Abstract
Simple renal cysts are a common finding during abdominal imaging assessment. The incidence increases with age and it is higher in male gender. Parapelvic cysts are a subset of simple cysts that arise within the renal parenchyma, adjacent to the renal sinus, characterized by being generally single, larger, and incompletely surrounded by renal parenchyma. Noteworthy, parapelvic cysts are a rare and understudied condition which, although considered clinically insignificant due to the absence of influence on renal function, still have a controversial aetiopathogenesis. On the other hand, urological management and differential diagnosis have been thoroughly investigated. The aim of our review is to provide an overall vision on this rare condition, usually misdiagnosed and underestimated, on the basis of more recent data. An accurate differential diagnosis of parapelvic cysts can lead to the identification of treatable conditions such as Fabry disease, autosomal dominant polycystic kidney disease, polycystic liver disease and tuberous sclerosis complex disease.
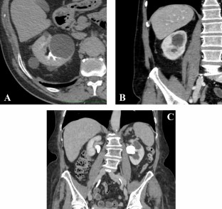
Graphical abstract

This is a preview of subscription content, access via your institution.





References
Skolarikos A, Laguna MP, de la Rosette JJ (2012) Conservative and radiological management of simple renal cysts: a comprehensive review. BJU Int 110(2):170–178. https://doi.org/10.1111/j.1464-410X.2011.10847.x (Epub 2012 Mar 13 PMID: 22414207)
Levine E (1996) Acquired cystic kidney disease. Radiol Clin N Am 34(5):947–964 (PMID: 8784391)
Chin HJ, Ro H, Lee HJ, Na KY, Chae DW (2006) The clinical significances of simple renal cyst: is it related to hypertension or renal dysfunction? Kidney Int 70(8):1468–1473. https://doi.org/10.1038/sj.ki.5001784 (Epub 2006 Aug 30 PMID: 16941027)
Ozdemir AA, Kapucu K (2017) The relationship between simple renal cysts and glomerular filtration rate in the elderly. Int Urol Nephrol 49(2):313–317. https://doi.org/10.1007/s11255-016-1414-9 (Epub 2016 Sep 9 PMID: 27613295)
Silverman SG, Pedrosa I, Ellis JH et al (2019) Bosniak classification of cystic renal masses, version 2019: an update proposal and needs assessment. Radiology 292(2):475–488. https://doi.org/10.1148/radiol.2019182646 (Epub 2019 Jun 18. PMID: 31210616; PMCID: PMC6677285)
Henthorne JC (1938) Peripelvic lymphatic cysts of the kidney: a review of the literature on perinephric cysts. Am J Clin Pathol 8(1):28–38. https://doi.org/10.1093/ajcp/8.1.28
Jordan WP Jr (1962) Peripelvic cysts of the kidney. J Urol 87:97–101. https://doi.org/10.1016/s0022-5347(17)64914-0 (PMID: 14452449)
Patel K, Caro PA, Chatten J (1988) Parapelvic renal cyst causing UPJ obstruction. Investigation by IVP, ultrasound and CT. Pediatr Radiol 19(1):2–5. https://doi.org/10.1007/BF02388397 (PMID: 3065710)
Rule AD, Sasiwimonphan K, Lieske JC, Keddis MT, Torres VE, Vrtiska TJ (2012) Characteristics of renal cystic and solid lesions based on contrast-enhanced computed tomography of potential kidney donors. Am J Kidney Dis 59(5):611–618. https://doi.org/10.1053/j.ajkd.2011.12.022 (Epub 2012 Mar 6. PMID: 22398108; PMCID: PMC3328591)
Pisani A, Petruzzelli Annicchiarico L, Pellegrino A et al (2018) Parapelvic cysts, a distinguishing feature of renal Fabry disease. Nephrol Dial Transplant 33(2):318–323. https://doi.org/10.1093/ndt/gfx009 (PMID: 28371803)
Tarzamni MK, Sobhani N, Nezami N, Ghiasi F (2008) Bilateral parapelvic cysts that mimic hydronephrosis in two imaging modalities: a case report. Cases J 1(1):161. https://doi.org/10.1186/1757-1626-1-161 (PMID:18801196;PMCID:PMC2577646)
