Abstract
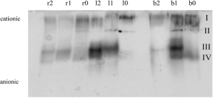
The capacity to accumulate cadmium (Cd) in Narcissus tazetta was investigated. Narcissus, an ornamental and medicinal plant can be used for the production of highly valuable alkaloids with anti-tumor, anti-viral and anti-cholinergic activities. For rapid propagation, in vitro micropropagation of this plant was done by three procedures: induction, proliferation and bulb production from twin scales as explants. After 4 months, micropropagated plants were treated by two concentrations of cadmium chloride (0.5, 1.0 mM) in the MS + 9% sucrose solidified media. After 3 weeks, growth, total proteins, peroxidase activity, Cd accumulation, quality and quantity of alkaloids were studied. Results showed that this plant accumulated 2778.13 μg g−1 DW, 801.87 μg g−1 DW and 162.8313 μg g−1 DW Cd in roots, bulbs and leaves respectively without any impact on growth. In order to study the ability of this plant in phytoremediation, tolerance index (TI), bioconcentration factors (BCF) and translocation factor (TF) were measured. Due to the TI > 0.6, BCF > 1 and TF < 1 concluded that Narcissus is suitable as phytostabilizer for remediation of Cd from contaminated media. Peroxidase activity increased under Cd stress. Also, isozyme pattern of peroxidase was changed and new anionic isoenzyme was appeared. Cd enhanced alkaloid content and altered its constituents as homolycorine was found instead of 9-O-demethylhomolycorine under Cd stress. This results presented in this study include the first report on the status of Narcissus alkaloids under Cd treatment.




References
AOAC Official Methods of Analysis, 2000. Horwitz, W. (Ed.), 17th ed., Section 999.11.
Arduini, I., Godbold, D. L., & Onnis, A. (1996). Cadmium and copper uptake and distribution in mediterranean tree seedlings. Physiologia Plantarum,97, 111–117.
Ayangbenro, A. S., & Babalola, O. O. (2017). New strategy for heavy metal polluted environments: A review of microbial biosorbents. International Journal of Environmental Research and Public Health,14, 94A.
Bastida, J., Viladomat, F., & Codina, C. (1998). Narcissus alkaloids. In Atta-ur-Rahman (Ed.), Studies in natural products chemistry (Vol. 20, pp. 323–401). Amsterdam: Elsevier.
Bradford, M. M. (1976). A rapid sensitive method for the quantitation of microgram quantities of protein utilizing the principle of protein-dye binding. Analytical Biochemistry,72, 248–254.
Cao, X., Ma, L. Q., & Tu, C. (2004). Antioxidative responses to arsenic in the arsenic-hyperaccumulator Chinese brake fern (Pteris vittata L.). Environmental Pollution,128, 317–325.
Cetin, E. S., Babalik, Z., Hallac-Turk, F., & Gokturk-Baydar, N. (2014). The effects of cadmium chloride on secondary metabolite production in Vitis vinifera cv. Cell suspension cultures. Biological Research,47(1), 47.
Chaney, R. L., Mlik, M., & Li, Y. M. (1997). Phytoremediation of soil metals. Current Opinion in Biotechnology,8, 279–284.
Chang-Kee, J., Gonzales, M. J., Ponce, O., Ramírez, L., León, V., Torres, A., et al. (2018). Accumulation of heavy metals in native Andean plants: Potential tools for soil phytoremediation in Ancash (Peru). Environmental Science and Pollution Research,25(34), 33957–33966.
Cobbett, C. S. (2000). Phytochelatin biosynthesis and function in heavy metal detoxification. Current Opinion in Plant Biology,3, 211–216.
Evans, W. C., & Trease, G. E. (1996). Pharmacognosy (14th ed., Vol. 39, pp. 340–345). Oxford: Alden Press.
Fang, Zh, Lou, L., Tai, Zh, Wang, Y., Yang, L., Hu, Zh, et al. (2017). Comparative study of Cd uptake and tolerance of two Italian ryegrass (Lolium multiflorum) cultivars. PeerJ,2(5), e3621.
Florijin, P. J., & Van Beusichem, M. L. (1993). Cadmium distribution in maize inbred lines: Effects of pH and level of Cd supply. Plant and Soil,153, 79–84.
Gerrits, M., & De Klerk, G. (1994). Progress in micropropagation of bulbous crops. Biotechnology and Biotechnological Equipment,1, 13–23.
Greger, M. (1999). Metal availability and bioconcentration in plants. In M. N. V. Prasad, et al. (Eds.), Heavy metal stress in plants (pp. 1–28). Berlin: Springer-Verlag.
Hakmaoui, A., Ater, M., Boka, K., Baron, M., & Naturforsch, Z. (2007). Copper and cadmium tolerance, uptake and effect on chloroplast ultrastructure. Studies on Salix purpurea and Phragmites australis. Zeitschrift für Naturforschung C,62, 417–426.
