Abstract
The use of short-chain organic acids in the diets of aquacultured animals as a prophylactic to bacterial pathogens is receiving increasing research and commercial interest. After giant freshwater prawns, Macrobrachium rosenbergii, were fed diets supplemented with formic (FA), citric (CA), lactic (LA), propionic acid (PA), an organic acid blend (OAB) at 1% or a control diet (no additives) for 6 weeks, the prawns were subjected to Vibrio harveyi challenge for 2 weeks. From all remaining prawns, the hepatopancreatic histopathology was examined. Results showed that the survival of prawns to V. harveyi challenge was significantly higher (P < 0.05) when fed the LA diet, followed by the CA diet, than the other treatments. This was likely due to less bacterial-induced hepatopancreatic damage and higher energy reserves compared to those fed the other diets. This is the first report to compare the efficacy of different organic acids to a crustacean as well as showing hepatopancreatic protective properties to freshwater prawns when challenged with pathogenic bacteria. The present study indicated that dietary organic acids can be a viable alternative to the use of harmful antibiotics in the prawn farming industry.
Introduction
An increasing trend in aquaculture is to reduce the reliance on antibiotics since these can be an effective prophylactic against disease as well as growth promoter when used at low doses, the long-term consequences can be harmful to the host animal, environment and potentially the human consumer (reviewed by Defoirdt et al. 2009; Marshall and Levy 2011). A promising alternative to antibiotics are organic acids, which include short-chain fatty acids (SCFA), which are “generally regarded as safe” compounds with one or more carboxyl groups and less than six carbons in their molecular formula. These have been used for many decades in the terrestrial animal feed industry as an antimicrobial and growth promoter (Thompson and Hinton 1997; Kluge et al. 2006). In more recent years, organic acids such as lactic, formic, citric and propionic acids and their associated salts have been the focus of research for use in aquatic animal feeds (Ng and Koh 2011, 2016; Sukor et al. 2016).
The beneficial effects of dietary organic acids to the gastrointestinal tract of aquatic animals can include reducing potentially harmful bacteria in favor of more beneficial bacteria (e.g., lactic acid bacteria); however, the effectiveness of organic acids to disease resistance can be highly dependent on the host species and the type of organic acid used, often leading to contrasting findings (reviewed by Ng and Koh 2016). It is known that bacterial pathogens such as Vibrio spp. can be highly pathogenic to various crustacean species during the larviculture or post-larvae stages under stressful conditions (Tonguthai 1992; Lavilla Pitogo et al. 1998; Jayaprakash et al. 2006). Although Vibrio spp. is predominately found in brackish and marine waters, these bacteria have been detected in diseased Macrobrachium rosenbergii within some freshwater ponds in Thailand (Tonguthai 1992) even though the main route of infections is during the larval stages, which require brackish water (Jayaprakash et al. 2006). Moreover, when injected, V. harveyi was shown to be highly virulent to M. rosenbergii juveniles, which was suggested to become an increasing disease problem to freshwater hosts (Siripornadulsil et al. 2014). Apart from anti-bacterial properties, organic acids including SCFA can have a beneficial impact on farmed aquatic animals by enhancing nutrient availability, feed palatability, digestive enzyme activity as well as gut morphology (as reviewed in Ng and Koh, 2016). Dietary organic acids have also been reported to enhance the non-specific immune response of shrimp and have shown substantial promise in the control of vibriosis (Su et al. 2014; Romano et al. 2015; Ng et al. 2015).
The global farming of M. rosenbergii has been steadily growing over the past decade from 196,848 metric tons in 2004 to 230,333 metric tons in 2014 (FAO 2016). This industry has been limited, however, due to the threat of bacterial diseases leading to the widespread use of antibiotics in some areas to control bacterial diseases in M. rosenbergii farming (Paul et al. 2011). The exact extent of this practice is difficult to determine; nevertheless, finding eco-friendly prophylactics to bacterial disease would clearly benefit this industry. We recently reported that Litopenaeus vannamei and Penaeus monodon fed organic acid-treated diets had significantly enhanced resistance to V. harveyi (Romano et al. 2015; Ng et al. 2015); to date and to the best of our knowledge, no information exists that compares the efficacy of different dietary organic acids on the disease resistance and subsequent histopathology of a freshwater crustacean. The aim of the current study was to compare different dietary additions of organic acids at 1% that included formic acid (FA), citric acid (CA), lactic acid (LA), propionic acid (PA) or an organic acid blend (OAB), on susceptibility and hepatopancreatic histopathology of M. rosenbergii to V. harveyi challenge.
