Skip to main content

Treatment of Severe Hypertriglyceridemia-Induced Acute Pancreatitis with Subcutaneous Insulin: Case Report

This is a preview of subscription content, access via your institution.

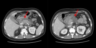
Fig. 1
Fig. 2
Fig. 3

References

  1. Gayam V, Mandal AK, Gill A, Khalid M, Sangha R, Khalid M, et al. A rare case of acute pancreatitis due to very severe hypertriglyceridemia (> 10,000 mg/dL) successfully resolved with insulin therapy alone: a case report and literature review. J Investig Med High Impact Case Rep. 2018;6:2324709618798399.

    PubMed  PubMed Central  Google Scholar 

  2. Wan J, He W, Zhu Y, Zhu Y, Zeng H, Liu P, et al. Stratified analysis and clinical significance of elevated serum triglyceride levels in early acute pancreatitis: a retrospective study. Lipids Health Dis. 2017;16:124.

    Article  Google Scholar 

  3. Zhu Y, Pan X, Zeng H, He W, Xia L, Liu P, et al. A study on the etiology, severity, and mortality of 3260 patients with acute pancreatitis according to the Revised Atlanta Classification in Jiangxi, China over an 8-year period. Pancreas. 2017;46:504–9.

    Article  Google Scholar 

  4. Joury A, Alshehri M, Mahendra A, Anteet M, Yousef MA, Khan AM. Therapeutic approaches in hypertriglyceridemia-induced acute pancreatitis: a literature review of available therapies and case series. J Clin Apher. 2020;35:131–7.

    Article  Google Scholar 

  5. Valdivielso P, Ramirez-Bueno A, Ewald N. Current knowledge of hypertriglyceridemic pancreatitis. Eur J Intern Med. 2014;25:689–94.

    CAS  Article  Google Scholar 

  6. Qihui C, Xiping Z, Xianfeng D. Clinical study on acute pancreatitis in pregnancy in 26 cases. Gastroenterol Res Pract. 2012;2012:271925.

    Article  Google Scholar 

  7. Vonlaufen A, Wilson JS, Apte MV. Molecular mechanisms of pancreatitis: current opinion. J Gastroenterol Hepatol. 2008;23:1339–48.

    CAS  Article  Google Scholar 

  8. Tenner S, Baillie J, DeWitt J, Vege SS. American College of Gastroenterology guideline: management of acute pancreatitis. Am J Gastroenterol. 2013;108(1400–15):1416.

    Google Scholar 

  9. Inayat F, Zafar F, Riaz I, Younus F, Baig AS, Imran Z. Hypertriglyceridemic pancreatitis: is insulin monotherapy a feasible therapeutic option? Cureus. 2018;10:e3461.

    PubMed  PubMed Central  Google Scholar 

  10. Rawla P, Sunkara T, Thandra KC, Gaduputi V. Hypertriglyceridemia-induced pancreatitis: updated review of current treatment and preventive strategies. Clin J Gastroenterol. 2018;11:441–8.

    Article  Google Scholar 

  11. Garg R, Rustagi T. Management of hypertriglyceridemia induced acute pancreatitis. Biomed Res Int. 2018;2018:4721357.

    Article  Google Scholar 

  12. Nasstrom B, Stegmayr B, Gupta J, Olivecrona G, Olivecrona T. A single bolus of a low molecular weight heparin to patients on haemodialysis depletes lipoprotein lipase stores and retards triglyceride clearing. Nephrol Dial Transplant. 2005;20:1172–9.

    Article  Google Scholar 

  13. Click B, Ketchum AM, Turner R, Whitcomb DC, Papachristou GI, Yadav D. The role of apheresis in hypertriglyceridemia-induced acute pancreatitis: a systematic review. Pancreatology. 2015;15:313–20.

    CAS  Article  Google Scholar 

  14. Gavva C, Sarode R, Agrawal D, Burner J. Therapeutic plasma exchange for hypertriglyceridemia induced pancreatitis: a rapid and practical approach. Transfus Apher Sci. 2016;54:99–102.

    Article  Google Scholar 

  15. Gubensek J, Buturovic-Ponikvar J, Romozi K, Ponikvar R. Factors affecting outcome in acute hypertriglyceridemic pancreatitis treated with plasma exchange: an observational cohort study. PLoS One. 2014;9:e102748.

    Article  Google Scholar 

  16. Goldberg IJ. Lipoprotein lipase and lipolysis: central roles in lipoprotein metabolism and atherogenesis. J Lipid Res. 1996;37:693–707.

    CAS  PubMed  Google Scholar 

  17. Eckel RH. Lipoprotein lipase: a multifunctional enzyme relevant to common metabolic diseases. N Engl J Med. 1989;320:1060–8.

    CAS  Article  Google Scholar 

Download references

Author information

Affiliations

Authors

Corresponding author

Correspondence to Youngsun Kim.

Ethics declarations

Funding

No sources of funding were received for the preparation of this case report.

Conflict of interest

Jeonghun Lee and Youngsun Kim have no conflicts of interest that are directly relevant to the content of this case report.

Informed consent

Written consent was approved by all participating physicians who reported safety information for the elaboration of this study.

Rights and permissions

Reprints and Permissions

About this article

Verify currency and authenticity via CrossMark

Cite this article

Lee, J., Kim, Y. Treatment of Severe Hypertriglyceridemia-Induced Acute Pancreatitis with Subcutaneous Insulin: Case Report. Clin Drug Investig 40, 671–674 (2020). https://doi.org/10.1007/s40261-020-00928-0

Download citation

  • Published:

  • Issue Date:

  • DOI: https://doi.org/10.1007/s40261-020-00928-0