganti MM, Borghetti AF. Physicochemical and cell adhesion properties of chitosan films prepared from sugar and phosphate containing solutions. Eur J Pharm Biopharm. 2008;68:74–81.

    CAS  Article  Google Scholar 

  34. Vidinský B, Gál P, Toporcer T, Longauer F, Lenhardt Ľ, Bobrov N, et al. Histological study of the first seven days of skin wound healing in rats. Acta Vet Brno. 2006;75:197–202.

    Article  Google Scholar 

Download references

Acknowledgments

The above research work was financially supported under the project TD/INM-321 by Institute of Nuclear Medicine and Allied Sciences, Defence Research and Development Organization (INMAS-DRDO), New Delhi, India.

Author information

Affiliations

Authors

Corresponding author

Correspondence to Amit Tyagi.

Ethics declarations

Conflicts of interest

The authors declare no competing interests.

Additional information

Publisher’s Note

Springer Nature remains neutral with regard to jurisdictional claims in published maps and institutional affiliations.

Rights and permissions

Reprints and Permissions

About this article

Verify currency and authenticity via CrossMark

Cite this article

Tripathi, D., Sharma, A., Tyagi, P. et al. Fabrication of Three-Dimensional Bioactive Composite Scaffolds for Hemostasis and Wound Healing. AAPS PharmSciTech 22, 138 (2021). https://doi.org/10.1208/s12249-021-02010-0

Download citation

  • Received:

  • Accepted:

  • Published:

  • DOI: https://doi.org/10.1208/s12249-021-02010-0

KEY WORDS

  • hemostasis
  • biomaterials
  • surface plasmon resonance
  • chitosan
  • collagen