Materials and methods
Experimental diets
A total of six isonitrogenous and isolipidic practical diets were formulated to contain a 1% level of different organic acids which included formic acid (FA; HCOOH), citric acid (CA; C6H8O7), lactic acid (LA; C3H6O3), propionic acid (PA; CH3CH2COOH) and an organic acid blend (OAB). The proprietary OAB (Universiti Sains Malaysia) consisted of five organic acids (formic acid, lactic acid, malic acid, tartaric acid and citric acid; 75% w/w) adsorbed onto a silicon dioxide-based inert carrier (25% w/w) as previously described (Koh et al. 2016). Since LA, FA and PA were in a solution form, these were made into a powder by mixing with a silicon dioxide-based inert carrier at a 1:1 ratio. Therefore, when these were added in the experimental diets at 2%, this yielded 1% LA, FA and PA, respectively. The CA and the OAB were already in powder form and were added at 1% (Table 1). Since all the organic acids were made into powder form before use, they were added to the mixture of ingredients and mixed homogenously.
The main source of dietary protein was fishmeal (9.78%) and soybean meal (64.16%), while fish oil and soybean oil were included as the main lipid sources. All major dietary ingredients were purchased from local stores except otherwise indicated. Fish and soybean oils, corn starch and α-cellulose were purchased from Liang Traco Ltd. (Malaysia). Cholesterol (Solvay Ltd., The Netherlands) was added at 0.5% in all diets to satisfy the reported requirements for M. rosenbergii (Briggs et al. 1988). The proximate composition of the experimental diets was measured according to standard AOAC (1997) methods and values were generally similar among all diets (Table 1). Crude dietary lipid and protein were relatively constant at 7.7–8.3 and 34.6–35.3%, respectively. This feed formulation was based on the known nutrient requirements for M. rosenbergii (D’Abramo and Sheen 1994). Dietary pH was measured according to Romano et al. (2015).
The experimental diets were prepared by thoroughly mixing the dry ingredients with oil and water in a Hobart mixer. The moist dough was then screw-pressed through a 2-mm die in a meat mincer and the feed pellets formed were fan-dried. After forced air-drying the pellets for at least 6 h to improve water stability, the diets were then crumbled into appropriate sizes (0.5–1.5 mm) and stored at −20 °C in airtight polyethylene bags until required.
Source of animals and acclimation
Giant freshwater prawn, M. rosenbergii, post-larvae were obtained from a commercial hatchery (Sitiawan, Perak) and acclimated in a one ton stocking tank that ran on a freshwater flow-through system for 3 weeks upon arrival to our laboratory. The water temperature was ambient (28 ± 2 °C) and the prawns were fed twice per day to apparent satiation with a commercial prawn feed (45% crude protein) (Gold Coin Ltd., Malaysia). The water was sourced from the city water supply which was carbon and sand filtered prior to entering the tank and several air stones provided continuous aeration.
Experimental set-up and design
After the acclimation period, 360 prawns (initial weight 0.17 ± 0.01 g, mean ± SD) were randomly distributed into 18 glass aquariums [90-L capacity; 30 cm (W) × 70 cm (L) × 46 cm (H)]. Treatments were randomly assigned for a total of three replicates for each dietary treatment, and in each replicate there were 20 prawns. All aquaria ran on a freshwater flow-through system after being carbon and sand filtered and the set-up and conditions of the culture system were previously described by Kim et al. (2013). In each aquarium, one air stone provided gentle aeration and three groups of polyvinyl chloride (PVC) pipes (each pipe were 21 × 6.5 × 10.5 cm, radius × diameter × length), arranged as a pyramid, were allocated to minimize cannibalism by acting as shelters. The water temperature range was 29 ± 2 °C throughout the feeding period.
