Skip to main content

Renal artery aneurysm mimicking a solid parenchymal lesion

Abstract

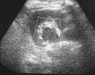
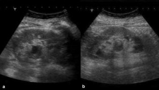
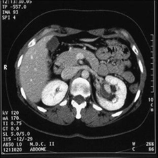
A 40-year-old woman was referred to our department for further investigation of a renal mass identified at an ultrasound (US) examination carried out in a private clinic because of abdominal pain. The mass was oval and hypoechoic, measured about 20 mm in diameter and was located near the left renal sinus; color Doppler showed peripheral blood flow. US examination carried out in our department using different equipment confirmed the presence of the mass but revealed intralesional blood flow suggesting aneurysm. This diagnosis was confirmed at subsequent computed tomography (CT) scanning and magnetic resonance imaging (MRI). The patient refused to undergo surgery and she is currently being monitored and has suffered no sequelae.

Riassunto

Una donna di 40 anni giungeva alla nostra osservazione per la rivalutazione di una formazione renale identificata ad un esame ecografico effettuato esternamente per dolore addominale. Tale formazione, ovalare ipoecogena di circa 20 mm, era localizzata a livello del seno renale di sinistra e mostrava al color Doppler segnale vascolare perifericamente. Il controllo ecografico da noi eseguito con apparecchiatura più performante confermava la presenza della formazione evidenziando tuttavia segnale vascolare al suo interno e ponendo il sospetto di aneurisma, confermato poi ai successivi esami TC ed RM. La paziente rifiutava di sottoporsi ad intervento chirurgico terapeutico ed è tuttora in follow-up senza sequele.

This is a preview of subscription content, access via your institution.

Fig. 1
Fig. 2
Fig. 3
Fig. 4
Fig. 5

References

  1. Shonai T, Koito K, Ichimura T, Hirokawa N, Sakata K, Hareyama M (2000) Renal artery aneurysm: evaluation with color Doppler ultrasonography before and after percutaneous transarterial embolization. J Ultrasound Med 19:277–280

    PubMed  CAS  Google Scholar 

  2. Lumsden AB, Salam TA, Walton KG (1996) Renal artery aneurysm: a report of 28 cases. Cardiovasc Surg 4:185–189

    PubMed  Article  CAS  Google Scholar 

  3. Bulbul MA, Farrow GA (1992) Renal artery aneurysm. Urology 40:124–126

    PubMed  Article  CAS  Google Scholar 

  4. Henke PK, Cardneau JD, Welling TH 3rd, Upchurch GR Jr, Wakefield TW, Jacobs LA et al (2001) Renal artery aneurysms: a 35-year clinical experience with 252 aneurysms in 168 patients. Ann Surg 234:454–462

    PubMed  Article  CAS  Google Scholar 

  5. Nosher JL, Chung J, Brevetti LS, Graham AM, Siegel RL (2006) Visceral and renal artery aneurysms: a pictorial essay on endovascular therapy. Radiographics 26:1687–1704

    PubMed  Article  Google Scholar 

  6. Eskandari MK, Resnick SA (2005) Aneurysms of the renal artery. Semin Vasc Surg 18:202–208

    PubMed  Article  Google Scholar 

  7. Hélénon O, el Rody F, Correas JM, Melki P, Chauveau D, Chrétien Y et al (1995) Color Doppler US of renovascular disease in native kidneys. Radiographics 15:833–854

    PubMed  Google Scholar 

  8. Urban BA, Ratner LE, Fishman EK (2001) Three-dimensional volume-rendered CT angiography of the renal arteries and veins: normal anatomy, variants, and clinical applications. Radiographics 21:373–386

    PubMed  CAS  Google Scholar 

  9. Witz M, Lehmann JM (1996) Ruptured aneurysm of the renal artery in a woman with a solitary kidney. Eur J Surg 162:989–991

    PubMed  CAS  Google Scholar 

  10. Tham G, Ekelund L, Herrlin K, Lindstedt EL, Olin T, Bergentz SE (1983) Renal artery aneurysms: natural history and prognosis. Ann Surg 197:348–352

    PubMed  Article  CAS  Google Scholar 

  11. Dong Q, Schoenberg SO, Carlos RC, Neimatallah M, Cho KJ, Williams DM et al (1999) Diagnosis of renal vascular disease with MR angiography. Radiographics 19:1535–1554

    PubMed  CAS  Google Scholar 

  12. Sédat J, Chau Y, Baque J (2012) Endovascular treatment of renal aneurysms: a series of 18 cases. Eur J Radiol 81:3973–3978

    PubMed  Article  Google Scholar 

Download references

Conflict of interest

V. Vitale, M. Di Serafino, and G. Vallone declare that they have no conflict of interest.

Informed consent

All procedures followed were in accordance with the ethical standards of the responsible committee on human experimentation (institutional and national) and with the Helsinki Declaration of 1975, as revised in 2005 (5). Informed consent was obtained from all patients for being included in the study.

Human and animal studies

This article does not contain any studies with human or animal subjects performed by the any of the authors.

Author information

Affiliations

Authors

Corresponding author

Correspondence to G. Vallone.

Rights and permissions

Reprints and Permissions

About this article

Cite this article

Vitale, V., Di Serafino, M. & Vallone, G. Renal artery aneurysm mimicking a solid parenchymal lesion. J Ultrasound 16, 131–134 (2013). https://doi.org/10.1007/s40477-013-0021-1

Download citation

  • Received:

  • Accepted:

  • Published:

  • Issue Date:

  • DOI: https://doi.org/10.1007/s40477-013-0021-1

Keywords

  • Aneurysm
  • Color Doppler
  • Renal mass
  • Ultrasound