Skip to main content

A comparison of the femur heads histomorphometrically regarding trabecular bone properties in the patients with osteoporosis and osteoarthritis

Abstract

The purpose was to compare the bone samples histomorphometrically regarding trabecular bone properties in the patients with osteoarthritis (OA) and osteoporosis (OP). Femoral head specimens were obtained from 18 patients with OA and 17 patients with femoral neck fracture due to OP during hip arthroplasty. Histomorphometric analyses were performed by soft ware program (Carl Zeiss) to measure trabecular area (Tb.a, mm3), trabecular thickness (Tb.th, µm) and trabecular separation (Tb.s, µm). In the results, Tb.a and Tb.th values were significantly lower (p < 0.05), Tb.s was higher in the patients with OP (p < 0.05). Bone metabolism parameters were different between the groups (p < 0.05). All histomorphometric parameters were highly correlated with the BMDs (p < 0.01). This study showed inverse relation between OA and OP regarding trabecular bone properties, BMD and bone turnover metabolism markers. The strong relations between results suggest that either BMDs or bone turnover markers can be used for prescience of the fractures.

This is a preview of subscription content, access via your institution.

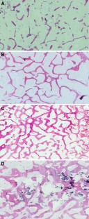
Fig. 1

References

  1. Dequeker J, Boonen S, Aerssens J et al (1996) Inverse relationship osteoarthritis-osteoporosis: what is the evidence? What are the consequences? Br J Rheumatol 35:813–818

    CAS  Article  PubMed  Google Scholar 

  2. Klose-Jensen R, Hartlev LB, Boel LW, et al. (2015) Subchondral bone turnover, but not bone volume, is increased in early stage osteoarthritic lesions in the human hip joint. Osteoarthr Cartil. doi: 10.1016/j.joca.2015.06.001

  3. Hart DJ, Cronin C, Daniels M et al (2002) The relationship of bone density and fracture to incident and progressive radiographic osteoarthritis of the knee. Arthritis Rheum 46:92–99

    Article  PubMed  Google Scholar 

  4. Dequeker J, Johnell O, MEDOS Study Group (1993) Osteoarthritis protects against femoral neck fracture. Bone 14:S51–S56

    Article  PubMed  Google Scholar 

  5. Chan MY, Center JR, Eisman JA et al (2014) Bone mineral density and association of osteoarthritis with fracture risk. Osteoarthr Cartil 22:1251–1258

    CAS  Article  PubMed  Google Scholar 

  6. Makinen TJ, Alm JJ, Laine H et al (2007) The incidence of osteopenia and osteoporosis in women with hip osteoarthritis scheduled for cementless total joint replacement. Bone 40:1041–1047

    Article  PubMed  Google Scholar 

  7. Seeman E, Delmas PD (2006) Bone quality:the material and structural basis of bone strength and fragility. N Engl J Med 354:2250–2261

    CAS  Article  PubMed  Google Scholar 

  8. Chavassieux P, Seeman E, Delmas PD (2007) Insights into material and structural basis of bone fragility from diseases associated with fractures: how determinants of the biomechanical properties of bone are compromised by disease. Endocr Rev 28:151–164

    CAS  Article  PubMed  Google Scholar 

  9. Jordan GR, Loveridge N, Bell KL et al (2003) Increased femoral neck cancellous bone and connectivity in coxarthrosis (hip osteoarthritis). Bone 32:86–95

    CAS  Article  PubMed  Google Scholar 

  10. Johnell O, Kanis JA, Oden A et al (2005) Predictive value of BMD for hip and other fractures. J Bone Miner Res 20:1185–1194

    Article  PubMed  Google Scholar 

  11. Vasikaran S, Eastell R, Bruyère O et al (2011) Markers of bone turnover for the prediction of fracture risk and monitoring of osteoporosis treatment: a need for international reference standards. Osteoporos Int 22:391–420

    CAS  Article  PubMed  Google Scholar 

  12. Nielsen HK, Laurberg P, Brixen K et al (1991) Relations between diurnal variations in serum osteocalcin, cortisol, parathyroid hormone, and ionized calcium in normal individuals. Acta Endocrinol (Copenh) 124:391–398

    CAS  Google Scholar 

Download references

Author information

Affiliations

Authors

Corresponding author

Correspondence to F. C. Atamaz.

Ethics declarations

Conflict of interest

None.

Statement of human and animal rights

All procedures performed in studies involving human participants were in accordance with the ethical standards of the institutional and/or national research committee and with the 1964 Helsinki declaration and its later amendments or comparable ethical standards.

Informed consent

Informed consent was obtained from all individual participants included in the study.

Rights and permissions

Reprints and Permissions

About this article

Verify currency and authenticity via CrossMark

Cite this article

Cınar, Y., Atamaz, F.C., Kirazli, Y. et al. A comparison of the femur heads histomorphometrically regarding trabecular bone properties in the patients with osteoporosis and osteoarthritis. Aging Clin Exp Res 28, 997–1001 (2016). https://doi.org/10.1007/s40520-015-0491-4

Download citation

  • Received:

  • Accepted:

  • Published:

  • Issue Date:

  • DOI: https://doi.org/10.1007/s40520-015-0491-4

Keywords

  • Osteoarthritis
  • Osteoporosis
  • Bone densitometry
  • Bone Turnover Marker