Skip to main content

Concurrent dengue virus and Japanese encephalitis virus infection of the brain: is it co-infection or co-detection?

This is a preview of subscription content, access via your institution.

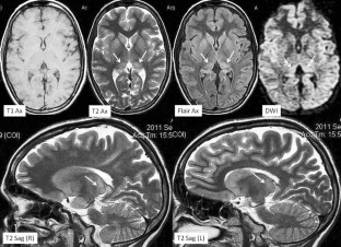
Fig. 1
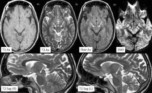
Fig. 2
Fig. 3

References

  1. Solomon T, Mallewa M. Dengue and other emerging flaviviruses. J Infect. 2001;42:104–15.

    PubMed  Article  CAS  Google Scholar 

  2. Watt G, Jongsakul K. Acute undifferentiated fever caused by infection with Japanese encephalitis virus. Am J Trop Med Hyg. 2003;68:704–6.

    PubMed  Google Scholar 

  3. World Health Organization. Manual for the laboratory diagnosis of Japanese encephalitis virus infection. Geneva: World Health Organization; 2007.

    Google Scholar 

  4. Mackenzie JS, Gubler DJ, Petersen LR. Emerging flaviviruses the spread and resurgence of Japanese encephalitis, West Nile and dengue viruses. Nat Med. 2004;10:S98–109.

    PubMed  Article  CAS  Google Scholar 

  5. Kyle JL, Harris E. Global spread and persistence of Dengue. Annu Rev Microbiol. 2008;62:71–92.

    PubMed  Article  CAS  Google Scholar 

  6. Solomon T, Dung NM, Kneen R, Gainsborough M, Vaughn DW, Khanh VT. Japanese encephalitis. J Neurol Neurosurg Psychiatry. 2000;68:405–15.

    PubMed  Article  CAS  Google Scholar 

  7. World Health Organization. Dengue guidelines for diagnosis, treatment, prevention and control. New edition. Geneva: World Health Organization; 2009.

    Google Scholar 

  8. Gulati S, Maheshwari A. Atypical manifestations of dengue. Trop Med Int Health. 2007;12:1087–95.

    PubMed  Article  Google Scholar 

  9. Paliwal VK, Garg RK, Juyal R, Husain N, Verma R, Sharma PK, Verma R, Singh MK. Acute dengue virus myositis: a report of seven patients of varying clinical severity including two cases with severe fulminant myositis. J Neurol Sci. 2011;300:14–8.

    PubMed  Article  Google Scholar 

  10. Bundo K, Igarashi A. Antibody-capture ELISA for detection of immunoglobulin M antibodies in sera from Japanese encephalitis and dengue hemorrhagic fever patients. J Virol Methods. 1985;11:15–22.

    PubMed  Article  CAS  Google Scholar 

  11. Makino Y, Tadano M, Saito M, Maneekarn N, Sittisombut N, Sirisanthana V, Poneprasert B, Fukunaga T. Studies on serological cross-reaction in sequential flavivirus infections. Microbiol Immunol. 1994;38:951–5.

    PubMed  CAS  Google Scholar 

  12. Mansfield KL, Horton DL, Johnson N, Li L, Barrett AD, Smith DJ, Galbraith SE, Solomon T, Fooks AR. Flavivirus-induced antibody cross-reactivity. J Gen Virol. 2011;92:2821–9.

    Google Scholar 

  13. A-Nuegoonpipat A, Panthuyosri N, Anantapreecha S, Chanama S, Sa-Ngasang A, Sawanpanyalert P, Kurane I. Cross-reactive IgM responses in patients with dengue or Japanese encephalitis. J Clin Virol. 2008;42:75–7.

    PubMed  Article  CAS  Google Scholar 

  14. Touch S, Hills S, Sokhal B, Samnang C, Sovann L, Khieu V, Soeung SC, Toda K, Robinson J, Grundy J. Epidemiology and burden of disease from Japanese encephalitis in Cambodia: results from two years of sentinel surveillance. Trop Med Int Health. 2009;14:1365–73.

    PubMed  Article  Google Scholar 

  15. Cam BV, Fonsmark L, Hue NB, Phuong NT, Poulsen A, Heegaard ED. Prospective case-control study of encephalopathy in children with dengue hemorrhagic fever. Am J Trop Med Hyg. 2001;65:848–51.

    PubMed  CAS  Google Scholar 

  16. Chahar HS, Bharaj P, Dar L, Guleria R, Kabra SK, Broor S. Co-infections with chikungunya virus and dengue virus in Delhi India. Emerg Infect Dis. 2009;15:1077–80.

    PubMed  Article  CAS  Google Scholar 

  17. Shi PY, Wong SJ. Serologic diagnosis of West Nile virus infection. Expert Rev Mol Diagn. 2003;3:733–41.

    PubMed  Article  CAS  Google Scholar 

  18. Innis BL, Nisalak A, Nimmannitya S, Kusalerdchariya S, Chongswasdi V, Suntayakorn S, Puttisri P, Hoke CH. An enzyme-linked immunosorbent assay to characterize dengue infections where dengue and Japanese encephalitis co-circulate. Am J Trop Med Hyg. 1989;40:418–27.

    PubMed  CAS  Google Scholar 

  19. Anderson KB, Gibbons RV, Thomas SJ, Rothman AL, Nisalak A, Berkelman RL, Libraty DH, Endy TP. Preexisting Japanese encephalitis virus neutralizing antibodies and increased symptomatic dengue illness in a school-based cohort in Thailand. PLoS Negl Trop Dis. 2011;5:e1311.

    PubMed  Article  Google Scholar 

  20. Kalita J, Misra UK, Pandey S, Dhole TN. A comparison of clinical and radiological findings in adults and children with Japanese encephalitis. Arch Neurol. 2003;60:1760–4.

    PubMed  Article  CAS  Google Scholar 

  21. Wasay M, Channa R, Jumani M, Shabbir G, Azeemuddin M, Zafar A. Encephalitis and myelitis associated with dengue viral infection clinical and neuroimaging features. Clin Neurol Neurosurg. 2008;110:635–40.

    PubMed  Article  Google Scholar 

  22. Varatharaj A. Encephalitis in the clinical spectrum of dengue infection. Neurol India. 2010;58:585–91.

    PubMed  Article  Google Scholar 

Download references

Conflict of interest

None.

Author information

Affiliations

Authors

Corresponding author

Correspondence to H. S. Malhotra.

Rights and permissions

Reprints and Permissions

About this article

Cite this article

Garg, R.K., Malhotra, H.S., Gupta, A. et al. Concurrent dengue virus and Japanese encephalitis virus infection of the brain: is it co-infection or co-detection?. Infection 40, 589–593 (2012). https://doi.org/10.1007/s15010-012-0284-z

Download citation

  • Received:

  • Accepted:

  • Published:

  • Issue Date:

  • DOI: https://doi.org/10.1007/s15010-012-0284-z

Keywords

  • Dengue Virus
  • Japanese Encephalitis Virus
  • Pramipexole
  • Aseptic Meningitis
  • Dengue Hemorrhagic Fever