Skip to main content

Multiparametric sonographic imaging of a capillary hemangioma of the testis: appearances on gray-scale, color Doppler, contrast-enhanced ultrasound and strain elastography

Abstract

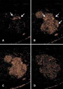
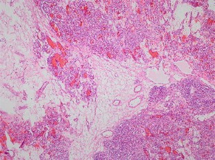
We report a case of a lobular capillary hemangioma in a 66-year-old man, who presented with left testicular pain, with an asymptomatic incidental right testicular lesion found on ultrasonography. The sonographic examination demonstrated a heterogeneous mainly iso-echoic intratesticular lesion with marked vascularity on the color Doppler examination. Further evaluation with contrast-enhanced ultrasound and strain elastography was performed; the multiparametric imaging suggested a benign tumor. The multidisciplinary team decision with patient consent was to perform a radical orchiectomy with subsequent histopathology confirming a benign lobular capillary hemangioma.

Riassunto

Riportiamo un caso di angioma lobulare capillare in un uomo di 66 anni, presentatosi con dolore testicolare sinistro e con all’ecografia una lesione incidentale al testicolo di destra. L’esame ecografico ha rilevato una lesione eterogenea, principalmente isoecogena, con florida vascolarizzazione al color Doppler. Abbiamo proceduto ad ulteriore valutazione con ecografia con mezzo di contrasto ed elastografia, e l’imaging multiparametrico ha suggerito un tumore benigno. In accordo con il paziente, il team multidisciplinare ha deciso di procedere ad una orchidectomia radicale e l’esame istopatologico ha confermato un angioma lobulare capillare benigno.

This is a preview of subscription content, access via your institution.

Fig. 1
Fig. 2
Fig. 3
Fig. 4

References

  1. Mazal PR, Kratzik C, Kain R, Susani M (2005) Capillary haemangioma of the testis. J Clin Pathol 53:641–642

    Article  Google Scholar 

  2. Atkin G, Miller M, Clarkson KS, Molyneux AJ (2001) Testicular capillary haemangioma in a child. J R R Soc Med 94:638–640

    CAS  Google Scholar 

  3. Frias-Kletecka MC, MacLennan GT (2009) Benign soft tissue tumors of the testis. J Urol 192:312–313

    Article  Google Scholar 

  4. Kryvenko ON, Epstein JI (2013) Testicular hemangioma. A series of 8 cases. Am J Surg Pathol 37:860–866

    Article  PubMed  Google Scholar 

  5. Stille JR, Nasrallah PF, Mcmahon DR (1997) Testicular capillary hemangioma: an unusual diagnosis suggested by duplex color flow ultrasound. J Urol 157:1458–1459

    Article  CAS  PubMed  Google Scholar 

  6. Suriawinata A, Talerman A, Vapnek JM, Unger P (2001) Hemangioma of the testis: case reports of unusual occurences of cavernous hemangioma in a fetus and capillary hemangioma in an older man. Ann Diagn Pathol 5:80–83

    Article  CAS  PubMed  Google Scholar 

  7. Talmon GA, Stanley SM, Lager DJ (2011) Capillary hemangioma of the testis. Int J Surg Pathol 19:398–400

    Article  PubMed  Google Scholar 

  8. Torpy JM, Lynm C, Glass RM (2008) Testicular cancer. J Am Med Assoc 299:718

    Article  CAS  Google Scholar 

  9. Lock G, Schmidt C, Helmich F, Stolle E, Dieckmann K (2011) Early experience with contrast enhanced ultrasound in the diagnosis of testicular masses; a feasibility study. Urology 77:1049–1053

    Article  PubMed  Google Scholar 

  10. Huang DY, Sidhu PS (2012) Focal testicular lesions: colour Doppler ultrasound, contrast-enhanced ultrasound and tissue elastography as adjuvants to the diagnosis. Br J Radiol 85:S41–S53

    PubMed Central  Article  PubMed  Google Scholar 

  11. Piscaglia F, Nolsoe C, Dietrich CF, Cosgrove DO, Gilja OH, Bachmann-Nielsen M et al (2012) The EFSUMB guidelines and recommendations on the clinical practice of contrast enhanced ultrasound (CEUS): update 2011 on non-hepatic applications. Ultraschall Med 32:33–59

