Abstract
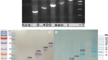
Brucella melitensis Rev 1 organisms were salt-extracted and the cell surface proteins (BCSPs) were found to be mainly 39–42 kDa (group 2 porin proteins) in addition to 31.6, 32.5, 58.5 and 14.7 kDa proteins. DEAE-Sephadex anion-exchange column chromatography of BCSPs yielded fraction 1, which contained one major protein (39.8–42.0 kDa) and a minor protein (31.6 kDa). All these proteins were found to be immunogenic by Western blotting. Fraction 1 along with monophosphoryl lipid A and trehalose dicorynomycolate adjuvants as well as BCSPs alone induced significant (p ≤ 0.05) protection in BALB/c mice. Both these immunizing agents produced almost equivalent protection to liveB. melitensis Rev 1 vaccine at 15 and 30 days post challenge. Lymphocyte stimulation test as well as delayed-type hypersensitivity reaction revealed that both these preparations induced cell-mediated immune response. These preparations also induced humoral immune response as indicated by indirect ELISA. Neither of the immune responses was significantly less (p ≤ 0.05) than that with liveB. melitensis Rev 1 vaccine, except that their duration was short.
Similar content being viewed by others
Explore related subjects
Discover the latest articles and news from researchers in related subjects, suggested using machine learning.Author information
Authors and Affiliations
Rights and permissions
About this article
Cite this article
Mahajan, N., Kulshreshtha, R., Malik, G. et al. Immunogenicity of Major Cell Surface Protein(s) of Brucella melitensis Rev 1. Vet Res Commun 29, 189–199 (2005). https://doi.org/10.1023/B:VERC.0000047500.20855.7a
Issue Date:
DOI: https://doi.org/10.1023/B:VERC.0000047500.20855.7a