The prawns were fed with the experimental diets three times daily (08:30, 12:30 and 16:30 h) to apparent satiation (approximately 15% of wet body weight per day). To reduce nutrient leaching, the amount of feed given at each feeding time was dependent on feeding activity of the prawns and the introduction of feeds was stopped when it was observed that active prawn feeding activity had ceased. Each day, the aquaria were siphoned to remove feces and any molted exoskeletons and the feeding duration lasted 6 weeks. Growth and survival data were not monitored during the 6-week feeding period since it was known from an immediate prior 8-week feeding trial that prawns fed the same diets in the same experimental set-up elicited a percentage weight gain of 630–812% and a survival of 68–93% (unpublished data). The prawns were fed 6 weeks in the present experiment for the prawns to achieve sizes (1.2–1.5 g) suitable for the bacterial challenge test and subsequent hepatopancreatic histopathological analysis, which is the focus of the present study.
Bacterial challenge and histology
After 6 weeks, all prawns were transferred to the nearby National Fish Health Research Centre (Department of Fisheries, Malaysia) for hepatopancreas histology preparations and bacterial challenge test. For the bacterial challenge test, ten apparently healthy prawns of similar size (1.2–1.5 g) were distributed into each triplicate tank and fed their respective experimental diet twice daily (8:30 and 16:30 h) for 1 week. Prawns used for the bacterial challenge test were considered healthy prawns as they showed good growth and were actively feeding. All tanks had one air stone providing gentle aeration and PVC pipes acted as shelters. Each day, any uneaten feed or feces were siphoned out in the morning and approximately 30% of the water was exchanged. Remaining prawns from each dietary treatment not used for the disease challenge test were dissected and the hepatopancreas was immersion fixed in Davidson’s formalin solution for 24 h. Samples were then transferred to 70% ethanol until processing using a Leica TP 1020 automatic tissue processor (Leica Microsystems, Nussloch, Germany). The samples were then embedded in paraffin wax and sectioned (5–6 μm thickness) using a Leica RM 2145 rotary microtome. Sections were mounted on poly-l-lysine (Sigma) frosted slides, stained with hematoxylin and eosin and examined under a light microscope.
In preparation for the bacterial disease challenge, V. harveyi (strain no. ATCC 14126), which was stored in a Marine broth 2216 containing beads and 20% (v/v) glycerol (Qrec, New Zealand) (pH 7.4) at −80 °C was grown on a TSA plate (Trypticase Soy Agar) at 28 °C for 24-h. A single colony was selected and cultured on a TSA plate for another 24-h at 28 °C before being transferred to a Tryptic Soy Broth for 24-h at 28 °C. The broth cultures were then stored in an incubator shaker for 12 h. The broth culture was then centrifuged at 10,000 rpm for 15 min. The supernatant was removed and the bacterial pellet was re-suspended in a saline solution (0.85% NaCl) and then diluted to a standard concentration equal to an optical density (OD) of 1.0 at 545 nm. As determined by standard dilutions and plating methods, this standard suspension of bacteria contained 1 × 109 CFU/ml.
Using this bacterial suspension, the prawns were injected intramuscularly with 50 µl between the third and fourth abdominal segments (Sahoo et al. 2006) at a concentration of 1 × 105 CFU/ml. This concentration was based on a pilot study to determine the relationship between prawn mortality and the challenge dose (107, 106, 105, 104 and 103 CFU/ml) and the most appropriate dose was chosen based on the occurrence of 50% mortality of prawns over a 2-week period. Each day the prawns were fed their respective diet twice to apparent satiation along with a 15% water exchange. Mortalities were recorded daily and the challenge period lasted 2 weeks. After the 2-week bacterial challenge, the hepatopancreas from the remaining prawns were immersion fixed for histological examination. Three replicate prawns in each treatment were dissected for the hepatopancreas and examined for the histopathology. The prevalence of various hepatopancreatic cells (R cells, B cells and E cells) and tubule diameter (using a micrometer, 100 µm) was quantified within 20 randomly selected tubules from triplicates in each treatment.
Statistical analysis
All data were subjected to one-way ANOVA using SPSS 11.5 (SPSS, Chicago, IL, USA) after confirmation of homogeneity of variance. When a significant treatment effect was observed, a Duncan’s multiple range test was used to compare means. Treatment effects were considered significant when P < 0.05.
