Skip to main content

Rapid radiological improvement of COVID-19 pneumonia after treatment with tocilizumab

A 51-year-old man, without comorbidities and not smoker, was admitted to our intensive care unit with fever (39°) and dyspnea lasting for 5 days.

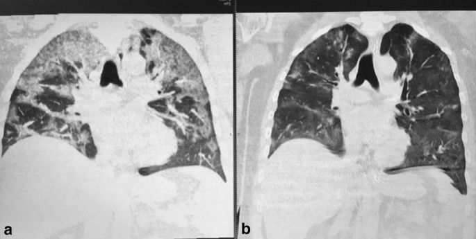
At admission, the patient had fever, dry cough and dyspnea. He was tachypneic (34 bpm) with an oxygen saturation of 88%. Quickly, the patient developed an acute respiratory distress syndrome and was urgently intubated on the same day of admission. The chest CT (computed tomography) scan showed a bilateral interstitial pneumonia (Fig. 1a) and he was positive for Sars-Cov-2 (nasopharyngeal swab). Laboratory testing showed increased levels of CRP (C-reactive protein) 2386 mg/l (normal value; 0.0–5.0 mg/l), LDH (lactate dehydrogenase) 890 U/l (normal value; 240–480 U/l), ferritin 6045.6 ng/ml (normal value; 30–400 ng/ml) and D-dimer 2890 ng/ml (> 500 ng/ml). Hydroxychloroquine,lopinavir/ritonavir,ceftriaxone and low-molecular-weight heparin were administred. Five days later, the patient’s clinical conditions deteriorated and we decided to administer an intravenous dose of tocilizumab (8 mg/kg). A second infusion at the same dosage was repeated after 12 h. His ventilation conditions improved day by day. One day after infusion of tocilizumab, CPR, LDH, ferritin and D-dimer levels went down (87.9; 631; 3915.5; 778 respectively).

Fig. 1
figure 1

a Chest CT scan showing ground-glass opacities in the upper lobes of the lungs. b Chest CT scan showed a significant absorption of lung lesions after tocilizumab treatment

After 3 days, we repeated CT chest scan that showed an impressive improvement (Fig. 1b). Two days later, the patient was extubated and was transferred to pulmonary medicine unit with a normal value of LDH, a CPR of 11.9 mg/l, a ferritin value of 1505.9 ng/ml and a D-dimer of 1630 ng/ml. Interleukin-6 levels were measured 1 day before infusion of tocilizumab and after 3, 5 and 7 days showing a progressive decrease from 201 pg/ml to 139, 42 and 33 pg/ml, respectively (1–13.1 pg/ml are considered normal values in Caucasians). Twenty days after admission, the patient was discharged without any need for oxygen supplementation.

Tocilizumab is a humanized monoclonal antibody that acts as inhibitor of both membrane-bound and soluble interleukin-6 receptors. It is used in the treatment of autoimmune diseases such as rheumatological diseases [1] and in patients with severe cytokine release syndrome induced by chimeric antigen receptor T-cell therapy [2]. In severe COVID-19 it has been showed a hyperinflammatory state with elevated level of interleukin-6 [3] and it provided clinical benefits in a study on 21 Chinese patients with severe COVID-19 pneumonia [4]. Recently, Italian colleagues published a case series of 100 patients admitted to the hospital with confirmed COVID-19 pneumonia and ARDS requiring ventilatory support and treated with tocilizumab [5]. The response to tocilizumab was fast and associated with significant clinical improvement. Even if in these studies there were no serious events caused by tocilizumab, it could make the patients more susceptible to bacterial infections and increase the risk of intestinal perforation [6]. Tocilizumab could be useful in the treatment of hyperinflammatory state and cytokine storming associated with severe COVID-19 forms; however, the results of randomized controlled trials are needed.

References

  1. Scott LJ. Tocilizumab. A review in rheumatoid arthritis. Drugs. 2017;77:1865–79.

    CAS  Article  Google Scholar 

  2. Kotch C, Barrett D, Teachey DT. Tocilizumab for the treatment of chimeric antigen receptor T cell-induced cytokine release syndrome. Expert Rev Clin Immunol. 2019;15:813–22.

    CAS  Article  Google Scholar 

  3. McCreary EK, Pogue JM. COVID-19 treatment: a review of early and emerging options. Open Forum Infect Dis. 2020;7(4):ofaa105. https://doi.org/10.1093/ofid/ofaa105(eCollection 2020 Apr).

    CAS  Article  PubMed  PubMed Central  Google Scholar 

  4. Xu X, Han M, Li T, Sun W, Wang D, Fu B, et al. Effective treatment of severe COVID-19 patients with tocilizumab. Proc Natl Acad Sci U S A. 2020;29:202005615. https://doi.org/10.1073/pnas.2005615117.

    CAS  Article  Google Scholar 

  5. Toniati P, Piva S, Cattalini M, Garrafa E, Regola F, Castelli F. Tocilizumab for the treatment of severe COVID-19 pneumonia with hyperinflammatory syndrome and acute respiratory failure: a single center study of 100 patients in Brescia, Italy. Autoimmun Rev. 2020;3:102568. https://doi.org/10.1016/j.autrev.2020.102568.

    CAS  Article  Google Scholar 

  6. Vikse J, Henry BM. Tocilizumab in COVID-19: beware of risk of intestinal perforation. Int J Antimicrob Agents. 2020;7:106009. https://doi.org/10.1016/j.ijantimicag.2020.106009.

    CAS  Article  Google Scholar 

Download references

Funding

No funding.

Author information

Affiliations

Authors

Corresponding author

Correspondence to Massimiliano Lanzafame.

Ethics declarations

Conflict of interest

The authors declare that they have no conflict of interest.

Ethical approval

The patient provided a written consent for the use of his clinical data for scientific purposes.

Rights and permissions

Reprints and Permissions

About this article

Verify currency and authenticity via CrossMark

Cite this article

Comel, A.C., Mosaner, W., Bragantini, D. et al. Rapid radiological improvement of COVID-19 pneumonia after treatment with tocilizumab. Infection 49, 195–196 (2021). https://doi.org/10.1007/s15010-020-01449-w

Download citation

  • Received:

  • Accepted:

  • Published:

  • Issue Date:

  • DOI: https://doi.org/10.1007/s15010-020-01449-w