Skip to main content

Central Retinal Artery Occlusion: Acute Management and Treatment

Abstract

Purpose of Review

This review will seek to answer if advances in ophthalmic imaging and evolution of treatment modalities have shed further light on the epidemiology, pathophysiology, diagnosis, and acute management of acute central retinal artery occlusion (CRAO).

Recent Findings

Imaging characteristics of acute CRAO have been further characterized with the use of fluorescein angiography, optical coherence tomography (OCT), OCT-angiography, and indocyanine green angiography. Layer segmentation of OCT imaging has found inner retinal layer hyper-reflectivity to be a common finding in acute CRAO. Non-invasive therapies, fibrinolytic delivery, and surgical interventions for acute CRAO have been further evaluated as potential management tools.

Summary

A large body of literature reports very inconsistent treatment success with a wide variety of modalities. Currently, there is no clear evidence supporting the use of fibrinolytics in acute CRAO. Large, multicenter, randomized control trials are necessary to elucidate the role of the various acute treatment options in the management of CRAO.

This is a preview of subscription content, access via your institution.

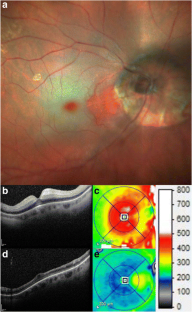
Fig. 1
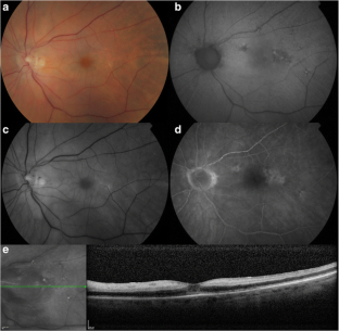
Fig. 2
Fig. 3
Fig. 4

References

Papers of particular interest, published recently, have been highlighted as: • Of importance •• Of major importance

  1. Leavitt JA, Larson TA, Hodge DO, Gullerud RE. The incidence of central retinal artery occlusion in Olmsted County, Minnesota. Am J Ophthalmol. 2011;152(5):820–3. e822

    Article  PubMed  PubMed Central  Google Scholar 

  2. Park SJ, Choi NK, Seo KH, Park KH, Woo SJ. Nationwide incidence of clinically diagnosed central retinal artery occlusion in Korea, 2008 to 2011. Ophthalmology. 2014;121(10):1933–8.

    Article  PubMed  Google Scholar 

  3. Hayreh SS, Zimmerman MB. Central retinal artery occlusion: visual outcome. Am J Ophthalmol. 2005;140(3):376–91.

    Article  PubMed  Google Scholar 

  4. • Varma DD, Cugati S, Lee AW, Chen CS. A review of central retinal artery occlusion: clinical presentation and management. Eye (Lond). 2013;27(6):688–97. Demonstrates the difficulty in treating patients with CRAO with intravenous or intra-arterial tPA in a timely manner.

    CAS  Article  Google Scholar 

  5. Rim TH, Han J, Choi YS, et al. Retinal artery occlusion and the risk of stroke development: twelve-year nationwide cohort study. Stroke. 2016;47(2):376–82.

    Article  PubMed  Google Scholar 

  6. • Zhou Y, Zhu W, Wang C. Relationship between retinal vascular occlusions and incident cerebrovascular diseases: a systematic review and meta-analysis. Medicine (Baltimore). 2016;95(26):e4075. This study provides further evidence for the importance of systemic risk factor management in patients with CRAO to decrease the risk of subsequent cerebrovascular disease.

    Article  Google Scholar 

  7. Helenius J, Arsava EM, Goldstein JN, et al. Concurrent acute brain infarcts in patients with monocular visual loss. Ann Neurol. 2012;72(2):286–93.

    Article  PubMed  PubMed Central  Google Scholar 

  8. Lee J, Kim SW, Lee SC, Kwon OW, Kim YD, Byeon SH. Co-occurrence of acute retinal artery occlusion and acute ischemic stroke: diffusion-weighted magnetic resonance imaging study. Am J Ophthalmol. 2014;157(6):1231–8.