Ma TL, Neild GH (2013) Parapelvic cyst misdiagnosed as hydronephrosis. Clin Kidney J 6(2):238–239. https://doi.org/10.1093/ckj/sfs189 (Epub 2013 Feb 1. PMID: 26019858; PMCID: PMC4432443)
Choi HS, Kim CS, Bae EH, Ma SK, Kim SW (2019) Bilateral parapelvic cyst misdiagnosed as hydronephrosis. Chonnam Med J 55(1):65. https://doi.org/10.4068/cmj.2019.55.1.65 (Epub 2019 Jan 25. PMID: 30740344; PMCID: PMC6351317)
Bosniak MA (2012) The Bosniak renal cyst classification: 25 years later. Radiology 262(3):781–785. https://doi.org/10.1148/radiol.11111595 (PMID: 22357882)
Silverman SG, Israel GM, Herts BR, Richie JP (2008) Management of the incidental renal mass. Radiology 249(1):16–31. https://doi.org/10.1148/radiol.2491070783 (PMID: 18796665)
Herts BR, Silverman SG, Hindman NM et al (2018) Management of the incidental renal mass on CT: a white paper of the ACR incidental findings committee. J Am Coll Radiol 15(2):264–273. https://doi.org/10.1016/j.jacr.2017.04.028 (Epub 2017 Jun 23 PMID: 28651987)
Schoots IG, Zaccai K, Hunink MG, Verhagen PCMS (2017) Bosniak classification for complex renal cysts reevaluated: a systematic review. J Urol 198(1):12–21. https://doi.org/10.1016/j.juro.2016.09.160 (Epub 2017 Mar 9 PMID: 28286071)
Israel GM, Bosniak MA (2005) An update of the Bosniak renal cyst classification system. Urology 66(3):484–488. https://doi.org/10.1016/j.urology.2005.04.003 (PMID: 16140062)
Siegel CL, McFarland EG, Brink JA, Fisher AJ, Humphrey P, Heiken JP (1997) CT of cystic renal masses: analysis of diagnostic performance and interobserver variation. AJR Am J Roentgenol 169(3):813–818. https://doi.org/10.2214/ajr.169.3.9275902 (PMID: 9275902)
Amis ES Jr, Cronan JJ (1988) The renal sinus: an imaging review and proposed nomenclature for sinus cysts. J Urol 139(6):1151–1159. https://doi.org/10.1016/s0022-5347(17)42845-x (PMID: 3286890)
Wilson SR, Withers C, Wilson S, Charboneau W (2005) The urinary tract. diagnostic. Ultrasound 1:373
Hinman F Jr (1978) Obstructive renal cysts. J Urol 119(5):681–683. https://doi.org/10.1016/s0022-5347(17)57588-6 (PMID: 660744)
Umemoto Y, Okamura T, Akita H, Yasui T, Kohri K (2009) Clinical evaluation of parapelvic renal cysts: do these represent latent urological malignant disease? Asian Pac J Cancer Prev 10(6):1119–1120 (PMID: 20192595)
Zhao Q, Huang S, Li Q et al (2015) Treatment of parapelvic cyst by internal drainage technology using ureteroscope and holmium laser. West Indian Med J 64(3):230–235. https://doi.org/10.7727/wimjopen.2014.220 (Epub 2015 Sep 14. PMID: 26426175; PMCID: PMC4763897)
Lee J, Darcy M (2011) Renal cysts and urinomas. Semin Intervent Radiol 28(4):380–391. https://doi.org/10.1055/s-0031-1296080 (PMID:23204636;PMCID:PMC3312170)
Lüscher TF, Wanner C, Siegenthaler W, Vetter W (1986) Simple renal cyst and hypertension: cause or coincidence? Clin Nephrol 26(2):91–95 (PMID: 3530568)
Johnson JD, Radwin HM (1976) High renin hypertension associated with renal cortical cyst. Urology 7(5):508–511. https://doi.org/10.1016/0090-4295(76)90192-8 (PMID: 1274011)
Rath A, Yamakazi M (2022) Prevalence of rare diseases: Bibliographic data », Orphanet Report Series, Rare Diseases collection, January 2022, Number 2: Diseases listed by decreasing prevalence, incidence or number of published cases. http://www.orpha.net/orphacom/cahiers/docs/GB/Prevalence_of_rare_diseases_by_decreasing_prevalence_or_cases.pdf. Accessed 2 May 2022.
