Skip to main content

Renal transplant vascular complications: the role of Doppler ultrasound

Abstract

Improvements in the care of kidney transplant recipients and advances in immunosuppressive therapy have reduced the incidence of graft rejection. As a result, other types of kidney transplant complications, such as surgical, urologic, parenchymal, and vascular complications, have become more common. Although vascular complications account for only 5–10 % of all post-transplant complications, they are a frequent cause of graft loss. Ultrasonography, both in B-mode and with Doppler ultrasound, is a fundamental tool in the differential diagnosis of renal allograft dysfunction. Doppler ultrasound is highly specific in cases of transplanted renal artery stenosis, pseudoaneurysms, arteriovenous fistulas, and thrombosis with complete or partial artery or vein occlusion. A single measurements of color Doppler indexes display high diagnostic accuracy and in particular cases are more useful during the post-transplantation follow-up period. More recent techniques, such as contrast-enhanced ultrasound, undoubtedly increase the accuracy of ultrasonography in the diagnosis of vascular complications involving the transplanted kidney.

Riassunto

La progressiva riduzione dell’incidenza del rigetto ha reso più frequenti le complicanze urologiche, chirurgiche, parenchimali e vascolari. Queste ultime, pur rappresentando soltanto il 5–10 % di tutte le complicanze post-trapianto, sono frequente causa di perdita del graft. L’esame ultrasonografico, sia in B-mode che con l’ausilio del color Doppler, è fondamentale nella diagnosi differenziale delle cause che possono innescare una disfunzione del graft. Sebbene sia ormai indiscussa la sua utilità nella diagnosi di complicanze parenchimali, chirurgiche e urologiche, non è ancora consolidato il suo ruolo in caso di complicanze a carico dell’asse vascolare renale. L’ecocolor-Doppler, in particolare, possiede una specificità tale da poter essere considerato uno strumento diagnostico nella maggior parte delle complicanze vascolari del rene trapiantato, sia acute (occlusione parziale o totale dei vasi renali) che croniche (stenosi dell’arteria renale, pseudo aneurisma e fistola artero-venosa) Gli indici color-Doppler possiedono, infatti, una alta accuratezza diagnostica nella loro singola determinazione, risultando in casi particolari più utili nel follow-up. L’utilizzo di tecniche più moderne, come il mezzo di contrasto ecografico, consente indubbiamente di aumentare l’accuratezza diagnostica dell’esame ultrasonografico nel caso delle complicanze vascolari del rene trapiantato.

This is a preview of subscription content, access via your institution.

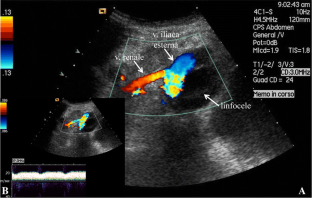
Fig. 1
Fig. 2
Fig. 3
Fig. 4

References

  1. Ghazanfar A, Tavakoli A, Augustine T, Pararajasingam R, Riad H, Chalmers N (2011) Management of transplant artery stenosis and its impact on long-term allograft survival: a single-centre experience. Nephrol Dial Transpl 26:336–343

    Article  Google Scholar 

  2. O’Neill WC, Baumgarten DA (2002) Ultrasonography in renal transplantation. Am J Kidney Dis 39:663–678

    Article  PubMed  Google Scholar 

  3. Mangray M, Vella JP (2011) Hypertension after kidney transplant. Am J Kidney Dis 57:331–341

    CAS  Article  PubMed  Google Scholar 

  4. Granata A, Floccari F, Lentini P, Vittoria S, Di Pietro F, Zamboli P et al (2012) Vascular complications following kidney transplant: the role of color-Doppler imaging. G Ital Nefrol 29(S57):S99–S105

    PubMed  Google Scholar 

  5. Patel U, Khaw KK, Hughes NC (2003) Doppler ultrasound for detection of renal transplant artery stenosis-threshold peak systolic velocity needs to be higher in a low-risk or surveillance population. Clin Radiol 58:772–777

    CAS  Article  PubMed  Google Scholar 

  6. Ferveza FC, Lafayette RA, Alfrey EJ, Petersen J (1998) Renal artery stenosis in kidney transplant. Am J Kidney Dis 31:142–148

    Article  Google Scholar 

  7. Weir MR, Salzberg DJ (2011) Management of hypertension in the transplant patient. J Am Soc Hypertens 5:425–432

    Article  PubMed  Google Scholar 

  8. Irshad A, Ackerman SJ, Campbell AS, Anis M (2009) An overview of renal transplantation: current practice and use of ultrasound. Semin Ultrasound CT MR 30(4):298–314

    Article  PubMed  Google Scholar 

  9. Loubeyre P, Abidi H, Cahen R, Tran Minh VA (1997) Transplanted renal artery: detection of stenosis with color Doppler US. Radiology 203:661–665

    CAS  Article  PubMed  Google Scholar 

  10. Spinosa DJ, Isaacs RB, Matsumoto AH, Angle JF, Hagspiel KD, Leung DA (2001) Angiographic evaluation and treatment of transplant renal artery stenosis. Curr Opin Urol 11:197–205