Results
Histology of the hepatopancreas without pathogen challenge
The hepatopancreas of M. rosenbergii fed the control diet without pathogen challenge is shown in Fig. 1 and consisted of “star-like” tubules of varying sizes that contained different epithelial cells including E cells (“embryonalzellen” or embryonic cells), B cells (“blasenzellen” cells), R cells (“restzellen” cells) and F cells (“fibrenzellen” cells). The E cells are undifferentiated containing a relatively large nucleus, while the R cells are known to contain lipid droplets and these cells were generally located medially and distally from the lumen in each tubule. The B cells were the largest among the cells, but with high size variability, and often located medially and proximally from the lumen. The F cells were basophilic and were observed to be much less prevalent than the other cells. There was no significant difference (P > 0.05) to the prevalence of the R cells, E cells or B cells among the dietary treatments and ranged from 4.25 to 5.61, 16.88–19.42 and 7.42–8.41 (mean number/tubule), respectively. No significant differences in tubule diameter were observed.
Bacterial challenge
The cumulative mortalities of prawns fed different organic acid diets after the V. harveyi challenge test are shown in Fig. 2. Results showed that prawns fed the LA diet had significantly lower (P < 0.05) mortalities when challenged with V. harveyi than all other dietary treatments after 2 weeks. This was followed by the prawns fed the CA diet, which was significantly lower than those fed the control, FA, PA or OAB diet. The mortality of prawns from the remaining dietary treatments was not significantly different from each other (P > 0.05).
Histology of the hepatopancreas after bacterial challenge
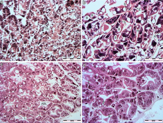
It was observed that substantial morphological changes occurred in all treatments; however, the amount of changes appeared to be dependent on the dietary treatment. It should be noted that since the control and OAB diets resulted in 100% mortality, near the end of the challenge period, freshly dead prawns were removed within about 1 h of death and only these prawns were used for histological analysis. Near the end of the disease challenge trial when there were only a few prawns remaining in the tanks, hourly observations were made to ensure that only freshly dead prawns were used. Results showed that prawns fed the control, PA, FA or OAB diets often had increased hemocytes within the interstitial spaces, separation of the myoepithelial layer and epithelium, a near collapse of the tubule lumen and, in some cases, tubule rupture. These effects appeared to be less pronounced for prawns fed the LA or CA diet since, aside from some cases of abnormally shaped lumen, the tubule structure appeared more intact and normal with less hemocyte infiltrations. The histopathology of the hepatopancreas of M. rosenbergii fed the control diet is shown in Fig. 3a, b and the LA diet in Fig. 3c, d.
Section of the hepatopancreas from the giant freshwater prawns fed the control diet (a, b) or LA diet (c, d) after being challenged with Vibrio harveyi for 2 weeks. The hepatopancreatic sections of the prawns fed the control diet show hemocyte infiltrations (HI) within the interstitial sinuses, a near collapse of the tubules (a) and separation of myoepithelial layer and epithelium (S) (b). The hepatopancreatic sections of the prawns fed the LA diet show a more normal tubule structure and lumen (L), but with some instances of abnormal lumen (ABL) (c) along with some hemocyte infiltrations (d). E cells (E), B cells (B), R cells (R). H&E stain. Magnification ×20; bar 100 µm (a, c). Magnification ×40; bar 50 µm (b, d)
After quantifying the various hepatopancreatic epithelial cells, it was found that prawns fed the LA or CA diets had significantly more R cells in their hepatopancreas than those fed the other diets while no significant changes were detected for the B cells or E cells among treatments (Table 2). Moreover, the R cells from prawns fed the LA or CA diet appeared to have a more rounded shape compared to the other treatments. The tubule diameter of the hepatopancreas of the prawns was not quantified since many individuals had tubules that were too severely compressed and/or distorted to accurately measure using a micrometer.
Discussion
In the present study, it was demonstrated that prawns fed the LA diet or the CA diet had significantly enhanced resistance to V. harveyi infection than all other treatments. Significantly lower prawn mortalities were also observed between prawns fed the LA diet compared to the CA diet. To the best of our knowledge, in terms of comparing different dietary organic acids on the disease resistance of a host, this is the first study to demonstrate this with a freshwater aquatic animal.
The use of different SCFA was shown to improve the resistance of Artemia franciscana to V. campbelli and was suggested that SCFA were ingested and thus inhibited the growth of V. campbelli (Defoirdt et al. 2006). This study by Defoirdt et al. (2006) demonstrated a significant step to the potential prophylactic protection of SCFA, but was noted that this would likely become cost-prohibitive in large-scale aquaculture operations if SCFA were to be added into the culture water. The use of organic acids, including SCFA, as prophylactics in the feeds of crustaceans has been met with good success recently and can be a cost-effective option (Ng et al. 2009; Park et al. 2011; Romano et al. 2015; Ng et al. 2015). It is believed that organic acids confer prophylactic protection from pathogenic bacteria by acting as antimicrobials, which includes their dissociation when entering the cell membranes of bacteria and lowering their cytoplasm pH (Ng and Koh 2016). Furthermore, the bacteria that are more resistant to low pH are more likely to survive. Such bacteria include lactic acid bacteria, since these are tolerant to low-pH conditions, and are known to act as beneficial probiotics to some aquatic animals.