    Article  PubMed  Google Scholar 

  9. Lauda F, Neugebauer H, Reiber L, Juttler E. Acute silent brain infarction in monocular visual loss of ischemic origin. Cerebrovasc Dis. 2015;40(3–4):151–6.

    CAS  Article  PubMed  Google Scholar 

  10. Hayreh SS. Pathogenesis of occlusion of the central retinal vessels. Am J Ophthalmol. 1971;72(5):998–1011.

    CAS  Article  PubMed  Google Scholar 

  11. Hayreh SS, Zimmerman MB, Kimura A, Sanon A. Central retinal artery occlusion. Retinal survival time. Exp Eye Res. 2004;78(3):723–36.

    CAS  Article  PubMed  Google Scholar 

  12. Hayreh SS. Acute retinal arterial occlusive disorders. Prog Retin Eye Res. 2011;30(5):359–94.

    Article  PubMed  PubMed Central  Google Scholar 

  13. Arruga J, Sanders MD. Ophthalmologic findings in 70 patients with evidence of retinal embolism. Ophthalmology. 1982;89(12):1336–47.

    CAS  Article  PubMed  Google Scholar 

  14. Barnett HJ, Taylor DW, Eliasziw M, et al. Benefit of carotid endarterectomy in patients with symptomatic moderate or severe stenosis. North American Symptomatic Carotid Endarterectomy Trial Collaborators. N Engl J Med. 1998;339(20):1415–25.

    CAS  Article  PubMed  Google Scholar 

  15. Justice Jr J, Lehmann RP. Cilioretinal arteries. A study based on review of stereo fundus photographs and fluorescein angiographic findings. Arch Ophthalmol. 1976;94(8):1355–8.

    Article  PubMed  Google Scholar 

  16. Hayreh SS, Zimmerman MB. Fundus changes in central retinal artery occlusion. Retina. 2007;27(3):276–89.

    Article  PubMed  Google Scholar 

  17. Schmidt DP, Schulte-Monting J, Schumacher M. Prognosis of central retinal artery occlusion: local intraarterial fibrinolysis versus conservative treatment. AJNR Am J Neuroradiol. 2002;23(8):1301–7.

    PubMed  Google Scholar 

  18. Gong H, Song Q, Wang L. Manifestations of central retinal artery occlusion revealed by fundus fluorescein angiography are associated with the degree of visual loss. Exp Ther Med. 2016;11(6):2420–4.

    PubMed  PubMed Central  Google Scholar 

  19. Yilmaz G, Dursun D, Aydin P. Indocyanine green angiographic imaging of central retinal artery occlusion with cilioretinal sparing. Eye (Lond). 1999;13(Pt 5):695–7.

    Article  PubMed  Google Scholar 

  20. Tang PH, Lee MS, van Kuijk FJ. Ultra wide-field indocyanine green angiogram highlights choroidal perfusion delay secondary to giant cell arteritis. Ophthalmic Surg Lasers Imaging Retina. 2016;47(5):471–3.

    Article  PubMed  Google Scholar 

  21. Andersen MV, Dahl H, Fledelius H, Nielsen NV. Central retinal artery occlusion in a patient with Fabry’s disease documented by scanning laser ophthalmoscopy. Acta Ophthalmol. 1994;72(5):635–8.

    CAS  Article  Google Scholar 

  22. Fercher AF, Hitzenberger CK, Drexler W, Kamp G, Sattmann H. In vivo optical coherence tomography. Am J Ophthalmol. 1993;116(1):113–4.

    CAS  Article  PubMed  Google Scholar 

  23. •• Ahn SJ, Woo SJ, Park KH, Jung C, Hong JH, Han MK. Retinal and choroidal changes and visual outcome in central retinal artery occlusion: an optical coherence tomography study. Am J Ophthalmol. 2015;159(4):667–76. Merged a prior fluorescein angiography-based classification system with novel OCT-derived characteristics to provide a basis for OCT-guided staging and prognosis in CRAO.

