Skip to main content

Management of Tibial Shaft Fractures Distal to TKA Prosthesis by Intramedullary Nail: A Report of Three Cases

Abstract

Introduction

Diaphyseal tibial fractures distal to a well-fixed tibial component although rare present a significant challenge and optimal treatment remains controversial. Displaced periprosthetic tibial shaft fractures are ideally treated with open reduction internal fixation with plate osteosynthesis. However, this treatment method is associated with weight-bearing restrictions, which can be difficult for elderly patients with multiple comorbidities and balance impairment. We present our experience of internal fixation with an intramedullary nail that uses an inferior entry point, standard intramedullary tibial nail, and conventional instrumentation.

Materials and methods

Between 2017 and 2018, three patients with acute tibial shaft fractures distal to a TKA (Felix Type 3A) were treated with an intramedullary nail. Preoperative planning involved assessing proximal tibia to ensure adequate room for implant and instrumentation. The average patient age was 66.3 years (range 59–72 years) and all patients were males. All the patients sustained fractures of distal tibial and fibula diaphysis, after a road traffic accident. There were no complications intraoperatively, and all procedures were completed uneventfully. One patient underwent additional fixation of the fibula.

Results

All patients achieved a radiological fracture union after an average of 20.6 weeks. There were no fixation failures, or nonunions postoperatively. There were no new symptoms relative to the TKA that could be attributed to the tibial nailing procedure.

Conclusion

We recommend that this technique can be used primarily for this fracture pattern distal to a TKA, provided there is adequate space to accommodate the nail and instrumentation proximally anterior to the tibial tray.

Graphic abstract

This is a preview of subscription content, access via your institution.

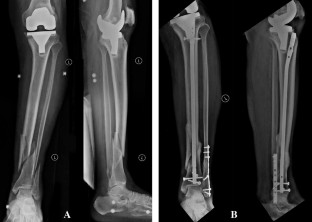
Fig. 1
Fig. 2
Fig. 3
Fig. 4
Fig. 5

References

  1. Kurtz, S.M., Lau, E., Ong, K., Zhao, K., Kelly, M., & Bozic, K.J. (2009). Future young patient demand for primary and revision joint replacement: National projections from 2010 to 2030. In Clinical Orthopaedics and Related Research, vol. 467 (pp. 2606–2612). New York: Springer. https://doi.org/10.1007/s11999-009-0834-6

  2. Frost and Sullivan. (2011). Overview of Orthopedic Joint Replacement Market in India [Internet]. https://store.frost.com/overview-of-orthopedic-joint-replacement-market-in-india.html. Accessed 5 Mar 2020.

  3. Felix, N.A., Stuart, M.J., & Hanssen, A.D. (1997). Periprosthetic fractures of the tibia associated with total knee arthroplasty. In Clinical Orthopaedics and Related Research, vol. 345 (pp. 113–124). New York: Springer.

  4. Hanssen, A.D., & Stuart, M.J. (2000). Treatment of periprosthetic tibial fractures. In Clinical Orthopaedics and Related Research, vol. 380 (pp. 97–98). Lippincott Williams and Wilkins.

  5. Douglas, K. D., & Robert, T. (1993). Complications of Immobilization and Part 1: Musculoskeletal and cardiovascular complications. Canadian Family Physician, 39(1), 1428–1437.

    Google Scholar 

  6. Haller, J. M., Kubiak, E. N., Spiguel, A., Gardner, M. J., & Horwitz, D. S. (2014). Intramedullary nailing of tibial shaft fractures distal to total knee arthroplasty. Journal of Orthopaedic Trauma, 28(12), e296–300.

    Article  Google Scholar 

  7. Bedi, A., Le, T. T., & Karunakar, M. A. (2006). Surgical treatment of nonarticular distal tibia fractures. Journal of the American Academy of Orthopaedic Surgeons, 14, 406–416.

    Article  Google Scholar 

  8. Vallier, H. A., Cureton, B. A., & Patterson, B. M. (2011). Randomized, prospective comparison of plate versus intramedullary nail fixation for distal tibia shaft fractures. Journal of Orthopaedic Trauma, 25(12), 736–741.

    Article  Google Scholar 

  9. Mao, Z., Wang, G., Zhang, L., Zhang, L., Chen, S., Du, H., et al. (2015 Jun 16). Intramedullary nailing versus plating for distal tibia fractures without articular involvement: A meta-analysis. Journal of Orthopaedic Surgery and Research, 10(1), 95.

    Article  Google Scholar 

  10. Vallier, H. A. (2016). Current evidence: Plate versus Intramedullary nail for fixation of distal tibia fractures in 2016. Journal of Orthopaedic Trauma, 30(11), S2–6.

    Article  Google Scholar 

  11. Doulens, K. M., Joshi, A. B., & Wagner, R. A. (2007). Tibial fracture after total knee arthroplasty treated with retrograde intramedullary fixation. The American Journal of Orthopedics (Belle Mead NJ), 36(7), E111–E113.

    Google Scholar 

  12. Zafra-Jiménez, J. A., Pretell-Mazzini, J., & Resines-Erasun, C. (2011). Distal tibial fracture below a total knee arthroplasty: Retrograde intramedullary nailing as an alternative method of treatment: A case report. Journal of Orthopaedic Trauma, 25(7), e74–e76.

    Article  Google Scholar 

  13. Greco, N., Goyal, K., & Tarkin, I. (2015). Intragrade intramedullary nailing of an open tibial shaft fracture in a patient with concomitant ipsilateral total knee arthroplasty. The American Journal of Orthopedics (Belle Mead NJ)., 44(3), E81–E86.

    Google Scholar 

  14. Woyski, D., & Emerson, J. (2016). Suprapatellar nailing of Tibial shaft fractures in total knee arthroplasty. Journal of Orthopaedic Trauma, 30(12), e409–e413.

    Article  Google Scholar 

Download references

Author information

Affiliations

Authors

Corresponding author

Correspondence to A. Devendra.

Ethics declarations

Conflict of Interest

The authors report no conflicts of interest. The authors alone are responsible for the content and writing of this article.

Ethical standard statement

Ethical committee approval was obtained for this study.

Informed consent

All the three patients were informed about the possibility of sending their anonymised details for publication and consent was obtained.

Additional information

Publisher’s Note

Springer Nature remains neutral with regard to jurisdictional claims in published maps and institutional affiliations.

Rights and permissions

Reprints and Permissions

About this article

Verify currency and authenticity via CrossMark

Cite this article

Devendra, A., Gupta, N.P., Zackariya Jaffrulah, M. et al. Management of Tibial Shaft Fractures Distal to TKA Prosthesis by Intramedullary Nail: A Report of Three Cases. JOIO 54, 901–908 (2020). https://doi.org/10.1007/s43465-020-00142-2

Download citation

  • Received:

  • Accepted:

  • Published:

  • Issue Date:

  • DOI: https://doi.org/10.1007/s43465-020-00142-2

Keywords

  • Total knee arthroplasty
  • Tibia fracture
  • Periprosthetic fracture
  • Intramedullary nailing