Interestingly, Silva et al. (2013) found that the in vitro inhibitory abilities of LA or CA salts on three different Vibrio species, including V. harveyi, were significantly less compared to PA, butyrate and acetate acid salts. Dietary additions of butyrate and acetate acids were not investigated in the present study, although the fact that the LA and CA diets led to significantly higher resistance to V. harveyi challenge than the PA diet indicates that the antimicrobial effectiveness may rely on complex interactions with the host species and diet. In particular, different organic acids may alter the microbiota of the host animal in different ways. In addition, a review on the current knowledge and application of organic acids in the feeds of aquatic animals have revealed that the potential beneficial effects on growth performance and health status of fish and shrimp seem to depend on the aquatic animal species, type and concentrations of organic acids and the culture conditions used (Ng and Koh 2016).
The addition of organic acids to the diets of white and tiger shrimp significantly increased their resistance to V. harveyi challenge and was suggested that increased phenoloxidase activity as well as less hepatopancreatic damage were likely contributors to this finding (Ng et al. 2015; Romano et al. 2015). This is because the hepatopancreas of crustaceans is known to be targeted by V. harveyi (Lavilla Pitogo et al. 1998). Typically, V. harveyi is a brackish and marine bacterium, but this has been detected in diseased M. rosenbergii within some freshwater ponds in Thailand (Tonguthai 1992) and continues to be a major disease problem in M. rosenbergii hatcheries where the larval and post-larval stages are cultured in brackish water to complete their life cycle (Jayaprakash et al. 2006). Recently, it was demonstrated that V. harveyi is highly virulent to M. rosenbergii, but was dependent on the strain (Siripornadulsil et al. 2014). The present experiment also demonstrated that V. harveyi was pathogenic when present in sufficient numbers in M. rosenbergii, and caused substantial damage to the hepatopancreas which included a separation of myoepithelial layer and epithelium, hemocyte infiltrations within the interstitial sinuses, abnormal lumen and, in severe cases, tubule rupture and collapse.
These findings are consistent with reports of V. vulnificus-infected M. rosenbergii (Sharshar and Azab 2008) and V. harveyi-infected P. monodon (Soonthornchai et al. 2010). However, prawns fed the LA diet or the CA diet showed significantly higher survival to V. harveyi infection as well as substantially less hepatopancreatic damage/alterations and significantly more R cells compared to the other treatments. It is worthy to note that Siripornadulsil et al. (2014) showed that V. harveyi-infected M. rosenbergii had degraded lipid droplets in the hepatopancreas, which was suggested to be the result of phospholipase activity from the bacterium, compared to control prawns. Therefore, this greater protection to the hepatopancreas of prawns fed the CA or LA diet in the present study, along with indications of higher energy reserves, may have contributed to their enhanced bacterial resistance. Considering Vibrio spp. can lead to substantial mortalities, particularly in the hatchery and nursery stages (Tonguthai 1992; Jayaprakash et al. 2006), these findings may have important implications to controlling bacterial disease in this freshwater prawn aquaculture industry.
Finally, it has been reported that synergistic activities among organic acids may exist or provide a broader spectrum of antimicrobial protection than the sole use of one organic acid type (Thompson and Hinton 1997; Chaveerach et al. 2002). However, the inclusion of dietary OAB in the present study had little effect on the resistance of the prawns from V. harveyi infections despite our previous investigation demonstrating that a similar organic acid blend significantly improved the resistance of tilapia to S. agalactiae (Ng et al. 2009; Koh et al. 2016). This appears to indicate that the effectiveness of such blends are dependent on the host species and/or target pathogenic bacteria. Therefore, since CA and LA dietary additions to the diets of M. rosenbergii provided the best resistance to V. harveyi infections, the use of these organic acids at optimal levels should be further explored, especially for LA. The utilization of these two organic acids as a prophylactic against a potentially broader range of pathogenic bacteria should also be investigated. The results of the present study are certainly encouraging, and while more research directions should be made, dietary organic acids showed beneficial properties that may help reduce the reliance on antibiotics in prawn farming and thus produce a more environmentally friendly seafood product acceptable to a wider consumer market.