    Article  PubMed  Google Scholar 

  24. Dotan G, Goldenberg D, Kesler A, Naftaliev E, Loewenstein A, Goldstein M. The use of spectral-domain optical coherence tomography for differentiating long-standing central retinal artery occlusion and nonarteritic anterior ischemic optic neuropathy. Ophthalmic Surg Lasers Imaging Retina. 2014;45(1):38–44.

    Article  PubMed  Google Scholar 

  25. Lee SY, Stetson PF, Ruiz-Garcia H, Heussen FM, Sadda SR. Automated characterization of pigment epithelial detachment by optical coherence tomography. Invest Ophthalmol Vis Sci. 2012;53(1):164–70.

    Article  PubMed  Google Scholar 

  26. Neudorfer M, Weinberg A, Loewenstein A, Barak A. Differential optical density of subretinal spaces. Invest Ophthalmol Vis Sci. 2012;53(6):3104–10.

    Article  PubMed  Google Scholar 

  27. Akbari M, Abdi P, Fard MA, et al. Retinal ganglion cell loss precedes retinal nerve fiber thinning in nonarteritic anterior ischemic optic neuropathy. J Neuroophthalmol. 2016;36(2):141–6.

    Article  PubMed  Google Scholar 

  28. De Dompablo E, Garcia-Montesinos J, Munoz-Negrete FJ, Rebolleda G. Ganglion cell analysis at acute episode of nonarteritic anterior ischemic optic neuropathy to predict irreversible damage. A prospective study. Graefes Arch Clin Exp Ophthalmol. 2016;254(9):1793–800.

    CAS  Article  PubMed  Google Scholar 

  29. Park SW, Ji YS, Heo H. Early macular ganglion cell-inner plexiform layer analysis in non-arteritic anterior ischemic optic neuropathy. Graefes Arch Clin Exp Ophthalmol. 2016;254(5):983–9.

    Article  PubMed  Google Scholar 

  30. Yu S, Pang CE, Gong Y, et al. The spectrum of superficial and deep capillary ischemia in retinal artery occlusion. Am J Ophthalmol. 2015;159(1):53–63. e51-52

    Article  PubMed  Google Scholar 

  31. Chen H, Chen X, Qiu Z, et al. Quantitative analysis of retinal layers’ optical intensities on 3D optical coherence tomography for central retinal artery occlusion. Sci Rep. 2015;5:9269.

    CAS  Article  PubMed  PubMed Central  Google Scholar 

  32. Chen H, Xia H, Qiu Z, Chen W, Chen X. Correlation of optical intensity on optical coherence tomography and visual outcome in central retinal artery occlusion. Retina. 2016.

  33. Spaide RF, Klancnik Jr JM, Cooney MJ. Retinal vascular layers imaged by fluorescein angiography and optical coherence tomography angiography. JAMA Ophthalmol. 2015;133(1):45–50.

    Article  PubMed  Google Scholar 

  34. Bonini Filho MA, Adhi M, de Carlo TE, et al. Optical coherence tomography angiography in retinal artery occlusion. Retina. 2015;35(11):2339–46.

    Article  PubMed  Google Scholar 

  35. Damento G, Chen MH, Leng T. Spectral-domain optical coherence tomography angiography of central retinal artery occlusion. Ophthalmic Surg Lasers Imaging Retina. 2016;47(5):467–70.

    Article  PubMed  Google Scholar 

  36. Spaide RF, Fujimoto JG, Waheed NK. Image artifacts in optical coherence tomography angiography. Retina. 2015;35(11):2163–80.

    Article  PubMed  PubMed Central  Google Scholar 

  37. •• Callizo J, Feltgen N, Pantenburg S, et al. Cardiovascular risk factors in central retinal artery occlusion: results of a prospective and standardized medical examination. Ophthalmology. 2015;122(9):1881–8. Highlighted the importance of carotid artery duplex examination for patients with CRAO.

