Skip to main content

Quality of Life Evaluation Following Limb Lengthening Surgery in Patients with Achondroplasia

Abstract

Background

The primary objective of this study was to evaluate the quality of life following limb lengthening surgery in patients with achondroplasia. The complications and different lengthening techniques have and effects on mid-term results were also investigated.

Methods

We performed a retrospective, multicenter study by evaluating the records of patients with achondroplasia operated in our clinic between 1999 and 2014 for limb lengthening with a minimum follow-up of 3 years. Forty nine patients were underwent bilateral lower limb lengthening surgery and 21 of 49 patients underwent bilateral humerus lengthening surgery. Patients were evaluated by the Pediatric Quality of Life Inventory (PedsQL) 4.0 Generic Core Scales to assess the health-related quality of life (HRQOL) of children. Twenty patients with achondroplasia who had no lengthening surgery history were also evaluated with the PedsQL score as the control group.

Results

The average age at the time of first surgery was 6.17 years. The average follow-up period was 100.2 months. The average age at the time of study 14.70 ± 2.44 (11–18) years. There were significant differences between the patients with humeral lengthening and patients who did not undergo humeral lengthening in all scores. Transient complications had minimal effects on scores. Although all scores in the operated group were higher than non-operated patients with achondroplasia, there were no significant differences.

Conclusion

Quality of life was significantly improved as a result of humerus lengthening surgery of patients with achondroplasia, despite minor complications compared with Lower limb lengthening surgery.

Level of Evidence

Level III, case control study.

This is a preview of subscription content, access via your institution.

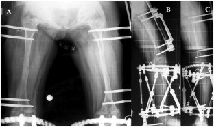
Fig. 1
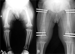
Fig. 2
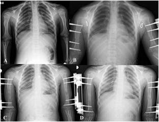
Fig. 3
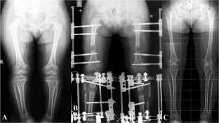
Fig. 4
Fig. 5

References

  1. Paley, D. (1998). Current techniques of limb lengthening. Journal of Pediatric Orthopedics, 8, 73–92.

    Article  Google Scholar 

  2. Cattaneo, R., Villa, A., Catagni, M., & Tentori, L. (1988). Limb lengthening in achondroplasia by Ilizarov’s method. International Orthopaedics, 2, 173–179.

    Article  Google Scholar 

  3. Lavini, F., Renzi-Brivio, L., & de Bastiani, G. (1990). Psychologic, vascular, and physiologic aspects of lower limb lengthening in achondroplastics. Clinical Orthopaedics and Related Research, 250, 138–142.

    Google Scholar 

  4. Varni, J. W., Seid, M., & Kurtin, P. S. (2001). PedsQL (TM) 4.0: Reliability and validity of the pediatric quality of life Inventory (TM) Version 4.0 generic core scales in healthy and patient populations. Medical Care, 39, 800–812.

    CAS  Article  Google Scholar 

  5. Varni, J. W., Seid, M., & Rode, C. A. (1999). The PedsQL: Measurement model for the Pediatric Quality of Life Inventory. Medical Care, 37, 126–139.

    CAS  Article  Google Scholar 

  6. Caton, J. (1991). Treatment of length discrepancies in the lower limbs and small subjects in children and adolescents. Revue de Chirurgie Orthopédique, 77(Suppl.I), 31–80.

    Google Scholar 

  7. Kocaoğlu, M., Bilen, F. E., Dikmen, G., Balci, H. I., & Eralp, L. (2014). Simultaneous bilateral lengthening of femora and tibiae in achondroplastic patients. Acta Orthopaedica et Traumatologica Turcica, 48, 157–163.

    Article  Google Scholar 

  8. Kim, S. J., Agashe, M. V., Song, S. H., Choi, H. J., Lee, H., & Song, H. R. (2012). Comparison between upper and lower limb lengthening in patients with achondroplasia: A retrospective study. Journal of Bone and Joint Surgery British Volume, 94, 128–133.

    Article  Google Scholar 

  9. Yun, A. G., Severino, R., & Reinker, K. (2000). Attempted limb lengthening beyond twenty percent of the initial bone length: Results and complications. Journal of Pediatric Orthopedics, 20, 151–159.

    CAS  PubMed  Google Scholar 

  10. Vargas Barreto, B., Caton, J., Merabet, Z., Panisset, J. C., & Pracros, J. P. (2007). Complications of Ilizarov leg lengthening: A comparative study between patients of leg length discrepancy and short stature. International Orthopaedics, 31, 587–591.

    CAS  Article  Google Scholar 

  11. Balci, H. I., Kocaoglu, M., Sen, C., Eralp, L., Batibay, S. G., & Bilsel, K. (2015). Bilateral humeral lengthening in achondroplasia with unilateral external fixators: Is it safe and does it improve daily life? The Bone and Joint Journal, 97, 1577–1581.

    Article  Google Scholar 

  12. Kim, S. J., Balce, G. C., Agashe, M. V., Song, S. H., & Song, H. R. (2012). Is bilateral lower limb lengthening appropriate for achondroplasia?: Midterm analysis of the complications and quality of life. Clinical Orthopaedics and Related Research, 470(2), 616–621.

    Article  Google Scholar 

  13. Matsushita, M., Kitoh, H., Mishima, K., Yamashita, S., Haga, N., Fujiwara, S., et al. (2019). Physical, mental, and social problems of adolescent and adult patients with achondroplasia. Calcified Tissue International, 104, 64–72.

    Article  Google Scholar 

  14. Dinleyici, M., Çarman, K. B., Özdemir, C., Harmancı, K., Eren, M., Kirel, B., et al. (2019). Quality-of-life evaluation of healthy siblings of children with chronic illness. 37(1), 34–42.Balkan Medical Journal

    PubMed  PubMed Central  Google Scholar 

  15. Varni, J. W., & Limbers, C. A. (2009). The PedsQL 4.0 generic core scales young adult version: Feasibility, reliability and validity in a university student population. Journal of Health Psychology, 14, 611–622.

    Article  Google Scholar 

Download references

Acknowledgements

Authors thank all siblings and parents of children with a chronic disease for their voluntarily participation.

Funding

There is no funding source.

Author information

Affiliations

Authors

Corresponding author

Correspondence to Serkan Bayram.

Ethics declarations

Conflict of interest

The author(s) declared no potential conflicts of interest with respect to the research, authorship, and/or publication of this article.

Ethical standard statement

Ethical approval was given by the institutional review board.

Informed consent

The procedures were explained in detail and written informed consent was obtained from all patients.

Additional information

Publisher's Note

Springer Nature remains neutral with regard to jurisdictional claims in published maps and institutional affiliations.

Rights and permissions

Reprints and Permissions

About this article

Verify currency and authenticity via CrossMark

Cite this article

Batıbay, S.G., Balcı, H.İ., Bayram, S. et al. Quality of Life Evaluation Following Limb Lengthening Surgery in Patients with Achondroplasia. JOIO 54, 39–46 (2020). https://doi.org/10.1007/s43465-020-00127-1

Download citation

  • Received:

  • Accepted:

  • Published:

  • Issue Date:

  • DOI: https://doi.org/10.1007/s43465-020-00127-1

Keywords

  • Congenital short extremity
  • Lengthening rhythm
  • Congenital femoral deficiency
  • Congenital tibia pseudarthrosis
  • Quality of callus