References
AOAC (Association of Official Analytical Chemists) (1997) In: Cunniff PA (ed) Official methods of analysis of AOAC International, 16th edn. AOAC International, Arlington
Briggs MRP, Jauncey K, Brown JH (1988) The cholesterol and lecithin requirements of juvenile prawn (Macrobrachium rosenbergii) fed semi-purified diets. Aquaculture 70:121–129
Chaveerach P, Keuzenkamp DA, Urlings HAP, Lipman LJA, van Knapen F (2002) In vitro study on the effect of organic acids on Campylobacter jejuni/coli populations in mixtures of water and feed. Poult Sci 81:621–628
D’Abramo LR, Sheen SS (1994) Nutritional requirements, feed formulation, and feeding practices for intensive culture of the freshwater prawn Macrobrachium rosenbergii. Rev Fish Sci 2:1–21
Defoirdt T, Halet D, Sorgeloos P, Bossier P, Verstraete W (2006) Short-chain fatty acids protect gnotobiotic Artemia franciscana from pathogenic Vibrio campbelli. Aquaculture 261:804–808
Defoirdt T, Boon N, Sorgeloos P, Verstraete W, Bossier P (2009) Short-chain fatty acids and poly-β-hydroxyalkanoates: (new) biocontrol agents for a sustainable animal production. Biotechnol Adv 27:680–685
FAO (Food and Agriculture Organization of the United Nations) (2016) Fisheries statistical collections. FIGIS data collection. Available via FIGIS from http://www.fao.org/fishery/statistics/globalproduction/en
Jayaprakash NS, Kumar VJR, Philip R, Singh ISB (2006) Vibrios associated with Macrobrachium rosenbergii (De Man, 1979) larvae from three hatcheries on the Indian southwest coast. Aquacult Res 37:351–358
Kim YC, Romano N, Lee KS, Teoh CY, Ng WK (2013) Effects of replacing dietary fish oil and squid liver oil with vegetable oils on the growth, tissue fatty acid profile and total carotenoids of the giant freshwater prawn, Macrobrachium rosenbergii. Aquacult Res 44:1731–1740
Kluge H, Broz J, Eder K (2006) Effect of benzoic acid on growth performance, nutrient digestibility, nitrogen balance, gastrointestinal microflora and parameters of microbial metabolism in piglets. J Anim Physiol Anim Nutr 90:316–324
Koh CB, Romano N, Siti-Zahrah A, Ng WK (2016) Effects of a dietary organic acids blend and oxytetracycline on the growth, nutrient utilization and total cultivable gut microbiota of the red hybrid tilapia, Oreochromis sp., and resistance to Streptococcus agalactiae. Aquacult Res 47:357–369
Lavilla Pitogo CR, Leaño EM, Paner MG (1998) Mortalities of pond-cultured juvenile shrimp, Penaeus monodon, associated with dominance of luminescent vibrios in the rearing environment. Aquaculture 164:337–349
Marshall BM, Levy SB (2011) Food animals and antimicrobials: impacts on human health. Clin Microbiol Rev 24:718–733
Ng WK, Koh CB (2011) Application of organic acids in aquafeeds: impacts on fish growth, nutrient utilisation and disease resistance. In: Luckstadt C (ed) Standards for acidifiers, principles for the use of organic acids in animal nutrition. Nottingham University Press, Nottingham, pp 49–58
Ng WK, Koh CB (2016) The utilization and mode of action of organic acids in the feeds of cultured aquatic animals. Rev Aquacult. doi:10.1111/raq.1241
Ng WK, Koh CB, Sudesh K, Siti-Zahrah A (2009) Effects of dietary organic acids on growth, nutrient digestibility and gut microflora of red hybrid tilapia, Oreochromis sp., and subsequent survival during a challenge test with Streptococcus agalactiae. Aquacult Res 40:1490–1500
Ng WK, Koh CB, Teoh CY, Romano N (2015) Farm-raised shrimp, Penaeus monodon, fed commercial feeds with added organic acids showed enhanced nutrient utilization, immune response and resistance to Vibrio harveyi challenge. Aquaculture 449:69–77
Park GH, Lee JH, Yun HH, Browdy CL, Bharadwaj AS, Bai SCC (2011) Effects of two different organic acid blends in olive flounder. Korean J Organ Agrocult 19:39–42