    Article  PubMed  Google Scholar 

  38. Schumacher M, Schmidt D, Jurklies B, et al. Central retinal artery occlusion: local intra-arterial fibrinolysis versus conservative treatment, a multicenter randomized trial. Ophthalmology. 2010;117(7):1367–75. e1361

    Article  PubMed  Google Scholar 

  39. Brown GC, Magargal LE, Shields JA, Goldberg RE, Walsh PN. Retinal arterial obstruction in children and young adults. Ophthalmology. 1981;88(1):18–25.

    CAS  Article  PubMed  Google Scholar 

  40. Hayreh SS. Anterior ischemic optic neuropathy. Arch Neurol. 1981;38(11):675–8.

    CAS  Article  PubMed  Google Scholar 

  41. Rumelt S, Dorenboim Y, Rehany U. Aggressive systematic treatment for central retinal artery occlusion. Am J Ophthalmol. 1999;128(6):733–8.

    CAS  Article  PubMed  Google Scholar 

  42. Pearson TA, Blair SN, Daniels SR, et al. AHA guidelines for primary prevention of cardiovascular disease and stroke: 2002 update: consensus panel guide to comprehensive risk reduction for adult patients without coronary or other atherosclerotic vascular diseases. American Heart Association Science Advisory and Coordinating Committee. Circulation. 2002;106(3):388–91.

    Article  PubMed  Google Scholar 

  43. Schmidt D, Hetzel A, Geibel-Zehender A, Schulte-Monting J. Systemic diseases in non-inflammatory branch and central retinal artery occlusion—an overview of 416 patients. Eur J Med Res. 2007;12(12):595–603.

    PubMed  Google Scholar 

  44. Fraser SG, Adams W. Interventions for acute non-arteritic central retinal artery occlusion. Cochrane Database Syst Rev. 2009;1:CD001989.

    Google Scholar 

  45. Harino S, Grunwald JE, Petrig BJ, Riva CE. Rebreathing into a bag increases human retinal macular blood velocity. Br J Ophthalmol. 1995;79(4):380–3.

    CAS  Article  PubMed  PubMed Central  Google Scholar 

  46. Menzel-Severing J, Siekmann U, Weinberger A, Roessler G, Walter P, Mazinani B. Early hyperbaric oxygen treatment for nonarteritic central retinal artery obstruction. Am J Ophthalmol. 2012;153(3):454–9. e452

    CAS  Article  PubMed  Google Scholar 

  47. Atebara NH, Brown GC, Cater J. Efficacy of anterior chamber paracentesis and Carbogen in treating acute nonarteritic central retinal artery occlusion. Ophthalmology. 1995;102(12):2029–34. discussion 2034-2025

    CAS  Article  PubMed  Google Scholar 

  48. Rassam SM, Patel V, Kohner EM. The effect of acetazolamide on the retinal circulation. Eye (Lond). 1993;7(Pt 5):697–702.

    Article  PubMed  Google Scholar 

  49. Fiess A, Cal O, Kehrein S, Halstenberg S, Frisch I, Steinhorst UH. Anterior chamber paracentesis after central retinal artery occlusion: a tenable therapy? BMC Ophthalmol. 2014;14:28.

    Article  PubMed  PubMed Central  Google Scholar 

  50. Werner D, Michalk F, Harazny J, Hugo C, Daniel WG, Michelson G. Accelerated reperfusion of poorly perfused retinal areas in central retinal artery occlusion and branch retinal artery occlusion after a short treatment with enhanced external counterpulsation. Retina. 2004;24(4):541–7.

    Article  PubMed  Google Scholar 

  51. Incandela L, Cesarone MR, Belcaro G, et al. Treatment of vascular retinal disease with pentoxifylline: a controlled, randomized trial. Angiology. 2002;53(Suppl 1):S31–4.