Tee AR, Fingar DC, Manning BD, Kwiatkowski DJ, Cantley LC, Blenis J (2002) Tuberous sclerosis complex-1 and -2 gene products function together to inhibit mammalian target of rapamycin (mTOR)-mediated downstream signaling. Proc Natl Acad Sci USA 99(21):13571–13576
Northrup H, Krueger DA, International Tuberous Sclerosis Complex Consensus Group (2013) Tuberous sclerosis complex diagnostic criteria update: recommendations of the 2012 international tuberous sclerosis complex consensus conference. Pediatr Neurol 49(4):243–254
Bissler JJ, Kingswood JC, Radzikowska E, Zonnenberg BA, Belousova E, Frost MD et al (2017) Everolimus long-term use in patients with tuberous sclerosis complex: four-year update of the EXIST-2 study. PLoS ONE 12(8):e0180939
Vabret E, Couchoud C, Lassalle M, Vigneau C (2021) From tuberous sclerosis complex to end stage renal disease: who are these patients? J Nephrol 34(2):607–615. https://doi.org/10.1007/s40620-020-00714-3 (Epub 2020 Mar 4 PMID: 32130718)
Garofalo C, Capuano I, Pennino L, De Gregorio I, Riccio E, Provenzano M, Crocetto F, Buonanno P, Pandolfo SD, Andreucci M, Pisani A (2021) The effects of somatostatin analogues on liver volume and quality of life in polycystic liver disease: a meta-analysis of randomized controlled trials. Sci Rep 11(1):23500. https://doi.org/10.1038/s41598-021-02812-z (PMID:34873228;PMCID:PMC8648823)
Capuano I, Buonanno P, Riccio E, Rizzo M, Pisani A (2022) Tolvaptan vs. somatostatin in the treatment of ADPKD: a review of the literature. Clin Nephrol 97(3):131–140. https://doi.org/10.5414/CN110510 (PMID: 34846296)
Trapani AR, Tamburri L, Di Giandomenico V, De Pascale A, Bonomo L (1992) Idronefrosi e cisti peripieliche. Un nuovo segno ecografico per la diagnosi differenziale [Hydronephrosis and peripelvic cysts. A new echographic sign for the differential diagnosis]. Radiol Med 83(6):777–782 (Italian. PMID: 1502358)
Koratala A, Alquadan KF (2018) Parapelvic cysts mimicking hydronephrosis. Clin Case Rep 6(4):760–761. https://doi.org/10.1002/ccr3.1431 (PMID:29636957;PMCID:PMC5889270)
Han D, Ma G, Wei L et al (2017) Preliminary study on the differentiation between parapelvic cyst and hydronephrosis with non-calculous using only pre-contrast dual-energy spectral CT scans. Br J Radiol 90(1073):20160632. https://doi.org/10.1259/bjr.20160632 (Epub 2017 Mar 10. PMID: 28281789; PMCID: PMC5605099)
Miskin N, Qin L, Matalon SA et al (2021) Stratification of cystic renal masses into benign and potentially malignant: applying machine learning to the bosniak classification. Abdom Radiol (NY) 46(1):311–318. https://doi.org/10.1007/s00261-020-02629-w (Epub 2020 Jul 1 PMID: 32613401)
Riccio E, Capuano I, Visciano B, Marchetiello C, Petrillo F, Pisani A (2013) Terapia enzimatica sostitutiva in pazienti con malattia di Fabry [Enzyme replacement therapy in patients with Fabry disease: state of the art and review of the literature]. G Ital Nefrol 30(5):gin/30.5.5 (Italian. PMID: 24402625)
Capuano I, Garofalo C, Buonanno P et al (2020) Identifying Fabry patients in dialysis population: prevalence of GLA mutations by renal clinic screening, 1995–2019. J Nephrol 33(3):569–581. https://doi.org/10.1007/s40620-019-00663-6 (Epub 2019 Oct 24 PMID: 31650418)
