Skip to main content

Contrast sonographic appearance of sclerosing angiomatoid nodular transformation of the spleen

This is a preview of subscription content, access via your institution.

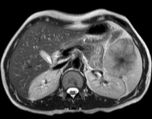
Fig. 1
Fig. 2
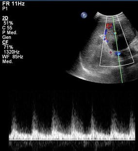
Fig. 3
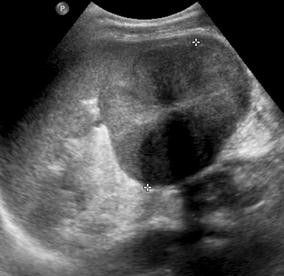
Fig. 4
Fig. 5

References

  1. Martel M, Cheuk W, Lombardi L, Lifschitz-Mercer B, Chan JK, Rosai J (2004) Sclerosing angiomatoid nodular transformation (SANT): report of 25 cases of a distinctive benign splenic lesion. Am J Surg Pathol 28:1268–1279

    PubMed  Article  Google Scholar 

  2. Lewis Rachel B, Lattin Grant E, Nandedkar Meenakshi, Aguilera Nadine S (2013) Sclerosing angiomatoid nodular transformation of the spleen: CT and MRI features with pathologic correlation. AJR 200:353–360. doi:10.2214/AJR.12.9522

    Article  Google Scholar 

  3. Gutzeit A, Stuckmann G, Dommann-Scherrer C (2009) Sclerosing angiomatoid nodular transformation (SANT) of the spleen: sonographic finding. J Clin Ultrasound 37:308–311

    PubMed  Article  Google Scholar 

Download references

Acknowledgments

Many thanks to the nurses of the infectious disease department (Monica Cocchi, Lorenza Colella, Livia Davolio and Nicolina Solomita), whose help in the everyday medical practice permits us to complete the grey-scale sonography with intravenous injection of the contrast agents when needed.

Conflict of interest

The authors declare that they have no conflict of interest.

Ethical standard

All procedures followed were in accordance with the ethical standards of the responsible committee on human experimentation (institutional and national) and with the Helsinki Declaration of 1975, as revised in 2000. The patient provided written informed consent to enrolment in the study and to the inclusion in this article of information that could potentially lead to their identification.

Author information

Affiliations

Authors

Corresponding author

Correspondence to Guido Menozzi.

Rights and permissions

Reprints and Permissions

About this article

Verify currency and authenticity via CrossMark

Cite this article

Menozzi, G., Maccabruni, V., Ferrari, A. et al. Contrast sonographic appearance of sclerosing angiomatoid nodular transformation of the spleen. J Ultrasound 18, 305–307 (2015). https://doi.org/10.1007/s40477-014-0100-y

Download citation

  • Received:

  • Accepted:

  • Published:

  • Issue Date:

  • DOI: https://doi.org/10.1007/s40477-014-0100-y

Keywords

  • Arterial Phase
  • Magnetic Resonance Examination
  • Central Scar
  • Early Arterial Phase
  • Splenic Mass