Harmens, H., Gusmao, N. G. C. P. B., Den Hartog, P. R., Verkleij, J. A. C., & Ernst, W. H. O. (1993). Uptake and transport of Zn in Zn-sensitive and Zn-tolerant Silene vulgaris. Journal of Plant Physiology,141, 309–315.
Huttova, J., Mistrík, I., Ollé-Šimonovičová, M., & Tamás, L. (2006). Cadmium induced changes in cell wall peroxidase isozyme pattern in barley root tips. Plant, Soil and Environment,52(6), 250–253.
Irfan, M., Ahmad, A., & Hayat, Sh. (2014). Effect of cadmium on the growth and antioxidant enzymes in two varieties of Brassica juncea. Saudi Journal of Biological Sciences,21, 125–131.
Jiang, W., Liu, D., & Hou, W. (2001). Hyperaccumulation of cadmium by roots, bulbs and shoots of garlic (Allium sativum L.). Bioresource Technology,76, 9–13.
Korori, S. A. A. (1989). Gel elektrophoretische and Spektralphotomet rish unterruktur and zum ein slussder temperature ivs struktur and okapivitat der amylase und peroxidase isoenzyme Verschicdener bsvmarten. Ph.D. Thesis, University Sur Boden Kultur Win.
Lagrimini, L. M., Gingas, V., Finger, F., & Rothstein, S. (1997). Characterization of antisense transformed plant deficient in the tobacco anionic peroxidase. Plant Physiology,114, 1187–1196.
Llabres, J. M., Viladomat, F., & Bastida, J. (1986). Two alkaloids from Narcissus requienii. Phytochemistry,25, 1453–1459.
Lombi, E., Zhao, F. J., Dunham, S. J., & McGrath, S. P. (2000). Cadmium accumulation in populations of Thlaspi caerulescens and Thlaspi goesingense. New Phytologist,145, 11–20.
Metwally, E. I., El-Denary, M. E., Omar, A. M. K., Naidoo, Y., & Dewir, Y. H. (2012). Bulb and vegetative characteristics of garlic (Allium sativum L.) from in vitro culture through acclimatization and field production. African Journal of Agricultural Research,7(43), 5792–5795.
Mishra, S., Mishra, A., & Kupper, H. (2017). Protein biochemistry and expressionn regulation of cadmium/zinc pumping Atpases in the hyperaccumulator plants Arabidopsis halleri and Noccaea caerulescens. Frontiers in Plant Science,8, 1–13.
Mithofer, A., Schulze, B., & Boland, W. (2004). Biotic and heavy metal stress response in plants: Evidence for common signals. FEBS Letters,566, 1–5.
Mrudula, V., Vijaya, T., Chandra Mouli, K., Naga Jyothi, U., Aishwarya, S., & Deva Reddy, V. (2016). Novel method for removal of heavy metals by using low cost absorbents. Indo American Journal of Pharmaceutical Research,6(5), 5472–5480.
Murashig, T., & Skoog, F. (1962). A revised medium for rapid growth and bioassays with tobacco tissue cultures. Physiologia Plantarum,15(3), 473–497.
Padmaja, K., Prasad, D. K., & Prasad, A. R. K. (1990). Inhibition of chlorophyll synthesis in Phaseolus vulgaris seedlings by cadmium acetate. Photosynthetica,24, 399–405.
Piršelová, E., Kuna, R., Lukáč, P., & Havrlentová, M. (2016). Effect of cadmium on growth, photosynthetic pigments, iron and cadmium accumulation of faba bean (Vicia faba cv. Aštar). Agriculture (Poľnohospodárstvo),62(2), 72–79.
Pitta-Alvarez, S. I., Spollansky, T. C., & Giulietti, A. M. (2000). The influence of different biotic and abiotic elicitors on the production and profile of tropane alkaloids in hairy root cultures of Brugmansia candida. Enzyme and Microbial Technology,26, 252–258.
Rai, V., Khatoon, S., Bisht, S. S., & Mehrotra, S. (2005). Effect of cadmium on growth, ultramorphology of leaf and secondary metabolites of Phyllanthus amarus Schum. and Thonn. Chemosphere,61, 1644–1650.
Retamal-Salgado, J., Hirzel, J., Walter, I., & Matus, I. (2017). Bioabsorption and bioaccumulation of cadmium in the straw and grain of maize (Zea mays L.) in growing soils contaminated with cadmium in different environment. International Journal of Environmental Research and Public Health,14(11), 1399.
Roy, S. K., Cho, S. W., Kwon, S. J., Mostafa Kamal, A. H., Kim, S. W., Oh, M. W., et al. (2016). Morpho-physiological and proteome level responses to cadmium stress in sorghum. PLoS ONE,26, 1–27.
