Abstract
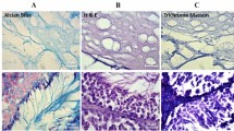
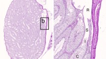
Testicular compartment that includes rete testis and the adjacent transitional zone (TZ) of seminiferous tubules has been examined only by light and electron microscopy until now. However, recent data suggest that adult Sertoli cells (SCs) located in this compartment are capable to commence active proliferation both in vitro and in vivo, and hence, are not completely differentiated. The present study is first to investigate mouse rete testis and TZ during the postembryonic development and is intended to determine new protein markers for cells of this compartment, the state of their differentiation, and also their proliferative activity. It was demonstrated that rete testis cells were stained for SC marker Wt1 transiently, until day 25 of postembryonic development, then the staining disappeared. Another SC marker Dmrt1 that involved in the process of SC differentiation was not expressed in the rete testis cells during the postnatal development and in the adult state. One more feature that distinguished rete testis cells from SCs was lower proliferative activity of rete testis cells in 2–6 days old mice. SCs from TZ expressed Wt1 at all ages examined. However, at earlier ages, they were heterogeneous on Dmrt1 expression, and only by day 25, Dmrt1 expression was completely disappeared from TZ SCs. It is interesting that on day 18 when SCs in seminiferous tubules complete differentiation and exit from cell cycle proliferation of TZ SCs was at significantly higher level. It is also showed that in 3D culture, Wt1+ cells isolated from rete testis and TZ of 60 days old GFP male mice were capable to form seminiferous tubules de novo in cooperation with testicular cells from 6 days old mice.
Similar content being viewed by others
Explore related subjects
Discover the latest articles and news from researchers in related subjects, suggested using machine learning.References
Aiyama, Y., Tsunekawa, N., Kishi, K., Kawasumi, M., Suzuki, H., Kanai-Azuma, M., Kurohmaru, M., and Kanai, Y., A niche for GFRα1-positive spermatogonia in the terminal segments of the seminiferous tubules in hamster testes, Stem Cells, 2015, vol. 33, no. 9, pp. 2811–2824.
Cupp, A.S. and Skinner, M.K., Embryonic Sertoli cell differentiation, in Sertoli Cell Biology, Skinner, M.K. and Griswold, M.D., Eds., San Diego: Elsevier Academic Press, 2005, pp. 42–70.
Dym, M., The fine structure of monkey Sertoli cells in the transitional zone at the junction of the seminiferous tubules with the tubuli recti, Am. J. Anat., 1974, vol. 140, no. 1, pp. 1–25.
Figueiredo, A.F., Franca, L.R., Hess, R.A., and Costa, G.M., Sertoli cells are capable of proliferation into adulthood in the transition region between the seminiferous tubules and the rete testis in Wistar rats, Cell Cycle, 2016, vol. 15, no. 18, pp. 2486–2496.
Karl, J. and Capel, B., Sertoli cells of the mouse testis originate from the coelomic epithelium, Dev. Biol., 1998, vol. 203, no. 2, pp. 323–333.
Kim, S.L., Bardwell, V.J., and Zarkower, D., Cell typeautonomous and non-autonomous requirements for Dmrt1 in postnatal testis differentiation, Dev. Biol., 2007, vol. 307, no. 2, pp. 314–327.
Kulibin, A.Y. and Malolina, E.A., Only a small population of adult Sertoli cells actively proliferates in culture, Reproduction, 2016, vol. 152, no. 4, pp. 271–281.
Matson, C.K., Murphy, M.W., Sarver, A.L., Griswold, M.D., Bardwell, V.J., and Zarkower, D., DMRT1 prevents female reprogramming in the postnatal mammalian testis, Nature, 2011, vol. 476, pp. 101–104.
Minkina, A., Matson, C.K., Lindeman, R.E., et al., DMRT1 protects male gonadal cells from retinoiddependent sexual transdifferentiation, Dev. Cell, 2014, vol. 29, no. 5, pp. 511–520.
Nykänen, M., Fine structure of the transitional zone of the rat seminiferous tubule, Cell Tissue Res., 1979, vol. 198, no. 3, pp. 441–454.
Raitsina, S.S., Spermatogenez i strukturnye osnovy ego regulyatsii (Spermatogenesis and Structural Bases of Its Regulation), Moscow: Nauka, 1985.
Raymond, C.S., Murphy, M.W., O’Sullivan, M.G., et al., Dmrt1, a gene related to worm and fly sexual regulators, is required for mammalian testis differentiation, Genes Dev., 2000, vol. 14, no. 20, pp. 2587–2595.
Sharpe, R.M., McKinnell, C., Kivlin, C., and Fisher, J.S., Proliferation and functional maturation of Sertoli cells, and their relevance to disorders of testis function in adulthood, Reproduction, 2003, vol. 125, no. 6, pp. 769–784.
Tung, P.S. and Fritz, I.B., Interactions of Sertoli cells with myoid cells in vitro, Biol. Reprod., 1980, vol. 23, no. 1, pp. 207–217.
Wrobel, K.H., Schilling, E., and Zwack, M., Postnatal development of the connexion between tubulus seminiferous and tubulus rectus in the bovine testis, Cell Tissue Res., 1986, vol. 246, no. 2, pp. 387–400.
Author information
Authors and Affiliations
Corresponding author
Additional information
Original Russian Text © E.A. Malolina, A.Yu. Kulibin, 2017, published in Ontogenez, 2017, Vol. 48, No. 6, pp. 450–458.
Rights and permissions
About this article
Cite this article
Malolina, E.A., Kulibin, A.Y. Rete testis and the adjacent seminiferous tubules during postembryonic development in mice. Russ J Dev Biol 48, 385–392 (2017). https://doi.org/10.1134/S1062360417060029
Received:
Accepted:
Published:
Issue Date:
DOI: https://doi.org/10.1134/S1062360417060029