Paul M, Chanda M, Maity J, Sen SS, Patra BC, Dash G (2011) The use of antibiotics and disinfectants in the freshwater prawn (Macrobrachium rosenbergii) farms of north and south 24 Paraganas districts of West Bengal. Chron Young Sci 2:55–58
Romano N, Koh CB, Ng WK (2015) Dietary microencapsulated organic acids blend enhances growth, phosphorus utilization, immune response, hepatopancreatic integrity and resistance against Vibrio harveyi in white shrimp, Litopenaeus vannamei. Aquaculture 435:228–236
Sahoo PK, Pillai BR, Mohanty J, Kumari J, Mohanty S, Mishra BK (2006) In vivo humoral and cellular reactions, and fate of injected bacteria Aeromonas hydrophila in freshwater prawn Macrobrachium rosenbergii. Fish Shellfish Immunol 23:327–340
Sharshar KM, Azab EA (2008) Studies on diseased freshwater prawn Macrobrachium rosenbergii infected with Vibrio vulnificus. Pak J Biol Sci 11:2092–2100
Silva BC, Vieira FN, Mouriño JLP, Ferreira GS, Seiffert WQ (2013) Salts of organic acids selection by multiple characteristics for marine shrimp nutrition. Aquaculture 384–387:104–110
Siripornadulsil W, Thongserm M, Siripornadulsil S (2014) Pathogenicity of halophilic Vibrio harveyi in giant freshwater prawns (Macrobrachium rosenbergii De Man). Aquacult Res 45:1979–1988
Soonthornchai W, Rungrassamee W, Karoonuthaisiri N, Jarayabhand P, Klinbunga S, Söderhall K, Jiravanichpaisal P (2010) Expression of immune-related genes in the digestive organ of shrimp, Penaeus monodon, after oral infection by Vibrio harveyi. Dev Comp Immunol 34:19–28
Su X, Li X, Leng X, Tan C, Liu B, Chai X, Guo T (2014) The improvement of growth, digestive enzyme activity and disease resistance of white shrimp by the dietary citric acid. Aquacult Inter 22:1823–1835
Sukor SA, Taher S, Ehteshamei F, Arshad A, Ng WK, Romano N (2016) Effects of different dietary organic acids on the survival, growth and hepatopancreatic histopathology of the blue swimmer crab, Portunus pelagicus. J Shellfish Res 35:1–7
Thompson JL, Hinton M (1997) Antibacterial activity of formic and propionic acids in the diet of hens on salmonellas in the crop. Br Poult Sci 38:59–65
Tonguthai K (1992) Disease of the freshwater prawn Macrobrachium rosenbergii in Thailand. In: Shariff M, Subasinghe RP, Arthur JR (eds) Disease in Asian aquaculture I. Asian Fisheries Society, Manila, pp 89–95
Acknowledgements
This study was sponsored by a Research University Grant (1001/PBIOLOGI/811246) from Universiti Sains Malaysia. Dr. Romano was financially supported by a post-doctoral fellowship awarded by Universiti Sains Malaysia.
Author information
Authors and Affiliations
Corresponding author
Additional information
Publisher’s Note
Springer Nature remains neutral with regard to jurisdictional claims in published maps and institutional affiliations
Rights and permissions
Open Access This article is distributed under the terms of the Creative Commons Attribution 4.0 International License (http://creativecommons.org/licenses/by/4.0/), which permits unrestricted use, distribution, and reproduction in any medium, provided you give appropriate credit to the original author(s) and the source, provide a link to the Creative Commons license, and indicate if changes were made.
About this article
Cite this article
Ng, WK., Lim, CL., Romano, N. et al. Dietary short-chain organic acids enhanced resistance to bacterial infection and hepatopancreatic structural integrity of the giant freshwater prawn, Macrobrachium rosenbergii . Int Aquat Res 9, 293–302 (2017). https://doi.org/10.1007/s40071-017-0177-y
Received:
Accepted:
Published:
Issue Date:
DOI: https://doi.org/10.1007/s40071-017-0177-y
Keywords
- Organic acids
- Lactic acid
- Macrobrachium rosenbergii
- Vibrio challenge
- Hepatopancreas