    CAS  Article  PubMed  Google Scholar 

  11. Sharfuddin A (2011) Imaging evaluation of kidney transplant recipients. Semin Nephrol 31(3):259–271

    Article  PubMed  Google Scholar 

  12. Helenon O, el Rody F, Correas JM, Melki P, Chaveau D, Chrétien Y et al (1995) Color Doppler US of renovascular disease in native kidneys. Radiographics 15:833–854

    CAS  Article  PubMed  Google Scholar 

  13. Granata A, Fiorini F, Andrulli S, Logias F, Lo Piccolo, Sicurezza E (2009) L’ecocolorDoppler nella patologia vascolare del rene trapiantato. Cap. 15. In: Accademia Nazionale di Medicina Granata A, Fiorini F, D’Amelio A, Logias F, Andrulli S (ed) L’ecocolorDoppler nella pratica clinica nefrologica, vol 2, pp 187–196

  14. Akbar SA, Jafri SZ, Amendola MA, Madrazo BL, Salem R, Bis KG (2005) Complications of renal transplantation. Radiographics 25(5):1335–1356

    Article  PubMed  Google Scholar 

  15. Baxter GM, Ireland H, Moss JG, Harden PN, Junor BJ, Rodger RS et al (1995) Colour Doppler ultrasound in renal transplant artery stenosis: which Doppler index? Clin Radiol 50:618–622

    CAS  Article  PubMed  Google Scholar 

  16. Gao J, Li JC, Xiao MS, Ng A, Trost D, Goldstein M et al (2009) Color duplex sonography in severe transplant renal artery stenosis: a comparison of end-to-end and end-to-side arterial anastomoses. Clin Imaging 33:116–122

    Article  PubMed  Google Scholar 

  17. Li JC, Ji ZG, Cai S, Jiang YX, Dai Q, Zhang JX (2005) Evaluation of severe transplant renal artery stenosis with Doppler sonography. J Clin Ultrasound 33:261–269

    Article  PubMed  Google Scholar 

  18. Gao J, Ng A, Shih G, Goldstein M, Kapur S, Wang J et al (2007) Intrarenal color duplex ultrasonography: a window to vascular complications of renal transplants. J Ultrasound Med 26(10):1403–1418

    PubMed  Google Scholar 

  19. Brown ED, Chen MY, Wolfman NT, Ott DJ, Watson NE Jr (2000) Complications of renal transplantation: evaluation with US and radionuclide imaging. Radiographics 20:607–622

    CAS  Article  PubMed  Google Scholar 

  20. Cosgrove DO, Chan KE (2008) Renal transplants: what ultrasound can and cannot do. Ultrasound Q 24(2):77–87

    Article  PubMed  Google Scholar 

  21. Lockhart ME, Robbin ML (2007) Renal vascular imaging: ultrasound and other modalities. Ultrasound Q 23:279–292

    Article  PubMed  Google Scholar 

  22. Drudi FM, Cascone F, Pretagostini R, Ricci P, Trippa F, Righi A et al (2001) Role of Color Doppler US in the evaluation of renal transplant. Radiol Med 101:243–250

    CAS  PubMed  Google Scholar 

  23. Elsayes KM, Menias CO, Willatt J, Azar S, Harvin HJ, Platt JF (2011) Imaging of renal transplant: utility and spectrum of diagnostic findings. Curr Probl Diagn Radiol 40(3):127–139

    Article  PubMed  Google Scholar 

  24. Martinoli C, Bertolotto M, Crespi G, Pretolesi F, Valle M, Derchi LE (1998) Duplex Doppler analysis of interlobular arteries in transplanted kidneys. Eur Radiol 8:765–769

    CAS  Article  PubMed  Google Scholar 

  25. Krumme B (2006) Renal Doppler sonography-update in clinical nephrology. Nephron Clin Pract 103:c24–c28

    Article  PubMed  Google Scholar 

  26. Dupont PJ, Dooldeniya M, Cook T, Warrens AN (2003) Role of duplex Doppler sonography in diagnosis of acute allograft dysfunction-time to stop measuring the resistive index? Transpl Int 16:648–652

    PubMed  Google Scholar 

Download references

Conflict of interest

Antonio Granata, Silvia Clementi, Francesco Londrino, Giulia Romano, Massimiliano Veroux, Fulvio Fiorini, Pasquale Fatuzzo declare that they have no conflict of interest.

Human and animal studies

The study described in this article did not include any procedures involving humans or animals.

Author information

Affiliations

Authors

Corresponding author

Correspondence to Antonio Granata.

Rights and permissions

Reprints and Permissions

About this article

Cite this article

Granata, A., Clementi, S., Londrino, F. et al. Renal transplant vascular complications: the role of Doppler ultrasound. J Ultrasound 18, 101–107 (2015). https://doi.org/10.1007/s40477-014-0085-6

Download citation

  • Received:

  • Accepted:

  • Published:

  • Issue Date:

  • DOI: https://doi.org/10.1007/s40477-014-0085-6

Keywords

  • Ultrasonography
  • Doppler ultrasound
  • Renal transplant
  • Vascular complications