    Article  Google Scholar 

  12. Patel K, Sellars ME, Clarke JL, Sidhu PS (2012) Features of testicular epidermoid cysts on contrast enhanced ultrasound and real time elastography. J Ultrasound Med 31:1115–1122

    Google Scholar 

  13. Yusuf GT, Konstantatou E, Sellars ME, Huang DY, Sidhu PS (2015) Multiparametric sonography of testicular hematomas. Features on grayscale, color Doppler, and contrast-enhanced sonography and strain elastography. J Ultrasound Med 34:1319–1328

    Article  PubMed  Google Scholar 

  14. Nistal M, Garcia-Cardoso JV, Paniagua R (1996) Testicular juvenile capillary hemangioma. J Urol 156:1771

    Article  CAS  PubMed  Google Scholar 

  15. Goddi A, Sacchi A, Magistretti G, Almolla J, Salvadore M (2012) Real-time elastography for testicular lesion assesment. Eur Radiol 22:721–730

    PubMed Central  Article  PubMed  Google Scholar 

  16. Isidori AM, Pozza C, Gianfrilli D, Glannetta E, Lemma A, Pofi R et al (2014) Differential diagnosis of nonpalpable testicular lesions: qualitative and quantitative contrast-enhanced US of benign and malignant testicular tumors. Radiology 273:606–618

    Article  PubMed  Google Scholar 

  17. Passman C, Urban D, Klemm K, Lockhart M, Kenney P, Kolettis P (2008) Testicular lesions other than germ cell tumours: feasibility of testis-sparing surgery. BJU Int 103:488–491

    Article  PubMed  Google Scholar 

  18. Peddu P, Shah M, Sidhu PS (2004) Splenic abnormalities: a comparative review of ultrasound, microbubble enhanced ultrasound and computed tomography. Clin Radiol 59:777–792

    Article  CAS  PubMed  Google Scholar 

  19. Tsili AC, Giannakis D, Sylakos A, Sofikitis N, Argyropoulou MI (2014) MR imaging of scrotum. Magn Reson Imaging Clin N Am 22:217–238

    Article  PubMed  Google Scholar 

  20. Shah A, Lung PF, Clarke JE, Sellars ME, Sidhu PS (2010) New ultrasound techniques for imaging of the indeterminate testicular lesion may avoid surgery completely. Clin Radiol 65:496–498

    Article  CAS  PubMed  Google Scholar 

Download references

Author information

Affiliations

Authors

Corresponding author

Correspondence to Paul S. Sidhu.

Ethics declarations

Conflict of interest

(Silvia Bernardo MD, Eleni Konstantatou MD, Dean Y. Huang MRCP FRCR, Annamaria Deganello MD, Marianna Philippidou BSc MBBS FRCPath, Christian Brown BSc MD FRCS (Urol), Maria E. Sellars MBBS FRCR, Paul S. Sidhu MRCP FRCR) declare that they have no conflict of interest.

Ethical standard

All procedures followed were in accordance with the ethical standards of the responsible committee on human experimentation (institutional and national) and with the Helsinki Declaration of 1975, as revised in 2000 (5).

Informed consent

All patients provided written informed consent to enrollment in the study and to the inclusion in this article of information that could potentially lead to their identification.

Rights and permissions

Reprints and Permissions

About this article

Verify currency and authenticity via CrossMark

Cite this article

Bernardo, S., Konstantatou, E., Huang, D.Y. et al. Multiparametric sonographic imaging of a capillary hemangioma of the testis: appearances on gray-scale, color Doppler, contrast-enhanced ultrasound and strain elastography. J Ultrasound 19, 35–39 (2016). https://doi.org/10.1007/s40477-015-0187-9

Download citation

  • Received:

  • Accepted:

  • Published:

  • Issue Date:

  • DOI: https://doi.org/10.1007/s40477-015-0187-9

Keywords

  • Testis
  • Ultrasonography
  • Contrast-enhanced ultrasound (CEUS)
  • Strain elastography (SE)
  • Capillary haemangioma