Salt, D. E., Blaylock, M., & Kumar, N. P. B. A. (1995). Phytoremediation: a novel strategy for the removal of toxic metals from the environment using plants. Biotechnology,13, 468–474.
Sambrook, J., Fritsch, E. F., & Maniatis, T. (1989). Molecular cloning (pp. 18.47–18.54). New York: Cold Spring Harbor.
Santos, J., Santos, I., & Salema, R. (1998). In vitro production of bulbs of Narcissus bubocodium flowering in the first season of growth. Scientia Horticulturae,76, 205–217.
Sharma, A., Sainger, M., Dwivedi, S., Srivastava, S., Tripathi, R. D., & Singh, R. P. (2010). Genotypic variation in Brassica juncea (L.) Czern cultivars in growth, nitrate assimilation, antioxidant responses and phytoremediation potential during cadmium stress. Journal of Environmental Biology,31(5), 773–780.
Sobkowiak, R., Rymer, K., Rucińska, R., & Deckert, J. (2004). Cadmium-induced changes in antioxidant enzymes in suspension culture of soybean cells. Acta Biochimica Polonica,51, 219–222.
Soleimani, S. H., Bernard, F., Amini, M., & Khavari-nezhad, R. A. (2007). Alkaloids from Narcissus tazetta L. Journal of Medicinal Plants,4(24), 58–63.
Squires, W. M., Langton, F. A., & Fenlon, J. S. (1991). Factors influencing the transplantation success of micropropagated narcissus bulbils. Journal of Horticultural Science,6, 661–671.
Srivastava, N. K., & Srivastava, A. K. (2010). Influence of some heavy metals on growth, alkaloid content and composition in Catharanthus roseus L. Indian Journal of Pharmaceutical Sciences.,72(6), 775–778.
Tanee, T., Sudmoon, R., Thamsenanupap, P., & Arunrat Chaveerach, A. (2016). Effect of cadmium on DNA changes in Ipomoea aquatica Forssk. Polish Journal of Environmental Studies,25(1), 311–315.
Tiong, S. H., Looi, Ch Y, Hazni, H., Arya, A., Paydar, M., Wong, W. F., et al. (2013). Antidiabetic and antioxidant properties of alkaloids from Catharanthus roseus (L.) G. Don. Molecules,18, 9770–9784.
Wojcik, M., Vangronsveld, J., & Tukiendorf, A. (2005). Cadmium tolerance in Thlaspi caerulescens I. Growth parameters, metal accumulation and phytochelatin synthesis in response to cadmium. Environmental and Experimental Botany,53, 151–161.
Wu, F., Zhang, G., & Dominy, P. (2003). Four barley genotypes respond differently to cadmium: Lipid peroxidation and activities of antioxidant capacity. Environmental and Experimental Botany,50, 67–78.
Wuana, R. A., & Okieimen, F. E. (2011). Heavy metals in contaminated soils: A review of sources, chemistry, risks and best available strategies for remedi. ISRN Ecology,2011, 1–20.
Zheljazkov, V. D., Craker, L. E., & Xing, B. (2006). Effects of Cd, Pb and Cu on growth and essential oil contents in dill, peppermint and basil. Environmental and Experimental Botany,58, 9–16.
Zheljazkov, V. D., & Nielsen, N. E. (1996). Studies on the effect of heavy metals (Cd, Pb, Cu, Mn, Zn and Fe) upon the growth, productivity and quality of lavender (Lavandula angustifolia Mill) production. Journal of Essential Oil Research,8, 259–274.
Zheljazkov, V. D., & Warman, P. R. (2003). Application of high Cu compost to Swiss Chard and Basil. Science of the Total Environment,302, 13–26.
Zheng, G., Lv, H. P., Gao, S., & Wang, S. R. (2010). Effects of cadmium on growth and antioxidant responses in Glycyrrhiza uralensis seedlings. Plant, Soil and Environment,56(11), 508–515.
Zhou, W., & Qiu, B. (2005). Effects of cadmium hyperaccumulation on physiological characteristics of Sedum alfredii Hance (Crassulaceae). Plant Science,169, 73.
Acknowledgements
Authors are thankful to Department of Biology of Shahid Beheshti University, Science and Research Branch of Islamic Azad University and Department of Pharmacy of Tehran University for the facilities and support provided in the institutes.
Author information
Authors and Affiliations
Corresponding author
Additional information
Publisher's Note
Springer Nature remains neutral with regard to jurisdictional claims in published maps and institutional affiliations.
Rights and permissions
About this article
Cite this article
Soleimani, S.H., Bernard, F., Amini, M. et al. Cadmium accumulation and alkaloid production of Narcissus tazetta plants grown under in vitro condition with cadmium stress. Plant Physiol. Rep. 25, 51–57 (2020). https://doi.org/10.1007/s40502-019-00476-6
Received:
Accepted:
Published:
Issue Date:
DOI: https://doi.org/10.1007/s40502-019-00476-6