    PubMed  Google Scholar 

  52. Garcia-Arumi J, Martinez-Castillo V, Boixadera A, Fonollosa A, Corcostegui B. Surgical embolus removal in retinal artery occlusion. Br J Ophthalmol. 2006;90(10):1252–5.

    CAS  Article  PubMed  PubMed Central  Google Scholar 

  53. Lu N, Wang NL, Wang GL, Li XW, Wang Y. Vitreous surgery with direct central retinal artery massage for central retinal artery occlusion. Eye (Lond). 2009;23(4):867–72.

    CAS  Article  Google Scholar 

  54. Nadal J, Ding Wu A, Canut M. Vitrectomy with intrasurgical control of ocular hypotony as a treatment for central retina artery occlusion. Retina. 2015;35(8):1704–5.

    Article  PubMed  Google Scholar 

  55. Opremcak E, Rehmar AJ, Ridenour CD, Borkowski LM, Kelley JK. Restoration of retinal blood flow via translumenal Nd:YAG embolysis/embolectomy (TYL/E) for central and branch retinal artery occlusion. Retina. 2008;28(2):226–35.

    Article  PubMed  Google Scholar 

  56. Hayreh SS. Restoration of retinal blood flow via translumenal Nd:YAG embolysis/embolectomy (TYL/E) for central and branch retinal artery occlusion. Retina. 2008;28(9):1369–72. author reply 1372-1363

    Article  PubMed  Google Scholar 

  57. Jauch EC, Saver JL, Adams Jr HP, et al. Guidelines for the early management of patients with acute ischemic stroke: a guideline for healthcare professionals from the American Heart Association/American Stroke Association. Stroke. 2013;44(3):870–947.

    Article  PubMed  Google Scholar 

  58. Chen CS, Lee AW, Campbell B, et al. Efficacy of intravenous tissue-type plasminogen activator in central retinal artery occlusion: report from a randomized, controlled trial. Stroke. 2011;42(8):2229–34.

    CAS  Article  PubMed  Google Scholar 

  59. Hattenbach LO, Kuhli-Hattenbach C, Scharrer I, Baatz H. Intravenous thrombolysis with low-dose recombinant tissue plasminogen activator in central retinal artery occlusion. Am J Ophthalmol. 2008;146(5):700–6.

    CAS  Article  PubMed  Google Scholar 

  60. Powers WJ, Derdeyn CP, Biller J, et al. 2015 American Heart Association/American Stroke Association focused update of the 2013 guidelines for the early management of patients with acute ischemic stroke regarding endovascular treatment: a guideline for healthcare professionals from the American Heart Association/American Stroke Association. Stroke. 2015;46(10):3020–35.

    CAS  Article  PubMed  Google Scholar 

  61. Broderick JP, Palesch YY, Demchuk AM, et al. Endovascular therapy after intravenous t-PA versus t-PA alone for stroke. N Engl J Med. 2013;368(10):893–903.

    CAS  Article  PubMed  PubMed Central  Google Scholar 

  62. Kidwell CS, Jahan R, Gornbein J, et al. A trial of imaging selection and endovascular treatment for ischemic stroke. N Engl J Med. 2013;368(10):914–23.

    CAS  Article  PubMed  PubMed Central  Google Scholar 

  63. Ciccone A, Valvassori L, Investigators SE. Endovascular treatment for acute ischemic stroke. N Engl J Med. 2013;368(25):2433–4.

    PubMed  Google Scholar 

  64. Van Stavern RB, Egan RA. Should patients with acute central retinal artery occlusion be treated with intra-arterial t-PA?: response. J Neuroophthalmol. 2015;35(4):444–5.

    Article  PubMed  Google Scholar 

  65. Aldrich EM, Lee AW, Chen CS, et al. Local intraarterial fibrinolysis administered in aliquots for the treatment of central retinal artery occlusion: the Johns Hopkins Hospital experience. Stroke. 2008;39(6):1746–50.