Riccio E, Sabbatini M, Capuano I, Pisani A (2019) Early biomarkers of fabry nephropathy: a review of the literature. Nephron 143(4):274–281. https://doi.org/10.1159/000502907 (Epub 2019 Oct 15 PMID: 31614349)
Garbade SF, Zielonka M, Mechler K et al (2020) FDA orphan drug designations for lysosomal storage disorders—a cross-sectional analysis. PLoS ONE 15(4):e0230898. https://doi.org/10.1371/journal.pone.0230898 (PMID:32267884;PMCID:PMC7141691)
Azevedo O, Gago MF, Miltenberger-Miltenyi G, Sousa N, Cunha D (2020) Fabry disease therapy: state-of-the-art and current challenges. Int J Mol Sci 22(1):206. https://doi.org/10.3390/ijms22010206.PMID:33379210;PMCID:PMC7794923
Sayer JA, Haslam P, Brennan P (2008) Parapelvic cysts leading to a diagnosis of Fabry disease. Kidney Int 74(10):1366. https://doi.org/10.1038/ki.2008.141 (PMID: 18974770)
Ries M, Bettis KE, Choyke P et al (2004) Parapelvic kidney cysts: a distinguishing feature with high prevalence in Fabry disease. Kidney Int 66(3):978–982. https://doi.org/10.1111/j.1523-1755.2004.00846.x (PMID: 15327390)
Azambuja Neves RFC, Varela P, Fernandes DE et al (2020) Renal ultrasound contributes to Fabry disease diagnosis. J Rare Dis Res Treat 5(2):19–23. https://doi.org/10.29245/2572-9411/2020/2.1195
Deshmukh GD, Radin NS, Gattone VH II et al (1994) Abnormalities of glycosphingolipid, 7 sulfatide and ceramide in the polycystic (cpk/cpk) mouse. J Lipid Res 35:1611–1618
Chatterjee S, Shi WY, Wilson P et al (1996) Role of lactosylceramide and MAP kinase in the proliferation of proximal tubular cells in human polycystic kidney disease. J Lipid Res 37:1334–1344
Janich P, Corbeil D (2007) GM1 and GM3 gangliosides highlight distinct lipid microdomains within the apical domain of epithelial cells. FEBS Lett 581:1783–1787
Natoli TA, Smith LA, Rogers KA et al (2010) Inhibition of glucosylceramide accumulation results in effective blockade of polycystic kidney disease in mouse models. Nat Med 16(7):788–792. https://doi.org/10.1038/nm.2171 (Epub 2010 Jun 20. PMID: 20562878; PMCID: PMC3660226)
Capuano I, Buonanno P, Riccio E, Amicone M, Pisani A (2021) Therapeutic advances in ADPKD: the future awaits. J Nephrol. https://doi.org/10.1007/s40620-021-01062-6 (Epub ahead of print. PMID: 34009558)
Yoder BM, Wolf JS Jr (2004) Long-term outcome of laparoscopic decortication of peripheral and peripelvic renal and adrenal cysts. J Urol 171(2 Pt 1):583–587. https://doi.org/10.1097/01.ju.0000103642.29044.71 (PMID: 14713764)
Mao X, Xu G, Wu H, Xiao J (2015) Ureteroscopic management of asymptomatic and symptomatic simple parapelvic renal cysts. BMC Urol 6(15):48. https://doi.org/10.1186/s12894-015-0042-5 (PMID:26048408;PMCID:PMC4456808)
Rossi SH, Koo B, Riddick A, Shah N, Stewart GD (2018) Different successful management strategies for obstructing renal parapelvic cysts. Urol Int 101(3):366–368. https://doi.org/10.1159/000475886 (Epub 2017 May 12 PMID: 28494441)
Agarwal M, Agrawal MS, Mittal R, Sachan V (2012) A randomized study of aspiration and sclerotherapy versus laparoscopic deroofing in management of symptomatic simple renal cysts. J Endourol 26(5):561–565. https://doi.org/10.1089/end.2011.0559 (Epub 2012 Jan 25 PMID: 22091534)
Nalagatla S, Manson R, McLennan R, Somani B, Aboumarzouk OM (2019) Laparoscopic decortication of simple renal cysts: a systematic review and meta-analysis to determine efficacy and safety of this procedure. Urol Int 103(2):235–241. https://doi.org/10.1159/000497313 (Epub 2019 Mar 19 PMID: 30889610)
Ma Z, Li S, Chen FM et al (2020) The preliminary experience of methylene blue assisted laparoscopy in the treatment of renal parapelvic cysts. Sci Rep 10(1):18757. https://doi.org/10.1038/s41598-020-76006-4 (PMID:33128007;PMCID:PMC7599209)
Chen H, Chen G, Pan Y, Jin X (2021) Minimally invasive surgeries in the management of renal parapelvic cysts: a retrospective comparative study. Urol J 18(4):389–394. https://doi.org/10.22037/uj.v16i7.6466 (PMID: 33495985)
Basiri A, Hosseini SR, Tousi VN, Sichani MM (2010) Ureteroscopic management of symptomatic, simple parapelvic renal cyst. J Endourol 24(4):537–540. https://doi.org/10.1089/end.2009.0326 (PMID: 20092413)
Yang B, Li J, Liu J, Bao Y, Mishra P, Guo H, Li P, Jiang Y (2018) Safe surgical treatment of peripelvic renal cyst combined with renal calculi by percutaneous nephroscopy. Clin Case Rep 6(2):370–375. https://doi.org/10.1002/ccr3.1302 (PMID: 29445479; PMCID: PMC5799636)
Zewu Z, Hequn C, Yu C et al (2019) Long-term outcome after flexible ureteroscopy with holmium laser for simultaneous treatment of a single renal cyst and ipsilateral renal stones. J Int Med Res 47(8):3601–3612. https://doi.org/10.1177/0300060519855573 (Epub 2019 Jun 20. PMID: 31218939; PMCID: PMC6726797)
Mancini V, Cormio L, d’Altilia N et al (2018) Retrograde intrarenal surgery for symptomatic renal sinus cysts: long-term results and literature review. Urol Int 101(2):150–155. https://doi.org/10.1159/000488685 (Epub 2018 May 2 PMID: 29719301)
Shen J, Chen Y, Wang R (2019) Efficacy and complication of flexible ureteroscopic holmium laser incision for simple renal cysts: a retrospective study. J Endourol 33(11):881–886. https://doi.org/10.1089/end.2019.0515 (PMID: 31710258)
Kang N, Guan X, Song L, Zhang X, Zhang J (2018) Simultaneous treatment of parapelvic renal cysts and stones by flexible ureterorenoscopy with a novel four-step cyst localization strategy. Int Braz J Urol 44(5):958–964. https://doi.org/10.1590/S1677-5538.IBJU.2018.0074.PMID:30088721;PMCID:PMC6237515
Funding
The data underlying this article are available in the article.
Author information
Authors and Affiliations
Corresponding author
Ethics declarations
Conflict of interest statement
None declared.
Ethical approval
For this type of study (i.e. review article) ethical approval is not required.
Additional information
Publisher's Note
Springer Nature remains neutral with regard to jurisdictional claims in published maps and institutional affiliations.
Rights and permissions
About this article
Cite this article
Capuano, I., Buonanno, P., Riccio, E. et al. Parapelvic Cysts: An Imaging Marker of Kidney Disease Potentially Leading to the Diagnosis of Treatable Rare Genetic Disorders? A Narrative Review of the Literature. J Nephrol 35, 2035–2046 (2022). https://doi.org/10.1007/s40620-022-01375-0
Received:
Accepted:
Published:
Issue Date:
DOI: https://doi.org/10.1007/s40620-022-01375-0
Keywords
- Simple renal cyst
- Bosniak classification
- Parapelvic cyst
- Kidney injury
- ADPKD
- PLD
- TSC
- Fabry disease