    Article  PubMed  Google Scholar 

  66. Biousse V, Calvetti O, Bruce BB, Newman NJ. Thrombolysis for central retinal artery occlusion. J Neuroophthalmol. 2007;27(3):215–30.

    Article  PubMed  Google Scholar 

  67. •• Ahn SJ, Kim JM, Hong JH, et al. Efficacy and safety of intra-arterial thrombolysis in central retinal artery occlusion. Invest Ophthalmol Vis Sci. 2013;54(12):7746–55. Large retrospective case series that suggests patients with incomplete-type CRAO may benefit from local intra-arterial fibrinolysis.

    CAS  Article  PubMed  Google Scholar 

  68. Hunder GG, Bloch DA, Michel BA, et al. The American College of Rheumatology 1990 criteria for the classification of giant cell arteritis. Arthritis Rheum. 1990;33(8):1122–8.

    CAS  Article  PubMed  Google Scholar 

  69. Borg FA, Salter VL, Dasgupta B. Neuro-ophthalmic complications in giant cell arteritis. Curr Allergy Asthma Rep. 2008;8(4):323–30.

    Article  PubMed  Google Scholar 

  70. Hayreh SS, Biousse V. Treatment of acute visual loss in giant cell arteritis: should we prescribe high-dose intravenous steroids or just oral steroids? J Neuroophthalmol. 2012;32(3):278–87.

    Article  PubMed  Google Scholar 

  71. Dasgupta B, Borg FA, Hassan N, et al. BSR and BHPR guidelines for the management of giant cell arteritis. Rheumatology (Oxford). 2010;49(8):1594–7.

    Article  Google Scholar 

  72. Dasgupta B, Giant Cell Arteritis Guideline Development G. Concise guidance: diagnosis and management of giant cell arteritis. Clin Med (Lond). 2010;10(4):381–6.

    Article  PubMed  Google Scholar 

  73. Nesher G, Berkun Y, Mates M, Baras M, Rubinow A, Sonnenblick M. Low-dose aspirin and prevention of cranial ischemic complications in giant cell arteritis. Arthritis Rheum. 2004;50(4):1332–7.

    CAS  Article  PubMed  Google Scholar 

  74. Achkar AA, Hunder GG, Gabriel SE. Effect of previous corticosteroid treatment on temporal artery biopsy results. Ann Intern Med. 1998;128(5):410.

    CAS  Article  PubMed  Google Scholar 

  75. Black R, Roach D, Rischmueller M, Lester SL, Hill CL. The use of temporal artery ultrasound in the diagnosis of giant cell arteritis in routine practice. Int J Rheum Dis. 2013;16(3):352–7.

    Article  PubMed  Google Scholar 

Download references

Acknowledgements

Special thanks for Jay Sridhar for reviewing this paper.

Author information

Affiliations

Authors

Corresponding author

Correspondence to Raquel Goldhardt.

Ethics declarations

Conflict of Interest

Yasha Modi is Advisory Board Member at Genentech, Inc.

Rosa Dolz-Marco, Nitish Mehta, and Raquel Goldhardt declare no conflicts of interest.

Human and Animal Rights and Informed Consent

This article does not contain any studies with human or animal subjects performed by any of the authors.

Additional information

This article is part of the Topical Collection on Therapies in Age-Related Macular Degeneration

Rights and permissions

Reprints and Permissions

About this article

Verify currency and authenticity via CrossMark

Cite this article

Mehta, N., Marco, R.D., Goldhardt, R. et al. Central Retinal Artery Occlusion: Acute Management and Treatment. Curr Ophthalmol Rep 5, 149–159 (2017). https://doi.org/10.1007/s40135-017-0135-2

Download citation

  • Published:

  • Issue Date:

  • DOI: https://doi.org/10.1007/s40135-017-0135-2

Keywords

  • Retina
  • Central retinal artery occlusion
  • Intra-arterial tPA
  • Optical coherence tomography angiography